*** START OF THE PROJECT GUTENBERG EBOOK 76817 ***

Transcriber’s Note:

New original cover art included with this eBook is granted to the public domain.

DISEASE IN CAPTIVE WILD MAMMALS AND BIRDS
INCIDENCE, DESCRIPTION, COMPARISON

BY
HERBERT FOX, M.D.
PATHOLOGIST TO THE ZOOLOGICAL SOCIETY OF PHILADELPHIA, DIRECTOR OF THE WILLIAM PEPPER CLINICAL LABORATORY, UNIVERSITY OF PENNSYLVANIA
WITH A FOREWORD BY
CHARLES B. PENROSE, M.D.
PRESIDENT OF THE ZOOLOGICAL SOCIETY OF PHILADELPHIA
ZOOLOGICAL SOCIETY OF PHILADELPHIA. INCORPORATED 1859
PHILADELPHIA, LONDON & CHICAGO
J. B. LIPPINCOTT COMPANY
COPYRIGHT, 1923, BY HERBERT FOX
THIS BOOK
IS DEDICATED TO
CHARLES BINGHAM PENROSE, M.D., Ph.D., LL.D.
IN GRATEFUL APPRECIATION OF HIS FRIENDSHIP
AND OF HIS GUIDANCE AND ENCOURAGEMENT
IN ALL MATTERS PERTAINING
TO THIS LABORATORY.
v

CONTENTS

    PAGE
  Foreword—Dr. Charles B. Penrose 1
SECTION      
I. Introduction 17
    Zoological Classification  
    Numerical List of Autopsies Upon Which the Work is Based.  
II. Diseases of the Heart 48
III. Diseases of the Blood Vessels 66
IV. Diseases of the Blood and Bone Marrow 83
V. Diseases of the Lymphatic Tissues Including Spleen 114
VI. Diseases of the Respiratory Tract 134
VII. Diseases of the Alimentary Tract  
    The Tube Proper 166
    The Liver 222
    The Pancreas 244
    The Peritoneum 260
VIII. Diseases of the Urinary Tract 263
    The Kidney  
IX. Diseases of the Female Reproductive Organs 287
X. Diseases of the Male Reproductive Organs 313
XI. Diseases of the Ductless Glands.  
    The Thyroid 316
    The Thymus 336
    The Suprarenal 336
XII. Diseases of the Skeleton and its Joints 343
XIII. Diseases of the Central Nervous System and Special Senses 372
    The Eye 402
XIV. Constitutional Diseases 410
XV. The Relation of Diet to Disease by E. P. Corson-White, M.D. 415
XVI. Neoplasms 462
XVII. The Infectious Diseases.  
    Tuberculosis 483
    Mycosis 558
    Streptothricosis 567
    Miscellaneous Infections 596
XVIII. Animal Parasites, their incidence and significance, by F. D. Weidman, M.D. 614
vii

LIST OF TABLES

  PAGE
1. The incidence of degenerative and inflammatory changes in the heart 51
2. The incidence of hypertrophy and dilatation of the heart with principal associated lesions 57
3. A condensation of the important features of Tables 1 and 2 63
4. The heart-to-body-weight ratios 63
5. The incidence of arteriosclerosis 71
6. The differential percentage of the circulating leucocytes in a number of different animals 84
7. The various types of splenitis 126
8. The incidence of the various types of bronchitis and of pulmonary parasites 142
9. The incidence of the various forms of pneumonia 150
10. An analysis of cases of abscess and gangrene of the lung 156
11. The incidence of gastroenterocolitis, its distribution and an analysis of the causes 182
12. An analysis of the inflammations of the alimentary tract in Ungulata 196
13. An analysis of the inflammations of the alimentary tract in Marsupialia 200
14. An analysis of the cases of pancreatitis, the associated pathology and the details of the anatomy of various orders 252
15. The weight of the thyroid body in relation to body weight 318
16. The incidence of the various enlargements of the thyroid body 326
17. The incidence of cases of degenerative bone disease in the various orders 357
18. The weight of the brain and the relation of this to the body weights in 196 animals 388
19. An analysis of pathological conditions in terms of diet 423
20. An analysis of the diets used in the Philadelphia Garden 426
21. The incidence of tumors 464
22. An analysis of the breeding, captivity and visceral distribution of neoplasms, of tumor-bearing animals 466
23. An analysis of the incidence, character and distribution of tuberculosis 486
24. The incidence of parasites in the zoological orders 630
25. The incidence of heterakis in pheasants 635
26. The incidence of various parasitic orders and families 636
27. The visceral distribution of parasites 639
28. The occurrence of blood parasites in zoological classes 651
1

FOREWORD

BY
CHARLES B. PENROSE

The work on which this book is based was begun in November, 1901. From that date, systematic autopsies were made on animals dying in the Philadelphia Zoological Garden. Previously autopsies had been made very rarely and only on animals of especial importance and interest. Pathological conditions were occasionally noted in animals subjected to anatomical study. The work was strictly volunteer, for there was no one on whom the Society had the right to call. Dr. Henry C. Chapman, a former Director, whose interest was in physiology and comparative anatomy, made nearly all the autopsies that were made before the beginning of the present work. In the annual reports from the foundation of the Garden in 1872, very few such examinations are recorded. In some reports there are lists of important deaths, but no record of the cause of death.

This state of things was not peculiar to the Philadelphia Garden. It existed in every zoological garden in the world. It exists in most of them to-day. When an animal died it had no interest or value except for its hide and bones. Rare specimens were sent to the Academy of Natural Sciences from the Philadelphia Garden. The great majority, however, were immediately destroyed, and thus during the twenty-nine years from the foundation of the Garden, preceding this work, there have been lost many opportunities—some of which will never recur—of increasing our knowledge of pathology.

This book gives results of the study of animals that have not been subjected to experimental procedures and conditions, and though their mode of life has not been 2that strictly natural to them, yet they have not been influenced by any of the artificial procedures of the laboratory which are usually followed in investigations on animals. Though the object of the work was the pursuit of knowledge for its own sake, yet results of practical value have followed: hygiene has been improved; disinfection has been made scientific; epidemics have been arrested; some diseases, notably tuberculosis in monkeys, and spiropteriasis in parrots, have been practically eliminated.

The value of the work is recognized by the keepers. Their interest has increased and their morale has improved. The frequent deaths in a large collection of animals are discouraging, and a good animal man must have courage and optimism—traits that are stimulated by the knowledge that every animal that dies is studied to determine the cause of death, and to prevent its recurrence.

Some results of this study are to be considered as “raw material,” while others permit cautious or tentative conclusions. The first include—visceral weights, incidence of certain lesions like anemia and hepatic cirrhoses, occurrence of calculi and observations on weak hind quarters, convulsions and constitutional diseases. The second include—eradication of tuberculosis and spiropteriasis, the response of the mammalian and avian heart to strain and disease viruses, the origin of pneumonia in birds, the genesis of bronchiectasis, the nature of osseous degeneration with relation to diet and alimentary tract, the comparative anatomy, physiology and pathology of the female genitalia, the occurrence of lesions in the thyroid comparable to those in man, the character of kangaroo disease.

Great praise is due Dr. Herbert Fox and his assistants Drs. F. D. Weidman and E. P. Corson-White, for the splendid scientific spirit and thoroughness with which they have done this work, with no adequate remuneration, 3except the intangible reward appreciated only by the real research worker.

It is a mistake to think that all animals in the wild state are healthy. The healthy wild animals that we see are the survivors, the sick and the weaklings having died. Undoubtedly diseases are fewer than in captive animals; but on the other hand wild animals are exposed to dangers to which captive animals are not exposed—such as lack of care in sickness and old age, starvation, and attacks of enemies that feed on them. The maximum longevities in some species are probably in captive animals. It is doubtful if a wild animal ever reaches the greatest age possible to it.

Many kinds of parasites have been found in wild animals captured only a short time before arriving at the Garden, so that they must have existed in the wild. Thirteen wild cats received from South Carolina within a few days after capture were infested with intestinal, muscular, and pulmonary parasites. Several years ago there were received from the Island of Chincoteague, off the coast of Virginia, a number of native birds recently captured, all of which had mould disease of the air sacs. This happened on several occasions, so that it became necessary to reject all birds from this locality. Among the birds were meadow larks and cardinals.

Hunters not infrequently kill animals with disease, and if more hunters knew enough to recognize the disease there would be more recorded cases. Sick animals are not as likely to be killed by the hunter as healthy ones, as sick animals seek seclusion and do not move about. In many localities of the United States white-tailed deer are infested with the liver-fluke. Trout and other fish in remote mountain streams are found with tapeworms. Round worms and other parasites infest the white rhinoceros in the African forest.

4In many instances the parasites and the host, when in health, get on very well together; but when the host weakens the parasites may give him the finishing stroke.

Though some morbid conditions described in this book are peculiar to captivity, yet it seems reasonable to assume that many of the diseases found in captive animals occur also in the wild. Some of the extinct races of animals may have been wiped out by disease.

Captivity causes numerous physical and mental disarrangements. Unaccustomed, unnatural and unvaried food, change of climate and environment, physical and mental degeneration from disuse of muscle and brain, fear, ennui, nostalgia, lack of the exhilaration of chasing and being chased, unsatisfied sexual feeling—all react harmfully on the captive.

No captive animals get their natural food; and though some, like the carnivora, may get approximately their natural food, yet they do not get it in the natural way. They have but little variety and may miss elements important to their well-being. They get only certain cuts—muscle and bone; they do not get blood, guts and glands. The lion’s meat is handed to him. He does not tear down his prey; and one result is that the jaws of the captive-bred lion differ decidedly in shape from the jaws of the wild-bred lion. He gets his food regularly, with awful monotony—twelve pounds of meat at 3.30 p.m. day after day; there is no alternation of feasts and fasts, with consequent change in the balance of the body reserves.

Some animals, such as caribou, the moose, the black cock, the hoatzin, the koala, do not long survive captivity, because it is impracticable to obtain their natural food. Gastrointestinal disease is the commonest disease of wild animals. Twenty-five per cent. of sick humans in civilized communities also suffer from it. On the other hand, many animals become accustomed to the new diet and thrive on it.

5Animals also often thrive in a climate very different from that of their natural habitat. Some animals from warm countries, though kept outside without any artificial heat, get on very well during the severe weather of Philadelphia winters, when the temperature often drops to zero Fahrenheit. For the past two years it has been the custom to put outdoors all monkeys—of value—that are suspected of having tuberculosis. The cheap monkeys are killed. The outdoor monkeys are kept in fair sized cages—five feet square and six feet high—usually singly, though sometimes two are together. The vervet, the grivet, the leonine macaque, the yellow baboon, the Hainan gibbon and many others, have not only survived the climatic conditions but have not succumbed to tuberculosis. South American monkeys do not stand cold as well as Old World monkeys, and cannot be kept out in severe winter weather.

The monkeys that are kept indoors during winter have free access to the outside through swinging doors and they often go out voluntarily in the coldest weather. The same is true of other animals. A note made several years ago (February 12, 1914) states: “Temperature last night was 1° F. At 2 P.M. outside temperature 13° F., in carnivora house 25° F., elephant house 38° F., giraffe house 39° F., monkey house 42° F. Two Bengal tigers were voluntarily outside. Monkeys that have been out all winter are: two Barbary apes, Hainan gibbon, lion-tailed macaque, yellow baboon, grivet monkey, pigtailed macaque, and eleven rhesus macaques. All the animals appeared comfortable.”

The physical condition of the animal and the kind of cold—damp or dry—have much to do with its ability to stand low temperatures. Monkeys have passed through very severe winters without damage, and subsequently in a less severe winter have had frozen fingers, toes or tail.

The size of the cage or pen has not as much effect upon the well-being of the animal as might be expected. Reptiles, birds and mammals do as well in cages and pens of 6medium size as in very large ones. A deer or antelope in a large enclosure does not use all its domain. It usually has a favorite corner near the food, water and shelter, and stays there. Nor has a large enclosure been found perceptibly to diminish mortality from cage-mates. The stronger will follow the weaker until he gets him, no matter what the enclosure. Even in the large flying cage for birds it is necessary to keep out those of a scrappy disposition. From the point of view of the public small enclosures are more satisfactory.

Mental disease in captive animals offers a fascinating field for study—now chiefly speculative. Many conditions are present to produce it—all the conditions that cause prison psychoses in man. And many if not all the insane and perverted acts of animals have their counterpart in the human. Masturbation is very common in mammals. Eating of their own feces, coprophagy, is not infrequent, and is especially notable in one of the highest types—the Chimpanzee. Perhaps occasionally coprophagy may be due to some defect in diet. There is no instinctive disgust at excrement in the lower animals any more than there is in the uneducated child. Nevertheless, eating feces cannot be healthful, and probably does not occur in nature; and occurs only in the human with mental disease.

Some of the insane acts of animals if prevalent in the wild would probably cause the extinction of the race. Such are killing of the young by the father and by the mother; killing of the female by the male, usually during rutting time, in some instances reminding one of Sadism in man. This kind of sexual killing does not often occur in the wild. The female has a better chance to escape, and the male probably does not feel so inclined to damage her when he chooses her himself as when she is chosen for him by his gaoler. When the mother devours her young it is usually shortly after birth. I have, however, the record of a Jungle cat (Felis chaus) who ate two of her 7kittens when they were seven weeks old. Some of the domestic animals devour their young; the sow often does it, and occasionally the bitch.

Sucking, gnawing and eating parts of itself or of a cage-mate is not uncommon in a variety of animals. Bears lick their paws until they are sore; a monkey may gradually gnaw away its tail from the tip to the body; an ocelot (Felis chibigonazon) bit open his scrotum and devoured his testicle; a Tasmanian devil (Sarcophilus ursinus) bit off one of his front feet at the wrist; a monkey may gradually gnaw away its fingers; and numerous other self-inflicted mutilations occur. Often there is a local irritating cause, as skin disease, lice, or freezing. But in many cases no local cause can be found, as no local cause can be found for thumb-sucking or nail-biting in the human.

The surgery done by monkeys on their frozen fingers and toes is interesting. After the flesh has sloughed the monkey bites off the protruding phalanges, apparently without pain, so that satisfactory well-covered stumps are made.

Animals often mutilate their cage-mates in an amicable way as distinguished from fighting. A bear may lick its mate’s ears until the hair and skin are gone. A monkey may eat its mate’s tail or patches of its skin, the victim lying placidly while the process goes on. Many animals are addicted to perverted acts on their own or their mate’s sexual organs.

It is probable that the phenomena just mentioned are due to confinement, idleness and ennui, and that they do not often happen in nature where an animal is kept busy seeking his food, fighting and avoiding his enemies, attending to his mate or mates, and meeting the various vicissitudes of his environment.

It should be remembered, however, that the members of a wild species vary in intelligence and temperament, as humans do. There are morons and perverts among 8animals in the wild; but not being coddled by the normal members of the species, they have a poorer chance than has the subnormal human of surviving and of transmitting their peculiarities.

Fear, ennui, loneliness and nostalgia, by affecting the minds of captive animals, react on their physical condition. Some animals have the fear of man bred in them. The young often show it from time of birth. This is especially common in animals that have survived for generations in proximity to man. It is one reason for their survival. The mother and father may have become tame and gentle in captivity and yet the young one may be a wild thing from birth. Such fear is sometimes uncontrollable, an apparently slight cause making the animal dash itself against the fence of the enclosure. It is not mere speculation to discuss the physical effects of the emotions on the animal body. It has been shown that fear, anger, and grief bring about distinct measurable physical changes. Dr. Corson-White has found that the red corpuscles are increased by over two million per cubic centimetre in the blood of a cat frightened by a dog barking at it. The amount of blood sugar is also increased.

Such observations are suggestive in a consideration of the changes that may occur in a captive animal subjected to acute and chronic fear.

The monotony of a captive animal’s life is broken only by feeding, the sight and sounds of others in the same building or nearby, and by visitors. Many animals show their appreciation and pleasure when visitors approach, and some of the more intelligent animals, bears and monkeys and some birds, “show off” apparently to keep the visitors there. When there is nothing doing, some stand swaying their heads, like a weaving horse, or pacing the cage, inanely tagging at each turn the side of the cage with the head or other part of the body—often so persistently that a sore is produced. Nearly all animals are social and suffer from loneliness when kept by themselves. 9This is true even of the lowly forms. The keeper of the reptile house reported that a giant tortoise became despondent and refused to eat when his companion, a leopard tortoise, was taken from him, and that he braced up as soon as the leopard tortoise was returned. It is not necessary that the companion be of the same species, or even of the same family. A lion or a tiger may be satisfied with a little dog for a companion, and there was an African rhinoceros at the Philadelphia Garden that was very discontented and unhappy when alone and became perfectly satisfied when she was given a domestic goat as a cage-mate; and the huge rhinoceros stood for a good deal of butting and bullying from the goat without retaliating. A sympathetic keeper may do much to relieve the loneliness of the animals in his care.

Nostalgia, or homesickness, has been felt by all men. Some have died of it. The tradition among writers is that it affects young people and those who have been living nearest to a state of nature. In this country the American Indian and the negro are affected more than the whites. Much was written of it after the Franco-Prussian War and the American Civil War. It is a real condition, capable in extreme cases of causing death and of so weakening the sufferer as to make him more susceptible to the invasion of other diseases. At the present day we hear less of it among civilized people than formerly, perhaps because the conception of home has been broadened by modern methods of intercommunication. The wild animal’s conception of home is narrow; he comes directly from it into an environment where he may see many other animals, but not one of his own kind. Predisposing causes of nostalgia are stronger with him than with the human. That home means a great deal to animals is shown by the migration of birds—the return of the carrier pigeon, and of the lost dog, and of the swallow, which returns every year to the same nesting place.

10All animals long for the things of nature—open air, earth, grass and water. They are thrilled when their feet touch the sod. Even the hippopotamus gambols when he leaves his concrete house and his feet touch earth and grass.

The face and carriage of many animals cannot express feelings as in the human, though it is not unreasonable to assume that animals may indicate feelings by expression understood by their mates, though not understood or even noticed by man. When they can express it in a human way their feelings may be read. The dejection of nostalgia is especially shown by anthropoid apes. Gorillas have been noted for it from the earliest writers. The orang is prone to it, shows it by his attitude and expression, and sometimes dies of it.

It is stated in A Handbook of the Management of Animals in Captivity in Lower Bengal, p. 130, that elephants have been observed to shed tears abundantly if forced to leave their old home and surroundings. How much other animals who cannot express homesickness may feel it, and how often it is a cause of unhappiness, depression and predisposition to disease, it is impossible to say.

Most wild animals in captivity are sterile. The reason is not known. It shows the profound effect of captivity. It would be difficult to determine whether the sterility of a mating is the fault of the male or the female.

There is no apparent rule for sterility. Some families are always sterile in captivity, others are fertile, even with very unfavorable surroundings. The deer, horses, hippopotamuses, pigs, goats, sheep and oxen, are good breeders; while antelopes, rhinoceroses, giraffes, elephants, are poor breeders. Some members of a family may be good, others poor. The lion and puma breed fairly well; the tiger, leopard and jaguar, very poorly. Bears breed well, but the mother usually destroys her young.

11We cannot mate wild animals and birds simply by putting males and females together in the same cage. Domestic mammals and birds usually mate under such conditions, but wild ones often refuse. Many mammals and probably all birds that are not polyandrous or polygamous reserve the right to select their mates, and if the sexes are put together by man they may view each other with indifference or with animosity. There are many males and females of the same species of mammals at the Zoological Garden that will not consent to live together. A male monkey in a cage with several females will very often select one female for his mate and will have nothing to do with the others.

Among monkeys fertility varies greatly. It is not practical to determine the ratio among the various kinds, as some kinds are much commoner in zoological collections than others. I think that in general the Old World monkeys (Cercopithecidæ) are better breeders in captivity than those of the New World (Cebidæ). The anthropoid apes are very poor breeders indeed; of the many gibbons, orangs, and chimpanzees, that for years have been captive in Europe and America, it is probable that only the chimpanzee has bred, and that very rarely.

Refusal to mate, sterility, infanticide by father and mother, and sexual killing keep down reproduction in zoological gardens; and the number of young ones is a good indication of the character of a garden and of the provisions made for the happiness, comfort and health of the animals.

With the birds in a zoological garden the conditions for nesting and laying are not good. Caged birds have no material for a nest, no privacy and rarely lay an egg. The outdoor water birds and the outdoor upland birds with natural surroundings, with secluded retreats, lay and hatch very well. Birds like mammals apparently are indifferent to publicity when copulating, but seek 12seclusion for laying and nesting—from maternal fear for the safety of the young.

The sexual instinct in indoor caged birds in a zoological garden is dormant. Very few copulate and very few lay eggs; pigeons and Mexican conures (Conurus holochlorus) are exceptions to this general rule.

Probably because the sexual instinct is dormant the males never fight over the females among perching birds, and very rarely kill each other. In some species of finches, however, as the chestnut-eared (gn. Amadina), the females fight among themselves if there are not enough males.

Ovoviviparous reptiles breed more often in captivity than one would expect; and egg-laying snakes often lay eggs, which of course are only hatched artificially.

Birds suffer less than mammals from the psychological effect of captivity. The mental development of a bird is much lower. With few exceptions, like the ruffed grouse, the bird accepts captivity easily and becomes tame, though he will not stand being touched. He views his keeper and visitors with indifference or friendliness. If a bird house is bright, cheerful and sunny, all the inmates thrive and appear to be happy. These conditions undoubtedly affect the health of the bird, as is evidenced by their plumage; bright colors that are lost in a dark and gloomy house are retained and developed when the house is cheerful and sunny. There are some birds, however, that never retain their colors in the captivity of a zoological garden. Among them are the scarlet ibis, the American flamingo, and the roseate spoonbill. It has been suggested that the loss of color is due to the lack of something in the diet, mineral or organic, that the bird gets in its natural habitat. Tame scarlet ibises living with the chickens about the dwellings of natives in Venezuela retain their brilliant color. The material of the beautiful red color on the under surface of the wings of the touracou contains copper, yet these 13birds retain this color very well in captivity, even after several moultings.

The source of the copper has long been uncertain. In nature the birds are fruiteaters, and their diet in captivity consists of bone meal, zweibach, corn meal, white potatoes, eggs and carrots—foods that are usually assumed to contain no copper; and no copper utensils are used in the preparation of the food. Dr. John Marshall, however, writes me that all the common cereals contain minute quantities of copper; and Dr. Leon A. Ryan, University of Pennsylvania Medical Bulletin, June, 1907, states that copper may be found in animal tissues. Dr. E. P. Corson-White has found traces of copper in the bone meal used at the Philadelphia Zoological Garden. The copper in the red color of the touracou’s wing therefore comes from the food.

It is probable that a bright and cheerful bird house does not influence the color of birds by the direct action of light on the color as much as indirectly by improving the health and spirits of the birds. Coloration in birds is a very complicated proposition. It depends upon age, sex, season, health, light, heat, moisture, mode of life, and food. No one bird house can combine all the conditions necessary for the retention of natural colors in every species. The desert species from a habitat of intense light and dryness require for their color a different environment from the forest species, from a habitat of shade and moisture. The suppression of sexual feeling in captive birds may influence color. In nature the finest colors are attained by mating birds.

It may be said that all animals—except those of nocturnal habit—have a feeling of joy and well-being in fine weather and bright surroundings that reacts favorably on the general health.

The variability of the breeding period induced by captivity in many animals may be mentioned with sterility. It was shown some years ago in the Philadelphia 14Garden by the European brown bear which in one year gave birth on January 16th, and in the following year on July 25th. It is another evidence of the profound effect of captivity on the captive animal. I know of no observations of the effect of captivity on the period of gestation.

There is considerable mortality among captive animals from killing of cage-mates. I do not refer to sexual killing, already mentioned, or to fights over a female. Often males, with no females near, cannot be kept together; probably sexual jealousy is at the bottom of it. Antelope and deer are especially inclined to scrap. Even a large enclosure will not save the weaker male; the stronger follows him with horrible persistency, sometimes for days, around and around the enclosure, often at a walk, but always on the offensive, at least during the day; until, careless from weariness, the weaker is caught unawares and finished by a horn-thrust in the side.

Both birds and mammals often kill their mates when the mate is sick, or “down” from injury or disease. All animals hate sickness and death, and show their dislike by attacking or shunning it. Birds may get on happily together for months until one becomes sick, and as he crouches in a corner with ruffled feathers the others pick on him and finish him. The same is true of mammals, the sick one being horned or tramped to death by the mate with whom he had formerly been on most friendly terms. The keeper often reports an animal “killed by its mate,” whereas the mate has only given the coup de grace.

This brutality is not universal. Rarely a parrakeet will stand guard over his sick and dying mate; and we have seen a ratel—of a ferocious family—stand guard over and resist the removal of his sick companion.

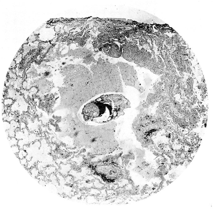
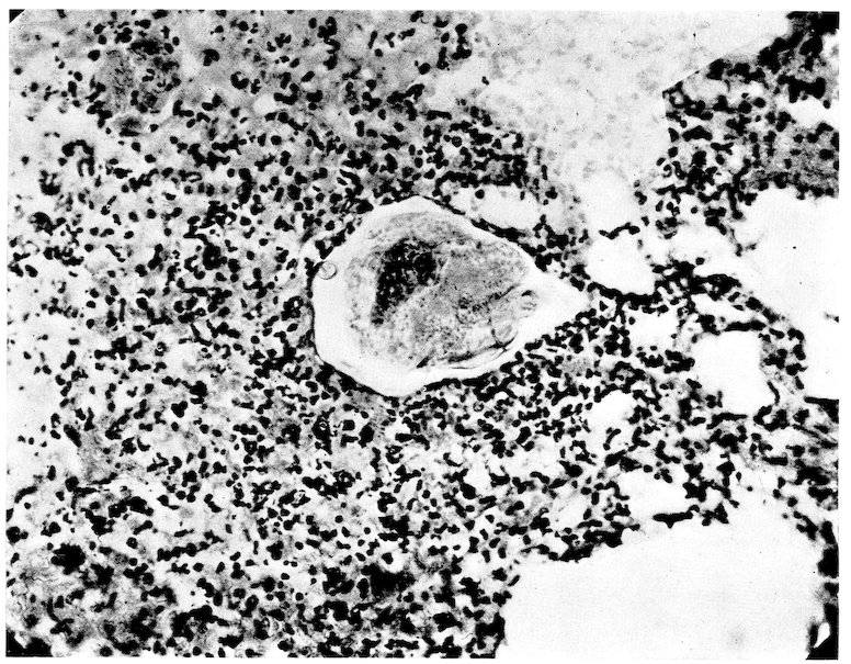
The diagnosis of disease in wild animals is unsatisfactory; usually impossible; clinical study as we know it in the human is impossible. We know that the animal is sick, but not why. A certain group of symptoms accompanies 15all diseases—dull, rough coat or feathers, refusal to eat, weakness in the hind quarters, and finally getting down. They rarely show symptoms of pain—or at least we cannot read the symptoms. The pain of acute pancreatitis in man is violent, yet many animals die with it and we cannot tell that they suffer. Animals do not suffer as much as the human, and they stand the ravages of disease better than the human. At autopsy we often wonder how the animal could have lived with the conditions that are found. A monkey may be apparently well until a few days before his death, though his lungs and abdominal organs may be a mass of tubercle. A small red howler monkey (Alonata seniculus) was in apparent good health, playful and lively until twenty-four hours before his death from acute pancreatitis, though his stomach and intestines contained fifty-one nematode worms, some of which were eight inches in length.

As diagnosis is unsatisfactory, so is treatment. Usually all we can do is to treat symptoms; and by the time disease has advanced to the point of becoming externally noticeable, it has usually gone beyond the reach of medical treatment. It must also be remembered that drugs vary very much in their action in different families of animals. Nux vomica will not kill the gallinaceous birds of North America, and Tenant says that in Ceylon the hornbill feeds on the fruit of strychnos nux vomica. The pigeon is immune to opium. The Felidæ are said to be unusually susceptible to carbolic acid; veratrum viride is harmless to sheep and elk, but poisonous to the horse; dogs can take with impunity large quantities of cyanide of potassium. These statements are true when the drugs are administered by mouth—the usual way of giving them to wild animals. The action may be different if the drugs are administered intravenously or subcutaneously. Variations in effect when they are administered by mouth are often due to chemical variations in the digestive secretions. It is probable that the action of cyanide of potash 16on dogs depends on the amount of hydrochloric acid in the digestive tract.

When worms or their eggs are found in the stools vermifuges are used, and with some animals especially liable to infestation by intestinal worms, periodic doses of vermifuges are given as a prophylactic. Turpentine is given to the zebra at fixed intervals for the round worm; santonin, male fern and areca nut to the carnivora for the various worms that are so common in the intestinal tracts of these animals.

The work of the Laboratory of Pathology is throwing light on the subject of diagnosis, and though from the character of the clinical material diagnosis can never be as satisfactory as in the human, yet we may fairly hope for improvement. Prophylaxis is our chief reliance, and always will be.

17
DISEASE IN CAPTIVE WILD
MAMMALS AND BIRDS

SECTION I
INTRODUCTION

“We have also parks and enclosures of all sorts, of beasts and birds; which we use not only for view and rareness, but likewise for dissections and trials, that thereby we may take light what may be wrought upon the body of man.”

The purpose of a menagerie under the auspices of a zoological society can scarcely be put into better words than those found in this quotation from Sir Francis Bacon’s New Atlantis. Apt as this description of the mythical island’s collection may be, it is but a reflection of the teachings of Plato’s original legend of a perfected community, and the practical applications of these teachings by Aristotle in his Anatomy and Physiology of Animals. The history of human study shows a constant investigation of lower forms of life, ever broadening in its scope, ever more satisfying in its explanation of biologic problems and ever increasing in value from an economic standpoint.

If, however, all animals are to be subjected to “dissections and trials” there inevitably will come under observation many specimens presenting variations from the accepted mean or standard or even from an average for their kind and therefore approaching what may be called pathological.

The desire to explain the abnormal has had the effect, during the half century since Virchow defined cellular pathology and Darwin systematized the world’s knowledge of comparative biology, of directing attention to comparative pathology and of stimulating the study of 18veterinary medicine. Moreover in the past twenty-five years much work has been done and many isolated publications have appeared upon the diseases of wild animals, notably Bland-Sutton’s work, Evolution and Disease (1895), a thoroughly scientific and most charmingly written book, but rather elementary in its approach of the subject of pathology, and Wood Hutchinson’s Diseases of Animals, a more or less popularly presented treatise. I am unaware, however, of any systematic monograph upon the subject wherein we may find data showing the character of pathology in the various animal groups or the incidence of the various lesions. The reports of some zoological gardens contain the result of medical and pathological data collected for the report period. The publication of greatest merit and value is that from the Zoological Society of London, whose huge collection studied by a large official personnel makes it possible to present valuable data. The New York Zoological Park uses its material in a similar manner and has been able to explain some of the knotty problems so frequently met in wild animal collections.

Here at Philadelphia it has been our practice now for twenty years to perform an autopsy upon every mammal and bird that dies, and upon all of the large or important reptiles. There is no aquarium connected with the Garden. The office of the society keeps a record of the arrival and a general description of every animal so that a brief history of the specimen is usually available. The keepers are required to observe their charges regularly and closely and to report any abnormalities to the officials of the Garden. Somewhat detailed discussions upon signs of sickness will be given at appropriate places, where also a few remarks upon treatment will be included, but as this work is not intended to be a treatise on therapy and since this subject does not differ from that referable to domesticated animals, little space will be devoted thereto. Upon death a complete autopsy is performed and the 19findings are recorded upon a printed form from which, when the histological, bacteriological and parasitological studies have been completed, a set of cross index catalogue cards are typed; these are divided into the principal diagnoses and determinations. The report of the Zoological Society, appearing at the end of their fiscal year, February 28th, contains a résumé of the observations for the year, together with notes of interesting cases and experimental work.

There have accumulated the records of nearly six thousand autopsies and upon them as a basis has been founded the following report of the incidence and nature of pathological manifestations in the various animal groups, using also as additional data, published reports from other gardens. The book might be described as a collection of our studies, parts of which have appeared as separate articles, but most of which are entirely new, put together with as much connection as the subject matter will permit. The zoological and pathological literature has been consulted very extensively, but except for the reports of zoological societies and the publications of special students, it usually represents isolated notes by travellers and veterinarians so that many articles may have been overlooked. Therefore no claim of perfect completeness of reference is made, the statements resting chiefly upon our own records. The subject will be approached from the standpoint of description and incidence, but it is inevitable that comparisons and contrasts must be noted.

Into the realm of evolution[1] I shall not venture because I appreciate a lack of adequate preparation for such an attempt, and because, even if such were not the case, the material at hand is lacking in data upon fishes, many kinds of reptiles and invertebrates.

20A direct and practicable application of these data will be in the direction of explaining some of the pathological states in domestic animals and man. There are indeed many disease entities or syndromes in these groups for which no useful hypothesis has been advanced, while for others a partial explanation has been offered, usually, however, inadequate wherewith to form the basis of rational prevention or therapy. Thus, for example, essential emphysema seems to be limited to the animals of civilization; on the other hand, the anatomical basis of exophthalmic goitre may be seen throughout nearly the whole animal kingdom yet the clinical phenomena belong characteristically to man, and are occasionally seen atypically in the dog. While it may be impossible to give a complete comparative anatomy and physiology for each of the pathological states, the attempt will be made to treat all subjects analogically through the zoological orders.

The experimental pathologist may find the records of the Garden useful in his work. For example, he can know that rodents are not prominent among the orders showing spontaneous arteriosclerosis, but that nephritis occurs among them in about a quarter of natural deaths; or he may learn that the Primates have a good cardiac reserve while the Marsupialia have not. Too often experimental work is not based upon facts including natural probabilities.

A collection of pathological data such as is presented in the following pages may be of assistance to veterinarians and managers of zoological gardens in the diagnosis of sickness in animals, both wild and domesticated. We do not presume to offer a system of veterinary medicine, but it is possible to introduce certain objective findings of practical hygienic and therapeutic value. Such observations are, however, limited and in our experience at the Philadelphia Garden the diagnosis of disease in a wild animal, excepting of course those which are perfectly 21self-evident, is more often speculation and conjecture than at all well grounded. It is not uncommon for animals to come to autopsy presenting a perfect galaxy of abnormalities, yet the closest antemortem observation failed to reveal unusual conduct or appearance. On the other hand specimens are frequently opened whose organs fail to contain any lesions discoverable even by careful study. Dr. Henry Chapman, sometime prosector to the Society, once made a remark in this connection—“Why do they die or how can they live so long.” Space is given to this phase of the observation of wild animals in order to emphasize the difficulties of interpreting their conditions, but of course it should be understood that certain data of value may be gained by close attention to the details of their normal behavior and to changes which occur indicating that something is wrong.

The naturalist and the trained animal keeper are, in our opinion, better judges of a wild animal’s condition than is the veterinarian, unless he be at the same time a zoologist and have long experience with a menagerie. My own observation of dogs and horses leads me to think that more acumen is needed to interpret the actions of wild animals since they seem to have greater natural reserve, and of course in regard to them there are many more variables since we see fewer specimens of each species than we know familiarly among domestic varieties. The principal objects for observation are, as in veterinary medicine, the eyes, the hair and skin, the mucous surfaces, the droppings, the condition of the abdomen, the appetite and the desire for water. Physical examination is limited to tractable beasts and those which can be caught and handled without danger to the personnel or unusual fright and damage to themselves. In the interpretations of physical signs in tractable animals, such as many ungulates and some monkeys, the experience of the trained veterinarian is of the greatest value, but this fails amongst carnivores and birds. It might be 22said that anesthetics could be used for a thorough examination, but this would be undesirable for a seriously sick animal and it is, in our experience, none too safe a procedure although often perfectly practicable. Animals do not like to be molested much as they may seem to enjoy attention, and when it is possible it is our practice to avoid handling them.

It might be contended that observations upon diseased states in captive animals would not represent natural developments, in other words, not that which occurs in the wild. Such indeed may be true in regard to the infectious diseases, but since we are imperfectly informed as to the pathology of the wild state, we are obliged to accept and use the best substitute at hand. Moreover it seems perfectly fair to consider as characteristic for an animal or group, the physical and even physiological expressions of morbid agencies as we know them, even though the animals be at the time under conditions not natural to them. It would be perhaps incorrect to say that cirrhosis of the liver occurs in .6 per cent. of animals in the wild as is the case for our autopsies, since incorrect food and infections are potent in its causation; on the other hand, our experience and some few data from naturalists and pathologists make it conceivable that tumors occur to this number in native states. The incidence of tumors in wild rodents is quite well known. Degenerations and fibroses, the result of parasitism, are known to exist throughout the entire animal kingdom. Further to illustrate how pathology is distributed in wild life, Plimmer’s experience[2] with 500 rats (M. decumanus) might be cited. He found the following: Tubercle 3 times, tape worm cysts 10, Tryp. lewisi 49, empyema 2, tumor of jaw from old injury 1, pleuritis and hydrothorax 1. Bacteria were found in 71 rats, 40 times in the lungs, 31 times in the spleen; saccharomyces were found 16 times in the lungs. Dr. W. L. Abbott reports to us personally that he 23has repeatedly found coiled exproventricular worms in the wild specimens he has collected. Not only are we informed of some isolated and individual pathological states but the existence of epizoötics of communicable disease among wild life is well authenticated. The simple citation of the extermination of deer in one section of Colorado by pleuropneumonia will suffice to illustrate this point. Other examples are, however, interesting. The occurrence of changes in the jaw bone almost certainly those of actinomycosis is reported by Blair, the specimens being shot in the wild and believed never to have been near civilization. The white-tailed deer of the Swan River Valley in Montana, are known to be constant carriers of liver-flukes.

It would seem therefore that it is not unfair to use material gathered from animals under somewhat unnatural conditions as representing the reaction of the zoological orders to pathogenic agencies. Such conclusions must however be made very guardedly, for it is probable that not over ten per cent. of the total number of mammalian and avian species are to be observed in captivity. Because of the number of orders and the great variety of genera included in the present study it is probable nevertheless that the lesions are fairly representative of the whole animal kingdom.

However, the numbers and percentages given should be read to indicate the probabilities and should not be interpreted as implying the mortality relationships since different varieties have differing powers of resistance to the same pathological state. The margin of safety in any given group for one or several different disease entities cannot at present be stated with any degree of precision but this factor is doubtless very great. The work of physiologists suggests that there is a reserve power in the human lung sufficient to sustain life until five-sixths of the functionating organ is useless, and 24I shall quote a case of an opossum wherein only one-tenth of the respirable surface seemed to have remained; we have repeatedly seen both lungs of a monkey apparently entirely solid. Such physical vital incompatibilities might be exemplified by many other cases, but when one reviews the physiological margin of safety, inexplicable and contradictory instances are equally numerous. I have seen a male deer run a doe against the fence and butt her, without result, whereas in an apparently similar occurrence the animal would be dead in a short time. Numerous instances of slight enteritis of a short stretch of duodenum or ileum have killed, with almost nothing to be found microscopically, and on many occasions we have been chagrined in being unable to discover the cause of death. The capacity of self-healing is a variable one, but seems in direct proportion to the quietness and seclusion possible for the animal and inversely to the chance of bacterial infection.

The effect of captivity has been the subject of much speculation. For the preservation of health it would seem that animals require periods of rest and activity, thorough elimination, possibly a moderate exercise of their procreative functions, but most of all, appropriate food obtained by the physical effort we term chase. All but the very last condition is supplied in a measure in well managed collections. The degenerating effect of the absence of chase must be admitted. An interesting and suggestive example of this was noted by Mr. Jones at the London Zoological Gardens. He observed the skull of a lion that had been in captivity thirteen years, in which the canine area of the face and the part of the skull acting as the insertion for the seizing and holding muscles had undergone atrophy while the chewing muscles with their bony bases had remained normal. Numerous examples of disease atrophy are on record and those of a physical nature must have counterparts in the realm of physiology. The size to which an animal will attain 25cannot be estimated by the examples seen in menageries. Judging by the accounts of collectors and hunters and upon the more reliable of the moving picture displays of wild animals in their native haunts, it would seem probable that under normal conditions of habitat the average size of wild beasts is considerably in excess of that in park specimens.

The effect of captivity may also be felt in the direction of reduced resistance to infectious diseases. Brooks, of the New York Park, expresses the view that captivity increases susceptibility to bacteria and causes parenchymatous degenerations. In the latter direction it is interesting to learn that Seligman of London claims to have seen sudden deaths in wading and struthious birds from myocardial disease, without valvular or other lesions, for which he holds the enervating effects of captivity responsible. It is well recognized that a species may be unusually susceptible to a disease that it has not encountered in its phylogenic development. Man illustrates this peculiarity very clearly. Europeans were found exceedingly susceptible to sleeping sickness when they went first to the part of Africa inhabited by the tsetse fly, and the American Indians died in hordes when they met the tubercle bacillus for the first time. Judging by the ravages of tuberculosis in captive monkeys a similar susceptibility probably explains the matter for there are no entirely satisfactory records of this disease among them in the wild state.

In so far as general susceptibility to infection is concerned, it may be in part due to one of the artificial conditions of captivity, that of inbreeding. This influence is undoubtedly very great, both by chance in families, and by intention on the part of dealers as well as the mating which occurs in menageries. However, it is not known how far inbreeding may go in the wild state so that one must be very careful about drawing conclusions in this particular. Several years ago, at the time we reported 26the neoplasms found at the Garden, discussion arose as to the effect of inbreeding, and thereafter some observations were made in this direction. With the exception of the hyperplasias of the thyroid, not certainly of neoplastic nature, in a much mixed-up family of wolves, we could find no evidence that inbreeding was responsible for tumors. Plimmer and Murray of London, seem to imply that some of their inbred animals are likely to have tumors; reference to this matter will be made later in this book. In so far as diseases of the organic systems are concerning those of the bones seem to be the only ones in which inbreeding is significant.

The individual resistance will be reduced of course by the unsanitary surroundings incident to trapping, shipping and storage, but this need not affect the figures or pathological tendencies of classes or orders.

The effect of captivity is felt in another way. A very large percentage of wild life perishes during the first weeks or months after its capture, and in gardens the heaviest mortality occurs among the recent arrivals. The London Garden figures that from thirty-three per cent. to fifty per cent. of their total mortality is in animals that have not been in the garden six months and that die because they are not yet accustomed to their new surroundings. It seems to us, both from an academic and a practical standpoint, that this is a long time and should afford ample opportunity for the garden to study the specimen and for the specimen to become acclimated. These early deaths are perhaps to be ascribed in large part to failure of acclimatization but many are doubtless the result of infection acquired in the wild, in transit while in the hold of vessels, at quarantine, or in trains, or at the establishments of dealers. We have seen a few deaths which have followed behavior that might be likened to homesickness. Perhaps the age at arrival has an influence upon the morbidity and mortality of wild animals, for it is easily 27conceivable that the young and the very old might adapt themselves to new surroundings with much less readiness than the sturdy middle-aged adult. The age of animals upon arrival is very rarely known, and can only be recorded as “young,” “fully developed,” and “old.” This will have an effect upon statistics and when possible is noted in the text, but this is not practicable to the extent we desire. The meaning of “young,” “adult,” and “old” is not the same throughout the animal orders nor even within orders.

Mitchell[3] has attempted to gain concrete ideas of the expectancy of life among animals by analyzing the records of the London Gardens. This gentleman bases his figures upon known ages and the length of time in captivity, from a combination of which data the specific viability and the potential longevity may be estimated. Such results, he admits, can only be approximate and they show within classes and orders, a decided lack of uniformity. The terms “specific” and “potential” longevity, coined by Sir Ray Lankester, apply, for the first, to the average length of life as it is affected by external conditions and those incident to procreation, while, if an animal be under ideal conditions it will attain the potential longevity which is longer than the former. These considerations have a biological and economic importance, while a knowledge of the pathology shown by the various groups may help to explain these durations of life. Contrariwise figures of the expected longevity may assist us in evaluating youth and senility in the causes of death but can hardly affect the comparative nature of the lesion.

A résumé of Mitchell’s studies indicates that the higher apes have a potential longevity and a hardihood much less than man but still upwards of thirty years. As one investigates lower in monkeys, life periods become shorter, while in the next order, Lemures, the length of 28life rises. Carnivora have a reasonably good vitality, their potential periods varying from ten years in the foxes to thirty-three years in bears. Insect eating animals are short lived, three years being a maximum. The Bat family shows great variations, the greatest life being not over seventeen years. The Rodentia have long lives compared to their sizes—twenty years in porcupines, fifteen years in squirrels, thirteen in marmots, nine in agoutis and capybaras, and three in dormice (which is also about the maximum for the rat). Hyraces live four years on the average. Proboscidea, although reputed to live to great age, probably rarely live a half century and may be said to have an expectancy of twenty to thirty years. Perissodactyla (horses, tapirs and rhinoceroses) while they may live half a century, have an average life of between fifteen and thirty years. The closely related Artiodactyla fall into two groups, a first comprising antelopes, sheep, goats and deer which rarely exceed seventeen years, and a second consisting of cattle, camels and giraffes, which vary in expectancy from eighteen to thirty years. The smaller members of the Ungulata have in relation to size a relatively greater viability, the ruminants, however, having on the whole a low viability. Marsupials vary from a maximum of seven years in the opossum to eighteen in the wombats, but none of this group has a good viability. The Aves as a class or if compared according to dietary requirements, have longer potential ages and better viability than mammals. Passerine birds average twenty years and many live to sixty, while the Picariæ approach the former figure but do not have such good viability. Psittaci and Striges may live a half century but the resistance of the latter is much reduced by any unfavorable surroundings. The raptatory birds live fifty years, but their viability is variable. Herodiones have a maximum expectancy of thirty years and good resistance, while their relatives, Steganopodes, may live fifty years, and Odontoglossæ have a good 29viability, up to twenty years. Anserine birds may live to be fifty, and, unless conditions are quite unfavorable, have a good resistance. Columbæ may under good conditions live to be fifty. Gallinaceous birds may only be expected to survive twenty years, a figure also given for Fulicariæ. Alectorides may live up to fifty years. Limicolæ, though they do not thrive in captivity, may live thirty years. Impennes live poorly under artificial conditions, the greatest record being twelve years, a figure also holding for Crypturi. Struthiones, if the conditions be right, may live fifty years.

Because of the variable specific longevities, it is frequently difficult to decide when an animal is senile. Man is said to be as old as his arteries, and his span of life nowadays is in the neighborhood of half a century. Parrots exhibit lesions of the vascular system comparable to the arteriocapillary fibrosis of human beings, and their expected longevity is about the same or a little greater. From a study of our cases of this lesion in parrots it can be said to appear quite early in life and not to lead to organic disease as it is alleged to do in man. It is, however, interesting to note that in those animals which are supposed to have the longest specific lives—elephants, snakes, anserine and raptatory birds, parrots—there is relatively low mortality and fewer infectious diseases are encountered. The last part of this statement should be qualified by stating that anserine birds and parrots are quite susceptible to mycoses, in all probability from musty food, which raises their death rate, but as this is accidental and artificial, it can be excluded from consideration.

In a rough way there is a direct relationship between the size of an animal and its longevity, but this is not close enough to be a reliable guide; whales and elephants live a long time, but so do snakes and parrots. Within orders this relation of size and expected longevity is more easily seen but is not absolute. I cannot state, according to my 30present studies, that there is an unqualified relationship between the size and expected longevity of an animal and its pathological lesions.

The immediate surroundings and the management of captive animals have a very direct and important bearing upon the mortality and perhaps upon the incidence of morbid processes but probably not upon the character of the latter. A full knowledge on the part of the personnel of a zoological society concerning the habits and habitat of every animal in their keeping is essential, to which must be added a group of interested keepers. In engaging the last, it should not be forgotten that certain men have “a way” with animals and that others cannot manage themselves.

The enormous literature at the disposal of the naturalists permits executive officers to formulate a plan of housing and feeding with fair accuracy for each kind of animal, but of course it is rarely possible to obtain in sufficient quantity the natural food (e.g., ants for anteaters). In so far as food is concerned it seems that with a few exceptions like the one just mentioned, the substitutions made at the zoological gardens are nearly satisfactory. The elements in which the captive diet is poor are the inorganic salts and vitamins since Dr. Corson-White, some of whose work is included in a later chapter, has shown that for those animals which our statistics indicate as most prone to have rickets and osteomalacia, the available phosphorus and calcium are low, and one vitamin was also below the desired quantity. In this regard, however, I am not at all convinced that diet alone will suffice to explain these degenerative osseous diseases; I shall take this up more fully later. Careful inspection of all food should be made and cleanliness (sifting of cereals, protection of meat from flies, etc.), is indispensable. The mortality among our carnivora has materially decreased since the horse meat after butchering was placed in covered galvanized iron pans. There 31are many problems of feeding, too numerous to be covered in a survey of this sort, which must be solved, and it is a credit to superintendents that this they have studied carefully.

There are two problems in the management of animals upon which much difference of opinion exists, namely the heating of houses and the material of which cages are made. It seems to be the practice in many gardens to keep animals very warm. Dr. Chalmers Mitchell states unqualifiedly that adult animals do not have to be kept warm, and that even an equable temperature is not demanded, variations in temperature having a distinctly stimulating effect. However he maintains that they should be kept dry and must be supplied with a shelter. This is in accord with the experience at the Philadelphia Garden, since for many years we have allowed access to the open air all winter to every animal that could stand it. A large group of macaques has now lived entirely in an open “band stand” cage for nine years with a lower mortality than in the rest of the monkey collection, which is permitted to go indoors some of the time. Occasionally one in poor health is frozen to death, and healthy ones may lose fingers, toes, or a part of the tail, but the general condition is so much improved that they present an attractive exhibit to visitors. Unless a storm be of great severity, wild animals are usually indifferent to it although they may seek their shelter. Snow apparently is no source of fear to them, and many enjoy playing in it. The general principles of the enclosure should be proper lighting, free access of air, dryness and shelter in time of storm, the last so arranged that the sleeping place is well protected. Appropriate arrangements should be made for nocturnal animals, regardless of their visibility to visitors, if their preservation is of importance.

The hygiene of communicable disease has influenced everyone to use concrete and metal for cages. These substances 32are without doubt most simply kept clean, but they are heat-conducting and remain cold or damp longer than wood or the ground. It may be claimed that the latter two cannot be disinfected so well, but this need not militate against their use. Wood can be disinfected by sunlight or by mechanical cleaning plus disinfectants, by a blast lamp and by paint. The ground will disinfect itself if allowed to lie fallow for a time, or it may be turned over after sprinkling with lime. It is fair to note that the New York Zoological Garden reduced their mortality, especially from verminous pneumonia, by changing some deer herds to concrete paved enclosures; if that were the only change made the result would be very significant, but it should not be forgotten that another clean ground range might have served as well to a herd from which the infected ones had died. My own observations with guinea-pigs, rabbits, mice and dogs lead me to believe that they thrive and breed better on wooden floors than on metal or stone.

I have tried to work out figures to show that more animals die when housed in enclosures of stone and metal than when upon the earth or on wood, but the attempt has been unsuccessful chiefly because of the presence of epidemics and parasites, principally among the birds. The attempt was further embarrassed because some members of an order are housed on both floorings. However, there was no great advantage for the metal and concrete floors even after the epidemic had been discounted. This Garden does not have a great number of pneumonias, a disease said to be favored by dampness and cold, but those that occur are chiefly among the small mammals, on wooden floors and in the large bird house in cages of concrete and metal. However, the construction of both these houses permits the visitors to approach very close to the cage, a factor that doubtless explains the disproportionate incidence of inflammation of the lungs. In so far as outdoor fowl and ungulate ranges are concerned, they 33should be changed frequently under the best conditions since occasionally one will find groups doing badly until moved. Moreover the ground becomes contaminated with parasites such as esophagostomum and heterakis, infestation with which while not very serious in itself, may lead to fatal infection with bacteria.

The effect of animal parasites upon the morbidity and mortality of wild beasts and birds in captivity is by no means clear, and Doctor Weidman and I are inclined to be sceptical, with certain reservations of course, of their great importance in the death rate. Doctor Weidman has kindly agreed to contribute a chapter upon the general distribution of protozoal and metazoal parasites with a summary of their probable pathogenic importance.

The groups known to have a decided pathological power might be divided into the toxic, the tumor formers and the mechanically obstructive; certain parasites have properties placing them in two of these classes. The first group comprises the hemosporidia and hemogregarines, the uncinaria and some of the cestodes, forms which produce hemolysis and hemorrhages with varying grades of anemia. The importance of this group is shown chiefly among the Aves, in which high grades of anemia are occasionally met from malarial infections, but cats and dogs or even herbivores also frequently suffer from hookworm. The tumor-producers are chiefly echinococcus worms, the cysts of which may grow large enough to occupy nearly the entire abdomen. A certain grade of anemia and general ill health accompany this hydatid disease, partly the result of a toxin and partly by damage to important viscera. Those parasites which obstruct mechanically do so by their own bulk or by an accompanying inflammation, incited by them as foreign bodies or by bacteria which have gained entrance at the irritated point. This is exemplified by the enormous collection of nematodes sometimes found in reptiles (a pailful was removed from a python) and by the tightly coiled or 34tangled thread and tape worms frequently found in birds. The effect of swelling by the mucous membrane under the influence of worms is illustrated by the infestation of the proventricle in parrots. Here spiroptera penetrate into and under the glandular layer which swells and pours out mucus, the total mass of nematodes, mucus and tissue obstructing the passage.

Very many animals show parasitic infestation at postmortem, but the percentage in which they can be said to be principal causes of death is quite small, while that in which they play a rôle as activator of the terminal condition is also small but indeterminate. The latter group comprise, together with the anemias mentioned above, certain forms of pneumonia, of hepatic and vascular lesions. Inflammations of the lungs from ascaris and paragonimus are fairly well known; fortunately we have been troubled less with this than have most gardens, possibly because we do not have such large herds of herbivora susceptible to it. Hepatic diseases from flukes, from coccidia and from amœbæ we have always with us in small numbers, but they are unimportant excepting enterohepatitis, a condition which appears in nearly all orders. This last disease, be it purely amœbic as in dysentery of man and monkeys, or like blackhead of turkeys and chickens or in the forms of quail disease, arrests the attention at once and evokes a desire to explain the association of large intestines and liver. Parasitic vascular lesions are relatively unimportant.

Taking parasitic infestations by and large, there are close similarities throughout the entire animal kingdom, and the effects produced by a given genus will be repeated almost exactly in several others. The pathological pictures of anemia, of hepatic degeneration, of cystic degeneration, of colonic ulceration or of fibroses are similar in different hosts, only slight variations in the type of inflammation being noted, for instance in reptiles and birds as against the mammals. We have made rather close 35observations upon the effect of parasites in the production of neoplasms, incited by Fibiger’s discovery of nematodes in the rat’s stomach cancer, but, with the possible exception of a papillomatous growth in the stomach of opossums from the action (?) of physaloptera, we have been unable to establish such an etiological relationship. A decision of the importance of parasites in any given case is not without its difficulty, and we are inclined to reserve judgment pending further analysis unless the effect of the invaders is unequivocal. Leiper[4] does not seem to credit animal parasites with a great effect on the mortality after a specimen has been in the collection six months since all the intestinal varieties he studied came from animals dying in that period. On the other hand the forms which invaded the internal organs and tissues were, in his series, from specimens resident several years in the garden. He seems to think the conditions of life at the garden favor the expulsion of intestinal worms. To what extent some intestinal worms may be commensal remains as uncertain as the value of certain bacteria in the gut tract. In man considerable importance has been ascribed to certain fermentative and putrefactive germs in the maintenance of a reaction unfavorable to strict pathogens and some observers have looked at them as possessing a digestive power. In the digestive tract of the animals eating large quantities of carbohydrate as cellulose, nature provides for its use by rumination and by supplying a large hind-gut, by which means secondary mastication and bacterial decomposition of the cellulose capsule insures its full use. Possibly a similar usefulness may be finally ascribed to some animal microbes or even larger metozoa.

The rôle of vegetable parasites in the causation of disease among wild animals seems as undoubted as it is in the human being and the pathologic results are usually as 36clear, at least for the entities of which we have exact data, based upon comparisons with man and domestic animals.

There seems to be no essential difference among mammals between the pathological pictures of infectious septicemias, the mucous and serous membrane inflammations and tuberculosis for example. They are characterized by fibrinous, purulent or infiltrative inflammations which may go on to necrosis or repair, by fever, by leucocytosis and by evidences of resistance—all of these things occurring in a similar way throughout the class. Of course not all animals are receptive to all infections since specific racial and generic immunities exist, but the basic response in terms of pathology is similar. There are no normal means of judging the susceptibility of wild animals on their native heath to the important pathogens of civilization, pneumococci, streptococci, staphylococci, cholera bacilli, the typhocolon group, the Friedlander group and others, but it is interesting to note that in captive conditions they evince some receptivity to these germs or their congeners. The pneumococcus takes a fairly heavy toll in zoological collections every year and the Friedlander bacillus, not a very common cause of human pneumonitis, has been seen here and at London.

Among the birds, however, quite distinct differences in some pathological processes occur, not only from the mammals but also within the class. As a whole birds do not produce pus as we know it in man, probably because of the absence from their leucocytes of a protein-splitting ferment; their leucocyte-producing organs do not seem to respond as readily to a virus, the place of purulent exudate being taken by a coagulum or necrosis. The former varies from a clear gelatin-like material seen upon serous surfaces to a thick mat or mass of coarse but short fibrinous strands. Necrosis may succeed upon the latter or occur so promptly as to appear like the original form of 37degeneration. It is usually rapid, accompanied by a circumferential congestion but not associated with active phagocytosis. Giant cell production is variable, but when developed the appearance is like that of large syncytia. Hemolysis is not marked in the simple infections but a hyperplasia of the mononuclear nodes of the liver is the rule. The function of this nodal increase is not quite clear. It has been always thought that the scanty bone marrow would supply the necessary erythrocytes, but we have seen these mononuclear areas full of pale red cells fitted with round nuclei and without pigment. The fibrin mentioned above does not have the delicate interweaving that we know in a fibrinous exudate in man. This is interesting when we consider the composition of the blood and its coagulation in the Aves. The cell upon which human coagulation seems to depend, the platelet, is represented in birds by the thrombocyte, which appears only up to about 50,000 per cubic millimetre. Coagulation time is relatively short and the resulting clot is firm and irregular. Perhaps this may have something to do with the nature of an inflammatory exudate.

The response to infection on the part of birds may to some extent depend upon differences in anatomy, which are quite distinct, not only from the mammals within which class the anatomy is more uniform, but also from one avian order to another. These differences among the birds may be exemplified by the large foramina between lungs and air sacs in the water birds, a passage which permits infection, notably mycosis, to spread from the first to the second. Again the close apposition of the pancreas to the duodenum over a long stretch permits easy infection of the former from the latter. Still again the large renal-portal vein in the gallinaceous birds explains some of the infections of the liver secondary to intestinal disease. The position of the lungs, deep in the thorax and fitted into recesses made by the sharp anterior border of the ribs and overlaid anteriorly 38by a rather firm air sac wall, makes it difficult for these organs to expand and therefore renders even a simple congestion a dangerous thing. The position of the ovary subjects the shell-less egg to much danger from the intestinal area.

These and many other peculiarities of anatomy affect the pathological picture in birds. To be sure there are also noteworthy differences among the Mammalia, notably in the intestinal and genital tracts, but the pathologic response is not so varied as in the birds. When due allowance is made for the kind of stomach and absorptive area, apparent differences can be reconciled. For example, there is little confusion experienced in comparing acute erosive gastritis or the follicular enteritis of an omnivorous intestinal tract (man or pig), of a sacculated stomach and absorptive tract (the marsupial), of a carnivorous gut (cat) or a herbivorous compound stomach with its long digestive and water-absorbing surface (cow or camel) and an expansive muscular organ with a very extensive digestive area (seal). The type of lesion seems the same, in that inflammation, pus, necrosis, granulation tissue and cicatrices are comparable throughout the series. The size of the hind-gut has been taken by Metchnikoff as an indicator of the possibility of intoxication by degradation products of digestion. He believes that the capacious colon of herbivora and the short small one in carnivora explain the relatively greater life in the latter, because here less stagnation and absorption can take place. A reference to the expected lengths of life given before hardly substantiates this, and in our later chapters there will be found no strong indication that animals with large colons suffer with degenerative visceral changes more than those with small ones; nay even the reverse may be found true.

In regard to epizoötics the behavior of man and lower animals is similar except perhaps that during an outbreak a smaller percentage of the latter give evidence of individual 39immunity and whole groups are apt to be carried off. Occasionally hygienic measures stay the ravages, at other times nothing seems to avail. Fortunately it is sometimes possible to sacrifice infective specimens and remove contagion. We have had few serious outbreaks, unless one might call our former heavy infection with tuberculosis in monkeys an epizoötic. The principal ones were an unexplained water fowl disease which carried off one hundred and forty-six birds, an imported epizoötic of quail disease which killed about the same number, a few cases of blackhead among wild turkeys, and a small group of cases of amœbic dysentery in monkeys and of thrush in passerine birds, and a small number of tuberculous pneumonias in snakes.

Pathology may be difficult upon an anatomical basis, but when we engage to explain functional physiological defects we are surely embarked, with a poor compass and weak rudder, upon an uncharted sea. One knows, of course, that all animals require the same amount of food elements per kilo of body weight, that man eliminates his nitrogen as urea and uric acid, that monkeys do the same, that most other mammals destroy uric acid and excrete allantoin, that birds and reptiles form uric acid but chiefly urates, that there is an adaptation of alimentary tract and diet, that herbivores have a high threshold for carbohydrates, that there is a variable quantity of enzyme present in different organs and in different animals, that vitamins, whatever they may be, are necessary for the growth of young animals, that hormones exist whereby correlations of parts are kept normal—but these things, rather than being learned thoroughly from animals, have merely been substantiated by comparisons with man. Constitutional diseases so-called, from which the necessity to investigate much of this physiology originated, are little known in the wild animal. Many cases of so-called gout have been encountered and we have seen an instance of diabetes in a fox, but more extensive 40experience is needed for definite practical comparisons. This applies to thyroid and pituitary disorders and to the vague conditions we have at times been obliged to call marasmus or inanition.

Some attention has been given to the study of diets for the wild specimens of our Garden, but no systematic observations have been made or records kept upon purely physiological subjects. Reference will be made at appropriate places to accepted comparative physiological facts, but our statistics permit additions to such knowledge only in a limited manner and in isolated instances. Doctor Corson-White has very ably summarized the diet, alimentary tract and physiology of the zoological groups with the pathology as found in our records.

A word might be added here as to the destruction of animals by injury from fighting and harassment by others in the cage. Fighting doubtless causes death, especially when males are together, but it is our experience that in cases of traumatic death search should always be made to see if the resistance of the dead animal had not been reduced by some disease. This is well illustrated in birds. Very frequently a specimen will come to autopsy with its head feathers plucked out, or with a billthrust in the wing or pelvic region. Such birds are not infrequently suffering from malaria, or heavy intestinal parasitism or from organic disease whereby the resistance and self-preservatory power has been decreased.

The foregoing survey of the approach to our subject reveals the multiplicity of factors which affect the study of comparative pathology. No one of them can be entirely omitted, no one is without some effect upon the origin and expression of disease, and no one is fully understood. Yet it is to be hoped that a study of our material, accumulated under routine conditions and uninfluenced by any experimental procedures, will demonstrate the natural response of various zoological groups to morbific agencies. Perhaps reactively some of the modifying 41conditions may thus be understood. It is also not unreasonable to expect that alterations observed as natural responses in a large number of specimens in nearly normal surroundings would serve as more reliable guides to investigative speculation than would changes in a few animals under artificial technical experimentation. We hope that the few facts we have been able to record may afford someone a basis for further biological studies. It is also to be hoped that something has been learned which in the end will afford an explanation of the diseases of man. Too great optimism in this direction should be guarded against because the human being is indeed an animal sui generis and, from the standpoint of normal conditions of nature, a wild animal.

The zoological classification found on pages 43–46 was compiled in 1903 by Dr. A. E. Brown on the basis of the British System. With a few exceptions the computations in the text are made on the basis of zoological orders since the number of specimens in families is often too small and the complications of so many different figures would be confusing. The tables will be found to correspond to the sequence of the classification. Dr. Corson-White has, however, used for her analysis the dietary groupings. A carnivore in her chapter implies strictly a meat-eater, in the rest of the book one of the zoological group Carnivora.

The Laboratory of Comparative Pathology at this Garden speaks for the earnest desire on the part of the Directors to use the material to its fullest extent, and I, acting for myself and my associates, wish to record our appreciation of the facilities offered to us for study, and for the broad-minded, scientific coöperation the Board has always displayed. The President, Charles B. Penrose, M.D., Ph.D., LL.D., was the active originator of the plan whereby this department was started, and he has given to it continuously the support of his rich experience. I wish to express for myself the deepest appreciation of his 42personal interest in my studies, and assistance which has been constructive and stimulating. Whether or not this present work prove useful to the extent that is hoped, the results from the Laboratory are such as to make the scientific world debtor to this gentleman.

It is a duty, and a pleasant one, to record, though unfortunately in memoriam, my association with Arthur Erwin Brown, A.M., Sc.D., Ph.D., C.M.L.Z.S., for many years the Secretary of the Society and Executive Officer of the Garden. Doctor Brown as teacher was ever ready to help in the broad subject of biology, and I am proud to recall that he guided me also as a friend.

The first director of the Laboratory was Courtland Y. White, A.M., M.D., who served from 1901 to 1906, retiring then to accept a position in the City Laboratory. The foundation of the recording system is still in use essentially unchanged from his plan, and is a credit to his foresight. Our clerk and technician, Miss Harriet M. Phelps, has served the Garden faithfully and well since 1906. The condition of the museum is very much due to her interest and watchfulness. Thanks and appreciation for her work are felt by every one, the author most of all. Dr. F. D. Weidman has been our first assistant since 1911, and his work on parasitology has been of the greatest value, practically and scientifically. It is to be hoped that we shall be able to retain him indefinitely. Dr. E. P. Corson-White has in recent years taken an assistant position with us, armed for the work with a thorough knowledge of applied organic chemistry and immunology, and has already obtained useful results.

43
ZOOLOGICAL CLASSIFICATION
         
MAMMALIA
PLACENTALIA
  Primates
    Simiadæ Anthropoid apes
    Cercopithecidæ Old World monkeys (macaques, baboons).
    Cebidæ New World monkeys (capuchins, howlers, spiders).
    Hapalidæ New World monkeys (marmosets).
  Lemures
    Lemuridæ Lemurs, Loris, Galagos.
  Carnivora
    Felidæ Cats
    Viverridæ Civets, Genets, Paradoxures, Ichneumons.
    Hyænidæ Hyena.
    Canidæ Dogs, Wolves, Foxes, Jackalls, Etc.
    Mustelidæ Marten, Skunk, Weasel, Otter, Badger, Etc.
    Procyonidæ Raccoon, Bassaris, Coati, Kinkajou.
    Ursidæ Bear.
    Otariidæ Eared Seal, Sea Lion. These are grouped separately as suborder, PINNIPEDIA, illustrating water carnivores.
    Phocidæ Common Seal, Walrus.
  Insectivora
    Tenrecidæ Tenrec.
    Solenodontidæ Solenodon.
    Talpidæ Moles, Shrews.
    Erinaceidæ Hedgehog.
  Chiroptera
    Pteropodidæ Fruit Bats, “flying foxes.”
    Vespertilionidæ Common bats.
    Emballonuridæ Snouty Bats, Free-tailed Bats.
  Rodentia
    Sciuridæ Squirrels, Spermophiles, Marmots.
    Castoridæ Beaver.
    Muridæ Rats, Mice.
    Geomyidæ Pouched Rats, “Gophers.”
    Dipodidæ Jumping Mice, Jerboas.
    Heteromyidæ Kangaroo Rats.
    Octodontidæ Capromys, Coypu.
    Hystricidæ Porcupines.
    Chinchillidæ Viscacha, Chinchilla.
    Dasyproctidæ Agouti, Spotted Cavy.
    Caviidæ Guinea-pig, Capybara.
    Leporidæ Rabbits, Hare.
  Proboscidea Elephant.
  Hydracoidea Cape Hyrax.
44  Ungulata
  Perissodactyla (odd toed)
    Rhinocerotidæ Rhinoceros.
    Tapiridæ Tapir.
    Equidæ Horse, Ass.
  Artiodactyla (even toed)
    Bovidæ Oxen, Antelopes, Sheep, Goats.
    Cervidæ Deer, Moose, Elk.
    Antilocapridæ Prong-horned Antelope.
    Giraffidæ Giraffe.
    Tragulidæ Chevrotains, Muis Deer.
    Camelidæ Camels, Llama.
    Hippopotamidæ Hippopotamus.
    Suidæ Swine, Warthogs.
    Tayassuidæ Peccaries.
  Sirenia Sea-cow, Manatee, Durong.
  Cetacea Whales, Porpoises.
  Edentata
    Bradypodidæ Sloths.
    Dasypodidæ Armadillo.
    Myrmecophagidæ Anteaters.
       
MARSUPIALIA
  Marsupialia
    Didelphyidæ Opossums.
    Dasyuridæ Dasyures, Tasmanian “Devils.”
    Peramelidæ Bandicoots.
    Phascolomyidæ Wombat.
    Phalangeridæ Phalangers.
    Macropodidæ Kangaroo, Wallabies.
       
MONOTREMATA
  Monotremata
    Echidnidæ Echidna, Ornithorhynchus.
       
AVES
  Passeres
    Turdidæ Thrushes, Robins, Etc.
    Sylviidæ Warblers, Kinglets.
    Paridæ Titmouse.
    Troglodytidæ Wrens, Mockingbirds, Catbird, Etc.
    Pycnonotidæ Bulbul.
    Crateropodidæ Babblers, Jay-thrushes.
    Oriolidæ Oriole.
    Motacillidæ Wagtails.
    Dicruridæ Drongos.
    Mniotiltidæ Chats, Warblers, “Woodwarblers,” Etc.
    Cœrebidæ Sugarbirds.
    Vireonidæ Vireos.
    Laniidæ Shrikes.
    Ampelidæ Waxwing.
    Hirundinidæ Martins, Swallows.
    Meliphagidæ Honeyeaters.
    Tanagridæ Tanagers.
    Ploceidæ Weavers, Whydah birds, Waxbills, Finches, Etc.
45    Fringillidæ Finches, Sparrows, Buntings, Grosbeaks, Etc.
    Icteridæ Hangnests, Troupials, Grackles, “Blackbird,” Etc.
    Sturnidæ Starlings, Mynahs.
    Corvidæ Crows, Jays, Magpies, Jackdaws.
    Alaudidæ Larks.
    Tyrannidæ Tyrans.
    Cotingidæ Bellbird, Cock-of-the-rock, Etc.
  Picariæ
    Upupæ Hoopæ.
    Trochilidæ Hummingbirds.
    Cypselidæ Swifts, “Chimney Swallow.”
    Caprimulgidæ Night hawk, Whip-poor-will.
    Coraciidæ Roller.
  Halcyones
    Alcedinidæ Kingfisher.
    Momotidæ Motmots.
  Bucerotes
    Bucerotidæ Hornbill.
  Trogones
    Trogonidæ Trogons.
  Scansores
    Picidæ Woodpeckers.
    Rhamphastidæ Toucans.
    Capitonidæ Barbets.
  Coccyges
    Cuculidæ Cuckoos.
    Musophagidæ Touracous.
  Psittaci
    Loriidæ Lories, Lorikeets.
    Cacatuidæ Cockatoos.
    Psittacidæ Macaws, Conures, Amazons, Parrots, Parrakeets.
  Striges
    Strigidæ Barn owl.
    Bubonidæ All other owls.
  Accipitres
    Falconidæ Buzzards, Hawks, Falcons, Eagles, Etc.
    Serpentaridæ Secretary Vulture.
    Catharidæ Vultures.
  Columbæ
    Treronidæ Fruit pigeons.
    Columbidæ All other pigeons and doves.
  Pterocletes
    Pteroclidæ Sand grouse.
  Galli
    Tetraonidæ Grouse, Ptarmigans.
    Phasianidæ Pheasants, Fowls, Turkeys, Quail, Etc.
    Cracidæ Curassows, Guans, Etc.
    Megapodidæ Brush turkey.
46  Hemipodii
    Turnicidæ Hemipodes.
  Fulicariæ
    Rallidæ Rails, Porphyrios, Gallinules, Coots, Etc.
  Alectorides
    Aramidæ Courlan.
    Eurypygidæ Sun bittern.
    Gruidæ Cranes.
    Cariamidæ Cariama “Crane.”
    Psophiidæ Trumpeters.
  Limicolæ
    œdicnomidæ Thicknees.
    Charadriidæ Plovers, Sandpipers, Curlews, Woodcocks, Etc.
    Chionidæ Sheathbills.
  Gaviæ
    Lariidæ Gulls, Terns.
    Stercorariidæ Jaeger Gull.
  Pygopodes
    Colymbidæ Loons, Grebs.
    Alcidæ Auks, Murrs, Puffins.
  Impennes
    Spheniscidæ Penguins.
  Steganopodes
    Sulidæ Gannets.
    Pelicanidæ Pelicans.
    Phalacrocoracidæ Cormorants.
    Anhingidæ Darter “Water turkeys.”
  Tubinares
    Procellariidæ Petrels, Fulmars.
  Herodiones
    Ardeidæ Herons, Bitterns, Egrets.
    Ciconiidæ Storks, Ibises.
    Plataleiidæ Spoonbills.
  Odontoglossæ
    Phœnicopteridæ Flamingoes.
  Palamedeæ
    Palamedeidæ Screamers.
  Anseres
    Anatidæ Swans, Geese, Ducks.
  Struthiones
    Apterygidæ Kiwis, Apteryx.
    Casuariidæ Cassowaries.
    Struthionidæ Ostriches.
    Rheidæ Rheas.
  Crypturi
    Tinamidæ Tinamous.
47
List of Animals subjected to Autopsy giving the number of each. These Figures are used to obtain the percentages quoted in the Tables and Text.
       
MAMMALIA      
  Primates 498  
  Lemures 86  
  Carnivora 481  
  Pinnipedia 20  
  Insectivora 6  
  Chiroptera 5  
  Rodentia 198  
  Ungulata 365  
  Proboscidea 3  
  Hyracoidea 7  
  Edentata 16  
  Marsupialia 175  
  Monotremata 0 1860
   
 
       
AVES      
  Passeres 1355  
  Picariæ 87  
  Striges 133  
  Psittaci 689  
  Accipitres 196  
  Columbæ 157  
  Pterocletes 0  
  Galli 299  
  Hemipodii 2  
  Fulicariæ 35  
  Alectorides 37  
  Limicolæ 6  
  Gaviæ 20  
  Pygopodes 0  
  Impennes 5  
  Steganopodes 21  
  Tubinares 0  
  Herodiones 98  
  Odontoglossæ 6  
  Palamedes 5  
  Anseres 317  
  Struthiones 32  
  Crypturi 5 3505
   

      5365
48

SECTION II
DISEASES OF THE HEART

The heart is an organ whose duty, throughout the two classes considered in this study, remains entirely identic, purely a physical one in driving the blood through the corresponding vascular system. The physics involved naturally differs between mammals and birds, but energy is derived from the automatic power lodged in the cardiac musculature. Whether this be neuromyogenic, as seems to be the case in all mammals, or purely myogenic, as is probably the case for the birds in which MacKenzie and Robertson[5] say there is no atrioventricular bundle, the result is the same, since in both classes there is some continuity of muscle fibres from auricle to ventricle. The gross anatomy varies little if any more than the physiology, albeit there is proportionately greater auricular capacity in the mammals than in the birds, and indeed there are differences within the classes which cannot now be readily explained; certain minor variations of valvular arrangement exist, such as the absence of the membranous light tricuspid in Aves.

When, however, one considers the cardiac power available for various animals, the subject becomes one of greater breadth and complexity, for no consistency obtains even within families, since the demand for cardiac strength will vary more with habits than with zoological relationships. Thus for example the domestic rabbit has a small heart volume while the wild hare has a great one. Although, of course, the size of an organ may not be an absolute measure of its efficiency (a flea’s leg muscle has relatively greater power than a man’s), yet size is the only physical gauge one has for estimating nature’s preparation for expected demand. Perhaps this 49will be shown later when after discussing the pathological anatomy of the heart in the wild mammals and birds, we can study these changes in light of statistics upon the relative size of the heart.

Expression of Cardiac Disease.

The diseases of this organ are known only by their physical effects, chiefly by causing physical or functional defects in other organs and to a minor degree by purely physiological irregularities in the heart itself (tachycardia, arrhythmia). All the latter and most of the former are subjects discovered by observation during life and unfortunately cannot be included in the study at hand. Both states are well known to the veterinarian who diagnoses them with reasonable ease in animals that can be handled; I saw one case of arrhythmia in a monkey for which no adequate gross morbid explanation was found postmortem. Some of these functional abnormalities are certainly caused by myocardial disease and cardiac failure has occurred among many orders. An interesting observation was made by Plimmer[6] on several large birds (ostriches, storks, cassowaries) which apparently died from this condition; at autopsy he found myocardial degeneration, or epicardial edema or only a flabby heart. Lack of exercise was held responsible by this observer. Such cardiac deaths have probably been encountered at this Garden but we have accounted them to shock, or gastrointestinal disease; this matter will be discussed on a later page.

Coronary Artery Disease.

If a degenerative sclerosis of coronary vessels be the cause of angina pectoris then perhaps paroxysms of this kind occur, for we have seen such anatomical changes in the heart of three widely separated varieties of animals, a Nylghaie, a Hamadryas Baboon, a Macaque, and a Brown Pelican. The history of these animals does not 50register anything resembling the clinical picture of angina pectoris in man, and they did not come to their death from the arterial changes in the heart alone since sufficient other pathology also existed.

Kinds of Pathological Change.

As an introduction to the strict pathology of the heart it might be well to outline the headings of the scheme upon which it seems desirable to study the subject. It is hardly profitable to take up seriatim the ordinary general pathological processes as discussed in systems of pathology for it is our purpose to show the distribution of basic aberrations from the normal in terms of zoological position. To this end one must consider the response of the heart (a) to damaging influences and (b) to a demand for increased work. In the first group come degenerations and inflammations, upon which may succeed an incompetency in the form of dilatation. The response of the normal heart to any physical demand greater than customary has usually been thought to lie in the direction of hypertrophy, but on occasion it has seemed to be in the form of dilatation, especially if the strain has been sudden and severe. Starling thinks that the primary and normal reaction of the heart to physical strain is always dilatation. The idea of hypertrophy must not be confused with an understanding of the relatively large hearts in animals whose habits demand great cardiac power, for then it is their norm and might be called “physiological cardiac hyperplasia.” I shall use the terms “increased muscle bulk” and “increased chamber space” as preferable to hypertrophy and dilatation; this also focuses attention upon the two features of an enlarged heart.

Degenerations and Inflammations.

Degenerative changes in disease are recorded in our system as amyloid, hyaline, fatty metamorphosis, granular and cloudy degeneration. While there is perhaps between some of these conditions and true myocarditis a matter only of degree, the records have been analyzed as filed and perhaps some lessons can be learned from the responses of the various zoological orders. In the accompanying Table 1 will be found the distribution of degenerative and inflammatory lesions through the zoological orders. The percentages speak for themselves but deserve as well some consideration from the standpoint of normal heart value; this will be taken up later after the other lesions have been discussed.

51
Table 1.
Table Showing Incidence, in the Orders, of Degenerations and Inflammations, or in Other Words the Response to Infectious and Toxic Agencies.
Heart of Degenerations Myocarditis Pericarditis Endocarditis Total[7] Cases followed by dilation Percentage in deaths per order
Primates 8 12 18   38   7.6
Lemures 1       1   1.2
Carnivora 19 14 11 10 54 5 11.
Pinnipedia 2 1     3   15.
Rodentia 5 7 6   16   8.
Insectivora              
Chiroptera              
Proboscidea   1     1   33.
Hyracoidea              
Ungulata 3 9 8 2 20   5.4
Edentata 2 3 1   7   44.
Marsupialia 12 5 6 12 33   19.
Monotremata              
               
Passeres 4 4 9 2 19   1.4
Picariæ 2 1 3     6 6.7
Striges     1   1   .8
Psittaci 10 7 7   24   3.4
Accipitres 2 19 8 7 36 1 18.3
Columbæ 2 1     3   2.
Pterocletes              
Galli 4 10 13 1 28 1 9.3
Hemipodii              
Fulicariæ 2   1   3   8.6
Alectorides   1 1   2   5.4
Limicolæ              
Gaviæ 1 1     2   10.
Pygopodes              
Impennes   1     1   16.
Steganopodes   1 2 1 4   20.
Tubinares              
Herodiones 1   1 2 4   4.1
Odontoglossæ              
Palamedes              
Anseres 16 17 11 6 50 1 15.7
Struthiones 2 3 5 1 11   34.
Crypturi              
Total 98 118 112 44 367 8  

In this and subsequent tables, figures in italics are for small groups of animals coming to autopsy, usually less than one hundred, and from which percentages may be misleading. The number of autopsies upon such groups may be found by consulting the list given on page 47.

52

Endocarditis, Myocarditis.

Romberg said in his classical work on the heart that there is always some form of myocardial disease with endocarditis. The 44 cases of valvular disease detected at this Garden are 15 of chronic nature, 29 of acute or subacute character. In the former, the chronic, 9 showed some grade of muscular involvement, while 21 of the 29 acute cases of valvular inflammation were accompanied by myocardial damage; the percentages are 60 for chronic and 72 for acute, a relation that would be expected if one credit the theory that many valvular inflammations start at the root of the valves, but, at all events, they indicate that after the acute stages have passed the myocardial damage may be repaired.

Fig. 1.—VEGETATIVE AND ULCERATIVE ENDOCARDITIS OF AORTIC VALVE. OSTRICH (STRUTHIO AUSTRALIS). ORGANISMS ISOLATED CORRESPONDED CLOSELY TO BAC. AFANASIEFFICHESTER.

53The large number of cases of endocarditis among the Carnivora, Accipitres, Anseres and Marsupialia is noteworthy and can hardly be explained by other argument than a special vulnerability of this organ in these groups. However, the unusual number of cases in our only native marsupial, the opossum, seems worthy of a special note since ten of the twelve instances in the order Marsupialia affected this particular animal. When seen these ten cases were acute in five instances, subacute in three and chronic in two. The Streptococcus pyogenes was isolated in three of the five acute cases; bacteriology of the others was negative or not done. All of the acute and one of the subacute cases were combined with some evidence of general septicemia. The type of lesion was in no way peculiar, unless the facts that all were vegetative when acute and markedly deforming when chronic, be noteworthy. In two chronic aortic cases the valvular orifice was almost closed, yet the left ventricle could not be considered as greatly hypertrophied and no dilatation existed. In one acute aortic and mitral case, general dilatation existed. The mitral was involved nine times, three times alone, four times with the aortic, once each with the tricuspid and pulmonary. Once the vegetations were limited to the mural endocardium. Nine of these animals came from one enclosure over a period of two and a half years, during which time other opossums died from similar bacterial infections (pneumonia) despite repeated cleansing of the place. No unusual number of cases of this or similar kinds occurred elsewhere in the Garden at this time, but it would seem that we had in this cage a continued bacterial infection.

Unusual Pericardial Changes.

The appearance of a stiff gelatinous exudate in the pericardial sac has attracted our attention on ten occasions (8 birds, 2 mammals). The substance seems quite homogeneous and almost entirely acellular. One specimen became solid on heating and another became turbid when put into Kaiserling’s fluid. In two cases bacterial cultures were made; nothing grew. It has not been associated with tuberculosis or tumors nor has any one pathological lesion more than another appeared to accompany it.

A peculiar lesion occasionally seen in birds is “uratic pericarditis” a process not infectious at all, according to Plimmer, but due to renal disease. It has been seen here in association with retention of urates in the kidney, with gout of birds, and apparently quite independent of any renal or constitutional disease. Both layers of the sac 54are pearl gray or irregularly salted with a whitish granular material so that they are entirely opaque; occasionally the distribution is spotty. The deposit does not seem to penetrate the myocardium. There is at times some involvement of other serosæ, but this is usually much less marked than around the heart. It does not seem that this of itself should be fatal, but it has been the most decided pathological factor in some of the autopsies.

Aside from pericarditic exudates, twenty-one instances of pericardial effusion have been encountered. They offer little that is peculiar in etiology, chemistry or cytology, but as there has been some question of the position of the accumulation of the fluid in human beings, it might be well to note the position in our material. It is recognized in veterinary medicine that the cardiac dullness is increased especially to the right, and that most of the fluid will be on that side and posteriorly. At our autopsies on mammals this is the position usually occupied by the fluid, the apex being covered by pericardium, unless the quantity be great enough to make the sac taut, and this position is retained whether the animal be laid upon the one side or the other; nor does the fluid all leave the base of the heart when the body is placed prone. The crown of the heart is nearly always well covered. In birds, on the other hand, the fluid occupies the apical part of the sac, probably due to the fact that this membrane is attached by its tip to the transverse air sac wall which takes the place of a diaphragm, so that the tip of the heart is always free and the pericardium of the base fairly closely applied to the epicardium. This holds good even for the birds whose cardiac apex is normally attached to the pericardium by a fibrous band.

Hypertrophy and Dilatation.

The response of the heart to a continued demand upon its working capacity will, as already indicated, lead to increased muscle bulk or to larger chamber size. Whether 55hypertrophy be purely the building of a bigger engine or be accompanied by, or due to, muscular disease as had been suggested by certain authors, was a question to which an answer was hoped, but it would seem that the solution is no nearer than can be obtained in human pathology. Fifteen of the 34 cases showed some degree of myocardial damage. Some of the other cases may have been instances of so-called essential hypertrophy, enlargements due to hard work or to low grade hidden infection. Aubertin[8] ascribes such cardiac muscle increase to overwork under the stimulus of intoxication from intestinal sources or from irregular constitutional functions. For information concerning this and pathological enlargements one may consult the Table (2) of Hypertrophies and Dilatations; in advance the method of charting must be known. Since it is usually impossible to decide what may be the single important factor in the cardiac disease, all of the accredited factors have been listed with the hope that the resulting figures would be significant. Thus an animal may have recorded pericarditis, nephritis and arteriosclerosis—who shall say which was primary or most potent in the cardiac change.

Essential hypertrophy is limited to those cases for which there was no concomitant pathology that might have been responsible for the overgrowth. There was one in a carnivore (fox) and one in a raptatory bird (buzzard). Idiopathic dilatations on the other hand are much more common, but they still bear a relation to the apparent vulnerability of the heart. Their distribution is as follows: Primates 1, Carnivora 1, Pinnipedia 1, Ungulata 1, Marsupialia 4, Anseres 1. These may be cases such as Plimmer described, of cardiac failure, indicated by dilatation, the result of inactivity. Besides these special instances and the ones accounted for in the list, there were three acute dilatations apparently due to shock, 56two ungulates and one marsupial, probably incidental to fright when being caught by the keepers.

The association of secondary dilatation with hypertrophy is only evident in three instances. One case and perhaps the most interesting, is that in which the principal antecedent pathology was thyroid hyperplasia and nephritis; the dilatation was perhaps agonal or shortly before the last struggles. It would seem that all of the dilatations occurred shortly before death because long standing passive congestions and dropsies of cardiac origin are exceedingly rare; only one certain case is recorded (carnivore).

Let us now examine the Table (2) according to orders and then as to causation. The Primates’ heart is apparently well able to increase in size in response to increased work, a demand most often made by pulmonary, pleural and pericardial diseases. Two of these cases occurred in animals suffering with pulmonary tuberculosis sufficiently extensive to impede cardiac action while in another case the tuberculous lesion was mild but a pericarditis existed. When the right hand columns are inspected it would seem that on occasion dilatation may occur; one of the tuberculous pulmonary cases had a dilated heart. The slothful lemurs apparently have no call upon their cardiac mechanism.

Carnivora with their large organ, which, it would seem, should be prepared for excess work either simply as a reserve or as an inherent ability to grow, present in about equal numbers, hypertrophy and dilatation. It is admitted that there are within this order, genera of differing habits, but analysis of the canidæ, felidæ and ursidæ for examples, in the first place, offer too few specimens for conclusions and, secondly, have upon trial actually shown nothing definite, so that we are forced to use the larger group, the order. It is interesting to note that long continued infection is in this order the most potent factor in enlargements of the heart. Four of the ten cases show myocarditis. Nephritis does not seem very important in relation to cardiac muscular increase, but occurs with great frequency in association with dilatation. Three of the cases of hypertrophy were associated with thyroid disease and two of these showed dilatation as well. The general causes of chamber distention are more diverse, and we see associations that do not appear with hypertrophy, namely arteriosclerosis and diseases of the chest.

57
Table 2.
Table Showing Incidence per Order of Hypertrophy and Dilatation, and the Principal Associated Lesions Believed to Have Etiological Importance.
Heart of Hypertrophy Dilatation
Total Percent. for Order Valvular Disease Arteriosclerosis Diseases of Thoracic Serosæ Pulmonary Disease Renal Disease Chronic Infection Acute Infection Thyroid Disease Myocardial Disease Total Percent. for Order Valvular Disease Arteriosclerosis Diseases of Thoracic Serosæ Pulmonary Disease Renal Disease Chronic Infection Acute Infection Thyroid Disease Myocardial Disease
Primates 4 .8   1 3 3 1 1 1     4 .8   1   1     1   1
Lemures                                            
Carnivora 10 2.1 1       2 6 1 3 4 11 2.2   1 2 2 4 1 2 3 2
Pinnipedia                                            
Rodentia                       8 4.2       3 2 2 4    
Insectivora                                            
Chiroptera                                            
Proboscidea                                            
Hyracoidea                                            
Ungulata 4 1.2     1   4       2 11 3.     4 1 2 2 2   1
Edentata                       2 12.5       1   1     1
Marsupialia 1 .6 1       1       1 8 4.5       1 3 2 2   1
Monotremata                                            
Total Mammals 19   2 1 4 3 8 7 2 3 7 44   0 2 7 8 12 7 11 3 10
                                             
Passeres                       1               1    
Picariæ 1 1.1   1     1                              
Striges                                            
Psittaci                       1 .1       1          
Accipitres 8 4.1   4 1   3 1 1   5 1 .5     1       1   1
Columbæ                                            
Pterocletes                                            
Galli 2 .7   1     1   1   1 2 .7   1 1       1   1
Hemipodii                                            
Fulicariæ                                            
Limicolæ                                            
Gaviæ                                            
Pygopodes                                            
Impennes                                            
Steganopodes                                            
Tubinares                                            
Herodiones                                            
Odonotoglossæ                                            
Palamedes                                            
Anseres 2 .6           1 1   1 5 1.5     1   2 1 2   1
Struthiones 2 6.2     2     1 1   1                      
Crypturi                                            
Total Birds 15   0 6 3 0 5 3 4 0 8 10   0 1 3 1 2 1 5 0 3
Total 34   2 7 7 3 13 10 6 3 15 54   0 3 10 9 14 8 16 3 13
For meaning of italics see foot note Table 1.

58The rodents seem to have no power to increase muscle bulk, but a sufficient number of cases of dilatation occur to make one conclude that this is their method of response to unusual strain. Pulmonary disease, mostly of infectious nature, and myocardial degenerations are the principal causes.

The next order to show cardiac enlargement is the Ungulata where nephritis is the most frequent association with hypertrophy and disease of the pleura and pericardium with dilatation, or the reverse of the factor value in the Carnivora. These animals, fairly well prepared for flight, with moderately large hearts, seem more often to show dilatation than hypertrophy.

Two Edentata (armadillo) showed dilatation but no hypertrophy.

Marsupials behave somewhat like rodents in that the heart does not seem to increase muscle bulk, but our records do not explain this clearly. As already mentioned four cases had no sufficient internal reason for dilatation, but as one was probably the result of shock three only remain to be accounted for. Nephritis seemed to exist in all three, but two of them had kangaroo mycosis of the jaw and a general chronic infection.

If now our attention be given to the Aves we find the highly specialized Passeres and Striges not represented and their closely related well-organized orders Picariæ and Psittaci with only an isolated single case. This is the more interesting since the last order suffers reasonably 59often with arteriosclerosis. Accipitres, the birds of pugnacious habit and carnivorous diet, seem well able to increase their muscle upon demand, but do not often suffer dilatation. Vascular and renal diseases stand out most prominently in the etiology, and one-half of them show myocardial change. The Galli, which includes both ground and flying birds, are represented but fail to exhibit any unusual accompanying disease. Anserine birds apparently have a low power to increase the size of the heart, but most often allow it to dilate. Struthiones, large stalking and rapidly travelling birds, apparently have a good margin of safety in their cardiac mechanism.

Summary of Lesions Associated with Hypertrophy and Dilatation.

Analysis of the associated pathology will reveal that among the mammals, renal disease, chronic infections and diseases of the thoracic serosa are most often responsible for hypertrophy, and that something over one-third of the hearts showed myocardial damage. Among the Aves arteriosclerosis and renal disease are most important in enlarging the heart; half of the cases had myocarditis. In so far as dilatation in mammals is concerned, renal disease and acute infections are decidedly more important than other influences, even than the next in order—chronic infections and pulmonary diseases; only one-fifth of the cases had myocardial disease. Acute infectious disease is the most potent cause of dilatation in birds; only two of the eight cases had degeneration of the heart muscle.

Comparison of Mammalia and Aves.

If a comparison of the incidence of increased muscle bulk in the two classes be made[9] it will be found to occur two and one-half times more often in mammals, 60while dilatation occurs nearly ten times more often among the mammals than among the birds. Hypertrophy is accompanied by myocardial change in 44 per cent. of the cases, whereas muscular degeneration was only seen in 24 per cent. of the dilatations; this change is conspicuously lacking in the Primates, Ungulates and Marsupials. The usual teaching has been that dilatation, which means enlargement of chambers and thinning of walls or at least no thickening thereof, implied an inability on the part of the heart to keep up with increased demand—a decompensation. If Starling be correct that dilatation is not a degeneration of pump value but merely one of adaptations to increased demand, then this method is more characteristic of mammals than of birds. There is, however, the reserve power to increase the muscle bulk inherent in the mammalian, not possessed or needed by the avian heart. The large-hearted class Aves certainly dilate their blood pump less frequently than mammals and indeed have less cardiac disease.

An analysis of the incidence of hypertrophy versus dilatation shows that hypertrophying power resides in the Primates, Accipitres and Struthiones, their hearts relatively seldom dilatating. Lack of such power and consequent dilatation resides in Rodentia, Ungulata, Marsupialia and Anseres. Hypertrophying power lies therefore chiefly in the heart of average size for its class, dilatation occurring in the small heart. (See page 63.)

Avian Hypertrophy.

There is little to be learned from the nature and anatomy of the hypertrophies and dilatations except perhaps their character among the birds, in which the physics of the circulation is somewhat peculiar. In this class both the hypertrophy and distention are predominatingly left-sided, a state probably explained by the pressure against which the pump must work in flight because then the lungs and the viscera are somewhat 61compressed by the pressure of an excess of air in the pneumatic sacs. At all events while concentric hypertrophy was mentioned once, it is difficult to estimate the degree of increase in the right chambers because they are not uncommonly well filled when diastole occurs at death. Grober[10] asserts that the normally large heart (or what I have called “physiological hyperplasia”) shows a “hypertrophy” of the right ventricle because of the extra work entailed in flying. This is certainly not the case in the material we have seen under pathological conditions. Right sided increase might be expected if pulmonary or serous membrane affections were prominent, but left-sided increase, following arteriosclerosis and nephritis is the actual finding. The best examples of concentric hypertrophy are in the dogs with thyroid disease and the best examples of concentric dilatation in ungulates suffering shock.

Summary.

The foregoing pathological data can now be summarized by grouping the facts under the headings of absolute and relative vulnerability of the heart. By the former is meant the actual number and quality of lesions in the various orders, but here at once one comes upon the irregularity of examples of zoological and pathological character, and if one trust entirely to the percentages, fallacious conclusions might be reached. Basing judgment upon the incidence of pathological lesions in mammals and birds, it is evident that the former has greater vulnerability, as 13 is to 6.2. This is noteworthy as we shall learn that the bird has a larger and apparently better prepared heart than the mammal. Attempts to discover the order or kind of animal having the greatest or lowest vulnerability are difficult for the reason given above. Thus, for instance, Pinnipedia, Proboscidea, Edentata, Gaviæ, Impennes, Steganopodes, and 62Struthiones present the highest percentages of cardiac lesions, but the total specimens examined are so few that these figures may well be misleading. (See Tables 1 and 2.) If, however, figures mean anything in such small groups, these are the animals which have the greatest cardiac vulnerability. They have little in common in regard to zoological relationships and habits; four of the seven orders are rather slothful and three are active. It is much better to limit our observations to those orders from which sufficient examples have been subjected to autopsy and upon which we have some standards for comparison in the heart-body weight ratio. It so happens that in the above seven orders I was unable to obtain any reliable figures of heart weight. Table 3 is a combination of data from Tables 1 and 2 for the principal orders from which we have enough material (at least one hundred autopsies) and for which it is possible to obtain as comparative standards figures indicating the weight of the normal heart in kilograms of body weight; Table 4 gives these ratios for normal hearts. The information about the weights was obtained from some of our own figures and the references given in the footnote.[11] There are no extensive data upon weights and measures in exact terms, such as body weight, so that we are limited to the numbers quoted in parentheses besides the orders in the table. The ratios might be modified slightly by a greater number of examples, but they show certain things by comparison of the classes; in a rough manner the heart ratios correspond to the pathology.

63
Table 3.
Table Containing a Condensation of the Two Foregoing Tables and Showing Figures for Degenerations, Hypertrophy and Dilatations for Orders Having the Largest Number of Autopsies.
Degenerations, &c. Hypertrophy Dilatation
Primates 7.6 .8 .8
Carnivora 11. 2.1 2.2
Rodentia 8. 0. 4.2
Ungulata 5.4 1.2 3.
Marsupialia 19. .6 5.
       
Passeres 1.4 0. 0.
Picariæ 6.7 1.1 0.
Striges .8 0. 0.
Psittaci 3.4 0. .1
Accipitres 18.3 4.3 .5
Columbæ 2. 0. 0.
Galli 9.3 .7 .7
Herodiones 4.1 0. 0.
Anseres 15.7 .6 1.5
Table 4.
Table Showing Weight of Normal Heart in Relation to Body Weight. Number of Specimens used to Determine Weight Quoted in Parenthesis.
Average Heart of Grams per Kilogram of Body.[12]
Man ( 4) 5.67  
Primates ( 4) 6.56  
Carnivora ( 6) 6.78  
Rodentia ( 5) 5.  
Ungulata (10) 5.8  
Marsupialia ( 3) 5.1  
      Average 5.82
Passeres (43) 19.8  
Picariæ ( 9) 21.3  
Striges ( 4) 7.33  
Psittaci ( 6) 8.89  
Accipitres ( 7) 12.32  
Columbæ ( 4) 14.47  
Galli (16) 11.08  
Fulicariæ ( 3) 23.82  
Limicolæ ( 2) 8.78  
Anseres (14) 11.8  
Struthiones ( 1) 12.7  
      Average 13.84
For meaning of italics see foot note Table 1.

However, there are many reasons why great caution should be used in evaluating the relative size of the heart. Welcher showed in his work that the proportion is 64greater in small and young animals than in large and adult ones. All the authors quoted agree that in birds and to less degree but still clearly in mammals, there is a direct relationship between the bodily activity of an animal and its cardiac bulk. This is fairly well shown in the list of avian heart ratios, but not so clearly in the mammals. What shall be considered the most active mammals—the monkey, perhaps, with his tendency to be occupied constantly, yet we find the greatest heart bulk among the Carnivora, animals prepared for travel and struggle, and the smallest among the Rodentia, quiet and timid animals. The avian order showing the greatest cardiac ratio, the Fulicariæ, shore birds, is made up of some quiet hiding varieties, and of some capable of very prolonged flight; the most constantly active fliers (Passeres) also have a high cardiac weight proportion. The inactive owls have the smallest heart bulk.

The contrast between the average heart-to-body weights of mammals and birds is striking, the latter having two and one-half times as much as the former, 5.8 vs. 13.8. Since this is the most prominent and best supported statement in the table of weights, it may be used to compare with the incidence of the pathology as seen in the two classes.

Degenerations and inflammations occur in mammals and birds as 9.5 is to 5.5.[13]

Hypertrophies occur in mammals and birds as 10.3 is to 4.3.[13]

Dilatations occur in mammals and birds as 2.4 is to .28.[13]

In other words, mammals are much more susceptible than birds to degenerative and inflammatory processes, show an ability to increase the muscle bulk two and a half times as great and are liable to chamber distention nearly ten times as often. It might also be put 65that birds cannot or do not need to increase their muscle, and that the chamber and muscle balance is more perfectly arranged.

While in the preceding pages hypertrophy has been discussed rather from the standpoint of its value as a compensating and reserve capacity, and dilatation as a degenerative or decompensatory process on the part of the cardiac mechanism, it may be that dilatation of the mammalian heart is the usual method employed by the class in response to increased demand. It seems certain, however, that the originally and normally larger heart, both mammalian and avian, more often uses an increase of its muscle to this purpose.

Hypertrophy was accompanied by myocardial disease in 44 per cent. of the cases, while dilatation showed this change in only 24 per cent. This supports the theory that dilatation is a normal response of the myocardium under strain and the belief held in many quarters that the muscle increases its bulk because some of it is damaged.

The differences between classes are not so conspicuous between orders. However, the large heart of the carnivores increases both its muscle and chambers, while the small heart of the rodents and marsupials more often dilates. Analysis of the avian orders is inconclusive and somewhat contradictory. Let it suffice to say that the birds which fly most, with exception of the ducks, have a relatively low vulnerability, and the soaring carnivorous Accipitres and the largest birds, Struthiones, apparently have a high susceptibility to damaging influences and enlarge their muscle bulk in response to increased work.

Aneurysms of the heart are quite rare; only two have been seen. They were both located at the apex of the left ventricle in birds; they did not rupture. Myocardial damage is evident in both cases but the cause is not clear; parasites could not be demonstrated. Plimmer reports a case of cardiac aneurysm at the apex from infestation of the heart muscle by sarcosporidia.

66

SECTION III
DISEASES OF THE BLOOD VESSELS

The gross anatomy of the blood vascular system is constructed upon the same general scheme throughout mammals and upon a comparable basis in birds. Microscopically there is little variation throughout the orders unless it be in the relative proportion of muscular and connective tissues. The origin of the great vessels at their cardiac base and their distribution to the pulmonary and to the greater circulations in no way differ in these two classes in that it always consists of an efferent pathway to the lung and a root vessel above the aortic orifice. The former has usually quite a distinct origin on the right side, but in some birds the posterior wall of the pulmonary artery may overlie the entire aortic base; this, however, is not the rule for birds. The aorta in most mammals remains a separate and distinct vessel for some distance, after which it gives off the innominate and subclavians. In the birds on the other hand, the stretch immediately above the aortic valve is usually ballooned out somewhat, into a sort of sac or ampulla from which the subclavians and descending aorta arise. This forms a structure of rather trident shape, the lateral prongs being the subclavians, the middle and posterior being the aorta proper. In some birds the aorta may have the length of a centimetre or more then dividing into the left subclavian and right aorta from which the right subclavian comes off.

There is definitely more support to the heart and vascular roots in mammals than in birds, in the latter class these structures lying quite free between the lateral air sacs and well in front of the lungs. Nor is there the richness of mediastinal areolar and fatty tissue in the winged creatures.

67The vessels of mammalia retain a considerable wall throughout nearly their entire length. At first the wall is thin compared to the calibre of the vessel while the arteries smaller in calibre, have a heavy wall. In birds the arterial stalk at the heart is supplied with very heavy walls, but after the second branching the relation of wall to calibre seems to continue about the same. In this class the stalk vessels have wall to calibre relation of 1 to 3 (measurements in 2 Passeres, 1 Psittaci, 1 Accipitres) whereas in mammals the relation varies from 1 to 5 to 1 to 7 (observations on 2 carnivores, 1 ungulate, 2 rodents). In mammals the consistency of a normal artery wall remains much the same, a firm, resilient, yellow-white tissue, quite opaque and standing open upon cross section. In birds this description covers the main stalk, the aorta in the abdomen and the first part of the carotid and iliacs. When these characters are lost, the arteries become semitranslucent bluish strands so that they are difficult to follow in the muscles of the neck and extremities. This is particularly true in the Passeres, Picariæ, Galli and Columbæ while in the Psittaci, Accipitres, and Anseres the arteries are distinctly whiter than the veins but yet quite soft. In the Herodiones and Struthiones, thick walled vessels may be followed as far as the second joint in both extremities. These differences depend in part upon the grosser construction of the central arteries in Aves and in part upon the larger amount of elastic tissue in them than in the secondaries and smaller vessels, and than in comparable mammalian vessels.

It is impracticable to go into the minutiæ of histology in the different orders, which indeed varies but little, although attention might be directed to the facts that in all central vessels the relative amount of elastica is greater than in smaller ones and that muscular tissue seems to exceed in the latter. Considerable work has been done upon the amount and arrangement of muscle bands in isolated genera, but no comprehensive data are at hand 68upon orders. The strands of muscle do not seem arranged so regularly as in mammals; the pulmonary artery of the cat, for example, has a muscle arranged like an oblique band in waves or festoons along the length. The mammals as a class seem more richly supplied with arteries and veins than do the birds, and the square area of the vascular system is likewise larger. This is distinctly different from the amount of heart bulk as given in the discussion of kilogram-heart ratios so that one might say that the birds are “overhearted and undervesseled.”

In so far as the physiology of the two classes is concerned it is obvious that a different regulatory system is necessary because, aside from the variations of pressure incidental to pulmonary, muscular and visceral work, there remains the altering pressure within the air sacs of Aves, a force different under states of rest, of running, of deep water swimming and of flying with or against the wind. Part of the internal air pressure variation is cared for by the ability a bird has to respire the air in its sacs and bones, but in prolonged exposure to the pressure under water or during protracted flight some compensatory mechanism doubtless exists. This seems to reside in part in the heavy elastic quality of the arterial stalk and the very rich venous supply of the abdomen, including the renal-portal system and the distensible pelvic veins. Just where the governing power for this mechanism resides is as much a matter of debate as in the case of the human being, but certain researches would place it in the caudate lobe and pituitary body.

Having discussed these general comparative data we can now pass to a consideration of the pathology seen at this Garden. The subject will be studied from the standpoint of the vessels as a system and the changes peculiar to it. Naturally the most important lesions affect the great stalks and the principal trunks, from which the processes may continue into the smaller vessels. The 69essential alterations are inflammatory and degenerative, of which the latter are by all odds the more important. The former are either involvements of the vessel walls by frankly infectious processes, or less easily proved to be bacterial in origin, as is the case with periarteritis nodosa. Acute arteritis and phlebitis are constantly encountered and present nothing unusual. General nodal periarteritis has been seen in the lower animals, Lupke having reported[14] before the German Pathological Society a big outbreak in cows, but it is less common than among men; we have not discovered it here.

Thromboses.

Thrombosis is practically always a parasitic or an infectious process although at times considerable difficulty is encountered in explaining the source of the worms or bacteria. Thus, for example, the iliac or femoral thromboses which are at the bottom of intermittent claudication, are frequently quite vague in origin. We have had one such case in a deer in which a partly occluding thrombangeitis existed in both femoral arteries and veins. Mesenteric thrombosis, a serious condition in cattle and horses from infestation with sclerostomum or strongylus, has not been proven at the Garden, but we have seen one case of numerous thromboses of the venous radicals in the jejunal wall apparently due to some nematode larvæ; the specimens were so soft by decomposition that determination was not attempted. There occurred a thrombosis of the cava and aorta originating from a necrotizing cloacitis, apparently streptococcal in nature, in a Demoiselle crane. The clot, while not totally occlusive, extended nearly as far as the heart in the vein and the abdominal aorta. There is also on record a thrombosis of the vena cava and right pulmonary vein in an American beaver, harboring Hepaticola hepatica in the liver, with a fibrosing pneumonia due to this parasite. 70Another case in which parasites seemed to take a hand concerned a common raccoon with tapeworms (sp.?) in the small intestine and microscopically discoverable parasitic parts in the lungs; these organs were the seat of extensive congestion and venous thrombosis, the latter containing really enormous numbers of diplococci. The parasites probably paved the way for bacterial invasion. A frank case of septic thrombotic aortitis was noted in a Rice Grackle, the infectious focus apparently being a vegetative “tricuspid” valvulitis.

Arteritis.

In addition to these cases, productive inflammatory changes were discovered five times affecting vessels in or near frank inflammatory processes. The animals affected with this productive process were three birds, a rodent and an elephant. In the case of two birds and the rodent the process was associated with chronic intestinal lesions, while in the elephant it was found as an endarteritis obliterans in large vessels of the lung of chronic pulmonary tuberculosis occurring in this animal. These instances serve as examples of the truly productive inflammatory processes affecting vessels and illustrate the distribution through the animal kingdom. Pathogenetically there are no essential differences, and histologically they correspond to the forms seen in man. Had every piece of tissue been subjected to microscopy wherein such lesions might have existed, more examples might have been discovered, but these processes excite no peculiar secondary effects so that attention is not drawn to them directly. The only noteworthy difference between mammals and birds is the fragile character of the clots in the latter class. This is peculiar because the principal response of this class to an infectious irritant is coagulation necrosis, liquefying enzymes apparently being absent or small in quantity.

71Fatty deposits in the aortic intima are by no means uncommon in the human subject and are encountered at all ages, even in youth at a time when progressive arteriosclerosis does not accompany them. There is a belief in many quarters that this fat may be laid down and then removed. Such deposits are exceedingly rare in wild animals; when they occur it is in small indefinite patches and not the bands or rows as found in man.

Table 5.
Table Showing the Incidence of Degenerative Arterial Disease, the Percentage in Animals Subjected to Autopsy and the Principal Associated Pathology.
Total Percentage of order Due to parasites Aneurysms Myocardial disease Valvulitis Renal disease Chronic pulmonary disease Chronic infectious disease
Primates[15] 3 .6     3       1
Carnivora 16 3.3 5 7 1     1 5
Ungulata 13 3.5 2   1 1 2 3 2
Marsupialia 3 1.8              
Total 35 1.8 7 7 5 1 2 4 8
                   
Passeres 3 .22   2          
Picariæ 2 2.2              
Psittaci 13 1.8   1     6 3 2
Striges 3 2.2     1 2      
Accipitres 13 6.6   1 4 2 5 2 4
Galli[16] 5 1.6 1   4   2 1 2
Steganopodes[16] 5 25.       1 3    
Herodiones 1 1.              
Palamedes 1 20.     1   1    
Anseres 11 3.4   2 4 1 4 1  
Struthiones 7 22.         1 2 3
Alectorides 2 5.4     1   1    
Total 66 1.8 1 6 15 4 25 9 11
Grand Total 101 1.8 8 13 20 5 27 13 19
For meaning of italics see foot note Table 1.

Degenerative Arteritis or Arteriosclerosis.

Whether or not it be exact to speak of the more protracted forms of vascular disease usually called arteriosclerosis or atheroma as degenerative, such changes form the most pronounced features of the lesions, and 72we have made such a separation at this laboratory. Here is not the place to engage in the academic discussion of the nature of the process, but I wish to state that collectively the changes as seen in such lesions in the lower animals are more degenerative than productive, and that we have never seen true ulcerative atheroma as it not uncommonly appears at the autopsy table in any large hospital. This disease of the vascular walls has long been attributed to alcohol, gout, syphilis and other such prolonged intoxications to which we might apply the light term of “toxins of civilizations.” Too little credit, or discredit has been given to chronic intestinal disorders, overeating, and overdrinking of ordinary fluids, to entirely incorrect diets, and to chronic bacterial diseases. Even though the exact counterpart of the disease in man does not occur in lower animals, we shall see the probable association with food and with habits, in a manner discordant with former teaching of the causation of the disease.

The group to which the name degenerative arteritis has been applied is, as has already been indicated, more productive than the analogues seen in the human being, but indeed it is questionable whether the lesions even in the lower animals are not more degenerative than productive. Since, however, chronic arteritis is always associated with damage to the elastic and muscular fibres of the media as well as with fatty change and overgrowth of the intima, all the deforming and degenerative cases will be classed together.

The general picture in mammals is one of diffuse rather than of plaque-like thickening, but well outlined raised or depressed areas are encountered. In the aorta and larger branches one may find irregular streaking and loss of elasticity with fairly clear, pale yellow or gray, flat sections of distinct opacity. Rarely these may contain calcareous matter, a change most often seen in the carnivores. The lesions are very largely limited to the aorta; 26 or 76 per cent. of the 35 cases had this distribution alone. The arch seemed never to be affected alone, and indeed it is rather commoner to find opaque patches stretching along the thoracic or even abdominal portion; this is especially true of the Ungulata.

Fig. 2.—ARTERIOSCLEROSIS AND ATHEROMA. THORACIC AORTA. JACKAL (CANIS AUREUS). THIS WAS CONTINUED TO THE MESENTERIC AND ILIAC VESSELS.

73There have been also in mammals five cases of mesial change which have given rise to the picture described by Mönckeberg and usually entitled by his name. However, the noteworthy differences between the wild animal and the human cases are the absence of advanced calcification in the media under the concavities and the prominence of the changes in the aorta near the heart to be found in the former. These few cases do not permit an association of the arterial disease with any particular pathology in other parts.

Considered minutely, the outstanding lesion in the class Mammalia is the separation of the elastic fibres by fluid and debris, apparently derived from the degenerated muscle fibres, associated with a decrease of round and elliptical nuclei. Globules and hyaline pink staining material are often collected between split-up elastic strands, which fibres in some cases seem quite numerous, in others reduced. In the intima heaping-up of cells and fibres is very moderate in degree while usually one finds only subendothelial edema. When the process has advanced far, the microscopy is like that of well developed human lesions. Arterial degeneration due to parasites gives a different picture in that medial degeneration is far advanced and some fibrinocellular activity is seen upon the intima when this tissue remains. When, however, the infestation has proceeded to weaken the wall sufficient for it to give way into an aneurysm, little or no vestige of the true arterial wall is left.

In the Aves the distribution and anatomy of this process present some differences. The aorta is as usual most conspicuously the seat of change, but it is noteworthy that the dilatation or ampulla immediately above 74the aortic valves and from which the main vessels spring, is practically always free of lesions which are on the other hand most marked in the thoracic and abdominal sections. One’s attention is usually attracted to the aortic surface by its roughness although visibly there may be no plaques, but upon close inspection a mottled opacity may be detected. This all seems due in the few cases subjected to tissue section, to hyperplasia of endothelia, with or without fibre increase. The media may show muscular granularity or no change at all. At the stage when plaques are formed, fairly well outlined, firm but rather brittle, raised areas are detected, seated upon a distinctly opaque gray wall. The remainder of the vessel may be smooth and elastic but sometimes, in the Accipitres for instance, a general resistance to pressure and tension is found. Microscopically such a vessel will show a media the seat of ruptured muscle fibres, split-up or broken elastica and some debris, while the intima is covered with active and distinct fibrocellular exudate.

I have for comparison divided the cases into those in which the superficial productive character was prominent and those seemingly entirely a degeneration of the media, that is with inactive intima. In mammals 77 per cent. of the cases were of the degenerative type while in birds 50 per cent. were of this kind. The exact importance of this difference is not easy to evaluate, but with the facts that the bird has a greater elastic supply for its large vessels and a greater wall to calibre ratio, it is interesting. The aorta alone was affected in half of the birds, the remainder showing lesions in the carotids and femorals.

The tendency for the media to degenerate would lay the basis for concavities on the intimal surfaces after the type seen in Mönckeberg’s sclerosis. A number of cases of this variety have been encountered, but instead of being better developed in the vessels of extremities as in man they have presented more definite pictures in the aorta and pulmonary vessels. Examples will be quoted under the discussion of the various orders.

Fig. 3.—ARTERIOSCLEROSIS, ATHEROMA AND ANEURYSMAL DILATATIONS IN THORACIC AORTA. WILD CAT (FELIS RUFFUS).

75Primates are not often affected with degenerative arterial disease, two of the instances observed showing this change confined to the coronary vessels. As might be expected the myocardium in both was affected, and in one animal had a definite concentric hypertrophy. A very interesting case was encountered in a Lion-tailed Macaque (Macacus silensis). His heart showed distinct fibrosis of the conducting pathways from auricle to ventricle and of the papillary muscles. No atheroma was present in the aorta, but in the pulmonary distinct sacculations of the Mönckeberg type were found. Mesial degeneration was apparently responsible, but no calcification had occurred. Death was due to acute gastritis.

Carnivora present about half the cases seen in mammals and 16 per cent. of the total. Five of the sixteen cases owe their origin to parasitic arteritis and were combined with aneurysms. As will be noted by consultation of the list there is no outstanding accompanying pathology, a fact which makes parasites more important. One case of mesial degeneration, resembling the Mönckeberg type was observed in the thoracic aorta of a bear.

Ungulata are generously represented, thirteen cases being recorded distributed rather unevenly between the odd-toed (1 or 8.5 per cent.) and even-toed groups (12 or 2.9 per cent.). The single case in the first group occurred in a Zebra (Equus burchelli) wherein was found about the middle of the thoracic aorta a diffuse thickening of media and intima in a circular plaque approximately two centimetres in diameter; it was by no means so well developed as similar lesions in the even-toed ungulates. This recalls the expression of doubt by Zinserling as to the occurrence in the horse of arteriosclerosis similar to that in human beings.

76The lesions in the Artiodactyla are both in plaques and diffuse, the aorta and its branches sometimes being quite wrinkled but beset with firm elevations with and without calcification. These changes are fairly definite and, although they never attain the development seen in man, resemble the stage of wrinkling and roughness in the preulcerative stage of the human analogue. Two of the cases were associated with dilatations of the mesenteric vessels and with periarteritis, a picture strongly suggesting parasitic infestation; in one case ineffectual search was made, in the other no record is made of the parasites. Renal disease occurred only twice and myocardial damage only once. Chronic pulmonary disease, present thrice, took the form of tuberculosis twice and pleural adhesions with atelectasis once.

Marsupialia present three quite interesting cases, a Tasmanian Devil (Sarcophilus ursinus) and two Kangaroos (Macropus). The first showed distinct sacculations in the ascending aorta, suggestive of Mönckeberg’s sclerosis but equally resembling several small or incomplete aneurysms. The underlying vessel was opaque and stiff, continuing so to the middle of the thoracic portion. The other marsupials showed distinct mesial damage with early calcification and a roughened intima; once the pulmonary artery was involved.

It will be noticed that the orders Rodentia and Lemures are missing from those showing arterial disease although we have a reasonable number of autopsies upon them.

Passeres are hardly good exponents of vascular disease, an interesting thing in view of their large heart, heavy vessels, and flying habits. It is, however, striking that two of the three birds of this group had aneurysms of the aorta, one of which ruptured just above the origin, partly into and partly outside the pericardium. Despite several microscopical sections we were unable to find the tiny ends of the breach and any evidence of parasites. In the other case a vegetative growth occurred on the intima near the dilatation.

Fig. 4.—ARTERIOSCLEROSIS IN AORTA. OTTER (LUTRA CANADENSIS). THERE IS RELATIVELY LITTLE INTIMAL CHANGE, THE MEDIA BEING FIBROTIC AND ALLOWING THE INTIMA TO BE DEPRESSED IN SMALL CONCAVITIES.

77The Picariæ were represented by a Hornbill and a Toucan. The former presented roughened yellowish elevations for two centimetres above the aortic valve; this seemed the only involvement. The Toucan had a few small scattered but deep yellow plaques in the same location.

Psittaci, although failing to be accredited with a high percentage of arterial disease, nevertheless present some striking and interesting changes. In the first place, the central vessels are not so conspicuously the principal seat of atheroma as is the case in many other orders, and the lesions are not so productive. It is usual to find flat areas of opacity, perceptible as easily by section through the wall as by holding up the opened vessel to the light, the seat of the density being in the media. This can be followed into the wing arteries and, upon microscopic section, these smaller vessels will show mesial degeneration, thus being comparable to arteriocapillary fibrosis of man. However frequent this picture may be, there are also instances of overgrowth in the intima, prominences over opacities or raised plaques at the points of branching, lesions which correspond to the activity of the inner coat. It is interesting that renal disease, chronic pulmonary and general infections occur in a goodly proportion of these birds.

Striges is an order of little importance. The lesions in the two cases consisted of rather prominent plaques in aorta and large branches.

Accipitres stand out as giving the greatest percentage of any order of which we have had a fair number upon which to make comparisons. Their arterial lesions are frequently accompanied by renal, myocardial and valvular disease. Mesial and intimal alterations are about equal in degree, irregular patches going on to softening without ulceration, and early calcification being quite prominent. The sickle at the branching of the renals is a 78favorite site of deposit. Like the parrots their arterial damage is not confined to the aorta, but may be found in the carotids, femorals or small wing arteries. The most common situation is, however, in the lower thoracic and renal regions.

Galli, represented by five specimens, seem to have their vascular disease accompanied very often by myocardial and infectious disease. Their arterial pathology consists of raised gray patches in the aorta only.

Steganopodes give the highest percentage among avian orders, but this must be held sub judice because of the small number of specimens subjected to autopsy. Renal disease occurred in three cases. Their lesions are in the form of yellow opaque streakings in the aorta and its branches, in one case following the carotid half way up the neck. Plaques are not common, and when they occur are streaky and illy outlined.

Herodiones, represented only by a heron, are negligible. This bird showed a diffuse thickening with early thrombotic deposits attached to the intima.

Palamedes are represented by a Screamer which showed around the orifices of the renal arteries an early fatty deposit and mesial opacity.

Anseres present a considerable number of cases which are accompanied by cardiac, renal and general pathology. The character of the lesions is like that of the Accipitres and the distribution differs in only one particular. In four of these eleven cases the elevations or opaque areas were limited entirely to the stretch of aorta which might be compared to the arch in mammalia, that is the part with which the right subclavian is in closest contact and which bends almost directly backward to become the thoracic aorta. This excludes the ampulla just above the aortic valves. There seems no real reason for this and it may be accidental.

Fig. 5.—AORTIC ARTERIOSCLEROSIS. SARUS CRANE (GRUS ANTIGONE). THE LESIONS ARE ELEVATED AND IRREGULAR.

79Struthiones, with seven specimens having arterial disease in the great vessels alone, seem to have no especial characters unless these be in the heavy furrowing and stiffness of the wall, with opaque, elevated, indefinite patches, seen mostly in the descending aorta; once a long tough and partly brittle stretch was found in the carotid.

Alectorides, with a relatively high percentage, present irregularly outlined fatty and finely granular patches in the intima of the lower aorta and abdominal vessels, and, in two cases, as far as the vessels of the lower extremities could be followed.

The orders Columbæ and Fulicariæ are missing from the list of Aves having arterial disease, yet a reasonable number of autopsy records are at hand.

Summary on Arteriosclerosis.

Having discussed the orders separately, a review of the whole situation is desirable. Chronic arteritis, or as it is usually called arteriosclerosis, is common to very many zoological orders, and its principal lesions are comparable throughout the two classes under consideration. A statement as to its incidence would best be made by adopting an arbitrary number of observations as the desired minimum upon which to draw conclusions, and I shall adopt one hundred as such a figure. Accepting this as reasonable, a review of the table indicates that the order of percentage incidence is: Accipitres 6.6, Ungulata 3.5, Anseres 3.4, Carnivora 3.3, Striges 2.2, Psittaci 1.8, Marsupialia 1.8, Galli 1.6, Primates 0.6, Passeres 0.22; the other orders have less than one hundred specimens each. There is no doubt that carnivorous birds have the highest incidence of chronic arterial disease. Next in order come three varieties with nearly equal incidence, the ungulates, anserine birds and carnivorous mammals. These orders have little in common unless it be that in nature they are often engaged in prolonged or strenuous effort, as in fight or flight. We possess no measurement of their vascular supply but by consultation of the table giving 80heart weights (page 63) it will be found that three of them have values below that of the class in which they belong; the Carnivora alone have a greater heart-to-body ratio than the average for its class Mammalia. Nor do these orders have any direct dietetic relationship. The expected longevity of these groups does not permit one to discover any reason for arterial changes except perhaps that they have a reasonably good viability under park conditions, and therefore many have a longer opportunity to develop vascular disease. It so happens, however, that the first four groups are the most likely to suffer from gastrointestinal inflammation, of dietetic or bacterial origin.

It is interesting, but not easily explicable that the orders of great activity, Primates and Passeres, are at the end of the list; their food is very largely carbohydrate in character. Just why Lemures, Rodentia and Columbæ should be missing is not quite clear, because orders of comparative habits and food are included.

A review of the concomitant pathology reveals the fact that nephritis more often accompanies these processes than any other single condition. Among the chronic infectious disease in the table is included chronic enteritis; this group falls well behind the renal diseases. The relatively small number of cases of valvulitis speaks rather against an active infectious origin of the vascular lesions.

Aneurysms.

Aneurysms have been observed all over the world and in nearly all the larger orders. The London Garden has had an unusually large number to report, the most striking being that described by Seligman in the 1906 Report of the Society, in a tiger thirteen years in captivity which had fourteen sacculations from pea to plum size scattered along the aorta. Even with the number of cases on record and those collected here it would be unwise to draw deductions as to their incidence or as to the possibilities of vascular dilatation in any given order. Horses have aneurysms occasionally, cows and dogs rarely, according to Rievel. I can, however, state that there has not occurred in our experience a large growing pulsating aneurysm in the aortic arch region comparable to the condition so well known in man. The literature to which we have had access gives a definite impression that parasitism of vessel walls is the most important factor in the causation of ectasia, and that simple non-parasitic arteriosclerosis is relatively unimportant. Two of our seven cases seem to have been free of parasites but the notes cannot entirely assure one of this. The distribution of cases at this Garden is found in Table 5.

Fig. 6.—PARASITIC ANEURYSM IN THORACIC AORTA. PARADOXURE (PARADOXURUS LEUCOMYSTAX). PARTLY SACCULAR, PARTLY DISSECTING ANEURYSM WITH OPEN THROMBOSIS AS INDICATED BY THE GLASS ROD. PIECES OF WORM FOUND IN WALL. COULD NOT OBTAIN WHOLE SPECIMEN, SPECIES UNDETERMINED.

81A dilatation of the first part of the arch in a seal to a size which might be described as an aneurysm caused us to make such a diagnosis, correctly enough from the size and shape of the vessel but possibly worthy of reconsideration in light of the fact that no damage to the wall was found. At the heart and in the descending arch the diameter measured 4–5 cm., while the first part of the aorta measured 7.5 cm. This great irregularity in width could not be found in other seals albeit this section of the arch is usually a trifle larger than its origin and descending portion. The cava in seals is also large, but in this particular animal it measured 6 cm. across at the liver where there is a normal dilatation. These two spaces are looked upon as normal reservoirs for blood during diving, but the case in question seemed to have excessive “aneurysmoid” enlargements without mural disease. London reports an aneurysm of the aorta in a seal.[17]

Aneurysms are not so common in birds, the incidence being in comparison with mammals as 1 to 2.2. Two seats are prominent for their development: the sinuses above the aortic valves and the first part of the subclavian vessels; two of the six cases occupied the first position, two 82the second, while one other lay in the arch of the aorta, the last in its descending thoracic portion. Those developing over the valves seem to arise from simple degenerative arteritis; those that occupy the other locations are apt to be surrounded by plaques on the intima. Aneurysms in birds reveal by microscopy some trace of all the vascular coats and seem not to construct an adventitia from surrounding areolar tissue. The veins have presented no peculiar pathology, except in tumors which will be taken up later. A Derby’s Tyran showed a phlebitis and periphlebitis of the left subclavian vein, of mycotic nature, which led to death by rupture and hemorrhage.

83

SECTION IV
DISEASES OF THE BLOOD AND BONE MARROW

The production and physiology of the circulating blood seem closely similar in the two classes under consideration, although the anatomy is not the same in birds and mammals, variations also occurring within the latter group. Pathological responses follow comparable lines in that hemolyzing agencies, be they hemosporidia, absorptions from metazoan parasites or bacterial toxins, produce a reaction in erythropoietic centres, and positively chemotactic viruses call forth increases in the colorless elements. We have also observed a decrease of leucocytes in an Orang Utan suffering from influenza, a finding analogous to that in the human attack. There is, however, a much less ready response on the part of birds to any leucocyte-stimulating influence, in this class the mononuclears seeming to bear much of the burden assumed by the myeloid cells of Mammalia or at least appearing on the stage very quickly so that any increase of the latter is overshadowed by them. Perhaps this apparent difference may be further explained by the greater number of colorless blood cells, structures which might be called the principal secondary defences of the body and constantly at the disposal of the organism, normally present in the birds’ blood; they amount to 25,000 per cubic millimetre in birds, while in the mammals very few varieties have half this number. On the accompanying Table (6) will be found a few differential leucocyte counts now known to us.

84
Table 6. Differential Percentages of Leucocytes.
The Figures are based upon Counts of Two Hundred Cells upon Two Slides unless Otherwise Specified. Blood Films were taken from Apparently Healthy Animals in the Exhibition Cages.
Animal Polymorphonuclears. Per cent. Small Lymphocytes. Per cent. Large Mononuclears. Per cent. Eosinophiles. Per cent. Special Notes
Potto Perodicticus potto 20. 67. 7.1 5.9    
Rhesus Macaque Macacus rhesus. 30.2 61.4 5.6 2.8    
  (Av. 5 counts)        
Raccoon-like Dog Canis procyonoides. 62.2 32. 2. 3.8    
Swift Fox Canis velox. 65. 18. 13. 1. 3 per cent. Baso  
Dingo Canis dingo. 77. 15.4 3.8 3.8    
Timber Wolf Canis mexicanus. 76.5 15.5 3.5 4.5    
Wild Cat Felis ruffus. 55.8 34. 7. 3.8    
Gray Ichneumon Herpestes mungo. 52.6 44.4 2.3 .7    
Indian Paradoxure Paradoxurus niger. 66. 20. 14. 0.    
Large spotted Civet Viverra megaspila. 60. 31.2 1.2 7.6    
Ocelot Felis pardalis. 79. 15.6 3.5 1.9    
85Texas Skunk Mephitis mesomelas. 44.1 46.3 4.3 5.3   a. There are several grades of eosinophilic granulations, ranging from very fine to very coarse. They are entirely discrete, however, and the eosinophile cells are quite distinct from the homogeneous neutrophiles.
Tayra Felis tayra. 75.6 19.2 4.1 1.1    
White nosed Coati Nasua narica. 60. 20. 18. 2.   b. The protoplasm of the leucocytes shows practically no stain. Mitotic figures are frequent among the polymorphonuclear cells. The small lymphocytes show basophilic granules.
Crab eating Raccoon. Procyon cancrivorous. 45. 42. 2.5 10.5    
Ring tailed Bassaris Bassariscus astutus. 39.2 54.7 4.3 1.8    
Kinkajou Potos caudivolvulus. 47.4 42.5 6. 4.1    
Common Raccoon Procyon lotor. 46. 42.9 7.4 3.7    
Texas White footed Mouse Peromyscus leucopus. 67. 19. 11. 3.    
Kangaroo Rat Perodipus richardsoni. 55. 33. 6.   5 per cent. x cells. c. Many leucocytes were noted, with deeply staining nuclei filling up most of the cells. The protoplasm was colored a deep brown. These were called x cells pending investigation.
Polecat Mustela putorius. 42.4 54.6 2.1 .9    
Common Opossum Didelphys virginiana. 44. 39. 7. 9. 1 per cent. Mast cells. d. Polynuclears quite large, with deeply staining nuclei which are in many instances entirely separate and distinct.
Bridled Wallaby Onychogalea frenata. 58.3 38.8 2. 4.2    
86Six banded Armadillo Dasypus sexcinctus 57.1 23.2 6.3 13.4    
Elephant Elephas indicus. 15. 47.4 7.6 5.8 (Bilobed 23.8)
(Basophile .4)
e. The ordinary polymorphonuclears are very few in number, and those seen have nearly all a faint acidophilic or basophilic character. The eosinophiles are quite distinct and their granulations are large and globular. The cells called bilobed are unusual and can probably best be accounted for as directly dividing small lymphocytes. The staining properties and shape of the nuclei of the bilobed cells are most closely related to the lymphocytes. They are not always regular, however, but may be almost as irregular as the polynuclears. In practically every instance, however, a connecting isthmus may be found between the spherical nuclear portions. No mitotic figures seen. The protoplasm is homogeneous and pale blue or lilac in relatively large amount. No granules were ever seen.

87It would seem, from a general observation of simple and infected wounds and from a few blood counts, that the response of leucocytes in the lower animals is greater than in monkeys and man. The ease with which animals endure a wound and the rapid local pus formation about an infection speak for an easy mobilization of their cellular defenders; their connective tissue elements seem equally well brought into play. In so far as birds are concerned perhaps the normally large number of leucocytes and the participation of local tissue cells in response to irritation is a preparatory protective mechanism because of their relatively small amount of bone marrow which may not be able to mobilize new cells rapidly; many of the birds, notably those prepared for long flight, have much of their osseous system given over to air space. The number of red blood cells is also greater in Mammalia, which show a variation from 4,000,000 per cubic millimetre in some small genera to 12,000,000 per cubic millimetre in some ungulates, while birds vary from 2–5,000,000 per cubic millimetre. Despite these fundamental differences in the classes, pathological changes of anemia, leucocytosis and leucemia are comparable; polycythemia in lower animals is unknown to me but may of course occur.

Anemia.

As in human pathology this condition may be divided into the group that follows some disease which damages the red blood cells or their source, called secondary, and those cases not preceded by such a condition, called primary. Formerly this latter group, known as progressive pernicious anemia, was copiously represented, but study has discovered that worms, inorganic poisons and infections can produce a picture of grave anemia so that the formerly large group has dwindled. We now conceive a primary anemia to be one without discoverable responsible antecedent pathology, therefore a disease of the bone marrow itself. There is one variety, hemolytic anemia, which seems to be an intoxication of the bone marrow with solution of red cells, but the affected tissue puts up some struggle against the poison. In another primary, the so-called aplastic anemia, no 88activity at all is shown by the marrow, no young cells appearing in the circulation. Clorosis, or green sickness of young persons, is a primary anemia and presents itself as a moderate cell reduction with a disproportionately low hemoglobin percentage. As a disease entity this does not occur in the lower animals, so far as I am aware, but a very few hemoglobin estimations and a reference to the literature would indicate that well marked hemoglobin anemia does occur.

In so far as the pathology of anemia is concerned we are obliged usually to judge by the appearance of the blood and tissues, the yellowish pallor of the mucous membranes, the condition of the marrow and the amount of pigment; severe rapid cases show hemorrhages and prolonged cases have fatty degeneration of the parenchymatous organs. For a decision of the primary or secondary nature we must judge the accompanying pathology and the condition of the bone marrow.

Secondary Anemia.

Secondary anemia can be laid in general to insanitary housing or inappropriate diet over a long period, to chronic bacterial infection of low grade, to the action of blood parasites or those of the bowel which either suck blood or elaborate an absorbable toxin, or to single great or repeated small hemorrhages. We shall now consider the cases at the Garden. Perhaps many other animals have had a substandard blood, but these are the cases in which the gross appearance attracted close scrutiny in this direction. London has had much anemia, probably from their reported heavy infestation with parasites, but this factor has with us apparently played a small rôle in the production of anemia.

In Mammalia.

In so far as the Primates are concerned the one outstanding cause of anemia is degenerative disease of the osseous system. In both rickets and osteomalacia there 89is an irregular hyperplasia of the marrow, which is usually more marked in the latter. In osteomalacia one finds irregular areas of congestion or even hemorrhage besides masses of a gelatinous fatty tissue while scattered about are pink spots where the marrow is better preserved. In rickets, on the other hand, the tissue is more uniformly congested and less sharply separated from the endosteal osseoid material or the irregular epiphyseal spongiosa. The fibroid or osteoid growth of osteomalacia seems to be fairly well differentiated from the marrow tissue although it may send strands into the canal and across the spongy area. Histologically there is not a distinct difference in the appearances nor do they differ from the human analogue. In those cases which develop late in life the red cell centres are very few in number but usually active. In the blood, one finds a few nucleated and stippled cells, but not much change in size and shape of the erythrocytes.

It does not seem that the anemia can be the cause of death, for among our thirty-nine cases of osteomalacia and rickets, the prosectors have thought it of sufficient importance to record in the diagnoses but eleven times. There are usually complications of pneumonitis or enteritis to finish the animal before the poverty of the blood will do so, and our records show only a Black Spider Monkey (Ateles ater), a Silky Marmoset (Leontocebus rosalia) and a macaque (sp.?) with osteomalacia and grave secondary anemia. It would seem, however, that hemoglobin anemia must exist, for, despite one record of 40 per cent., Fleischl, no excess of pigment deposit is noted in the spleen, liver or marrow.

Carnivora have shown a moderate number of diseases of the skeleton but the occurrence of a marrow involvement seems less frank, although the anatomical changes are similar. However, there are three grave secondary anemias recorded in eleven carnivores suffering from osteomalacia and rickets. Another prime cause of low 90blood value in this order is gastrointestinal inflammation; in seventeen cases of anemia, of secondary nature, five showed gastroenteritis of severe grade or protracted character. Perhaps the most prolific single cause of this blood change is parasitism, six of the seventeen cases showing infestation, five of which are nematodes and two cestodes, one showing both. The details of these are worth recording. Two young Jungle Kittens (Felis chaus) from the same litter died of enteritis with a noticeable anemia; they harbored in their upper small intestine ascarids, and one of them had a few hookworms (sp.?). A Kinkajou (Potos caudivolvulvus) died from a general mild infection, emanating from a pneumonia perhaps, and showed a heavy infestation with tænia (sp.?). An American Wild Cat (Felis ruffus) died from acute catarrhal enteritis and anemia; the parasitological findings included Filaria fasciata, adults in abdominal and gluteal muscles, larvæ in the blood; Dibothriocephalis felis, Ascaris mystax and Uncinaria canina in the small intestines. While the blood was thin and pale and some pigmentation existed, the condition could not be called a picture of grave anemia. A noteworthy finding was the deep pigmentation of almost the entire intestinal wall. Ascaris mystax was found in an under-sized inbred gray wolf, killed because of poor coat; there was a marked anemia and atrophy of the skin. An Ocelot (Felis chibigonazon) gave a picture of anemia due to uncinariasis, but is not so instructive as the following. A Swift Fox (Canis velox) exhibited clearly a case of progressive secondary anemia from uncinaria, and the history is worthy of a brief recital.

Muscles atrophic, greenish black over abdomen. Fat absent. Lung is blotched by darker red markings where parenchyma contains distinct excess of frothy pink watery fluid. No fluid or adhesions in pericardium. Heart is contracted, and muscle is pale yellow and firm. The only abnormality consists of slight yellowing of musculature. The abdomen shows great omentum firmly adherent to fundus of bladder. No fluid or other adhesions in abdomen. The liver is normal in size, smooth in 91surface and has sharp edges, is friable and bright orange yellow. The section surface is glistening, smooth and dry. Organ is poor in blood content, greasy and breaks easily. Bladder is large, contents fluid green bile; duct patulous. Spleen normal. Kidney is small and smooth, diminished in bulk, normal location, smooth surface, and pale yellowish gray, consistency, soft, flabby. Ureters normal. Mouth and teeth normal. Stomach contains scanty brown fluid. Duodenum—Mucosa bile-stained, contained a solitary nematode worm. In its lower portion it becomes filled with a blackish red fluid, and its mucosa becomes studded by heavily outlined punctate hemorrhages whose positions are best seen through serosa. Jejunum similar in condition to duodenum and contains four small nematode worms. At one point, i.e., where the worm is located at beginning of ileum the blood staining of mucosa is strictly in neighborhood of the worm. Capillaries nowhere congested. Ileum contains slight amount of brownish black material, mucosa normal. Large intestine and rectum normal. Pancreas normal. Lymphatics normal. This is a case of death by anemia as result of bites of hookworms. There were certainly more than four worms present antemortem since no males were found, and this may be explained by a possible diarrhœa which has flushed them out. This idea is borne out by empty condition of gastrointestinal tract. Animal Parasites—Uncinaria canina. The four small nematode worms above mentioned conform in all respects to the given anatomical points of uncinaria. All four specimens are perfectly formed females. The location of the hooks was easily determined and established as being in the most dorsal portion of buccal cavity, and as projecting forward and ventrally in two groups of three each in same manner as described heretofore in similar infestations in foxes. The large nematode worm found in duodenum is, from its possession of three lips and its general form, an ascaris. The mustache, however, which is so commonly seen in ascaris worms from this region is absent. Postmortem blood of heart shows red cells granulated and almost worthless for histological study. Nucleated reds, however, are absent but other points valuable in settling the question of anemia cannot be determined.

Lung.—There are no abnormalities in supporting tissue. Alveolar walls are markedly congested. Bronchi normal and show no trace of larval hookworm infestation. Air sacs contain many red blood cells together with a few heart-failure-cells. Congestion of lung.

Liver.—No excess of fibrous tissue. Finer details of structure cannot be made out owing to advanced autolytic changes. The only possible pathological changes consist of localized areas where liver cells have fused to form notable masses of pink granular material suggesting local necroses. Autolysis.

Intestines.—Four sections are present and all show essentially the same character of changes. Interstitial tissue between muscular tissue and submucosa loosely arranged as though separated by edema.

On luminal side of muscular mucosa is a distinct zone of striking tawny yellow color with hematoxylon-eosin combination. This zone is 92smooth homogeneous and contains a few spindle and stellate cells with no capillaries and with little or no fibrillation. It abuts upon the fundi of the crypts. Interstitial tissue of mucosa is loose and infiltrated with round and spindle cells in its deeper portions. Here it is also congested but congestion is most marked toward lumen where masses of free blood cells occur in interstitial tissue, within lumina of crypts and within lumen of intestine itself; no parasites or ova are found. Epithelium of crypts has granular cytoplasm; goblet cell formation frequently seen; cilia well preserved. Edema; Subacute catarrhal enteritis Hemorrhage.

Six instances of nephritis, four parenchymatous and two diffuse, are recorded in the total of seventeen cases of secondary anemia in carnivores. Except in the skeletal disease the marrow is very mildly affected, some edema and reddening grossly and moderate hyperplasia minutely, being the only noteworthy changes.

The next order is that of the Ungulata wherein we have found but two cases of frank anemia, an Isabelline Gazelle (Gazella isabella) and an Aoudad (Ovis tragelaphus). The former had several lesions of different etiology and nature so that an impoverishment of the blood is not astonishing: parasitic (?) cyst in lung, chronic infective arthritis, calcareous tuberculosis, congestion and edema of lungs, osteomalacia, and osteofibroma of maxilla. The condition of the aoudad was too indefinite to permit conclusions.

The marsupials are represented by two common Opossums (Didelphys virginiana) and a Rufous Rat Kangaroo (Aepyprymnus rufescens), two of which suffered also from rickets. The condition of the bone marrow was unfortunately not recorded, but in other rachitic marsupials this tissue follows the changes seen in other orders. One opossum had a hypertrophic gastritis with numerous Physaloptera turgida, a worm frequently associated with chronic thickening of the mucosa; there was also an early portal hepatic cirrhosis with enlargement of the spleen.

93Among the Rodentia we have had anemias in a Beechy’s Gopher (Citellus grammurus beecheyi) and a Southern (Sciurus niger niger) and Western Fox Squirrel (Sciurus rufiventer). The first had a myeloma also, and will be discussed later. One of the squirrels had osteomalacia, while the other suffered with diarrhœa and showed hydropic degeneration of the kidneys, conditions probably due to acute intoxication.

In Aves.

The class Aves is represented by the orders Passeres, Psittaci, Columbæ, Herodiones, Gaviæ, Picariæ, Striges, Galli and Accipitres; the first four are well represented, but in the other orders only one or two cases have occurred. The causes of anemia in birds are essentially those discussed for mammals with the provision that greater attention must be paid to parasites, particularly those of the blood. Several slightly varying protozoa inhabit the blood corpuscles of birds, and numerous embryos may circulate after they escape from a parent lying in some organ or tissue. The rôle of blood parasites, intra- or extracorpuscular, in the cause of death or of anemia is, however, somewhat paradoxical. Plimmer seems to credit a heavy infestation with great value in the cause of death. In the human being an infestation of one cell in a hundred is a fair grade of malaria; such a relation is apparently common in birds, and we have repeatedly seen a much heavier seeding while Plimmer reports as many as 70 per cent. of the erythrocytes to be carriers of hemogregarines (he has seen 92 per cent. in reptiles). Can then the effect upon hemic function and vital resistance be great? It has been our practice to interpret the finding of circulating protozoa or of larval metazoa as merely reducing the resistance of the birds so that they succumb more readily to incorrect food, strange environment or infection.

94It is perhaps well to show the state of our records in the Passeres by a table.

Passeres—Secondary anemia associated with intestinal or visceral parasites 11
  blood parasites 9
  intestinal inflammation 6
  skeletal diseases and chronic infection (osseous) 3
  nephritis 4
  miscellaneous and unassociated anemias 8
  (entries in this line not included under any other heading)  
  Total cases 37

In the first group, two of the birds showed cestodes, one a tænia, the other not examined for identification; three showed coiled filaria in the air sacs, two, tropidocerca in the proventricular wall and five had coiled filaria in the serosa of the stomach. The second group was infested five times with Halteridium and five times with embryo filariæ. Anemia was associated with gastrointestinal inflammation alone only once, the remaining five cases having other finding of greater significance. The three birds of the next group concerned one with tuberculosis, one with mycosis and one with a long continued abscess. It seemed worthwhile to separate four cases of anemia in which nephritis was a prominent association, in three indeed being the only other diagnosis. While it is impossible to state that either is dependent upon the other, and they may of course be coincidental, it is nevertheless noteworthy that such an obscure relation occurs here as well as in human pathology. In one of these birds seen recently there was in all probability a distinct hemoglobin anemia suggested by jaundice, pallor of the tissues, absence of pigmentations and the finding of large pale erythrocytes in the heart blood. The last group is a mixed one including some birds in which only anemia was diagnosed, others with prolonged hemorrhages, two tumors, intestinal sand, congestion of the lungs and the like.

The parrots and their relatives are represented by nine specimens, among which two had proventricular 95spiroptera, two had long standing tuberculosis and two had osteomalacia. The notes of the other three are not sufficient to warrant deductions.

Herodiones showed eight cases of anemia, five herons, one bittern and two storks. Parasites are noted in only three examples, herons, and it is noteworthy that these all had flukes in the proventricle or intestine; one also had ascarids in the proventricle. Two of this order suffered with long standing inflammation following bone injuries. Perhaps the outstanding features of this order are the erythrocytic picture and the condition of the spleen. The red blood cells seem very fragile or soft, for one often encounters in their fresh or stained preparation vacuoles or rifts in the protoplasm surrounding the nucleus. At first we thought these were hemosporidia, but repeated attempts at their coloration and the absence of pigment granules seem to warrant an assumption that they are artefacts. In five of the seven instances there is very definite evidence of present or past activity of the spleen. We have not always considered it sufficiently prominent to call it a splenitis, but follicular activity is commonly discoverable, and two cases of definite fibrosis are recorded. The sun bittern (Eurypyga helias) showed a chronic interstitial nephritis in the atrophic stage. No other of the wading birds showed secondary anemia. There are seven cases among the pigeons (Columbæ) where anemic tissues attracted our attention. Three were associated with osteomalacia, in one of which the marrow picture was that of an aplastic form being everywhere pale and flabby without cells under the microscope; it is further interesting in this case that there was a distinct but ineffectual attempt at bony regeneration by the periosteum. In another case, this time brought to death by an enteritis and cloudy swelling of the viscera, the marrow was hyperplastic and red, there being activity in the basic staining areas of the head and in the shafts. (Notes of the third case scanty.) None of the seven cases seems to 96have been associated with animal parasitism; one had tuberculosis. The other cases are obscure and not definitely connected with other pathology.

Ten more cases of anemia were scattered among seven orders. There is nothing striking or even individual about them worthy of special mention.

Summary of Secondary Anemia.

A review of our records shows that among 5365 animal autopsies we have recorded anemia of probable secondary character in 122 instances, 53 (2.8 per cent.) mammals and 69 (1.9 per cent.) birds. The orders represented, with the percentage for the order, are Primates, 25 or 5 per cent.; Carnivora, 18 or 3.7 per cent.; Ungulata, 3 or .8 per cent.; Marsupialia, 4 or 2.2 per cent.; Rodentia, 3 or 1.5 per cent.; Passeres, 37 or 2.7 per cent.; Psittaci, 9 or 1.3 per cent.; Herodiones, 8 or 8. per cent.; Columbæ, 7 or 4.7 per cent.; Picariæ, 2 or 2.3 per cent.; Striges, Galli, Gaviæ and Accipitres, each one case. A consideration of their associated pathology reveals the fact that four changes are prominently associated with secondary anemia, to wit: gastrointestinal inflammation, 26 times (15 mammals and 11 birds); parasitism, 29 times (7 mammals and 22 birds); osteomalacia, 24 times (18 mammals and 6 birds), and nephritis, 18 times (12 mammals and 6 birds); a few of these cases overlap, but this is rather the exception than the rule, and this does not militate against the importance of the connection with anemia. It will be noted that practically all the important orders of animals are represented, including species from all over the globe. There is, however, no especial relation of anemia to the kind of diet or digestive tract. Conclusions as to the meaning of these figures of incidence are hardly justifiable. In so far as the blood picture is concerned we can only record the qualitative appearance and the effect upon tissues. It cannot be stated that to external observation a secondary anemia 97presents any distinguishing features that a specimen in poor condition may not exhibit. The monkeys formerly dying of tuberculosis had not infrequently pale buccal mucosa and skin around the eyes, but upon examination of their viscera, blood or marrow the quality of their blood could not be called greatly substandard. Slide smears of secondary anemia in many specimens would occasionally show stippling or a moderate number of nucleated cells with anisocytosis and poikilocytosis. This is much more frankly exhibited in the Aves, wherein displaced karyolytic or pyknotic nuclei are very common. Mention has been made of the rifts in the protoplasm, seen in Herodiones, and this has been observed in other orders. Perhaps the most striking change is the increase of young erythrocytes and of thrombocytes in the winged creatures. The nucleus of the former reminds one of that of the human plasma cell.

The condition of the bone marrow corresponds with fair accuracy to that which one is accustomed to see in the human being. Certainly this holds good for the mammals, while among the birds, the few observations upon which we feel like relying indicate a nodular erythropoiesis of rather striking character. In the areas of reddening as seen grossly there will be found under the microscope an orderly arrangement of large red cells with loose chromatic nuclei about a very much larger cell of the same type, apparently the primary erythroblast. Outside of this group, red cells such as appear in the circulating fluid, are rather irregularly distributed in a marginal zone. I have seen small areas like this in apparently normal marrow, but the central grouping was not so large as in the anemic cases; it thus appears that we probably have the anatomy of erythropoiesis.

The deposition of pigment in the birds is in much coarser granules than among the mammals, in the former case large masses sometimes obscuring several liver cells 98or apparently blocking a lymphatic sinus; the Kupffer cells do not seem to be heavily laden.

The extramedullary formation of blood cells has been a matter of considerable interest and study in the human being, and as far as it concerns the circulating mononuclears, the general opinion seems to be that such a histogenesis exists. A decision in the negative is perhaps reached by the majority in the case of erythropoiesis, and as far as my observations go, this holds for all mammals. It seems worth while, however, to record an occasional finding in some birds, especially anemic ones, which may be of importance in their erythropoiesis. The adult red cell is a clearly formed ellipse with a distinct, deeply stained, sharply outlined nucleus of a shape corresponding to that of the whole cell. Young red cells have a more nearly circular outline but almost truly circular nucleus, the short diameter being at least proportionately greater than is the corresponding short diameter of the whole cell; this is also the nucleus whose internal structure resembles that of the human plasma cell. Groups of such cells have been seen in the interstices of the liver, sometimes as many as twelve, in a rather orderly formation. An excess seems at times visible in the spleen but not in orderly arrangement. Observations are under way toward determining the relation of this finding to the amount of marrow, the condition of the blood and the habits of the bird.

Primary Anemia.

As already specified primary anemia is apparently causeless, aside from the assumption that it is a disease of the marrow itself. Since there are only four cases, representing three orders and they cannot be grouped as could the secondary variety, the individual instances will be discussed separately.

Ring tailed Bassaris (Bassariscus astutus). Adult died after two weeks’ stay in the Garden with a history of general failure of condition. 99The diagnosis at autopsy was primary anemia, fatty degeneration of the liver, hemorrhages in intestines and spleen, hyperplastic bone marrow. The external appearance is of general good condition, fair skin, mucous membranes pale. Lungs collapsed, and gray-red. There are several small hemorrhages scattered irregularly throughout respiratory tissue. Lymph Nodes—small, soft mottled gray-red. Pericardium had slight excess clear fluid, and no adhesions. Heart normal in size, and of pale brown color. The liver of normal size, smooth surface and sharp edges, of a pale brown color, soft and friable. Has indistinct markings like yellow brown mottlings on section surface. gall-bladder contains some viscid brown bile. Spleen, normal or slightly less in size, consistency firm, capsule pale pearl gray, apparently not thickened. There are numerous small hemorrhagic spots on section surface. Interlying pulp is homogeneous deep red. Follicles not visible. Kidney, normal in size and shape. Trabeculæ faint. Capsule smooth, strips easily, smooth surface, and brown. Consistency soft. Medulla prominently striated, cortex homogeneous salmon pink. Stomach contains a little glistening mucus. Mucosa pale, flat yellowish, slightly opaque. There is a recent clot lying in some mucus just above pyloric valve. There is, however, no open vessel nearby. From pylorus to anus lumen contains some rather fresh smeared out or slightly clotted blood and mixed in with mucus. Mucosa is flat translucent, submucosa slightly injected in a mosaic fashion, otherwise gut wall is negative. No recognizable food present. Follicles not visible. Mesentery glands small, soft, pale yellow. Bones seem entirely normal. Marrow of long bones is firm, bloody. Marrow of ribs also deep red. Blood in intestinal tract is probably a recent slow oozing from intestinal walls, and was probably the last straw. Cause of this anemia could not be determined. Blood preparation not made because it was too long after death. Liver shows moderate fatty infiltration of marginal areas. Pigment is scarce, only a few granules being present in the Kupffer cells, not more than is often seen without marked anemia. There is a slight increase in interstitial nuclei but not in fibres. No obstruction or increase of bile ducts.

Kidney.—Very mild swelling of tubular epithelium but no exudative processes. Glomeruli show a few vacuoles but capsular space is negative to pigment. Bone marrow (Femur) fairly cellular in construction, but fat well mixed. Cellular areas well arranged, active, most of cells are small members of the larger mononuclear variety. Small lymphocytes abundantly represented. Most of the larger cells are non-granular, with centrally placed nucleus. Megakaryocytes fairly numerous, nuclei seem closely jammed into centre. No recognizable certain nucleated red blood cells, moderately number stippled cells, few adult red cells. Eosinophiles and basophiles quite few. Pigment small quantity.

This is a case of primary anemia of moderate severity and short duration, and probably of hemolytic character 100if one may judge by the bone marrow, although excessive pigmentation of the liver and kidneys was not found. Unfortunately the spleen was not minutely studied, nor was the central nervous system investigated. Atrophy of the intestinal tract did not exist.

Two cases occurred among the monkeys, but one example will answer, since the two were essentially the same.

The case to be cited was that of a Japanese Macaque (Macacus fuscatus). ♀ Young, weight three pounds two ounces, exhibited in the Garden about four months, and apparently in good shape until two weeks before death when it rapidly became emaciated.

Diagnosis.—Aplastic anemia, chronic atrophic gastritis. Atrophy of heart muscle, fibrosis of liver, slight local cloudy swelling of liver. Perilobular diffuse nephritis (subcapsular type). Congestion of spleen. Fibrillar fibrosis of spleen. Hemosiderin pigmentation of spleen. Local amyloid infiltration of spleen. Calcareous infiltration in medulla of adrenal.

Coat only fair, body emaciated. Pale muscles, fat scanty. Respiratory tract normal throughout save for slight emphysema. The Pericardium showed no fluid or adhesions. Epicardium glistening and slightly thickened. Heart pale in color. Abdomen shows no fluid or adhesions. Liver slightly decreased in bulk, smooth surface and sharp edges, hard, and rusty brown. Gall-bladder distended, contained green fluid. Spleen firm and normal in size. Capsule smooth, shape normal. Section surface, dark reddish brown, trabeculæ distinctly visible. Kidney, normal in shape, capsule smooth, strips easily, smooth surface, glistening, pinkish gray, consistency hard. Section surface, poor demarkation between cortex and medulla. R. Adrenal, thick orange yellow cortex, solid small brown medulla. Mouth and teeth normal. Stomach distended, contains gas and small quantity yellowish mucus. Mucosa everywhere normal. Postmortem blood examined, stained by Romanowsky, but red cells were disintegrated possibly by laking so examination is not satisfactory. Histological Sections: Heart shows normal epicardium quite free of fat. Myocardium peculiar in that fibres immediately under epicardium show marked broadening in a very narrow rather sharply indicated zone where nuclei are extremely large although not especially chromatic. Transverse markings here easily, although faintly recognized, have very indefinite borders, their longitudinal fibrillæ being ranged in form of a coarse reticulum. This comes about from frequent and extensive lateral anastomoses with fellow fibres giving appearance of a syncytium. In deeper parts, fibres are of more normal size but nuclei are still large and fibres, now cut in transverse section do not appear to anastomose so freely; there appears to be a slight excess of fibrous 101tissue in their deeper parts. Arteries quite normal. Atrophy with regeneration.

Liver.—Capsule and interstitial parts on whole normal. Perilobular fibrous tissues largely missing, but where remaining show an overgrowth occurring in peculiar zonal arrangement and of old adult almost hyaline type. Its fibres are often arranged strikingly in whorls. Bile ducts, arteries and veins quite normal. Parenchymal cells of normal size, finely granular, prominent normal nuclei and contain small quantities of finely granular, golden brown pigment not really as abundant as commonly seen in severe anemias. Blood capillaries narrow, contain small quantities R.B.C., and Kupffer’s cells very frequently contain fine granules like those of parenchymal cells but of a greener tint. In a few isolated areas parenchymal cells distinctly more swollen than others and many show disintegration of nucleus. Hemosiderin pigmentation. Perilobular fibrosis. Slight local cloudy swelling.

Kidney.—Capsule smooth, interstitial fibrous tissue of organ proper highly fibrosed in peripheral parts, but slightly in deeper. No lymphocytic infiltrations anywhere or sclerosis of vessels. Tubular epithelium highly atrophic in subcapsular regions where tubules are narrow. In deeper parts epithelium is at times so swollen as to occlude lumina, where they are coarsely granular and occasionally show some karyolysis, a pink hyaline or finely granular material. Tufts never show fibrosis, normal size. Bowman’s capsule heavily thickened. Chronic diffuse nephritis (subcapsular type).

Spleen.—Slightly hyalinized capsule, normal thickness. General reticulum of pulp slightly fibrosed and poor in lymphocytes. Sinuses broad, crowded with red blood cells, but only small numbers of lymphocytes. Coarse granular blood pigment abundant, showing greenish cast on focusing. Malpighian follicles normal size, slightly fibrosed, and in several instances show a deposit of smooth pink material between cells. Congestion. Fibrillar fibrosis. Hemosiderin pigmentation. Local amyloid infiltration.

Adrenal.—Organ appears normal in all respects save for presence of a few small irregular areas of calcification in medulla. These occur apart from any recognizable necrotic or fibrous areas. In one place one appears to lie within lumen of blood vessel. No fibroses or special congestions anywhere in organ, and cells show normal details and normal numbers of vacuoles. Calcareous infiltration of medulla.

Stomach.—Muscular tunic normal. Submucosa thin, has densely arranged bundles of smooth, pink character. Mucosa distinctly thinned, shows comparatively few regions holding acid cells, consisting for most part of peptic type of gland. These are short and of broader calibre towards lumen than deeper, suggesting a hyperplasia of luminal portions; stroma richly infiltrated with lymphocytes, not fibrosed or congested. Epithelium of crypts has rarefied appearance, shows no special degenerative changes. Chronic atrophic gastritis.

102Bone marrow appears as widely separated large, fat globules with intervening granular edematous material and no hematopoietic elements. Blood capillaries numerous and highly congested.

Although the notes fail to discuss the gross appearance of the bone marrow, the amount of alteration in its microscopy and the relatively small output of pigment in the liver, seem to substantiate the determination of aplastic anemia; it is unfortunate that the blood smears could not be used in the decision. At all events the condition of the intestinal tract, of the heart, liver, spleen, and adrenal, justify us in classing the case as one of primary anemia. The next and last instance is of the same type, although I am inclined now to differ from the diagnoses made at the autopsy table, that of aplastic anemia, and to place it in the hemolytic variety. The rapidity of the fatal attack, the redness of the marrow, the excessive pigmentation, and the prominence of recent degenerative lesions in the organs are much more like the changes of a primary hemolytic intoxication than of an aplastic anemia.

Gray Fox (Canis cinereo). ♂ Weight four pounds, adult, was in the exhibition two years, but in good condition until two weeks before death, when it stopped eating and rapidly fell away.

Diagnosis.—(Aplastic) Primary anemia. Zenker’s Hyaline of heart and skeletal muscles. Mucoid degeneration of bone marrow. Congestion of bone marrow. Atrophy of hemopoietic elements in bone marrow.

Hemosiderin pigmentation of liver. Atrophy of liver. Congestion of liver. Congestion and fatty infiltration of kidney. Patulous lumina in adrenal and absence of pars glomerulosa.

External appearance of coat good. Decomposition advanced in intestines. Skin and subcutaneous tissue faintly yellow. Poorly developed, dark muscles and fat. Respiratory tract normal throughout. Pericardium glistening, transparent, and pale, with no adhesions. Heart a little too pale, consistency slightly soft. Normal or slightly increased size of liver, with smooth surface and sharp edges, consistency friable, and of a brownish red with rusty coloring. Spleen normal. Kidney normal in size, shape, location, and consistency. Capsule strips easily, and of a faintly yellow, under general red, coloring. Adrenal normal. Mouth and teeth normal. Stomach, serosa and wall normal. Mucosa shiny, autolytic, muddy red. Ileum, agminated follicles swollen. Feces from colon examined microscopically. Pancreas normal. Bone marrow 103tibia and femur gelatinous and red, not slightest trace of yellow. Blood films from heart’s blood show poikilocytosis and anisocytosis; only one nucleated red.

Microscopic Notes.—Heart has torn but normal pericardium. No abnormalities of interstitial tissue or vessels. Fibres of normal width but show transverse markings irregularly since cytoplasm becomes hyaline and swollen in many places along its course. Nuclei prominent, slightly pyknotic. Zenker’s Hyaline.

Bone marrow consists of a matrix of granular or fibrillar mucoid tissue within the delicate reticulum of which highly developed capillaries are placed, together with stellate spindle and sealring cells. In a few places only are myelocytes recognizable and then in decreased numbers. Plasma cells sometimes found containing much blood pigment.

Liver.—Capsule normal; perilobular fibrous tissue only slightly overgrown, moderately infiltrated with lymphocytes and heavily with blood pigment. Arteries, ducts, veins, normal. Parenchymal cell a little smaller than normal with nuclei of normal type, and crowded with fine granules of blood pigment. Latter lie in usual pericanalicular position. Blood capillaries narrow, moderately congested and Kupffer’s cells also contain abundant pigment granules.

Thyroid.—Interstitial framework shows no fibrosis or cellular infiltrates. Blood vessels normal. Acini fairly uniform in size, none ever attaining large proportions, but some being distinctly below normal. They are uniformly filled with a very pale pink hyaline material which in some way gradually increases in color intensity toward one side, attaining in a few examples usual intensity of colloid. Lining epithelium is low cuboidal, shows no special hyperplastic features or atrophy.

Kidney.—Capsule normal. Interstitial tissue normal. Blood vessels slightly congested. Tubular epithelium granular, disintegrated and frequently contains numerous fat globules and obscured nuclei. Lumina of about normal size containing variable quantities of pink granular detritus. Glomerular tufts normal in size and appearance. Subcapsular space and Bowman’s capsule normal.

Adrenal.—Capsule and pericapsular tissue normal. Parenchymal cells throughout poor or practically free of vacuoles, such appearing in only limited portion of pars vesicularis. Interstitial framework and vessels normal. Structure of columns in pars vesicularis is peculiar in that they extend quite to capsule with no intervening pars glomerulosa, and again in that most peripheral parts are expanded at times showing a lumen, while deeper parts show broad cells extending fully across the column. Pars reticularis contains no pigment and medullary cells quite normal. Skeletal muscles show comparatively few fibres with transverse markings. Most are swollen, hyaline, lumpy, and have pyknotic nuclei. Interstitial parts show no inflammatory change.

Tissues treated by Prussian blue test for iron. Kidney, adrenal, heart found to contain none. Spleen, liver contain abundance. That in spleen responds to test showing that it is all iron containing. Two kinds of 104pigment found in liver. In periphery of lobule as much contains iron as that which does not, while in deeper parts iron predominates. Many times both kinds are recognized in one cell. On the whole it is the finest granules which contain more iron (are bluer) while iron free pigment occurs in bile canaliculæ. That in Kupffer’s cells stains strongly blue.

Summary of Primary Anemias.

A review of these instances of grave anemia brings one to the conclusion that there is a strong similarity to the disease in man. Perhaps we have constructed a picture that is too narrow for the animal kingdom in general, but surely these few instances deserve to be distinguished from the secondary cases already presented if for no other reason than that no associated etiological condition was exposed. It was hoped in studying the anemias of lower animals, and this hope extends over all the subject of this book, to be able to throw some light upon causation. The thought of incorrect diet came at once, but we are confronted with the paucity of cases among our records. Moreover, secondary anemia from digestive and dietetic troubles is clear, but how we can use this argument for an essential change in hematopoiesis and natural hematolysis, is far from evident. It will be noticed that I have studiously avoided grouping any case with parasites among the primary cases, nor will there be found any evidence of generalized infectious disease. Most of the reported instances of pernicious anemia in the lower animals have been associated with one or other of these factors, although certain authors (Kitt, Hutyra and Marek) maintain that a causeless variety probably exists.

Leucemia.

This condition is fairly well recognized by veterinarians as occurring among domesticated animals, but in the records of this Garden it has occurred rarely, indeed only once in a mammal and but five times in birds. It is interesting that, in the wealth of material at the disposal 105of Plimmer and his associates, only one case, a polecat with lymphatic leucemia, is noted, and but very few avian instances. Herewith is submitted the protocol of our single mammalian case; perhaps we have missed others of a mild grade dying during the early stages because their resistance to infection was reduced. Unfortunately, perhaps because of the postmortem changes, but more likely because it appeared at first as if we had to do with a case of generalized tuberculosis, the bone marrow in this case was not examined. Nevertheless the infiltrative character of the lesions, the absence of distinct tumors and the numerous mononuclears in the blood as seen in sections seem to justify a diagnosis of leucemia, in all probability of the lymphatic type. There follows this case one with similar gross and microscopic picture which has no visible increase of leucocytes, but a very distinct myeloid picture in many places.

Common Opossum (Didelphys virginianus). ♂ Adult. No evidence of illness. Found dead. Lymphatic leucemia (involving all viscera and lymph nodes). Diffuse nephritis. Both lungs have become entirely involved in a firm, gray-yellow mass not adherent to any serous surface. Practically no normal lung tissue is left. This seems like tuberculosis but no tubercle bacilli could be found in a good smear. Estimation of the normal cubic capacity of an opossum lung was made to be about five cubic inches. In this case not over one-half cubic inch remained respirable. Bronchial lymphatic glands were enlarged, firm, yellow gray, with no recognizable lymphatic tissue. Heart muscle was firm and flaccid, pale and striated. Liver very large, firm and tough, with smooth surface and sharp edges. Color pale brown. Section surface glistening, dry, smooth, opaque. Common bile duct patulous. Spleen, slightly increased, firm, tough consistency, capsule smooth. Section surface, smooth, firm, brown-red, pale pulp, prominent follicles, and trabeculæ faintly visible. Right kidney, slightly decreased, normal in shape. Capsule smooth, strips with difficulty, tears surface. Surface, granular, color brown, consistency firm. Thickness of cortex, narrow irregular, markings irregular and obscure. Small mass of fibrous material in cortex about 3 × 3 mm. like those in lungs. There are also numerous pale yellow gray areas in cortex and outer medulla, round and streaky, distorting the striated architecture. Right adrenal converted to a yellow gray mass like lungs. The mesenteric and retroperitoneal lymph nodes are firm, gray-yellow. This includes those under diaphragm and around cœliac axis.

106The histology of the organs may be described together. The infiltrate described is a densely packed mass of large cells with large, well staining nuclei and a very narrow rim of protoplasm. It is not limited by any definite wall or septa. It has no interstitial tissue. There is no blood supply in the densest masses but the walls of the blood vessels remain intact wherever the mass surrounds them. In the lungs it has involved all structures indiscriminately, and has destroyed practically all of the respiratory surface. It seems to follow by preference the peribronchial space. A few glands may be seen in the centre of this mass, but they are rapidly undergoing degeneration. In the liver the infiltrate is chiefly beneath the capsule extending inward but a very short distance. There are no large masses as in other organs but small infiltrates are seen at the portal areas. The spleen shows a diffuse excess of pulp cells and many of the cells above described, the difference being only in the size of the nucleus which is smaller in the pulp cells. There are very small round cells relatively. Follicles are absent, connective tissue not altered. Note states follicles prominent; this is due to nodal hyperplasia of the large mononuclears above described. The parenchyma in the kidney is anemic, the epithelium is slightly pigmented but this is probably not abnormal. Between the tubules especially of the outer layer of the medulla and medullary ray but also in the cortex and around the glomeruli are diffuse, irregular, infiltrating masses of the cells as described above. In some places in the kidney hyaline casts are being formed probably due to the degeneration of the epithelium by pressure. There are a few distentions of the tubules. The capsular space is free. In the neighborhood of the collections the capsules are a trifle thicker than normal. Lymph nodes, similar to spleen in that most of the bodies are thoroughly overrun with the large mononuclears. The sinuses, both marginal and internal, are practically obliterated by these cells. In the blood vessels of the lungs and liver there are many large mononuclears, perhaps not as large a number as might be seen in leucemia, but decidedly in excess of normal.

Common Marmoset (Callithrix jacchus). ♂ Adult. Had cage paralysis for two months before death and declined gradually from that time.

Diagnosis.—Bronchopneumonia. Myeloid hyperplasia of bone marrow. Myeloma in pancreas. Fatty degeneration of liver. Constipation. Nematodes in cecum. Animal is thin, skin bare in spots. Both lungs are pale pink with large areas of deep red consolidation. Heart is dilated, increased in size with firm, red-brown muscle. Liver is firm, red-brown, with smooth surface and sharp edges. Section surface is glistening, smooth and moist. Lobular outlines are clear by reason of pale lines. The gall-bladder is normal in size and contains fluid pale green bile; duct patulous. Spleen is normal in size, smooth capsule, soft, purple pulp, follicles small and faint, trabeculæ fairly prominent. Kidneys normal in size and shape. Capsule smooth. Section surface smooth and brown and firm. The glistening section surface has a narrow cortex, 107swells slightly, with prominent striæ. Intestines throughout are pale on serosa. Wall thin. Mucosa flat, pale pink. Contents creamy mucus in the upper intestine. Large intestine contains large masses of very firm feces. Cecum is distended with feces and a great quantity of nematode worms. They are not attached to mucosa nor does mucosa seem altered because of their presence. Skeleton and muscles.—Long bones of extremities break easily, but with snap. Skull can be dented with fingers. Bone marrow of femur bright red.

Microscopical Notes.—Liver shows moderate degree of fatty degeneration with capillary congestion. Kidneys negative. Some postmortem change in last two organs. Spleen, marked congestion. Hyperplasia of large lymph cell type, particularly in follicular centres. Blood destruction moderate. Bone marrow seen in condition of marked activity of myeloid type. Aside from enormous crowding of strands there does not seem to be any atypical cell. Intestines show practically no change. Same condition holds in pancreas. In several places in pancreatic ducts cross sections of nematodes may be found. In among lobules of pancreas is a well encapsulated cellular mass without particular architecture. It consists of cells of large lymphocyte or endothelioid series. There are numerous cells of size and staining characters of small lymphocytes. There are no megalocytes but there are some indistinguishable from myelocytes. This may be an intrapancreatic lymph node. One small lymph node found in section; it shows a picture quite like the marrow except for megalocytes. Blood vessels do not show an excess of leucocytes in free or coagulated blood.

Perhaps this latter case belongs to the aleucemic leucemias or pseudoleucemias. These two conditions are recognized by the difference in circulating leucocytes, a piece of information not at our disposal. The whole subject of hemato-lymphatic affection must remain unsettled in so far as a diagnostic name is concerned, for in very few cases has the blood of our animals at autopsy been in a state permitting reliable observations upon stained smears, because of coagulation, lysis or decomposition. After considering a few more of the diseases of the blood and marrow, the lymphatic apparatus will be considered. But there is a borderland to which a word might be devoted at this time, that group to which various names—Hodgkin’s disease, pseudoleucemia, general adenopathy, adenie, aleucemic leucemia—have been applied and which has been accepted as occurring in the domesticated animals. Since I have been occupied for several 108years in a study of this clinicopathological complex in the human being, such cases have been searched for most diligently, but without success. The New York Zoological Park records a case of Hodgkin’s disease, without specifications, in 1901, and at the London Garden a pseudoleucemia was found. The paucity of leucemia and of the aleucemic adenopathies in lower animals and their relative frequency in man excite speculation as to their interdependence; but more of this under the lymphatics.

Avian Leucemia.

The class Aves is rather better represented in the group of leucemias, but here the well known infectious disease may confuse the picture. The birds affected were Psittaci 3 (1 parrot, 1 parrakeet, and 1 amazon), Herodiones (stork) 1, and Galli (Gambel’s quail), 1. There was no close association of these cases either in time or housing. One of the parrots and the stork had a picture suggesting that given by Warthin for avian leucemia while the remainder presented greater evidence of a generalized infection, such as Moore described, associated with the finding of the B. sanguinarium; this organism was isolated once, but no secondary cases succeeded upon the death of this bird. It seems hardly profitable to quote protocols of this relatively unimportant condition, especially since it is fairly well known.

The separation of the two groups just specified might be discussed, however, for it is by no means certain that they are or are not different. When a pathological picture of leucemia gives a decided impression of an acute infection there are very prominent involvements of the viscera but no lymph nodal masses. On the other hand, in the cases with nodular masses corresponding to the scanty lymph tissue of birds, there is much less infiltrative involvement of viscera and less parenchymatous degeneration. This suggests that they are different 109processes, but an analogous contrast may be found in the pathologic anatomy of acute and chronic leucemia in man, and I am inclined to view them as stages of the same disease. In one of our infectious cases noted above the lesion was certainly myelogenic for the infiltrate in the organs and the cells in blood smears showed an enormous number of eosinophilic and basophilic polynuclears greatly in excess of normal. The study of two of our cases confirms the picture as given for lymphatic and myeloic leucosis by Ellermann[18], but material corresponding to his lymphoidocytes or erythroleucotic group has not come to our attention. Cells with deeply staining basophilic protoplasm and a lymphoid nucleus are certainly to be found with reasonable ease in the avian marrow normally and, more than this, can be detected by careful search in nearly all cellular infiltrates of organs not leucemic in nature. Perhaps, as Ellermann states, they are collateral stages in normal erythrogenesis.

The Bone Marrow.

Since the foregoing conditions so vitally concern the bone marrow, it is but natural to give to this structure a separate consideration. From what is known of the origin, physiology, anatomy and regeneration of the marrow from the work of Ponfick, of Neusser, Bunting, Selling, Werigo and many others, it seems highly probable that the principal conclusions reached in the study of human medicine and experimental pathology, apply to the whole group of animals here under discussion. The peculiar arrangement already mentioned as encountered in the marrow of birds differs little if any from the erythropoietic centres seen in man after experimental anemia, although it may be somewhat more orderly. Myeloblasts or megakaryocytes are not numerously present in any order, but seem more prominent in the mammals than in birds. In so far as the mononuclear 110groups are concerned, one can state with reasonable certainty that they differ little throughout the animal kingdom. They occur in islands, strands, or infiltrate—like groups, are mixed granular and non-granular in character and, with exception of the frankly oxyphilic cells, are distinctly basic in tinctorial affinity. In a case probably myeloma, soon to be discussed, there is not a single acidophilic or multinucleated cell to be found in two sections. As might be expected from the greater eosinophilic content of the circulating blood in the Aves, greater numbers of such cells are to be found in the marrow and they are, understandingly enough, sometimes found in distinct nodes and groups containing mono- and polynuclear varieties. Concerning the platelets, no sufficient data are at our disposal to warrant a general statement. In the avian marrow they can be made out quite clearly, as in the blood, and have a greater diameter and a sharper, more chromatic nucleus than in the higher mammalian blood. Mast cells are quite common in lower mammals and birds, in whose blood they maintain an appreciable percentage, while in the marrow they stand out clearly. It is noteworthy, in the light of Graham’s statement that the hemic basophile is but a degeneration form of the eosinophile, that in the bird’s marrow, large mono- and polynuclear cells with both kinds of granules easily may be found by Romanowsky stain. An increase of eosinophiles, seen in avian as well as in human parasitism, is not necessarily accompanied by basophilia.

Hyperplasia and atrophy of marrow in the lower mammals follow much the same conditions as in higher groups. During acute general infections, as by the paracolon bacillus in carnivores, it is common to find a distinct increase in the mononuclear centres, while in suppurative lesions a polynucleosis results. The bird, however, responds less readily with leucocytes, judged by cross sections of blood vessels and the activity of the 111marrow. The latter may show a myeloid picture, but mononuclears without granules, with deeply staining nucleus and protoplasm, are usually more numerous; two cases recently studied, one of tuberculosis and one of pneumonia with general congestion, had similar bone marrow—pale homogeneous red with distinct mononucleosis, more outspoken, however, in the former case. Pigment is not common in the avian marrow.

The relation of the marrow to general conditions has been mentioned in the foregoing pages, but perhaps the following diagnoses will illustrate other connections seen among our records:

Bactrian Camel (Camelus bactrianus).—Hydatid disease of lung and liver. Hemorrhagic enteritis. Atrophic bone marrow. Calcified areas in thyroid.

American Gray Wolf (Canis mexicanus).—Cretinoid. Hemorrhagic external pachymeningitis with craniotabes. Secondary hyperplasia of thyroid with colloid. Chronic lymphatic hyperplasia. Chronic interstitial nephritis. Chronic enteritis. Osteogenesis imperfecta. Hemorrhagic bone marrow. Concentric hypertrophy and dilatation of heart.

Myeloma.

Perhaps no pathological condition has given rise to more varied opinions than the tumor-like hyperplasias of the bone marrow, growths resembling bone sarcoma with and without giant cells—myeloma, chloroma, pseudoleucemia ossium and many others. In brief only two cases occur in our series which could be admitted to this category. There have been osteomata, but they were so clearly local tumors that they cannot be included in myeloid neoplasms that are assumed to be systemic in nature. Here is not the place to engage in a discussion of the correct classification and nomenclature since there are included only the aleucemic newgrowths usually assumed to originate from blood-making cells. The first 112case seems to be a myeloma because of the involvement of many bones and the infiltrates in the liver. Judging by the cross section of blood vessels there is no leucemia, but of course this is not final, although somewhat supported by the normal size of the spleen and lymph nodes; lymphatic structures need not be enlarged in myeloid leucemia although they usually are.

Beechy’s Gopher (Citellus grammurus beecheyi). Adult ♂ . Gradual loss of power in limbs beginning about two weeks ago. No other symptoms.

Diagnosis.—Multiple myeloma. Anemia. Acute parenchymatous nephritis. Chronic ulcerative gastritis.

External Appearance.—General condition fair, hair in good condition. Fully developed animal. Muscles contained no fat.

Respiratory Tract.—Thymus, large soft gray homogeneous. Both lungs are distended, pale, homogeneous, yellow pink, boggy, do not crepitate, but contain no edema. Lymph nodes, small soft anthracotic. Pericardium contained no fluid.

Abdomen.—No adhesions. Size of liver normal or slightly small, firm and pale brown-red. Architecture irregular showing areas of perfect homogeneity and others where lobules are clear outlined by paler interstices. Gall-bladder distended, contains brown fluid. Common bile duct, patulous. Spleen, normal or slightly small, consistency soft, capsule smooth, location normal; section surface, homogeneous pale pulp, faint trabeculæ. Kidney normal in size and shape, capsule smooth, strips easily, smooth brown surface; section surface glistening, opaque; consistency firm; thickness of cortex normal and of medulla normal; homogeneous cortex, glomeruli not visible.

Adrenal.—Narrow, brown, opaque cortex; pale brown, opaque medulla. Bladder, small quantity of cloudy urine showing albumin, bile and many granular casts, few hyaline casts. Teeth carious broken; mouth pale. Stomach distended; serosa and wall pale, contained gas; mucosa pale, flat, translucent except in pyloric segment where it is slightly thickened, irregular, opaque and there are several saucer shaped depressions covered with black, shiny material; these seem like sluggish ulcers. Intestinal tract throughout seems normal save for its pallor. Few natural fecal masses in lower gut.

Skeleton and Muscles.—All bones are irregular in thickness, very brittle and show in their length irregular swellings made up of periosteal growth and probably increase in marrow. The latter is pale yellow with punctate hemorrhages. Skeleton seems too soft to give support, but there is little deformity.

Microscopy.—Bone section shows a myelomatous growth of costal marrow, new myelocytes predominating. The cells are packed in disorderly fashion through the marrow. They are chiefly lightly granular 113but a few distinct promyelocytes are found. The hyperplasia is invading cartilaginous bone with absorption. In some places cartilage is of fetal type. Perichondrium is active but there is no round cell infiltration. Ossification is imperfect at costochondral junctions. Kidney shows granular and vacuolar degeneration of epithelium with flattening of tubular lining. Nuclei are for most part normal. Epithelium of tufts and Bowman’s capsule is likewise granular and vacuolated. Distal and discharging tubules seem to be most affected. No well defined casts are found.

Liver.—The fine markings mentioned in the notes correspond to areas of infiltration of large pale mononuclears without granules. There is no fibroblastic or polynuclear increase around them. Very small necroses seen in hepatic lobules. Very slight increase of connective tissue is noted.

This seems to be a tumor of true myelocytic origin; none of the cells was of the plasma type as usually depicted. The second case stands in the files as a myeloma, yet the full description and slides have been mislaid. It is cited briefly for record.

Samoli Ostrich (Struthio molybdophanes). Adult ♂ . Would not eat for three weeks.

Diagnosis.—Tuberculosis of lung, liver, spleen, kidney, mesenteric and cervical lymph glands. Myeloma of periosteum of pelvis.

Skeleton and Muscles.—Large tumor mass lying on inside of pelvis measuring about ten inches by twelve inches with a thickness of about four inches. It is sharply defined and separated from adjacent muscle by a capsule. Inner border is directly below the peritoneum, and outer border lies directly on bony pelvis. Traced to its origin it seems to come from pelvis yet tumor peels off bone easily, leaving a rough surface. The tumor is soft and succulent, of a red gray color and contains some fat and much irregularly placed masses of bony tissue.

114

SECTION V
DISEASES OF THE LYMPHATIC TISSUES INCLUDING SPLEEN

Since we have followed diseases of the blood from the simple anemias to a place where mononucleosis in the circulatory system and in the fixed tissues is the prominent feature, another step reaches the area whence most of these cells emanate—the lymphatic system. The anatomical and physiological position of the lymphatic circulatory apparatus is closely analogous in the classes under discussion, and it stands in an anatomico-clinical sense, closer to the hematopoietic system than to any other structures, throughout the whole animal creation. This anatomical division of the circulation is closely comparable, for pathological purposes, in the mammals whereas in the birds one finds noteworthy variations. In the class Aves lymphatic radicals are extremely numerous, the plexuses in the extremities and thorax perhaps being complemental for the rather scantily supplied blood vessels. About the fibulo-tibial and femoral muscles the tiny lymph vessels form an extraordinarily dense and intricate lacework, a replica of which may be found in muscles of the upper limb, while in the pelvis and thorax a rich plexus is distributed around both kinds of blood vessels and also lies within the walls of air sacs. The air sac walls in the chest display lymphatic lines very well in birds that have been for many years exposed to railway dust, the natural pearl gray glistening membrane looking as if black pepper had been evenly dusted over it. The lymph glands or compound nodes so easily discovered in mammals are practically absent in birds. Along the large thoracic vessels and in the pelvis of some anserine and struthious varieties, small illy defined masses of lymphatic tissue may be discovered by careful 115search but they do not possess nodal arrangement and capsule. Lymph follicles on the other hand, are quite numerous in the respiratory, and especially, the intestinal tract. Groups of follicles may also be found in the lining of the upper ends of these tracts in such situations that the names faucial, pharyngeal, or even tubal tonsils are justly applied. I do not find any reference to a lingual tonsil in birds, but this structure is found, with of course many modifications, down as far as the monotremes. The lymphoid tissue of the nasopharyngeal region is so placed in animals as to be exposed to aerial and food infections, just as it is in man. It is, however, noteworthy that chronic inflammations leading to hypertrophy or to obstruction have not come to our attention. There is only one diagnosis of chronic tonsilitis in our records, a determination based upon the nodular red-brown prominence of the tonsillar region, but there were no true hypertrophy and areas of fibrosis combined with necroses as seen in human medicine; this case concerned a Chacma baboon.

Hyperplasia.

In so far as the reaction to infectious or toxic agents is concerned there seems to be a fairly uniform character through the mammalian groups, but in the Aves there are a few differences worthy of mention. It is at once admitted that these observations upon birds are based upon a very few sections of isolated lymphatic tissue, but they are supported by records of the changes in nodes in mucous membranes and viscera, and by those in the spleen. The first and perhaps most noteworthy difference is in the paucity in birds of large mononuclears of the endothelial type. Their position in chords, sinuses and germinal centres is taken by deeply staining mononuclears, of the size and general character of large lymphocytes as seen in the blood. The hyperplasia in the follicles is much more dense but it is outdone by that in 116the chords. Since the nodal tissue of birds is not so sharply delimited by some sort of capsule, it is but natural that the hyperplasia should be diffuse; in the intestinal wall it may extend laterally twice or thrice the width of the normal follicle. Necrosis, unless the disease be mycotic, tuberculous or parasitic, is uncommon.

It may be well to discuss for a space the reaction to infection of the thoracic and intestinal lymphatics in mammals. The amount of lymphadenoid tissue in the mediastinum is very great in some mammals, notably the Ungulates, while in others, the Rodents and Primates, for example, it is not so plentiful. Nevertheless the gross and minute changes are usually of the edemato-exudative type—large, pink, soft, moist glands. In the abdomen, on the other hand, one usually finds well outlined, firm, yellow nodes in the mesentery and behind the peritoneum. This is not only to be discovered in various chronic diseases of the intestine but even in acute, so-called toxic enteritis seen in carnivores from food poisonings. One must therefore ask if the local nodes abundant in the intestinal mucosa do not take up the poisons which cause the acute hyperplasia and are in turn backed up by the stalk glands. Even in so acute and overwhelming a disease of the intestine as hog cholera (which we have not had here) the glands retain their general structure, although hemorrhagic, while in late stages they become firm, sharply outlined and pigmented. In birds there may be swelling of the omental bursæ, but as there are no lymph glands no masses are found.

The response on the part of the lymphatic tissues as a system, or some large section of this system, is shown in the following figures. It is our practice to include in the diagnosis general acute or chronic lymphadenitis or inflammation of a large drainage area. Acute changes have been mentioned 103 times, in which the important orders are represented as follows: Primates 21, Carnivora 46, Ungulata 15, Rodentia 3, Marsupialia 13, 117Pinnepedia 4. Chronic changes are mentioned 43 times as follows: Primates 7, Carnivora 19, Ungulata 14, Marsupialia 1, and Pinnepedia 2. This great proportion among the Carnivora does not indicate that they have more lymphatic structures for such an advantage is probably possessed by the Ungulata, but perhaps should be interpreted as an evidence for this order of the ready response to irritation on the part of the tissues in question. They probably suffer more, as we shall see later, with inflammation affecting drainage tracts. The hyperplasias or inflammations included in the figures above most often accompany gastroenteritis, pulmonary diseases or long standing infectious processes such as arthritis, while there are also lymphatic enlargements both local and general, associated with skeletal degenerations (rachitis-osteomalacia) and with thyroid disease. The former may be described as lymphadenitis, the latter as lymphatic hyperplasia.

Unlike lymphadenitis, a condition associated with some definite infectious or toxic cause, systemic hyperplasia of the lymphatic tissue may be apparently primary and causeless. In a pathological and clinical sense alike these hyperplasias are protean in their manifestation, making a satisfactory classification extremely difficult. For our purposes they are divisible into acute and chronic, associated with an increased number of circulating lymphocytes and without such a lymphocytosis.

The first, acute systemic lymphatic hyperplasia, is known in man as status thymicolymphaticus, a well recognized condition chiefly encountered in youthful males having some of the stigmata of the opposite sex. There is no record, nor have I any recollection of a pathological state in a wild animal comparable to this condition.

If acute generalized lymph node increase be associated with lymphocytosis, acute lymphatic leucemia exists; there is no case in our records. Chronic enlargement of lymph nodes with increase of circulating mononuclears is 118chronic lymphatic leucemia; a case of this has been cited under leucemia.

Lymphomatosis.

Chronic enlargements of the lymphatic tissues without leucemic blood present a bewildering number of varieties, the best known names of which are Hodgkin’s disease, aleucemic leucemia, pseudoleucemia and lymphomatosis. On occasion they are at first localized tumors, being generalized only late in the course; under these circumstances they are usually classed with neoplasms in the form of leucosarcoma and lymphosarcoma. Examples of lymphatic disease answering the above description are limited to two, but even these must be explained in certain particulars. There has already been quoted under leucemia a case of a common Marmoset (Callithrix jacchus) which was probably aleucemic leucemia of the myeloid variety; the enlargement of lymphatic nodes was trifling. The case to be cited answers in most respects to the descriptions of systemic lymphomatosis, but there were found two conditions, enteritis and parasitism, which might be responsible for sufficient general toxemia to stimulate lymph nodes and follicles to a state of active growth. Even accepting these two cases as examples of this group, it is very plain that chronic systemic primary lymphatic hyperplasia is an exceedingly rare entity in wild animals. There has been no case resembling Hodgkin’s disease of man.

California Hair Seal (Zalophus californianus). Young ♂ four months old. Appeared to be in good health, no loss of flesh or activity.

Diagnosis.—Lymphomatosis. Fatty degeneration of kidneys. Emphysema. Chronic follicular and catarrhal enteritis. Nematodes in intestines.

External appearance good. Both lungs distended and are tense; it seems almost like a spastic dilatation—a simple emphysema—beneath pleural surface are many minute petechiæ. Lung mottled red and gray. This color is present on section. Lobules clearly outlined and separable with fingers. Bronchi and vessels widely open, the latter containing small amount of fluid blood. Lymph nodes—Mediastinal, tracheal and those visible in neck are variously but definitely enlarged, firm, irregular 119and roughly nodular, both in appearance and to touch. On section they are red and gray, follicular border not preserved and merging with medulla; connective tissue visible; gray juice expressed. Pericardium normal. Epicardium, glistening, transparent and pale. Heart position, size and interior normal. Abdomen contained no adhesions or fluid. Pale brown-red, firm liver with smooth surface and sharp edges; markings not clear; section surface smooth; watery blood expressed from section. Gall-bladder normal, contents limpid, brown. Common bile duct patulous. Somewhat enlarged spleen, soft, yet resilient; capsule smooth; section surface pulp homogeneous brown-purple; follicles gray, slightly enlarged, clear, sharply outlined; trabeculæ faintly visible, more prominent where they are near follicles. Kidney normal in size, shape and location, with smooth, pale brown surface; capsule smooth, strips easily, section surface glistening, consistency soft yet resilient; thickness of cortex slightly wide, of medulla normal; individual lobules clear yet no increase of connective tissue between; pyramids quite pale; top of medulla a little darker; cortices, pale, striæ quite faint and seem irregular; glomeruli not visible. R. Adrenal—In upper pole are two cysts about 1.5 and .8 cm. across; no scar at this point. L. Adrenal—Wide pale purple, regular homogeneous cortex under very dense capsule; medulla reddish brown, homogeneous, quite bloody. In left adrenal is a pale gray, fairly well outlined area between medulla and cortex at upper pole about 3 mm. across.

Stomach.—Contains glass and stones; mucosa, soft, smooth, flat, yellow and pink, translucent rugæ; cardia about normal; pylorus, valve prominent but probably not hypertrophied. Duodenum—Beginning at pylorus and extending through to ileum where follicles commence, intestine contains small amount white, creamy material, serosa negative, mucosa smooth flat, pale pink, translucent. There are small nematodes, probably uncinaria, some of which are attached quite firmly. Here and there throughout the gut are bits of thickened mucosa or submucosa, 2–5 mm. across. Some of these have a tiny opening from which clear fluid can be expressed. Ileum shows smooth flat translucent mucous membrane; empty; individual follicles faint but discernible. Colon reddened mucous membrane, nematodes and little mucus. Pancreas, soft, normal in size and position, color pink gray. The lymphatics of peritoneal cavity are all enlarged; most of retroperitoneal are also. Regional lymph glands are also enlarged. The description given for mediastinal answers here. The glands of mesenteric stalk present chain of sausage-like masses. Glands in mesentery are but slightly affected. Glands within and without peritoneum at kidney are especially enlarged. Large gland behind stomach and pancreas and in front of upper end of spleen is much enlarged, thick and roughly circular; it shows much fibrosis. The regional glands are distinctly enlarged but proportionately not so much as the internal ones. Smear of juice expressed from peritoneal glands shows large and small lymph cells in about proper proportions. There are a few plasma cells. No granular cells.

120Smear from bone marrow shows enormous number of premyelocytes and mast cells. Polynuclears in their early stages are not numerous. Small groups of lymphocytes, lightly packed together, noted here and there. Blood smears unsatisfactory.

Microscopical.—Lung shows distended vesicles with considerable congestion of septa and in some places red blood cells in alveoli.

Kidney.—Glomeruli contracted, relatively anemic; capsule negative; epithelium throughout in state of granular degeneration probably fatty; connective tissue not increased.

Intestines.—Show slight hyaline change in muscle fibres and nodular degeneration and disappearance of protoplasm, leaving bare nuclei and outline of the cells; submucosa loose; mucosa shows infiltration of round and plasma cells, diapedesis, degeneration and desquamation of epithelium. Section of ileum shows a hyperplasia of lymph follicles with active centre in which large endothelial cells predominate. Small swellings in submucosa consist of chronic granulation tissue, but there is no foreign body and no evidence of preëxistence of a lymph follicle.

Lymph nodes loosely arranged but in places solidly small lymphoid; chords and sinuses contain chiefly small lymph cells in which are some mast and plasma cells; follicles small and loose, and centres contain chiefly large lymph and plasma cells; connective tissue not increased yet there are some fibroblasts in follicles.

Spleen.—Shows almost entirely hemorrhagic pulp; blood destruction not active; follicles large and made up of about equal mixture of small lymph, plasma and large lymph cells; connective tissue prominent probably because of excess of blood around it.

Local Hyperplasias.

In this group and touching the purely hyperplastic, come the hypertrophies of the lymphadenoid tissue of the nasopharynx; this can be disposed of by stating that no true chronic hypertrophies have been seen. With most cases of gastroenteritis in ungulates, and many in carnivores, there is a swelling and redness of the tonsillar region but an exudative or necrotizing process does not occur.

Thymus.

The thymus is rarely visible in our specimens but when found has usually been normal. An increase in size and a decrease of consistency of this organ is noted in marasmus (inanition) from failure of care of the young 121by the parent, but so far as can be determined this has not been adequate to cause tracheal compression. In a few cases of rachitis in the canines, the organ is large and pale along with the rest of the lymphatic system. In one of the tumors of the mediastinum to be discussed, the suspicion arose that the growth originated in the thymus; adenomata and sarcomata have been described in the lower animals.

Tuberculosis.

Tuberculosis of the superficial lymph glands is rare as an independent lesion in the lower animals. Dr. C. Y. White was fortunate in seeing a monkey with a chain of fibrocaseous nodes in the cervical region, upon which before death he offered the suggestion that it was of tuberculous nature. In Primates almost all drainage glands exhibit some miliary or caseous process. One monkey rejected upon the tuberculin test had what was apparently a primary lesion in the glands at the tracheal bifurcation. In the Ungulata, lymphatic tuberculosis assumes two forms, the caseous and the cellular. The former is generally understood while the latter is more uncommon. It is occasionally seen in the “fungous tubercle” of cows, but we have seen it in deer and in another order, Carnivora. In the latter, tuberculosis being uncommon, examples in the lymph nodes were noted but twice, once caseous and once solid; this latter was made up of firm, homogeneous yellow pink masses of glands in the mediastinum, showing under the microscope solidly packed epithelioid and giant cells.

Lymphatic tuberculosis in the birds is rare; only one case is recalled (unfortunately record cannot be found) as small yellow, discrete firm nodules in the mediastinum and neck. The minute picture was of a solid arrangement of large vacuolated mono- and polynucleated cells which were so packed with bacilli that the preparation could not be decolorized.

122

Tumors.

The neoplastic enlargements are represented by a lymphosarcoma of the mediastinum in a Dorcas Goat; there were secondary growths in the liver, the kidney and several isolated lymph glands. Secondary growths from original tumors not in the lymphatic system are curiously rare, certainly much less frequent than is found in the human being. In ninety-two tumors which are known to give metastases, only three involved the lymphatic glands and only one of these could be considered as involving nodes not in the ordinary drainage pathway.

The Spleen.

The spleen is an organ whose exact position in the scheme of things remains mystifying through the whole series of animals. Its functions have been arrived at largely by exclusion, somewhat by conjecture and speculation, while the acceptably proven duties are indeed few. Although this is not the place to enter into a discussion of all the points at issue concerning the anatomy and function of the organ, a few facts might be mentioned of comparative and perhaps pathological value. While the spleen has been looked upon always as the origin of blood cells in the embryo, cases in man are on record where no spleen was discovered, a condition suggesting that its absence is not incompatible with life; that such is the case is obvious for experimental or therapeutic removal of the organ is well known.

It was suggested by Virchow that at times the spleen assumes the duty of the bone marrow and the swelling of the viscus in certain anemias seems to support this statement. However, there is no physical relationship between the size of the animal and that of the spleen, nor between the available quantity of bone marrow, the obvious richness of circulating blood and amount of lymphatic tissue. This is well shown in the water mammals which have a great deal of blood in vessels and viscera yet their spleen 123is relatively smaller than birds of somewhat comparable size (the ostrich, for example). The Carnivora and Rodentia among the mammals, have quite large spleens proportionately, while comparable birds, Accipitres and Striges, have relatively small ones, and an absolutely small amount of marrow.

Another anomalous example of the function of this tissue is found in the hematopoiesis of birds. While there seems to be some evidence that in the spleen and liver red blood cells may be formed, there is perhaps at most times sufficient bone marrow to keep the blood cells at a proper number. There is no inverse relation between the amount of bone marrow and that of splenic bulk; that is in diving birds with their hollow bones the latter is no greater than in gallinaceous birds which have abundant marrow in all the skeleton.

It has been suggested that the spleen supplies an activator for pancreatic ferments. This receives a sort of support from the greater size of the organ in carnivores and smaller relative size in ungulates, since in the former concentrations of digestive enzymes are more often needed. Because of the greater excretion of iron in splenectomized animals or those being starved, Fischer has thought that the spleen has some power to metabolize this element; this receives some support from the statements concerning the size of this organ in the carnivorous orders. From experimental studies it appears that some relation exists between the lymphocytes and resistance to implanted tumors. If one apply this idea to the amount of lymphatic tissue and the incidence of spontaneous new growths, it is found that no definite relationship is discoverable either in terms of size of spleen or richness in lymphatic nodes. Carnivores, rodents and marsupials show a high tumor incidence and have a good lymphatic supply. Aves, on the other hand, with a poor nodal apparatus and a variable splenic bulk, show many fewer 124tumors than do the mammals. The mononuclears of avian blood rise normally as high as 60 per cent., of which 40–45 per cent. are of the small size.

The size of the spleen is subject to great variation not only within orders but actually within genera; it even seems that one sometimes sees two or three members of a species kept in the same enclosure, maybe with the same disease, maybe without any obvious disease, yet with definite variation in the size of the organ. This irregularity is recognized by veterinarians (Hutyra and Marek) who ascribe it to some unknown disease, past or present, and to normal variation. The lack of uniformity is seen more clearly in birds than mammals. In the former it might be due at times to low grade or inactive parasitism or, conjecturally, to toxins from incorrect diet; we shall see later that infection and intoxication seem to have a different effect. Some writers have mentioned the possibility of an idiopathic splenomegaly (?), a condition associated in youthful human beings, with anemia and lymphadenopathy, and occasionally going over into a sort of leucemia. The existence of such a condition is difficult to admit or deny; we have met nothing which could not be aligned in some fairly well defined group. Birds have a relatively larger spleen than mammals and in addition the organ seems to respond more actively in infections or intoxications, since it may reach, under active stimulation, a size ten times that of the normal organ.

Enlargements of Spleen.

Acute enlargements of the spleen, be they of congestive or “inflammatory” nature are quite common among the lower animals, a fact that is recognized in veterinary medicine. Congestions of the spleen are most often seen during acute infections and diseases of the heart and liver. The diagnosis has been made among 125mammals proportionately more than in birds, 27 or 1.5 per cent. to 35 to 1 per cent.

Reason for Congestive Enlargements.

Perhaps this is partly due to the circulatory anatomy since in the former the arterial and venous supply is usually by one large vessel of each kind, whereas in birds the splenic branch of the cœliac axis breaks up into several small arteries and the venous return is accomplished by numerous venules some of which reënter the posterior cava almost directly, others joining with the mesenteric to form the portal; by this arrangement a more elastic system is assured. The same condition is found when analyzing the records of chronic passive congestion; in eighteen recorded cases, fourteen were mammals and four birds. In these cases the principal associated pathological lesions were pleural and pulmonary in seven, cardiac in three, renal in three and hepatic in four. While the anatomy of the splenic blood supply may help to explain the small number of congestions in Aves, it will not answer for the inflammations which occur in large numbers in this class; this will be discussed in the following pages.

Hemorrhage and infarction of the spleen are not very common, there being eleven of the former and ten of the latter and all occurring with the same indication or history of infectious disease; in one case, an opossum (Didelphys virginiana) an injury probably caused a massive hemorrhage shaped like an infarct. It is, however, curious that of the twenty-one cases only five occurred in birds, of which only one hemorrhage was in the shape to which the term infarction is best applied. There have been, as one might expect, a few cases of infected infarction, with abscess. It is perhaps worth noting that no case of hemorrhagic cyst or inspissated coagulum has been seen. Only one case of rupture is recorded secondary to acute splenitis during an acute septicemia.

126

Inflammations.

It has been the practice at this laboratory to classify splenitis in three ways, (1) acute diffuse splenitis—general congestion with perhaps small hemorrhages, swelling but retention of general architecture and with no undue prominence of the follicles; (2) follicular hyperplasia—where this is the prominent gross and minute finding, the pulp being less pronouncedly involved; (3) acute splenic tumor—where the organ is greatly enlarged but with loss of the usual markings. Perhaps this separation is not warranted upon a strict etiological basis, and yet as we shall see it holds true fairly well in the toxic and infectious lesions. Moreover, from the following list it is evident how the various orders call upon the splenic tissue in disease.

Table 7.
This Shows the Percentage of Various Forms of Splenitis in the Animals Coming to Autopsy.
Acute Diffuse Splenitis. Per cent. Follicular Splenitis. Per cent. Acute Splenic Tumor. Per cent.
Carnivora 7. 3. 1.3
Primates 2.5 4.9 2.
Ungulata 2.4 .3 1.2
Rodentia 2.6 4.7 1.
Marsupialia 9.2 3. 3.7
Pinnipedia 33.    
Proboscidea. 33.    
Edentata 12.5   6.2
       
Passeres 3. 3. 3.8
Psittaci 6.5 2.3 4.1
Anseres 5.2 7.2 5.2
Herodiones 1. 6. 2.
Galli 2.6 1.5 4.7
Struthiones 10. 10. 1.
Accipitres 7.5 3.7 1.6
Gaviæ     5.
Picariæ 4.   1.3
Striges 6.8 3.4  
Fulicariæ 3. 6.  
Steganopodes   10.  
Columbæ .7 .7  
For the meaning of italics see foot note Table 1.

The points to draw from this chart are first the greater variety of lesions seen in the birds, which apparently 127make greater use of the organ in defence, and the preponderance of acute diffuse hyperplasias in mammals. It is noteworthy that the Primates and Marsupialia show more of the acute hypertrophy of the spleen going under the name of tumor. It would be interesting and valuable to be able to discover exactly what determines and constitutes the conditions usually termed hyperplasia and inflammation of the spleen and an attempt was made in this direction by tabulating the data from Table 7 in terms of each diagnosis, classifying these latter also as infectious and toxic. The results of this effort are not conclusive, and while they permit of some discussion of the lesions, do not allow finished conclusions. The figures obtained by study are not illuminating. One can state, however, that in infections, either specific or not specific, more elements of the spleen were engaged in the process than when the condition did not resemble a communicable disease, but might be called toxic. Under the former condition the diagnosis of splenitis or acute tumor predominated, while under the latter follicular hyperplasia is more often recorded. Anatomical alterations in these two groups are described in the definition given in a previous paragraph and deserve no special discussion except in so far as they concern the changes in the avian splenic tumor when under magnification.

Microscopically there is a total loss of the relations in the acute splenic tumor of birds, the chords and follicles being replaced by a rather regularly arranged mass of small and large mononuclears, granular cells of the circulating types and red blood cells; pigment always seems increased. Endothelial cells do not take part in the general mass of the organ but along lymph and blood vessels their bulk and number are increased so that if the packing be not too dense one may find double lines of these cells passing through the hyperplastic tissue. There is, however, a group of seven cases (six birds) to which the term endothelial hyperplasia in the spleen has been 128applied. All of them show an unusual prominence of the vascular linings and of the follicular centres and perivascular areas; besides this there is a moderate general hyperplasia. An examination of the history and autopsy results in the birds indicated that they had all suffered with some rather protracted intoxication and showed a moderate anemia (four of the spleens were well pigmented).

The more chronic changes of this organ, be they moderate or of a grade to which one must apply the term fibrosis, are rather uncommon when one considers the number of animals with prolonged infection, anemia, skeletal diseases and hepatic cirrhoses; these are the conditions that take a prominent place in the associated pathology and history. There is no essential difference in the organ throughout the animal kingdom, and one may find as far down as the struthious birds analogies to the processes of domestic and human animals.

Special Subjects—Amyloid.

Amyloid changes in the spleen have occurred in the following orders: Primates, Carnivora, Rodentia, Marsupialia, Passeres, Galli, Gaviæ, and Anseres, fourteen cases in all. This infiltration is usually ascribed to long continued suppuration or chronic infection, every one admitting, however, that once in a great while a case is seen wherein no cause can be discovered. In this laboratory we have a high percentage of cases without adequate accompanying pathology so that we have called six of the above cases primary or idiopathic. The gross appearance of the spleen is in all these cases that of an enlarged, firm, homogeneous body without the sago spots usually described for this change. Microscopically the infiltration occurs first in the vessel walls, thence spreading to the sinus walls and reticulum. Joest in discussing this 129infiltration[19], states that it is comparatively rare among the domestic animals, where it may appear under the usual conditions or as a primary affection; it seems at times to follow unsuitable feeding. According to this author, the “sago” type is more common than the “bacony;” this has not been our experience. The most conspicuous example is given here.

European Badger (Meles meles) Adult ♀ . Gradual failure for two weeks.

Diagnosis.—Amyloidosis. Chronic parenchymatous nephritis. Emphysema of lungs.

Muscles atrophic; fat scanty. Heart is dilated and muscle is red-brown. Aorta is jaundiced and there is a small patch of atheroma near the anterior leaflet of aortic valve and about 5 mm. above it. Abdomen contains a slight amount of clear fluid, no adhesions. Liver is normal in size, smooth surface, sharp edges, firm consistency, yellow color. The section surface is glistening, smooth and moist. The spleen is very hard, greatly enlarged (25 × 6 × 2 cm.) and lies across the abdomen over the intestines. It is pale red and very bacony. In iodin the tissue stains a mahogany brown. The kidney is normal in size. (5½ x 3 cm.). The capsule is smooth and strips easily leaving a smooth, yellow surface. Organ is firm. The section surface is glistening, has a relatively narrowed cortex and relatively wide medulla. The glomeruli are barely visible but stain a mahogany brown in iodin. The adrenals are 12 × 10 × 4 mm. The cortex is wide, dull yellow and regular. The zone beneath fades into the cortex although rather abruptly. The centre of both glands is occupied by an irregular pale yellow, sharply outlined nodule suggestive of solid medulla, tubercle or tumor. The zone between cortex and this is gray, irregular and firm. This is practically a normal figuration. The stomach is empty, mucosa apparently normal. Intestines were not opened but serosa seems normal; when opened after Kaiserling fixation they seem normal. The pancreas is normal in size, firm and pale. Lymphatics of the mesentery are slightly enlarged, soft, homogeneous pale yellow.

Histological Notes.—Lung seems somewhat atrophic and there are some vesicular ruptures. One small patch of amyloid found in blood vessel wall. Liver shows slight capillary congestion and granularity of parenchyma. There is a marked blood vessel amyloid deposit not only in interlobular spaces but in intralobular capillaries. Spleen, no trace of splenic tissue recognizable in section. It is composed of more or less eosin-staining material surrounding single, or small collections of round or plasma cells. Kidney shows marked amyloidosis of glomeruli and slight deposit in blood vessel walls and in the increased connective tissue. There is a general moderate fibrosis; irregular tubules; low 130epithelium and hyaline casts. Heart muscle fibres are small and stain deeply. No amyloid in section. No pigmentation although section is suggestive of brown atrophy. Adrenal is practically negative. There seems to be slightly more connective tissue than normal but parenchyma may be considered normal. At one place in the cortex there are some structures of deep layer included in vesicular layer. This seems like a structural malformation.

Necroses.

Focal necroses of the spleen affecting chiefly follicular centres but also chords, are not at all uncommon in avian spleens, especially where parasitism occurs, not only with hemic protozoa and embryos, but also with intestinal or visceral nematodes and trematodes.

Spleen in Anemia.

The spleen in the anemias shows much less definite change than one would expect. In the secondary form of anemia among mammals one finds a slight excess of pigmentation and an occasional fibrosis but often the size of the organ is recorded as normal. When the impoverished blood seems secondary to skeletal degenerations there is a diffuse or follicular enlargement. In the birds, on the other hand, there is nearly always some grade of enlargement which is due in the well studied examples to a richness of blood cells. There may be a slight increase in follicles, but these bodies are usually small and solid. In two instances a prominence of large endothelial cells was discovered. Pigment is seldom increased, but it may be very excessive.

In the primary anemias little more than the above is to be found. Fibrosis is more evident and perhaps pigmentation less so, but the variations are more of degree than kind. The spleen in leucemia can only be discussed upon the case already reported (q. v.).

Fig. 7.—EUROPEAN BADGER (MELES MELES). PRIMARY AMYLOIDOSIS. THE ENORMOUSLY ENLARGED SPLEEN IS SEEN LYING ACROSS THE STOMACH BELOW THE LIVER, WHICH ORGAN IS EXCEEDED IN SIZE BY IT.

131

Spleen in Hepatic Fibroses.

The fibroses of the liver are not infrequently associated with some enlargement of the organ under discussion. At this laboratory hepatic cirrhoses are divided into Portal, Biliary, Fatty, Perilobular and Vascular. By a study of the spleens in these cases a few facts have been obtained. In mammalian portal cirrhoses there is usually a very moderate but definite increase in the size of the spleen due to connective tissue increase in the trabeculæ and reticulum, with very small compact follicles. Among the birds the organ seldom shows more that a moderate congestion and diffuse hyperplasia. In the mammalian biliary cirrhoses there is almost without exception a definite enlargement due to fibrosis and follicular hyperplasia. Among the birds the process is very far from uniform, there being just as often no change, as a congestion and hyperplasia, or as a mild fibrosis; it is notable, however, that pigmentation is commonly met in this class. No noteworthy change is met with in the spleen of fatty hepatic cirrhoses. We have no record of cyanotic induration of the spleen accompanying a similar condition in the liver. When the condition of perilobular hepatic fibrosis has been met a distinct increase of the splenic pigment is usually found. In reviewing the facts in this paragraph one is forced to the conclusion that, with the exception of the frank infective cases, there is no definite relation of the splenic changes to those in hepatic cirrhosis, a fact made perhaps the more significant in view of the idea held in some quarters that the primary change in this pathological process occurs in the spleen.

Perisplenitis.

Perisplenitis of an acute or fibrosing variety as a part of peritonitis or as the result of an injury to the splenic region, has been encountered on numerous occasions and offers nothing worthy of comment, but the so-called “sugar-icing” spleen, associated with perihepatitis and general peritoneal thickening, and with an obscure relation to tuberculosis has not been seen. As we shall learn later peritoneal or massive intestinal tuberculosis is not 132common in the lower animals. A diffuse fibrous thickening of a pearl gray glistening appearance, has occurred in five monkeys harboring the Filaria gracilis in the peritoneum.

Tuberculosis.

In tuberculosis of this organ the capsule is almost invariably thickened over the nodules, but not over the whole organ and rarely in the diffuse variety. There is almost always, however, in this prolonged infectious disease some reaction on the part of the spleen, particularly when several other viscera are involved. In such cases a low grade of general hyperplasia and fibrous tissue increase is found. This is especially true in the Primates and Carnivora in long continued pulmonary tuberculosis, and it is in this form that one does not often see tuberculous lesions proper in the spleen itself. Tuberculosis of the spleen is not very common in adult human beings and domesticated animals, while in the young it is seen in a fairly high percentage of cases. In the wild animals this organ seems much more susceptible to the settling of tubercle bacilli as will be attested by the facts to be cited, and yet there are some conspicuous exceptions to this statement. Just why certain groups, or orders should show splenic tuberculosis very frequently while others fail to do so is far from clear.

The appearance of the lesion is fairly comparable throughout the animal kingdom, variations among the Aves being chiefly in the more frequent occurrence of the diffuse tuberculous splenitis. Miliary, caseous and conglomerate masses occur separately or together and without very distinct relation to other pathological involvements.

The relative incidence of tuberculosis in the spleen is set forth in the section devoted to this infection, but may be mentioned here in a general way. The organ is about equally susceptible to the disease in mammals and birds 133according to the figures, but the high percentage for the former is due to the frequency with which tuberculosis is met in the Primates. With this order deducted there is no doubt that the avian spleen has a greater vulnerability for the tubercle bacillus than has the mammalian organ. Rodentia as a mammalian order stand next to the Primates, whereas the Carnivora and Ungulata relatively seldom show splenic tuberculosis. Among the Aves one finds that Columbæ, Galli and Accipitres have the highest splenic susceptibility, but beyond this one hardly dare venture because of the irregularity in the number of specimens seen at autopsy. Suffice it to say that a greater number of cases of tuberculosis are seen in the spleen of the class for which the intestinal origin of tuberculosis appears most important.

In the cases of actinomycosis and its congeners, such as the Kangaroo maxillary mycosis, which we have seen at the Garden, no specific changes have been seen in the spleen, unless a single or double nodule of the same variety as the original focus may be considered specific. Such was found in two cases, one a tapir with low grade inactive actinomycosis, the other a kangaroo with maxillary streptothricosis. Two deer came to autopsy with a gross picture suggestive of anthrax; no bacilli could be found in the semifluid spleen, but a member of the hemorrhagic septicemia group was found. The latter group of infections has been fairly well represented, although not in epizoötic form, and the almost invariable splenic change has been that already discussed as diffuse splenitis. Three secondary tumors are recorded, two cancers and one renal adenoma.

134

SECTION VI
THE RESPIRATORY SYSTEM AND ITS RELATED STRUCTURES

It is customary to divide the descriptions of normal and diseased conditions of the upper entrance to the body into respiratory and alimentary parts, the nose, nasopharynx and larynx belonging to the former, the mouth, buccal cavity and pharynx to the latter. As a matter of fact they can for most purposes be considered as the structures contained in the anterior head and furthermore their pathological states are more often followed by extensions into or implications of the respiratory organs proper than of the alimentary tract. From a comparative standpoint the incidence of specific infectious diseases and of the involvement of accessory nasal sinuses present the most interesting subjects. There are several infections, believed to be specific, observed among domestic mammals and birds but their actual individuality has hardly been unexceptionally proved. This refers to the communicable rhinitis of cows, pigs, rabbits, and birds, especially parrots, the follicular catarrh of horses, and croupous nasopharyngitis, all of which have been ascribed to a particular virus, without finished evidence in many instances. Some of these diagnoses doubtless cover or are confused with the early symptoms and signs of the disease of protean manifestations, distemper, and indeed the Bact. septicus and relatives of the bird cholera organisms are reported as being responsible for them. No intention of excluding well recognized entities like bird diphtheria, foot-and-mouth disease or influenza, exists. I shall refer below to small groups of epizoötics which do not conform strictly with word pictures drawn by Hutyra and Marek, Moore, or Ward and Gallagher.

135

Rhinitis, Sinusitis.

The nature of inflammations of the nasopharynx suggests at once that there may be some anatomical reason for their distribution and character. A general review of the anatomy of the mammalian and avian nasopharynx reveals the relatively greater space in the former, especially in the passage from the nose to the pharynx, and emphasizes the exposure of the opening of the upper larynx in the bird, lying as it does in the posterior part of the tongue and surrounded by the constrictores glottidis. A dissection of the accessory nasal sinuses exposes the relatively large size of these spaces in the lower mammals, and the capacious openings into the nasal cavities.[20] In the Primates and Lemures the anatomy more closely resembles that of man, the sinuses being relatively smaller and the communicating passages narrower. In the bird on the other hand, while the sinuses may be extensive in some they are usually small, yet in all the communication with the turbinate area is by a narrower slit or tortuous canal, frequently, as in Galli, running from below upward into the maxillary sinuses. The extent of the turbinate and the richness in mucosa is probably greater in all mammals than in birds; certainly this seems true of Carnivora and Ungulata versus Accipitres and Galli.

If the seriousness of a rhinitis be dependent upon the extent of involvement of the sinuses and the blocking up of their outlets it would be expected that the variety of animal having the smallest drainage channels would show the greatest evidence of these diseases. Our records would indicate that 32 birds (.96 per cent. of the autopsies upon Aves) had rhinitis whereas only 7 mammals (.39 per cent. of autopsies on this class) presented the condition. Extension to the sinuses occurred in only one-third of each of these figures, a complication which in turn produced generalized infection more often in 136mammals than in birds as 4 is to 3. These figures are perhaps too small for conclusions but it would seem that rhinitis occurs more often in birds with their small sinuses and channels while sinusitis and general infection occur more often in mammals with their large sinuses and extensive turbinate apparatus. The most conspicuous orders represented are, in line of numbers Anseres 12, Psittaci 7, Accipitres 5, Carnivora 3. Nine of the twelve waterfowl were part of an epizoötic which will be discussed under specific diseases.

Bacteriologically the mammalian cases that have been worked out were due to Streptococcus pyogenes in several instances, including the generalized cases, and to a mixture of streptococci, golden staphylococci and members of the colon-aerogenes group. In one case in a tapir a member of the B. septicus group was found. Moulds were discovered in three avian cases and filaria in one. No pentastomum or œstrus has been discovered. In thirteen instances the lungs have been involved, apparently secondary to the nasopharyngeal disease.

There have been two small outbreaks of an acute nonspecific infection—that is not suggestive of cholera, psittacosis or infectious enteritis—among the parrots in which during a short time 4 and 6 parrots died with nasopharyngosinusitis as the prominent lesion. One outbreak was studied bacteriologically without definite result. There was no uniform internal pathology unless, in one outbreak, congestion of the cerebellum may be mentioned. Fowl diphtheria and its associated condition from which a satisfactory separation has not been accomplished, epithelioma contagiosum, has happily given us little concern, so that it is not possible to record any instructive facts upon its cause or differential diagnosis. There was recorded in the 1911 Report of the Society the occurrence of two fatal cases in cassowaries from which it was possible to isolate the B. columbarum and one bird with the same clinical appearances whose recovery seemed to be 137due to the use of human diphtheria antitoxin. In light of more information and consideration of the accepted variability of this disease, it is possible that this bird may have recovered without the injections or with the use of normal serum. Nowadays it is possible to obtain antiroup serum which is stated by Blair of New York to be efficacious. The disease has been observed in a wild turkey and an Abyssinian Ground Hornbill, beside the two struthious birds mentioned above.

Mycosis.

Mycotic disease of the nasopharynx seldom restricts itself to this cavity, usually extending by continuity to the esophagus, or by inspiration to the lungs whence it spreads to the air sacs. This condition of the upper passages has occurred here only in Psittaci and Accipitres although it is reported by veterinarians as occurring in Anseres and Struthiones. In the first order four birds were affected, two showing extension to the esophagus and a like number having pulmonary and serous membrane involvement. These cases were all due to aspergillus whereas those next to be mentioned were caused by an oidium close to the “albicans” variety. In four Mississippi kites the prominent changes were found in the pharynx and esophagus down as far as the proventricle with only a few rather trifling lesions in the nasal area. Infiltrative and necrotizing processes characterized the action of the oidium while that exerted by the aspergillus was more superficial and extensive. In one case of a parrot the whole nasal cavity was completely filled with a yellow gray exudate whereas the esophageal wall of the kites was thoroughly infiltrated by a gray-brown, friable, necrotic mass. Attempts at treatment were made in the case of the latter, using potassium chlorate and saline solution on cotton swabs. The result was entirely negative and the applications seemed to have no effect upon the course of the infection.

138There are on our records in addition to the above, several cases of necrotizing processes about the head seeming to emanate from wounds to the mucosa by foreign bodies, by decomposition of pieces of food in crevices or by damage by masses too large to be swallowed. In the few instances where we have tried bacteriology, no definite result has been obtained unless the frequent occurrence of organisms bearing a resemblance to Bact. necrophorus be important. This organism however may be found in many necrotic processes in animals; I do not look upon it as specific in the locations just cited.

Mammals as a class do not present many inflammatory conditions around the anterior head, aside from the specific diseases like distemper (?), actinomycosis, Kangaroo disease and the like. Monkeys occasionally have acute coryza, which may indeed seem transmissible to others but it seldom leads to any serious consequences and is untreated, except by segregation. Tuberculous lesions are not recorded. There has been no glossitis aside from lesions involving the pharynx. The tonsils have been discussed under the lymphatic apparatus and it only need be repeated here that inflammation and hypertrophy of these organs are exceedingly rare. Specific or individual diseases of the salivary glands are also rare although these organs may be involved by extension. This general region is not often affected with tumor, unless the jaw be included which bone is the seat of several tumors in antelopes and opossums. Aside from these we have seen an epithelioma of the tongue in a black bear (Ursus americanus).

Larynx.

The larynx is an organ of fairly uniform construction through the mammalian orders but is conspicuously different in the Aves where it is double. The upper end of the trachea in the latter class is surmounted by a cartilaginous box lying beneath the root of the tongue through 139which an anteroposterior slit-like opening forms the glottis; there is no epiglottis. This is only an air passage, the voice being made in the syrinx or lower box which lies at the bifurcation of the trachea. The structure of the upper box is quite simple with its lateral plates controlled by the glossal muscles and two external retractors but the syrinx is very complicated and variable in the different orders and even in the same family. It possesses an internal and external set of muscles and in some birds can be opened at one point to permit air to pass to the cervical or thoracic air sacs. Detailed discussion of its anatomy is hardly profitable since there is nothing peculiar about its diseases. On one occasion only have we seen distinct pathological change—what was probably an extension of mould disease from it to the cervical air sac. It is involved in true tracheitis and bronchitis but even these are rare in birds.

The larynx on the other hand is constantly reddened in cases of pharyngitis and may be the seat of mould colonies. Edema of this structure is, however, not very common, it being recorded but twice in birds in association with nearby inflammation and five times in mammals; in the latter cases three were of acute infectious nature, one was a tumor and the other osteomalacia. It is common to find the laryngeal and tracheal mucosa swollen and wet in chronic bone degenerations without the condition being severe enough to call it edema.

Laryngitis.

Acute laryngitis of active catarrhal or purulent nature has been met five times in mammals and twice in birds while more chronic lesions have occurred only in the former, four times. Tuberculous laryngitis has been observed in a cockatoo and a lemur; they are interesting enough to cite. There are no cases recorded among monkeys despite the large number dying from the disease; this implies of course that no suspicion of its existence 140was had at postmortem but perhaps some would have been detected had every larynx been subjected to microscopic section. A citron-crested cockatoo was found when posted to have general miliary tuberculosis. The bright red rim of the glottis attracted attention and upon slitting open the organ, pinhead size, sharply outlined yellow tubercles were found on both sides. A black and white lemur was killed because of a positive tuberculin test. He was in good condition and exhibited as his only lesions retropharyngeal lymph nodes with precaseous miliary nodules and small miliary tubercles on the epiglottis, true and false vocal chords and in the mucosa of the main ventricle, each lesion being surrounded by a narrow sharply injected zone. This seems like a recent double implantation since the retropharyngeal glands probably do not drain toward or from the larynx. The larynx has been the seat of only one tumor, a squamous cell cancer in an Azara’s agouti. The tumor caused ulceration and edema of the whole mucosa sufficient to produce fatal asphyxia.

The trachea is of relatively little comparative or pathological interest aside from its inflammations which however are so closely associated with bronchitis that they will be included under that heading. Perhaps the most important condition of this tube is its infestation with Syngamus trachealis since this leads to inflammations not only of the related mucosa but predisposes to pulmonary infection. The occurrence in the Galli is well known but perhaps it is not so well recognized that this worm occurs also in crows (Passeres) and swans and geese (Anseres). For the diagnosis of this condition it is customarily stated that a frothy mucus in the mouth is very suggestive; this is true in the cases seen here but in addition a mucopurulent stomatitis is exceedingly common and when the two are combined the picture is almost confirmatory. Although worms are credited with considerable weight in the production of pneumonia in 141Ungulata, they have only been seen once within the tracheal tube.

The Bronchi.

The bronchi will be discussed as a separate part of the respiratory system in so far as possible since they present a very decided difference in anatomy between mammals and birds and because the incidence of their disease is other than will be found for the lungs. However, distinction has been made between changes in the grosser tubes and those in the finer bronchioles, especially because capillary bronchitis so-called is really a pneumonitis in which the mucosa of the larger passages need not participate. The mammalian tubes are not really greatly different in their construction, passing through ever smaller branchings which give an increasing square area of tube capacity and more extensive mucous surface. The avian main bronchus breaks up very shortly after entering the lung into a varying number of spaces lined with low epithelium lying upon a fibrous support and without cartilage. These spaces then open into secondary air spaces of a size visible to the naked eye which are in turn surrounded by microscopic alveoli. The largest spaces, first mentioned, continue to grow smaller toward the lower part of the lung where they usually communicate with one or other of the various ostia of air sacs. Bronchial diseases in birds must therefore be limited at the place where the bronchi lose the cartilaginous rings since below this the surface functionates as pulmonary tissue.

142

Bronchitis.

The accompanying list, Table 8, will show the distribution of bronchitis not accompanying pneumonia or due to mycosis. It is striking that carnivorous animals are more prone to bronchitis than any other order (the struthious birds are too few to be important). There is a very decided preponderance of mammalian cases over avian, there being not only more cases but proportionately more orders affected. The character of lesions in the mammals is nearly always catarrhopurulent or freely purulent while ulcerative changes are not uncommon. Peribronchial infiltrates are seldom found without some evidence of pneumonia; nor is it common to meet the pale lines extending from bronchi between the lobules, such as are seen in human streptococcal disease. Avian bronchitis is usually hemorrhagic or catarrhal and with exceeding rarity becoming purulent; when this occurs the cause is frequently found to be tuberculosis or mycosis. Inflammation of the larger passages is nearly always accompanied by pulmonary congestion, a serious condition in birds as will be seen later. A few of these cases have been studied bacteriologically with no definite result, nor have these cases occurred in such groups that an epizoötic was suggested. Bact. avisepticum, Bact. canisepticum, Bact. coli, Bact. aerogenes mucosum, and Ps. pyocyaneus, Streptococcus hemolyticus and non-hemolyticus and staphylococci have been found.

Table 8.
Showing the Percentage Incidence of Bronchitis and of Parasites in the Autopsies upon the Various Orders.
Orders Simple Bronchitis Verminous Bronchitis and Pneumonitis Inactive Parasites of Lung (Encysted) &c.
Cases Per cent. Cases Per cent. Cases Per cent.
Primates 7 1.4 3 .6 5 1.
Lemures         1 1.2
Carnivora 14 2.9 8 1.6 8 1.6
Insectivora            
Chiroptera            
Rodentia     2 1.    
Ungulata 5 1.3 2 .5 10 2.7
Proboscidea            
Hyracoidea            
Edentata         2 12.5
Marsupialia 3 1.7 2 1.1 3 1.7
Monotremata            
             
Passeres 4 .29 7 .5 2 .16
Picariæ            
Striges            
Psittaci 4 .58        
Accipitres 1 .5        
Columbæ            
Galli     1 .3    
Hemipodii            
Fulicariæ            
Alectorides            
Limicolæ            
Gaviæ            
Impennes            
Steganopodes            
Herodiones 1 1.     1 1.
Odontoglossæ            
Palamedes            
Anseres 2 .67 3 1.    
Struthiones 1 3.3        
For meaning of italics see footnote Table 1.

143A review of the active verminous lesions of the bronchi and the pneumonitis to which parasites lead, shows again the highest number among the Carnivora, with negligible percentages among the Aves. The forms concerned are, when determined, ascarides, strongylus, hepaticola, fasciolopsis, cytoleichus, pneumonyssus and paragonimus; these will be discussed later. The lesions in the bronchi are mucocatarrhal or hypertrophic; occasionally actual ulcerations are seen. What is more important however is the peribronchitis leading to interstitial pneumonitis and to bronchiectasis of the smaller bronchi, or to areas of atelectasis by total occlusion of some small air passage. This pathology is fairly well recognized among veterinary pathologists but there are two points which seem worthy of special emphasis, namely, the relative mildness of the changes in the larger bronchi and the importance of the worms as causes of pneumonia. In regard to the first it can be pointed out that the trachea and its branches need not be altered at all while the middle sized bronchi present a mottling of small recent congestion with pigmentations from old hemorrhages, together with slight unevennesses of the surface. Small bronchi on the other hand are the seat of ulcerative internal processes and quite marked peribronchitis, as indicated by round and connected tissue nuclei or perhaps polynuclear increase under active acute inflammation; it is in the latter case that acute pneumonitis is present.

144To what extent do the parasites predispose to pneumonia? Compare for this purpose the two columns of Table 8 showing active and inactive pulmonary parasitism. In Rodentia and Galli alone do we note that active parasitism is effective, there being no passive cases. In all the other orders, animal invaders of the lung are more often encountered as quiescent or encapsulated bodies, therefore as findings incidental to the autopsy and perhaps not concerned in the cause of death. In Ungulata the inactive parasitisms are five times as frequent as the active inflammatory lesions. It might be added that the list is made up of cases wherein we saw parasites whether determined or not, an explanation of the apparently small number of cases; there were many more in which such invaders were suspected but not found and therefore excluded.

Bronchiectasis.

Bronchiectasis affecting the smallest tubes, or bronchiolectasis, is not at all uncommon in verminous pneumonitis and is explained as due to the degeneration of the wall, the surrounding progressive ulceration, to accumulation of inspired air and its retention by the obstruction. There is described a generalized bronchiolectasis, chiefly in young human beings, due to a destructive bronchiolitis; this has not been seen.

Non-verminous bronchiectasis of the middle sized bronchi such as is seen in human chronic bronchitis, simple or tuberculous, is quite uncommon. Widening of the bronchial lumen may be divided, as I see its pathogenesis, into (a) that due to congenital weakness of the walls, (b) that due to obstruction permitting air to pass into but not out of a bronchus because of a ball-valve obstruction or weakness of expiratory power, (c) that due to external pressure by tumors or distortion by fibrous tissue either within the lung or pleura and (d) that due to inflammatory weakening of walls, augmented by loss of 145supporting pulmonary tension, accummulation of secretion and the dilating effect of inspiration preparatory to and incidental to coughing. How important the last three auxiliary factors may be in the cases explicable under a, b, c, can easily be speculated upon and may vary in different cases.

Bronchiectasis is reasonably common with pulmonary diseases of man, particularly of chronic character, but is certainly not frequent among animals. Under the first group (a) we can record one case, a Siberian tiger which died of enteritis and its complications to which were added a mild inactive bronchitis and a bronchiectasis of diffuse distribution. The lungs were irregular in shape, dull, gray-red in color and gave a variable boggy and vesicular sensation to the fingers. On opening the lung, dilatations of the bronchi were found, affecting chiefly the larger secondaries but apparently not the bronchioles. Parasites were not found nor were inflammatory reactions apparently adequate to explain the distentions, so that we looked upon this case as congenital. Cases coming under the headings b and c are not recorded. Inflammation almost certainly represents the most important single factor in the pathogenesis of this lesion and could be demonstrated in two cases, a Clouded Leopard (Felis nebulosa) and a Red River Hog (Potamochærus porcus). While I feel that parasites probably laid the foundation for the dilatations in these cases, none were found after, in one case at least, a very thorough search, although in the second animal a single cyst of Cysticercus tenuicollis was found in the peritoneum. In both animals there was a low grade interstitial pneumonitis and peribronchitis with dilatations of the middle sized and end bronchi, these being supplied with thick walls but containing very scanty secretion.

We have on record chronic ulcerative pulmonary tuberculosis in six primates, two carnivores and nine ungulates. It is highly probable that among this number 146some cases of ulcerative bronchiectasis occurred but if so they were not conspicuous enough to mention in the diagnosis and in only two protocols do I find a discussion thereof, once in a monkey and once in a carnivore. All the cases of our records were diffuse ectasias, fusiform, or irregular and none of the distinct saccular variety.

From the foregoing facts it would seem that in human cases more weight should be laid to the effect of the dilating power of coughing and its preparatory exertions. While I am aware that the comparative incidence of human and lower animal bronchiectasis cannot be based upon the meager figures at our command, these dilatations certainly can be expected in a general autopsy service more in man than in lower animals. Chronic bronchitis is relatively rare, aside from the verminous varieties. I have seen little retained exudate in the bronchi, probably because quadrupeds seem with ease to raise and swallow the secretions. Nor do animals give vent to paroxysms of coughing such as the human being feels forced to do. Suggestive deductions from these points are that inflammation is the principal factor in acquired bronchiectasis and that the retention of secretion with violent inspiratory efforts are potent in man for the dilatation of the tubes.

The Lungs.

The essential respiratory organ of the animal body, the lung, is all through this kingdom a structure intended to expose the blood to free or combined atmosphere in order to permit gaseous interchange, therefore being arranged so that there is a close apposition of the two factors, separated only by such cells and membranes as may be necessary to protect the circulation; perhaps these anatomical elements possess at the same time some vital force to further the exchange of useful and useless matter. In the two classes under discussion there is no difference whatsoever in the primary factors of respiration albeit 147some variations exist in reference to oxygen and carbon dioxide interchange, moisture of the air, and the physics of inspiration and expiration. The chemical variables have in our limited knowledge of comparative physiology apparently little effect upon morbid anatomy but it is probable that some pathology may be in part explained on physical grounds.

The mammalian respiratory box is a relatively elastic affair, but collapsed at the end of expiration which is largely a passive or recoil process. The avian thorax is believed to be normally a tensely distended space from which air is expelled by pressure of the pectoral contraction upon the broad sternum driving the latter back upon the air sacs which in turn drives it from the lungs. Also by this means, air is distributed through the bones and air spaces, a measure necessary in flight, especially in a head wind when tracheal inspiration is said to be suspended at times. The communications of the lungs, air sacs and bones make it possible for birds to breathe internally when the trachea is closed and externally as well if a bone be opened. The balance of air pressure in the lungs and related spaces is dependent upon the patency of the ostia communicating between the bronchial ends and the air sacs, from which the bony cavities obtain their supply. Should all these be closed there is first a standstill of current and a limitation of the respiration of the lungs. Fortunately it is extremely rare that this occurs for it is obvious that it is incompatible with flight, and with life indeed. The principal effect upon the lungs of obstruction to the passages seems to be expressed in congestion but in how far this is due actually to the closure of foramina and how far to the cause of obstruction is sometimes difficult to evaluate. It should be remembered that the air sacs are usually looked upon as mucous surfaces continuous with the bronchial wall, there being a deep layer to each membrane possibly continuous with the serous membranes. In mould disease of the 148lungs there is very commonly a colony lying in the ostium supplying the anterior, lateral and posterolateral cavities.

The lungs in birds are not free as in mammals, being fitted into the troughs made by the anterior ridges of the ribs, to the serous covering of which they are lightly attached by delicate fibres running between the two. This more or less definite fixation, together with the pressure of the air in the sacs give the free play of the lungs a limited excursion. They are naturally very elastic by reason of a good supply of elastic fibers and large air spaces, a condition aided by their attachments to the supports of the diaphragm and to the insertions of the air sac walls. Notwithstanding this elasticity and the great capacity of the organ for blood, it seems as if congestion of the lungs is a very serious matter, since from the foregoing review of anatomy, accommodation of excess blood and any consolidation must be difficult. As a matter of fact the mere excess of blood known as active congestion seems able to kill small varieties.

Congestion of Lungs.

Birds of flight seem to have little resistance to this condition and often it is the only diagnosis one can make at autopsy. The causes of this condition include exposure, dust, gorging (?), indigestion, enteritis and infection in birds while in mammals acute gastrointestinal disease stands out as the most prominent accompaniment. To what extent dust and exposure operate I do not see, although they are frequently mentioned as causes. The overfilling of the crop, esophagus and proventricle, the turgescence incident to gastric indigestion or the pressure of foreign bodies in large amount are supposed to operate by exerting pressure on the anterolateral air sacs with closure of their ostia and also by right lateral torsion of the heart with twisting of the very delicate pulmonary veins.

149I have sought to show that protozoa or embryo nematodes in the blood might embarrass the lungs to a state of congestion, a thought suggested by some findings in the London Gardens, but only about ten per cent. of our cases of hemic parasitism are accompanied by it.

The incidence of congestion of the lungs not due to stasis as from cardiac diseases, is 2.4 per cent. in mammalian autopsies, in only 7 per cent. of which figure did it represent the principal morbid anatomy, whereas in birds it occurred to the extent of 7.6 per cent. of postmortems, in 17 per cent. of which it was the sole or principal cause of death. This seems to bear out the feature of delicacy of the pulmonary vascular mechanism in these latter animals. This condition seems to be indicated by simple dyspnœa in birds, relief for which has occasionally been afforded by removal from the exhibition cages and protection separately in a warm dry room; this is partly hypothetical of course and congestion is to be looked upon as serious, particularly in passerine birds.

Pneumonia.

Pneumonia as a clinical disease is a relatively uncommon, although quite serious sporadic condition in animals. However accompanying the specific, more or less epizoötic diseases such as influenza, distemper and the choleras it may be a frequent and quite pronounced complicating feature of the case. Pneumonia per se has exacted a reasonable toll in this Garden but unfortunately recognition being impracticable, diagnosis and treatment have not progressed. Nor has it been practicable to group our cases pathologically because of the lack of history and the difficulty of making bacteriological observations at many autopsies. Fortunately we have had practically no epizoötic pneumonias, an experience shared with other gardens judging by their published reports. Etiologically, and of course this applies to non-verminous, non-mycotic and non-tuberculous cases, the pneumococcus has 150stood out prominently as a cause with a few additional cases due to the streptococcus and the Bact. aerogenes mucosum group; London reports four cases in monkeys due to the Friedlander bacillus. Some time ago Doctor Weidman subjected our pneumonias to an analysis and was able to show that there is no parallelism between the seasonal incidence of pneumonia in man and animals, rather indeed that the Garden is more apt to have a greater number of cases in the summer, a sort of “closed season” for man. This I am inclined to interpret as connected with the larger number of visitors during that season. Doctor Weidman was further able to show that the only real examples of lobar fibrinous pneumonia strictly comparable to the human infection occurred in the Primates. I have uncovered one in a lemur and one in a carnivore. The pneumococcus has been far and away the greatest producer of our pneumonias, in two typed cases being of the IV variety. There will be given below a summary of the pathological types of pneumonia encountered, to be followed by some notes upon the principal gross and minute anatomy in special orders. Table 9 will show the numerical distribution of types among the orders. All the principal mammalian orders are represented while the birds seem relatively less susceptible to the disease and, except the Passeres, show a trifling incidence.

Table 9.
Showing the Number of Cases of the Various Forms of Pneumonia Found in Each of the Orders.
Fibrinous Lobar Catarrhal Acute Interstitial Septic Hypostatic Chronic Interstitial Pleurogenic
Primates 4 22 2 1 1 2 2
Lemures 1 3          
Carnivora 1 34   4   1  
Insectivora              
Chiroptera              
Rodentia   6   3      
Ungulata   14   5 1 1  
Proboscidea   1          
Hyracoidea              
Edentata   1          
Marsupialia   13 1   1    
Monotremata              
               
Passeres 1 59 2 2      
Picariæ             1
Striges   3         1
Psittaci 1 15       1  
Accipitres   1          
Columbæ   2          
Galli   2          
Hemopodii              
Fulicariæ   1          
Alectorides              
Limicolæ              
Gaviæ              
Impennes              
Steganopodes              
Herodiones 1            
Odontoglossæ              
Palamedes              
Anseres 1            
Struthiones              

151Primates present a definite group of variations from the other orders, notably in having four clear cases of lobar fibrinous pneumonia, and in certain histological findings. In reference to the lobar cases, a review of their history does not indicate that any might have been surely diagnosed by their symptoms, and only possibly by signs in one case during the stage of red hepatization; unfortunately no temperature records are at hand. In one case it was possible to see a group of alveoli with the fibrin collected in a strand which, according to classical description, passes through the septum to the adjoining alveolus.

There were two cases, a Chimpanzee (Pan niger) and a Galago (Galago maholi) with a microscopical picture suggestive of those we met in the influenza epidemic, and indeed the lung of the former resembles grossly the lung of influenza pneumonia. The spotty areas of watery purple color correspond under magnification to celluloedematous semisolid sections showing a sanguineous exudate, few polynuclear cells and many swollen epithelia. The microscopic picture of the bronchocatarrhal pneumonias 152shows conspicuously thickened septa decidedly wider than one is accustomed to see in human cases and apparently due more to round cell infiltration than to congestion or polynuclear increase.

Bronchopneumonia or capillary bronchitis with zones of cellular edema in the vicinity is a rather usual picture in the deaths from degenerative bone disease. It cannot be said that there is anything very peculiar about it, although a frequent note met in the autopsies describes spotty areas of hemorrhage and nearby atelectasis.

The case of lobar pneumonia found in a ring tailed lemur (Lemur catta) showed very delicate fibrinous reticulum and relatively few cells in the exudate, a picture apparently due in part to beginning resolution since the whole upper left lobe was in a stage of gray hepatization.

The peculiarity of the Carnivora seems to lie in the reaction of the epithelia, these cells being quite large, swollen and occasionally much vacuolated. Such a picture was most pronounced in the terminal bronchitic pneumonias in cases which might be called distemper. Many instances of pseudolobar catarrhal or bronchopneumonia are recorded but we also observed the fibrinous lobar form at the stage of red hepatization in a Texas skunk (Mephitis mesomelas). Concerning the orders Rodentia and Edentata no especial notes seem necessary for their inflammatory reactions are essentially like the others in that epithelial cells are much swollen and prominent.

Pneumonias of Ungulata are well known to pathology and offer in causation and microscopy little that is peculiar. It might be emphasized however that the gross appearance of the bronchocatarrhal variety closely simulates that of lobar pneumonia, therefore to be called a pseudolobar form, in that extension to various parts of a lobe seems to occur. Moreover in the bronchitic varieties associated with enteritis, with or without infectious foci in the pharynx or larynx, there may be two or even three stages of the pneumonitic process in one lung or lobe. It seems that this pseudolobar appearance occurs definitely more often in ungulates than in the other orders.

Fig. 8.—NORMAL AVIAN PRIMARY AND SECONDARY ALVEOLI. NOTE THE DELICACY OF THE SEPTAL PROLONGATIONS THAT BOUND THE PRIMARY ALVEOLI, ALL OF WHICH ARE WIDELY OPEN.

Fig. 9.—EARLY BRONCHOPNEUMONIA OF SUPERFICIAL ORIGIN. NOTE SOME LITTLE EXUDATE IN SECONDARY ALVEOLUS. WIDE SWOLLEN SEPTA AND BOTH ALVEOLI REDUCED IN SIZE.

153Marsupialia offer two rather easily grouped classes of bronchopneumonia—one associated with enteritis and one secondary to “Kangaroo disease” of the jaw; they differ in microscopy correspondingly. The simple bronchitic and peribronchitic infiltrate and superficial exudate occurring with enteritis or with a general infection is relatively diffuse, giving in some instances the impression of an interstitial process and showing notably swollen septa; there may be fibrin but this is exceptional and scanty. When mycosis of the jaw has been the origin or occasion of the infection the picture is that of frank aspiration pneumonia, therefore more like a septic infarct. However the amount of fibrin is sometimes very great and whole alveoli will be filled with it, perhaps accompanied by red cells, polynuclears and epithelia. Epithelial cells however play a small part in the minute anatomy. Hemorrhage and edema are prominent but true abscess formation and gangrene are not. Possibly the animals die too soon for the latter to develop.

Pneumonia in Aves aside from that due to moulds is apparently much less common than among the Mammalia, one order only, the Passeres, showing an incidence comparable to the important orders of the latter class. The other orders, and this applies particularly to those of which we have an adequate number, are quite insusceptible to simple pneumonia, none of them showing over two per cent. There are listed for Aves three instances of lobar fibrinous pneumonia. These cases can be described together since in all the findings were about the same. A whole lung or goodly portion thereof was uniformly involved in a red or gray consolidation of rather fine granular character which on section study seemed to be made up of the same lesion all over, with fibrin a prominent part of the exudate. The coagula were largely 154within the secondary alveoli but the primaries also contained it. The microscopic section may not have represented the process at all places, and since the arrangement of fibrin is similar in definitely catarrhal lesions, these may of course have been instances of pseudolobar pneumonia.

Our data are too few to draw any conclusions as to the behavior of the various orders but one note may be permitted. The passerine birds have a great tendency to dense cellular infiltrates while parrots show more coagulative or fluid exudates.

Production of Insular Pneumonia in Birds.

Insular consolidations in which catarrhal and infiltrative processes are prominent, the bronchopneumonias, seem to arise in two ways. One course of events apparently follows infection via the bronchial mucosa, the other via the blood stream and a study of the resulting lesions may help toward an understanding of the development of pneumonia in man.

When infection unquestionably has been superficial, that is via the bronchus, the first thing to happen is a swelling of the septal prolongations dividing the primary alveoli and an extension of their ends farther into the secondary alveoli with the result that the inlet to the primary air sacs is narrowed and the space in the secondaries is reduced. Upon the surfaces there then develops the usual catarrhal exudate while in the deeper parts marked congestion makes its appearance. Fibrin may develop and be mixed with the cells both in the larger and smaller alveoli but it is more evident in the former. (Figs. 8, 9, 10.)

Fig. 10.—LATER BRONCHOPNEUMONIA OF SUPERFICIAL ORIGIN. NOTE GREATER EXUDATE, GREATER SWELLING OF SEPTA. PRIMARY ALVEOLI PRACTICALLY ALL CLOSED. MUCH OF LUNG HAS BECOME CONSOLIDATED.

Fig. 11.—INSULAR PNEUMONIA, BEGINNING AS CELLULAR INFILTRATION OF DEEPER PARTS OF SEPTA AND OF INTERSTITIAL TISSUE. FOUR AREAS OF DENSE AIRLESS CONSOLIDATION. ALL SECONDARY AND MANY PRIMARY ALVEOLI WIDELY OPEN.

155The other process by which insular pneumonia develops seems to begin in the septa of the smaller alveoli and in the perivascular areas. This has been looked upon as hematogenic or pleurogenic. The first change occurs in the surroundings of the primary alveoli where there appears a richness of nuclei, of round, moderately well stained character, among which one may see a few granular and red blood cells. Soon the epithelia of adjacent alveoli increase in number and a fibrinocellular exudate appears, at first probably in the smaller sacs. However when the lesion is intensive the course of events must be rapid for the identity of a group of primary alveoli is soon lost and the exudate may extend to the larger air space. (Fig. 11) In severe or late cases a decision as to the course of origin is often impossible. The most instructive point of this part of the study is the closing of primary alveoli by the swelling of their septal ends and the early occlusion of the secondary alveolus by a catarrhofibrinous or even pus-like material. It is quite possible that a similar course of events transpires in the pathogenesis of human pneumonia, the superficial avian form being comparable to the aspiration form, the interstitial form comparable to the septicemic variety.

Abscess and Gangrene of Lung.

Abscess and gangrene of the lung are degenerative processes dependent upon embolism, or inspiration of infective matter and it is usually assumed that gangrene succeeds upon abscess when the blood or air supply of a part of the pulmonary tissue has been obstructed mechanically or by inflammation. A review of our material adds little to the etiology or pathogenesis of these two lesions, well recognized as they are by veterinarians. As opposed to human beings, lower animals probably suffer more from them, for an explanation of which one can probably look to the B. necrosis or necrophorus, an organism quite common in feed, and acknowledged to be of great importance as a secondary invader during specific infectious diseases. It has been found in embolic abscesses and in the organs in calf diphtheria and similar other conditions. It has been cultivated here twice, once from a lung abscess, once from Kangaroo disease. It doubtless occurs in human necrotizing processes but is seldom emphasized or even heard about; possibly none is due to it or its congeners.

156
Table 10.
Table giving Analysis of 20 Mammalian and 3 Avian Cases of Abscess and Gangrene of the Lung
Animal Causative condition upper respiratory tract Pneumonia, septic or other Abscess or Gangrene Single or Multiple Position Bacteria
Sooty Mangabey Cercocebus fuliginosus Negative Catarrhal pneumonia Gangrene Massive single Upper part lower lobe and adherent part upper lobes left side Streptothrix, necrosis bacillus.
Rhesus Macaque Macacus rhesus Negative Septic from suppurating gland Abscess Single Occupied nearly all right middle lobe  
Am. Wild Cat Felis ruffus Aspiration vomitus from violent gastroenteritis   Gangrene Bilateral Right middle lobe, left lower lobe, left bronchus ruptured, right middle lobe ruptured  
Puma Felis concolor Acute purulent nasopharyngitis No Abscess and gangrene Bilateral Right upper and left lower lobe abscesses biggest, right middle also Streptococcus pyogenes.
Ichneumon Herpestes mungo Negative Sepsis, scalp wound Abscess Bilateral Scattered small abscesses, under pleura especially  
Raccoon Procyon lotor Negative Pneumonia followed by sepsis Abscess Bilateral Probably all lobes, right middle contains largest  
Skunk Mephitis mephitica Cellulitis face and neck Sepsis, very mild Abscess Single Left lower lobe, single small  
Puma Felis concolor Perforating abscess around jaw Secondary terminal pneumonia, sepsis Abscess Bilateral Numerous small abscesses, irregularly scattered through both lungs  
Porcupine Erethizon dorsatus Negative Enteritis, no special sepsis Abscess Bilateral Multiple small scattered. Parasitic? No notes parasites or bacteria  
Kangaroo Rat Perodipus richardsoni Negative Right sided bronchopneumonia Abscess Single Left lower lobe, small abscess, record scanty  
Squirrel Sciurus p. carolinensis Abscess under eye and in masseter muscle No Abscess Multiple Left lung scattered, small abscesses, parasites not seen  
157Mule Deer. Mazama hemionus Actinomycosis? nasopharynx Arthritis. Myositis Tenosynovitis Abscess and gangrene Bilateral Scattered both lobes under pleura, upper right inferior tip gangrenous  
Axis Deer. Cervus axis Negative Negative Abscess Single Apparently primary streptothrix, abscess in cardiac tip of upper lobe with extension toward hilum Streptothrix.
Tapir. Tapirus indicus Abscess of parotid Died from enteritis Abscess Bilateral Multiple subpleural pus pockets, surrounded by catarrhal pneumonia Staphylococci.
Gazelle. Gazella isabella Negative Sepsis from infected wound Abscess Bilateral Multiple subpleural and internal, both lungs about the same  
Kangaroo. Macropus rufus Negative Catarrhal pneumonia Abscess and gangrene Double left Lower middle left lobes, seat of a ruptured gangrene surrounded by pneumonia, right lung pneumonic Pneumococci streptothrix.
Kangaroo. Macropus rufus Kangaroo mycosis of jaw Sepsis Abscess Bilateral More on right side, sharply outlined abscesses Streptothrix, cocci.
Kangaroo. Macropus giganteus Kangaroo mycosis of jaw   Abscess Single Abscess and atelectasis, right middle lobe Streptothrix
Kangaroo. Macropus robustus Negative Sepsis from infected wound Abscess Single Lower right lobe  
Devil. Sarcophilus ursinus Negative Negative sepsis Abscess Multiple Largest middle of right lung, many small scattered abscesses. Probably streptothrix.
Crow. Gymnorhina leuconota Negative Filaria in blood? Abscess Multiple Scattered tiny abscesses, no worms seen  
Heron. Ardea tricolor ruficollis Negative Negative Abscess Single Upper pole, right lung, no apparent antecedent cause  
Goose. Anser fabalis Syngamus in trachea Negative Abscess Single Lower half right lung occupied by abscess, which has penetrated air sac  

158The distribution of abscess and gangrene in the lungs in terms of the antecedent disease, therefore its causation, may however be of interest. The lower animals move more in the horizontal position, they seldom cough, they are subject to several different diseases with principal lesions in the anterior head (diphtheria, actinomycosis, etc.) but not to chronic lymphatic infection, they push their snouts into all kinds of filth thereby probably taking into the nose and throat many objects which can find their way to the bronchi, and finally they are not subjected to various instrumental operative procedures when they chance to have a focus of pathology in the nasopharynx. For these reasons the position of abscess and its sequels may be instructive. It has recently been stated that abscesses of the lung in human beings following anesthesia for infections of the upper respiratory tract, occur most often in the upper parts of the lung whereas those following pneumonia develop more in the lower lobes. For the animals of this series, these facts are not borne out. In the accompanying list will be found our acceptable cases of abscess and gangrene. Little can be said about incidence save the fact that the highest percentage and number occur in the Carnivora. It will be found that the right lung is affected nine times predominatingly while the left lung is affected seven times. The lobe most often singled out for an isolated lesion is the lower left, the right middle being the next most often affected. These figures concern the mammals alone, the three birds being considered too few to discuss. It cannot be said from these figures that there is in animals any definite distribution of pulmonary abscess and gangrene.

Nor do these figures correspond to those appearing in literature of human pathology. In man inspiration of foreign bodies, including bacteria-laden mucus, usually 159carries them into the right lung because of the larger and more directly vertical bronchus to that side. Emboli go as a rule also to the right lung more than to the left because of the greater size of the pulmonary artery and more direct blood current to that side. In these animals right side lesions are more numerous but the left lower lobe is the principal segment of the lung to be affected. The cases are too few and the anatomy too variable to permit any deductions. There is in the affected animals no uniform anatomical peculiarity which would explain the predominance of the right lung as a whole or the left lower lobe as a unit.

Pneumonokoniosis.

Pneumonokoniosis, because of its importance in industrial diseases, has been subjected during recent years to considerable intensive study in human medicine, from which activity some interesting and useful information has been obtained as to its genesis and effect upon the function of the lung. This condition is of course a purely environmental one, the degree and particular kind of “dusting” being dependent upon the duration and nature of exposure of the particular individual. This Garden is situated beside an active railroad trunk line so that the opportunity for coal dust inhalation is continuous. The degree of anthracotic pigmentation of the lungs and related serous membranes is really negligible and with one questionable exception, we have not seen fibrosis due to this cause in any animal. The one exception, an amazon presented and living in the Garden but three months, at necropsy showed an interstitial chronic bronchitis and pneumonitis stretching out from the hilum, all of the affected area being deeply pigmented. The picture was comparable to what might be expected from a second degree anthracotic fibrosis of Landis and Pancoast. Many specimens come to autopsy with some grade 160of pigmentation, but none, except the one above, with resultant fibrosis. The degree of anthracosis is usually so slight that it has been considered important enough to include in the diagnosis but eighteen times and curiously enough seventeen of these were observed in birds. Were there more cases it might be profitable to plot their exhibition period but the use of this small number might lead to error; the average length of exhibition of the birds was about a year. It is common to observe some black specklings of the air sacs, as if pepper were dusted on them as has been said before, but even this is rarely marked. It is most often seen in the Anseres, Psittaci and Struthiones but a goodly number of cases occur in the long-lived Passeres.

The distribution of the pigment is essentially the same throughout Mammalia—peribronchial, submucous and in the lymph nodes at the root of the lung. In the birds it is first seen in the subepithelial spaces of the septa of the small alveoli where they project into the secondaries, later accumulating in the connective tissue of the main septa. Collections under the pleura and at the root of the lung are rare, the dust usually spreading out along the air passages into the air sacs.

Other forms of pneumonokoniosis are unknown. Although animals must inspire much dust from dry feed and from floors it must be caught early and removed by snorting or by the lymphatic drainage. It seems fairly well accepted that dusts are dangerous to the degree that they contain inorganic substance and as these animals are not exposed to concentrated mineral or metallic dusts, no effects are seen.

Infarction of Lung.

Infarctions of the lung, while not at all common, are interesting because of their incidence in the Carnivora and in the distribution. The figures concern the mammals 161only since the decision for or against infarct in the birds is very difficult because of the frequency in this class of hemorrhage with pulmonary congestion. There were eleven single or double non-septic infarcts, of which seven occurred in Carnivora, one in an ungulate, two in Primates and one in a rodent. The existence of parasites was excluded in most of the cases but could not be entirely in all. Eight of these infarcts were on the left side, five of these being in the lower lobe.

Emphysema.

Emphysema of the atrophic and chronic vesicular types with the soft, fluffy, pigmented or pale pink organ has not occurred in the animals under observation. Acute vesicular emphysema, such as is seen in chronic bronchial and cardiac diseases, has been encountered several times. Cardiac lesions were found four times, nephritis eleven times, acute enteric conditions seven times, hepatic diseases seven times. Two cases of wide spread amyloid disease showed a deposit of this substance in the alveolar walls. It is quite common to find some grade of emphysema in monkeys dying from osteomalacia and rickets. The process is then most prominent in the upper lobes and along the free anterior margins. The incidence in the orders is Primates 5, Lemures 2, Carnivora 2, Pinnipedia (drowning) 1, Rodentia 1, Ungulata 4, Marsupialia 4. The best example was found in a Skunk (Mephitis mesomelas) having a general infection, emanating from the cranial sinuses, and cardiac dilatation. Emphysema does not seem to occur in birds for only one was seen which seemed to present this condition. This was a Bald Eagle (Haliæetus leucocephalus) with chronic renal and enteric disease and cardiac hypertrophy. The lungs were tensely distended under their serous covering and showed a few small bullæ anteriorly. Unfortunately a histological preparation is not at hand.

162

Tumors.

Tumors of the lung are moderately common, both of primary and secondary origin. Thus we have seen three primary and six metastatic growths in mammals and one of each kind in birds. The primaries were: carcinomata in a civet (Viverra tangalunga), a bandicoot (Thylacomys lagotis), a kangaroo (Macropus rufus), and a lorikeet (Glossopsittacus concinnus). The secondaries were: carcinomata in a black bear (Ursus americanus), a polar bear (Ursus maritimus), a lion (Felis leo), and a dasyure (Dasyurus maculatus); sarcomata in a prairie wolf (Canis latrans), and a raccoon-like dog (Canis procyonoides); adenocarcinoma in a chestnut-eared finch (Amadina castanotis).

The histological character of the primary cancers would place them in group of the nodular and infiltrative types of Kauffman. They all seem to have taken their origin from the smaller bronchi, the usual starting point. The growths were small in the civet and bandicoot and strongly suggest that the tumors arose in bronchi occupied by parasites; such bodies could not be demonstrated. It is the usual thing to find in cases of parasitism of the bronchi that if there be no ulcerative destruction of tissue the epithelium undergoes some form of hyperplasia, and even structural metaplasia in the air tubes supplied with cuboidal or cylindrical cells. Epithelia many layers deep have been encountered, usually arranged in orderly fashion but frequently “papillomatoid,” suggesting the epidermal layers yet not so far as to show protoplasmic bridges. Distention of various degrees, affected by the contents of the tube and the surrounding inflammation, are common. Such a picture naturally resembles epithelioma and indeed growths of this nature are reported as due to verminous pneumonitis.

There are, especially in cats and dogs, small scattered adenomatoid growths[21] under the pleura and in the 163pulmonary substance, thought to originate in the alveolar epithelium and occasionally growing to large size; the case in the kangaroo may have had this origin. It was the only primary tumor to give metastasis (to the spleen and gastric wall), the secondaries being decidedly adenomatous in character.

Metastatic growths come from the following originals: two from the thyroid, well known to give pulmonary embolism in dogs; one each from the breast, uterus, adrenal, intestine and kidney. The form assumed is a gray and red mass lying under the pleura or an isolated nodule in the substance. Sarcomatosis, the form apparently spreading out from the hilum and growing in isolated grayish tubercular masses, has not been seen.

The Pleura.

The pleura is a tissue apparently quite susceptible to infection in mammals and so closely associated with the air sacs in birds as to be a part of the same membrane, therefore the two being affected together. Throughout the higher class all orders give copious examples of the involvement of the pleura, principally of course as an accompaniment or a sequel to pneumonitic or bronchitic processes but also as a part of acute infectious diseases, such as hemorrhagic septicemia, pleuropneumonia and the like. However two orders present such a number of instances of pleuritis that they deserve notice. The seals, Pinnipedia, of which we have twenty autopsy records, showed inflammation of this membrane four times, three of which were dependent upon pulmonary infection and one apparently due to general septicemia with trifling damage to the lung proper. One of the first cases had gone on to empyema of the classical type, a shrivelled dry almost carnified lung with a thick fibrinopurulent covering. The lung of the seal is well divided into lobules, the external surface being generously supplied with lymphatic channels under the pleura, an arrangement which 164should carry away infection one would think. Perhaps this high percentage of pleurisy in our Pinnipedia is but accidental. The marsupials, while having a notable percentage of pleurisy both among all the cases and in relation to the number of postmortems, are not so striking from the etiological standpoint since practically all of these have suffered with Kangaroo mycosis or pneumonia. In over half the cases of this infectious disease some grade of pleuritic exudate has been observed, only one, however, going to the stage of empyema.

One cannot speak so definitely of pleuritis in birds since this tissue merely represents in them the covering of the lung and is firmly attached posteriorly to the ribs and anteriorly to the air sacs. Exudates show as collections upon the air sac side of the combined membrane, pleuritis proper in birds being an infiltrative affair coming through the pulmonary tissue and therefore being a part of pneumonitis. I notice a tendency in a few articles to write of pleuritis when the process is confined to the thorax but this gives the impression that the disease is peculiar. There seems no difference in the gross and minute appearance between thoracic serositis and panserositis. The course of procedure seems to be from the anterior or mesial pulmonary ostia into respectively the cervical and thoracic air sacs and this seems to hold good whether the infection be mycosis or fowl cholera or fowl pest. There are records of 104 cases of serositis in birds of which 45 were among parrots, the remainder being well distributed among the various orders; only two each occurred in Galli and Anseres, orders prominently affected under domestication. This high percentage of pleuroperitonitis among parrots and their congeners can only be explained upon the ground of a continued infection of our stock by the virus of fowl cholera and by mould. One case of undoubted fowl cholera occurred recently and as the records are reviewed a few are discovered where the organism was found. The virus must be of low grade for we have had no severe and devasting epizoötic. Mycosis is constantly with us no matter what we do in hygienic measures. There was a small group of cases of pulmonary and serous membrane mycosis combined with staphylococcus infection which carried off six birds. The pathology of this group was interesting because one could follow the infection of the bacterium. The anterior pulmonary ostium was surrounded or covered by a mycotic mass and spreading downward from this was a grayish yellow turbidity of the air sac walls with a delicate sticky or almost mucilaginous exudate extending into the lateral abdominal and posterior sacs.

Fig. 12.—ENDOTHELIOMA OF PLEURA. LEOPARD (FELIS NEBULOSA).

Fig. 13.—ENDOTHELIOMA OF PLEURA IN FIG. 12. DETAIL OF ONE OF THE WARTY EXCRESCENCES.

165There is on record one tumor of the pleura, an endothelioma, in a Clouded Leopard (Felis nebulosa). It was the usual plate-like thickening with warty excrescences. No metastases occurred. (Figs. 12 and 13).

166

SECTION VII
THE ALIMENTARY TRACT. PART 1.—PHARYNX, ESOPHAGUS, STOMACH AND INTESTINES

The portion of the anatomy that we now approach varies in construction almost as much through the animal kingdom as do the external shape and covering of the various orders and much more than do the other systems. The reason for this is obvious, an arrangement accommodative to the differing food chiefly, but not a little to the ease with which animals obtain and assimilate their nutriment. It would be impracticable to describe all the variations of the orders discussed in this study, but since certain gross and minute differences are of importance in comparative pathology they will be discussed at the appropriate places. It is my purpose to present in a subsequent section a discussion of food in captivity from the standpoint of its quality and quantity in relation to pathology.

Doubtless the quality of food is the largest factor in the production of disease both of the alimentary tract and elsewhere, but I am not at all sure that the quantity may not be equally important, in certain groups at least. Thus, for example, the ungulate has nearly always available in bedding a substance that he can and will eat, and the prevalent idea that an animal will eat only as much as is good for him seems not to hold at all times, since overfilled rumens are only too common. It might be thought, however, that captivity creates a sort of pica, or that enforced idleness is conducive to gorging. The use a few lines above of the word “doubtless” may have arrested the attention of some, yet when the whole subject is reviewed it seems entirely justified. Plimmer puts incorrect food at the head of the list of the causes of enteritis, 167Brooks emphasizes the importance of certain grasses and musty fodder, systematic writers detail among the principal causes of gastritis spoiled food, and in zoological gardens specific disease like hog cholera and enterohepatitis are relatively uncommon while nonspecific gastroenteritis is the most frequent diagnosis in causes of death.

The other factors to which enteritis is ascribed are animal and vegetable parasites and mechanically operative foreign bodies, the last being unimportant. Just how important the first mentioned are is a matter of some question which must be subjected to considerable study before any solution can be expected.

If for no other reason than that the gross and minute pathological anatomy of gastroenterocolitis is the same through the mammals and birds (aside from a few specific lesions like enterohepatitis, typhoid fever, etc.), while the food and bacteria vary, it would seem probable that the ultimate cause is the same, a poison which can be formed alike in the carnivorous and herbivorous gut, and not dependent upon bacteria, but upon the chemistry of the food or of the intestinal mucosa. To put the matter more simply, the lesions being the same under nearly all conditions is not the cause the same, and is it not a poisonous product from food or the intestinal lining. It is profitable here only to mention the marked similarity of enteric lesions under the differing conditions and in different orders. We shall study chartwise, the various forms of inflammation from the cardia to the anus in terms of their anatomical diagnosis and most probable etiology in an attempt to throw light upon the matter, and later present the physiology. System requires, however, some attention first to anatomical order so that a brief review of the esophageal and pharyngeal conditions is indicated.

168

Pharynx.

The buccal-pharyngeal cavity in mammals is used chiefly as a passage way for food and as the place where some of them triturate and insalivate the bolus. Certain orders, Primates, rodents and marsupials, use this cavity thoroughly at the first mastication, others use it little at first but may ruminate, the ungulates, while strict carnivores use it very little. The Aves use their pharynx almost exclusively as a passage, and, despite the presence of a certain amount of salivary gland tissue, probably do not digest any substance in this cavity. The crop or ingluvies is a sac to permit of salivary digestion but is really a storehouse to allow rapid feeding without overfilling of the proventricle. The esophagus extends from the pharynx to the cardiac opening of the stomach in mammals and widens into the glandular stomach or proventricle in birds, the upper end of which lies in front of the lower third of the left lung behind the heart.

Inflammations of the buccal, pharyngeal and esophageal walls are relatively common in certain orders especially ground birds and grazing ungulates. This would seem to be explained on the basis of injury to the mucosa by sharp or pointed objects picked up while feeding. The character is usually necrotizing, but need not be, and the bacteriology is not specific. Definite infectious diseases like diphtheria and actinomycosis are not included here, but it might be mentioned that the second disease cited is believed to be started by the penetration of the organisms into wounds made by sharp grasses. Certain orders, notably Ungulata, Passeres, Psittaci and Struthiones, are quite susceptible to mycotic infestation and we have seen an outbreak of thrush in Kites (Accipitres). It is, however, interesting and possibly significant of peculiar protective powers in the upper alimentary tract, that strict carnivores have failed to show ulcerative, purulent or necrotizing inflammations of the mucosa from the 169mouth to the cardia. There has been no important data upon ingluveal indigestion or esophageal obstruction. Birds especially, and occasionally mammals, gorge themselves or take too large a bolus, but it seems as if this is only fatal where some distinct important pathology is present which has reduced their resistance. In the lower esophagus one has to deal with worms in connection with the proventricle in birds, but no mammals seem to have suffered with temporary or permanent strictures. “Crop-binding” has occurred in the following orders: Psittaci, Galli; and overfilling of the esophageal dilatation was seen in Accipitres and Herodiones; Columbidæ with their double crop were not affected by this abnormal collection of food in the esophagus.

Dilatations of Esophagus.

The mammals have shown three dilatations of the esophagus interesting enough to detail briefly:

Mongoose Lemur (Lemur mongoz) ♂ . Sacculo-fusiform dilatation of esophagus, probably congenital, with adjacent fibrosis of lung. In poor condition for several years but recovered satisfactorily from a bad cut inflicted by cage-mates. At autopsy the general condition is poor, hair missing in spots, all skin dry and atrophic with patches of keratotic dermatitis. All tissues anemic, muscles lusterless. Right lung collapsed, brown and pink, spotted with anthracosis. Left lung pushed forward and to left by a mass in the posterior mediastinum. Lower lobe in its posterior portion is adherent to esophageal mass. Lower half of this lobe beginning where bronchus ends and extending over anterior-posterior surfaces shows marked fibrotic processes and at one point in tissue between end of bronchus and adherent esophagus there is no lung tissue remaining. No recent consolidations. Bronchial lymph nodes, small, firm homogeneous pale brown with specks of anthracosis. Heart contracted, normal in size, firm red-brown. Aorta is firmly adherent to esophageal mass where bronchus crosses it. The lower half of the esophageal from the hilum of the lung to the cardia is the seat of a dilatation, fusiform for the most part, but with a saccular portion anteriorly. This latter presses the left bronchus upward and heart forward. The wall of the tube is slightly irregularly thickened but there is no cicatrix and mucosa shows slight hypertrophic condition. A large mass of food occupies the dilatation. Stomach is empty save for gas. Mucosa is soft, smooth, pale pink. Duodenum shows 170slight swelling of the rather pale yellow submucosa and mucosa, but the tips of the villi are injected. Intestine contains only a little slimy mucus. Large intestine contains a mass of constipated feces. The esophageal dilatation seems to have been congenital although it is barely possible that the fibrosing pneumonitis and pleuritis may have aided and caused it by traction. It has been doubtless the cause of the animal’s inanition.

Black Bear ♂ (Ursus americanus). Sacculate dilatation of esophagus with chronic esophagitis. Chronic hypertrophic gastritis. Chronic lymphadenitis. Fatty degeneration of liver. Acute catarrhal enteritis. Had been vomiting more or less, nearly every day for two months and did not eat for six days before death. Mouth, pharynx and esophagus are full of macerated, unrecognizable food. Pharynx seems normal. Larynx is yellow, mucosa rough and slightly thickened in places especially just above the vocal chords. No excess of mucus. Esophagus in neck is dilated. Mucosa is rough, irregular yellow brown. This dilatation proceeds downward so that at thoracic opening tube is twice normal size. Upon entering thorax this dilatation turns to right and in irregular saccular form extends to diaphragm compressing heart and lungs to left. The main course of it then recrosses the midline, aorta being slightly twisted as it regains position in front of vertebræ. The wall is irregularly thickened from pseudomembranous patches and some hypertrophy of mucous and submucous layers. Muscle and serous coats are considerably thinned. The sac is full of macerated food and gas. The right lung is compressed small resilient red gray. No adhesions in either pleura. On section the lung tissue is found to be slightly edematous, red gray, compact and while not atelectatic yet crepitates much less than normal. Left lung is the seat of passive congestion in lower lobe and lower half of upper lobe. The upper half of lobe is compressed and subcrepitant like the right lung. Lymph glands of neck and thorax are much enlarged firm with large irregular, clear outlined follicles and brown firm homogeneous pulp. The aorta shows slight roughening, the intima being smooth and homogeneous.

Lion ♂ (Felis leo). Ten and one-half months old. Cystic parenchymatous goitre, dilatation of esophagus, ulcerative enteritis. Acute glomerular nephritis. Chronic hyperplasia of spleen. Fatty infiltration of liver. Bronchopneumonia (from pressure of goitre). Ascaris in intestines. Had lump on neck for several weeks, ate very little and seemed to have hard work to get anything down. Stopped eating toward the last and vomited water and foam. There is a small ulcer with everted lips just below left incisor on lower lip which the keeper says is of several months’ duration. The thyroid is much enlarged and forms a large mass in the upper chest and extends far up in the neck. Because of this mass the lungs are pushed far down in the chest. Heart also lies very low. The thyroids are enormously enlarged and cystic, the right measuring 13 × 8.5 × 5 cm. and the left 19 × 9 × 5 cm. The lungs are pale pinkish white. Air content increased in places, decreased in others. No hypostatic congestion. The lungs seem normal except at the apex where they are collapsed probably from pressure on lung by enlarged thyroid which dips down into the chest for at least three inches filling entirely the apex of the chest. One bronchial lymph gland was about the size of a walnut, the rest were normal. The heart seems normal except for its slightly low position. The abdomen contains about 300 c.c. of deep yellow highly albuminous fluid. No adhesions. The liver is softer than normal, glistening, smooth, moist and very yellow particularly at the edges. The gall-bladder contains a green mucoid bile and the duct is patulous. Spleen and kidneys are normal. Mouth and pharynx are normal. The esophagus is much dilated above the thyroid. The enlarged thyroid pressing upon it, has acted as a distinct obstruction. In this pouch was a large amount of food probably (from the history) eaten two days before. The esophagus below this point was normal except for the presence of thin mucus. Stomach empty save for two small bits of meat. The duodenal walls are much thickened, mucosa covered with small ulcers many with a hemorrhagic base; there were present also a few small, round worms.

Fig. 14.—DILATATION OF ESOPHAGUS. LION (FELIS LEO). DILATATION PROBABLY DUE TO OBSTRUCTION BY ENLARGED THYROID BODY. IN ILLUSTRATION DISTENTION OF ESOPHAGUS CAN BE SEEN IN THE FORK OF THE THYROID LOBES.

171Here are presented three different dilatations, the first probably congenitally started and aided by pulmonary fibrosis, therefore secondarily a traction diverticulum, the second probably entirely congenital, and the unusual third case due to obstruction by an enlarged thyroid. In this connection might be mentioned small saccular diverticula in the proventricle of a Fire Finch (Lagonosticta senegala), and at the pylorus in a Puma (Felis concolor). Neither of these seemed of any significance and played no part in the death of the animals; they did not seem to be artificially produced, by worms, for example.

The Proventricle.

The proventricle or forestomach of birds, is the seat of active secretion of the gastric juice in nearly all orders, although Jobert believes that the mucosa of the gizzard may contribute some digestive fluid, and there are active glands in this tissue in a few orders. The proventricle does not act as a reservoir during digestion, but as soon as the juices are well mixed with the bolus the food is 172passed on to the gizzard. The organ has a rather free position, at least as far as its left lateral and downward movements are concerned for the left lateral abdominal air sac is free on that side of the gastric complex and the left lateral thoracic also extends down the side of the proventricle. Upward and anteriorly is the heart. Some of the cases of proventricular spiropteriasis have shown very marked congestion of the left lung, possibly due to the closure of the anteroinferior air sac aperture on that side. Aside from parasitism, affections of this organ are not very numerous.

Infestation with spiroptera and with less dangerous worms was quite serious at one time, but since routine examinations of all suspicious birds has been practiced this parasitism has been under control. This is a subject of especial importance to collections, and will be described in a special section. The susceptibility of the proventricle to damage seems from our figures to be very distinctly a matter of zoological order. In so far as parasites are concerned, the parrot group stands away ahead of all others having an incidence among autopsies upon Psittaci of 16 per cent.; after them come the Picariæ with 9 per cent., and Columbæ and Passeres each with 4 per cent. When, however, non-verminous conditions are reviewed the anserine birds are found the most susceptible, 3 per cent. of the autopsies upon this order revealing proventricular lesions; after them come the Columbæ, 2 per cent., and Psittaci, 1.5 per cent. In this group are included inflammations of all kinds, dilatations and distentions and some lesser matters.

This part of the stomach has been involved in our cases of fowl diphtheria, showing a distinct mucopurulent inflammation with penetration into the depths of the glands; no separation of the mucosa occurred, but ulceration was seen. Perforation was observed thrice, twice by ulceration around a worm while it was boring into the 173muscular layer and once, in an ostrich, by the penetration of a nail. Obstruction of this division of the stomach by impaction of food and stones is not common, but does occur. The reason for such obstruction is usually very obscure. Sometimes it seems due to the feeding of seeds and the like in too finely divided form, whereby food and pebbles are taken up together. Some of the smaller birds have had in times past too many small pebbles in the cages, while others have had too large seeds, thus apparently trying to use the pebbles to crush them. It would seem also that the birds had really eaten too much and could not accommodate it in the gullet and gizzard; this seems surely true in three or four Accipitres. Most often, however, we have had to fall back upon the inadequate explanation of pica or perverted appetite.

Impacted proventricles and gizzards have been observed thirty-four times, in eight of which it seemed the sole cause of death, and therefore probably entirely due to foreign bodies in food. The theory is accepted that dilatation and obstruction will not occur if the motor power of the gastric wall be normal and no inflammation exist. In this regard we can only discover five birds (the mammals will be discussed later) with any distinct inflammatory or degenerative disease of this part of the anatomy and two with lesions elsewhere which might affect the musculature; this leaves the vast majority of gastric obstruction in birds unexplained on basis of defective motor power, therefore probably dependent upon the character of material consumed. The anserine birds and parrots are most often affected by this form of obstruction.

Acute or chronic dilatation of the forestomach and gizzard is very rare in birds, it having occurred only thrice in our records, a finch, a parrot and an owl; the causes were entirely unknown since the cavities were not overfilled with food.

174

The Stomach.

Impaction of the mammalian stomach is a diagnosis made but once in our records, an Indian Antelope (Antilope cervicapra), and this is viewed with suspicion. The rumen was undoubtedly tightly packed, being distended to its fullest capacity with rather dry and not properly softened grain. However, postmortem changes had advanced and therefore observations in the whole body were not dependable. The bulk of food which can be accommodated by the rumen is very large, and had this not been dry and firm the condition might not have been interpreted so seriously. Many animals come to autopsy with a well filled, indeed even with a well packed stomach, but there is usually sufficient reason for this or there is distinct pathology to account for death.

All this of course implies a stomach of normal or approximately normal dimensions since distention beyond this, or dilatation of the stomach, is more definite. In veterinary medicine, gastric tympanites (rumen alone or all stomachs, or the simple stomach) is ascribed to food that ferments easily when taken in excess or in the presence of defective motor power, to constrictions by scars and to obstructive tumors; excessive feeding is sometimes mentioned but given a subordinate rôle. Our records throw very little light upon the subject since only five cases were observed. Four of these five seem to be due to acute fermentation independent of gross physical obstruction, while one, a Cape Hunting Dog (Lycaon pictus) showed an old chronic ulcerative gastritis with both healed and active ulcers distorting the pyloric end of the organ. Three of the first mentioned four were monkeys and one was an ocelot. The stomach of the voracious monkey is at time of dissection usually well filled, but in these cases there seems no doubt that gas and excess fluid had distended the cavity enormously, in one instance apparently assisting in acute cardiac dilatation. There were no obvious reasons for assuming any damage to the gastric motor mechanism.

Fig. 15.—ROUND ULCERS IN STOMACH WALL. COMMON OPOSSUM (DIDELPHYS VIRGINIANUS). THERE IS GENERAL MODERATE CHRONIC GASTRITIS WITH ROUND ULCERS NEAR THE CARDIA.

175

Gastric Ulcers.

Gastric ulcer, so-called peptic or round ulcer of the stomach, having a chronic course and leading to radiating scars of the mucosa is not common in the lower animals, but frequent enough in the human being. The form of ulcer in question has at present no adequate explanation, or at least there is no one cause which will answer for all cases. Local injuries from within or without the stomach, bacterial embolism, entrance of bile through the open pylorus and many other factors have been named in the causation but can seldom be used in any given case. In the lower animals with their relatively frequent parasitic infestation, another factor is added. In analysis of our statistics I have separated ulcerative gastritis from parasitic and mycotic ulcerations and from peptic ulcers; the first is discussed in later paragraphs. Parasitic ulcers of the stomach occur chiefly in our native marsupial, the opossum, and in some Carnivora; physaloptera, strongylus, ascaris, and gastrophilus have been found. The kangaroos are frequently affected (8 cases) with an acute or subacute ulceration of the gastric wall, without much general gastritis. The lesion is peculiar in appearance. The youngest ulcers are black or dark gray, flat necroses of the mucosa alone and indeed the process very frequently penetrates no deeper. Older lesions spread laterally and may be preceded by a very narrow congested line but there is no raised edge nor does there seem to be submucous infiltration. If the process be rapid a loose dirty slough may form. Certain of the advanced cases of Kangaroo mycosis will present more infiltrative lesions of the gastric wall leading to large and well defined necrotic areas; they may at times penetrate the whole wall outward. (See page 580.)

176True peptic ulcers have been found in Primates, 4; Carnivora, 5; Pinnipedia, 2; Insectivora, Ungulata and Hyraces each one. The London Garden reports that gastric ulcerations occur most often in Carnivora and Marsupialia. Those in the last three orders of our list were small, usually multiple and relatively superficial. The ulcers found in Primates and Carnivora present the usual pictures seen in man. In one example in each of these orders radiating scars of healed defects are mentioned in the notes. None of them seems to have led to cancer, and in only one, a wolf (Canis lupus), was the scar tissue sufficient to cause definite impediment to the motility of the stomach. Six of the fourteen examples appeared on the greater curvature, the remainder on the lesser. Ten ulcers were in the pyloric division, the other four being scattered. No other pathology is found common to these cases which might be drawn into etiological association.

Tumors.

Tumors of the gastric complex are not at all common, there being only the following to report: Primates, Hamadryas Baboon (Papio hamadryas), diffuse adenoma; (none in Carnivora with the most ulcers); Marsupialia, Red Kangaroo (Macropus rufus), malignant papilloma with metastases. The former tumor, shown in Fig. 17, was a diffuse soft excrescence beginning near the pylorus and stretching along the lesser curvature toward the cardia. Histologically it was made up of glandular acini growing in all directions but always maintaining normal relations of cells and basement membrane. There were no metastases and other reasons for death existed. The tumor of the kangaroo stomach was a true epitheliomatous cancer with metastases to liver, spleen, and kidney. Only one secondary tumor was observed, from a carcinoma of the lung in a Red Kangaroo (Macropus rufus).

Fig. 16.—MULTIPLE GASTRIC ULCERS. COMMON WOLF (CANIS LUPUS). CHRONIC GASTRITIS WITH NUMEROUS IRREGULAR ULCERS OF THE PEPTIC TYPE.

Fig. 17.—PAPILLOMA OF STOMACH. HAMADRYAS BABOON (PAPIO HAMADRYAS).

177

The Intestine.

Inflammation of the gastrointestinocolic tube is the most important single condition with which handlers of animals have to deal, and unfortunately it can seldom be diagnosed clinically, early and accurately enough, to make treatment useful. At this Garden some evidence of acute or chronic disease of the tube has been present in 31 per cent. of our autopsies. The reports of other gardens would indicate that their figures might be quite close to this. What is the cause of this high mortality? Incorrect feeding, qualitatively or quantitatively has been put at the top of the list by Plimmer, but he adds other less important factors: Bacteria of infectious power, protozoa, foreign bodies and parasites or their mural cysts. In order to evaluate approximately how each of these acts let us review the causes as they are generally known and later discuss the pathology as seen in the various orders.

(1) Overloading of the stomach by too much food or by rapid eating of a hungry animal is of importance under certain domestic circumstances where times of feeding are irregular or intervals are too long, but this cannot occur in any well regulated menagerie. It is possible, however, that overfilling might occur in certain Ungulata, which have hay and straw nearly always available, if the food in their reach happens to be particularly agreeable or tasty to them.

(2) Insufficient mastication would seem to be important only in those orders which depend upon this action to triturate, insalivate and macerate their food, of which Homo, Primates, Ungulata and Marsupialia are the principal ones.

(3) Disturbance during and after feeding has always been believed to affect digestion unfavorably, and it may be that visitors to a collection exert such an effect; this factor is probably negligible.

178(4) The appropriateness of the food is a very important factor in the health of an animal under captive conditions. Diet lists are made up by officials largely according to the known habits and general physiology of an animal, but the food offered can at best only approximate what the wild beast obtains for himself. It does not follow because a selected diet may seem to provide all the elements contained in the food available under natural conditions that it actually does so, especially since we are aware that some essential food factors, known under the term vitamins, are necessary to best development. These substances vary in closely similar foods, and seem to be higher in simple natural foods than in prepared diets. We have seen in this Garden that the inorganic constituents must be correctly represented in the food, else degenerative osseous condition may develop. Inappropriate diet may express itself at once after the receipt of an animal, by its sickness or death, or after some time in the development of chronic tympanites, chronic intestinal catarrh or bony deformities.

(5) The physical condition of food is a matter of no small moment. The taking of soft food in large quantities especially by herbivorous animals, permits too short a sojourn in the gastric fundus and is often followed by pyloric and duodenal disease. Too firm food may pack the rumen, fundus or proventricle as the case may be, and be succeeded by distention of these parts and catarrh of the pyloric and intestinal area. The effect of foreign bodies mixed with food is difficult to evaluate unless of course they be of such a nature (pointed metal and the like) as directly to traumatize the mucosa. Many birds and mammals come to autopsy with a relatively large number of stones and small sticks in the stomach without any distinct evidence that they have been hurt thereby. In the bird the stones may be so large and numerous as to leave little room for food, or small enough to pass out into the intestine where they undoubtedly may pave the way 179for bacterial action. Smoothly polished pebbles in small quantity seem to have little effect in mammals. Hair balls are not common and unless of large size are apparently unimportant. Considerable sand mixed with food has a distinctly irritating effect. It is perhaps best known as a chronic gastric disorder of horses; we have seen it in zebra.

(6) Spoiled food is obviously a very prime factor in inflammations of the gastrointestinal tract. Its operations are illy understood except perhaps when products of fermentation or putrefaction prevent digestive action or are absorbed. If in small quantities not sufficient to cause acute fermentative inflammation or intoxication, such substances frequently taken may doubtless produce chronic catarrhs. Many animals are fed upon vegetable mashes, or stews which can decompose, while bad meat may occasionally be fed. We had a rather serious outbreak of enteritis in small Carnivora from the use of fowl heads obtained at hotels; some of these cases were shown to be due to B. paracoli, thus to be looked upon as infections. Dirty food while not spoiled may carry with it organisms of decomposition, or of infective qualities, or the dirt may act as an irritative foreign body. We have found that for delicate ungulates (antelopes) it is highly desirable to screen grain, and that the grade of hay should be of the best.

(7) Infectious conditions are of great importance under certain circumstances but with the exception of hog and fowl cholera, the dysenteries and a few other diseases, do not as a rule play a great part in mortality as specific diseases unless of course an epizoötic appear. The greater problem is to understand bacterial action in the face of other factors. Are infectious germs introduced with food and drink in every case of gastroenteritis or do some other factors activate those already present in the gut tract? Unfortunately these questions cannot be answered directly. We can, however, point out which 180groups of bacteria are most common in some of the orders, which orders are most susceptible to bacterial invasion and which to local lesions with intoxication. The greatest problem in the field is the interrelation of germs of various sorts in the intestinal tract. Certain varieties are known to develop intoxicating aromatic substances, others to elaborate or excrete fatty acids, still others to form antiferments but the conditions existing in the various kinds of intestinal tracts are too little understood to help very much in this study.

(8) Animal parasites have long been considered as one of the causes of gastrointestinal inflammation, a condition largely due to copying from book to book of a few facts and more impressions. The sum of reliable information to-day would seem to indicate that a few parasites—uncinaria being the most conspicuous example of this type—draw considerable blood from the mucosa, that a few, like uncinaria and dibothriocephalus, elaborate an absorbable toxin, that some, notably ascarids, produce an irritating substance, and that many possess the power in themselves or by some excretion to act as antiferments. These factors, were they all combined in one worm, might probably irritate the mucosa sufficiently to produce inflammation, but it is not easy to imagine that they would cause an acute specific condition. It is much more easily conceived that with tiny hemorrhages or ulcerations of mucosæ, bacteria might get in their work or if considerable ferment were neutralized, maldigestion, flatulence or indigestive irritation would ensue. With certain worms like esophagostomum there is considerable evidence to show that a chronic fibrous disease of the intestinal wall arises, but in this case the parasite resides in the mucosa and acts as a foreign body. It would seem, however, that the most important influence that animal parasites exert is to be found in the preparation of the mucosa for the action of bacteria. Masses of parasites may of course 181physically obstruct the lumen and lead to intestinal stasis and dilatation.

Inflammation.

In analyzing the cause of a gastroenteritis and its consequent effect upon the wall of the tube and upon the viscera, certain physical, chemical and physiological factors must be considered. Whether this may be directly the effect of bacteria or poisons from worms or some other factor seems of little moment since in any fully developed case, symptoms and effects are comparable. Moreover it seems that pathological anatomy, both gross and minute, is essentially the same from Primates to struthious birds, the highest and lowest of the two classes here considered. By this is meant that the acute congestive condition of the gut tract with solution of the surface, to which we have applied the name of toxic enteritis, seems to be met with in this form throughout all the orders. So too catarrhal inflammations are the same to the naked eye and under the microscope, due allowance being made for the fact that mammals use polynuclear cells for exudative purposes while birds employ mononuclears. Concomitantly with these conditions, a degenerative process may be going on in the liver and kidney, and hyperplasias, especially in the true infective processes, will be found in the related lymphatic structures.

The majority of students to-day place responsibility for gastroenteritis upon the bacteria known to be present in the various intestinal tracts, mentioning especially colon and proteus groups, streptococci, the necrosis bacillus and anaerobes of the Welch class. In a few of our studies of intestinal bacteria in cases of enteritis one thing has been very definite and that is that in the intestinal content of animals whose food is largely meat, Gram-negative bacilli have predominated, whereas in herbivorous animals Gram-positive organisms have been most numerous. From the observations of Kitt, Strassberger and some others, the normal flora of domesticated animals is subject to wide variations so that our observations must receive confirmation before they are finally acceptable. We have on several occasions isolated from carnivorous intestines Bact. paracoli, Bact. suipestifer and other members of this group. We have no reliable cultural data upon the herbivorous intestine and can only quote the Gram pictures as mentioned above. On two occasions, an eland and an elk, a very large number of forms corresponding to necrosis bacillus were seen; to this organism Kitt gives considerable power in the production of necrotizing processes.

182
Table 11.
This table shows an analysis of all cases of gastroenterocolitis. The left half of the table is an analysis of orders upon which one hundred or more autopsies have been done, the right half of orders with fewer than that number. The left half is expressed in percentages, the right half in number of cases only since percentages might be misleading. Left hand table: First column is percentage of gastroenterocolitis per order; next five columns the percentages in which each of the factors in the headings was believed responsible; the last three columns show the participation of each of the divisions of the intestinal tract; thus Primates had all told 24.8 per cent. of inflammations of which 7.2 per cent. were in stomach, 18.3 per cent. in the intestines and 8 per cent. in the colon; obviously many had all three sections affected. Right hand table is constructed on a similar basis except that number of cases is quoted, not percentages, and the total is put in the last column.
Percentages in orders with sufficient autopsies. Number of cases in orders with under 100 autopsies each.
Per cent. of Autopsies Food Bacteria Animal Parasites Physical Objects Undetermined Stomach Intestines Colon Food Bacteria Animal Parasites Physical Objects Undetermined Stomach Intestines Colon Total Animals Showing Gastroenteritis
Primates 24.8 1.8 4.4 3.6   15. 7.2 18.3 8.                  
Lemures                     8 2   13 4 19 3 23
Carnivora 46.1 2.9 7.2 5.8 .2 30. 21. 41. 6.6                  
Pinnipedia                     1 1 1 8 7 8 1 11
Insectivora                                    
Chiroptera                           2 1 1   2
Rodentia 25. 5. 2. 2.   16. 7. 20.5 3.5                  
Ungulata 24.8 6.6 2.2 2. .8 13.2 9.1 20. 2.5                  
Proboscidea                           1   1   1
Hyraces                           2   1 1 2
Edentata                           2   1 1 2
Marsupialia 33.1   10. 10.1   13. 22. 21. 3.5                  
183Passeres 23.6 .1 4.5 1.8 .15 17. 1.2 22. 3.                  
Picariæ                   1 10 4   24 5 36   39
Striges 41.5 1.5 5.3 .7   34. 6. 40. .7                  
Psittaci 36.6 .3 10.7 3.7 .15 21.8 1.7 35.4 1.3                  
Accipitres 40.7   4.5   .5 35.7 5.2 39. 1.                  
Columbæ 17.8   .6 3. .6 13.5 4.5 13.5 .7                  
Galli 38.6   5.3 19.6   13.7 2.6 21.6 19.6                  
Hemipodii                                    
Fulicariæ                     6 1   8 1 15   15
Alectorides                   1 1 2   10 2 13 3 14
Limicolæ                           1   1   1
Gaviæ                     1 1       2   2
Impennes                           3 1 3   3
Steganopodes                   1 1     8 1 10   10
Herodiones                     1 3   25 1 24 6 29
Odontoglossæ                                    
Palamedes                           1   1   1
Anseres 29.6 .3 4.4 2.3 .6 22. 2.5 27.7 6.6                  
Struthiones                     7     14 8 20 3 21
Crypturi                           1   1   1
184

The Table.

Our records have been analyzed from the standpoint of diagnosis and the most probable cause. The first will be taken up in discussing each of the orders. The probable causes are divided into food, bacteria, animal parasites, physical objects and undecided, in other words a classification based upon the most prominent or definite evidences as seen at postmortem combined when possible with antemortem observations. When findings were inconclusive or contradictory, cases were called undecided, naturally a very large group. Fermentative processes in the presence of obviously undigestible material, are classified with food as a cause. When evidences of septicemia existed in absence of the other factors, it is held that bacteria were responsible. Cases were grouped under animal parasites when these were the most definite findings. Physical objects are relatively unimportant and self-explanatory. To the etiological chart there are appended columns intended to show the percentage or case incidence of the disease of the grosser subdivisions of the gastrointestinal tract which indicate in a general manner what part of the tube in the various orders is most susceptible to disease. While of course 185conclusions must be drawn with great caution, there can be little doubt, for example, that carnivores and marsupials have more gastric disease than any other order, and that the high place for the colon is held by the gallinaceous birds. This charting was suggested by the work of Dr. Raymond Pearl upon statistics, wherein he takes as a basis of classification the part of the body which succumbs to disease-producing organisms or from which a disease starts. It cannot be stated that there is a clear cut relationship between enteritis and the expectancy of life.

Mammalia.

The Primates as an order have their share of inflammations of the gastrointestinal tract and present points of interest. Acute digestive disorders succeeded by acute dilatation of the stomach, or in less fermentative cases by acute catarrh of the intestine, are not at all uncommon. The reason for this is not discovered by reviewing the diet and manner of feeding. The buccal pouches, distensible esophagus, the freely movable stomach, and relatively elastic gastric wall would seem to permit of very considerable dilatation to accommodate the large quantities which the monkey sometimes crams into himself. Nine fairly acceptable records of gastric overfilling exist and two of them seem to have been followed by tympanites sufficient to embarrass respiration, in one case there occurring an acute cardiac dilatation with myocardial degeneration. The animals give no symptoms of this condition and in the last case cited the beast, while old, ate well and was not distended the evening before death.

When acute gastritis exists (twenty cases) the animal seems uneasy but does not vomit. On one occasion I was called to see a monkey which was retching and seemed in pain. Lime juice was offered and taken, followed by gentian and cardamon, which seemed to give some benefit. 186Somewhat later this was repeated in another case, but observations where this might be useful are rare.

The pathology of gastric conditions offers little to contrast with that of man. The enormous distensibility of the fundal pouch often suggests to the observer the rumen of ungulates. Acute gastritis of one kind or another and acute catarrhal enteritis are the most common lesions noted in the Primates. Involvement of the intestine or colon need not carry with it an increase of signs of illness, although at times one will see an evidently sick animal with diarrhœa. Anatomically the lesions are commonly restricted to the stretches of gut above the ileum, it being rather rare that this division or the colon is affected. Pathologically the lesions are catarrhal with definite involvement of the follicles in about one-third of the cases. In this order toxic and pseudomembranous forms are quite rare and ulcerative lesions uncommon. Colonic disease as a sequel to inflammation higher up is sometimes seen in the follicular varieties, but takes a minor place compared to amœbic dysentery of which we have had several cases; this will be discussed under a separate heading. Degenerative disease of the skeleton is almost always accompanied by a low grade of enteritis but not necessarily gastritis or colitis. The pallor of the mucosa, while at times striking, may be relieved by follicular spots and petechia or pigmentation. Often, however, animals suffering from osteomalacia and rickets come to their end by an acute inflammation of the gut tract.

The bacteriology at our disposal allows no conclusions. Aside from a case probably due to Ps. fluorescens and one with colon bacillus abscesses in the liver, no reliable data are at hand.

Reference to Table 11 reveals the fact that among orders with sufficient autopsies to permit percentages, the alimentary tract in monkeys is in the group of low figures, that the intestinal section is relatively more often 187affected, and that the colon is more often diseased than in other mammalian orders, and is exceeded only by the gallinaceous birds.

The Lemures, of which we have eighty-six autopsies, do not differ much in anatomy from the Primates, however greatly they disagree in habits and outward appearance; their diet is the same. Clinically the slothful behavior of a normal lemur probably obscures symptoms and signs of illness, for our antemortem notes with the exception of a few observations of loose stools, fail to offer a lead as to diagnosis. This order has a large incidence (twenty-three cases) of gastroenteric conditions as shown in Table 11, but some explanation of the figures is deserved. In the first place, only one case of acute gastritis occurred, and this was apparently a part of a general infection, and if induced at all by food this was only secondary. Indeed as one reviews the records it does not seem that the lemurs are easily disturbed in their gastric digestion. Acute and subacute inflammations from bacterial action seem definitely more prominent since they take the catarrhal, follicular and deep submucous form and are frequently associated with generalized infectious processes. One amœbic case was observed and there was another in which a heavy cestode and nematode infestation seemed to have paved the way for bacteria.

Carnivora.

The food of this order is received into the fundal part of the stomach, the distensible but normally capacious left and superior two-thirds of the organ. The general shape of the viscus, that of a gourd, permits a fairly sharp separation of the fundal and pyloric sections, so definite indeed that the pathology of the two parts was studied. The intestines vary in length, but in the land carnivores are relatively short, narrow in lumen and rich in wall. A cecum, or at least a blind end of the 188large gut made by the insertion of the small intestine above the tip of the colon, is suggested in all families, although, as in the bears, it may be quite insignificant or rudimentary. Theoretically no stasis should occur at this point. The colon is short in all carnivores and, like the small gut, with a heavy wall. The comparative simplicity of the carnivorous gut tract, the ability of many of these animals to disgorge, the suggestion of high resistance of the upper end of the tract to infection and the ease with which diarrhœa can clear out the tube, would seem to warrant the expectation that inflammation would not be serious. Such, however, is not the fact for, on the contrary, they have shown a higher incidence than any other order for which we have adequate comparison. Anatomically considered their stomach occupies the second place in vulnerability, next to the marsupials, and their intestines the highest place; this indicates of course that combined gastric and intestinal disease has often occurred. Involvement of the colon occupies the second place, in ordinate susceptibility, being exceeded only by the monkeys, due to heavy parasitic infestation, but would occupy the first place were the eleven amœbic dysenteries in monkeys subtracted from their total, a subtraction which might be allowed since it represented an epizoötic outbreak.

Etiologically considered, it would seem as if the influence of incorrect feeding were of little importance, and from one standpoint this is probably the case. Acute fermentative or irritative processes are not common at all, while more inflammatory pictures, catarrhal, erosive or ulcerative, are the rule. There is another phase to the term incorrect food, that is incorrect in its cleanness. During 1912–15 there was an increasing mortality among the cats and dogs fed upon horse meat, mutton and fowl heads. Early in 1916 the butcher shop was reconstructed and thoroughly cleaned and covered galvanized pans supplied in which to transport the food; these pans were 189scrubbed and scalded after use. Since that time, infections inflammations of the stomach and intestines have shown an ever increasing downward incidence, which result, there having been no material changes in other directions, I do not hesitate to ascribe to the improvement of butchering and dispensing engineered by Dr. W. B. Cadwalader.

Helminths seem to be of importance in this order both by reason of the percentage of autopsies in which they presented the most probable or at least most suggestive cause and because uncinaria and strongylus have been seen attached to the wall and a large bulk of known irritative cestodes have occupied the lumen. Physical objects, stones, bones, wire, may cause irritation enough to activate bacterial action or may actually penetrate the wall; the latter action is well known. In so far as practical application of this is concerned, it teaches to feed whole, unsplintered or ground bone.

The distribution and character of pathological lesions according to the region of the stomach is what might be expected from the shape and physiology of its parts. True inflammatory processes are best, and in some cases only seen in the pyloric half of the viscus, while the changes in those few cases believed to be fermentative or irritative in nature were largely confined to the fundus. Dilatation of the latter part may be understood because there the muscular coats are about equal to the mucous in thickness and one-half the width of those at the pylorus, but why inflammatory processes should not be so developed in the fundus is not clear unless the greater availability of mucus protects the secreting wall. Not only does acute inflammation reach its most definite form in the second part of the stomach, but the irregular pigmentation, mammillated overgrowth and atrophy or ulceration of chronic disease are likewise best seen in this part.

190Acute enteritis, of all varieties, is seen more beautifully in carnivores than in any other order of mammals, and nowhere can it be studied better. Its gross appearance is that of the text-book and its minute character even more instructive. I have used a slide of acute catarrhal enteritis in a lion for the illustration of this lesion for the Text-book of Pathology by Doctor Stengel and myself. However, as is known to all who have paid any attention to enteritis, the postmortem findings are usually much less definite than clinical observations would warrant one to expect. The Carnivora not uncommonly show intestinal congestion, mucous membrane swelling without edema or opacity, congestion of the spleen, cloudy swelling of the liver and kidneys and perhaps mesenteric lymph node edema. This picture we have viewed as a toxic affair of some sort or a bacterial infection not yet far enough advanced to produce catarrhal or ulcerative enteritis and septicemia. In such cases the carnivorous intestinal mucosa offers instruction. The epithelium is vacuolated or fringed on the free edge or may be missing altogether. In the depths mucus formation is very active, and where it is going on, round cells seem attracted, collecting in groups in the villus or in the subjacent submucosa. Perivascular round cell increase may be noted. Plasma cells and granular eosinophiles are common, but I cannot state how important the latter are in the general picture because of the frequency of parasites in carnivores. The central vessel of the villus and the arterioles of the submucosa are injected. Lymph follicles may or may not be enlarged, but if so usually fail to show a germ centre.

Colitis alone is not common in this order, but as an extension process or involvement at the same time as the upper levels it occurs occasionally. The only fact I wish to record and one which I would emphasize because of having seen it recently in a human case of chronic colitis, and since it does not appear important to systematic writers, is superficial blood supply. The capillary network 191of the colonic villi, while rich, is in the form of a fine plexus just under the epithelium. In the cases studied these vessels become quite distinct and possess much more definite walls, often bordered by mononuclears, while connective tissue is more evident at the bases of the villi and deeper. This may help in deciding the existence of a colitis.

Bacteriologically the most instructive experience to report is the discovery that a small outbreak of enteritis among small Carnivora, chiefly cats, fed upon fowl heads was due to Bact. paracoli, or at least this organism was found in the intestinal mucosa, spleen, and heart’s blood of three cases. The type of enteritis was hemorrhagic and follicular. There was also a case of septicemia apparently emanating from enteritis due to Bact. suipestifer in a lion (Felis leo). These facts bring strongly to attention the modern teaching that meat poisonings of the Gärtner type are to be considered as infectious and not of the so-called ptomaine group.

Pinnipedia, while related closely to the Carnivora, are grouped in a suborder in our classification and because of their restricted diet are treated here in a separate paragraph. The tract is peculiar in the strong tubular stomach sharply bent upon itself, the great length of the small gut (upwards of a hundred feet in some genera), and the practical absence of a cecum. Pathologically speaking, the most striking lesion of these animals is ulcerative gastritis, a process usually most marked along the posterior-superior surface, but not confined thereto. Upon inspection the gastric mucosa, normally supplied with low regular rugæ, is much distorted by swellings upon the top of which are irregular ragged ulcers with rounded elevated but not frayed margins. The density of the edges indicates much infiltration of the deep mucosa and submucosa; this can be confirmed by microscopical examination. One attempt to study this gastritis bacteriologically was fruitless. Sections of one case 192showed streptothrix-like masses while in another case bacterial colonies and yeast-like bodies were found in adjacent lymph nodes. The genesis of this condition might lie in injury by fish fins or by foreign bodies, of which large numbers are found at times (a pint and a half of stones, marbles, and sticks were found in one stomach). Gastritis has been the starting point of septicemia on two occasions, and three times an acute exacerbation or new implantation of infection occurred, with extension into the intestine. It is interesting that all the deaths of Pinnipedia with gastroenteric conditions occurred in the winter months.

Insectivora are represented by two common European Hedgehogs. In one there were three shallow but shelving ulcers in the stomach which had bled sufficiently to weaken the animal; free blood was found in the intestine. The other specimen was diagnosed at postmortem as having catarrhal enteritis involving nearly the whole small gut, but histological section did not confirm this.

As one descends the zoological scale the first gastrointestinal tract prepared for the nutritional care of bulky food is to be found in the Rodentia. This order presents a great variety of shapes and arrangements of the stomach, but the outstanding feature, with very few exceptions (cf. spermophiles), is the development of the cardiac and fundal divisions ostensibly for the reception of a large bulk of coarse food to be digested at leisure. Some genera like the hamster (Cricetus) have a stomach closely resembling the ruminants, while that of the spermophile suggests the equine stomach. The pyloric end, variable in many ways, greatly resembles the abomasum. So too the duodenum is large, loose and distensible while the copious small gut ends in a very large cecum, shaped at times in a manner which has led to the term “colonic stomach.” The colon is variable and not always supplied with longitudinal bands and sacculations.

193In regard to incidence of gastrointestinal disease, rodents occupy a middle position in the table. The stomach seems a vulnerable section of the tract. Dilatation of the left hand section is common, due, to all appearances, to fermentative processes which have as a result the softening of the mucosa so that even immediately after death it will separate almost entirely. In these cases the pyloric part need not participate but may remain flat, smooth, soft and pink. This condition is slightly more common in the compound than in the simple stomachs. In some of this order, especially rats and cavies, there is a fermentative gastroenteritis expressed by injection and edema of the pylorus and duodenum, and much frothy mucus. It was at first thought that some relation might exist between this condition and the absence of the gall-bladder, but it occurs in varieties possessing this structure. The reaction of the intestine to irritation in this order is peculiar in two ways, the occurrence of mucus and the activity of the lymphatics. In all the inflammations from and including the stomach to the cecum, mucus is conspicuous. At times it is thin or loose and mixed with contents, while at others it forms a relatively close covering for the mucosa almost like a false membrane. Rodentia are peculiar in the promptness and clearness with which the follicles of the intestinal wall and mesentery enlarge in inflammation. They appear as pale, well outlined or diffuse opacities in the wall or as distinct plaques prominent on the surface.

The Proboscidea are represented by one Elephant (Elephas indicus), in which a mild catarrhal change was seen in the middle stretches of the small intestine. This was of little importance as a cause of death, there being several other diagnoses, and was probably a terminal affair.

Hyraces, of which we have a total of seven examples, present two mild involvements of the intestine but none of the stomach. It would appear from the records 194that the intestinal condition had little to do with the death of the animals, and unfortunately no microscopic slides were made. Because of the curious formation of the large gut, notes of both ceca were made in one case, and can be condensed as follows: “The upper or anterior cecum presented a shaggy pearl gray mucous covering, closely attached to the mucosa. This cavity and the posterior ceca were packed with dry crumbling feces. Small thin-walled cysts were seen in the tips of the lower ceca. Duodenum was congested and mucosa swollen. Stomach contained dry, poorly digested food. No parasites were found.”

The Edentata are represented by an Armadillo (Tatu novemcinctus) and an Anteater (Myrmecophaga tridactyla.) The former had a prolapse of the rectum accompanied by colitis but it is impossible to decide the priority of the two conditions since the former is known to have existed long enough to have permitted the latter to develop. The Anteater had a distinct mucocatarrhal enteritis in which bacteria played a part since involvement of the liver, spleen, kidney and lymph nodes also existed. The beast was in good condition upon arrival, but did not become accustomed to the proffered diet, and was distinctly anemic at death.

The Ungulata, so-called for their hoofed and horned character, are also associated anatomically by the construction of their gastrointestinal tract. However, the order of the list as given on page 44 does not represent their historical development nor does it accord with anatomical arrangement of the tube under discussion. The last three families of Artiodactyla are perhaps the simplest in the construction of this tube, or at least take an equal place with the Perissodactyla, while the remaining families of the former suborder have a complex tract of generally similar architecture. This whole order has, however, an alimentary tract anatomically suited for the consumption of bulky vegetable stuffs and shows an 195attempt at adjustment between the food, the methods of mastication, the area of digestive surface, and the bulk necessary for nutrition. The number of factors opened up by the many variations between this complex tract and that of the carnivorous simple tract is so great that I shall attempt only to contrast the anatomy and pathology of the simpler ungulate tracts and the complex ruminant apparatus.

The simpler gastrointestinal tract is possessed by the Perissodactyla, and by the following families of Artiodactyla, the Phachocœridæ, Suidæ and Tayassuidæ. This consists of a stomach with a single cavity (some Peccaries have partitions but no true septa with strict histological differences) divided into esophageal, cardiac, fundal and pyloric areas, dependent upon the nature of the lining epithelia and the absence or presence of glands, as well as the nature of the tubules. The duodenal section is ample and may be sacculated while the intestines are small in calibre and rather sturdy in wall. The cecum is relatively very large, well supplied by longitudinal bands and sacculations; the colon is relatively short but quite capacious and sacculated.

The ruminants and other remaining members of the Artiodactyla have a compound stomach suited to the separation of coarse and fluid foods and the retention of water, and so arranged that boluses of different densities are distributed as needed. These divisions are histologically as well as grossly different. The first three, comparable to the esophageal section of the simpler stomach, are reservoirs or channels, while the fourth or true digestive section, is divided into areas corresponding to fundus and pylorus, possessing the appropriate type of gland. The duodenum in this group is narrow, as is the rest of the small gut, and has delicate walls. The cecum proper is short and of variable width, but never as great as in the group first discussed, while the colon, an intricately wound tube, is narrow and very long. Certain 196of the first group (Peccaries) have a colon of this type, but it is not so complicated as in true ruminants.

These complications seem designed to permit of a long retention of coarse food of low nutritive value per bulk for a time sufficient for full digestion; reverse adaptation of large size of stomach and colon may be explained on the same basis. Let us now examine these two groups to discover their pathological reactions and the nature of the lesions.

Table 12.
Showing the Percentage Incidence of Various Forms of Inflammation in the Alimentary Tract of Ungulata.
Lesion Group A
Perissodactyla and Swine, Wart Hogs, Peccaries Per cent.
Group B
Ruminants and Relatives Per cent.
Acute fermentative gastritis 18. 2.1
All other forms of gastritis 16.3 5.
Acute toxic or fermentative enteritis 1.6 2.3
All other forms of acute enteritis 1.6 8.4
Chronic enteritis 0. 1.9
Colitis and typhlitis 0. 3.1

Ungulates as a class stand in a position equivalent to the Primates in the incidence of gastrointestinal diseases. They show a conspicuous percentage of cases apparently due to incorrect food and, coupled with this, a high percentage of gastric involvement, being exceeded in this respect by the marsupials only (there is an adequate reason for this—see below). Cases ascribed to bacterial or parasitic agents are not numerous. Analysis of the records of the two groups discussed above brings out some interesting facts. Consultation of Table 12 shows percentage comparisons, based on the number of autopsies, of lesions in the various sections of the tract. Group A, that with the simple stomach and the short capacious colon, is represented by forty-four specimens, while Group B embraces 321 animals. Perhaps the use of these two widely differing figures for comparison is open 197to some objection which might be final and decisive were not the figures so definite. At a glance one can see that Group A has involvement more marked high in the tract while Group B has more disease in the intestine and colon. Certainly gastritis is more common (five times) in the A than in the B group, while enteritis is more common in B (over three times). No case of chronic enteritis or of involvement of the colon is recorded in animals with a simple stomach and a wide hind-gut. This may be read either in terms of vulnerability of the stomach or in the degree of resistance of the respective groups.

Consideration of the local factors of the stomach brings to light at once the fact that incorrect food entering the simple stomach could attack the softer, less resistant glandular section of the fundal and pyloric areas whereas the rumen and psalter of the compound organ, with their stratified epithelium devoid of glands, act as barriers or as places where detoxication of irritants might take place. In both groups bulky food is packed to the left, the esophageal and cardiac section in the simple form, the rumen in the compound. Soft or liquid food may pass into the psalter and abomasum of the ruminant stomach almost directly since it has not the force or bulk to push aside the valve-like fold of wall at the junction of esophagus, rumen and reticulum. For this reason, if for no other, the character of soft food supplied to this order must be unexceptionable.

It has not been possible to follow out the layering of diets as Scheunert did when showing the course of various foods before they are mixed at the beginning of the pyloric compartments. We have seen two cases in ruminants which seem to indicate that soft food had passed into the right side cavities of the stomach, there to cause irritation, while the rumen remained quite normal. It seems, however, accepted by veterinarians that excessive soft food may be followed by trouble in the digestive stomachs, while excessive dry food may cause distention 198of the left hand sections. So far as I know, the relative incidence of gastric disorders in the above outlined groups has not been pointed out before.

The pathological types of gastroenteritis do not present many unusual features. Simple injection of vessels during digestion seems more evident in this than any other order, while mucus production seems less marked. The mucosa of the reservoir portions may, in simple overfilling and fermentative distention (gastric tympanites), be quite normal or dull red; when active fermentation has occurred it may be digested and peel off. More or less true inflammation as seen in the digestive stomachs is definitely better expressed in the compound ruminant organ than in the simple equine variety where congestion and edematous swelling with hemorrhage form the usual picture. True catarrhal changes both gross and minute, are often well seen and ulcerative lesions are not uncommon; ulcers are unusual in the simple stomach. These statements hold good also for the small intestine. Enteritis affects the duodenum and jejunum more in the Perissodactyla and swine than in the ruminants. Ungulata do not react with hyperplasia of the mural lymphatics as do many other orders, but the swelling of the mesenteric nodes is often noteworthy. As might be expected this is more definite with catarrhal changes and therefore best seen in the ruminants. In the colon, however, the solitary follicles are often quite prominent in simple inflammation. Histologically the greatest changes seen in this order are superficial degenerations with mononuclear increase in the deep submucosa, mostly arranged in perivascular fashion. The villi do not contain the large number of cells seen in the Carnivora.

Marsupialia.

Consultation of the figures for this order in Table 11 arrests attention at once because of the peculiar percentages found under the detailed factors. 199Thus food is of no moment as a disturber of the alimentary tract, while bacteria and parasites are high in importance. The gastric segment is more often attacked than any other portion and slightly more often than in the nearest order, Carnivora. These unusual figures deserve explanation, to which purpose it will be necessary to consider the anatomy of the organ and to discuss why bacteria and parasites stand so high in etiology.

Marsupials are divided into six families in our classification (see page 44) which in regard to their diet, range from largely carnivorous (the first two) through those choosing mixed insects, fruits and vegetables (the second two) to those eating vegetables and grain (the last two). The stomach of these animals does not vary exactly according to their diet, the first four, opossums, dasyures, bandicoots and wombats, possessing an organ closely similar in outline and construction and resembling the carnivorous variety, while the phalangers and kangaroos have a stomach entirely different from the first four although somewhat similar to one another. The first group has a round or irregularly elliptical organ with the esophagus and pylorus close together along the lesser curvature. The wombats have a bank of glands surrounded by a capsule, near the cardia. The stomach of the first four animals is divided into cardiac, fundal and pyloric parts by the construction of their mucosa, the first mentioned division being a high, rounded pouch, rumen-like, well to the left. The phalanger’s stomach is more elongated, the two openings well separated and a fissure is found in the right end of the lesser curvature which serves to separate the pyloric part from the rest. The Macropodidæ all have a stomach resembling the human colon in being elongated, with longitudinal bands gathering it into sacculations. There is a distinct esophageal section to the left with a blind sac suggesting an ungulate rumen, a long tubular fundal, and a sacculate pyloric division.

200The small intestine of the order starts with the opossums as a stout muscular and mucous tube fitted for meat eating, but as one proceeds to study the families downward in the list this tube becomes more delicate and longer. In the first two families the cecum is rudimentary and the colon very short as in cats, but the length and capacity of these parts increase through the bandicoots and wombats until in the strict fruit, vegetable and grain eaters, phalangers and kangaroos, the cecum is long and capacious and the colon relatively long and roomy.

Table 13.
Showing the Incidence of Gastroenteric Disease in the Two Forms of Marsupial Intestinal Tracts.
Group A
Carnivorous Stomach and Intestines 103 Specimens Per cent.
Group B
Herbivorous Stomach and Intestines 73 Specimens Per cent.
Acute gastritis 9.6 15.
  Bacteria Verminous Bacteria Verminous
Chronic gastritis 0. 13.6 5.4 0.
Acute enteritis 2.9 1.5
Colitis incl. typhlitis 1.9 4.3

Table 13 contains an analysis of the forms of gastroenteritis as they were described in the two groups of tracts, that resembling the carnivorous, that similar to the herbivorous intestinal construction, and according to the factor believed to be responsible. In the first group gastritis of an acute nature occurred in 9.6 per cent. of the 103 specimens. They were chiefly catarrhal in character and seem for the most part secondary to verminous infestation; at least six of the ten cases were associated with parasites. The process microscopically is catarrhal and deeply infiltrative. Group B has a high incidence of gastritis and here the evidence of bacteria or toxins is quite plain. Several of the cases were in animals showing also Kangaroo disease of the jaw with pneumonia or septicemia; the gastric lesion of streptothricosis will be described under that heading. The character of gastritis 201without jaw disease is somewhat different from that with it. Pathologically the process is a congestive and superficially necrotizing affair, forming upon the tips of the folds, small gray erosions or flat shallow irregular ulcers, which upon histological study consist of loss of tissue of the mucosa and some deep congestion with round cell groups but no reaction deep in mucosa or submucosa. True catarrhal inflammation has occurred, but not like in the opossums.

Chronic gastritis in the simple stomachs is almost exclusively in opossums harboring Physaloptera turgida, a worm which fastens itself more or less firmly in the mucosa and probably, with the assistance of bacteria, causes sufficient irritation to produce a hypertrophic change in the deeper layers and a destruction of the glands where it holds and a distortion of those nearby. One is reminded that Fibiger found spiroptera to be responsible for adenocarcinoma in rats; no tumor formation has been found in these animals, although one opossum with such a stomach had an adenocarcinoma mammæ. Small hemorrhagic spots may occur in the deeper layers, possibly where the worms have bitten. The rugæ are irregular or interrupted by knobs and papillæ.

Group B, stomachs showing chronic change, were all kangaroos. The three cases resembled the infiltrating necrotizing lesions as discussed under ulcers (page 175). The process showed an infiltration of the subsurface tissues with a gray slough over the densest part. The mucosa as a whole was irregularly rugous and spotted with red gray areas.

Altogether one gets the impression that in the simpler stomach, reactive inflammation is most prominent, while in the colonoid stomach degeneration is greater than reaction.

Intestinal lesions in marsupials are not common and not peculiar except in that they carry out the pathological 202reaction as seen in the stomach. The carnivorous intestine shows frank catarrhal changes, the herbivorous presents congestions and superficial necroses. These two groups then follow the descriptions as already given for carnivores and ruminants.

The colon presented in the first group, simple catarrhal or follicular change. In the second division the lesions resembled those in the stomach; they were only once of the three instances associated with streptothricosis.

Aves.

The class Aves has been treated in the chart precisely as have the mammals, but it is not possible to make the accurate diagnoses or to separate groups of lesions according to anatomy as was done for the latter class. Upon the average there is more gastroenteritis among birds than mammals, but when looking for an explanation of this, it was unfortunately necessary to enter in the “undecided” column of Table 11 a very great number of cases. This column would be greater relatively were it not for the parasites in parrots and gallinaceous birds, the entries for which are high. Besides this fact and that the owl stands at the top, the pigeons at the bottom of the list numerically, no further general statements are allowable. There are several orders with high values among those of which insufficient autopsies are at hand to cast percentages.

The avian alimentary tract seems to have developed according to the character of food the different varieties of birds consume if one may judge by the construction of the bill, the gastric musculature and the intestinal wall. Zoological classification has only secondarily considered this point, it being made incidental to the habits and habitats of birds. For this reason the orders as outlined on pages 44–46, placed as they are in historical evolutionary position, represent with few exceptions groups which have differing diets and, by the same token, differing gastrointestinal 203tracts. Classifications based upon habits of life (Raptores, Cantores, Natores), prove likewise too broad or too heterogeneous, while systems making character of food the chief criterion though apparently correct in reasoning and helpful in certain orders, (Accipitres, Galli) are found to present copious exceptions; moreover we are imperfectly informed of the exact diet that many families require or resort to in absence of their preferred food. I shall therefore discuss the chief diseases and distributions according to our classification, preceding the discussion by a brief résumé of the anatomical peculiarities of the avian alimentary tube.

The first digestive burden falls upon the proventricle where the principal juices are secreted while the muscular stomach or gizzard assumes the duty of gastric mastication. The lateral muscular bellies of its heavy wall grind the food and mix well the gastric juices. Its mucosa probably supplies only lubricant. In birds whose food is hard, corn and the like, this grinder is supplied with a dry horny internal layer, while a thick, moist, soft, epithelial surface is sufficient for carnivorous birds. All kinds of gradations exist between these extremes. The mucosa of the proventricle is always soft, but quite deep to permit the placement of compound tubular glands.

The relation of size of these two parts is subject to many variations.[22] The proventricle is larger proportionately in meat eating, fish-eating and fruit eating birds, the gizzard having the greater size in granivora and insectivora. In certain birds the mucosa of the two is separated by a very soft thin zone, an important fact in Psittaci since at this place spiroptera seem to penetrate to the glandular layer of both organs.

The duodenum begins in practically all birds, from a spherical cavity at the pyloric end of the gizzard, to be accredited anatomically to both sections. It passes downward, 204forms a long loop enclosing the pancreas, its distal end lying under the liver and near the gall-bladder. Near its end it receives the major bile and pancreatic ducts; smaller ducts from the liver and pancreas may enter near the pylorus or elsewhere along the loop. The small intestine is usually simple in its coils, but in the birds that eat grain, grass and greens, may be long and complicated. So too the colon, usually a very short segment, may be increased in the just mentioned group while the ceca are only of any considerable length in herbivorous birds. The length of the ceca is, according to Owen, related to the availability of food and the need the bird may have for exhausting the nutritive value of it. In carnivorous birds as in similar mammals, the whole gut, but especially the hind-gut, is very short and the ceca small or absent. But so they are in picarian birds which are chiefly herbivorous, but may eat meat.

Gastritis.

The double-muscle stomach, that with the two lateral plates and tough epidermal internal coating, is seldom the seat of disease. An excess of greens in the diet sometimes seems to soften or macerate the lining, while an excess of pebbles may cause erosions. Upon severe irritation this internal layer assumes the appearance of tanned leather and may crack. The proventricle of such a gizzard seems rather resistant to disease, particularly one would say, to infective processes, for catarrhal or ulcerative inflammation is uncommon. The saccular stomach with uniform muscular walls continuous with those of the proventricle, such as is seen in raptatory birds and parrots, offers a somewhat different picture. The internal membranes of these organs are definitely softer, seeming to swell with great ease, and the glands themselves are smaller both at the fundus and outlet, a construction which may favor their closure by swelling from simple congestion and edema. Catarrhal and ulcerative 205processes are definitely more common in such organs than in the first type or true gizzard.

Enteritis.

Enteritis of all orders is most outspoken in the duodenal loop, but a determination of the lesion must be made with some care. All the signs of intestinal inflammation—congestion, swelling and opacity, excess mucus or mucopurulent covering—must be present to justify a gross diagnosis of enteritis and even when these exist one fails at times to confirm the finding by microscopical section. These changes may be simulated by digestive activity so that it is but reasonable to demand them all in a clear cut fashion before applying the term enteritis. However, it is well known that cases in both human and veterinary medicine giving a satisfactory clinical picture of this disease may fail to show to the naked eye and under magnification the changes expected.

In the human being, the carnivore and the ruminant, the ileum presents the most definite picture of enteritis. In the bird, the duodenum shows the prominent lesions, and with the exception of specific diseases like blackhead, is always involved when the smaller coil of small intestine is affected. This is true whether the enteritis be nonspecific or be associated with cholera of chickens, ducks or parrots.

The colon presents peculiar lesions in but few birds. Ulcerative and necrotizing processes have been encountered in three orders, Psittaci, Anseres and Herodiones, suggestively like the specific forms seen in the ceca. Microscopy and one unsuccessful culture failed to reveal a mould or protozoön. The condition appears as a gray white plaque in the cloacal wall or it may spread up to the colon and around the urethral orifices. At times it is superficial upon the mucosa and may be covered by a pseudomembrane.

206The chief interest in the ceca centres about enterohepatitis either of heterakis and amœbic origin or that supposed to be due to coccidia or Bac. scoticus. This specific form has been encountered only in Galli (three of the four families). It has been so well described by Hadley, Smith, Morse and Cushman that it is unnecessary to discuss it since we have nothing to add to its pathogenesis or pathology. At a later time some attention will be given to our experience with Quail disease. What is more interesting from a comparative standpoint, besides having a bearing upon blackhead, is the discovery of heterakis in the ceca, and hemorrhage and fatty change in the liver without amœbæ or coccidia in either place (unfortunately no bacteriology was done), in a Sebastopol Goose (Anser domesticus), a bird which has ceca not unlike the gallinaceous varieties. This is a single observation and must be treated expectantly.

Microscopically the avian digestive tract in its various inflammatory states presents a few noteworthy features. The primary reaction, sometimes the only one, to irritation is injection of the vessels in the villi or deeper mucosa. To this, however, is nearly always added a granularity of the epithelium, without much evident mucus (goblet cell) formation. When the epithelial degeneration is marked there appears a round cell increase in the deep mucosa shortly followed by a similar infiltration into the villi. True catarrhal enteritis as described for the cats is not as common as some combination of the changes just detailed, but when it occurs is best developed in the carnivorous avian tract. The most striking cellular finding is the round cell of the infiltrate. It is of the middle lymphoid size with clear protoplasm, or, when late in the disease, may be small and so-called adult. Polynuclears, unless eosinophilic, and endothelioid cells are rare.

The foregoing are general remarks concerning the pathology of the avian tract, and we are now ready to 207discuss briefly the reactions of the orders. I shall, however, omit mention of those in the right half of Table 11.

Passerine birds are represented better than any other order because they are more numerous in nature and therefore exhibited more generously in collections. This order is not especially vulnerable as to its alimentary tract, but this tube is often affected by tiny stones, bits of rust from cages and by acute general nonspecific infections to which these birds are quite susceptible. Upon many occasions intense congestion with and without tiny hemorrhages in the duodenum are all that can be found in the little birds and the diagnosis of enteritis is put down. Only about one-tenth of these birds have shown more or less definite catarrhal changes. Many birds have heavy infestation with worms which may activate bacteria.

The Striges and the Accipitres will be discussed together because of the similarity of their tracts and their diets. The reaction of their gastric complex has already been mentioned and what was written there can be extended to the intestine. The type of lesion is catarrhal and seems to be “meat bred” although this cannot be proven. They never have given positive heart’s blood cultures so that the disease seemed not to be septicemic. Liver and spleen have harbored colon and paracolon bacilli. It will be noticed that they have the highest incidence of gastric disease.

Psittaci, birds with a tract similar to the last two but with a captive diet of seeds, fruit and vegetables although they may eat small animals and insects in the wild, present figures under bacteria and parasites which explain the involvement of the alimentary organs. We have had two acute outbreaks of what seemed to be fowl cholera, judging by the pathology and the isolation of Bact. gallinarum and we have frequent deaths with the same gross anatomy from which bacterial isolation has not been tried or was unsuccessful. At all events the enteritis of parrots is often a definitely infectious affair. 208We have also isolated Bact. psittacosis on two occasions. Separation of the birds and cleansing of the exhibition spaces seemed to stop the disease. The lesions are hemorrhagic and superficially necrotizing in this group whether or not they are septicemic. Some have also shown a follicular appearance both grossly and minutely, one of which cases was associated with Bact. psittacosis.

The effect of animal parasites is chiefly exerted, for this group, in the proventricle where the Spiroptera incerta occupies the lumen and penetrates the mucosa or burrows under the inner lining of the gizzard. Enteritis is not especially associated with this infestation, death resulting more from inanition than infection; some few cases have had enteritis, others pulmonary disease.

Columbæ are not susceptible to disease in the parts under consideration. This order seems to have some tissue resistance, for their lesions are quite frankly catarrhal, more so than in most grain-eating birds.

The figures set against the Galli are swollen by the number of cases of enterohepatitis of one sort or another. Extracting these from the total leaves the order among the lowest. Their lesions are congestive and hemorrhagic, although they may show catarrhal cases. They seem to be able to summon mucus more readily than many other birds.

Anserine birds, though not very high in figures, present three conditions worthy of note. In the first place, acute simple gastritis occurs often, sometimes associated with foul green food, sometimes without any apparent cause. From the number of times that foreign bodies are present it seems probable that they contribute in some way. Excessive stones and sand, bits of glass, collar buttons and the like are sometimes found. Then the form of acute enteritis has always a hemorrhagic tendency, at least in the submucosa, while the mucosa may be swollen, opaque and covered with mucus. Upon histological study these intestines show intense swelling by cellular infiltrate 209and disappearance of the tips of the villi. The third observation concerns what is apparently a subacute or chronic process although this is not supported by microscopy. Certain birds will have a cast of mucus and epithelial detritus rather closely adherent to the wall. Under the microscope there may be slight evidence of chronic inflammation or there may be little amiss. These birds have usually been large ones, and several have come from the separate goose pens, not from the open lake where many birds are kept.

The struthious birds deserve a word. They have had a great deal of enteritis and mostly of infectious nature. Two instances have arisen from bird diphtheria, one from cholera and six from what later seemed to have been anthrax but was not diagnosed at the time. The character of the lesions in the struthious intestine tends to be hypertrophic and superficially erosive if not ulcerative. The changes are found with greatest clearness in the lower duodenum and small coil.

Constipation.

Having discussed the inflammatory conditions of the gastrointestinal tract we now come to the more or less definitely mechanical abnormalities, whether or not they depend upon preëxisting inflammation, and the subject of constipation will claim first attention. In the human being this condition is the result of bad habits more than any other one thing or all things together, I think it will be admitted. In the lower animals perhaps no such thing as habit of defecation exists so that one can with more certainty hold incorrect food, chronic catarrhs or physical obstruction as responsible. Veterinarians look upon excess of dry food and irregularity of work and food periods as the principal causes of constipation. These factors do not hold in zoological collections. As a matter of fact constipation is of minor importance in this menagerie, but a certain few cases are worthy of note. It 210has been mentioned in the diagnoses in only a little over 1 per cent. of the total, and of these the records indicate its importance only ten times (.2 per cent.); a few notes of these cases are appended. The first place of incidence is taken by marsupials (six kangaroos and one opossum), the second by ungulates (largely ruminants) and the third by Primates. It will be noted that with exception of the opossum, herbivorous mammals occupy the first places of incidence, carnivores falling well behind the orders named. This condition is quite infrequent in birds and is usually associated with the presence of seeds or parasites or with impaction in the ceca.

Primates, almost exclusively feeders upon carbohydrate and soft protein food, have shown as causes of constipation two outstanding conditions. A low grade of colonic catarrh with excessive pouchings of this tube has had constipation associated with it three times. One of these cases had small coproliths in the diverticula, one other a fecal concrement in the cecum. Another group of these cases with evidence of delayed passage of feces shows chronic peritonitis with adhesions, one of which seems certainly due to filaria in the peritoneal sac.

The seat of constipation in monkeys is practically always the colon. The carnivores while occasionally showing hard fecal masses packed into the colon, more often exhibit a constipation in the ileum. One case presented a nearly empty colon with a long scybalum just above the cecal valve. There is no peculiar associated pathology in the notes at my command.

Ungulata, showing next to the highest incidence, has its stoppage chiefly in the colon, but the lowest stretch of the ileum may contain balls of feces. In nearly every case one finds some grade of colonic catarrh. In two instances, there being a proctitis, it seemed as if the animal voluntarily restrained from defecating because of pain. The caput coli is the seat of stoppage in the Rodentia.

211Marsupials give such a high relative incidence that especial search of their records was made, without, however, very definite result. In three of the seven cases an acute general infection existed, in one an acute peritonitis which seemed to emanate from a small ulcer in the ileum, in one an injury to the anal region was found while in the remaining two the notes would suggest that the lower intestine was atonic, judging by its distention, translucency and pallor. In five the stoppage took place in the large bowel alone, in the others both divisions being affected.

It is often difficult to establish a diagnosis of constipation in birds because many varieties form a long rather dry mass in the lower small intestine, to be moistened in the cloaca for discharge. Still again the groups with capacious ceca are apt to have them filled normally with firm casts. Diagnoses of fecal inspissation and stoppage in the smaller tube have been made seldom, but one must consider also the obstruction offered by excessive urate collections either in the cloaca or lower ileum which will amount to a constipation if the cloaca be over-dilated and dried urates mixed with dirt or feathers cover the anal opening.

The causes of this condition in birds are usually mechanical, inflammation being found in a small minority of cases. In the small passerine birds, seeds, sand, or parasites form the commonest findings. This is also true of parrots, while excessive urate collections are noted for both these groups. The gallinaceous birds present two reasons for fecal stoppage—disease of the ceca (see pages 205–6) and cloacitis probably secondary to anal closure by excessive urate collection. Uratic stones, varying from one to five millimetres in diameter, have been found in the cloaca in several orders. In only one case, a pheasant, did they cause ulceration and cloacitis. Sand, rust, grains and the like are found frequently, and sometimes in groups of birds, indicating that the specimens 212had not been put upon the correct flooring or caging. Unbroken seeds may obstruct the lumen.

Mechanical Obstruction.

Although the following is not constipation it is well to cite at this place an experience which amounted to mechanical intestinal obstruction. A number of finches were subjected to postmortem and found to have whole white millet seeds in their intestines, this being the only discoverable cause of death. Investigation revealed that during the night mice ate the canary seed in the pans, leaving only the millet, which the hungry birds consumed whole. Small birds can take a few millet and crack them when eating leisurely, but apparently not when hungry. When the food was removed at night the trouble ceased.

Obstruction by sand is well illustrated by a peculiar form of pica, in a goose, which is worth citing, and calls to mind the sand disease of horses:

Canada Goose ♂ (Branta canadensis canadensis).

Diagnosis.—Masses of sand in entire intestinal tract. The general condition externally and internally is good. The crop is distended like a sausage, quite firm and the overfilling is obviously due to sand in which very few stones, which could be called pebbles, are found. This mass continues into the esophagus making the whole tract impassable for food. The mucosa is a little pink and dirt-stained in places but is not visibly inflamed. The gizzard is contracted over a mass of sand but no food. Sand in more or less definitely packed condition is found all along the gut tract, in one place in the small coil it being quite as tight as in the crop and no lumen remaining. Sand and bits of shale are found in ceca. The organs are apparently healthy, slightly pale perhaps, but certainly not distinctly anemic. No infection exists. The aorta, just above renals, has a 15 mm. × 2 mm. pale opacity of same consistency as the rest of the vessel, just perceptibly higher than surrounding surface.

“Sand disease” has occurred in a Persian Wild Ass (Equus onager) causing in this case ulceration, perforation and peritonitis, a Common deer (Mazama virginiana) and a Chapman’s zebra (Equus burchelli chapmani). The collection of sand is always greatest in the caput coli, but may coat the large bowel to the anus.

213Larger and more definitely obstructive physical objects are found in both mammals and birds. We have on record a lion (Felis leo) and a tiger (Felis tigris), which swallowed pieces of bone large enough to be stuck in the small intestine and completely occlude it. Smaller objects like buttons have been found even in the passerine tract. Worm masses may occupy such a large part of the lumen of the tube as to constitute a physical obstruction. This is definitely less important in mammals than in birds, especially in the passerine order of the latter class.

Dilatation of the intestine aside from that occurring in connection with fermentation, constipation or ileus, in other words chronic atonic dilatation, has not been encountered. Acute dilatation has been found in several orders under the picture known for domesticated animals. Its pathology and incidence have already been discussed.

Ileus.

Ileus or acute intestinal obstruction may be divided for our purposes into intussusception, volvulus, strangulation and paralysis from interruption of mesenteric circulation. Examples of all these varieties have been encountered and illustrative cases will be cited. In so far as incidence is concerned, the Ungulata and Carnivora greatly outnumber all other orders, showing seven cases each; the sum total in all other orders is but eight. Upon re-reading some of the protocols I have, however, excluded three invaginations in the carnivores, one each in the ungulates and rodents, as probably being postmortem or shortly antemortem occurrences; two had very early peritonitis but other things, sufficient to account for death, were present. These deductions bring the total cases of ileus in mammals to seventeen. Five cases in birds will be discussed briefly.

Primates present one case of volvulus, one of intussusception and one of internal strangulation. The first displayed the entrance of four inches of ileum into the 214colon with such swelling of the wall as to prevent reduction. The exciting cause seemed to be an enteritis, the cause of death a peritonitis. A white-collared mangabey (Cercocebus collaris) was the victim of volvulus probably favored by an anomalous position of the transverse and descending colon which lay to the right, the latter traversing the abdomen obliquely from right to left to reach the pelvis. The volvulus occurred in the ileum just above the cecum, the twisted part being found adherent by the peritonitis. The third case is a strangulation due to peritonitis from filaria and adhesions between stomach and colon from a colitis and pericolitis due to cestodes, one of which was found deeply implanted in the colonic wall.

Two cases of intussusception are noted (after deductions above) for the Carnivora. They both occurred in the ileum, one restricted thereto, the other extending into the colon. In both a vague history of being “off their feed” or giving evidence of intestinal trouble could be obtained from the keeper. The three excluded cases had invaginations in the middle and lower small intestines but not at the cecal valve. Volvulus did not occur in the Carnivora.

A paradoxure (Paradoxurus hermophroditus) died as the result of a strangulation of a six-inch knuckle of gut which had passed through a hole in the omentum. The animal had not been eating well for a month but gave no signs by which this ileus could have been diagnosed. Perhaps it had existed for sometime but only shortly before death had swollen sufficiently to cause obstruction.

Having excluded a doubtful invagination in a small rodent there remains an interesting though somewhat obscure case in a porcupine (Erethizon dorsatus dorsatus). This animal suffered with an acute hemorrhagic and catarrhal enteritis while the colon seemed free of change until the rectum was reached. Here was a stretch of a foot with the purple, lusterless but translucent 215appearance of a strangulated intestine although no involution or twisting remained. This was looked upon as a volvulus which had untwisted a few hours before death.

Intussusception was seen only once in the Ungulata, a tapir (Tapirus terrestris) with chronic enteritis. Here the ileum had passed into the colon for a distance of nine inches, it being much swollen and congested but not gangrenous. Its condition warranted the idea that the process was antemortem but a peritonitis had not arisen, death having occurred from the slight extra shock in an animal suffering with chronic malnutrition. Volvulus was encountered three times, two deer and a zebra. The last was the animal already described that carried such a heavy load of sand in the gut tract, a factor in the production of the twist probably although this might have been aided by a fibromyoma of the colonic wall. The location of the volvulus in this order was twice in the dilated descending colon, the third in the jejunal area. This last was a twist which resembled an internal strangulation because of the intricate knot-like windings of the small bowel.

The marsupials present two interesting cases. A rock kangaroo (Petrogale pencillata) had chronic gastric ulcerations with local peritoneal adhesions which apparently obstructed nearby coils of intestine so that they became inflated and twisted over. An opossum had a volvulus of the stomach which performed one and a half turns from left to right; its protocol follows.

Common Opossum ♂ (Didelphys virginiana). Ileus. One and one-half complete volvulus turns of stomach on duodenum. General condition fairly good. Abdomen quite prominent, a condition found to be due to great dilatation of the stomach which occupied the whole anterior part of the abdominal cavity. The organ is blue and the vessels stand out. Postmortem changes are occurring everywhere favored by the obstruction to the circulation. The dilated stomach has undergone a volvulus upon the third part of the duodenum making one and a half turns. The spleen lies upon the right side well below the liver; it is swollen, soft and deep purple. The duodenum in its upper half takes part in the dilatation and beginning gangrene. The pedicle of the 216twist is made of the duodenum, esophagus, edge of the mesentery and the middle part of the pancreas; the end of the tail of the last is gangrenous. There is no apparent obstruction lower down to explain the twist of the stomach.

Among the Aves the following cases only are worthy of report. A parrot (Melopsittacus undulatus) was found to have a tightly packed mass of worms in the end of the duodenum above which the bowel was distended, elongated, doubled on itself and of a deep red color; below this the small intestine was empty. A closely similar condition was found in a Screech Owl (Otus asio asio) the obstruction occurring just above the end of the small gut. A Sparrow Hawk (Falco sparverius) had an invagination two cm. in length, a short distance above the end of the small intestine. No peritonitis existed but the presence of an acute enteritis helps to explain the intussusception.

Hernia.

Hernia is not a common occurrence among the lower animals but our experience is instructive in two particulars, to wit, its absence in the orders preceding the Rodentia and the frequency of the traumatic variety. There being no general remarks to be made upon the subject, it seems well to give a summary of the findings in each of the seven cases.

A Western Fox Squirrel (Sciurus rufiventer) showed a diaphragmatic defect on the right side, a rounded opening with smooth edges, through which a loop of intestine had passed, entering behind the liver and reaching into the pleura as high as the pulmonary apex where it was adherent; this was probably of long standing. Two more loops were found wedged in the diaphragmatic hole, one of which was gangrenous.

An Indian Antelope (Black Buck) (Antilope cervicapra) presented an irreducible incarcerated but not strangulated umbilical hernia. The peritoneum was fused 217with the aponeurosis at the ring but the gut was not adherent at this point while it was attached within the sac outside the muscle, thus forming the incarceration. Apparently the sac had dissected between the muscular layers for it could be followed for several centimetres in some directions. A Hog Deer (Cervus porcinus) had apparently suffered an injury in the flank for at one point the muscles were irregularly cicatrized and a rent was present through which several loops of intestine and a band of omentum had escaped, being adherent to fascia. No injury to the skin was apparent.

Another Indian Antelope showed a clean traumatic rupture of the muscle and peritoneum in the right inguinal region without penetration of skin. An acute hernia had occurred which was lightly adherent to fascia and an acute peritonitis was beginning. The bowel was however not strangulated.

An aoudad (Ovis tragelaphus) seems to have suffered an injury by a pointed object (horn?) just to the right of the ensiform cartilage for at this position there is a circular hole, with smooth healed edges, in the aponeurosis, permitting the emersion of a peritoneal sac containing omentum. All parts were adherent but no acute inflammation existed.

What may have been a hernia or a relaxation of the transversus perinei was observed in an Undulated Grass Parrakeet (Melopsittacus undulatus). A bulge about the size of the finger end was seen externally, beside and behind the anus. This proved to contain several loops of bowel and a mass of fat.

A lateral abdominal hernia was seen in a Barbary Turtle Dove (Turtur risorius). It consisted of a peritoneal sac and two loops of intestine. This protrusion, while firmly fixed in its unnatural position, was in no way constricted.

218

Rectal Prolapse.

Prolapse of the rectum may in a sense be looked upon as a hernia or at least as a relaxation of the anal and perineal muscles with protrusion of parts normally situated intracorporeally. Although not frequent it has been incurable in the animal, as it frequently is in man without operation, a measure we have not adopted. Just what determines weakness in the pelvic outlet is entirely obscure for indeed we have seen here wounds and inflammations of the perineal area without prolapse of the rectum and in none of the cases of prolapse did the pelvic floor seem injured or diseased. It is but speculation to blame the annular muscles of the anus. Tenesmus, or at least reasons for this straining action, have been sought, with the result that in our cases lesions of the egg-laying apparatus in birds and enteritis in mammals have stood out most prominently. In no case have hemorrhoids been encountered nor has a tumor pendant from the colonic mucosa, drawn the bowel toward the anal opening. It might be added parenthetically here that hemorrhoids are practically unknown for quadrupeds, Hutyra and Marek failing to mention them independently and only one reference being found in the Jahresbericht fur Veterinär Medizin (Schmidt 1914–169); this case is more like angioma than hemorrhoids. If tenesmus be active in the production of rectal prolapse then it would have to be assumed that this straining effort can be induced by enteritis since eversion of the rectum has occurred with this disease in the absence of colitis, the condition usually expected in the presence of tenesmus. The thirteen cases have been seen in Mammalia, 8, (Carnivora, 2, Rodentia, 1, Ungulata, 3, Edentata, 1, Marsupialia, 1) and Aves, 5, (Passeres, Picariæ, Striges, Psittaci and Galli each one). Three mammals had enteritis, one had foreign bodies in the bowel and one had many ascarids; three had no demonstrable or suggestive causes. Two of the five birds 219had enteritis high in the tract, one had uratic calculi in the cloaca, and three had trouble in the egg-laying apparatus: one too large an egg, one a broken egg and one a salpingitis.

Diverticula.

It is almost certain that in a human pathological service of fifty-five hundred autopsies, one or more diverticula of the Meckel variety would be encountered and perhaps several of other kinds. In our material only pouchings or false diverticula of the colonic wall are recorded, and our personnel has often spoken of the absence of these gross abnormalities of the alimentary tract. The two cases, notes of which are given, are instances of hernial pouchings of the colonic mucosa and serosa, a condition which is well known in human medicine. It may be said to occur in two varieties, one in which the pouchings have heavy walls formed by a thickened mucosa, muscularis and peritoneum and one in which the bulgings have delicate walls, then being small herniæ of the inner coats through rifts in the outer. Such a division is probably unnecessary or misleading since the latter may be only a forerunner of the former. However the clinical evidence of the simple variety is scanty and may be little more than constipation while the peritonitic variety gives a clinical picture of pain, constipation and a mass in the left abdominal area, then known as diverticulitis or pericolitis sinistra. In these cases the colon is much distorted by the irregularity of its mucosa and by inflammatory thickening of the muscularis and serosa. Diverticula arise from defects of the muscular coat, or secondarily after inflammation or prolonged constipation, by weakness of muscle, or as hernial protrusions around the entrance of blood vessels where the muscle is thin. Such sacculations permit feces to collect and continue the inflammation, thus further weakening the gut and producing constipation, the whole vicious cycle being favorable 220to the formation of more sacculations; coproliths may form in the diverticula. The two monkeys now reported seem to have varying grades of the same condition, a long standing colitis with diverticula, constipation and the collection of inspissated feces in the sacculations. These animals did not have hemorrhoids.

Black Ape ♀ (Cynopithecus niger). Coprostasis. Coproliths in diverticulum. Chronic colitis. Cor bifida. The large intestine is of the same calibre as the small intestine should be when not distended. The sacculations as seen before opening the organ are salient, forming distinct pouches. In one or two cases they are so pronounced as to constitute diverticula 7 cm. long. In two instances the serosa at the fundi of these diverticula is markedly hyperemic and very thin. In many cases the sacculations contain coproliths. The wall of the organ is distinctly thickened, puckered, inelastic and opaque. Mucosa is thrown up into coarse rugæ.

Japanese Macaque ♂ (Macacus fuscatus). Chronic hypertrophic colitis. False diverticula of colon. The large intestine contains a moderate quantity of quite constipated feces. The serosa is smooth. The wall shows at several stretches enlargements of the normal sacculations, forming false diverticula. The wall of the gut in these herniæ is thinner than in the surrounding parts; no ulcers exist; no local peritonitis is present. The mucosa everywhere is irregular in thickness, less translucent than normal and thrown into irregular rugæ; tenacious mucus covers it. No ulcers.

Tumors.

Only one tumor was observed in the mammalian intestinal tract proper. Dasyure (Dasyurus maculatus) Adenocarcinoma of the intestines. On postmortem there was a pale diffuse thickening of the coats of the small gut over a large area; numerous soft, light yellow, sharply circumscribed, elevated (like secondary tumors) nodules in the liver and spleen, and a pea-size whitish nodule around a bronchus in the right lung. Histological section of primary growth not made but a cross section of the intestine in the vicinity shows an adenomatous change with considerable increase in the connective tissue. The nodules in the liver, spleen and lung and the appearances of the abdominal lymph nodes, found microscopically, are precisely similar. They consist of irregularly arranged 221epithelial nests and distorted acini, around which are sharply outlined spaces, filled with the remains of degenerated blood or a granular material. The metastases are always sharply outlined.

Aves supply three papillomata which are interesting in that one occurred in the proventricle, and two grew in the duodenum in the vicinity of the upper biliary opening and presented within the lumen soft masses which, while not occluding the passage, offered some little obstruction as indicated by a slight distention above their location. In two, carefully studied, no indications of parasites or of cancer could be found. The birds concerned were an amazon, an owl, and a rhea.

222

SECTION VII
THE ALIMENTARY TRACT, PART 2. THE LIVER

A consideration of the liver is anatomically and physiologically the next step in the discussion of diseases of the alimentary tract. While this organ may participate in most of the pathological states of the tubal part of the system, it is comparatively seldom the primary seat of change and when damaged seems to be possessed of great accommodative and reconstructive power. This must be true, and fortunately so, since we ascribe to it the major detoxicating function of the body. Nevertheless it is noteworthy that the largest solid organ of the animal body shows a relatively low percentage of changes threatening to life. In the sense of Pearl’s method of statistics, it does not “break down” easily. In pathology it is the custom to list with great care all the changes, gross and minute, in the liver, but with a few exceptions they are secondary or incidental. They do however reflect many things, especially referable to diet and to chronic infection from the intestinal drainage area. It is in these directions that the organ will be studied in the following pages.

Anatomically the liver is situated in the right upper part of the abdomen subjacent to the diaphragm in both mammals and birds, being held in position by attachment to this transverse partition, by ligaments or folds of peritoneum, and by the other abdominal viscera. Its general relationships do not offer great variations since in all animals means are afforded for a dual blood supply and an outlet for the hepatic secretion, the bile, into the higher intestines. Naturally variations in the size of the lobes are observed and there has been considerable speculation as to their independence and association. From the standpoint of comparative pathology, little can be 223ascertained to assist in this matter unless the position of abscesses and hepatitis relative to cholecystitis have a bearing; some discussion of this will appear later. We have not observed any peculiar pathology of the lobes of Spigelius and Riedel. In so far as the size and arrangement of the organ is concerned a few general facts of significance may be mentioned.

It was formerly thought that the liver varied inversely as the size of the animal but Magnan[23] and others have shown that the matter is not so simple. In the first place if there be an actual mathematical formula it is that the liver varies in size inversely as the surface area of the body, but this is not the whole story. It seems that the relation of size of the organ to its weight is not constant and that it is better to judge of the organic capacity by the latter. In herbivorous animals, both birds and mammals, the liver is lightest per kilo of body weight; next in weight are in order, fisheaters, meateaters, insectivora, seedeaters, fruiteaters and omnivora. There is besides this a roughly inverse ratio between the size of the liver and the length of the intestine and in the class Aves inversely as the size of the lungs also. From the immediately foregoing statements it is apparent that a bewildering variation occurs and that only rough measurements of the relative volume of the liver are available. An attempt was made in the Marsupialia, which present all the variations given, to discover if any peculiar pathology corresponded with the above groups; as it was fruitless, no change from our zoological treatment will be made.

Lobar arrangement varies from the relatively simple double avian type to the manifold lobulations of the seal or the marsupial but I can find no literature to indicate that lobes or lobulations have a direct effect upon functions. There must be a difference of blood supply for in 224certain infectious diseases like enterohepatitis and amœbiasis, the cystic and extreme right lobes are more affected than the left parts of the organ. In the bird this is not so difficult to follow since the three divisions of the portal vein, while they combine at times in an ampulla within the hilum of the liver, seem directed to certain lobes, that from the left portal seeming to point toward the right side. The avian portal system differs from the mammalian in having a large branch from the renal area, the so-called renal-portal system, pass to the liver, and by having a free anastomosis between the portal area and the caudal vena cava whereby blood from the pelvic district may pass into the general circulation without going through the liver. There is no unanimity of opinion as to the function or importance of this connection[24] and from the data collected here there is no peculiar renohepatic pathology.

The gall-bladder is not a constant organ in either mammals or birds and indeed it may be absent or present in very closely related species (Two-toed Sloth present, Three-toed Sloth absent). When present in mammals it is usually a dependent bag while in birds it commonly lies upon the cystohepatic duct, between the liver and the last curve of the duodenum, in some varieties filling from the bottom, the inlet being guarded by a valve. This cystic duct in nearly all birds, comes exclusively from the right lobe while the hepatic duct, with which the cystic has no connection, is formed by combination within the liver of radicles from both sides. It passes to the duodenum well in advance of the cystic duct, in some birds, e.g., the Struthiones, very near the pylorus, that is on the descending limb of the duodenal loop. By this means obstruction to the biliary stream is rendered difficult. The common duct combines with one of the pancreatic outlets in most mammals but the abdominal salivary gland in 225lower animals has more often patent separate ducts or multiple ducts than it does in man. Birds have one to four pancreatic ducts separate from the biliary openings.

The gall-bladder is missing in most varieties of the following groups: pigeons, parrots, wrens, ostriches, rheas, cuckoos, toucans among the birds; most odd-toed ungulates, hyraces, Indian elephants, all deer, peccaries, three-toed sloth, and many rodents. The varieties lacking this reservoir are herbivorous in the main, true carnivores seeming always to be possessed of such a structure. Among the important herbivorous ungulates, Bovidæ, Tragulidæ, Camelidæ and Suidæ have this bile reservoir almost without exception. Because of the interest now being shown in the pathology of the gall-bladder and its passages and of the pancreas, it was hoped that evidence of definite practical value for human pathology would be at hand in our study if we divided the animals into groups with and without a bile reservoir. The result is not unequivocal but worthy of note; it is discussed on pages 238 and 255.

Microscopically the well known lobular arrangement of the liver is rather faithfully carried out among the mammals albeit the most systematic and complete architecture is to be found in the pig while the marsupial seems the most disorderly, thus resembling the avian organ. In the latter class all the parts are indistinct, the cells having an unclear outline, the tubules being intricately wound and the interlobular connective tissue being scanty and not anastomosing in a definite framework. The intralobular reticulum is especially difficult to detect. Groups of cells are often found at portal spaces; these are large and small mononuclears and granular cells, probably of the hematopoietic system. It is possible that blood formation is performed in the liver and spleen in some adult birds but such a function is denied for the mammal except under very unusual conditions of bone marrow atrophy.

226Glycogenic and fatty conservation is a function possessed by both zoological classes as are the detoxicating and bile-producing powers. However it is highly probable that urea and creatin in metabolism is not cared for by the avian liver as it is by the mammalian, judging by the researches of Paton and of Richet.

Fat Deposits.

The care of fat by the liver is very well shown by examining the incidence of fatty metamorphoses through the various orders. In the first place Mammalia show a slightly higher percentage of fatty change than do Aves and should show a greater difference were it not for the large number of cases in two orders of the latter. Among mammals, lemurs, rodents and marsupials store fat in the liver more than other orders but in the second and third, it is chiefly the carnivorous varieties that have this property. Just why the slothful herbivorous lemurs should be first on the list is not evident especially since the grain-eating Ungulata are least apt to present fatty livers. With this exception, mammals with plentifully available hydrocarbons in their diet are most apt to show its deposit in the organ under discussion. Among the birds the gallinaceous varieties stand far ahead of all others, the passerines following next. Galli show the condition in association with acute infections, chronic diseases and in health. Unless there be distinct reason for it at autopsy, it may almost always be said to be normal. Passeres, especially the smaller forms, frequently come to autopsy with such excessively large livers, and indeed with a very large pad of abdominal fat, and nothing else, that one is compelled to look upon this overburdened organ as incapacitated by the deposit. These two orders increase the percentage value for the birds. Striges, Anseres, and Accipitres also show a good number of cases but there is among the Aves no such clear relationship 227between food fat and fat infiltration as may be found in the Mammalia.

Amyloid Deposits.

Amyloid deposit is reported with reasonable frequency in domesticated animals, causing in them a fairly definite entity, being as usual related to the effects of long continued or repeated infectious disease. Wild animals suffer from this condition but rarely and therefore to our few cases will be given a short discussion separately. An Indian Paradoxure (Paradoxurus niger) had patches of amyloid irregularly distributed through the organ. The animal had a carcinoma of the head of the pancreas, an obstructive biliary cirrhosis in a state of atrophy and a chronic nephritis with arteriosclerosis. There was nothing peculiar about the distribution of the deposit as there was in the next case, a Badger (Meles meles) where amyloid was found around the interlobular vessels and extending in the lobules along their canaliculi. This latter case seemed without cause and we have considered it a primary amyloidosis, the spleen, heart muscle, kidneys, intestines and other structures being affected. (See Fig. 7.) A third mammalian case concerned a Dasyure (Dasyurus viverrinus) which showed distinct intralobular collections. Its cause was a chronic suppurative process in the jaw bone.

Avian livers are somewhat more prone to show amyloid deposits, eight cases being on record. Four occurred in the Passeres, one each in Columbæ and Impennes and two in Anseres. Three were associated with chronic infectious disease and two with well established nematode parasitism. The remaining three, classed as primary, were not related to any other lesions, in two the amyloid liver being the only finding.

The next abnormal deposition related to the physiology of the organ is blood pigmentation. Normally hemic pigment is dispensed with very rapidly but under unnatural 228conditions it accumulates. In only one order is there any noteworthy percentage of hemosiderosis, the carnivores, the remainder showing a very trifling incidence.

Degenerations.

Going further into the physicochemical alterations of the liver brings us to consideration of those changes known as degenerations—parenchymatous, fatty, hydropic, hyaline, all of which we shall group under one heading. They occur in a great variety of conditions and do not appear to be specific, nor as the records are analyzed do they appear to occur preëminently in any one disease of the lower animals. The percentages are however higher for orders and families whose diet contains relatively more protein, carnivores, the higher marsupials, accipitrine, and wading birds.

Acute Atrophy.

A very important degenerative disease of the liver is acute yellow atrophy or, better expressed, acute degenerative atrophy for it is a total destruction of the whole or large parts of the parenchyma. It is apparently toxic in origin being related to the toxemias of pregnancy, to certain organic and inorganic soluble poisons; some cases arise without discoverable cause. We have seen no cases in the mammal but two in birds. Both were females, one in active ovulation, while the other had no related pathology and the condition of the ovaries could not be determined since they had been destroyed after death by rats. The macroscopic and minute anatomy offers nothing new. Jaundice was present but not intense.

Hepatitis.

True inflammatory lesions are to be defined as some form of parenchymatous change to which are added congestion, infiltration of round or polynuclear cells, stagnation in the bile ducts or perhaps actual degeneration of 229their lining cells. It seems necessary to stipulate these things because in the chronic forms, usually called cirrhosis, it is necessary to have all of them, plus efforts at regeneration, in order to determine it as a chronic progressive process. Acute hepatitis is a rare condition in mammals except when it is combined with septicemia or severe enteritis. In birds on the other hand the liver is, aside from the intestinal wall, perhaps the most frequent seat of pathology in the abdomen. This is because of its almost constant involvement in infective enteritis, and in such conditions as fowl cholera, fowl typhoid, coccidiosis and cecal amœbiasis, all of which we have sporadically. When one searches for special distribution among the orders, only one of them stands out as having a high percentage, the Galli, an order which seems to have a very vulnerable liver.

The macroscopic anatomy of hepatitis in birds is peculiar in showing a definite swelling with spots of gray or yellow color, sometimes coalescing to form irregular areas. These are much more definite than in the mammalian organ where swelling and hemorrhage are the commoner findings. These pale spots are of two origins. They may be focal necroses of the hepatic cells, with or without circumferential congestion or hemorrhage to make them stand out. In amœbic, coccidial and typhoid livers such is the type of change. In septicemia and cholera, the mottlings are made up of increased interstitial mononuclear areas, with blood cells and shadow cells numerously present. I have seen what was in all probability a stage of repair after both these kinds of change. In the former, regeneration seemed to take place from adjoining liver cells, there being in the section no evidence of increased bile ducts to make new hepatic cells. It seemed also that phagocytes were derived from blood cells and not from Kupffer’s cells. In the infiltrative lesion disappearance of the liver cells from the groups leaving compressed and deeply granular remnants was all 230that could be determined. Regeneration seemed to be progressing in the manner just outlined.

Necroses.

The degenerative and infiltrative areas of acute hepatitis are simulated by focal necroses in livers not the seat of a general hepatitis from which they can be differentiated only by the microscope. These small areas of local tissue death are quite common in all pathological processes but are most common in the liver, possibly because of its exposure to toxins from the intestine. Their exact origin is not determined, various explanations being given. The somewhat distinct distribution in mammals versus that in birds may help in the final decision. In the former, focal necroses are more often encountered midway in the anatomic lobule and around the central vein whereas a perivascular location seems the usual position in the bird.

Massive necroses of the liver may be of considerable importance in veterinary medicine. They take their origin in several different ways. The commonest in our records are those due to cecal coccidiosis and amœbiasis (quail disease and blackhead) while from the primary seat of these two infectious diseases, the cecum, may originate the virus of nonspecific hepatic necroses. We have observed several birds, passerine, psittacine and gallinaceous, which at autopsy showed a distention of the cloaca, ceca, and lower small intestine with urates and slime but no mural inflammation and a large area of necrosis in the liver. This suggests perhaps a “white diarrhœa” but it did not occur in epizoötics and other morbid anatomy of this specific disease was absent. These frequent instances of association between the colonic area and the liver seem to suggest the transfer of necrotizing organisms, just as amœbæ travel, and to indicate measures to clean out the tract when birds become “plastered.” Massive necroses also arise from mould disease, and from 231infection with the necrosis bacillus, emanating from nearby infectious foci, or via the normal passageways from the intestine. Massive areas of degeneration may form by the coalescing of numerous foci, in any septicemic disease.

Abscess.

In man, amœbæ, flukes, cestodes and biliary tract infection are the commonest causes of purulent collections within the liver. In the lower mammals parasites play practically a solitary rôle at least as the major influence in localizing the collection, bacteria from the intestine doing the rest. We have one case of massive abscess in a porcupine suffering with septic pneumonia, the suppuration in the liver being due to the colon bacillus, the general septicemia probably being from distemper. Monkeys have shown more abscesses than any other order, three being observed. One was due to infestation with trichocephalus which had apparently penetrated from the colonic wall into the liver through adhesions formed between these two structures. Another seems certainly amœbic but these protozoa could not be found, while the third followed an ulcerative enterocolitis of unknown cause. Two cats were seen with parasitic abscesses; one harbored Distoma or Clonorchis sinensis, the other a nematode of ascaris type.

The topographic distribution of these six hepatic abscesses was interesting. The position of the abscess is not mentioned in one case but of the remaining five three were entirely in the right lobe, one had the major lesion on the right side and smaller separate abscesses spread over the organ, and one with about equal distribution in all lobes. All three confined to the right side were solitary.

Abscesses of considerable size are not met with in the bird as in the mammal perhaps because the former does not form real pus, necroses developing instead.

232Congestion of the liver is a matter of small importance from the standpoint of pathology unless it be of sufficient duration to cause cyanotic atrophy and induration. However the facts that congestion of this organ occurs three times as often in the mammal as in the bird and that vascular cirrhosis has not been seen in the latter class, are interesting and noteworthy. In addition ascites of hepatic origin has not been seen in the birds. The explanation for this lies in the rich anastomosis between the intestinal area and the caudal vena cava so that the blood does not have to pass through the liver to reach the heart. This arrangement would reduce the back pressure in passive congestion and relieve the liver in the congestion due to toxic or inflammatory distention of small vessels.

Cirrhosis.

The chronic inflammations or so-called cirrhoses of the liver have been subjected to a great deal of study and many theories have been expounded as to their cause and classification. Here is not the place to discuss the academic question of nomenclature but rather to adopt an acceptable working classification and to analyze our material thereon. A cirrhosis is a chronic inflammation of the liver indicated by increased connective tissue with evidences of degeneration and attempts at regeneration on the part of the hepatic cells. Certain cases of increased connective framework fail to show the last two features and, since they must be grouped near the cirrhoses because of the prominence of connective tissue, they are called fibroses, perilobular in type. Among the instances carrying out the full stipulations are livers with evidence of a perivascular fibrosis and obstruction, to which are added degeneration and regeneration of the lobular margins; such are PORTAL CIRRHOSES in human medicine associated with passive congestion in the intestinal area, and ascites. In a second variety, fibrosis seems to succeed upon obstruction to the biliary lumina or upon peribiliary 233inflammation, BILIARY CIRRHOSES. The effects of this are to dam back bile with the production of varying degrees of jaundice and for the inflammation to spread into the lobules, thus distorting their internal architecture; this form is therefore unlike portal cirrhosis which alters the size and shape of lobules as a whole. Fatty change is very prominent in certain cases and it has been a custom, perhaps without warrant, to put such livers into a separate group. It may be that they represent a different chemical process. When there exists for a long time a venous stasis in the liver, necrosis is apt to occur in the cells subjected to pressure and the absence of fresh blood. This gives rise to a “nutmeg” liver upon which may succeed a definite perivenous fibrosis.

This then is a working classification of the hepatic cirrhoses. Perhaps many slightly differing varieties might be constructed but this grouping will permit comparison and contrast with human cases, and with instances in the various orders. Because of the relatively small total, thirty-two, it is perhaps unwise to attempt any conclusions as to distribution but it is certainly noteworthy that twenty-six occurred in mammals. This means 1.6 per cent. in mammalian autopsies against .2 per cent. in avian. Among the former class the carnivores stand at the head of the list, followed in order by the marsupials, ungulates, primates, and rodents.

Carnivora have shown a few typical portal cirrhoses from a pathological standpoint but only one, in a badger (Taxidea taxus), was combined with the classical picture of intestinal hyperemia and ascites. Two of the cases were combined with chronic enteritis which may, of course, have been secondary but there was also a hyperplasia of the spleen which bespoke some grade of infection. None of the four showed involvement of the biliary tract. One animal, a skunk (Mephitis mesomelas), was jaundiced; it had anemia, nephritis and enlarged spleen but no intestinal inflammation; perhaps the associated anemia 234may have been responsible for the pigmentation. Biliary cirrhosis occurred in two Carnivora, in both associated with enlarged spleen and nephritis. One showed jaundice and the other, with a huge liver from congestion and interstitial infiltration, had a small ascites. Fatty cirrhosis was diagnosed in a raccoon but this is viewed with some reservation because this animal easily stores fat and in this case it may not have been a part of the process. In none of the foregoing cases did parasitism enter into the causation of the change and I shall always specify when such a factor was probable. The only vascular cirrhosis in our records occurred in a Gray Wolf incident to a longstanding myocarditis (Gray Wolf, Canis lupus mexicanus, Myocarditis, Adenomatoid goitre, Chronic gastroenteritis, Vascular cirrhosis of liver, Subacute diffuse nephritis, Edema of lungs, pericardium, and peritoneum). Two examples of perilobular fibrosis appeared in this order, a raccoon (Procyon lotor) and a paradoxure (Trichosurus vulpecular vulpecular). The only noteworthy feature was, in the former, a very marked biliary stasis on the lobular margins and in the connective tissue; this animal was not jaundiced.

Ungulata are normally well supplied with definite interlobular strands which, in a few varieties, completely encircle the lobule but always show as clear fibrous septa going out from the portal areas. This richness of connective tissue renders more difficult a decision of increase so that unequivocal degenerations and regenerations with inflammatory changes have been demanded as criteria for cirrhosis. It has been recognized that cattle get a definite increase in their interstitial tissue without serious reaction in the parenchyma. With the knowledge of these facts in mind it has been possible to detect two distinct portal cirrhoses, two biliary cirrhoses and three perilobular fibroses. It is however evident by examining the rest of the autopsy notes that the chronic inflammations have had with one exception, little influence on 235the animal’s life and death and the associated pathology is not instructive in etiology. One old deer with the definite portal type had ascites and intestinal hyperemia which hastened his end.

The type of cirrhosis in the marsupial is progressively inflammatory and of the biliary variety. In two of the three cases there was active infection somewhere in the body, one a long continued streptothricosis, the other and more important a choledochitis with involvement of the pancreatic head. The third case showed a nephritis and a pericholedochitis and pericholecystitis. In all three there was definite evidence of biliary obstruction within the liver and in the occurrence of general jaundice.

Monkeys have presented one portal, two biliary, and one perilobular cirrhoses. The London Garden reports a cirrhosis with gall stones in a Chimpanzee. The case of the Barbary Ape is so good that it is quoted in brief.

Barbary Ape ♀ (Macacus innuus). Found dead. Never known to be sick. On exhibition nine years. Acute dilatation of stomach. Acute gastritis. Portal cirrhosis of liver. Acute parenchymatous nephritis. Chronic passive congestion of lungs. Chronic splenitis and perisplenitis. Ascites. Mild passive congestion of abdominal circulation. On opening the abdomen a dilated stomach occupies most of the anterior part, displacing the intestines downward and backward. The upper lobes of both lungs are uniformly deep red, soft, collapsed, subcrepitant. Subclavian vessels—veins distended with red clot, arteries with small amount of chicken fat clot. The heart is dilated on the right side, filled with currant jelly clot. The liver is small, surface hobnailed, edges rough, consistency tough, color brown. Section surface glistening, moist, granular and opaque, mottled by irregular brown areas separated by paler brown intercommunicating bands. Gall-bladder is small, contains viscid yellow bile and duct is patulous. Areolar tissue about the bile ducts is thick and opaque, the duct wall itself is thick and yellow. Gall-bladder tightly attached to capsule of liver. Spleen is slightly enlarged, soft and tough. Capsule is smooth, opaque and thickened on gastric surface. The trabeculæ are prominent, pulp mottled gray-red, few recent hemorrhages. Capsule of the kidneys is smooth, strips easily leaving a smooth brown surface with dilated vessels. Organ is soft. Section surface is glistening, striæ wide and indistinct, glomeruli faintly visible. Microscopic section of liver shows high grade of fibrosis almost entirely confined to portal areas with a marked increase in bile ducts although no place is found where these bile ducts are running 236into lobules suggesting attempt at regeneration. Liver cells show high grade of fatty degeneration in some places, whole lobules being necrotic. There is no pigmentation and connective tissue is fairly rich in cells. Fibrosis quite well advanced. Cells about equally fibroblasts, round cells and polynuclears. Bile ducts very well preserved and cellular infiltrate rather less directly around them than at other parts of connective tissue. The section of kidney shows moderate congestion, granular and vacuolar degeneration of epithelium generally distributed except in proximal tubules where there is swelling and desquamation. Detritus present in tubules and capsular spaces. Tufts swollen.

The biliary forms of Primates were associated in one case with an undetermined parasite in the bile channels, in the other with tuberculosis and chronic enteritis. In all the cases the relative inconspicuousness of bile in ducts or in cells is worthy of mention. The perilobular fibrosis in a small cebus was trifling in extent but was associated with considerable round cell infiltration in isolated areas; there was also nephritis, splenitis, and enteritis.

The only representative of the rodents is a capybara (Hydrochœrus hydrochœrus), their largest variety. This case was originally described as a typical Lænnec or Pictou cirrhosis but I now class it as a portal form. The distinct insular arrangement of the lobules, the failure of involvement of the bile channels and the ascites are reasons for the present decision. The animal suffered also from tuberculosis (not in liver) and myocarditis.

The Indian Elephant, “Bolivar” (Elephas indicus), an old specimen, is the only member of his order to show cirrhosis. It may be considered as a senile process in part but the extreme distortion and compression of the lobules press the conclusion that it was a progressive inflammation.

Fig. 18.—PORTAL CIRRHOSIS OF LIVER IN ATROPHIC STAGE. BARBARY APE (MACACUS INNUUS). THE DILATATION OF THE STOMACH ALSO SHOWS IN PHOTOGRAPH.

Fig. 19.—ATROPHIC PORTAL CIRRHOSIS OF LIVER. INDIAN ELEPHANT (ELEPHAS INDICUS).

237Aves fail to show lesions which could be called portal cirrhosis, five of their six cases being biliary and one fatty with signs of continued infection. The macroscopic anatomy of the avian liver with chronic fibrosing hepatitis is fairly uniform and suggestive. In the first place it is grossly nodular, lumpy, not finely granular or “hobnailed.” The sensation to the finger is resilient rather than tough. The color is variable but green and dull purple are the usual shades. On section no peculiarities present themselves unless it be that one can find pale spots on a dark background, which may correspond to the mammalian connective tissue strands. Microscopically the increase of cellular groups at portal spaces and the extensive growth of connective tissue between the liver columns are the noteworthy features. There is nothing in mammalian cirrhoses to compare with the intralobular growth of fibres in birds. There is of course no regularity so that the degree of replacement or necrosis of parenchyma is hard to estimate. Bile ducts do not proliferate but seem, once obstructed and surrounded, to succumb to the inflammation. The six cases in birds are: Psittaci, 3, Galli, Anseres, Struthiones each one. The cases in the last two orders were associated with parasites, to which bacteria or toxin may have been added. It is interesting to note that the two frankly progressive obstructive biliary cases in the parrots showed general jaundice.

It was formerly customary in many quarters to speak of atrophic and hypertrophic cirrhosis. Now it is generally thought that any form will be large or small as growth and regeneration on the one hand, or contraction, atrophy and degeneration on the other, may be predominant at the time the organ is seen. It is perhaps misleading to judge by our notes of what happens, but it is curious that in the thirty-two cases, the pathologist could state only in seventeen instances that the liver was larger or smaller than normal. This means therefore that the liver of cirrhosis need not deviate greatly from its customary size. Nine of the seventeen times the organ was considered smaller than normal, eight times it was greater. These variations did not strictly correspond to type, but the portal form, frequently called atrophic, was more often small than was the biliary form.

238Gastrointestinal disease accompanied cirrhosis in fourteen instances. Nephritis was present nineteen times. The spleen was enlarged six times, in all of which definite evidence of infection existed in the body. Choledochitis existed four times, twice with biliary cirrhosis, twice with perilobular fibrosis; cholecystitis existed twice, once in a monkey, and once in a bird with parasites. Pancreatitis was seen in three biliary cirrhoses and once in a perilobular fibrosis.

The relation of the existence of cirrhosis to the presence of a gall-bladder is interesting. Among the thirty-two animals twenty-one have gall-bladders, eleven have not. The exact number of animals in our whole list with and without this structure, unfortunately cannot be given with exactness. As nearly as I can figure it out, sixteen per cent. of our animal posts have been on varieties without a gall-bladder, eighty-four per cent. with it. This would make the absence of this reservoir a factor favoring the development of cirrhosis since one-third of the cirrhoses are in groups devoid of this bag, yet these same groups supplied only one-sixth of the total postmortems.

Gall Stones.

Our experience with concrements in the biliary system is limited to six cases which can be detailed in brief.

American Beaver ♀ (Castor canadensis) showed a soft purplish liver with groups of tortuous yellow lines; these prove to be groups of hepaticola with fatty degeneration around them, but successful regeneration is going on; bile ducts are not seriously involved over any great part of the organ; the bladder is distended greatly with thin, yellow-green fluid; duct is not patulous; common duct narrowed at middle and above this constriction lies a small concrement; bladder contains two large and several small pale yellow-green friable stones; mucosa injected and covered with mucopus; the pancreas is not affected.

American Beaver ♂ (Castor canadensis) shows a slight bile obstruction and pigmentation through the liver but no pus or cirrhosis; bladder is collapsed containing only a little limpid brown fluid; wall is slightly roughened but not opaque; there is a blue-black stone 1.5 × 1 cm. free in the cavity; duct patulous; pancreas and intestine not affected.

Brant Goose ♂ (Branta bernicla glaucogastra) liver shows slight fatty change; bladder much distended, contains twenty-six small, quite 239hard, greenish stones; one is impacted in the cystic duct which is not patulous.

Pigtailed Macaque ♂ (Macacus nemestrinus) shows a normal liver; bladder contains a small black concrement, very hard, no cystitis.

Polar Bear ♀ (Ursus maritimus) showed a chronic cholecystitis and cholangitis, the stone (?) in this case consisting of a solitary, black, friable mass, six mm. in diameter.

Mongoose Lemur ♂ (Lemur mongoz) showed a normal liver; bladder of about normal size but the duct can be forced only by considerable pressure; there is a small stone and a granule in the tortuous cystic duct; no cholecystitis.

The specimens that are preserved show these to be chiefly inspissated bile, those from the first beaver and the goose being the only ones to rise to the dignity of gall stones; it would seem that there was plenty of opportunity for calculi to form in the bladder of this beaver. In no case is there a cholangitis or cirrhosis dependent upon cholelithiasis.

While stones have been shown as infrequent there is a condition of the bile which may be quite important. In Passeres, Accipitres, and Striges one frequently sees a very dense inspissation of the bile both in the cystic area and in the lesser independent bile duct. This need not be, indeed usually is not, associated with hepatitis or cholecystitis. There is no one thing more common than another in relation with it but the diagnoses most often made are enteritis, distention of the proventricle and gizzard, and constipation.

Inflammation of the Biliary System.

The biliary tract from its origin in fine intrahepatic radicles to the bladder and to the end of the common or intestinal ducts is the seat of many inflammations both acute and chronic, but since they are supposed to lead to damage to the liver and pancreas and to the production of gall stones, it is well to consider the system as a whole. As a matter of fact separate analyses of cholangitis, choledochitis and cholecystitis do not reveal different figures for each or for different orders. The vulnerability 240of this tract is found to be directly as the percentage of cirrhosis, to wit, the carnivores stand first, then the marsupials, ungulates, Primates and rodents; among the birds the order is Accipitres, Anseres, Struthiones, Psittaci, and Galli. It is difficult in most instances to evaluate the various possible etiological factors, but, due caution being exercised, gastrointestinal inflammation could be held responsible in seventeen of the total of fifty cases. In twelve of the seventeen this process was wholly or largely in the duodenum. The next factor was general infection, at the head of which pneumonia and “distemper” occupied about equal places. In marsupials, the streptococcal and streptothrical infections to which these animals are susceptible, was the prime factor. This group almost always has definite signs of stasis both in the liver and, as indicated by jaundice, in the general tissues. Pancreatitis was present in seven of the fifty cases and in five of the seven, enteritis was also found. Common duct stones were not observed. I shall have something to say about pericholangitis and pericystitis under the head of pancreatitis.

TUMORS.

The liver presents a good share of the tumors appearing in solid viscera but, with the exception of a few points, they offer little of interest. In the first place three angiomata have been seen and while they may not be tumors in the accepted sense of the word, may be considered briefly. A single cavernous angioma was seen in a goose. It occupied a large part of the right lobe but did not seem to affect mechanically the function of the organ since conditions wholly foreign to the liver were the cause of death. A leopard presented several small groups of telangiectatic angiomata lying mostly at portal spaces, a few also under the capsule. The liver of a thrush was likewise scatteringly beset with small angiomata. The original 241notes and recent examination do not reveal parasites or perivascular sarcomatous change.

Simple adenomata were observed in a woodchuck (Arctomys monax). This diagnosis is made with the appreciation that nodular regeneration of the liver after damage and in cirrhosis sometimes suggests tumor, but with adenomata an increase of supporting framework may occur. The liver of this animal presented numerous .3 to 10. cm. irregularly spherical, encapsulated, firm or slightly resilient, brown masses which under the microscope consisted of large pale vacuolated cells in columns or strands not connected with bile ducts. The last feature speaks in favor of the diagnosis of adenoma. The damage to the organ was probably considerable and the portal circulation must have been impeded since passive congestion and ascites were present. Enteritis and nephritis seemed the causes of death.

Adenomata or fibroadenomata of bile duct origin were seen in four animals, a Red Fox (Canis vulpes pennsylvanicus), a Gray Fox (Canis cinereo argenteus), a Jaguar (Felis onca) and a Common Deer (Mazama virginiana). The first two present similar pictures, pinpoint to 8. mm., gray, well outlined areas some of which are clearly cystic, others opaque and more solid. In the first fox a larger mass was found near the hilum. Careful study and consultation has failed to discover parasites in these cases, although their presence was strongly suspected, so that we were forced to conclude, in view of the rather typical microscopic picture, that they are adenomata of bile duct origin. Their scattered distribution, but with a tendency to be more numerous beneath the capsule, corresponds with a human case just brought to my notice. The mass in the liver of the deer was single and resembled an infarct, with cysts exposed by cross section. This tumor was found on the diaphragmatic surface of the right lobe.

242Tumors of an atypical, therefore malignant, epithelial variety were found four times, in an Alpaca (Lama pacos) and three parrakeets; these birds are very prone to have all kinds of tumors. The records of the first animal could not be as satisfactory as might be desired because of an advanced state of decomposition but there was a carcinoma-like growth of the gall-bladder area and a large hard alveolated tumor occupying one-half of the liver. The colon had been involved by the former, with perforation. Two of the parrakeets showed a simple carcinoma with well developed fibrous tissue bands running in all directions through the large mass. The whole growth was comparable to the usual picture of these massive tumors when they are primary in the liver. All these three cancers seem to take their origin in the liver cells but the third had such an interesting involvement of the connective tissue that its minute anatomy will be given; it was denominated adenocarcinoma sarcomatodes.

Undulated Grass Parrakeet ♂ (Melopsittacus undulatus). Section of liver shows organic capsule normal. Nothing remains of the original structure by which it might be recognized, suggestion in places of granular cells resembling liver cells being only occasional occurrences and in small numbers. Where liver cells do occur they are highly granular in various degrees of atrophy and show various grades of nuclear retrogression. Greatest part of section consists of dense, white fibrous tissue in which lymphocytes are rather diffusely placed together with large numbers of epithelium-lined spaces. These spaces are often elongated after manner of imperfect ducts but are of irregular form, have single layer of low cuboidal epithelium and richly staining nuclei. Upon search certain acini are found to have especially hyperchromatic nuclei and penetration of basement membrane. In such localities collections of epithelial cells are to be seen in plug form in lymphatics and acini of imperfect development of lumen are found. In addition to these epithelial lesions connective tissue ones are seen, occurring generally in restricted localities. The interstitial framework is seen to consist of closely placed spindle cells, some of which are especially elongated after manner of imperfect ducts but are of irregular form, directed in a definite, purposeful manner, but interlace in the whorling manner noted in fibromas. Nuclei are, however, entirely too chromatic for a connective tissue tumor. Whenever a vessel occurs in these regions its lining endothelium is always swollen and nuclei in its wall 243will be proliferated and of embryonic type. This latter condition is apt to occur in patchy manner, part of wall appearing normal and other parts containing these peripherated elongated nuclei.

Secondary tumors were observed in the liver seven times as follows: Red Kangaroo (Macropus rufus) from malignant papilloma of the stomach; Spotted tailed Dasyure (Dasyurus maculatus) from cancer in the small intestine; Dorcas Goat (Capra hircus) from sarcoma in lymph nodes in mediastinum; Raccoon-like Dog (Canis procyonoides) from mixed tumor of thyroid; Undulated Grass Parrakeet (Melopsittacus undulatus) from a brain tumor probably glioma; another of same species from a sarcoma of pectoral muscle; European Robin (Erithacus rubeculus) adenoma of adrenal (hypernephroma).

244

SECTION VII
THE ALIMENTARY TRACT, PART 3.
THE PANCREAS

The pancreas, an organ functionating as a gland with an internal secretion and by pouring a digestive juice into the duodenum, remains a structure of constant anatomy throughout the zoological classes under discussion in that it is composed of compound racemose lobules whose outlets join to form large discharging ducts, and of interstitial bodies, the islands of Langerhans, without connection with the secreting acini but having some relation with the blood and lymph vessels. The organ originates embryologically by sprouts from the side of the primitive gut just below the part destined to be stomach, and from an outbudding of the common biliary duct. These two sprouts or pouches combine to form one organ, but this does not necessarily effect a union between their lumina. In some birds and mammals (Accipitres and some Ungulata) the lobes of the pancreas remain distinct during life, and the discharging tubules seem to empty only their respective lobes. However, there is no uniformity in the matter, and indeed the anatomy of the ducts is subject to very great variation despite the rather similar beginnings of the organ. Those who are interested in this point may consult Beddard,[25] Letulle and Nathan-Larrier,[26] and Opie[27]; there will be given in the following pages the average findings of anatomy of the gland body and of its ducts.

The region of the pancreas in lower animals, especially those which travel constantly on four feet, is one of great activity, and the organs are more freely movable than in the human being. The only exception to the latter 245part of this statement may possibly be found in the cats and dogs, in which there are firmer attachments of the duodenum and pancreas to the vertebral column and the liver; this is brought about by the short gastrohepatic omentum and the abrupt curvature of the duodenum toward the back, under the mesenteric stalk. In the Ungulata and Marsupialia and in some Rodentia, the pyloric, duodenal, and pancreatic attachments are relatively loose, and torsion of the pylorus seems to be allowed for, since in these animals great distention of the stomach is the rule. Among the Aves the anatomy is wholly different. The birds have no attachment of the duodenum and pancreas to the posterior abdominal wall, except indirectly through a narrow strip comparable to the gastrohepatic omentum, one division of which passes to the beginning of the duodenum, the other to its end, and by a thin tail of pancreas which goes toward the spleen. The bulk of the pancreas lies in the U made by the long free duodenal loop, the two organs being covered by the serous membranes forming the middle abdominal sac. It will be seen from the foregoing that the movability of the pancreas is considerable—a highly necessary provision, because the stomach and duodenum are also movable and subject to distention by food and alteration of position during flight.

In the class Mammalia there are usually two ducts, one entering the duodenum in combination with the bile duct, the other variously above or below this common opening. As will be seen in Table 14, however, there are several exceptions to this statement, there being but one duct opening independently of the bile duct. The general anatomy is closely similar throughout this class, so I shall confine my notes to the exceptions from the general rule, especially where they seem to be of importance in the etiology of pancreatic lesions.

In the class Aves the pancreas consists usually of two or three distinct lobes lying one in front and two behind 246the cleft between the limbs of the duodenal loop, and it discharges its secretion into the duodenum by two or three ducts separately, and almost invariably above the bile duct openings. One duct always opens near the top of the distal end of the duodenal loop, near the bile duct. In the gallinaceous birds that have a bile duct opening into the duodenum near the pylorus, there is usually a pancreatic duct opening there also. In some birds a third duct passes from the body of the pancreas to the duodenum at different places along the loop. It does not seem probable that dislocation of the duodenal loop would seriously interfere with the passage of the pancreatic secretions, since the gland is so intimately related with the duodenal serosa, but obstruction to the biliary flow due to changes in position of the intestine is easier because the bile duct is separate and loose and arises from the end of the gall-bladder. The ducts of both these structures pass very obliquely through the duodenal wall a matter of importance, as will be seen when discussing the infiltrative forms of enteritis. The gall-bladder is not present in all birds, but this is probably of no importance, as the hepatic ducts are wide and run directly from the liver to the duodenum. The pancreatic ducts are short and are closely bound around by glandular tissue up to a place quite close to their entrance into the intestine.

The musculature of the gall-bladder and the ducts seems comparable in mammals and birds, and a constrictor or sphincter usually called the muscle of Oddi, is present in all but pigeons (Oddi). There may be found also muscular fibres in the major ducts of the pancreas, but they are not so heavy nor distributed so definitely as similar tissue in the bile duct walls. The mucosa of the pancreatic duct is much more folded in birds than in mammals, seemingly, therefore, more adapted to obstruction by swelling from any cause.

247Passerine birds have two pancreatic ducts usually on the ascending loop of the duodenum, or there may be one ahead of the pyloric biliary duct. The picarian varieties possess three ducts as a rule, one near the beginning of the pylorus, one near its end and a third of inconstant location. Owls have a system like Passeres, but the relation between the organ and the intestinal loop is looser and the ducts are wider. Columbæ have two pancreatic ducts in the ascending limb of the duodenum. Gallinaceous varieties have a double biliopancreatic system, a duct of each kind entering the descending and the ascending duodenal reaches, with the biliary placed after the pancreatic in each instance. Accipitres have always two and oftentimes three ducts as do Anseres, both orders frequently having the third duct opening at the bottom of the duodenal loop where stagnation can and does occur. Fulicariæ have usually three ducts.

The foregoing are the orders presenting pancreatitis and therefore those whose anatomy concerns this study directly. The irregularity in number and arrangement of ducts continues through all the avian orders which show a greater aberration from standards than do the mammals. Theoretically the birds should cast some light upon the unsettled question of the causes of pancreatitis, and as a matter of fact such a result seems to have been realized. In 1915 I published an article upon a study of this subject which indicated that acute inflammations of this organ may arise via the lumen of the duodenum and pancreatic ducts, while chronic processes were the result of periductal passage of pathogenic agents. Further study would seem to indicate that disease of the biliary tract is of importance in lesions of the pancreas since a decidedly large number of cases is found in mammals, where the relation of ducts is definitely more intimate than in birds. The work of Archibald,[28] Deaver and 248Sweet,[29] and Judd[30] seem to agree with the findings upon our material. This need not be, however, in discord with the idea that acute inflammation is superficial in origin, chronic lesions deep or lymphogenic. The discussion will be resumed in a subsequent paragraph.

The amount of pancreas to be found in birds is greater than that in mammals. According to our figures the organ represents ¹⁄₄₀₀th of the body weight in the former and ¹⁄₆₀₀th in the latter. These figures are averages of a small number of instances and are not final. It is, however, obvious to casual daily observation that birds as a class have a large pancreas.

The minute structure of the organ is governed by the same general rules throughout the two classes under consideration. Birds do not have as many interstitial islands as do mammals, but they are more compact and seem more definitely constructed of coiled tubules. In so far as the internal structure of the organ is concerned there has not developed in our study pathology peculiar to any animal. The importance of the ducts and position of the organ will be discussed later.

Recognition of pancreatic disease during life is practically impossible. In human medicine the signs and symptoms are vague and inconstant,[31] diagnosis often being a matter of exclusion. Veterinarians, except under the best hospital conditions make no attempt to diagnose pancreatic lesions but, since the improvement of surgical practice, at times operate upon cases of evident pain and distention which prove to be pancreatitis. These things were evident in a deer that I saw and that died on the following day from acute hemorrhagic pancreatitis; I made no attempt at this diagnosis, believing it to be acute tympanites. The feces were normal, according to the judgment of persons qualified to give an opinion.

249The condition of the pancreas at autopsy on animals not dying with lesions of this organ deserves some attention since it may confuse the uninitiated. If the organ be seen in its normal resting stage shortly after death, it is not difficult to recognize the condition as normal for the species. Activity is indicated by a darker or redder color and an increase of consistency. In carnivorous or omnivorous animals and birds the pancreas in this state is a body with a distinct bulky character, whereas in strictly herbivorous varieties, especially ungulates, the structure is diffusely pink and doughy. This is important since the early stages of self-digestion and decomposition assume this same character in all varieties, while later stages present a deep red, swollen, wet organ. These appearances must be differentiated from acute hemorrhages or inflammations, a distinction based upon actual local blood collections or extravasations and areas of degeneration in true disease. Oftentimes differentiation must be made under the microscope and in advanced decomposition, determination is impossible. When there is torsion of the stomach, notably in ungulates, the pancreas is often found decidedly congested. This, it seems, is due to a twist of the duodenum and passive congestion of it and the pancreas—the only simple explanation despite the apparent provision for a high degree of mobility, as already explained. The organ is nearly always mildly congested in severe grades of acute duodenitis, although it need not be pathologically involved. It is, however, noteworthy that the pancreas is an organ with a low morbidity index, especially when one considers its proximity to a structure showing the highest disease index in the body, the intestine. The succeeding paragraphs will reveal in comparison to other organs only a small number of cases of degeneration, inflammation and tumors. This has been ascribed to the freedom of blood supply and the power of tryptic digestion.

250An expression of this relative immunity to pathologic change is met in analyzing the data upon the simplest lesions, degenerations, to be expected in many states of disease. Only a small number of cases present themselves, and they are under expected conditions, namely in association with acute general infection, sometimes definitely septicemic in nature. About half of them were discovered microscopically, affecting the islands of Langerhans in vacuolization or granular disintegration. Focal necroses of the organ were met four times, three turkeys and a cockatoo. It is noteworthy that all these birds had some involvement of the liver, twice a complete acute hepatitis and twice a cholangitis. This is the more interesting since we shall learn that the liver is less often involved in avian than in mammalian pancreatitis. Hemorrhages occur occasionally in the pancreas in acute general infections and are seen in acute inflammations of the intestines; the percentage incidence with the latter is, however, very small. Pancreatic apoplexy proper has not occurred, for all the instances of large hemorrhage into the organ have been combined with changes forcing a classification of acute pancreatitis.

Pancreatitis.

Pancreatitis in the acute form is divided by many writers into exudative, hemorrhagic and necrotizing, while for the chronic variety an inter- and intra-acinus form has been described. It is questionable whether it is fair in acute cases to focus attention by special nomenclature on different macroscopic pictures, unless it be for descriptive purposes solely, since there is nothing at hand to indicate that differing agents cause one kind every time. The physical findings seem to depend rather upon the speed of operation of the causation than upon its essence. Sudden obstruction of the pancreatic duct is believed to produce necrotizing processes to which hemorrhage 251may be added by digesting of blood vessels. Exudative cases seem due to extension of ulcerative inflammation, from a perforated gastric ulcer for example, to which digestive pancreatitis may be added. The interacinus chronic inflammations are usually considered as due to obstruction or infection through the biliary or pancreatic ducts whereas vascular disease produces intra-acinus connective tissue overgrowth. Analysis of the records of this laboratory would seem to indicate that necrotizing and hemorrhagic processes belong together, exudative in a class by themselves, and that chronic disease may be either interlobular or intra-acinar without regard to associated pathology. I have therefore studied our cases from this standpoint.

Pancreatitis has occurred in thirty-eight mammals and birds among the 5365 autopsies, an incidence of 0.7 per cent.; class incidence in mammals twenty-seven or 1.5 per cent.; birds eleven or .3 per cent. (Table 14.) Among the higher class all the important orders are represented, but by no means in equal degree, whereas in the birds, less than half of the orders are listed, with the important Psittaci missing, despite a high death rate.

It is perhaps well to be guarded in stating the relative vulnerability of the pancreas in various orders, but one cannot avoid the observation that Carnivora stand well in advance of the others (3. per cent. of autopsies), to be followed by Ungulata (1.9 per cent.) and Rodentia (1.7 per cent.). Nor can one fail to see that mammals have inflammations of this organ five times as often as do birds.

252
Table 14.
Showing Cases of Pancreatitis, their Pathological Nature, the Character of Ducts of the Particular Animal, the Associated Pathology, All of Which Data are Collected at the Bottom into Totals for Zoological Classes and Orders.
Order Acute Hemorrhagic or Necrotizing Pancreatitis Chronic Pancreatitis Number of Ducts Open with Bile Ducts Cholecystitis Cholangitis or Choledochitis Hepatic Cirrhosis Inflammation outside Pancreas Acute Enteritis Chronic Enteritis Fat Necrosis
Primates:                      
Marmoset   Chr. Dif. 2 1 0 0 0 Lymphadenitis adjacent glands 0 0 0
                       
Carnivora:                      
Wolf Ac. Hem.   1 1 ? + 0 0 + 0 0
Fox Ac. Hem.   1? 1 0 0 0 0 ? 0 0
Bear   Chr. 1 1 0 0 0 Areolar tissue and glands +   +
Raccoon   Chr. sl. 1? 1 0 0 0 0 0 0 0
Bear Ac. Nec.   1 1 0 0 0 Slight + 0 0
Coati Ac. Hem.   2 1 0 + 0 0 0 0 +
Badger Hem. and Chr. 2? 1 ? + Atr. 0 0   0
Ocelot Ac. Hem.   2 1 +? +? 0 0 + 0 +
Bear Ac. Hem.   1 1 0 +? 0 0 + 0 0
Wild Cat   Chr. 2? 1 0 0 0 0 + +? 0
Lion Ac. Hem.   2? 1 0 0 0 0 + + +
Skunk Ac. Nec.   2? 1 ? + Infective + Lymphnodes 0 0 0
Raccoon Ac. Nec.   1? 1 0 0 0 0 0 0 small
                       
Rodentia:                      
Beaver Ac. Hem.     1 0 + 0 0 0 + 0 0
Porcupine Ac. Hem.     1 0 0 0 Lymphnodes + 0 0
253Ungulata:                      
Antelope Ac. Hem.   1 0 0 0 0 0 0 0 ?
Deer Ac. Hem.   1 0   ? 0 + + 0 0?
Deer Hem.   1 0   0 0 + 0 0 0
Deer Hem.   1 0   0 + 0? 0 0 0
Elk Ac. Nec.   1 0   0 0 Lymphnodes + 0 0
Nylghaie Ac. Hem.   1 0 0 0 0 0 + 0 0
Peccary Ac. Hem.   2 1 0 0 0 0 + 0 +
Marsupialia:                      
Phalanger Ac. Nec.   1 1 0 0 0 0 + 0 +
Opossum Ac. Nec.   1 0 0 0 0 0 + + +
Opossum Ac. Nec.   1 1 0 0 0 0 + 0 +
Devil   Chr. 2? 1 + + 0 + 0 + +
Passeres:                      
Finch   Chr. 3 0 0 0 0 0 ? ? 0
Thrush Nec. and Hem.   3 0 0 0 + 0 0 0 0
Chaffinch   Chr. 3 0 0 + 0 0 0 0 0
Picariæ:                      
Hornbill Acute   3 0 0 + 0 + +    
Striges:                      
Owl   Chr. 3? 0 0 +? 0 0 0 + +
Accipitres:                      
Kestrel   Chr. 3? 0? 0 0 0 + 0 + 0
Columbæ:                      
Dove   Chr. 2 0 0 0 0 0 0 + 0
Galli:                      
Pheasant   Chr. 2 0 0 + 0 0 0 + 0
Fulicariæ:                      
Gallinule Ac. Hem.   3? 0 0 + 0 0 + 0 0
Anseres:                      
Gadwall Ac. Hem.   3? 0? 0 0 0 0 + 0 0
Struthines:                      
Ostrich Ac. Hem.   3? 0? 0 0 0 0 + 0 0
254=
Totals                      
Primates 0 1           1      
Carnivora 10 4     4? 4 2 3 7 2 5
Rodentia 2       1       1 2  
Ungulata 7         1 1 3 5   2
Marsupialia 3 1     1 1   1 3 2 4
Mammalia 22 or 1.1% 6 or .32%     6 6 3 8 16 6 11
Passeres 1 2       1 1        
Picariæ 1         1   1 1    
Striges   1       1?       1 1
Accipitres   1           1   1  
Columbæ   1               1  
Galli   1       1       1  
Fulicariæ 1         1     1    
Anseres 1               1    
Struthiones 1               1    
Aves 5 or .14% 6 or .17%       4 1 2 4 4 1
Grand Total 27 or .5% 12 or .22%     6 10 4 10 20 10 12

255Further analysis of the data leads into a consideration of the anatomy of the viscus in terms of the acceptable theories of the origin of the lesion. It is commonly believed that infection of the gland occurs by passage of organisms through the duct opening in the intestines, especially when there is swelling of the mucosa of both. For the human being the idea is current that infection or obstruction of the common bile duct may spread to the pancreatic duct, and that mechanical or inflammatory obstruction of the papilla of Vater may permit the bile to pass up the pancreatic duct. This theory is based upon certain observations, notably those of Opie, in cases, where a gall stone obstructed the ampulla, bile entered the pancreas and acute pancreatitis arose, partly by the activating action of the bile upon the pancreatic juice and partly by bacteria introduced at the same time. This method of origin is perhaps accepted in most quarters, but there are some who believe that infection of the gland may occur by the infiltration of lymphatics around the pancreas by disease of adjacent parts—gall-bladder, stomach or lymph nodes. Quotation has already been given to reference literature, and I shall not go further into theory except in pointing out how our material may help to answer the question.

In the first place it seems perfectly obvious that infection might in any animal travel from the intestine to the pancreas via its ducts, the main question to be settled being the relative importance of the infection via the bile duct. Let us now see if the variations in anatomy will cast any light upon the matter.

Among the 1860 mammals, there are as far as I can determine 1275 which have one pancreatic duct opening in conjunction with the bile duct, 585 in which the former has an intestinal opening independent of the latter. Among this 1275 there are nineteen cases of pancreatitis, while among the 585 there are eight cases, or as 14.9 to 13.6. All Aves have separate biliary and pancreatic ducts and relatively little pancreatitis, although frequently suffering with its most common accompaniment, namely duodenitis. There is therefore some evidence that more pancreatitis occurs when there is a physical proximity or combination of bile and pancreatic ducts.

Active infections of the biliary system in relation to pancreatitis are, however, not as conspicuous as might be 256expected. In the mammals twelve of the twenty-seven cases showed cholecystitis or cholangitis; in every instance the form of pancreatitis was acute. Among the eleven avian cases four showed inflammation of the biliary channels, but not of the bladder. Hepatic cirrhosis was observed four times. In a thrush and a skunk obvious infectious cirrhosis existed, and in both a necrotizing pancreatitis was found. A badger suffered with atrophic cirrhosis of the liver and a chronic pancreatitis with acute exacerbation. A deer showed marked perilobular fibrosis with a recent hemorrhagic pancreatitis probably due to duodenal torsion. Nothing very distinctive is to be found in these cases, but they merely make the total of involvements of the liver and its adnexa up to twenty. It is to be emphasized that pancreatitis was not associated with lithiasis in ducts or bladder as described on page 240. Peripheral cholecystitis and plastic inflammations about the pylorus and lesser omentum are exceedingly rare in wild animals, while they are not common in human surgical practice. They did not occur at all in mammals in this series, the only external inflammations being in lymph nodes in cases of frank infectious character. There were distinct adhesions between liver, duodenum and pancreas in two birds, one with acute, the other with chronic pancreatitis.

In so far as the kind of pancreatitis is concerned mammals had twenty-two acute and six chronic forms, one animal having the former implanted on the latter, while birds had five acute and six chronic. The preponderance of acute over chronic lesions in mammals again recalls the association of the biliary and pancreatic ducts, but if one expect that such a relation establishes acute inflammation, the relatively high figures for Rodentia and Ungulata, with a single duct removed from the bile duct conflict with the data for orders having two ducts such as the Carnivora. Every case in the former orders was of acute nature; only two had any hepatic disease, four 257had lymph gland hyperplasia in the pancreatic region, and seven had acute enteritis. The preponderance of acute over the chronic cases in mammals and the nearly equal number in birds is, however, apparent.

The collateral pathology with the most definite relationship to pancreatitis is enteritis and one may say that the former occurs in proportion to the incidence of the latter. Acute forms, twenty-seven, were associated with acute enteritis nineteen times. Chronic enteritis was found with chronic pancreatitis in six of eleven cases.

There is a rough relationship between the type of pancreas and the nature of the lesions. The organ may be divided for this purpose into the compact organ firmly held in place by attachments to the lesser omentum, spleen and duodenum, and the velamentous organ which spreads a considerable distance along the duodenum and sends out digitations into the mesentery and thin processes toward the spleen. The first type is seen in primates and carnivores and birds, while the second is characteristic of rodents, ungulates and marsupials. The compact variety showed all but one of the chronic cases while the loose organ was affected by the acute pancreatitis in twelve of thirteen cases.

The microanatomy of the cases may throw a little light upon our subject. I was able to see the duct in one case of acute pancreatitis (bear). It showed a simple catarrhal inflammation with a very moderate circumferential round cell increase. The destruction of glandular areas by edema, hemorrhage and necrosis offers nothing of importance except in a few birds. In these the necrosis is more definite about cross sections of ducts, and the islands of Langerhans are frequently spared until necrosis is locally complete. In a case of chronic pancreatitis in a bird, a cross section of pancreatic duct was found in the intestinal wall; a chronic catarrhal and infiltrative enteritis existed in this specimen. A very definite mantle of round cells was found about the duct while the 258mucosa showed no change, although the lumen seemed large. Interlobular fibrosis was the rule, only one case of intra-acinar pancreatitis being encountered; this specimen, a bird, showed great distortion of the acini and of the islets.

The study of comparative pathology of pancreatitis does not settle its etiology, but some very suggestive facts may be learned. The association of hepatic and biliary disease and of enteritis in the causation of pancreatitis seems amply confirmed, and the latter factor is in our series numerically the greater. It is suggestively shown that inflammations of the pancreas occur more frequently in the zoological class in which the ducts of the organ and of the liver empty into the duodenum together or in close association. Moreover, infections of the liver and adnexa are very important in the mammals, more so than birds in which enteritis, notably chronic in type, usually accompanied the involvement of the pancreas. This is consistent with the incidence of bile tract disease as already discussed under that subject, and it is interesting to note that the mammals showing the greatest number of cases of choledochitis and cholangitis also show the high case incidence of pancreatitis. The birds that have bile tract disease have little pancreatic disease. These facts when considered in connection with the free biliary supply of the avian duodenum, the disassociation of the ducts of the two glands and the close apposition of the pancreas to the duodenal wall, suggest strongly that direct infection of the pancreas can occur from the intestinal wall along the walls of the ducts perhaps via the lymphatics. This is supported by the observation of at least one case in which there was a definite inflammation under the adventitia of the pancreatic duct, its mucosa being normal. The study also suggests that acute pancreatitis is more often associated with acute lesions in the intestines and with hepatic or gall-bladder disease, and that chronic pancreatitis seems more often the result of chronic or repeated intestinal inflammation. Peripheral inflammation such as occurs in gastric or duodenal ulcers, has not been encountered in a distinct character so that its value cannot be estimated.

Fig. 20.—ADENOMA OF PANCREATIC DUCTS. CORSAC FOX (CANIS CORSAC).

259Cystic change in the pancreas has been observed a few times, but never a large visceral collection or the so-called extra-pancreatic cysts of the omentum. One acinus cyst was seen in a drake, one congenital cyst in a lark, and multiple ductal cysts were seen in a baboon and a duck. The parenchyma in all cases seemed entirely capable of functionating.

Tumors.

Tumors of the pancreas have been three in number, two being of academic interest only. One of these concerned an apparent adenoma of the ducts within the organ, discovered microscopically in the sections from a Corsac Fox (Canis corsac). This is the only specimen we have had, and I can find no description of the normal microanatomy of this species, so that with a knowledge that certain carnivores have convoluted ducts, the determination is made tentatively; it corresponds microscopically to a ductal adenoma. The pancreas of a raccoon (Procyon lotor) showed a true adenoma of glandular acini as two separate but closely applied firm nodules surrounded by a capsule, and with distorted acini as seen under magnification. The most important tumor was found in an Indian Paradoxure (Paradoxurus niger), an adenocarcinoma involving the head of the organ, enlarging it to twice its normal size; there were no metastases. The animal suffered also with an infective hepatic cirrhosis of recent origin, chronic nephritis of the arteriosclerotic type, chronic fibroid splenitis. No obstruction to the biliary channels existed.

260

SECTION VII
THE ALIMENTARY TRACT, PART 4.
THE PERITONEUM

This visceral envelope is principally important because of the fatal character of its acute inflammations. In man peritonitis of acute origin and type is commonly secondary to a focus of progressive inflammation in some abdominal organ and usually speaks for the virulence of the primary disease and for the low resistance of the serous membrane. Because of this vulnerability, greater foresight is attempted to prevent the extension of acute intra-abdominal inflammations and under operative conditions punctilious care is used to avoid contamination of the general peritoneal cavity. Involvement of the peritoneum in septicemic states is relatively uncommon in man, but seemingly more frequent in the lower mammal. This surface seems more resistant to infection at operation in the lower animals since post-operative peritonitis after castration and experimental procedure is certainly infrequent; our data will permit no percentage figures of vulnerability under such conditions. Judging, however, from the number of times at which the diagnosis of acute peritonitis has been made, the lower animal has a decidedly low percentage resistance although its pathological states are primary or secondary to conditions unusual in man. Among the 5365 autopsies acute peritonitis appears in the diagnoses 137 times or 2.4 per cent.; mammals, 57 or 3 per cent.; birds, 80 or 2.3 per cent.

The exact causes are usually obvious, practically always so in human medicine, but a number of cases escape adequate explanation. From a practical standpoint two origins are important to zoological collections, 261trauma and intestinal perforations by sharp objects. Ungulata frequently suffer abdominal injuries in fighting, as do rodents. Peritonitis sometimes supervenes even in the absence of penetrating wounds, probably by reason of damage to the intestine whereby its permeability is increased. Pointed objects are frequently swallowed by animals and perforation occurs. The danger of feeding split bone to carnivores is well known; some years ago we lost two tigers and a lion in this manner.

Ileus, in one of the several forms, has been an occasional cause of peritonitis in primates and ungulates. The extension of purulent inflammation, abscesses and the like is easy to understand, but we have seen several cases of apparent extension from enteritis without perforation. The reason for this is probably in the kind of enteritis. Monkeys with amœbiasis and gallinaceous birds with enterohepatitis have supplied most of the cases, these infestations of the gut wall being deep and spreading so that a chance is afforded to penetrate the serosa along blood and lymph vessels. One case in a deer seemed to originate from a simple catarrhal colitis; trichocephalus in the colon may have helped. Parasites are not very potent in causing an acute peritonitis, but aggravate the action of other agents. Septicemic states are at the bottom of 24 per cent. of our cases of peritonitis. This is particularly true of birds, it being recognized that their acute general infections frequently have such an effect, but the primates and carnivores also have a vulnerable peritoneum when septicemia exists. The principal outstanding visceral lesions in the mammalian cases is pneumonia; in birds it is cholera and plague. The rupture of eggs in birds lays the foundation of a peritonitis, while bacteria from the oviduct or cloaca complete the process. Chronic peritonitis is not common. It is usually due to parasites or to tuberculosis. There 262has been observed, however, no complete general involvement of the peritoneal cavity including the liver and spleen, sometimes called “sugar-icing,” and believed to be tuberculous in origin. The only tumor found in very close association with the peritoneum occurred in a Chapman’s Zebra (Equus burchelli chapmani) in which animal a fibromyoma seemed to spring from a loop of intestine and grow away from the gut wall. It was undergoing myxoid change.

263

SECTION VIII
THE URINARY TRACT

The Kidney.

The kidneys, ureters, bladder and urethra remain comparable in all mammals excepting the monotremes where there is no urinary passage through genital openings, the urine being ejected through the vesicoanal pouch, a sort of cloaca. In the bird the first two parts remain as in mammals while the ureters terminate in a hernia-like pouch of the rear wall of the cloaca. It would seem from this arrangement that ureteral transmission of infection from the anal area to the kidneys would be facilitated in the lowest mammals and in the Aves. Variations in size, shape and position exist to a minor extent in the higher orders but in all forms, the system remains a post-peritoneal structure.

Differences in construction are to be seen for example, in the single pyramidal kidneys of marsupials and certain rodents, in the lobulated organ of bears, cattle and seals, in the twisted viscus of horses, but these gross appearances do not destroy the uniform scheme upon which the functionating unit is built. The single-lobed kidney discharges all its collecting tubules into one calyx while the multiple pyramids of the lobulated organ are fitted with individual calices which in turn empty into the pelvis proper; this is true whether the lobulations are retained, as in the bear, or are smoothed out in the course of development as in man. The secretory tubule remains in essentially the same form in all kidneys; the modern idea of its anatomy may be found in the work of Huber[32].

The most decided example of the lobulated kidney is to be found in the class Aves, wherein the organ consists 264of two or three large lobes lying in concavities of the sacrum, each lobe being made up of tiny lobules. The latter appear to the unaided eye as fairly distinct divisions whether viewed on the exterior or by cross section. There is a cortex and a medulla to each, the separation being clear in a large specimen, vague in a small one. These lobulations are quite well observed when the kidney is full of urates, a common finding in birds. Magnification of the avian kidney reveals an apparently simpler tubular arrangement than is found for mammals[33][34], yet the relation of vascular plexuses and secreting tubules remains similar.

From the standpoint of comparative pathology attention can be drawn to the glomerulus, to the interstitial tissue, and to the character of the epithelium. The tuft of intricately wound capillaries called the glomerulus has always been viewed as the part of the secretory unit chiefly concerned in urine production whether one accept the older idea that it excretes only fluid or the modern belief of many observers that all parts of the urine go out through it. In the mammal the tuft is closely wound, is surrounded by a distinct space and a limiting membrane of appreciable width called Bowman’s capsule; all this so-called Malpighian body has a breadth varying from 120 to 300 micra. There is however great variation in the size of this body when seen in the peripheral and deeper zones of the same organ, amounting at times to seventy per cent. of the diameter. The capillary congeries forming the avian tuft is by no means so delicate and one can see individual capillaries with more ease. It may be impossible to discover a space between the tuft and its exceedingly delicate capsule, the latter being usually applied closely to the vascular corpuscle. The whole breadth varies from 70 to 140 micra with an average 265of 110. There is more uniformity in size than in the mammalian organ.

Supporting tissues between the tubules seem less definitely nuclear in the bird than in the mammal, at least in so far as connective tissue is concerned, there being in the former only a few groups of mononuclears to be seen in the cortex. Perivascular tissues are reasonably rich. The epithelium of proximal and distal tubules is not easily fixed by our customary laboratory techniques, the best results being obtained by Zenker’s fluid. As seen in a routine specimen of a normal organ it is vacuolated or very palely stained. The individual cells stand out clearly and many present a pointed end to the tubular lumen.

Kidney Weights.

According to the work of Mangan[35] and of Alezais[36], the bird has an average kidney-to-body weight of 6.9 grams per kilo while man has a ratio of 4.3 grams, dog 5.9 grams and guinea-pig 8.5 grams. The first author would show that the fish-eating birds have the heaviest and vegetarian birds the lightest organ. Our own figures are limited to the weights of apparently normal organs in thirty-one mammals and five birds; they are as follows:

  per kilo of body weight
Primates (5) 7.7 grams  
Carnivora (6) 7.6 grams  
Rodentia (2) 15. grams  
Hyracoidea (1) 7.5 grams  
Ungulata (9) 3.5 grams  
Edentata (1) 5.6 grams  
Marsupialia (7) 7.6 grams  
Monotremata (1) 11.2 grams  
      Average 7.
Steganopodes (1) 9.1 grams  
Anseres (1) 3.9 grams  
Struthiones (3) 7. grams  
      Average 6.7

This to be sure is not a very exhaustive list but is the result of our routine observations and subject to all limitations 266of such work. Grossly diseased organs are naturally excluded. More avian weights are not available because of the difficulty of removing the organ from its bed, in a manner assuring us of completeness. I am inclined to view our mammalian records as fairly representative. Figures to be found in text-books of human and veterinary anatomy correspond to those given by the authors just quoted and in our own list. The values for rodents, hyraces, edentates and monotremes may be modified by more figures.

There is however one point which does not appear in the list. Small animals have relatively larger kidneys than large animals. This is perhaps most strikingly illustrated among the ungulates which have the lowest value quoted. A small deer had a kidney-to-body index of 5.9 grams per kilo while a camel had only 2.8. Judging by the work of Magnan the avian kidney should be larger than the mammalian, a conclusion with which I am inclined to coincide, even though the weights cited do not bear this out.

In so far as the function and chemistry of the kidney and its excretion are concerned this study can supply little. The general metabolism is known for most animals, it being dependent upon diet and gastrointestinal discharge of excrement. What lessons can be learned will be discussed by Dr. Corson-White in the section on diet. Our observations upon the ability of the kidney to excrete normal urine are limited to the examination of vesical contents at death or of the occasional specimen obtained in cages in the quarantine room. Renal disease was formerly considered of little or no importance in veterinary medicine or at least was studied only as a specific separate and occasional occurrence. Kitt[37] systematized the knowledge of the subject at the time he wrote but it remained for Hutyra and Marek in their text-book to emphasize its general importance and to 267clarify diagnostic measures. Breindl[38] pointed out that nephritis occurs more often in acute general diseases, notably the specific infections, than was customarily thought, thus placing the subject for the lower animal where it is in human medicine.

Renal disease is quite common among wild animals albeit there are certain orders in which the lesions are less conspicuous. Clinical diagnoses of nephritis, and this is the only diagnosis attempted, have been made on monkeys by examination of urine which shows the same characters as in the human disease. In ungulates more attention is to be placed upon the cellular contents of the urine since renal epithelium is apparently shed more readily and casts less often formed. Signs and symptoms of renal disease are limited to edema and uremia; cases of the latter are rare enough to discuss separately at the proper place.

Absence of Abnormalities.

Abnormalities of size, shape and position of the kidney are frequently reported in literature of veterinary medicine and aplasia has been described. Our material has failed to present cases of horse-shoe kidney well known to occur in horses, cows, sheep and dogs. Wandering kidneys are also known but have not been seen in our wild animals. Shall these abnormalities be considered as due to degenerative changes in cross bred animals or as the result of the strain of domestication? To such a speculative question our material affords no answer.

Hypertrophy.

That the kidney has the power of hypertrophy in a compensatory manner is illustrated by two cases. A Japanese Macaque (Macacus fuscatus) ♂ apparently had suffered with a unilateral nephritis which had gone into a contracted stage. At all events much functionating tissue 268was gone, the organ irregular and small, being half or less of the size of the other organ which was larger than is considered normal for the species. Histologically the large organ was practically normal. A common opossum (Didelphys virginiana) suffered with a complete suppurative nephritis of the right side which completely destroyed the organ; the origin of this is not clear as no ascending disease could be determined and no certain acute infection had existed; decomposition precluded satisfactory bacteriology. The left kidney was nearly twice its normal size and involved in an early diffuse nephritis, with miliary abscesses, in which the glomeruli did not participate. There were in these sections evidences of regeneration, swollen reduplicated epithelial coverings presenting a picture similar to those seen in so-called chronic nephritis secondary to interstitial change.

Infiltrations.

Pathological infiltrations of the renal structures are exceedingly uncommon. Early in our experience we were often perplexed at the appearance of certain organs, notably in carnivores and marsupials to which we were inclined to apply the term fat infiltration. However the absence of reasons for considering this picture pathological seemed sufficient cause to ignore the finding, and later Pfeiffer[39] called attention to the apparent inability of these kidneys to emulsify fat or at least to combine it in an invisible form, an ability possessed by the herbivorous organ. A monkey and a passerine bird only showed sufficient fat visible in the renal epithelium to warrant a denomination of fatty infiltration; these were both obese specimens. Amyloid infiltration occurred in four mammals and six birds, being a sequel of its usual causes, tuberculosis, chronic suppuration and osseous system disease. It is perhaps well to emphasize the fact that every organ the seat of amyloid deposit need not be 269enlarged. This teaching is common but I have seen human cases without enlargement and only two of the ten cases in these animals are noted as bulkier than normal.

Degenerations.

Degenerations represent the reaction of the kidney to toxic or infectious agents and might be considered as indicating the vulnerability of the organ. Their incidence does not coincide with that of nephritis as we shall see later. Any discussion of degenerative phenomena, and especially in the kidney, should be limited by a definition of what they are believed to be and their separation from inflammations. Degenerations are swellings, granularities, vacuolizations or infiltrations of tubular epithelium, changes which destroy the outline and internal structure, perhaps including the nucleus. No changes of the glomerular tuft or interstitial tissue are necessary for this conception since when these occur the picture becomes that of nephritis. In border-line cases it is safer to include the case under the latter heading since then the physiology is apt to be disturbed, albumen and casts appearing in the urine. Degenerations appear in various pathological states—toxemia, infection, prolonged congestion and others. The first named cause seems to be the most important in our records and the seat of the toxine production seems to be the intestine. Enteritis stands very high in the list of accompanying factors, especially in Carnivora, Primates and in Aves. Perhaps the most instructive cases are to be found in the Ungulata with toxic duodenitis. The kidney in these animals is deep red or purple, with a spanned capsule. The section surface bulges slightly, is of an opaque, dull purple color and shows a congested zone between cortex and medulla. Tubular epithelium may be found, under the microscope, sufficiently swollen to fill the lumina, in places being like ground glass, in others distinctly vacuolated. It cannot 270be stated absolutely which part of the tubule is usually affected; it seems more often the distal convoluted portions than other subdivisions. Glomeruli may be full of blood but there is no increase in cells nor any material in the capsular space. The urine is dark and may or may not show albumen. The kidney of kangaroos with streptothricosis is similar to the picture just given.

Mammals have shown a percentage incidence of renal degenerations of 4.8 per cent. while Aves show only 3. per cent. In order of incidence the carnivores head the list followed by Lemures, Accipitres, Rodentia, Primates and Marsupialia; the remaining groups show but a few cases. A form of degeneration is sometimes seen in the avian kidney the seat of excess urate collections, especially when these are arranged as so-called uratic infarcts. This last term has been applied to the streaking and mottling of human kidneys by the accumulations of these salts in a manner believed by some to be related to the formation of uratic calculi. The epithelium of such a kidney may show granularity and collections of acids and salts have been found in the lumina. In the bird on the other hand one frequently sees masses of urates in one lobule, or a part thereof, arranged to simulate closely the common infarct shape. Secretory cells in the affected area are hydropic, with absent or dislocated nucleus, or again they present a densely basic staining protoplasm. This form of kidney is well seen in what has been called here an uratic serositis, a coating of all somatic free membranes with a thin, white, granular film. We have tried with many techniques to preserve one of these cases but the deposit either dissolves or the whole specimen becomes opaque. Although the term infarct is applied to these lesions, they are of course not infarcts in the customary use of the term. True infarcts are exceedingly uncommon and, with the exception of one case which became infected and suppurated, have been negligible in our material.

271

Hemorrhages.

Hemorrhages into the kidney are found in acute infections and certain diseases like leucemia; they are of little moment. Perirenal hemorrhage is a somewhat striking and unusual affair. Recently I saw at a human autopsy of a young subject a subcapsular hemorrhage from the renal substance probably due to vascular rupture in an acute nephritis; there was no history of injury. There have been three cases of subcapsular hemorrhage in our records and as two of them represented the immediate cause of death, are interesting enough to record. An armadillo suffered an acute diffuse nephritis with much congestion but not enough to call it hemorrhagic. There was a large hemorrhage around the left organ, probably from a vessel near the hilum, sufficient to compress the kidney and cause it to atrophy. A lion presented an acute vegetative endocarditis with all its usual complications. The right renal capsule was distended with recent clot to a size which reached to the pelvic brim. Presumably an embolism caused thrombosis, ulceration and rupture of some middle size vessel. A dormouse suffering with an acute general infection probably emanating from the intestine, had several small recent clots separating the kidney from its capsule.

Nephritis.

Nephritis, whether one begin its conception with the clinicopathological picture originally given by Bright, with the purely pathological classification of Weigert and Virchow or the modern tendency to subordinate all physical changes to clinical phenomena, is nevertheless a process of degeneration and inflammation affecting the secreting and supporting structures of the kidney and leading to some degree of impaired function. The disease is bilateral in so nearly every case that for practical purposes unilateral cases may be ignored. This implies that for some reason the renal tissues are generally susceptible 272to etiological agents so that when one side is affected its fellow seems always to participate or to follow. It seems desirable in studying nephritis to evaluate fully the mutual relations of functionating and supporting tissues and of the various sections of the first named. It is taught in many places that inflammations of one or another of these parts may occur independently, as for example a tubular nephritis, a glomerulonephritis and an interstitial nephritis. If however one reflect upon the dependence of the tubular function upon the glomerulus and vice versa or upon the effect of inflammatory exudates in the supporting tissues upon the blood supply of the tubule, it becomes evident that only the most trivial or evanescent pathological changes in one can be without effect upon the others. It is difficult to see how, for examples, a glomerulus could remain normal if its associated tubule were destroyed or how if round cell infiltration or pus surround a capsule for any length of time, this structure could fail to be doomed. All this is by way of directing attention to the progress of physical damage in a kidney which has received injury sufficient to cause nephritis, but of course it does not explain the cause.

In classification of nephritis different commentators have employed different standards according as they viewed the acuteness or chronicity of the process, or as the principal functionating structures, glomerulus, tubular epithelium, blood vessels, or supporting connective tissues, presented the most conspicuous changes. To these, clinicians have added phenomena of constitutional complication or of direct renal insufficiency. These latter being unavailable for us, we must fall back upon a classification based upon physical changes and to this end we have always used a slight modification of the Weigert method. This classification offers little in the direction of etiology except that toxins are believed to cause tubular changes, bacteria to produce glomerular lesions 273and vascular deficiencies to lie at the root of chronic interstitial nephritis.

The origin of acute nephritis of chiefly degenerative character seems best explained by reference to some form of toxemia, whereas exudative processes, be they in glomerulus or supporting structures, seem to depend upon the direct action of bacteria. The origin of a chronic nephritis cannot be explained quite so readily. No one has answered with complete satisfaction whether a chronic process always begins with and proceeds from a single attack of acute disease, whether many acute attacks succeed upon one another or whether many small crops of agents successively attack the organ over a long time. Nor has an adequate explanation of the rôle of damaged blood vessels been given. It is reasonably easy in man to discover the existence of nephritis and of a possible cause; this is only true of acute cases in wild animals. Focal infections, those which might be the point of mobilization for bacteria sent to the kidneys, are frequently found in man but with exception of an occasional carious tooth, or a chronic osteitis are to be localized with difficulty in lower animals. In so far as the rôle of a single acute attack in the causation of chronic disease is concerned our material offers nothing, but some collateral or presumptive evidence may be mustered in regard to multiple infections.

Wild animals do not give evidence of repeated attacks of acute disease and indeed it would seem that they more often die of an acute infection than live to have it repeated. Evidences of chronic infection, not focal, are reasonably definite in forty-eight per cent. of the cases of chronic nephritis encountered here. This suggests strongly that in this material protracted infectious states offer opportunities for renal damage of progressive character. Vascular disease has been found twenty-eight times (see also section on arteries), in twenty-six of which the nephritis seemed due to or advanced by the damage to 274the vessels. This means further that only 14.3 per cent. of the chronic forms and 4 per cent. of the total seem closely related to disease of blood vessels.

Nephritis has been found in 12.2 per cent. of our total autopsies. Mammals show an incidence of 20.6 per cent., birds 7.7 per cent. Only the orders upon which more than one hundred autopsies have been held are subjected to separate analysis. Some of the remaining orders give very high figures which may indicate great renal vulnerability but it is deemed unfair to make statements upon them. Carnivorous mammals and birds lead their respective classes, the succeeding order of renal vulnerability being marsupials, ungulates, rodents, Primates, Galli, Striges, anserine birds, parrots, and doves. The leaders of this list, Carnivora and Accipitres, occupy a definite position in the analysis of acute and chronic lesions. Their kidneys show the smallest percentages of acute lesions and the highest percentages of chronic lesions. This would seem to indicate a resistance to acute injuries but susceptibility to prolongated or repeated infections or intoxications. The relation of chronic infection of some sort to chronic renal disease is not as clear as the influence of acute infection to acute nephritis. Taking Carnivora for example with 34.2 per cent. of chronic nephritis we find 22.4 per cent. with evident chronic inflammation while in the 55 per cent. of acute forms 40 per cent. are of acute infectious origin—the relation is as 64 is to 74.

While the relation of infection to nephritis is a consistent and perfectly acceptable one, the frequency of this disease in the carnivorous orders obliges one to think of high protein diet as a favoring factor. Renal disease is common enough in other orders, some strictly herbivorous, and it is fair only to emphasize which are the leaders in incidence. In so far as anatomy or habits are concerned no generalizations seem permissible. There is no relation of nephritis to the size of the kidney as given 275on a previous page, to the length of the alimentary tract, or to the expected longevity.

Toxic nephritis is a term applied when the kidney is the seat of epithelial degeneration, much congestion, perhaps leading to tiny hemorrhages, and definite swelling of the tuft without exudation into the capsular space. It is a severe grade of the degenerations already mentioned and is exemplified by the organ in cases of acute duodenitis of ungulates and in some monkeys dying after tuberculin injection. It seems especially to follow gastrointestinal diseases believed to be due to food intoxications. It seems important in monkeys and wild rodents. No adequate explanation is at hand for the latter.

As has already been stated vascular disease was present in twenty-six cases in a manner suggesting some relation to the cardiorenal complex but the only organ to which the term renal sclerosis of arteriosclerotic origin could be applied is that of an eagle; the autopsy is cited.

Bald Eagle (Haliæetus leucocephalus). ♀ General obliterating endoarteritis. Chronic interstitial nephritis. Passive congestion of liver. Chronic localized myocarditis. Near the apex of the heart the muscle shows a slight opacity. The kidney is enlarged, firm, section surface glistening. Both section and surface show a mottled brown and white appearance, following particularly on section the division into cortices and medullæ. Digestive system apparently normal. Microscopic section of heart muscle from the wall of the ventricle shows well preserved muscle fibres with a slightly unusual degree of pigmentation. Section from valve base shows a definite interfascicular and intrafascicular fibrosis which is co-extensive with a similar thickening of the endo- and pericardium. The new tissue under the latter is edematous. The valve itself is thickened the fibres swollen and hyaline. There is no reduplication of the endothelium. One artery in the muscle is obliterated. This is not associated with any degeneration of the muscle in the section. Section of kidney shows the pale areas noted grossly to be made up of groups of arteries with their extensive coalescing adventitiæ. The changes in the arteries are precisely the same as those seen in the liver but are more extensive. Connective tissue goes out from the arteries into the parenchyma distorting the tubules and enclosing the glomeruli so that the capsule of the latter is much thickened. Epithelium is granular, in some places absent, nearly always low. Section of liver shows general parenchyma practically normal with slight granularity in places and moderate passive congestion. Veins are negative but 276arteries show a general arteritis. The picture varies somewhat in different arteries ranging from a simple thickening of the adventitia to a change involving all three layers. There is hyaline change in the media in many sections. Lumen is in all cases reduced and in some there is active intimal proliferation in excess of what would be expected in connection with the medial change. A few of the arteries have their lumen completely obliterated.

This is meant to illustrate the picture of vascular disease in the kidney in the absence of satisfactory evidence that nephritis per se antedated or accompanied changes in the vessels. In such cases vascular disease dominates, renal parenchymatous damage being relatively inconspicuous. Two old carnivores, a paradoxure and a skunk, presented shrunken kidneys with prominent wide-walled vessels but in these some definite evidence of old nephritis was at hand.

In so far as the relation of senility to nephritis is concerned the data at hand are not conclusive. In many old animals some degree of fibrosis is present without the existence of truly destructive changes in the parenchyma. Plimmer of London writes that there is increased nephritis in old age but from our material I would be inclined to put in that in many cases the nephritis was the reason for old age rather than that old age brought on a nephritis. However the exact length of life and of captivity is known in too few specimens to make a conclusion justified.

Ascending Nephritis.

There is some difference of opinion as to the definition of the term ascending nephritis, a confusion arising partly from the intended meaning of the participial adjective, partly from the frequency with which infections or obstructions of the urinary outlets antedate or accompany suppurative nephritis. Perhaps our records may help to straighten out this matter.

Ascending nephritis means for our study an infection which passes from the pelvic surfaces of the pyramids 277outward toward the renal capsule. Thus it is immaterial whether there be or be not an obstruction lower down. Such forms of nephritis are infiltrative, frequently purulent and are dependent upon pyelitis or the settling of bacteria in the deepest parts of the medulla.

Three explanations are given in human medicine for the origin of this lesion. Some observers assume a direct transmission of bacteria up the ureter from an infected bladder or urethra, in a direction contrary to the urinary current. This, it is believed by some can occur only in the presence of physical obstruction, stone, kink, or pressure of adjacent masses upon the ureter, whereby its blood supply is damaged and infection facilitated. Others would explain the path of infection as the lymphatics of the ureteral wall which are infected at the opening in the bladder by a deep seated cystitis or by infection from a periproctitis or from the female genitalia. Still another explanation is offered by those who do not credit ascending infections. They would have it that pyelitis arises from bacteria in the blood stream and only in the presence of injury (calculus), ureteral dilation (slowly progressive stenosis, or kinks, floating kidney, pressure by pregnant uterus) and similarly operative factors. There should be excluded from this category cases of chronic nephrolithiasis, and of stone only in the pelvis. Under such conditions it is inevitable that a low grade of fibrosis with damage to the secretory structures should exist, even in the absence of active bacterial invasion. The cases are only important for our present subject when active bacterial infection is implanted upon them.

Among our autopsies there have been found fourteen cases of ascending nephritis and seven cases of pyelitis; the most instructive examples are mentioned briefly as follows: Five of this twenty-one were associated with general infectious diseases (three septicemias) and presented no evidence of ascending obstruction. Two of this five were a bear and a fox, the former suffering with 278streptothricosis septicemia, the latter with distemper; one was a fox whose pelvic and renal lesion seemed entirely primary for no apparent focus was detected; two were birds with acute general infection. These cases seem therefore to be instances of primary pyelitis. The following group includes cases with inflammation low in the urinary tract. A fox had a cystitis, urethritis and colitis, a distinct edema and congestion being found in the pelvis around the rectum. Two opossums had cystitis, one due to a traumatic urethritis, the other secondary to a prostatitis of undetermined causation. A raccoon had a chronic cystitis with swelling and edema of the first parts of ureter. A parrakeet showed ureteritis, pyelitis and nephritis from simple cloacitis.

Where obstruction was more definite the following cases were observed. Suppurative nephritis succeeded upon gangrenous cystitis after uterine prolapse in a deer. The following cases of pyelitis and nephritis were associated with calculus, only in the renal pelvis—an armadillo, Tasmanian devil, a deer and a goose. A cockatoo had a stone in the cloaca which seemed to cause a definite obstruction to both ureters and a catarrhal inflammation of the wall. Pyelitis and interstitial nephritis can also follow excessive urate collections in birds. At a later time this will be discussed more fully, but at this place two cases of distinct abscess formation in a renal lobule based upon urate collections may be mentioned since in a measure the lesions were dependent upon obstruction.

It is therefore evident that all the theories of the causation of pyelitis with resultant nephritis seem acceptable. It has been claimed that bacteria may be found in the blood stream before evidences of pyelitis present themselves. Concerning this our records offer no information, but it is worthy of note that five of twenty-one instances gave a picture of septicemia. It is, however, fair to state that, while mild cases of pyelitis occurred 279where there was, judging from the protocol and histological sections, obvious opportunity for its ascent, in ten other cases of cystitis and urethritis no pelvic or renal disease is recorded; two of these were acute exudative cystitis and one was a tumor. It seems that wild animals seldom live long enough to have obstructions exert back pressure of urine to the extent which one is accustomed to see in human medicine. Hydroureter and hydronephrosis have not been seen.

Abscess of the kidney has occurred occasionally in the metastatic form and only twice as the large destructive process such as is seen in the human being (surgical kidney). One massive abscess was seen involving about one-third of the organ, and this seems to have had a tuberculous basis. Another destructive purulent nephritis was quoted on page 268 when illustrating compensatory hypertrophy.

Examination of records and preserved specimens of nephritis reveals few striking differences which might be considered characteristic for the various orders. This is possibly due to the fact that the lesions have been classified under the same system, a method which has proven convenient and consistent. In support of this one might refer to that form of nephritis which gives the most definite clinical and pathological picture of renal disease, namely the chronic parenchymatous. This is fairly well represented in Primates, Carnivora and Ungulata. In one-fourth of the cases one finds distinct edema, especially in the body cavities, cervical and mediastinal tissues, and in one-fifth an appreciable grade of anemia; uremia was the terminal picture in one animal of each order.

Histology of Nephritis.

An attempt to discover minute lesions peculiar to the various groups gives results that are far from satisfactory. With reserve it may be said that carnivorous 280animals show a tendency to greater interstitial and glomerular lesions than do herbivorous ones, and that casts are more often found, in all kinds of nephritis, in the former varieties. Rodents are conspicuous exceptions to this statement, since they frequently have glomerular lesions and casts in abundance; this exception exemplifies the unwisdom of drawing definite conclusions in this respect.

Birds as contrasted with mammals show very prominent tubular and inconspicuous glomerular lesions. The principal alterations seen in the avian kidney are round cell infiltrations of the deep cortical and outer medullary zones, and cloudy or hydropic swelling of the convoluted tubules. In chronic cases intertubular fibrosis is clear but not so definite as the perivascular, while the glomerular tufts are occasionally wholly normal. When these are destroyed it seems to have occurred by compression rather than by inflammation. A form of nephritis peculiar to birds might be termed local necrotizing. It seems to be due to local urate deposits and to have its origin like that form already mentioned under acute interstitial nephritis. It has been seen in avian gout, a condition in which the kidneys may or may not have visible masses of hardened urates in them. The gross picture is of a spotty pale organ of a gray-brown color. Minutely studied the medulla, adjacent cortical tubules and perhaps the pelvic tissues will present an opaque condition taking a diffuse basic dye. Crystals have not been seen. This form is especially common in Columbæ, Psittaci and Herodiones.

General Effects of Nephritis.

The results of nephritis generally speaking are edema, anemia, cardiac hypertrophy, inflammations of the serous surfaces and uremia. Aside from the cases of chronic parenchymatous nephritis cited above, edema has been decidedly inconspicuous. It may be found in avian cases of acute and subacute nephritis, about the flanks and in 281the thoracic areolar tissues, but is only exceptionally perceptible before the body is opened. Anemia is almost never extreme. The bone marrow although mentioned in but few histories, seems unchanged. Cardiac hypertrophy was observed ten times in 652 cases of nephritis, twice in 460 acute and subacute cases, eight in 192 chronic cases. In the former no myocarditis was found, in six of the latter it was found. Clinical and pathological experience teaches that serous surfaces are frequently inflamed during a nephritis. Observations on our material coincide with this statement, but do not offer an explanation of it. The figures should be examined for mammals and for birds separately, since the serous cavities of the former are closed, separated, and protected, whereas a close apposition exists between the serous membranes and the lungs in birds, an arrangement facilitating infection from without. Nevertheless the bird has definitely less serositis accompanying nephritis than does the mammal—4.4 per cent., versus 8.6 per cent. In the former class 70 per cent. of these accompany acute nephritis associated with acute general disease while only 45 per cent. of the 8.6 per cent. of mammals had serositis, acute nephritis and general infection. This indicates clearly that mammalian renal disease has some effect upon serous membranes other than the simple participating coincidence of the two types of changes during an acute general infectious disease. No one kind of nephritis was especially characterized by this complication.

Uremia, except under the best clinical conditions, is a term to use with caution. I have seen several monkeys, a few marsupials and carnivores and an occasional bird in a dazed ataxic condition, sometimes exhibiting an atypical clonic or tonic convulsion, with fixed, rather small pupils. To this picture I have applied the name uremia, and upon several occasions have found a severe grade of nephritis. I must admit having failed to find renal change, however, with this clinical picture, especially 282in the carnivores and parrots, animals which “throw fits” at times without apparent good reason. In so far as the monkey is concerned, I am satisfied that the picture is similar to that seen in the human being. The London Garden reports in 1917 the occurrence of uremia in a Mandrill (Papio maimon).

Calculi.

Calculi are well known in the renal system of the domesticated animals so that it is not surprising to find them well represented all through the lower orders. Their structure, composition and effects do not differ, however, and it remains only to point out their distribution. One of the frequent results of renal and pelvic lithiasis is, however, missing in our records, namely hydronephrosis, and indeed a pressure dilatation of the ureter and pelvis has not been observed in all our experience. This would seem to be explained first upon the infrequency of stone, of obstructive new growths and inflammatory strictures and second by the fact that lower animals do not long survive conditions which would occasion back pressure upon the kidneys.

Definite renal and pelvic calculi have occurred in five Ungulata, one each in Edentata and Steganopodes. To these might be added cases of uratic sand in one Carnivora, one Marsupialia, and uratic stones of large size in the cloaca of two Passeres and one Accipitres. Uratic collections within the avian kidney have been mentioned and will be discussed later.

According to written descriptions and three preserved examples the calculi in four of the ungulates are mixed urates and carbonates, although one in a deer was said to be “mulberry” in surface. The specimens at hand are moderately hard with rough irregularly crystallized outer shells like carbonate deposits. Incomplete moulding to the calyx is found. The pelvic cavity while seeming to be enlarged is not distended nor do the stones assume the 283“antler” character and distort the pyramid. All the animals showing these stones have but a single pyramid in the kidney. The fifth example in the ungulate had early stones forming in the apex of the pyramid and not yet discharged into the pelvis. Four of these cases showed stones on both sides, one only in the left kidney.

The case among the Edentata concerned an Armadillo (Tatu novemcinctus), in the kidney of which there were definite smooth, round, hard pebbles in the right pyramid and several fine grains in the pelvis. There was a recent hemorrhage in the pelvis which, from local appearances and autopsy survey, was due to the lithiasis.

A Gannet (Sula bassana) represents the only avian true calculus. In this case many small, hard, yellow stones occupied the right pelves, which contained also loose urates. The lobules were much distorted and showed a mild interstitial change. This accumulation was confined to the left side. These well developed cases having been mentioned the next most important may be quoted:

Tasmanian Devil (Sarcophilus ursinus). Inactive and rather on the decline for several months. Chronic diffuse nephritis with acute interstitial exacerbation. Calculi in kidney pelvis. The kidney size is normal, shape irregular, capsule smooth, strips easily leaving a rough mottled green-brown surface. Consistency is soft, tough, resilient. Cortex slightly wide, medulla normal. On removal of capsule the surface is found very irregular and elevations from the surface are pale red gray-green color. These elevations do not correspond with any change in cortex on section. Section is smooth, solid, markings not clear but glomeruli are distincter than striæ. Line between cortex and medulla obscure. The left kidney contains sand-like calculi, possibly uratic, as there are some pale areas near point of pyramid which are firmer than rest of tissue and rather gritty. Microscopic section of kidney shows the architecture much disturbed by connective tissue overgrowth in outer layers of medulla and inner layers of cortex and following the medullary rays to the capsule. Tubules are compressed and distorted in the vicinity mentioned. Epithelium is elsewhere low, opaque and granular. The connective tissue about the glomeruli is thickened and hyaline as it is in most other places. Tufts are not yet compressed. Following medullary rays there is a recent round and polynuclear infiltrate both around and in tubules.

284A Golden Cat (Felis temminicki) presented sand in the urethra, which had caused a traumatic urethritis and distention of the bladder. There was no evidence of renal urate collections, but a low grade prostatitis existed so that the bladder might have been distended before the urethra became inflamed, thereby giving opportunity for sand to form or to have arisen in the prostatic ducts.

Three birds, a Bunting (Passerina ciris), a Bulbul (Chloropsis aurifrons), and a Buzzard (Buteo albicaudatus), had large cloacal urate calculi which could obstruct the ureter but had failed to do so; one had an acute ascending pyelonephritis, however.

Excessive urate collections in ureters and kidneys occur all through the avian orders and in about the same percentages; meat and fish-eating birds have practically no cases, however. The condition seems at times the only finding at autopsy, or it may be associated with uratic serositis. Gout of birds is commonly accompanied by it, but need not be since two of the best examples of this disease had practically normal kidneys.

From these records it would seem that renal and pelvic calculi occur almost exclusively in herbivorous animals. At least true stones forming in the renal pyramid and pelvis are found most characteristically developed in the Ungulata, the typically herbivorous mammal. Judging by the bilateral distribution of stones and uratic collections, local processes, inflammation especially, have less to do with their production than the availability of precipitable inorganic salts in the urine.

Tumors.

Tumors of the kidney have been observed sixteen times, fourteen of which were primary and two secondary. The latter two concerned an epitheliomatous metastasis from a malignant papilloma in the stomach of a Kangaroo (Macropus rufus) and a sarcoma growing like an infarct secondary to a mediastinal tumor in a Dorcas Goat (Capra hircus). The only important primary tumor of the kidney in a mammal was found in a Gray Squirrel (Sciurus carolinensis pennsylvanicus), a solid gray nodule composed histologically of large and small deeply staining cells, many containing large vacuoles and fitted with a small dark nucleus. The arrangement of the elements was in irregular acini or bundles and thereby suggested the tumor known as hypernephroma. A small nodular adenoma was found at the upper end of the right kidney in a common opossum (Didelphys virginiana) and seemed to be purely of renal construction in that an attempt to retain tubular arrangement was evident.

Fig. 21.—CALCULI FROM RENAL PELVIS TO END OF URETHRA. COMMON RACCOON (PROCYON LOTOR). THESE STONES WERE PALE YELLOW-GRAY. THEY CONSISTED OF A URATIC BASE, BUT SOME PHOSPHATES AND CARBONATES WERE FOUND. THE RIGHT KIDNEY WAS NOT AFFECTED. THERE WAS ONE IRREGULAR CALCULUS AND THIRTY-SEVEN SMOOTH MASSES FROM BLADDER TO END OF PENIS. THIS CASE IS NOT INCLUDED IN STATISTICS. OCCURRING AFTER THEIR COLLECTION HAD CEASED.

285Twelve primary tumors occurred in birds, and of these five were found among parrakeets, they being curiously enough all of the same type. These cases were all discovered in the undulated grass variety (Melopsittacus undulatus ♂ ♂ ♂ ♂ ♂ ) and, because of this fact and their histological similarity, have excited interest. Grossly they are irregularly nodular or lobulated tumors usually springing distinctly from one lobe, but sometimes destroying the whole organ; they are soft, resilient and hold their place well during manipulation. Sometimes one may detect the topography of the renal lobes on cross section while at other times the mass is homogeneous. Microscopically one finds the structure of papillary adenoma with cystic formations or the production of atypical solid nests of epithelia which would have to be called cancerous, for they certainly make no attempts to retain acinus or duct groupings. Carcinomatous areas have been discovered in two of these cases, not in the other three, which have been called papillary adenoma. One of the tumors was subjected to many sectionings and different stainings techniques to discover, if possible, animal and vegetable parasites; this search failed. One of these tumors produced hemorrhage by rupture of a pyramid but extension to adjacent tissue and metastases have not been seen. Pathologically these must be classified with the tumors but because of the number of closely similar growths in the same avian species housed in the 286same enclosure, the possibility of a parasitic cause will not be forgotten.

The remaining seven renal neoplasms are made up of two adenomata in a Jungle Babbler, (Crateropus canorus) and a red headed duck (Fulligula ferina americana), two adenocarcinomata in a saffron finch ♀ (Sycalis flaveola), and a chestnut-eared finch, ♂ (Amadina castanotis), two hypernephromata in an American robin, ♀ (Planesticus migratorius) and a European blackbird, ♀ (Merula merula), and a spindle celled sarcoma on a scaly ground dove ♀ (Scardapella squamosa). One adenocarcinoma sent out metastases to the lung, one hypernephroma had secondary growths in the lungs, the other in the liver. The sarcoma case presented a metastasis in the tibia.

Diseases of the lower parts of the urinary tract are not numerous and of incidental interest only; many are associated with or due to lesions in the genital organs, and will be referred to later. Cystitis is uncommon, only being observed some four times unrelated to prostatitis and vesiculitis. Two of these cases were secondary to a traumatic urethritis. No stones have been seen. A mixed cell sarcoma was found springing from the bladder wall in a Richardson’s Kangaroo Rat (Perodipus richardsoni). The written record has unfortunately been lost, but the preserved slide confirms the original diagnosis. Rupture of the bladder occurred in a Gray Fox with stenosis of the end of the penile urethra causing retention and secondary cystitis. Another stricture of the urethra in an Ocelot (Felis chibigonazon) caused great dilatation of the bladder. This animal is thought to have chewed off all the external genitalia because of lice, with the result that the stump of the urethra became involved in a contracting cicatrix. Opossums, raccoons and wild dogs have shown light cases of urethritis seemingly traumatic in origin, and two dogs had cystitis and urethritis associated with what was believed to be distemper.

287

SECTION IX
THE FEMALE REPRODUCTIVE ORGANS

The mechanism and organs of reproduction differ so widely in the classes under discussion that it will be necessary to describe separately the alterations in mammals and in birds. Examples of abnormality and disease are not very numerous and I shall cite cases for many of the conditions rather than prepare comparative lists as has been possible in many foregoing sections. Some years ago Dr. Edward A. Schumann[40] studied the comparative anatomy and physiology of the mammalian female generative organs, and I shall condense and paraphrase his work. (The complete articles may be found as in the references below.) This gentleman, because of his gynecological experience and broad interest in comparative biology, has been consulted whenever unusual material from this tract has presented itself so that many of the descriptions that I shall employ are due to him. I take this opportunity to acknowledge with thanks his interest and helpfulness.

Comparative Anatomy in Explanation of Human Uterine Anomalies.

The development of the genital tract seems to be essentially the same through all orders in that the genital ridge forms the ovary and its attachments while the Mullerian ducts supply the tubes, uterus and vagina. Early in fetal life these two longitudinal ducts begin to approach one another, and by the end of the third month should be in the position which they are to retain for the full development of their end result. In the human being 288this position is complete union and fusion, with the production of a single tube from the uterine fundus to the exterior, while in the lowest mammals, edentates and marsupials, the two Mullerian ducts retain their lateral position, and upon completion of embryonal life a double tube from the ovaries to the exterior is found. If the normal fusion of the ducts does not take place, and if for any reason their proper relation is not reached, an abnormality will result varying according to the stage of development that has been reached. Thus in man instead of a single uterus of triangular shape and a single cervix, a double set of tubes may be found. It can be shown that the abnormalities of the human uterus are of definite and fixed types corresponding to an arrest of fusion or completion of the developmental cycle as given for the Mullerian ducts and further that these very deformities are comparable to normal organs of lower orders. In other words abnormalities in arrest of development in the human uterus represent normal types of lower uteri at various evolutionary stages. In monotremes there are two ovaries, tubes, uteri, cervices, a urogenital passage and a clitoris. This corresponds with Uterus didelphys with a single vagina. This abnormality while occurring in the lowest mammal, does not represent the most marked deformity known for the human being—that in which the double tube remains to the vaginal outlet, a condition found in the marsupials. In this order the uteri are entirely separate, and each is fitted with its own vagina. The next higher order, Edentata, seems somewhat out of place if it be judged by its female genitalia since it is possessed of a triangular uterus and single vagina but without distinct cervical segment; the tract is very similar to that of the Primates.

Rodents, in the various families, present no uniform uterine construction, there being four kinds corresponding to as many degrees of Mullerian duct fusion and differentiation. The lowest forms simulate the 289marsupials, another group is like the monotremes, a third shows a complete fusion with a single cordiform uterine body, while the last resembles somewhat the first, but the uterine divisions are bound together and the vagina is divided only half way down. The Insectivora occupy a transitional position resembling higher and lower groups in having a long uterovaginal canal, without distinct cervix, extending upward into long curved cornua. Cetacea (whales) have a highly rugous single vagina, a distinct, short uterine segment divided into two separate horns. The genitalia of Sirenia resemble those of the last group, but the cervix is better developed. In the last three orders the clitoris begins to be well developed and to present externally. Proboscidea have a single vagina separated from the short uterine body by three transverse folds corresponding to the cervix; the two cornua are long and wide.

“The foregoing orders present in their uteri all the essential characteristics of uterus bicornis unicollis with single vagina and are therefore the homologues of this anomaly in man.”

In the Perissodactyla, the bicornate uterus has a body of a little less than half the whole length; there is a sphincter at the lower end of the body but no projecting cervix. The cornua are longer still in the Artiodactyla and are coiled in a manner suggesting spiral sheep’s horns; there is a differentiated projecting cervix. In cats the length of the uterine body and of the cornua are almost equal and both are flat tubes; the cervix is prominent and the vagina long and rather smooth. The dog’s uterus is similar but the two cornua are bound together or fused before the point at which their termini enter that of the uterine body; the cervix is not very prominent, but well formed and the vagina is rugous. These types correspond to the uterus cordiformis. Lemurs have a common uterovaginal cavity like the Edentata. The lower monkeys possess a long 290slender uterus with definite superior lateral angles, the last vestiges of the cornua, a prominent cervix and a short rugous vagina. The higher apes have a uterine construction almost identical with that of man at the stage of infantile development.

“From the foregoing study it is clearly shown that every anomaly of the female genitalia in Man is in reality the result of atavism and hence, a degenerative change, and inasmuch as every special form of anomaly finds its counterpart in the normal anatomical arrangement of the analogous structures in one or another of the great mammalian groups, one additional item of proof is offered in support of that greatest of biological doctrines, the descent of Man from the lower forms of life.”

Anatomy of Labor.

In a second article Schumann reviews the comparative anatomy of labor, demonstrating that the basic principles are essentially the same, alterations only being in the direction of accommodation to the pelvic construction. In order to make the analysis comparable with human conditions the pelvis is studied as if the animal were standing erect upon the hind limbs.

The salient points of difference between the quadruped pelvis and the biped, human type may be epitomized as follows: (a) The entire pelvis lies (with the animal in its normal station) in a generally horizontal position with a slight slope downward anteriorly. (b) The false pelvis is almost entirely wanting, there being practically no bony structures above the brim with the exception of the small upper portions of the ilia. (c) The pelvis in quadrupeds is never basin-shaped, the lateral walls from the iliac crests to the tuberosities of the ischia lying roughly parallel to each other and enclosing a pelvic cavity rectangular in outline. Only in the highest apes does the basin-shaped pelvis appear. 291(d) The angle of the axis from the promontory of the sacrum to the symphysis is always greater in the quadrupeds than in man, averaging in the former from 70 to 80 degrees, in the latter about 55 degrees, (e) The symphysis pubis is an extremely long joint, being frequently greater than half the length of the entire pelvis, (f) The sacroiliac joint is more or less movable in all quadrupeds, especially in young animals. The rotation of the sacrum on the ilia increases the anteroposterior (dorsoventral) diameter of the outlet and at the same time wedges apart the ilia, thus increasing the lateral diameter.

In regard to the forces of labor it is to be pointed out that in the lower mammals the pregnant uterus hangs below the pubic arch so that the fetus must rise at an angle of about 45 degrees to pass over the pelvic brim. In so doing it meets the narrowest part of the triangular bony pelvic inlet, the anterior pubic angle. Since the sacrum is above and out of the way, the lateral diameter is the one which must be suitable to the passage of the presenting part. This is the head in homo, the largest part of the fetus, but in lower animals either head or breech often accompanied by one or more extremities, may present; the head is not the largest part in lower mammalian fetuses. The uterine contraction proceeds as in man, the fundus and cornua acting alone until the cervix contains the fetus, at which time all parts contract. In the bicornate organ both sides must contract or the fetus might be forced from the gravid to the empty side. In multiparous animals with both uterine horns occupied, the fetuses lie head to head, breech to breech and are expelled alternately from each side.

In uniparous animals rotation is in the nature of an accommodation of the greatest diameter of the fetal body in cross section to greater axis of the mother—the dorsoventral. Uterine contractions cause the fetus to unfold from its elliptical form and to assume an 292extended position, permitting head or breech to enter the lower pelvis. The pubic angle having been passed and the extension of the presenting part being successfully accomplished, there is no striking difference in the manner of external expulsion of the fetus.

Dystocia.

Dystocia in domesticated animals is a well studied subject, and its general clinical phases are fairly well known. Several cases have been observed, details of which are worthy of note since some of them are entirely complete.

Inertia uteri as a single non-obstructive condition seems not to have been observed here, although well enough known to veterinarians. Nor has a case of dystocia been seen as the result of excessive expulsive force. Obstruction to natural passage by bony deformities or malformations is a common occurrence in man but not so in lower animals. There may also be dystocia by reason of a normally formed but too small pelvis when the female has been impregnated by a much larger male, or if the female conceived before the pelvis has achieved its full growth.

Deformities may be due to irregularities of bony development, exostoses, fracture or diseases of the osseous system. A most interesting case of this type occurred in a Barbary ape (Macacus innuus) which had been in the collection for two years and was apparently in good health when discovered in labor.

No progress being made and the animal becoming shocked, an ineffectual attempt was made to deliver by version, the monkey dying during the operation. Upon autopsy the uterus contained a fetus apparently at term. The head was extended so that the face presented, but the head was not engaged. The cervix was fully dilated but the uterine muscle was relaxed and flaccid. The fetus was dead when the animal was first examined. The uterus contained two placentæ as is normal for these apes, the left placenta being the place of attachment of the fetus while the right one was somewhat smaller and presented no umbilical 293cord. The fetus was normal in size and form, the face was extended and its lower portion far advanced in a caput succedaneum. The measurements of the fetal were as follows: bitemporal 5.5 cm., biparietal 6 cm., occipitomental 8.5 cm., occipitofrontal 7.5 cm. The pelvis (dried specimen) presents a most interesting condition. The sacrum is bent sharply forward, carrying with it the border of the ilia, which are bent upon themselves forward and downward. The lateral walls of the pelvis are greatly narrowed, the ischia drawn inward. The pubes and the symphysis are fairly normal. The pelvic measurements are: diagonal conjugate 6 cm., true conjugate 4 cm., greatest transverse 4 cm.

It is apparent at a glance that here was an impossible labor, since the head of the fetus could not possibly enter the pelvis, the size of which, intra vitam, must have been less than the above measurements by reason of the soft parts. “This is in the experience of the writer a unique case of a complete obstetric history, plus the specimens, of labor with an osteomalacic pelvis in a wild animal.”

Another case may be added to those already reported by Dr. Schumann, as follows:

Hairy rumped Agouti (Dasyprocta prymnolopha). Dystocia. An apparently normal fetus occupies the left uterine horn. The nose was engaged in the pelvis and has been moulded in a curve pointing to the right. The fetus measures—bitemporal 30 mm., cervical-coronal 31 mm., length of fetus 17 cm. Pelvic inlet in the fresh state measures 18 mm. transversely and about 17 mm. anteroposteriorly. The umbilical cord is 10 cm. long and appears normal as do the membranes. Placenta presents as a spherical mass of hard dense consistency, 35 mm. in diameter and with apparently normal placental tissue occupying the lower border of this spherical mass. On section the mass shows areas of alternating soft red tissue separated by communicating trabeculæ of dense white fibroid tissue. This mass is distinctly encapsulated, but the nature of the enclosing membrane is indeterminate. The pelvis in dry state shows evidences of malformation due to trauma. The right ileum is pushed forward and inward carrying the acetabulum a short distance inward and backward. There is a marked thickening about the right acetabulum. At the upper portion of the symphysis there is marked bending backward toward the sacrum with thickening of the bone. The last sacral vertebra is sharply bent and anchylosed, forming an angle of sixty degrees. The pelvic measurements in the dry state—at superior strait-transverse 24 mm., right oblique 23 mm., left oblique 26 mm., true conjugate 22 mm., outlet 17 mm., between the ischiatic spines.

294This is obviously a traumatic malformation and forms a relatively contracted pelvis. The delivery of an adult fetus is impossible.

Cape Hyrax (Hyrax capensis). Impossible labor due to malformation of the pelvis. This animal died as the result of shock and exhaustion of labor. She was pregnant of two fetuses, one of which was extracted manually by the keeper but was dead at birth. Twenty-four hours later the animal was found dead. On autopsy there was present a fully developed fetus in the right cornu, the head just above the pelvic inlet. The left cornu was large and boggy. The myometrium of the right side was so thin as to be almost transparent. On examining the bony pelvis the reason for the dystocia is at once apparent. The sacrum is tilted to the right, and the body of the left ileum is bent sharply to the right, the pelvic inlet being obliquely contracted, the right oblique diameter being 16 mm. while the left is 23 mm.

The pelvic obliquity made the birth of a full sized fetus impossible, the one delivered being under developed. The myometrium was evidently stretched almost to the point of rupture when death occurred.

Obstruction to the birth canal by abnormalities in the soft parts, such as muscular rigidity, edema, or inflammation, tumors, atresia or developmental defects are occasionally seen by veterinarians but have not been encountered here.

Dystocia from uterine displacements are uncommon except such as may depend upon the failure of support by the abdominal wall, since this is the principal support of the organ especially when gravid. Hernia or hysterocele is known and anteflexion has been seen. Torsion, a rare human condition, is not uncommon in lower animals probably due to the loose dependent position of the pregnant cornua, attached only to the pelvic walls by slender inactive suspensory ligaments. A case may be reported, not originally described.

Canada Porcupine (Erethizon dorsatus dorsatus). Obstructed labor. This animal died from exhaustion due to an impossible labor. On autopsy the abdomen contained a moderate amount of clear serous fluid with one small blood clot. The right uterine cornu was distended with a fetus to about the same diameter as the uterine body. This cornu 295was congested and edematous and its walls very thin. The cornu was twisted one-half full turn from right to left, so that the pregnant portion overlaid the uterine body anteriorly. The torsion produced a compression of the vessels on the right side to the point of violent congestion of the cornu. There was no apparent rupture of the uterine walls, death having occurred from exhaustion. The fetus and its membranes were normal.

Many forms of abnormalities in position are recognized for domesticated animals, but since we know so little of the early stage in the wild specimens no data can be given.

Complicated labor in lower varieties of animals will follow lines similar to those for man and domesticated animals. Hemorrhage from trauma is not common at term, but several cases of abortion following injury have been seen. Postpartum hemorrhage might be expected in the higher apes which have a large discoid placenta similar to the human form, but when the placenta is more loosely attached and is subdivided as in lower forms, such bleeding is of no danger; when a cotyledon is torn from the ungulate uterine wall, a free hemorrhage sometimes occurs.

Geoffroy’s Marmoset (Leontocebus geoffroyi). Puerperal relaxation of the uterus with fatal hemorrhage. The uterus is 4 cm. long, 15 mm. wide at intertubal line. Uterine wall averages 2 mm. in thickness. Peritoneal surface is smooth, glistening and intact. Uterine musculature is soft and relaxed. Entire organ is intensely congested and on section uterine cavity contains a large firm blood clot completely filling it. Mucosa is of deep purple color, shows many fragments of decidua and is the seat of profuse hemorrhage.

Placenta previa is very rare. A row of cotyledons may form near the internal os, therefore like a placenta previa, but it appears to be of no consequence. Premature separation of the placenta is known to veterinarians, and is exemplified by the following case in our records:

Black Lemur (Lemur macaco) was found dead in its cage. Upon autopsy the uterus contained a small fetus with one leg and the tail 296protruding from the vulva. The fetus was normal in size. There was a large amount of free blood in the uterine cavity and extensive extravasation into the myometrium. The placenta was completely detached.

Rupture of the uterus and cervix have not been seen, but a traumatism of the vagina gave occasion for the following death:

Bactrian Camel (Camelus bactrianus) died of shock in labor. Upon autopsy the animal was found to have hydatid disease of the liver, lungs, and spleen, cirrhosis of the liver, and nephrolithiasis. Protruding from the vulva was a portion of the fetal membranes, the whole vaginal wall and several coils of intestine which had escaped through a large rent in the posterior vaginal wall. The anterior wall was swollen and edematous, the whole region surrounded by clotted blood. The cervix was obliterated, the membranes unruptured, the fetus in the normal extended head presentation. The veil-like placenta was somewhat injected but otherwise normal. There was some hemorrhage about the rectum but none in the free peritoneum.

This animal had broken her hind leg just above the fetlock three weeks before falling into labor, and was unable to stand. It is evident that the difficulty of delivery associated with an unnatural and forced posture due to the fractured leg was sufficient cause for the rupture of the vagina where the tissues were degenerated as a result of the coincident general disease.

Inversion of the uterus is one of the common accidents of labor among all animals, most frequently seen in ruminants. It is a condition more to be expected in lower animals than in man because of the long slender relaxed suspensory ligaments, the length of the uterus and the rigor of the contractions. The immediate causes are those operative for human beings. Three cases are recorded—one in an axis deer, one in an opossum, one in a mouse, the last being detailed in the following notes:

A Japanese Waltzing Mouse (Mus wagnerii rotans) died a few hours after an uneventful labor. On autopsy the entire uterus was found inverted and prolapsed, the organ the seat of a violent congestion, the animal having died of shock.

Fig. 22.—INVERTED AND PROLAPSED UTERUS. JAPANESE WALTZING MOUSE (MUS WAGNERII ROTANS). UTERUS SHOWN LYING ON CARD.

297

The Pelvis.

A study of the dynamics of the female pelvis from an evolutionary standpoint may explain some of the difficulties attending parturition. Starting from the biological law that morphology follows function and that the anatomy of a part alters to suit a changed physiology with such modifications as are necessary to fit each part properly to interact with other structures comprising the entire animal, it is evident that two great changes have occurred in the evolution of homo—the assumption of the upright posture and an increase of intellectual power necessitating a larger cranium of modified form. To this end also the pelvis would have to change both for support and to allow the passage of the enlarged head. The functions of the pelvis are (1) to attach the legs or hinder limbs to the trunk; (2) to furnish points of attachment and fulcra for the great muscles which move the limbs, and in the case of man, hold the trunk erect; (3) to provide egress and support for the terminal canals of the intestinal and urinary systems; (4) to provide for a birth passage; (5) to act as a shelf and support for the abdominal viscera. In quadrupeds the first four functions being perfectly served, there are fewer abnormalities of reproduction (and in the positions of viscera as well—Ed.). In man natural selection weeded out narrow pelves, but the present product is as yet an imperfect structure for one of its main uses, parturition. It should be a funnel-shaped basin of the shape of the fetal head and of the same height at all points—that is not oblique, there should be no promontory, the pelvic symphysis should be short and the sacrum of the same height. This would obviate internal rotation now necessitated by the oblique pelvis; this does not occur in quadrupeds.

Tracing the evolution of the pelvis, it is to be found first in fishes where it is a loose disjointed, variable structure not attached to the spine; in some it consists 298merely of ischia. In reptiles the box assumes a form suggesting higher types. Passing from the toads to turtles and to the crocodiles, the elements which go to make up the pelvis assume a more and more osseous character and become more and more definitely articulated with the spine or with the differentiated sacrum. Its purpose in these low forms is mostly as a support for the muscles of the legs and back. Birds present an advance in pelvic construction but with a great preponderance of the vertebral column since thirteen to seventeen bones may fuse to form a sacral “roof.” The ilia, ischia and pubis are firmly combined. The box is long and narrow with a heavy part for the acetabulum and broad surfaces for muscular insertions. The pelvis of birds differs from that of cold-blooded vertebrates in the greater number of vertebral segments entering into its composition, and in their bony confluence. It differs from that of mammals by being unclosed by an anterior symphysis and by a widely perforate acetabulum. The ossification of the pelvic bones is to afford a support for the legs, and the open pelvis allows passage of the large brittle egg. The shape of the pelvis is of little importance in parturition in the foregoing animals, except for birds which bear large eggs when the pubis anteriorly is open for that purpose.

In monotremes one finds the reptilian type of pelvis with the three divisions of the innominate bone remaining separate. The pelvis is short, heavy and flat and is fitted with marsupial bones. The marsupial pelvis, possessing parallel walls made by the ilia and ischia and a long symphysis, resembles roughly a triangular prism. The sacrum is wedge-shaped, without a promontory and has a considerable movability. The marsupial bones are quite long. The triangular outlet is many times the size necessary for the passage of the fetus.

The rodent pelvis is difficult to summarize morphologically by reason of the great diversity of form 299occurring in the many genera of the order, but it may be said that here the pelvis is usually of a type rather higher in the scale than the other structural characteristics of the order would indicate. The outlet is more commonly ovate than rectangular, the ischia and ilia lie at a more marked angle to each other, and the true conjugate forms a lesser angle than is common in quadrupeds. The sacroiliac joint is, in general, freely movable.

The female insectivorous pelvis is relatively large, the sacroiliac junction usually being long and well knit while the pubes are slender, wide of angle as to their descending rami and there may be no symphysis, as in bats. Edentates have distinct bony unions of the elements of the innominate bone and of this to the sacrum which increases in width downward permitting a long synostosis with ischia and pubes; these joints are not movable. The pubes are slender and the symphysis short. The sacrosymphyseal angle is 80 degrees in the armadillo. The inlet is roughly triangular to almost round. Cetacea have no clearly developed pelvis, its place being represented by two long bones, larger in males, which seem to be the insertion of the genital erector muscles. There is no junction to form a pelvis nor is there an acetabulum. A pelvic box is absent in the Sirenia, but lateral processes from the lumbar vertebræ form a sort of ileum between which an ischium is located.

Proboscidea have a massive pelvis lying vertical to the spine. The iliac alæ are wide and deeply concave; the ischia are short, heavy and parallel to the ilia; the pubes are short and combined in a heavy symphysis; the sacroiliac joint is short, heavy and slightly movable; the outlet is ovate. In one specimen examined the length was 4 feet, symphysis 18 inches, true conjugate 19 inches, transverse diameter 17.5 inches; crests of iliac were 28 inches long.

300Perissodactylic animals throughout this suborder have similar pelves except in so far as the obliquity is concerned. In the rhinoceros it is 90° with the spinal column, in the horse 135°; the angle of the true conjugate is 10° in the former, 50° in the latter. The lateral halves of the box are heavy and parallel; the symphysis is short in the rhinoceros, large in the horse; the outlet is ovoid. Artiodactyla, including pachyderms and ruminants, show a variety of shapes and constructions. Hippopotami have a short massive box tilted at about 150° from the spine, with widely flaring ilia and ischia; the pubes are slender but not combined in a strong symphysis. In ruminants the sacrum consists of four fused units; the sacroiliac joint is fairly movable; the obliquity is about 145°; ilia are long and slender and flaring; the ischia are broad and parallel with the ilia; pubes are slender but form a symphysis about two-fifths the total pelvic length; the infrapelvic angle is wide; the outlet of the pelvis is almost rectangular.

The general characteristics of the carnivorous pelvis may be summarized as consisting of a long strong symphysis, parallel lateral pelvic walls, a great sacrosymphyseal angle, and a marked separation of the bodies of the ischia. The sacroiliac joint is in general moderately movable.

The pelvis of lemurs is narrow, attached lightly to the slender sacrum, tilted at an angle of 140° and is possessed of a short weak symphysis; it resembles the structure in bats. In macaques the box is long, the sacrum wide, with a short iliac synostosis, the ilia long, narrow and curved out sharply, the ischia are continuous with the ilia and widely separated; the symphysis is short, about one-sixth the pelvic length; the angle of the superior strait is about 60°; the outlet is oval, the transverse diameter being short. The chimpanzee pelvis is made up of a wedge-shaped sacrum composed of three vertebræ, wide, flaring, concave ilia, stout well separated 301ischia with flattened tuberosities and a short symphysis parallel to the sacrum; the outlet is ovoid; true conjugate angle is 65°; the sacroiliac junction has little motility. In the gorillas the following points differ from the last described structure. Five vertebræ comprise the sacrum and the anterior surface is distinctly concave; the pelvic contour while still ovoid, has the two diameters more nearly equal; the pelvic angle is obtuse; the true conjugate is at an angle of 70°.

In man the salient features of the pelvis are—a broad, wedge-shaped sacrum, concave anteriorly, with wide articular surfaces and a limited motility; widely flaring ilia including the concave curvature of the body of the bone whereby the lateral diameter of the pelvic inlet becomes wider than in lower orders; short stout pubes with a narrowed angle beneath them; heavy blunt ischia with large tuberosities; true conjugate is at an angle of 55°. The human fetal pelvis resembles that of quadrupeds.

Study of these data indicates that the quadruped pelvis retains many things in common through all the orders especially in being a roughly rectangular structure lying chiefly horizontally, with a poorly developed false pelvis, straight ischia and a long symphysis pubis; the angle of the true conjugate is greater than in man and may be up to 80°. The long pubic synostosis changes the relation of the true and diagonal conjugate, but the former is no indicator of pelvic capacity, since in lower mammals the promontory of the sacrum lies anterior to the symphysis; the vertical diameter is a better measure of pelvic size and form. Sacral movement seems greater in lower animals especially in youth. The shape of the pelvic inlet is triangular in the lowest forms, the posterior base of this becoming wide as one ascends in a zoological line; the concavity of the ilia also increases so that the higher the animal the more curved are the lateral borders. In quadrupeds the anteroposterior 302diameter is greater than the lateral; the reverse is true in man. The long straight-sided quadruped pelvis is retained because of the direction of the forces from the legs, which is as much or more upon the anterior or pubic arch as upon the sacroiliac junction. In the semiupright position of the monkey the force is directed backward and downward upon the sacrum, this aiming to widen the pelvis by forcing the ilia apart. The effect of the upward force from the femora is to throw the pelvis upward and anteriorly by directing the line of action through the acetabula more toward the ventral surface. The sacroiliac ligaments hold the ilia firmly, their alæ being spread outward by the force from above. Elevation of the pubes shortens their symphysis and the true conjugate. By these changes the birth canal is shorter, entirely bony, with the upper inlet on the same plane, and promontory and symphysis are near enough the same level to be met at the same time by the engaging head. In these pelves the anteroposterior diameter is still long and superior rotation is not necessary.

In Man the force exerted on the pelvis from above is greatest among all animals and is greater when he is in active motion. The force is directed from above to the sacroiliac joint, the iliac bodies and the acetabular region while from below the pressure is directly exerted upon the last named. The force from above rotates the sacrum downward at its upper end, the attached sacroiliac ligaments at the same time pulling the alæ inward and throwing outward the lower end, the acetabular part. This tends to widen the pelvic box and to reduce its anteroposterior diameter. But the force acting from the legs and the adductors of the thigh push the lower parts of the ilia and the ischia and pubes apart, thus counterbalancing the effort of the force from above. The combined forces tend to bend the iliac bodies, thereby producing the curved lateral margins of the superior 303strait and making the lateral axis long. As between these two forces that from above is certainly the greater.

The effect of these forces can be followed by comparing a quadruped pelvis, a human fetal pelvis and an adult human one. The first two are similar chiefly in the shape of the inlet and the flat character of the ilia. This is strongly corroborative of the evolutionary development of the pelvis to meet the demand of the upright position. The effects of this evolution are as follows: First, to develop a forward inclination of the sacrum and a concavity in its surface anteriorly, second to increase greatly the iliopubic and ilioischiatic angles, third to cause the acetabula to move forward of the lumbosacral axis, fourth to shorten the bodies of the ilia and to develop in them a regularly curved surface, the concavity of which faces forward and inward, fifth to decrease the interpubic angle and accordingly to remove the triangular quality of the pelvic contour, sixth to increase the transverse diameter at the expense of the anteroposterior, and seventh to decrease greatly the sacrosymphyseal angle with the result that the entire pelvic cavity lies in one plane.

The effect of forces in alterations of the pelvic architecture may be seen in their several stages by the observation of the mammalian pelvis in the course of its evolution and development. The transitions in form are very gradual, but their gradations are well shown in the characteristic forms which have been described; the quadruped, monkey, anthropoid ape, human fetal and adult human type.

By an examination of the adult pelvis and fetal skulls it will be seen that the shape of the quadruped birth canal accommodates the fetal head nicely when in extension since there is no large posterior cranial development, the head and neck being of nearly the same thickness. In the monkey, where the facial angle increases, the head does not advance as a pointed presentation but as an irregular 304surface—the chin, forehead or occiput. It is only when the head has assumed a high facial angle and a well developed occipital lobe and the pelvic inlet has become transversely wide, that internal rotation is necessary.

Resuming a discussion of our records I shall at this place introduce additional cases of pathology in the parturient genital organ and then discuss the general system. Beside the cases of dystocia discussed in preceding pages there occurred in a deer a complete eversion of the uterus, which was incompletely involuted, accompanying prolapse of the rectum and bladder due to straining after severe injuries, probably inflicted by a male. The animal lived long enough to develop a purulent cystitis which spread to the vagina, uterus and pelvic soft parts. The left uterine cornu of an American bison was found to contain a decomposing fetus at about half term; general sepsis had supervened which led to the animal’s death in about a week, according to the keeper’s observations. The history of a monkey, followed through two pregnancies and finally dying of tuberculosis and sepsis is interesting.

Pigtailed Macaque (Macacus nemestrinus). Received March 5, 1903, died October 29, 1904. This animal gave birth on December 28, 1903 to a young one which appeared feet first; the arms appeared to have penetrated the septum between the vagina and rectum and protruded through the anus. Had to be cut off before delivery. She had a second young one October 21, 1904, which was properly delivered but was weak and lived two days, having received little attention from the mother. The mother since has been weak in the hind legs, eaten almost nothing and several times has passed a little blood in the stool. Lungs are partially collapsed; contain scattered small pinhead tubercles; right lower lobe contains a caseous nodule about the size of a cherry. Both pleuræ contain clear fluid. Abdomen contains a half pint of cloudy fluid. Omentum adherent along lower border and region of spleen and contains pinhead tubercles. Surface of the liver is studded with numerous pinpoint, pinhead and (old) pea sized tubercles. Some places in the liver seem to be the result of two invasions. Spleen presents small cherry sized tubercles thickly grouped together leaving small amount of splenic tissue to be seen. Kidneys contain pinhead to barley grain tubercles. Uterus is somewhat enlarged. External surface smooth. Section shows wall to be about one-quarter inch thick. Uterine cavity enlarged. Considerable 305bloody pus in uterine cavity. No communication can be found between the bladder and the vaginal wall or between the vaginal wall and the rectum. The intestines are negative. Mesenteric glands enlarged and caseous.

Abortion and miscarriage are occasionally seen in the monkeys, rodents and ungulates. The underlying reason for this can seldom be determined. A few cases seem to depend upon annoyance or abuse by cage-mates, a few to immaturity of the mother and some others seem the result of bone diseases such as osteomalacia. It does not occur regularly in any group or enclosure and appears to have no comparative pathological value.

Injuries of the external genitalia of the nature of lacerated wounds are occasionally seen in ungulates and carnivores, but never in monkeys. Acute vaginitis, sometimes localized into an abscess of the wall has been known to follow these traumata. Chronic changes have been met but once, which example will be detailed under another heading.

Inflammations.

Endometritis has been observed sixteen times, as follows: Carnivora 10, Rodentia 3, Ungulata 2, Edentata 1. In searching for causes it was found that the association with a recent delivery of young, an abortion or the retention of a fetus, was responsible five times. Association with tumors of the uterus was noted four times. Injury preceded the condition on two occasions, while one instance seemed to be hematogenic, being secondary to a septic pneumonia. On four occasions the actual cause could not be established with satisfaction. Pathologically the traumatic and parturient cases were purulent while tumors seemed to produce a more exfoliative or hypertrophic inflammation.

Inflammation of the Fallopian tube has been observed but five times, and only in one of these did the uterine wall fail to participate in the disease. The animals 306affected were three carnivores, one rodent and one marsupial.

No particularly important association of this salpingitis and other pathology was noted, and indeed the only noteworthy lesion of the organ under discussion is now to be cited.

Nylghaie (Boselaphus tragocamelus). Chronic vaginitis, fibroma uteri, chronic tuberculous salpingitis. The vulva and lower half of the vagina are covered by a thin coating of yellowish mucus. Mucosa is mottled purple, irregular, in some places smooth and flat, and in others showing clear cysts with yellowish fluid contents. The upper part of the vagina shows a pedunculated fibroid extending from the cervix. This tumor measures 32 × 20 mm., and is attached to the posterior cervical wall by a broad pedicle and is of smooth surface. The right uterine wall shows a large fibroid which twists the uterine lumen to the left. The tumor in the right uterine cornu is nodular, measures 11 × 9 × 7 cm., shows many dilated veins coursing over the surface and one section shows a soft central necrotic area. The left uterine cornu shows a small fibroid at the lower end. There is a chronic endometritis present. The outer half of the right tube is the seat of firm nodular swellings, one of which proves to be a purulent salpingitis (tuberculous), the others calcareocaseous salpingitis. Both ovaries are fibroid and cystic. Microscopic section shows some exfoliation of the epithelium of the vagina. The uterine cornu is thickened and the fibrous tissue is greatly increased. The tube is the seat of a purulent salpingitis with an occasional broken down tubercle present. The ovaries show a mild degree of oöphoritis (Fig. 23).

Obstructions to Continuity of Birth Canal.

Obstruction to the lumen of the genital canal was observed in three mammals.

An American Bison (Bison bison), five years old and known to have been in captivity three years died of a chronic gastroenteritis and pulmonary parasites after many weeks of failing health. At autopsy a double hydrosalpinx, and probably unilateral hydrometra, with low grade cystic oöphoritis were found. A picture is reproduced. The notes are not perfectly clear as to the anatomy but from the gross specimen in preservative it would seem that the left uterine cornu was involved in the dilatation (Fig. 24).

Fig. 23.—PEDUNCULATED FIBROMA OF CERVIX; INTRAMURAL FIBROMA OF UTERINE BODY; FIBROMA OF LEFT UTERINE CORNU; TUBERCULOUS SALPINGITIS AND MURAL METRITIS RIGHT SIDE. NYLGHAIE (BOSELAPHUS TRAGOCAMELUS).

Fig. 24.—DOUBLE HYDROSALPINX AND UNILATERAL HYDROMETRA. BISON (BISON BISON).

307Lion cub (Felis leo) had congenital cystic uterus. The only abnormality found is in connection with the internal genitalia. The vagina is 50 mm. long, uterus 23 mm. long, horns of uterus each 90 mm. long. The diameter of the uterus measures 10 mm. in both body and cornua, the latter being distended by clear watery fluid. They are symmetrically curved downward. They show no adhesions or obliteration of the os uteri to account for fluid retention. The probe is readily passed from the vagina to the end of the uterine horns. Vagina is patulous through its whole course. Ovary and tube normal.

An Axis Deer (Cervus axis) showed congenital hydrometra. This specimen is from a day old animal, consists of the genitalia in which the entire body of the uterus and both uterine cornua have been transformed into a thin-walled translucent cystic cavity containing clear fluid. The body of the uterus measures 15 mm. diameter, each cornu reaching the diameter of 5 mm. The cornua are curled not unlike ram’s horns, and are united by a line of adhesions above the body in the midline. From the ends of the convoluted and cystic uterus and cornua spring the normal tubes each with its ovary.

Cysts.

Cysts have not been noticed in the lower genital canal, but it is true that this region is not exhaustively studied in routine autopsies; however, no large cysts have occurred there. Cysts of the ovary have been limited to the so-called cystic disease of this organ; one parovarian cyst has been found. These animals, two ungulates, two carnivores and a rodent, are noted as being young adults, only one of which was known to have borne young. In only one, the rodent, was there evidence of chronic peritoneal disease. The notes of the parovarian cyst case are as follows:

An Aoudad (Ovis tragelaphus) showed a ruptured parovarian cyst with normal right side pregnancy. The fetus, its placenta and membranes show no change. The right broad ligament and ovary are negative, the latter containing a red and gray corpus luteum. The left ovary is fibrotic and the left ligament is the seat of a large hematoma, which on section is found to contain thin sheets of gray translucent membrane, like walls of a cyst. The vessels are all distended. Arteries have stiff walls and are empty. Veins have well formed clot. The whole uterus and adnexa were slightly turned to the right, but the twist does not seem to have been sufficient to cause rupture of a broad ligament vessel. Microscopic section of the broad ligament shows a parovarian cyst into which there has been hemorrhage. The cyst is separated from the ovary proper by a short band of tissue which apparently consists of thinnedout ovarian cortex.

308

Tumors.

Tumors of this tract in the mammals have been confined to the uterus proper, none having been found in the vagina, tubes or ovaries; in birds one oviductal growth and two ovarian tumors are recorded. These tumors are reported briefly according to their histological structures, a brief summary being added at the end.

A Black Lemur (Lemur macaco) showed a local leiomyofibromatous nodule on the lateral aspect of the uterine body near the cornu.

A nine banded Armadillo (Tatu novemcinctus) gave an interesting specimen which can be described as follows: The uterus is enlarged so that it measures 90 mm. from external os to fundus. Tubes and ovaries apparently normal. There is considerable grumous blood in the vagina and cervix; the former is normal. The cervix is pale and opaque in its lower half; upper half is slightly congested and mucosa decidedly rugous. The uterus itself shows an attenuated muscular wall with a thickened irregular mucosa which is the seat of pseudomembranous tabs of a dull red color, while the mucous membrane itself is irregularly red and yellow; also some grumous blood in the cavity. The size of the uterus is due to a large fibroma attached to the left lateral wall near the cornu. The mucous membrane of this is irregularly disturbed in some places, the tumor being partly bare. Here and there the mucous membrane shows the same degenerating hypertrophic character as seen on uterine wall. The tumor is attached to the wall by a narrow peduncle (Fig. 25).

A nylghaie with multiple fibromata has already been described.

A Jaguar (Felis onca) presented in the middle of the right uterine cornu a cystic resilient tumor 3 × 4 cm., which proved to be a fibroadenoma.

A lioness (Felis leo) presented a penetrating malignant adenoma of the uterine cervix upon which an active endometritis was implanted. The tumor penetrated the uterine wall, which gave way, an acute fatal peritonitis resulting. Metastases had occurred to the lung.

A Wild Boar (Sus scrofa) had a generalized ulcerating carcinoma of the uterine body.

An instance of chorionepithelioma in a Canada porcupine is worthy of separate description.

Fig. 25.—PEDUNCULATED FIBROMA UTERI. NINE BANDED ARMADILLO (TATU NOVEMCINCTUS).

Fig. 26.—FIBROMYOMA OF UTERUS. CORNUA AND TUBES. INDIAN ELEPHANT (ELEPHAS INDICUS). WHOLE MASS AS MOUNTED ON BOARD. IT MEASURED WHEN FRESH ABOUT SIX FEET ACROSS.

Fig. 27.—CROSS SECTION OF CORNU OF Fig. 26 AT HIGHER POWER. A PIECE CUT OFF WHERE THE PALE AREA SHOWS ON THE RIGHT CORNU OF THE OTHER FIGURE.

309Canada Porcupine (Erethizon dorsatus dorsatus). Acute suppurative catarrhal endometritis, hemorrhage in myometrium, chorionepithelioma. In anterior abdominal wall a short quill was found imbedded. A very small quill was imbedded in the retrocervical muscles. A quill about 2 cm. long lies free in the peritoneal cavity attached by recent plastic adhesions to peritoneum over left pubic ramus. A fourth quill was adherent by recent fibrous lesions to anterior wall of cecum. Peritoneum contains a moderate excess of thin watery fluid. Liver and spleen are negative. Kidney is large, greenish yellow, firm, smooth and glistening. The right uterine cornu is subinvoluted (the animal was delivered of a fetus before arrival at the Garden, which was sixteen days before death). Its walls are thick and distinctly congested, the congestion being of inflammatory type. Microscopic section of uterus shows a regular, not ulcerated serosa. Subjacent fibrous tissue is loose and contains a granular precipitate together with a few red blood cells. Muscular bundles under this are widely separated evidently partly by trauma, but certainly also by edematous interstitial tissue in which fibrillæ are widely separated and between which free red blood cells and plasma cells are seen. Capillaries ramifying through muscular bundles are greatly distended and congested. Numerous large arteries are present in addition. Some of these contain pink granular material within their walls together with diffuse collection of red blood cells. Fibroblasts extend into this necrotic mass from other sections of the walls. Lumen of such arteries is diminished and in places quite obliterated by recent organization tissue. At many places in muscularis are large cells of irregular rounded form and some cytoplasms incline toward the basic tint with one or several large hyperchromatic nuclei. They are especially likely to occur close to a capillary. There is an especially large accumulation of these cells at that point of section farthest from fundus. Here these cells occur in chord-like masses which infiltrate the muscularis both internally and externally. This particular mass lies in the muscularis internal to great arteries and well removed from mucosa. In this mass are giant cells with multiple nuclei scattered through the whole cytoplasm together with smaller cells with exceptionally large hyperchromatic nuclei. Subepithelial tissue is especially congested and contains numerous fibroblasts together with a few well formed glandular acini. Lining epithelium is discontinuous, of simple tall columnar type, in places becoming flattened or even lost. Lumen of organ is practically completely occupied by pus.

The Indian Elephant “Empress” (Elephas indicus) showed calcified fibroids of the fimbriæ; gross and microscopic notes and a photograph are given. The uterus is bicornate in type. In its body there are numerous fibrous nodules 1 to 4 cm. diameter. They can be traced from the cervix to the ends of both horns and tubes. At the end of each tube there is a great mass of calcified partly conglomerate tumors some of which are partly, others quite, pedunculated. One specimen measuring 2 × 1 × 1½ cm. has a peduncle 15 cm. long. The mass on the right side weighs 3,926 grams, that on the left side about the same. Section of tumor from uterine cornu shows the classical appearance of a leiomyoma with usual whorling and interlacing bundles of involuntary muscle fibres. Degenerative and vascular changes not seen nor is there any notable addition of fibrous tissue. This latter tissue is shown only in small amounts at one end of section.

The preceding data record the discovery of three fibromata of the uterus and one of the fimbriæ; one fibroadenomata 310of the cystic type, one malignant adenoma, one adenocarcinoma, and one chorionepithelioma. They were found in Lemures 1, Carnivora 2, Ungulata 2, Proboscidea 1, Rodentia 1, and Edentata 1. Metastases occurred but once, to the lung. No secondary tumors were found in the uterus.

While upon the subject of neoplasms of the female genitalia, it may be well to describe the three instances found in the avian organs. A very definite case of adenocarcinoma occurred in the oviduct of an Undulated Grass Parrakeet (Melopsittacus undulatus), a variety of bird very susceptible to neoplasms. The notes in an abbreviated form are given:

Immediately under the ovary is an irregular mass measuring 2 cm. long, 1 cm. wide, 1 cm. deep. The lower part of the tumor thus comes to press against the cloaca. It is adherent anteriorly to the peritoneum. It apparently consists of two parts, an upper rounded larger, and a lower spherical smaller. Both parts are well encapsulated and separated from each other by a well defined constriction. The upper part has a pale opalescent appearance. It cut easily with moderate resistance. The lower portion externally has an egg-yellow color streaked with red. Upon section it has the same general appearance but contains in addition numerous small, irregular, yellow areas which mask the general opalescent appearance. The centre of this node contains an empty space (cyst) 1 × 2 mm. Microscopic section consists of an oval or elliptical mass showing over one convexity a depression simulating a constriction. A thin fibrous capsule extends over most of the section which is extra thick at the point of constriction. Constriction roughly divides the section into two. The upper portion consists of one or two coarse septa of fibrous tissue. From these central areas a delicate connective tissue framework extends peripherally. In this framework are great numbers of irregular gland spaces. These gland spaces are so closely placed in most cases that room is afforded for but one nucleus of the bundle. The gland spaces vary in size, some large, some small, and show grotesque shapes. The larger gland spaces here contain granular debris and pyknotic nuclei. Compound granule cells suggesting colostrum corpuscles may be seen in this debris. The epithelium of the gland spaces consists of a single layer of columnar epithelium of low cuboidal type. In places it is heaped up so as to present several layers. In places too it is not applied in a regular manner to the basement membrane but breaks through and then the cells extend in most disorderly fashion into the lymphatics of the stroma. At these points the nuclei are hyperchromatic. The lower portion follows closely the description given above save that the glandular spaces are much larger. They contain pink glandular material with admixture of compound granule cells. At the convexity of the tumor the acini are especially large. Here they contain a pink granular material which stains more intensely than the other granular contents and, too, inside of this intense pink material are sharply circumscribed areas of yet more intensely pink staining material. This latter substance has a streaming appearance under the high power. This streaming appearance is due to elongated areas of less dense material which are placed with their long axes parallel. This lower portion shows, furthermore, even with the naked eye, two large cysts which are lined by epithelium and contain a very small number of compound granule cells. The capsule at the lower pole is worthy of note from the extreme dilatation of its capillaries.

Fig. 28.—PAPILLARY ADENOMA OF OVARY. WILD TURKEY (MELLEAGRIS GALLOPAVO).

311A papillary adenoma was found in a wild turkey (Fig. 26) and a mixed cell sarcoma in a King parrakeet (Apromictus cyanopygius). None of these tumors sent out metastases.

Interest in the avian reproductive tract from a pathological standpoint centres around the tumors as already given, and abnormalities in egg-bearing. Among our specimens there have been many cases of soft shelled eggs apparently blocked in the oviduct, of “egg-binding” and of the inspissated-egg-remains in the abdominal cavity. These conditions are well known to veterinarians and are explained on the basis of improper food, immaturity of the bearing fowl, injury and inflammations of the cloaca and oviduct. I made an attempt to associate these conditions with infectious disease incidence and with the normal egg size. The results are not harmonious. No relation existed between general or local infection and any of these conditions. Gallinaceous birds with their large eggs show the highest percentage (2.3 per cent.), but Anseres with a somewhat larger relative egg size show 1.6 per cent. Passeres, with eggs of very variable size but relatively large pelves, have an incidence of .6 per cent. Struthiones’ eggs are relatively small; their incidence is 1.5 per cent.

312Salpingitis occurred in seven cases, but there have been no evidences of an acute infectious disease such as is responsible for gleet.

The Mammary Gland.

This structure has been the seat of three inflammatory conditions and four tumors. The former occurred twice in nursing animals, one of which seemed to be suffering with distemper, another from puerperal sepsis, while the third case was probably traumatic. The animals were in order, a raccoon, a coati and a skunk. Four cancers of the breast have been observed, all richly cellular or glandular in type; none of the scirrhous variety has been encountered. Two of them were ulcerating and one was about to become so. One gave extension to the axilla and lung, one had penetrated the abdominal wall and grown around the kidney; the remainder had not yet extended. The animals were Black Bear (Ursus americanus) (thoracic mamma with extension), Common Opossum (Didelphys virginiana) (two sections of breast in pouch), two White footed Mice (Peromyscus leucopus) (posterior abdominal right gland and whole side). These animals were all adult but not old.

Fig. 29.—ADENOCARCINOMA OF MAMMARY GLAND (TWO SECTIONS WITHIN POUCH). COMMON OPOSSUM (DIDELPHYS VIRGINIANA).

313

SECTION X
THE MALE GENITALIA

Affections of the penis are limited to phimosis and occasional inflammations on a traumatic basis. The latter is best seen in carnivorous animals like raccoons and coatis, but has little pathological interest. Two cases of phimosis have been seen at the autopsy table and one in an animal (hyena) still living. The last was operated upon some years ago and has given no trouble since. The prepuce of this beast is seldom retracted, but no swelling or retention of urine has occurred. A Red River Hog (Potamochœrus porous) dying of a variety of lesions, was found to have contracted preputial opening, the edges of which were tight and adherent to the glans penis at various spots. The prepuce had been dilated with urine to a large size from which collection the fluid could be pressed dropwise only by considerable pressure. Opening the sac revealed forty to fifty gray white sand granules about the size of millet seeds. A gray fox (Canis cinereo argenteus) had a mild grade of phimosis; in this case probably traumatism had some etiological relation, for it is the one referred to before in which a terminal urethral stricture was followed by rupture of the bladder.

The testes have been peculiarly free of disease, only a small number of lesions having been found. A raccoon had an acute inflammation, traumatic in origin, and a few passerine birds were noted as showing involvement of this organ in the presence of some general infectious diseases. Two tumors were found in birds, none in mammals. The avian cases both occurred in Red shouldered Parrakeets (Palæornis eupatrius) and were round cell sarcomata, without metastases.

Acute inflammations of the prostate and Cowper’s glands occurred only once as secondary to pelvic infection. 314Chronic change was observed in these bodies on two occasions, and prostatic hyperplasia, commonly called hypertrophy, was seen thrice. The mammalian prostatic area is known to become overfilled with secretion and to be affected by inflammation when it is not discharged. This occurred in a wood rat (Neotoma pennsylvanica) and a wild boar (Sus scrofa), the former having the condition so marked that prostate and seminal vesicles were swollen backward into the pelvis like a tumor. Histologically one finds in these conditions an engorgement of the glandular and ductal spaces with a mucoid substance and a mild round and plasma cell infiltrate in the connective tissue; there are no marked evidences of active inflammation. The testes were not abnormal in these cases.

The three cases of “hypertrophy” of the prostate are worthy of separate record.

Indian Paradoxure (Paradoxurus niger) the prostate is greatly enlarged, of pale orange color, soft and does not exude pus on section or pressure.

Common Opossum (Didelphys virginiana) The prostate is enlarged, soft, gray-yellow. Urethra contains a little gray mucus but seems patulous. Seminal vesicles negative.

Rhesus Macaque (Macacus rhesus). Glandular hyperplasia of prostate. The bladder is collapsed. The opening of the urethra is occupied by a firm, friable yellow-white cast of matter apparently inspissated semen. Urethral mucous membrane normal. Prostate is 7 × 4.5 × 3 cm. firm, resilient, dull purple-gray, capsule negative. Section shows normal lobulations containing apparently normal secretion. Vasa negative. Testes negative. Microscopic section of prostate shows acini of various sizes lined by a single layer of tall vacuolated cells with nucleus at the bottom. Cells probably nowhere reduplicated. Acini nowhere grossly atypical but everywhere hyperplastic and dilated irregularly. Mass is adenomatous in general increase but no part is truly neoplastic. Interstitial tissue rather less than normal proportionately. No “amyloid” bodies.

Fig. 30.—PAPILLARY ADENOMATOUS HYPERPLASIA OF THE PROSTATE GLAND. RING TAILED LEMUR (LEMUR CATTA).

315Still another case of accessory sex gland enlargement was found in a Ring tailed Lemur (Lemur catta), this time, however, with more suggestion of a neoplastic change. The prostate of the lemur is normally large, pale gray-pink and rather firm. Histologically it is about equally glandular and fibrous. In this case the cellular activity is undoubted, and one must consider it adenomatous. The cause of death was enteritis, being perhaps more serious in the presence of the urethral obstruction.

The seminal vesicles are distended to 7 × 2 cm. with a thick boiled-starch-like material. Wall and mucosa are negative. Prostate large, tense and injected. Its cut surface is pale purple, homogeneous; character of fluid is normal although excessive. Urethra is occupied by a cast of rather tenacious starch-like matter which begins at neck of bladder and runs almost to meatus. Openings of excretory ducts are prominent. Mucosa and submucosa of urethra are deep purple and the former seems to be slightly opaque as if covered with desquamated epithelium. Testes and epididymes seem normal. Vasa deferentia are slightly distended with excess of normally turbid fluid. Microscopical section shows hyperplastic epithelial condition with accumulation of droplets of hyaline matter but there is no amyloid deposit. In places it is possible to see a hyperplastic and loosened epithelium with nuclei becoming vacuolated, and the whole being cast off. Less granular free globules suggest that this is the method of origin of the hyaline globules free in the acini. The picture is one of papillary adenoma. In some places there is surely reduplication of the lining cells. Connective tissue is deeply staining, compact and with adult nuclei. Growth is not very vascular. There are no corpora amylacea.

A case of tuberculous prostatitis and seminal vesiculitis was seen in a Japanese Macaque (Macacus fuscatus). Judging by the advanced stage of these lesions and their more recent character in other viscera, the disease was suspected as pelvic in origin, possibly due to infection by a thermometer. Whether or not such be the case cannot be established, but at all events, separate thermometers kept in carbolated vaseline were employed after this death. The females caged with this animal did not develop tuberculosis of the pelvic organs.

316

SECTION XI
THE DUCTLESS GLANDS

The Thyroid Bodies.

The ductless glands occupying the anterior cervical regions, known as the thyroids and parathyroids are structures to be found in some form in all vertebrates, but increase in distinctness of outline and construction upward in the zoological scale. In the bird they present themselves as discrete rounded bodies lying well to the side of the midline resting usually upon the carotid artery or jugular vein or both. As one removes the skin reddish brown globular masses will be exposed to view, sometimes showing an irregular lobular outline, a variation due to separate but attached masses of parathyroid glandules; the latter may be yellowish or even white. For the most part, however, distinct thyroid and parathyroid bodies are separated with difficulty, and one must discover the latter by microscopical section. In the mammal these organs are by no means so readily found when removing the cervical integument, for they are usually buried beside the trachea and covered by sternohyoid and sternothyroid muscles. Their position, relative to the larynx and upper end of the sternum, varies considerably but this seems to have little importance in the enlargements to which the gland is liable. It is, however, lower, that is more posterior, than in the human being, rarely rising as high as the lateral thyroid cartilages. The principal lobes are elliptical or roughly triangular masses with their long axis corresponding to that of the animal’s body and apposed mesially to the trachea. When enlargement occurs it develops in the anterior or ventral direction, pushing through the cleft between the muscles and the trachea to present under the cervical skin. In 317quadrupeds it may become dependent and the swelling is nearer the sternum than is the case in man. The isthmus is a very variable structure, and its presence or absence cannot be said to be a constant character in any order, or indeed in any family. I have seen in old animals a fibrous band extending over the face of the trachea connecting the capsule of the lateral lobes, which might have been an isthmus at one time. From these few observations the idea of atrophic fibrosis occurred to me. Such may be the reason for the absence of this transverse link in some adult specimens.

The amount of thyroid tissue possessed by an animal might be judged by measurement or weight. The former is misleading since the density might vary, as it certainly does in the two classes and between certain orders in mammals. Actual weights would afford little comparison, whereas the weight in terms of total body weight may supply a guide to the amount of gland normal to an animal. There are given in Table 15 the grams-per-kilogram-body-weights of the thyroid bodies (thyroid and parathyroids both sides combined) of twenty animals whose gland seemed entirely normal at autopsy. They are all adult specimens, free of cretinoid characters and of bone or heart diseases, conditions which might reflect abnormalities to these glands. The list is too small to warrant any conclusions, but in one respect confirms Murray’s[41] observation and certain experimental work, notably of Vincent and Jolly[42] and Carlson, Rooks and McKie[43]. The carnivores have more thyroid than ungulates (averages .55 gm. vs. .18 gm.), but the marsupials on our list have nearly as high an average as the former, namely .44 gm. To these figures might be added others which I have worked out from the list given by Murray; it is only possible to compute the gram-perkilogram 318value for a few of his examples since the body weights are not given in all. Using 2.2 pounds as equal to one kilogram, the seal of 432 kilos had .03 gm. of thyroid, lion had .18 gm., leopard had .46 gm., a serval .36 gm., a skunk 2.35 gm., (was this normal?) while a single herbivore with the weight given was a porcupine having .25 gm. per kilo. The average of Murray’s carnivores is therefore .67 gm. per kilo of body weight, whereas our figure is .55 gm. That the incidence of thyroid abnormalities stands in direct relation to carnivorous character has been recognized before, and is abundantly borne out by our statistics, as will appear at a later place.

Table 15
Showing Weights of Animals, of Their Thyroid Bodies and the Relation of These Weights Per Kilogram.
    Grams of Body Grams of Thyroid Grams of Thyroid per Kilo of Body
Primates:      
  Woolly Monkey 2,370 2. .84
    Lagothrix lagotricha      
Carnivora:      
  Wild Cat 8,180 2. .24
    Felis ruffus      
  Silver Fox 3,325 4. 1.2
    Canis chama      
  Kamchatkan Bear 31,800 22. .63
    Ursus beringiana      
  Lynx 9,500 1. .1
    Felis canadensis      
  Jaguar 29,500 16. .54
    Felis onca      
Rodentia:      
  Ground Squirrel 550 2. 3.6
    Xerus capensis      
Ungulata:      
  Zebra 340,000 64. .19
    Equus burchelli      
  Giraffe 384,000 45. .12
    Giraffa camelopardalis      
  Barasingha Deer 56,800 8. .14
    Cervus duvanceli      
  Kashmir Deer 56,800 20. .35
    Cervus cashmirianus      
  Urial 22,700 2.5 .11
    Ovis vignei      
Marsupialia:      
  Kangaroo 18,000 10. .55
    Macropus robustus (?)      
  Tasmanian Devil 3,120 4. .13
    Sarcophilus ursinus      
  Wombat 26,000 7. .27
    Phascolomys mitchelli      
  Wallaby 3,360 3. .9
    Genus and species (?)      
Edentata:      
  Anteater 3,300 2. .6
    Myrmecophaga tetradactyla      
Accipitres:      
  Wedgetailed Eagle 2,300 1. .43
    Aquila audax      
Struthiones:      
  Rhea 18,000 5. .27
    Rhea americana      
  Emu 36,300 23. .63
    Dromæus novæ-hollandiæ      
319

Anatomy.

The minute anatomy of the normal thyroid is fully given in text-books, and is doubtless pictured in the minds of all but students of the subject as a fixed and definite affair. Such is not the case. There is certainly a variation in gross size under conditions of seasonal and sexual activity, and it would seem acceptably demonstrated that changes in diet, especially where meat is concerned, are associated with swellings or shrinkage of the glands. These gross changes must be due to alterations in histology. In youth also the bulk is larger, a condition due to cellular activity, while as middle age advances the thyroid becomes smaller and more balanced in its colloid and cellular proportions. I need not detail the ultimate constituents of the gland, but it is well to emphasize a few points which must be taken into consideration in microscopical diagnosis. In the first place, the lobules or acini are not all of the same size in normal organs. This is especially true in the normal adult gland but may be so in youth. The cells which form the inner lining of the acinus are low cuboidal in shape but the elements which lie under them are oval and do not change with hyperplasia of the former. The colloid which fills the glandular spaces is very susceptible to mechanical and chemical agencies. In material preserved in alcohol it may be shrunken away from the cells or heavily vacuolated, while in tissue 320preserved a long while in any liquid it may be found contracted or broken. Large vacuolated or vesicular cells are characteristic of the human parathyroid; this type is by no means so prominent in the lower animals, and in the few examples studied closely the arrangement is less definitely glandular than in man.

The avian thyroid is distinct from the mammalian in the delicacy of its fibrous framework and the flatter character of its epithelia. Acini are usually of more uniform size. Capsular vessels are prominent but internal vascularity is less in birds than in mammals and their goitres are not solid.

Physiology.

The physiological value of the thyroid-parathyroid complex has been the subject of extensive study and voluminous literature without exhaustion of the possibilities, but with the result that we are possessed of knowledge explaining certain phases of abnormality, even if the normal functions be not unexceptionally demonstrated. The accepted alterations of functions are hypothyroidism—inadequate physiology, and hyperthyroidism—excessive activity. Absence or atrophy of the thyroid bodies is usual in hypothyroidism, while enlargements, collectively called goitre, commonly accompany excessive function. Exemplifying the former, cretinism is the result of failure of normal function and development during fetal life while myxedema is the expression of the disappearance of thyroid secretion after it has once been operative; the latter may occur in infancy after nursing has ceased, or at any time that the thyroid may atrophy, during some of the forms of goitre for example. Hyperthyroidism may express itself, with or without visible enlargement of the thyroid body, in nervousness, gastrointestinal disturbances, tachycardia, loss of weight and exophthalmos. The first group, which might be called athyroidism, is often associated with alterations in the 321bony skeleton in the form of chondrodystrophy or of rickets, while some degree of osseous change is observed with myxedema. Goitre, be it simple or exophthalmic, may be followed by cardiac enlargement or by myocarditis.

The character of the thyroid secretion is not known except that it is influenced by the availability of iodine in the diet, but there are some other as yet unexplained features. The normal thyroid fed to cretins or persons suffering with myxedema, has the power to improve the condition apparently by supplying iodine and the other essential elements. Iodine is an important constituent of the gland, being present in combination with protein. Its quality varies indirectly with the amount of colloid and of hyperplasia (Marine). The administration of this element is beneficial in colloid goitre but is harmful in the toxic variety. Even though the administration of thyroid extract may relieve athyroidism, this procedure in normal animals fails to produce typical pictures of hyperthyroidism. Carnivora fed thyroid gland do not show toxic symptoms until excessive amounts are given, whereas herbivorous varieties are much more sensitive to this feeding.[44] Tachycardia, nervousness and exophthalmos are not produced by these experiments, an interesting observation since these signs are not recorded in wild animals, and only vaguely reported by veterinarians. Man is apparently very sensitive to thyroid dysfunction.

On the other hand, meat-eating animals are more sensitive to excision of the thyroid body than are grain eaters.[45] Chemical studies have shown that the thyroid is concerned in basal metabolism since this is increased in hyperthyroidism and decreased in myxedema; nitrogen output is much elevated.

Thyroid physiology stands probably in some relation to the cardiac mechanism since in simple colloid or simple hyperplastic goitre if of long duration, cardiac enlargement 322and disease may be greater than the excess work occasioned by the mere physical bulk of the enlarged gland in the neck would seem to warrant. A detoxicating function has been ascribed to the gland, but Murray discredits this on the ground that congestion occurs in infectious disease of warm blooded animals but not in snakes. He thinks the gland more likely stands in some connection with the thermoregulatory mechanism.

It is evident from the foregoing that the thyroid is closely related to protein metabolism, and that this is in some way connected with the ability the body possesses to use iodine in the food if it can get it. Feeding of meat to fish was found by Marine to increase the size of the thyroid. With all this in mind it is not astonishing that two-thirds of our cases of thyroid abnormalities were found in the order Carnivora.

The anatomical changes of the human thyroid that precede or accompany the various clinical pictures cannot be said to be uniform to a degree that one can even approximately predict in every case what will be found at operation, at autopsy or by the microscope. Furthermore, much discussion has existed upon the importance of the several changes, the association with clinical phenomena and the nomenclature. I shall not enter the academic discussion with our material because so much has depended, in human medicine, upon symptoms, signs and chemistry—data that we cannot adduce. Upon many occasions I have seen animals with very evident goitres, but have not been able to detect bulging of the eyes or especial nervousness. One striped hyena carried his mass for several years. It swelled up occasionally and seemed to cause dyspnœa. At one examination of the beast, to see if anything could be done for him, a large cyst broke under the examining hand, whereupon a deep inspiration was heard and relief was apparent. This handling was repeated twice, these times with the purpose of breaking cysts and when this was successful 323disappearance of the dyspnœa was observed. However, a similar attempt upon another hyena and a wolf failed possibly because no large thin-walled cyst was present. These and the case of the lion cub (page 170) are the only instances in which the enlarged thyroid seemed to have given serious difficulty, and the symptoms were probably due to pressure. Many, indeed most, enlarged thyroids have been found at autopsy, when the Garden personnel was unaware of their existence. Interesting notes of familial cretinism will be found under the appropriate heading.

Pathological Anatomy. Classification.

And now to return to the question of morbid anatomy of the thyroid gland, I shall begin by outlining briefly the classification to be used in analyzing our cases, a system which combines those of many pathologists, yet which I believe contains the essentials of all. The changes in the gland being hyperplastic and recessive, at times to a stage of atrophy, no clear cut definite line of demarcation separates all these pictures; instead they must be thought of as merging into one another. When the thyroid enlarges more or less continuously with a maintenance of considerable colloid, the picture is that of COLLOID GOITRE. The gland is pale, gelatinous, tense but resilient and may show large cystic areas with fluid contents. Microscopically studied the acini are overfilled with colloid yet the lining cells are retained but flattened. The cysts may show the ruptured septa of the original acini. Enlarged soft reddish glands are found at times to contain much colloid, nearly every acinus being distended with it, but in such organs the epithelia are high or even reduplicated; the amount of contents is the striking feature. These are termed HYPERPLASIA WITH COLLOID. Hyperplasia may go on with the absorption of colloid, HYPERPLASIA WITHOUT COLLOID. The gland is then a darker body of more solid character, red, dull purple or uniformly 324pale pink, somewhat dependent upon the blood content. By magnification one sees smaller acini with prominent high cuboidal or cylindrical epithelia and little or no colloid. The increase of cells seems to be due both to an increase in their size and number. As the proliferation increases the lining layer must be accommodated so that it bulges out into the lumen as a bud or papilla which, if it be extensive or universal in the thyroid, gives rise to the ADENOMATOID GOITRE OF PAPILLOMATOUS type. This growth is accompanied by much congestion and small or large hemorrhages may occur, forming cysts containing a blood stained fluid. Grossly such a gland has solid and cystic areas, is mottled red and gray or brown from old pigmentation and is usually of very irregular shape. These forms are more or less uniform and general, but in certain instances the hyperplasia tends to remain in isolated areas or nodules, and in these develop solid masses of thyroid epithelium, sometimes with a small lumen usually devoid of colloid, and a rather rich but loose fibrous supporting tissue, the whole picture resembling the microanatomy of the fetal gland; to these the name fetal adenoma has been given, but since they are not fetal in origin and do not behave like tumors I have called them NODULAR ADENOMATOID HYPERPLASIAS. The next step in hyperplasia would remove it from benign to malignant in pathological character, and the term NEOPLASTIC HYPERPLASIA is used; this must of course be limited to the epithelial growths, since sarcomata, while they occur in the gland, come from other cells.

The changes in atrophy consist in irregular distortion of the gland by fibrous tissue to which may be added large colloid or fluid cysts. There is no uniform finding in the thyroid for the diseases believed to be due to its atrophy, functionally at least, namely cretinism and myxedema. In the former there may be no thyroid, or it may rather closely resemble the normal organ while in the latter definite scarring and distortion is the rule. The gland 325acini are compressed, the cells vacuolated or crushed out of existence or there may be colloid cysts.

Inflammations occur as swellings of the interstitial tissues and of the acinus cells during many acute infections. Repetitions of this may leave a definite increase of connective tissue with large cells in the acini, a lesion which many observers have looked upon as underlying certain goitres and myxedema.

Hyperplasias.

The cause of progressive hyperplasias has been ascribed to infection, to chemical substances in water and food, endogenous toxins, heredity and many other factors. While we can add nothing definite in this matter it is worthy of notice that all our animals are exposed to the same general climatic conditions, receive the same water, are fed from the same stocks and many varieties may be in charge of the same keeper. The influence of preëxisting infections cannot of course be measured. Inbreeding or captive breeding seems to have a very definite effect upon thyroid insufficiency as is well known and so sharply emphasized by McCarrison in his reference to intermarriage among certain Moslems; I shall cite the history of a wolf bitch which gave birth to three cretin litters while apparently well but mated to a goitrous male. These facts concerning the etiology are given merely to emphasize the high degree of probability that the distribution of the lesions of the thyroid gland among our specimens indicates the susceptibility of the various orders. This perhaps needs no emphasis for the carnivores, but it does for the marsupials. The literature contains many references to goitre in domesticated ungulates; this would give the impression that they are common among them, and so they may be, but this is not the case for wild ungulates. There being no doubt that the Carnivora have the highest incidence of thyroid enlargement, man being especially prone to it, and since goitre may be induced in fish by 326feeding meat, the inference is direct that high protein diet stands in some relation to this condition. Thirty-nine of our sixty thyroid lesions occurred in the order Carnivora; all the families of land varieties are represented; 8.1 per cent. of the specimens coming to autopsy showed definite thyroid alterations. However, marsupials have also a decided thyroid vulnerability as indicated by 4 per cent. of the specimens presenting abnormalities at death. Four of the seven cases were among the carnivorous opossums and “devils,” the remaining three being in herbivorous kangaroos. The influence of high protein diet is not evident in birds.

A discussion of the essential pathology can be based upon the accompanying table. In making a diagnosis care was used to exclude mild swelling of the gland seen in acute infectious disease and under conditions of sexual activity. The gross diagnosis was checked by microscopical section, and all but a very few have been reëxamined for the purpose of making the table.

Table 16.
Showing Distribution of Lesions in the Thyroid Body by Giving the Number of Cases Met in the Autopsies upon the Various Orders, According to the Classification Given in the Text.
Order Cases of Thyroid Disease Colloid Goitre Hyperplasia with Colloid Hyperplasia without Colloid Papillary Adenomatoid Hyperplasia Nodular Adenomatoid Hyperplasia Malignant Hyperplasia Mixed Tumors Sarcoma Atrophy
Carnivora 39 7 6 5 4 9 1 1 1 7
Rodentia 1               1  
Ungulata 2 1               1
Marsupialia 7 1 1 1 1 3        
Passeres 2 2                
Psittaci 2       1   1      
Accipitres 1   1              
Galli 2 1   1            
Alectorides 1   1              
Anseres 3   2              
Total 60 12 11 7 6 12 2 1 2 8

Fig. 31.—HYPERPLASIA WITH COLLOID. AMERICAN BADGER (TAXIDEA TAXUS). MEASUREMENTS; 3 × 1.5 CM.; 3 × 1.5 × 1½ CM.

Fig. 32.—ADENOMATOID GOITRE. RACCOON-LIKE DOG (CANIS PROCYONOIDES).

327This rather diversified group of pathological lesions would warrant one to expect a notable number of instances of disease observed during life, suggesting that the thyroid was at fault; such, however, is not the case. In the first place, no case of exophthalmic goitre, as the symptom complex is known in man, has been observed, yet the anatomical alterations, hyperplasia without colloid, and with papillary or solid adenomatoid character, are abundantly represented. For the pathologist to accept a case as toxic goitre I would ask evidence of enlargement of the heart and perhaps in addition degeneration of the myocardium. The animal showing the closest resemblance to the disease in man was a Raccoon-like Dog (Canis procyonoides) whose history and notes are given in brief.

Raccoon-like dog (Canis procyonoides) ♀ . Acute hemorrhagic splenitis. Acute fermentative gastritis. Subacute catarrhal enteritis. Acute general infection. Hypertrophic cirrhosis of liver. Chronic interstitial nephritis. Hypertrophy of heart with acute myocarditis-infiltrative and parenchymatous. Chronic lymphadenitis with acute exacerbation. Epigastritic and gastric venous stasis. Nodular adenomatous goitre. The right thyroid is lower, both measure 4 × 3 × 2 cm., are soft, resilient with dense gray capsule. Section shows cysts filled with blood separated by pale septa of soft tissue of varying thickness. One similar mass under angle of jaw seemed like a lymph node but on section is like thyroid. Parathyroids not found. Pleuræ negative. Lungs are gray, collapsed except lower half of lower lobes which are slightly emphysematous and edematous. No consolidations. Pericardium contains about 3 cc. clear, colorless fluid. Epicardium is glistening, transparent and pale. Heart muscle is soft flaccid, pale mottled gray-brown. All chambers are distended with mixed clot. The coronary muscles and columnæ are mottled brown and gray. The tips at insertion of chordæ are pale. Streaks of gray run through muscles. One area 1 × 2 cm. of softening found in middle of left auricular muscle. Aorta negative. The liver is enlarged, surface rough and irregular, edges rounded and uneven, consistency firm and tough, color mottled deep red-brown. Section surface glistening, moist, granular, opaque. Lobular markings not lost but obscured. Connective tissue lines not clear but surely diffuse in lobules. Scars on surface leading to definite connective tissue strands about vessels and irregularly placed. Gall-duct patulous with limpid bile. Spleen is well forward in front and below stomach. It is much enlarged, soft, tough, has a smooth, tense capsule. Section 328surface shows homogeneous purple pulp with faint, narrow but tough trabeculæ. Follicles distinctly outlined, slightly large but merely of a slightly paler purple than pulp. On surface are many round 2–5 mm. sharply outlined gray thickenings of the capsule and immediately subjacent pulp. The right kidney’s lower half has been replaced by a thin-walled clear cyst 3 × 2.5 × 2 cm. The left kidney is small, capsule strips with difficulty tearing surface slightly. Surface and section are mottled pink and gray, glistening and opaque. It is firm, dense and tough, cortex narrow, medulla wide. Cortex has obscure, irregular markings with few small cysts, striæ and glomeruli, faintly visible, margin between layers irregular. Veins are distended over surfaces of stomach, under surface of diaphragm, in peritoneum over liver but not in abdominal wall. Stomach contains sour gas and water. Mucosa especially near cardia is deep purple. Rugæ are large and permanent but mucosa and submucosa are soft and on section congestion does not extend deep. The tips of the rugæ near pylorus are infiltrated and the infiltration is surrounded by a zone of congestion. Mucosa seems about to slough but has not separated. At pylorus mucosa becomes deep brown-red, dense, swollen, opaque and covered with a slimy, soft brown mucus. Folds are prominent but temporary. In jejunum and ileum mucosa is still swollen and opaque and rugæ are still larger than normal and temporary with a dense sensation on compressing them. The color is not brown but deep pink and yellow with areas of submucous injection. Follicles not visible. Colon is negative except for slight thickening of mucosa unaccompanied by congestion or opacity. Lymph glands of small omentum are small, firm, yellow, homogeneous; those of the mesentery are large, edematous, yellow brown and tense with lymph which escapes on section. Lymph channels up to mesenteric stalk can be traced.

Histological Notes.—Liver architecture much altered by passively dilated hepatic capillaries chiefly toward the centre of the distorted lobules. This distortion is in the form of irregular liver columns separated by irregular vessels and interlobular connective tissue. This latter is increased everywhere but is abnormal in distribution within the lobules. The connective tissue at the portal spaces is not so much increased but it shows most around arteries. Bile ducts seem not increased in numbers. Much bile pigment in large, coarse, dark brown masses chiefly settled within portal spaces. The cells show slight fatty infiltration. No multinucleation. Organ is not seriously robbed of functionating tissue. Alterations are not equally distributed over section. Spleen shows enormous congestion with edema of the few chords and perifollicular tissue left unengorged with blood. Follicles are negative. No connective tissue increase. Blood destruction not now active but there are many hemosiderotic masses irregularly scattered. The subcapsular areas are loose edematous follicles. Heart muscle fibres have lost all transverse striations, some are hyaline while others are fibrillar. The nuclei are decreased in number but there is no increase 329of connective tissue nuclei. No pigmentation. There are several areas of round and polynuclear cell infiltration and one distinct abscess in section. The perivascular tissues are edematous. Muscle fibres are large and wide. Thyroid made up largely of slightly enlarged acini in most of which a slightly eosin-stained hyaline collection is found. There are a few cysts containing a thrombus and hemorrhage. There are no typical colloid cysts. Some scars from old hemorrhages may be seen. There is much free blood in and between acini. Blood pigment free and in granule cells is abundant. Some acinus cells show fat droplets. Lung shows old interstitial tissue increase especially about vessels and a few scars, some of which are forming cartilage. These are deeply encapsulated. Mesenteric lymph nodes show trabecular thickening with active connective tissue formation which is also present about follicles and along edges of chords. Follicles lack germ centres, solidly lymphatic. About them and in and along chords are many tissue cells some of Maximov type and a few eosinophiles. Many of these and endothelial cells are phagocytic of red blood cells. (Fig. 32.)

Just at the time of completing this book another case strongly resembling exophthalmic goitre in man was encountered in a Gray wolf (Canis lupus). This animal had a history of enlarged neck and enlarging abdomen for about six months. His appetite and discharges remained about normal but weight was lost and activity reduced to a minimum. Attempts at removing the fluid believed to be in the peritoneum, by the use of diuretics, failing and the beast being in such poor shape, he was killed. An enormous adenomatoid goitre, concentric hypertrophy of the heart, passive dilatation of all cervical and thoracic veins, passive congestion of the liver and congestion of the portal area were autopsy diagnoses. It will be noted that no exophthalmos and nervousness were observed during life.

Bone disease and atheroma are at times associated with thyroid insufficiency in man. The former, aside from osteogenesis imperfecta of cretinism, occurred only once in a carnivore and once in a marsupial. There is but one case of atheroma among the sixty cases of thyroid disease.

The reaction of the avian thyroid in its hyperplasias is somewhat different from that of the mammalian. The 330delicacy of the septa and the relative paucity of vessels is perhaps the reason that the gross and microscopic pictures differ from those found in mammals. It should be emphasized, however, that while one can perceive a hyperplasia of the gland of both classes when the testes or ovaries are active, there appears less participation of the thyroid in birds in infectious diseases than is the case for mammals. In simple functional hyperplasia the capsular vessels are prominent, but the cross section need show no change. In the continued hyperplasias the organ remains more solid, being less apt to develop cysts; large cysts are occasionally seen, however, and in one case the entire gland was composed of them. Microscopically the differences are largely of degree in that the process is less frank in development, but the essential changes of swollen epithelia and condensed colloid remain the same.

Atrophies.

The thyroid gland in its functional capacity, may be considered to undergo hyperplasia and then atrophy of the parenchyma cells. Normally this would leave the colloid, the epithelia and the supporting tissue in proper balance, but in the presence of low grade inflammation or where an abnormally hyperplastic process retrogresses, the connective tissues may exceed their norm, the epithelia may be shed or remain high and the colloid be irregular in distribution. Such a state of atrophy may exist in fetal life, arise from unknown cause during a course of toxic goitre, or perhaps insidiously in chronic toxic conditions. When this occurs in fetal life cretinism or myxedema arises, when in later life, only the latter appears. Judged entirely by microscopic findings, eight instances of atrophic changes in the thyroid have been found. Three of these were in Carnivora and were secondary to definite goitres, but were not followed by myxedema; one of these three was a cretin. A brother of this cretin but not himself a cretin, died at the age of five months from acute dilatation of the heart, and with a decidedly atrophic thyroid gland. A lion showed a distorted gland, the result of chronic inflammation, a condition also present in a leopard, in the latter possibly in association with a general infection of the heart, vessels and kidneys of long standing. A case in a bear can only be explained on the basis of chronic intestinal toxemia. A camel is the only other variety of animal to show this regressive change. The beast suffered with a marked anemia with marrow atrophy and hydatid disease; calcification was found in the thyroid.

Fig. 33.—COLLOID GOITRE WITH HEMORRHAGE FROM LEFT GLAND WHICH KILLED THE BIRD. BLACK AREA IS CLOTTED BLOOD. MUTE SWAN (CYGNUS OLOR ♂ ).

Fig. 34.—AT THE LEFT, THE INSIDE OF THE CALVARIUM SHOWING HEMORRHAGIC PACHYMENINGITIS. AT THE RIGHT IS A FEMUR, SHORT AND HEAVY BUT WITH THIN CORTEX; CONSTRUCTION IS ORDERLY. CRETIN GRAY WOLF PUP (CANIS MEXICANUS).

331As has been repeatedly stated, myxedema has not been seen, but hypothyroidism has expressed itself in these animals as cretinism. The most interesting pathological fact concerning the relation of the thyroid to this maldevelopment is that there is absolutely no uniform gross or microscopical change constantly present in the typical cases. This will become more evident as the following records of our cases are perused. In 1914 an apparently normal Gray Wolf bitch threw two normal young ones which died of lack of maternal care; they were not posted. The father of this litter died shortly and was found to have a sarcomatous hyperplasia of the thyroid. A year after the first lot a second litter was born of an apparently perfect father which still lives. This animal was purchased in the same lot with the mother, and the two could be related. The first father was not related to the female. This litter consisted of seven, two dying almost at once and burned, the other five not being especially good specimens. They died at ages ranging from two to five months and were all cretins or cretinoid. Two showed hemorrhagic pachymeningitis, one external, one internal, and the usual bulky skeleton of cretinism (Fig. 34). The bones were constructed in a rather orderly and somewhat graceful manner, the uncalcified epiphyses being only occasionally distorted. The same two animals, mated again in 1916, had as offspring seven pups. One 332evident cretin was killed while another runt was sacrificed and found to have fractures of both femora around which no trace of callus was discoverable (Fig. 35). Two other cubs were apparently normal, while the remaining three did not develop and soon showed the cretin characters. When this group was about three months old they were fed chopped horse thyroid; one improved decidedly, one slightly, the third not at all, but it might have been too weak to get its share. These animals lived from eight months to three years; the two good ones remain alive. In 1919 the mother was killed by her cubs, probably because she was weakened by long sickness. A papillary adenomatoid goitre, endocarditis, nephritis and chronic enteritis were found. The pathological changes in the thyroids of the cretins were as follows: In the second litter two cubs had hyperplasia with colloid, one had nodular adenomatoid change and the fourth showed distinct atrophy secondary to colloid increase. In the third group two had distinct colloid changes, once pure and once as a secondary process with some evidence of atrophy to alter the fibrous tissue and shape of the acini. The remaining four seem to be all colloid in character, but I am not satisfied with the description or sections so that I shall not offer an unqualified diagnosis. The adrenals of these animals all showed some medullary congestion but no change in the chromaffin or lipoidal content.

The deformative lesions of bones are frequently associated with lesions in the pituitary body. Several of our thyroid cases have been studied for such changes without their discovery. Indeed no gross alterations have been noted among many hundreds of hypophyses seen in removing the brain nor in a small number studied histologically. Those examined under the microscope have seemed to correspond to the descriptions given by Stendell in Oppel’s Handbook of Comparative Microscopic Anatomy.

Fig. 35.—PATHOLOGICAL FRACTURE OF FEMUR. CRETIN GRAY WOLF PUP.

Fig. 36.—ADENOCARCINOMA SARCOMATODES. ADENOMATOUS PORTION ATTACKING CAPSULE. RACCOON-LIKE DOG (CANIS PROCYONOIDES).

333

Tumors.

True malignant hyperplasias of the thyroid epithelium in man are being more thoroughly studied in recent times so that similar lesions in the lower animals gain interest. The notes given below are of value as individual observations only, but since three were in carnivores, another indication is at hand of the vulnerability of this order. One of the cases is admitted upon diagnosis alone, the slides and records having been lost, but since the determination was made by Dr. C. Y. White, I am satisfied to accept it. The four of which notes are at hand are as follows:

Raccoon-like Dog (Canis procyonoides) ♂ . Adenocarcinoma sarcomatodes. Metastases to liver and lungs. Fatty degeneration of liver and kidney. Acute diffuse splenitis. Submucous hemorrhages in stomach. At level of thyroid cartilage on each side and removed 1 cm. from same is a rounded encapsulated nodule measuring 2.5 × 2 × 1 cm. Portions are hard, others fluctuate suggesting cystic degeneration. Below these nodules are two bodies also bilateral, evidently lobes of thyroid, each measuring 5 × 2.5 × 2.5 cm. They are firm with some foci of cystic softening. From a ruptured cyst of the right lobe grumous, red, malodorous material exudes. Peripheries of such cyst show greenish discoloration. Bodies as a whole are greenish black in color. They are well encapsulated, do not meet in midline but are joined at lower pole by firm, apparently colloid, material. All through lung especially under pleura there are dark red, rounded, firm, well circumscribed foci measuring 2–8 mm. diameter. They project markedly on pleural surface. No capsule can be made out. Upon incising they have lighter red centres and deeper peripheries. They cut with resistance and have no inclination toward a wedge shape. Surface is for most part smooth except where tumors are present. Organ is soft and distinctly yellow. All portions of liver contain rounded and irregular nodules, some deep, others superficial. They vary in size from 2 mm. to 3.5 cm. diameter. No capsule can be made out, yet they are circumscribed. The central portions of larger nodules are dirty gray and friable. Peripheral parts dark red. Smaller lesions are solid red and of fleshy consistency. Spleen is deep dark red, homogeneous. Histological section of thyroid shows firm, old, dense capsule very irregular in thickness seemingly on account of the penetration of the enclosed tumor cells. Such infiltration gives the inner outline of capsule a very irregular, bizarre appearance, and at times thins the capsule until it is reduced to nil. In one place the tumor elements appear outside the capsule at a point where a large vessel is apposed to outside capsule. The appearances within this capsule 334vary; in places the picture is that of a carcinoma. Small, round, interspersed with larger irregularly shaped acini are seen lined by a single layer of low cuboidal epithelium. Very frequently indeed the lining cells contain fine granules of golden brown pigment even where their lumina contain no blood. Some of the larger acini contain altered blood cells and a smooth, pink material, knife streaked and vacuolated peripherally. In some parts of section these acini are regular and well formed, in others they are very irregular and appear to be eroding the capsule. A second appearance concerns the connective tissue. Appearing in almost any part of the section and bearing no regular relation to the epithelial elements or the section in general are areas of closely packed large spindle cells with hyperchromatic nuclei. In another place such spindle cells are arranged purposefully to form irregular capillaries containing blood. A third appearance results from a combination of the first two. Here there are acini, between which run blood capillaries with remarkably rich and numerous embryonic lining cells. A section stained by Van Gieson stain proves that part of the pink intra-alveolar material is colloid. Every gradation can be made out in tint of this material from pink to salmon to orange. It is often very difficult or impossible to state whether a given blood-filled space is a blood vessel or an acinus with hemorrhage. In both structures the lining consists of flattened cells. In one there is the possibility of colloid, in the other of hematogeneous hyaline, both with peripheral vacuolization. Lung shows walls of alveoli thickened by young type of cells. Nuclei of cells lining bronchi are prominent, in good condition. Much coal pigment through whole section. Air sacs empty. There are several rounded nodes through section consisting of closely packed spindle and round cells. Blood is abundant in such nodules both in small lined spaces like capillaries and in larger necrotic foci where there is abundant blood pigment. In one place an irregular, large acinus is seen containing a smooth pink material. A large part of the interstitial tissue is diffusely infiltrated by the large, round cells with hyperchromatic nuclei (Figs. 36 and 37).

Prairie Wolf (Canis latrans) ♂ . Mixed tumor of thyroid. Metastases to lungs. The neck of the animal is enormously enlarged, the diameter exceeding that of the body. Thyroid is enormously enlarged to about the size of a child’s head, rather firm before incision. When incised about 300 cc. blood stained fluid drained. It is rather soft and quite friable looking as if made up of fatty and hemorrhagic matter. The lung is of mottled deep red color with here and there on surface small hemispherical areas about the color of the surrounding tissue but of slightly increased resistance. They are raised above the surface and measure 2–7 mm. in diameter. Histological section of thyroid shows a mixed tumor. It is not possible to say that it is a pure thyroid gland tumor. It is largely sarcomatous, the round cell alveolar arrangement dominant at one place, at another the short spindle cell but not typical, so-called spindle celled type. There are many areas of small and a few of large hemorrhage. Cartilaginous deposit is occurring at some places in the field showing the latter type of sarcoma. Section of lung contains a large sarcoma nodule. The cells consist of round cells without the large cartilage-like cells found in the original tumor mass.

Fig. 37.—ADENOCARCINOMA SARCOMATODES. SARCOMATOUS PORTION. RACCOON-LIKE DOG (CANIS PROCYONOIDES).

Fig. 38.—ADENOPAPILLOMATOUS HYPERPLASTIC PORTION OF THYROID. UNDULATED GRASS PARRAKEET (MELOPSITTACUS UNDULATUS).

335Coypu (Myocastor coypus) ♂ . Sarcoma of right thyroid. The thyroids occupy a position deep in the neck upon the anterior vertebral muscles, the left higher than right, being up to level of top of thyroid cartilage. Only a half-inch of lower pole of right remains and it is like the left which is soft, deep brown-red, delicately lobulated, closely bound to trachea but movable in fascia. It is 30 × 10 × 3 mm. The upper part of the right organ is occupied by, or at least within the same capsule as a 25 × 15 × 10 mm. encapsulated, pink mass with many small vessels on its exterior. It is soft and on section the surface is mushy, of gray-pink-yellow, and seems to have an exceedingly delicate trabecular network. Posterior and superior to this, lying near the salivary glands but back of them is a similar mass 15 × 12 × 5 mm. Still another lies anterior to what remains of the right thyroid and is about 8 × 5 × 4 mm. The adrenals are 30 × 13 × 8 mm. slightly hard and not unlike a long kidney in arrangement. The cortex is wide, regular, brown or tawny, the medulla rich in vessels and deep brown. Histological section of thyroid is an almost completely cellular mass with here and there delicate and incomplete trabeculations. Small blood vessels are numerous and consist of a delicate line with a cell nucleus here and there, that is no true wall. It seems as if the blood channels were simply regular spaces through the cell mass. The cell type is mononuclear with definitely acidophilic “granuloid” somewhat vacuolated protoplasm. The nucleus is almost without exception eccentric, rather poor in chromatin but in places diffusely staining. Mostly, however, the nuclear skein is in spots or threads and fairly dense around margins, therefore not unlike a thyroid cell and a plasma cell. Here and there one finds compressed remains of thyroid acini. There is decided irregularity of size and shape in these cells. Its origin is not clear but this seems like a sarcoma of the thyroid.

Undulated Grass Parrakeet (Melopsittacus undulatus) ♂ . Medullary carcinoma of thyroid. On opening the body a mass 10 × 6 × 4 mm. is found in the upper thoracic region on the right side. A similar mass measuring 5 × 3 × 2 mm. lies in similar position on the left side. They are identified as thyroid glands only from their position and from the numerous large vessels which radiate from them. An especially large vessel leads directly to the heart. Long axes extend anteroposteriorly. The masses are of a firm gelatinous consistency, the color of carpenters glue in lower portions, shading off to a dirty canary yellow above. They have a translucent appearance in lower portions. The surface is fairly smooth, adherent latterly and posteriorly. They are well circumscribed. At one end of the histological section thyroid tissue 336is easily identified. It varies from normal in that its spaces are often very large, contain villus projections or may be completely filled by large compound granule cells with no colloid. Other acini are atypical and contain typical colloid. Continuous to such thyroid tissue is a very large, rounded tumor. It consists of round cells with round nuclei in which many mitotic figures may be seen. An arrangement into acini cannot be made out nor is colloid material abundant. In one or two places an irregular collection of such material may be seen with peripheral vacuolization but its confines are always indefinite. As far as section goes the mass is well encapsulated but the lymphatics are infiltrated by the tumor cells. The tumor, too, is sharply separated from the relatively normal thyroid. Irregularly scattered through section are remarkable cells with nuclei three or four times the size of other nuclei. They may be hyperchromatic or normally staining. (Figs. 38 and 39.)

The THYMUS BODY is a structure encountered in our specimens with greater regularity than is the case in human autopsy experience. However, no great size of the gland is observed, and there is no record or recollection of anything which could resemble an enlargement suggesting status thymicolymphaticus nor has a tumor with this organ as its origin been observed. In one case only did the thymus present what was believed to be an unusual size. An adult Gray Lagothrix (Lagothrix lagotricha) died with an acute intestinal infection. Its thymus was a large, soft, deep pink body lying in the anterior mediastinum, running up to the clavicular joints and down along the sternum. The death had ample explanation without any state of this organ. The thymus body has not been found enlarged in association with thyroid disease.

Fig. 39.—MEDULLARY CARCINOMATOUS PORTION OF THYROID. UNDULATED GRASS PARRAKEET (MELOPSITTACUS UNDULATUS).

337The SUPRARENAL or ADRENAL BODY is an organ of essentially the same general construction in the two classes here studied except that in birds the cortical portion may be imperfectly developed and in some of the lower groups is decidedly narrow. This outer zone may indeed be entirely missing since tissue comparable to it is distributed elsewhere in the body, notably with ganglia along the vertebral column. The organ is infrequently the seat of alterations, detectable either grossly or microscopically. Congestion and small hemorrhages are rather common in acute infectious disease especially when the respiratory system is involved, but these rarely destroy tissue or materially reduce the chromophilic cells. These circulatory disturbances have, however, been predominatingly among the mammals although birds have suffered with infections to a high percentage. The medulla is much more often the seat of congestion while, when hemorrhage has occurred, the cortex is apparently always involved. Lipoidal reduction has been seen in a few mammals, Primates and Carnivora, once to a state of complete exhaustion. More serious lesions have occurred eleven times, and since the cause and meaning of disease in this body are so vague it seems well to recite briefly each one.

A Weeper Cebus (Cebus capucinus) suffered for several months with constantly but slowly increasing skeletal deformity of the osteomalacic variety. He died after moving him to a new cage, his end being hurried by a scalp wound. At autopsy the skeletal condition was determined to be of the above named kind. The organs were in good condition. The adrenals were decidedly enlarged for a monkey of this size, measuring 1.8 cm. in length. The medulla was a solid, brownish, homogeneous portion covered with a very narrow, barely discernible cortical zone. This was apparently due to a uniform hypertrophy of the cells of the medulla. The testes were slightly atrophied and fibrotic. A Black Spider Monkey (Ateles ater) had a history of stiffness of legs for six months. This was probably a sign of osteomalacia since at autopsy this condition was found together with a secondary anemia, chronic gastritis, acute enteritis and brown atrophy of heart. The adrenal was knob-shaped, the cortex was wide, brown, regular, the medulla small gray-purple. “Histologically the capsule of the adrenal is thicker than is commonly seen in Primates and connective tissue bands between the units of the zona glomerulosa 338are somewhat stouter than common. The cells of this layer take the stain a little more deeply than usual, but are otherwise negative. The layer separating cortex and medulla is occupied by a band of well formed connective tissue which is not proceeding inward but outward and so encroaching upon the zona reticularis as to remove it completely in places, in others to make isolated islands of its cell groups. Fine lines of connective tissue are penetrating from this into the middle layer but not disturbing it as yet. The connective tissue septa penetrating the medulla are somewhat wider than one would expect but show no activity in their growth. The medulla is somewhat broken up, vacuolated and the chromophilic cells are not especially prominent, indeed some of them seeming to have undergone necrosis.” A puma (Felis concolor) died after a sickness of two weeks from acute gastroenteritis with its usual visceral associations, including acute nephritis, and with calcifications in the adrenals. These structures were quite firm and nodular, on section tough and resilient. “The cortex is irregular, brown, with paler brown medulla. Areas of calcifications appear as small dots, as linear formations and in some places seemingly around blood vessels. Histological section shows marked vacuolization of cells, particularly of cortex. There is a diffuse overgrowth of connective tissue which has become hyaline. Here and there small calcareous deposits may be seen but no massive areas as mentioned above.”

A Himalayan Thar (Hemitragus jemlaicus) came to his end, after a history of convulsions, from nephritis, which had resulted in general edema including the serous sacs, and an associated cardiac dilatation. His adrenal was egg-shape, of normal size, with a wide, irregular dull brown cortex and a homogeneous opaque, darker brown medulla. “Histologically the cellular structure of the cortex is partly destroyed, partly 339dropped out and partly disturbed by overgrowth of connective tissue. This connective tissue is quite prominent in the medulla where it is surely increased although it is made more prominent by absence of cells, some of which have been degenerated and some dislodged.” A Japanese Macaque (Macacus fuscatus) after drooping three weeks presented at autopsy the following numerous lesions: anemia, chronic atrophic gastritis, atrophy of heart muscle with regeneration, hemosiderin pigmentation of liver, perilobular fibrosis of liver, chronic diffuse nephritis (subcapsular type), congestion of spleen, fibrillar fibrosis of spleen, hemosiderin pigmentation of spleen, local amyloid infiltration of spleen, calcareous infiltration in medulla of adrenal. Grossly the adrenal showed a thick, orange yellow cortex and small solid, brown medulla. “Histologically the organ appears normal in all respects save for the presence of a few small irregular areas of calcification in the medulla. These occur apart from any recognizable necrotic or fibrous areas. In one place one appears to lie within the lumen of a blood vessel. No fibroses or special congestions found anywhere in the organ and cells show normal details and normal numbers of vacuoles.”

A California hair seal (Zalophus californianus) which had been refusing food and having loose stools for about ten days presented after death the following diagnosis: Hypernephroma of adrenal, chronic hypertrophic enteritis with acute exacerbation, hemorrhagic splenitis, passive congestion of liver, congestion and edema of lungs with catarrhal pneumonia, acute fibrinous pericarditis, chronic lymphadenitis, chronic interstitial nephritis. His right adrenal seemed about normal, being 5 × 2 × 1 cm. with a narrow, dull yellow cortex and a large mottled gray-brown medulla. The left one was 5 × 3 × 1 cm. The upper pole is swollen and contains in its centre a spherical tumefaction 340which is red, mottled, sharply outlined, with a suggestion of a capsule and slightly firmer than surrounding organ. “Histological section shows a capsule of very noticeable thickness but possibly not much in excess of normal. The cortex particularly in its deeper layers is much injected and in some places there has been hemorrhagic diffusion. In many places in the zona fasciculata, more especially near the periphery, there is breaking up of the cell tubes with an infiltration of large round cells and some chromatophilic cells. In other places this seems to have gone on to fibrous tissue increase and necrosis of the cortical fibrous cell types. The connective tissue layer below the cortex is wide and the spaces filled with blood. This connective tissue also surrounds islets of medullary cells which are not specially chromatophilic. The mass in the medulla is made up of varying sized alveoli surrounded by rather rare, highly vascularized connective tissue and enclosing islets of medullary cells. These alveoli may be subdivided by septa. Hemorrhage has occurred into many of them. The individual cell masses are made up of groups of rather large cells with illy defined margin, a granular, opaque but not vacuolated protoplasm. They have a bladder-like nucleus in which the centrosome is large and prominent. Definite mitotic figures could not be found, but mitosis is probably present. A few cells with double nuclei were seen and one with four. In many of these large islands the centre has gone to pieces from hemorrhage or necrosis. Some of the vessels are thrombotic and one shows a very pronounced periarteritis.” A brown cebus (Cebus fatuellus) was killed because of a poor tuberculin test chart. His organs were negative except the right adrenal body which was 3 × 1.5 cm., or four times the size of its fellow. It was a tense body with a smooth, mottled, deep yellow surface. On section there were deep yellow islands separated by pale brownish septa; the structure did not 341resemble adrenal. Histological section showed a hypernephroma of vacuolated cell type, roughly alveolar. Two other cases, which because of their microanatomy are to be called hypernephroma can be added to those just cited. One occurred in an undulated grass parrakeet (Melopsittacus undulatus), the other in a black duck (Anas obscura). As illustrative of this tumor the former will be cited in brief. “Hypernephroma of adrenal with hemorrhage into body cavity. A tumor approximating in size the head of the host extends from the region of the internal genitalia and adrenals lying more on the right than on the left side extending fully to cloaca and shoving all abdominal viscera forward. It has a pedicle springing from between the two upper lobes of the kidney where adrenals and internal genitalia are not distinguishable. Tumor is coarsely lobulated, well encapsulated, nowhere adherent. It has a pale, dirty yellow color, richly marked by red lines of congested vessels. It is fairly soft, i.e., about consistency of normal liver. Upon incising, the cut surface bulges markedly, is a dirty gray-yellow, blotched with darker gray areas, shows no internal hemorrhages or markings of special import. No metastases noted to any other organ. Microscopic section shows a light capsule surrounding the tissue of the tumor. The latter has a very scanty fibrous reticular framework showing no orderly or purposeful arrangement. Upon and between the reticulum, irregular and for the most part elongated collections of cells are placed. At times these present an elongated fascicular form, but this is not by any means a prominent feature. The cells themselves are large, rounded or polygonal, have coarsely granular cytoplasm which only in rare cases contains vacuoles. Nuclei of these cells stain very poorly, but it can be made out that they are of large epithelial type and of vacuolar appearance.”

A somewhat unusual tumor was encountered in a Polar bear (Ursus maritimus), an adenocarcinoma of the 342adrenal, when judged purely by its histology but a secondary tumor in the lung displayed the more familiar picture of large vacuolated cells as seen in hypernephroma. The diagnosis follows: “Scirrhous adenocarcinoma of adrenals, secondary carcinoma of lymph glands, secondary hypernephroma of lung, secondary carcinoma of diaphragm, acute mucopurulent bronchitis, acute catarrhal enteritis, chronic diffuse fibrous cholecystitis, cholelithiasis, slight acute interstitial pancreatitis, follicular hyperplasia of spleen with fibrosis, hydrothorax, hydropericardium, chronic hypertrophic osteoperiostitis, encysted trichina in diaphragm, fatty infiltration of diaphragm, chronic diffuse nephritis, chronic productive lymphadenitis, pigmentation of lymph gland. Both adrenals are smaller than normal, of woodeny consistency, the pale cortex and medulla are poorly separated from each other. The cut surface shows gray white and tawny mottling and occasional calcareous points. Histological section shows an extra capsule of fibrous tissue containing highly distended veins; the lining contains masses of tumor cells, many of which are necrotic. It is distinctly denser in type than normal and more abundant in places showing a proceeding fibrosis. Parenchyma shows but few irregular islands containing non-neoplastic cells, some of which are highly vacuolated, others are not. Interstitial tissues in peripheral parts are often grown together with the deeper portion where are intermixed tumor areas. The latter consist of small round acini of variable size lined by cells of active type. Nuclei are large and hyperchromatic, cytoplasm broad and disintegrating. Parts show necrosis and hemorrhage. Upon search transitionals from non-neoplastic to neoplastic cells can be discovered in same fasciculus.”

343

SECTION XII
THE SKELETON AND ITS JOINTS

The bones with their articulations have been the subject of extensive study and research by zoologists in the direction of classification and evolution. Adaptation of the osseous construction to the needs of the animal is well appreciated biological knowledge. For example, the keel of the sternum in birds affords broad origins for the flying muscles, the pectorals, which also insert on the alæ of this bone and on the clavicle, and in addition use these latter formations as fulcra. So too the extremities of quadrupeds are angular in their upper two segments for the purpose of supplying a direct action of the flexors employed in running and leaping. The thick masseter muscle of carnivores is accommodated in the deep zygomatic fossa. Many other examples might be cited, but these serve to direct attention to the adaptation of function and construction. Pathological changes in our materials are however too few to permit conclusions as to possible relation of zoological position and development except such as may refer to deformity incident to the degenerative processes—rickets, osteomalacia and osteogenesis imperfecta, and in these conditions the alterations are merely passive accommodations to weakened support in order to obtain comfort. To put the matter in other words, it would seem that, aside from the diseases just named, there is no outstanding change in the skeletal tissues peculiar to zoological orders that might indicate vulnerability of the system or the methods of response to injury or disease.

Effects of Trauma.

There must be considerable reserve or reconstructive power in the bones of animals since it is a common thing at autopsy to see unmistakable evidences of repair of 344fractures, dislocations and inflammations. Some illustrations are introduced to exemplify this healing ability, one of which was found in an animal shot by a hunter, the other an incidental autopsy discovery. Even though there be no definite relationship between the zoological order and osseous disease, it is interesting to record a very simple observation. Animals with long extremities, especially when the bones are quite near the skin, have a rather high incidence of fractures and inflammations. Thus the ungulates have of all orders the highest percentage of these traumatic and infective lesions; herons and gallinaceous birds follow the ungulates. Marsupials, primates and carnivores, in this order, are susceptible to inflammations but not to fractures. Bones are often broken, among the Cervidæ, Bovidæ and Camelidæ, when as they are chased by mates, they fall upon the slippery floor of the cages; or again the mounting of a small animal by a large buck may crush the former to the earth. Two cases of fractured pelvis have been seen in antelopes from a fall with extended hind legs.

It would seem that repair is usually satisfactory if the animal has a quiet retreat where callus may form and union occur. A heron is known to have broken both bones of the leg; at autopsy a very insignificant circumferential callus remained, the member being as straight and strong as normal. Figure 40 shows the femur of a deer shot by a hunter; the shortening was considerable, but function was doubtless good because the hunter could perceive no limping as the animal ran. The most interesting fracture among our records was an intracapsular fracture of the hip in a Huanaco (Lama huanacos) shown in Figure 41. This animal slipped on the ice in December and was thought to have broken something near the hip, but it limped around without any great show of pain until the following May, when it died of meningitis secondary to an otitis media et interna. At autopsy an unhealed, complete fracture of the neck of the right femur was found, apparently separating the head from the neck, the former being dislocated to the upper angle of the obturator foramen. Everywhere about the joint callus had been thrown out, but not in a manner to effect a junction of the broken ends nor to seal the edge of the acetabulum to the femoral neck. This was probably due in part to the irregularity of the line of fracture and to the interposition of the upper part of the dislocated head between the lower rim of the acetabulum and the surgical neck of the bone. When the specimen was fresh traces of capsule were found over the upper half of the acetabulum. While it is usually difficult to decide the manner in which these injuries effect their damage and deformity, it might be ventured to explain this case as due to extreme posterolateral extension of the leg driving the head of the femur downward and inward, rupturing the capsule and the ligament bridging the acetabular notch, to rest on the pubis at the upper edge of the obturator foramen where it could find a sort of joint cavity made by the pubic and ischial segments of the old acetabulum, but about an inch and a half below its normal location.

Fig. 40.—HEALED FRACTURE OF FEMUR. FROM A DEER SHOT BY A HUNTER.

Fig. 41.—PARTIALLY HEALED INTRACAPSULAR FRACTURE OF HEAD OF RIGHT FEMUR. HUANACO (LAMA HUANACOS).

345Another injury to the hip joint was noted in a Livingstone’s eland (Taurotragus oryx livingstonii). This beast was not positively known to have fallen, although it was suspected that such an accident had occurred by reason of sudden inability to rise. At autopsy, death having succeeded on signs of shock, a complete upward and backward dislocation of the right femoral head was found; there was also an intracapsular rupture of the left round ligament, but on this side the femoral head had not left the acetabular cavity.

Many other fractures have been observed but generally without interesting features. The conclusions which may be drawn from our experience are that animals with long bones, and liable to chase have the greatest liability to fractures, and that the healthy beast, 346given seclusion and quietude, possesses great ability to heal its broken bones. Pathological fractures are occasionally seen. (Consult notes on cretin wolves.)

Before entering upon a discussion of the most important of osseous lesions, rickets and osteomalacia, certain inflammatory states may be appropriately described.

Inflammations.

Hypertrophic osteoperiosteitis: A male lion (Felis leo) at the Garden three years died, after being out of condition for a long time, from chronic ulcerative pulmonary tuberculosis with terminal pneumonia, nephritis and enteritis. Both hind feet had been observed as enlarged and apparently painful for some weeks before death. Upon dissection the bones of both hind feet are the seat of extensive hypertrophy, and the periosseous fibrous tissues are thickened. A large mass about the size of a small orange lies attached to the outer side of each ankle. The hypertrophic periosteitis extends up the tibia a distance of about three inches and the fibula for about the same distance. These two bones are adherent to each other for about 1½ inches. The joint between them and the tarsal bones is apparently perfectly free. The calcaneum is the bone most severely involved; on this is a large rounded mass which extends on the bone for a distance of about 2½ inches. The small bones of the foot are more or less severely involved but are not bound together, the joints being practically free. The terminal and next phalanges are entirely free from disease while the metatarsals are severely involved and grown together into one large mass. On section this appears as a mass of spongy bone lying on top of the cortex. In the dried specimen this looks very like old pumice stone. Histological section shows the periosteum raised from the bone by mononuclear infiltration. The bone marrow spaces are filled by a very delicate gelatinous material. The lamellæ are thickened. A photograph of the foot with a normal example is given. (Fig. 42.) (See also Tuberculosis section—Carnivora.)

Fig. 42.—HYPERTROPHIC PERIOSTEITIS. RIGHT HIND FOOT WITH A NORMAL LEFT. LION (FELIS LEO). THIS CONDITION WAS ASSOCIATED WITH CHRONIC PULMONARY TUBERCULOSIS.

Fig. 43.—MARKED SCOLIOSIS IN A COCKATOO.

347A cockatoo died from acute miliary tuberculosis; the upper thoracic and lower cervical vertebræ are involved in an S-shaped scoliosis which reduces the height of the thorax by perhaps a centimetre. Thorough dissection was not made, the trunk being kept as a museum specimen and for study in event another avian scoliosis occurred; but from palpation, separation of the muscles and stretching of the spinal column it does not appear that a tuberculous osteitis of the vertebra existed. It seems that this may be due to congenital deformity or old injury.

A white-nosed coati (Nasua narica) suffered with generalized tuberculosis which also affected the wrist joint with a caseous and ulcerative arthritis.

Gouty arthritis has been recorded but three times, although on several occasions small uratic deposits in tendon sheaths have been observed in birds; gout has not been seen in mammals. An illustrative case in a Boat-billed Heron (Cancroma cochlearia) will be given in the section on gout.

Arthritis as an acute infectious disease such as rheumatism of the human being, has not been observed, but copious examples of acute, subacute or chronic monoarticular inflammation are recorded. Nearly all of these have a definite explanation—traumatism or acute general disease, and there are a few cases of polyarthritis with chronic disease. Notable among the last are two instances of chronic dry ossifying arthritis and synovitis, one with tuberculosis, the other with actinomycosis, both occurring in ungulates. A third case similar in character deserves special mention. The Indian elephant “Bolivar” (Elephas indicus) died from pulmonary tuberculosis, myocarditis, nephritis and hepatic cirrhosis. The joints of all extremities showed atrophic arthritis with fluid, the synovial membranes being ulcerated or retracted and fibrotic. The articulating surfaces where not roughened 348by erosion, were flattened. It is perhaps worthy of mention that this old and familiar animal was the occupant of the same enclosure, floored with cement, for over thirty years, conditions which might be partly instrumental in the arthritic changes as well as in the flattening of articular surfaces.

The Ungulata frequently suffer with wounds, ulcers and abscesses about the lips, nose, and soft tissues of the jaws which may at times be confusingly like actinomycosis. This disease we have seen in gazelles and tapirs but have had to exclude it in several other members of this order. A number have come to autopsy with osteitis of the lower mandible, some evidently traumatic in origin, others probably due to infection via the teeth. Figure 44 represents the jaw bone of an Isabelline gazelle (Gazella isabella) suffering with a rarefying osteitis from a root abscess, and illustrates well the possibility of focal infection from this source.

Degenerative Skeletal Diseases.

While the foregoing instances of disease in the osseous system are interesting examples of individual pathological lesions, they are insignificant in comparison with the forms of bony change known under the names of rickets, osteomalacia, osteogenesis imperfecta and the like—systemic conditions which are chiefly degenerative but have certain evidences of inflammation in addition. The modern knowledge of the first two named is so far from complete that it cannot be said that there is any certainty of their identity. Indeed there seem to be some reasons to think that there is more than one variety of rickets, that all cases are not dependent upon the same cause, and that in essence it is the same process as osteomalacia, the latter, however, occurring at a later age. We shall show that in the same order, Primates, both diseases may occur in animals fed upon the same diet, and that one family tends to have one disease, another family the other.

Fig. 44.—DENTAL ROOT ABSCESS AND OSTEITIS OF JAW BONE. ISABELLINE GAZELLE (GAZELLA ISABELLA).

349

Rickets.

Since the two conditions are diagnosed separately in veterinary practice and each seems to have a distinct place in medical ideas, it may be well to outline upon what criteria the two diagnoses have been made in this Garden. Rickets is essentially a disease of early life. The animal is noted as having a large head, squatty station, heavy extremities and a prominent belly. Death occurs as the result of enteritis or pneumonia. Occasionally such a young specimen seems to recover from the disease but retains the distortion of his skeleton; this is important, for we believe that osteomalacia, except the variety confined to periods of pregnancy, rarely ends in recovery when once thoroughly established. At autopsy the cranial bones are the seat of osteotabes, the face is broad, the epiphyseal junctions are swollen by irregular osteogenesis and granulation tissue, the periosteum shows an irregular fibrous tissue overgrowth—the last two processes producing bones of irregular contour and thickness. Section through the osteogenetic ends of the long bones shows actively congested marrow up to the articular cartilages with very tortuous strands of spongy bone or cartilage, and when considered transversely, there is a bone-forming layer of many times the normal thickness but bloody red instead of pink.

Osteomalacia.

Osteomalacia appears in mature animals or at least those well able to care for their own nourishment. The earliest observations are not referable to the skeleton but to the change in the activity of the beast. He will be noted as less active in running, jumping or searching for his food. The customary position is a sitting or lying one. No change is noted in the head or face. As the disease progresses, the animal becomes quite inactive, seeks solitude but will eat well if the food be conveniently available and he does not have to fight for it. The movements are 350stiff and seem painful. About this time definite alteration in the shape of the chest is perceptible, and in some cases there is anterior curvature of the legs. Movement becomes so difficult, probably from weakness and pain, that it seems as if paraplegia actually existed. The inability of affected monkeys to climb has given rise to the term “cage paralysis,” but this term should not be restricted to weakness, the result of osteomalacia since it is used by dealers and keepers to imply the cramped station and gait of an animal long housed in quarters too small for it, an appropriate application because it suggests cause and effect. However, the appellation is widely and loosely used insuring its employment in diagnosis for entirely different conditions such as degenerative bone disease and hind-quarter laming from enteric intoxications; for these affections one might use the term in an adjectival or descriptive sense.

Our Primate collection has suffered considerably with osteomalacia, and we have devoted much time to the study of its cause and treatment. However, the Garden is not alone in this experience, for wherever certain species are kept the disease appears. The description of cases in the New York Garden by Blair and Brooks[46] is excellent, and with the exception of data concerning the nervous system, almost exactly parallels our own observations. They lay much stress upon the changes in the brain, cord and ganglia as constant in well developed cases but as probably secondary to the osseous, hemic and metabolic disturbances. We have been unable to find any pathological lesions in four thoroughly studied brains and cords from well developed cases. As will appear later, our most satisfactory findings were in the dietary and metabolic chemistry and in the osseous pathology. The cases recorded by Campbell and Cleland[47] would seem 351to be undoubted instances of myelitis, but the osseous changes are not sufficiently discussed. In many cases it would seem, therefore, that there is some change in the nervous system, but there may be some examples without this and with predominant osseous lesions. We are inclined to think that these two groups differ qualitatively, and we look upon the confusion as demanding for its ultimate solution the use of exact nomenclature, especially the exclusion of “cage paralysis” as a diagnostic term. The only division we can understand at the present time depends upon the gross changes in the bones, those with and those without definite irregularities in contour due to periosteal overgrowth. Certain of the former may show no unevennesses at all, the deformity being due to softness of the skeleton. The other group has shafts of irregular thickness, swellings around the joints and much beading of the middle of the ribs.

Whether or not there be true paralysis is difficult to settle, but in our cases we have decided always in the negative because of the ability of the monkeys to grasp firmly with the hind digits. The animals tend to lie in one position, determined probably by comfort, the result being that they develop sores at the points of contact with their cage floor, and deformities of the skeleton (see Fig. 45). These deformities are especially well exhibited by the chest, the vertebræ and the pelvis and are referable to the almost constant squatting of the animal; the long bones may be bowed but not as much as in rickets, nor is the epiphyseal junction so knobby as in that disease.

The foregoing description is based chiefly upon observations on monkeys but may be closely paralleled in carnivores and rodents. These latter, however, lie rather than sit during the development of the disease, so that thoracic and pelvic deformity is relatively less than in monkeys. Death is due to enteritis, anemia, shock from fractures and respiratory inflammation.

352In so far as the deformities of the skeleton may serve to distinguish between rickets and osteomalacia, I can only point to the preponderance of changes in the skull and extremities in the former and of the trunk bones in the latter. Deformity of the chest, barrel-shape shortening and pigeon breast, is due more to posture than to the essentially osseous changes. “Rachitic rosary” may occur in both, but it is always better exhibited in rickets; in this disease the swellings occur at the costochondral junction, while in osteomalacia rosary-like nodules may develop anywhere along the ribs.

Examination of the anatomical lesions is, however, somewhat more helpful, and the following description for osteomalacia may be contrasted with that already given for rickets. The peculiar change is a thinning of the shaft of long bones and reduction of the subperiosteal plates of flat bones.

In mammals the long bones are more affected than in birds whose sternum, ribs and beak show the severest changes. The skull is frequently not affected to a serious degree, but may, however, show advanced lesions, the cranial plates being thinned in places so that they may be bent in, or occasionally a periosteal thickening may be found; the head as a whole is not misshapen. The ribs are softened and may be of paper thickness although there may be found a periosteal overgrowth, perhaps a kind of splinting, which makes the diameter variable. At costochondral junctions, beading may be found, but without the active congestion seen in rickets. Similar alterations may be found in the long bones, here in characteristic degree in that the shaft walls are thin, by removal of the endosteal and periosteal layers sometimes with definite retraction of the marrow. Occasionally subperiosteal thickenings, made of osteofibrous tissue are encountered. At the epiphyses there are strands of gelatinous tissue, fibrous and cartilaginous, separating pink or blood-red areas of marrow. These strands may contain calcareous matter and are probably the remains of the cancellated tissue. Despite all this activity at the ends of the long bones there is not the extreme prominence of articulations so characteristic of rickets. Gelatinous or cartilaginous islands may be seen in the deep red shaft marrow.

Fig. 45.—OSTEOMALACIA. MODERATELY ADVANCED CASE WITH HOWEVER WELL ESTABLISHED DEFORMITY OF THORAX AND PELVIS. THIS POSITION WAS CONSTANT FOR THREE MONTHS BEFORE DEATH. BLACK HANDED SPIDER MONKEY (ATELES GEOFFROYI).

353Fractures may be found and around them may form a blood clot or loose fibrous tissue entirely devoid of bone salts. If a break has existed for some time a very pronounced fibrous overgrowth from the periosteum is apt to occur, indeed an excessive fibrosis may exist, but this is ineffective for healing of the fracture or splinting of the shaft. Certain cases, notably in Carnivora, seem to have especial activity in and around joints so that when the member is dissected one gets the impression of osteoarthritis. In such cases the synovia may be fibrotic and the articular surfaces dry. The pelvic deformities are similar to those in the human being—lateral contraction with bending in of the superior rami of the pubis with the production of a beak, to which the name “duckbill” has been given. The anterior curvature of the lumbar spine makes an acute angle at the upper end of the sacrum.

Histological examination of a number of our cases of osteomalacia and rickets have failed to show any lesion different from those known for the human being and for domesticated animals. It is noteworthy that not all bones of a given case will show the changes to the same degree even though grossly they may seem comparably affected. So too there is no certain relation between the degree of deformity as shown by the body as a whole and the advancement of osteoporosis as seen under the microscope. These observations are in accord with those of Brooks and Blair. Just why this is cannot be stated, but as the cause of these two bone diseases may not always be the same, variations in gross and minute anatomy are not remarkable.

354Analysis of the bones shows a loss of calcium and an excess of sulphur and magnesium. The loss of the first is chiefly via the intestinal discharges but also via the urine. The metabolism of one monkey showed a high calcium and phosphorus loss with moderate retention of sulphur and magnesium.

Because of the importance of osteomalacia and rickets in cebus monkeys and certain other animals, Dr. E. P. Corson-White has been investigating its etiology. I shall refer briefly to her results as they affect our present subject but shall leave for discussion in the chapter on diet, which she has written, the broader question of food and systemic disease.

It must be understood that the instances included in this general discussion of degenerative osseous disease are cases of definite character and development. There may have been, in addition to the numbers cited in the list on page 357, many more animals at autopsy with early or unrecognized constructive or destructive abnormalities, and we are thoroughly familiar with the imperfect skeletal development of specimens, inbred or reared in captivity or even those adult when caught yet under Park conditions for many years. In these latter groups the changes vary from incomplete construction (an example of atrophy was quoted on page 24) to actual degeneration as in osteomalacia. Inbreeding seems to be a potent factor in many cases, a well known fact in human and veterinary medicine. The importance of inactivity in the causation of degenerative bone disease, the unused muscles giving the bones nothing to do, is certainly admitted but it is immeasurable. It is probably not great in a cage of mixed varieties of monkeys. The effect of the absence of sunlight in osseous degeneration is no factor in our material. The exhibition house is well lighted and many animals are out of doors all year around.

The ductless glands have repeatedly been accused of responsibility for these disorders. In our seventy-nine 355cases of osteomalacia and thirty-four of rickets, no abnormality has been observed in ovary, testes or adrenals except for moderate congestions. Two cases were associated with pancreatic disease, once acute, once chronic. The thyroid body has been found to have been definitely abnormal only once—secondary hyperplasia with colloid in a carnivore. In the Primates this body was frequently congested and has shown small colloid cysts but was not uniformly enlarged or atrophic. As a therapeutic measure I have administered adrenalin to two monkeys, one for a few weeks, one for nearly six months; this treatment was without any perceptible effect upon the process.

Dr. Corson-White has, by the study of some cases during the life of the monkey, confirmed the decreased alkalinity of the blood in connection with the increased output of calcium in the feces and urine.

Since the explanation of the disease by blaming the ductless glands has failed, Dr. Corson-White has undertaken a study of the diet given our monkeys to see if any fault in it were a part of the etiology. Analysis of this diet (see list page 426) computed from Atwater’s table, and by actual analysis of the amounts of food consumed by the animal in four four-day periods, gave:

1. Protein—low in quantity and poor in quality; especially low in phosphorus content.

2. Fat—very low.

3. Carbohydrate—very high, almost eleven times the value of all other ingredients.

4. Ash—decidedly low and predominatingly acid. Further analysis of this ash showed a trace only of calcium and phosphorus and iron and only a small amount of sodium; potassium, sulphur and magnesium were slightly higher.

5. Vitamines A, B, C, were present in extremely small amounts—A was exceptionally deficient, and in the rations of some days was entirely lacking.

356There are in this monkey diet several factors of importance. 1. Low vitamine contents—especially Vitamine A—factors which are essential for life and growth. 2. A high carbohydrate diet—which in oxidation yields an acid ash and which favors the growth of intestinal bacteria producing acid and gas. The acid from these two sources must be neutralized either by the alkali derived from food, or from the body storage. This diet, however, is abnormally low in ash and especially in the alkaline salts of the ash, therefore making it an ideal diet for the production of osteomalacia.

The following table shows the additions necessary for corrections of the separate ingredients of the diet:

Monkey diet Corrected by
Rice Casein, Salt mixture, Carrots, or Lettuce.
Bread Casein, Butter fat, Salt mixture, especially Phosphorus.
Potato Salt mixture, especially NaCl and CaCO3.
Raw peanuts Salt mixture.
Bananas Casein, Yeast, or Carrots.
Corn Casein, Tryptophan, Lacto-albumin.
Apple Casein, Gelatin, Butter fat.
Onion Casein, Gelatin, Butter fat.

The complete diet may therefore be rendered adequate by the addition of fresh, whole milk and leafy vegetables, or by butter fat, salt mixtures and leafy vegetables.

It would seem from these data that in this inefficient diet we have, if not the cause of osteomalacia, at least a very potent factor in its production. The disturbance of the calcium and phosphorus metabolism may be due primarily to the deprivation of the alkaline salts from the diet (famine osteomalacia) or to a drain from the alkaline storage of the body, associated with a deficient diet (as in the cases of osteomalacia of pregnancy and lactation) or in the combined action of a diet faulty in more than its salt content, which by the production of acid in its oxidation and by favoring the development of acid-forming bacteria, causes the drain of the body alkali for 357the neutralization of this acid, or it is due to the combination of all these factors acting through their influence on the ductless glands.

It is important also that while this disease is very common among the Cebidæ it has never been found among the macaques. This may be due to the fact that, owing to the storage sacs in the mouth of the macaques, more food proportional to body weight is consumed, or there may be an essential difference in the basal metabolism of the families and individuals. All the factors enumerated do tax the metabolic resources of the body and depress the functions of the endocrine glands. Only detailed and accurate quantitative studies of normal metabolism and the effect of alterations of it on the ductless glands will give a more definite answer to the problem.

This work indicates clearly the alterations to be made in the diets to meet the requirements of the Cebidæ and is to be followed by investigations along similar lines for other families.

Table 17.
A List of the Orders Exhibiting Definite Lesions of Osteomalacia and Rachitis.
Osteomalacia Rachitis
Primates 29   10  
Lemures 4   2  
Carnivora 3   8  
Hyracoidea 2   1  
Rodentia 5   3  
Marsupialia 1   10  
    44   34
Passeres 3      
Psittaci 9      
Accipitres 2      
Columbæ 12      
Galli 9      
    35    
    79   34 = 113

Having discussed the nature of these diseases and some of the factors in their causation, analysis of their distribution may be appropriately added. The accompanying list (Table 17) illustrates the orders in which the 358two diseases have been found. Veterinarians are familiar with systemic osseous diseases in all the domesticated herbivores, but Hutyra and Marek note them as uncommon in dogs and birds. Among the Primates, osteomalacia occurs almost exclusively in New World monkeys, Cebidæ and Hapalidæ, whereas rickets is much more common among macaques (Cercopithecidæ). Eight of the ten cases of rickets in monkeys seem to have arrived at the Garden with evidences of this disease. Half of the cases were arrested, or at least not florid, when the beast came to autopsy. All of the osteomalacic lemurs belonged to the ring tailed species, born in the Garden and dying at ages from three to seven years. The cases of rickets among the Carnivora were four Felidæ, three Canidæ and one Procyonidæ while all the osteomalacia cases were in the last family. Six of the eight cases among the rodents affected squirrels. The large number of cases of rickets among the marsupials is due to a litter of small opossums thrown by an apparently healthy mother and dying in from six weeks to three months.

The avian varieties which show the most definite osteomalacic changes are the pigeons and pheasants, with the parrakeets presenting nearly as characteristic lesions. Birds when affected with this disease, may come to autopsy in fairly good plumage and without any very marked emaciation. This is remarkable, for when the cresta sterni is palpated this ridge may sometimes be bent enough laterally to touch the alæ sterni. How the bird can sit upon a perch when it is possible to bend the femora almost double, is difficult to understand. Deformity is by no means so frank as in mammals although periosteal overgrowth may be quite marked at times. Anemia is undoubted in nearly every instance, the pallor of the muscles seeming to be as great as if the specimen were intentionally bled to death.

359

Osteitis Deformans.

Dr. Corson-White was fortunate enough, during the course of her work upon osteomalacia of monkeys, to detect a specimen which did not show the usual excessive excretion of calcium but on the other hand retained this element and evinced alkali hunger. The general appearance of the specimen was similar to that of monkeys having osteomalacia but at autopsy a definite picture of Paget’s disease or osteitis deformans was discovered. This led to a search for cases in the literature and to the following study, which I paraphrase and condense from Doctor Corson-White’s notes.

Osteitis deformans is a chronic constitutional affection characterized by the absorption of compact bone, chiefly in the cranium and long bones, and the laying down of fibro-osteoid tissue in such an excess as to enlarge the affected bones. This material, which is soft and cuts with reasonable ease, has calcareous matter in it as shown by Röntgen-ray examination. Paget described it in a classical article in 1876[48] since which time the reported cases have mounted to three hundred and fifty. Because it has only been recognized in its best developed stages, it may be that early mild or arrested cases have been overlooked. Judging by the instances claimed to have been found in museum collections of bones, it is probably an affection dating to antiquity. So far these remarks apply only to man but in lower animals the reports are very few and those are not available in the original. The abstracts and references show considerable confusion. The names osteitis deformans, osteoporosis, osteitis fibrocystica, osteodystrophia deformans and osteosarcoma, leontiasis ossei, etc., are used almost interchangeably. In 1901 Barthelemy[49] described a condition (Maladie du Son) in horses in which there was a marked enlargement of the head and of the epiphyses of the long 360bones. His cases were more allied to osteitis fibrosa cystica. Paget’s disease always attacks the diaphyses of the bones and not the epiphyses. Goldman[50] described typical examples of this condition in fowls. Jöst[51], in one communication, described a case in a horse which he says was identical with that condition described by Paget as osteitis deformans and by Virchow as leontiasis ossei; he also refers to similar cases in goats and monkeys. Rossweg[52] found it in goats. In wild animals the only suggestive article found was by Jöst but the description was probably of an osteoporosis and a craniosclerosis which occurred in a young lion and a monkey. All the communications deal with either domesticated animals or those in captivity.

The etiology of this condition is as obscure to-day as it was at the time of Paget’s first description. Prince thought it might be due to a defect in some peripheral nerve or nerve centre or to a tract degeneration. Cases have been reported in conjunction with a myelitis. There has been however little on which to base these suppositions. Paget felt that the process was at least upon an inflammatory basis and deduced this from the enlargement and the excessive production of an imperfectly developed structure with increased blood supply. Many felt that rickets, osteomalacia and osteitis deformans were all manifestations of the same disease. A bacterial cause was proposed by Arcangelli who claimed the discovery of diplococci and improvement from a vaccine. Lancereaux[53] and Richards felt that focal infection played a profound rôle in the etiology. However all other observers fail to isolate an organism from the bones or to get improvement from removal of infectious foci. 361Heredity has been held responsible in seven per cent. of the cases in human beings.

That some inflammatory factor is partly responsible seems plausible when one considers the active growth of fibrocellular tissue in the endo- and periosteum. The more interesting theories go back to perversions of internal secretions, pituitary, parathyroid etc., (Macallum & Vogtlein). Higbee and Ellis[54] say in relation to the neurotrophic theory that if the neurotrophic mechanism governs metabolism and is influenced by the activity of the ductless glands, there is considerable likelihood that its disturbance may possibly be found to be the cause.

Da Costa[55] believed the disease to be a disorder of bone metabolism probably dependent on the absence or perversion of some internal secretion. There is much evidence on hand to indicate that disorders of the ductless glands do influence bone metabolism, and changes in these glands have been reported in cases of Paget’s disease, although the findings and lesions have been far from uniform or distinctive or even confined to one gland. Eight cases were reported as possibly due to a hypothyroid condition; pituitary changes were found in three; adrenal changes in one; parathyroid reported missing in two; three had sclerotic thyroids. Many case reports make no mention whatever of the glands of internal secretion.

Da Costa interprets the retention of calcium, phosphorus and magnesium, with the sulphur loss found in these cases, as indicating a stimulated osseous or osseoid formation accompanying the resorption of a highly sulphurized organic matrix. In the course of this calcification procedure we suppose a certain quota of the sulphur of the matrix is replaced by other elements, a process which must entail retention of calcium, phosphorus and magnesium and increased elimination of sulphur. He shows the close parallelism between the mineral metabolism 362of a growing boy, a case after parathyroidectomy and a case of osteitis deformans, and suggests that this depends in some way either on the absence or perversion of some internal secretion, possibly of the parathyroids, which controls calcium exchange in the body. Substances from some cause arise which have the power to abstract calcium from the body tissues, the abstraction of these salts being the first step in the production of the disease.

The example which is reported in full was the first to be encountered in our 5,365 autopsies but shortly after this series was concluded two more came to autopsy and Dr. Corson-White’s studies were made to embrace these.

A reddish woolly monkey (Lagothrix infumatus) received November 25, 1919, was a particularly active specimen and as far as we could determine a perfectly healthy adult animal. He passed the tuberculin test and was placed on exhibition. In April, 1920, he was first reported as crippled and was removed to the laboratory in June, 1920. At that time the long bones of the legs and arms were bowed anteriorly and laterally, the degree of curvature making the hands and feet seem disconnected. The monkey could stand but made no voluntary effort to do so. There was evidently some pain although it could not have been at all severe. He resented handling, especially of his arms and legs. The head was rounded, resembling that of a baby, and the eyes were protuberant suggesting an exophthalmos. The maxillary bones were so excessively thick that the mouth could not close and the monkey drooled saliva. His blood on admission to the infirmary in May was—Hg eighty-nine per cent., R. B. C. 4,370,000, W. B. C. 5,800; one week before death it was Hg fifty-four per cent., R. B. C. 2,860,000, W. B. C. 6,000. Routine urine examination showed a constant trace of albumin, hyaline and granular casts. There was at no time a Bence-Jones protein reaction, excess of indican, indol, or diacetic acid. He had a constant slight diarrhœa with some flatulence, the semifluid, constantly acid feces presenting a preponderance of Gram-positive coccoid organisms. His appetite was fair and he showed marked craving for lime, eating plaster from the walls when he could get it. Because of this desire for lime he was given a salt mixture to see if it would have any effect on the bone condition. The mixture used was the following:

Fig. 46.—OSTEITIS DEFORMANS. SKELETON SHOWING GENERAL THICKENING OF ALL BONES, BUT ESPECIALLY OF THE SKULL, JAWS AND LONG BONES. NOTE THICKNESS OF CALVARIUM, 10 mm.; NORMAL IS ABOUT 3–4 mm. THE HUMERUS IS TWICE NORMAL SIZE. THE WIDTH OF THE ULNAR CORTEX IS SHOWN BY A TRANSVERSE SECTION NEAR THE ELBOW JOINT. REDDISH WOOLLY MONKEY (LAGOTHRIX INFUMATUS).

363
NaCl 0.874 grams
KCl 0.548 grams
CaH(PO) H2O 3.608 grams
Ca lactate 0.386 grams
Mg citrate 0.848 grams
K citrate 1.953 grams

This mixture the animal ate with avidity and seemed more comfortable; other than that no change was noted.

An inorganic metabolism examination was attempted on the ordinary diet and the diet plus the salt mixture. Under the circumstances at our disposal this was not entirely accurate but showed such marked variation from the control animals examined—normal and osteomalacic—and such marked correspondence on the four separate four-day periods of each intake that it seemed acceptable. The result of this investigation on the first series of four four-day periods was:

Intake Output Total
Feces Urine
Calcium 0.0280 0.014 0.0022 0.0162 = 0.0118 retention
Magnesium 0.0640 0.034 0.0123 0.0463 = 0.0177 retention
Phosphorus 0.1540 0.027 0.0430 0.07 = 0.084 retention
Sulphur 0.1440 0.002 0.1680 0.17 = 0.026 loss

The result on the higher salt content was practically the same, the retention being in proportion slightly less. The diet for these small monkeys is two apples, two bananas, six small sweet potatoes, with a lump of boiled rice about the size of an egg. The content of this diet has been found very low in calcium, phosphorus, sodium, chlorine and iron, while potassium, magnesium and sulphur were high. To this diet lime water was added to increase its inorganic content.

364This Reddish Woolly Monkey died August 20, 1920, and was immediately posted. There was marked thickening of the frontal, occipital and parietal bones, upper and lower jaws. The increase in the size of the alveolar margins prevented the closing of the mouth; only the last four teeth could be brought into apposition. The enlargement of the mandibles reduced the capacity of the mouth cavity. The skull while decidedly thickened did not enlarge at the expense of the cranial cavity. There was a cervical and dorsal kyphosis. The chest was increased anteroposteriorly and contracted laterally. The long bones were thick, bulky and deformed. (Fig. 46.)

A Black Spider Monkey (Ateles ater) showed a general hyperplasia of the whole shaft of the long bones. She was much deformed by curvatures and swellings of the skeleton—head enlarged, face deformed by the swelling of the upper and lower alveolar processes, jaws do not close and the palatal bones were flattened, skull irregularly thickened, elastic but not soft, slight subperiosteal growth. Thickening of the long bones was largely due to subperiosteal growth; section of the ulna showed a subperiosteal osseoid layer surrounding the old shaft. This tissue seemed to be very poor in lime salts, cutting without any grit. Marrow cavity was filled with a fairly firm, deep red marrow which did not bleed on section. The third monkey, a Brown cebus (Cebus fatuellus) showed exactly the same general picture but was less severely affected than the other two.

“The more minute study of the bones of these monkeys shows a variety of pictures while preserving one general form. The skull was smooth, mottled by irregularly placed areas of congestion; it was asymmetrically thickened; differentiation between cortex and diploe, internal and external tables was lost; calcareous matter was absorbed and the resultant bone was soft, elastic and porous; lacunæ enlarged and lined with bone corpuscles and giant cells. Other areas show more dense bone, the 365reparative processes being more active in that the lamellæ are wide and the vascular spaces narrower. As a rule the compact bone is absorbed, the Haversian canals are more or less confluent and there is generally a marked increase of newly formed osseoid tissue. The ossifying periosteitis obliterates the depressions for the cranial arteries and the sutures. The skull cap becomes finely porous, cancellous and even cavernous. The spaces are filled with a soft, red marrow-like material. The bones at the base of the skull are much less involved; the pericranium, dura and brain are normal.

“The long bones show interlacing narrow strands which are in some regions wide, in others narrow or thin as in spongy bone. Large irregular cavities are present and there is a disappearance of the compact bone and an encroachment on the medullary canal of a relatively dense new bone with small irregular trabeculæ surrounded by osteoblasts and a fibrous connective tissue which fills the outer trabecular spaces. The new bone is often both subperiosteal and subendosteal, the latter often gaining on the former. It is always soft and irregularly calcified. The general arrangement of the strands in the deep layers is longitudinal but in the subperiosteal bone they are very irregular and almost at right angles with the central strands. In this new osseoid tissue cysts are frequent, varying in size from very small to rather large cavities filled with a cloudy gelatinous material. The picture here is very like osteitis fibrosa cystica. Endosteal cells proliferate and may fill up the marrow spaces so that solid masses of fibrous tissue result. Frequently the osteoid material shows fibrillæ. The compact bone may be irregular with well marked Haversian systems. Toward the periosteum the cells may become scanty, the bone dense in structure while toward the interior the cells are more numerous and in the more cancellous portions, the trabeculæ become slender and far apart; here they may 366be covered by a single row of osteoblastic cells. The intertrabecular spaces are large, irregular and filled with a delicate alveolar tissue containing only a minimal number of normal bone marrow cells, large capillaries and no giant cells. Periosteum may be of usual thickness; the bone immediately beneath is spongy. The sclerosis of the bone in its densest areas is entirely due to the ossification of spindle cells which have remained in the place of the original marrow of the bone. As a whole the bone is nowhere normal in amount or proportion but the small Haversian systems are properly made, the abnormality being chiefly due to cellular and fibrous growth around the large lamellæ which at times is normal in amount but usually much in excess. In places this consists wholly of fibroblasts, at others of giant and round cells very suggestive of sarcoma. All histologists apparently agree that Paget’s disease starts as a resorption of already calcified bone.”

These data seem to supply ample evidence that the autopsy diagnosis of Paget’s osteitis deformans was correct. While the anatomy and course and chemical changes presented by these monkeys do not settle the causation of the disease, they offer very definite suggestions which Dr. Corson-White summarizes in the following cautious conclusions.

“Many of the cases of Paget’s disease first came under the observation for fractures, accidents common in osteomalacia but very rare in developed cases of osteitis deformans. Early cases all presented diarrhœa, which was present in all the early human cases seen, and in all the cases reported in monkeys. This symptom was mentioned in fourteen of the cases from the literature. It was also a constant symptom in primate osteomalacia. The diet of these monkeys was exceedingly low in those substances essential to bone development, and Sherman has shown that the calcium balance is regulated to a certain 367extent by the calcium ingested, and that when the diet was poor in this element, the output materially exceeds the intake, a fact which is immediately changed where the animal is put on a diet high in calcium. So far as we could find there are no studies on the mineral metabolism of beginning cases of Paget’s disease. It seems possible from the osteomalacic animals previously studied, that the low mineral and otherwise faulty content of the diet might so disturb the chemical equilibrium directly, through the neurotrophic mechanism or through the perversion of the ductless glands, that the mere addition of lime water might entirely change the pathological picture. This is in accord with the histology. The initial histological picture is always resorption of bone, a general decalcification which later presents an irregular proliferation. The disease then progresses along different lines ending as osteitis fibrosa cystica, Paget’s or Von Recklinghausen’s diseases, etc., dependent upon the strength of the reparative stimulus and the organism upon which it acts.

“These cases are of interest (1) because they are typical examples of Paget’s disease as it has been described in man both clinically and pathologically, (2) because the disease shows the same general type of inorganic metabolism that was exhibited in man, (3) because of the alkali hunger shown by one monkey, and by two human cases, a hunger which was severe, which preceded the deformity and disappeared after the deformity was established, (4) because the disease developed in animals fed on a diet insufficient in its inorganic and vitamine content to which an excess of calcium was added.

“From this study it seems possible that Paget’s disease may be just one stage in a deficiency disease, a reparative response through a neurotrophic mechanism or through the perversion of the glands governing calcium metabolism which has been perverted by an improperly balanced diet.”

368

Tumors.

Neoplastic diseases of the bones have yet to be classified to everyone’s satisfaction. All gradations of hyperplasia of osteogenetic cells and fibres and of the marrow elements, from simple inflammation to true sarcoma, are recognized. As one reviews a large series of lesions, clearly defined types may be found, but there are transition stages to which an exact name is difficult or impossible to apply. Nor does the pathological diagnosis always fit with the clinical course. Thus, for example, the giant cell tumor of bones looks malignant, and is not, and its structure may be simulated in such diseases as fibrous osteitis and Paget’s disease. As we have seen in the discussion of the latter of these two, abnormalities of fibre and cell growth simulate neoplasms very closely. In addition it might be mentioned here that actinomycosis may produce bony growths resembling sarcoma. When osteitis deformans affects the facial bones especially, it has been called leontiasis ossium, and it is then a more nodular, tumor-forming process, the enlargement consisting of fleshy masses occupying the whole bone, but especially the marrow cavity. Histologically the lesion is fibrocellular, frequently with numerous giant cells; accumulations of small sarcoma-like alveoli may be found. We have encountered four cases among common opossums (Didelphys virginiana) and one in an Isabelline Gazelle (Gazella isabella) and, because of the localization and fleshy consistency of the tumor, we have called them osteosarcomata for descriptive purpose, but not for classification among neoplasms (where they will not be found). Two of the opossums had osteoporosis and gelatinous marrow in the ribs. All these animals had been in the exhibition under a year, and as far as known are not related. Figure 47 shows the gross character, while the following is the description from one protocol.

Fig. 47.—EXAMPLES OF LOCAL OSTEOMATA RESEMBLING OSTEOSARCOMA AND FIBROUS OSTEITIS; THEY PROBABLY BELONG TO THE DISEASE KNOWN AS LEONTIASIS OSSIUM.

Fig. 47B. A AND B, OPOSSUMS (DIDELPHYS VIRGINIANA).

Fig. 47C. C, ISABELLINE GAZELLE (GAZELLA ISABELLA).

Fig. 48.—FIBRO-OSTEOMA, A LOCAL SINGLE TUMOR OF THE UPPER JAW. THIS DID NOT RESEMBLE THE CHANGES IN ACTINOMYCOSIS, BUT THE INFECTION WAS NEVERTHELESS EXCLUDED BY BACTERIOLOGICAL SEARCH. ISABELLINE GAZELLE (GAZELLA ISABELLA).

369Common Opossum (Didelphys virginiana) ♀ . Osteosarcoma of alveolus, rarefying osteitis deformans of skull, hypertrophy of thyroid, acute catarrhal enteritis, acute hyperplasia of spleen. About the middle of both lower rami and involving the posterior half of each upper maxilla is a uniform elliptical growth apparently emanating from alveolus. Teeth not loose, but can be moved in tumor to be described. On section a white glistening homogeneous growth is seen apparently originating in the body of the alveolus and around the teeth. The shaft of bone is soft and easily broken. What remains of marrow is irregularly injected. In upper jaw there is a distinct porosis of facial bones; they and the enclosed sinuses are deeply injected. Lower four ribs on both sides show distinct nodulations of pale color along a bluish bone. All ribs are very soft and section shows osteoporosis of shaft with injected marrow and distinct cartilaginous periosteal bone formation. The skull is everywhere soft and the bone is apparently increased in thickness, rich in blood, but porotic. Rest of skeleton seems well calcified. Microscopic section of tumor shows practically the same picture. Bone is nowhere normal in amount and proportion but the Haversian systems seem properly made, the abnormality consisting chiefly of cellular and fibrous growth around larger lamellæ, which at times is normal in amount but usually much in excess. In places this consists wholly of fibroblasts, at others of giant and round cells very suggestive of sarcoma; indeed all areas must be called giant cell sarcoma. There is an attempt to lay down osteoid tissue at places particularly beneath periosteum. The giant cells are in great numbers and some seem osteoclastic. As the lamellæ disappear young connective tissue seems to take their place but giant cells do not remain numerous at such places. Despite its atypical nature it must probably be looked upon as an osteosarcoma. The tooth socket is not much involved save for hyalinization of root matrix immediately about dentinal zone.

In another Isabelline Gazelle (Gazella isabella) there was a fibro-osteoma localized to one side of the superior maxilla (Fig. 48); this has been included among the tumors, while the above mentioned cases have not been so grouped.

True osteosarcoma seems not to have occurred. One tumor was seen upon the wing of a Cuvier’s Toucan (Rhamphastos cuvieri) which was formerly diagnosed as sarcoma, but later examination reveals some giant cells in arrangement suggestive of tuberculous osteitis; since this is the only case and not unequivocally a tumor its record is hardly warranted. Osteomata of the hard variety have been seen on the ribs of a pigeon and a 370pheasant as small rounded compact well outlined tumors. It is thought that they represent products of healing after osteomalacia or rickets. An osteochondroma growing from the nasal cartilage was found in a caracal (Felis caracal), a fibro-osteoma was found on the vertebra and clavicle of a Beechy’s spermophile (Citellus grammurus beecheyi) and a fibroma occurred on the clavicle of a lesser snow goose (Chen hyperboreus hyperboreus). The only other tumor from a bone was an endothelioma from the periosteum of the clavicle in a moorhen (Gallinula chloropus). It corresponds to the usual idea of this tumor. It probably caused death by cachexia, and by its size, interference with respiration. The only secondary tumor was a metastasis in the tibia from a spindle cell sarcoma of the kidney in a scaly ground dove (Scardapella squamosa).

The Muscles.

The skeletal muscles of the wild animals of our collection have been quite free of pathological lesions such as atrophies and dystrophies and indeed seem relatively seldom affected by disease. Occasionally hyalinization will accompany infectious disease or local suppurations will spread into the muscles. Much more often filaria, sarcocystis, flukes and larval insects will be found resident within or between muscle bundles; this will be discussed at a later time. Six tumors have been found, three of which certainly developed in a muscle, while for a fourth case no primary growth was discovered. This last one, to dispose of it at once because of its peculiarity, was an adenocarcinoma found as a firm, conglomerate, encapsulated mass in the sheath of the gluteal muscles of a waltzing mouse (Mus wagneri rotans). No other growth was discovered although it must be admitted the body was not exhaustively searched for some tiny nodule to which primary focus this muscle mass could have been secondary. That metastases may be larger than original 371growths is well known. The gross diagnosis was sarcoma. If this be an original tumor it might be explained as arising from ectopic mammary tissue.

The five other tumors were sarcomata, one of large cells almost syncytial in size, shape and number of nuclei, two definite spindle cell growths and two of fibrosarcoma type. The first occurred in an all green parrakeet (Brotogerys tirica), the second in an undulated grass parrakeet (Melopsittacus undulatus), the third in a larger Egyptian gerbille (Gerbillus pyramidum), the fourth in a white-footed mouse (Peromyscus leucopus), and the last in a bean goose (Anser fabalis).

372

SECTION XIII
THE CENTRAL NERVOUS SYSTEM AND THE SPECIAL SENSES

Diseases of this system and its specialized end organs of sense in the eye, ear and nose are recognized by veterinarians as occurring among domesticated animals, in which however they are by no means so common as in human beings. Because of the natural reserve of wild beasts and because their habits and manners are not so familiar to the observer, it would seem that clinical evidences of disease of the nervous system are rarest among them. The brain, cord and nerves of our specimens have not been studied with the minuteness accorded to the examination of other viscera since we have not had the personnel to devote the time to this really colossal undertaking, our work with these tissues being directed toward the accumulation and preservation of apparently normal brains from every species; there are now some nine hundred brains on the shelves. However, whenever the history of the animal before death has suggested that disturbance in the nerve organs might exist, they have been dissected grossly and examined microscopically. Had we subjected all our material to microscopic study it is quite possible that we might have discovered more lesions. This is still possible by reason of our gross material and autopsy protocols.

We have been fortunate in having Dr. W. B. Cadwalader, Secretary of the Society, and Dr. J. H. W. Rhein with their broad experience in neurology, take interest in this phase of the subject and study our material. The number of cases in which definite lesions have been found is surprisingly small, so that no generalizations can be attempted except perhaps in a negative sense. After the study of thirty-nine brains and cords 373from animals in whose history some suggestion of nervous system disease existed, Doctor Cadwalader could find abnormalities in only twenty-two cases, mostly however of a very indefinite character. This observer further points out that in his experience with our material, his observations of our animals and a review of the literature, he is unable to find satisfactory instances of the so-called system or tract diseases such as tabes and lateral sclerosis. This he suggests is due to the absence of arterial sclerosis in the lower types of brain, intimating further that perhaps the relation of syphilis to human arteriosclerosis and degenerative nervous system disease is thereby strengthened. These facts being true it is not astonishing that massive cerebral apoplexy and cerebral softening do not occur[56]. The lesions that have been found were either definitely infectious, as encephalitis or acute septicemia, tuberculosis, poliomyelitis, meningitis, or the minute hemorrhages and vague granularities or vacuolizations of nerve cells in toxemic conditions. The material being limited and broad statements being impossible, the important cases will be cited individually or in small groups.

Convulsions.

Before entering upon the special subjects, a word might be added concerning the clinical evidences of neurologic conditions as seen in the Garden. Perhaps the most common and certainly the most definite clinical sign of nervous disturbance is the convulsion. General spasms or fits are fairly common among the carnivores and monkeys, in the former most often associated with intestinal parasitism, in the latter with no especial relationship unless it be renal disease. The convulsions have been general, with and without the preservation of 374consciousness. No cases of focal or Jacksonian spasms are recorded although we shall cite two instances of tuberculoma reasonably near the motor area in the cerebrum. The exact cause of many cases cannot be set down since intracranial disease does not often exist.

Intoxication from chemical products of disturbed digestion or from worms themselves is the usual explanation of spasms associated with intestinal parasitism; if this be true, intoxication in the absence of demonstrable parasites may also be the cause in certain cases of enteritis. However we have seen fits when enteritis, parasites and renal disease were not found. If these were true epilepsy, they are instances of perhaps the rarest disease of animals, which I do not presume to diagnose.

Convulsive seizures in herbivorous animals are exceedingly rare although I have seen clonic movements of a spasmodic character in antelopes and deer shortly before death from gastroenteritis. Ataxia and incoördination are much more common. Birds, notably parrots and soft-billed insectivorous varieties, are not uncommonly afflicted with fits but as they are rarely observed except by the keeper the exact nature is difficult to describe. Those seen by the writer have been of two kinds.

The first and more common consists of falling from the perch in a dazed and stiff condition, with dilated fixed eyes, stiffened and spread-out legs and wings. Recovery follows shortly and the bird resumes its perch either in excitement, or slowly and uncertainly, perhaps to have another attack in a few minutes. These cases, in the few instances in which they could be followed, were due to faulty feeding and enteritis and showed either nothing or a mild congestion of the brain. The other variety of fit is epileptiform, a rapidly developing clonic spasm of all parts of the body with a tendency to opisthotonos. In one case of this character, a parrot, no lesions were found 375in the brain, an enteritis existing however. Another case concerned a pet Indian Shama I had at my home. He had been doing well and singing loudly, until one evening he was allowed to remain in a tobacco-smoke-filled room whereupon next morning he stopped eating and singing. Later that day the clonic form of convulsions appeared, growing worse for thirty-six hours or until death. At autopsy no food was found in the alimentary tract. The brain and cord were congested grossly, while minutely, perivascular hemorrhages and marked vacuolization and diffuseness of staining were found in ganglion cells of the bulb, pons, anterior spinal horns and in the pyramidal cells of the cerebellum. Happening so promptly after exposure to tobacco smoke, when the bird was doing well, I venture to associate the two.

Ataxia.

Incoördination and ataxia are so often observed and under so many conditions that it is well nigh impossible in any individual case to give an adequate explanation before death. They are in all probability the expression of sickness and nothing more in the vast majority of instances. When they are observed in such cases as the tyromata of the cerebrum or in certain of the ungulates, they may mean something definite. In this latter order and to a less extent in carnivores, one frequently sees weakness and uncertainty of gait in the hind quarters, the legs being usually coördinate but tending to give way under the weight of the body.

From a study of veterinary literature and our own material it would seem that this may have many explanations. In the first place, it may simply indicate weakness expressing itself in the heaviest part of the body, the animal inclining its femora forward to assist in supporting the heavy abdomen. It may be an expression of abdominal pain, the recti becoming rigid and the quadriceps 376of the thigh participating in the protection of the belly. Almost any of the intra-abdominal conditions, gastroenteritis, mesenteric thrombosis, peritonitis, or diseases of the psoas muscle and lumbar vertebra, might occasion this attempt at support. Disease of gluteal muscles, as hemoglobinuric fever, may produce a palsy of the whole pelvic girdle with weakness of the hind legs. There may be associated with the weakness of the hind legs a humped-up condition of the lumbar spine and retraction of the abdomen, sometimes called “tucked in;” in two definite cases of this last sort we have found renal pelvic stones and once intestinal sand. Some instances are undoubtedly due to meningomyelitis or to poliomyelitis and at the place for this subject a few cases will be discussed. Meningitis has not been found in the ungulates showing this weakness. There have been however cases of ataxia in the hind legs of deer and antelopes, which did not have a ready explanation fitting in with the foregoing. Two of these we thought might be due to certain grasses in the enclosures and have changed the exhibition spaces. No conclusion can be drawn from this as yet. No enterocolic disease could be found nor any lesion of the sciatic nerve and lumbar enlargement of the cord. We have however discovered sciatic neuritis in a case like hemoglobinuric fever in a Burchell’s zebra. The history of the animal is similar to that of this disease in domestic animals in so far as symptomatology is concerned; in so far as confinement in a stall is concerned no data is at hand but death occurred on December 26th in the zebra house whereas he had been accustomed to go out into the yard all summer and autumn.

Meningitis.

The coverings of the brain and cord have not been the seat of the well known acute inflammations seen in domestic horses and cattle. Eleven instances of disease in the meninges are recorded but, with very few exceptions, 377have been accompanied by other lesions offering a ready etiological explanation. These cases are however not very instructive except perhaps three in monkeys where the meningitis seemed to be secondary to gastroenterocolitis. In one case a colon bacillus was apparently responsible, in a second no bacteriology was undertaken and a third was too rotten for the results to be dependable. A focus of infection aside from the intestinal area could not be found. The only noteworthy finding was the scantiness of the cerebrospinal fluid and the almost exclusive subpial exudate; these facts would seem to strengthen the thought that the virus came through the blood stream. Another case was due to extension, through the temporal bone to the lateral sinus, of a necrotizing process beginning in the buccal muscles or parotid gland; the necrosis bacillus and a host of Gram-positive cocci were found. A Canadian porcupine suffered with a mucopurulent nasopharyngitis which involved the deep sinuses, the middle ear and the temporal bone; smears from the pus over the corresponding cerebral hemisphere and from the nasal pus showed pneumococcus forms; the lungs were not affected. The llama which showed the intracapsular fracture of the femur (page 344) had also hemorrhage into a fibrinous exudate in the mastoid cells with deep opaque congestion and edema of the pia above the petrous portion of the temporal bone. Decomposition precluded satisfactory bacteriology but it is suggested that probably injury in falling started a hemorrhage in the ear upon which a secondary infection was implanted. What seems a true meningitis secondary to otitis media and mastoid suppuration was seen in a marmoset.

A case of the well known but obscure condition known as chronic productive pachymeningitis was observed in a badger. Although it cannot be explained it is cited as a matter of record and interest.

American Badger (Taxidea taxus). Pachymeningitis externa. The dura is fast to the skull and cannot be removed. Scattered irregularly 378over the entire inner surface of the skull are pale pinhead sized hard nodules. It is impossible to tell if they are in the dura or the bone. The brain shows engorged vessels but is otherwise negative.

Two instances of hemorrhagic pachymeningitis associated with cretinism were seen in wolf cubs. The following notes illustrate both cases.

American Gray Wolf (Canis mexicanus). Cretinism. Hemorrhagic external pachymeningitis with craniotabes. Upon removing the calvarium a marked craniotabes of the under surface is found and with it a deep red and purple staining of outside of dura and inner table of skull. These changes are most marked along the longitudinal sinus at internal occipital protuberance and along left parietal region. Dura on left side is distinctly congested. This is also true of pia. The brain and its base seem normal.

Cyst of the brain. A sooty mangabey (Cercocebus fuliginosus) had been in the Garden for about four months and was apparently an adult normal animal. It died rather suddenly after a distinct convulsion with semiconsciousness. At autopsy in addition to a nephritis, a large cyst was found to occupy the posterior third of the left hemisphere. Its walls were composed of a thin (one-sixteenth inch) rim of cerebral substance and the meninges; its contents were clear. The notes do not record any examination for parasites. This monkey showed no localizing signs.

Tuberculosis.

Gross tuberculous lesions have been found in the brain in several specimens with generalized disease but only two cases are of special interest. A Rhesus macaque (Macacus rhesus) suffering with generalized but chiefly lymphatic tuberculosis, showed a large plaque on the external surface of the dura over the vertex where it was adherent to a yellow, fairly firm nodule about ten mm. across. This nodule was deeply imbedded in the brain substance, barely projecting above the surface, generally spherical and not encapsulated. There was no peripheral reactive zone. The meninges were not altered anywhere except as above. The blood vessels were not especially 379congested. The pia arachnoid contained no excess of fluid but the summits of the convolutions were flattened. The mass was located in the posterior frontal convolution, near the longitudinal fissure, occupying nearly its whole breadth and penetrating about one centimetre. It did not enter the fornicate gyrus. There was a completely degenerated core about two mm. across. The adjacent bone was beginning to erode. No localizing signs were reported.

The other case, that of a young Drill baboon (Papio leucophæus), was studied with Dr. J. H. W. Rhein and can be reported in the following condensed notes.

The baboon appeared to be perfectly well until October 18, 1906, when some lameness in the anterior and posterior extremities on the right side was observed. This gradually increased, and was associated with general convulsions. On November 30th, I made an examination and found the following condition: The right upper and lower extremities were weaker than on the left side. On the left side the power seemed to be fair. He was able to hold on to an iron bar with the fingers of the upper and lower extremities on the right side but in withdrawing the bar it was not difficult to overcome his grasp and the power on this side was distinctly less than on the left. The movements of the right arm were somewhat ataxic, as observed when he made efforts to grasp the bar. The knee jerks were increased on both sides and appeared to be equally so. There was no evidence of facial palsy. He moved both sides of the face equally well at times when he expressed anger or fear in the facial expression. The tongue seemed to be retracted equally well on both sides. Tests for hemianopsia were, of course, unsatisfactory, but he seemed to recognize readily the approach of the iron bar from both sides. There was no disturbance of the rectal or bladder functions, although at autopsy the bladder was full. Death occurred on December 2, 1906. At the autopsy the brain and spinal cord, with the other organs were examined. The dura was adherent to the left side of the brain, in the prefrontal region, in the upper third and when the brain was removed it was observed that an area of softening lay beneath this point. A small caseous mass was also observed at the base of the right lung, and beneath the diaphragm on the right side was a large abscess, partly involving the liver. The tubercle bacillus was found in the pus removed from the area of softening beneath the left cortex. A study of the brain revealed the presence of three foci of softening. The largest one was situated in the left hemisphere in the prefrontal region, and extended from just beneath the cortex in the upper third of the region, downward almost to the base of the brain. This area was cylindrical in shape and measured 3802.5 cm. in its greatest diameter. The area of softening consisted of caseated material and pus, in which the tubercle bacillus was found present. The second area of softening was found on the right side of the brain, much smaller in extent and measuring 1.5 cm. diameter. There was no pus present in this area, but it consisted of a circumscribed mass of caseous material. The apex of this area of softening was just beneath the cortex in the prefrontal region on the right side, and in the removal of the brain the cortex was torn just above this area of caseation. This point was .5 cm. in front of the central fissure and about 1 cm. below the superior surface of the brain. A third area of softening was observed posteriorly, in the white substance, in the parieto-occipital region, and measured about 6 mm. in diameter. A study of the sections of the brain shows beautifully the extent of the destruction of the brain tissue. The optic thalamus and the lenticular nucleus, and the posterior limb of the internal capsule, on the left side, are destroyed in part. The anterior limb of the internal capsule in one section, is preserved, notwithstanding the fact that the optic thalamus on the same side has been in large part destroyed. In spite of the fact that the posterior limb of the internal capsule has been destroyed at some levels, it is interesting to note that the degeneration of the pyramidal tracts of the pons and medulla on the opposite side and the lateral columns of the spinal cord are not intensely—although distinctly—degenerated. It is very interesting to note that in view of the severe damage to the posterior limb of the internal capsule on the left side, there was not more paralysis, for it will be remembered that there was considerable power of prehension in the right upper and lower extremities.

Encephalomyelitis, Poliomyelitis.

While, as has been stated, no well defined cases of the recognized meningocephalic infectious diseases have been observed in the Garden, there have been several animals in whose cord and brain changes were found comparable to the infections disease known in man as poliomyelitis. On several occasions since this disease was recognized as occurring in epidemic form it has been observed that domestic mammals and fowls suffered from a similar condition. The general vicinity of Philadelphia had a low grade epidemic among children during the years from 1907 to 1912 and it is during this time that most of the cases of a comparable character were observed among our animals. It is to be emphasized that attacks were entirely sporadic and the cases did not appear to bear a 381relation to one another. This character is quite in accord with certain of the outbreaks in man. However we cannot state that the disease is exactly the same as seen in the human being for, as will be noted in the cited examples, all the pathological features were not fulfilled.

It is not always possible to differentiate between myelitic disease and polyneuritis of man or animals. Studied symptomatically the cases in our records which proved to have degenerative and infiltrative lesions comparable to poliomyelitis showed gradual but progressive paralysis expressed by inability to move rather than disinclination—in other words loss of power rather than restriction because of pain. None of the animals in which poliomyelitis was demonstrated have exhibited the ataxia of the hind legs discussed on a previous page nor have we found myelitic lesions in the few cords from animals suffering with this weakness. The nearest approach to a cerebrospinal explanation for weakness and palsy was in a zebra which died with constipation, acute nephritis, and hepatic perilobular fibrosis. In this animal a pronounced subpial mononuclear infiltrate was observed, in places involving the superficial parts of the cerebral gray matter, especially about the congested vessels of this area. This condition was present to a slight degree in the cord. There was then a low grade meningoencephalitis but no nerve cell changes. So far as is known to me no animal showing a definite local paresis or paraplegia recovered from the attack; had this occurred we might have observed residual palsies.

In so far as lesions are concerned they are perhaps best illustrated by the appended cases, but since even in them there is a lack of uniformity, it may be well to discuss the basic changes of all. The outstanding abnormality in the microscopic anatomy is the richness of small mononuclear cells beneath the pia, both spinal and cerebral, around the smaller blood vessels and to a lesser extent around the multipolar cells of the gray 382matter. These do not present the dense colonization often seen in the acute cases of infantile paralysis in man but are prominent in comparison to normal nervous tissue. Hemorrhages or at least small groups of erythrocytes outside of blood vessels are seen here and there. Vacuolization of ganglion cells is variable, being prominent in some, trifling or absent in others. Glial proliferation is often quite marked, and in one case to be cited seems the prominent lesion.

The animals in which meningopoliomyelitis has been found were three monkeys, two Canadian lynx, a bear and a raccoon; about a score of cords from other animals with some kind of palsy have been studied microscopically without discovering it. The following cases illustrate our material. The only instance of two cases in close relation concerns the lynx (Felis canadensis). They occupied the same cage and died twelve days apart. No symptoms were recorded until a few days before death when a general paralysis appeared, deepening to completeness on the day of death. No case occurred in neighboring cages. Doctor Rhein studied all these cases, and his notes are used for these records. Portions of the lumbar and cervical enlargements and of the thoracic regions of the cord were stained with hemalum and acid fuchsin and with thionin. The pia was slightly infiltrated. There was some cellular infiltration of the anterior septum, and the vessels here showed an increase in the nuclei of the walls and a slight perivascular infiltration. The pial infiltration seemed to be equally distributed in the entire circumference of the cord, although perhaps a little more marked over the anterior and posterior septa. The vessels of the gray matter were congested and the walls of the vessels in most part showed a proliferation of the nuclei. There were a few small hemorrhages into the gray matter, probably agonal. As compared with the human cord and the cords of monkeys, antelopes and dogs, there was an unusually large number of glia nuclei, 383which, if found in the human cord, would be looked upon as a proliferation process. In some cases these nuclei were heaped together in masses, and were evidently pathological. There was also, about the ganglion cells, some pericellular round cell infiltration, and this was more marked around a few cells which were almost entirely destroyed. The ganglion cells themselves were swollen. Some showed eccentric nuclei, and many of them stained poorly, while one or two showed distinct vacuolization. In one field a ganglion cell was partly destroyed by a recent hemorrhage. There were, however, a number of cells which appeared normal. This process seemed to be fairly distinct in the lumbar and cervical enlargements, but was not clearly demonstrated in the sections from the dorsal region. The cellular infiltration of the horns was evidently not leucocytic, but presented the appearance of a connective tissue proliferation. Although these are not the exact lesions found in poliomyelitis in the human animal, they are at least suggestive of the same process since the infiltrating cells are of the lymphatic or connective tissue types. There is no acute inflammatory leucocytic infiltrate.

A weeper cebus (Cebus capucinus) ever since he was received acted in such a peculiar manner, seeming to have only partial control of his movements, that he was known as the “Crazy Monkey.” There was no history of illness before death. Pathological diagnosis: Chronic enterocolitis, chronic adhesive pericarditis, early interstitial change in kidney, edema of lungs, meningitis and poliomyelitis. The pia of the paracentral cortex was thickened and was the seat of a round cell infiltration of moderate degree, the cells being of the mononuclear type. The blood vessels of the cortex were congested and the nuclei of the walls were increased. The round cell infiltration of the pia had in some places extended into the cortical layers. The pia surrounding the medulla oblongata was also the seat of a slight round cell infiltration. 384The pia of the spinal cord, however, did not show any cellular infiltration. The cells of the anterior horns of the spinal gray matter were extensively diseased, being swollen in places, some surrounded by a glia proliferation and many with marked vacuolization.

A common raccoon (Procyon lotor) was observed in the laboratory to have complete paralysis of the anterior and partial paralysis of the posterior extremities. This latter was almost complete in muscles controlling the feet, while the thigh and hip muscles showed some irregular incoördinate movements. Respiration shallow but regular. History shows that the power of the extremities began to fail about a month before death and was absolutely lost in the fore extremities three days before the animal was killed. Diagnosis: Poliomyelitis. Examination of the central nervous system showed the presence of marked round cell infiltration of pia of cortex and of spinal cord, more particularly in the lower thoracic and lumbar regions. Ganglion cells in the lumbar region were markedly diseased. There were numerous old and fresh hemorrhages and a moderate degree of round cell infiltration in the anterior horns. Two young of this animal, born three months before its death, showed weakness and gradual increasing paralysis of their extremities beginning when three months old (that is at the time of the death of their mother), and lasting until their death, one in the seventh and one in the eighth month of life. These were found not to have changes in the central nervous system, but there was sufficient rachitis to account for this paralysis.

The only tumor of the central nervous system found among these animals occurred in an Undulated Grass Parrakeet (Melopsittacus undulatus). The gross notes are very vague but the microscopy is suggestive of a glioma. The growth in the brain consists of large irregular masses of large cells with vesicular nuclei and pale homogeneous protoplasm. “Scattered between these 385accumulations are irregular strands of spindle cells, with spindle-shaped nuclei, taking the hematoxylin very deeply. The supporting tissue is almost without cells, taking the eosin faintly, and is quite loosely arranged. No fibrils are seen among the cells. The blood vessels are congested, and at one place there is a small hemorrhage. The vessel walls are the same as the rest of the connective tissue. There is a slightly atypical metastasis in the liver.”

A case, the identity of which is still undecided, was observed in a Green Monkey (Cercopithecus callitrichus); it may belong among the gliomata or glioses. There was in the middle of this monkey’s cerebrum a gray area about 3 × 2 × 1 cm. with a softened centre, the more solid parts being found under the microscope to consist of glia tissue, blood vessels and degenerated cells. No true gliomatous formations could be discovered. Because of the indefiniteness of the lesion, it is not included in the tumors or inflammations. Clinically the effect of the change was to cause blindness and ataxia but motor power was not greatly impaired.

A very small number of tumors of the brain in wild animals is on record in the English and German literature, perhaps the most interesting being what resembles in description a subdural neurocytoma reported by Wilson in the Proceedings of the London Zoological Society, 1908. The mass was separate from the cerebellum, but had hollowed out a place for itself in this part of the hind-brain.

Brain Weights.

The policy of preserving the brain of all species enables us to record in the accompanying list the weights of a large number of specimens. In order that the figures may have a representative and comparative value only those are given where the total body weight of the animal is also known. The specimens were removed by the laboratory 386staff, most of them by one person, and by the same technique. All brains were weighed immediately upon removal from the body, no preservative being near the organ. The brains were themselves externally normal. Our technician is skillful in removing the organ, practically always getting the pituitary body, and cutting off the brain stem at the foramen magnum, the pia remaining but the dura removed. Because the specimens were taken, in practically all cases, from animals that died in the Park, and because of the shortness of the list (196), it seems wise not to attempt conclusions referable to comparative weights of the different orders and families. However, the data seem worthy of record because it is doubtful if anywhere one can find so many weights taken under comparable conditions by the same personnel. One can find a considerable list of brain weights and values in many publications throughout the literature, notably in an article by Ziehen in Bardeleben’s Handbuch der Anatomie (Vol. IV, Abt. III 363), but from no single source are there so many varieties or so long a list. Ziehen’s tables are compiled from the literature and therefore represent data collected under different conditions, many of which were probably pathological. The appended figures are to be considered as raw material collected under uniform conditions.

Examination of the figures bears out in a measure some of the remarks made by Ziehen, notably those which indicate that between large and small varieties of the same general group, the smaller has the greater brain weight value and that the youthful animal has more brain than the adult.

The brains at the museum are fixed in saline-formaldehyde—sufficient strength of the former to suspend the organ in the container and four percentage of the latter. When fixation is complete, as indicated by density, preservation is done in one per cent. formaldehyde, the organ, usually bound in gauze, being laid in cotton. A list of 387important references is added to the weight tables—some antedating Ziehen’s articles, but principally those that have appeared since the publication of his monograph.

Principal References to the Relative Weight of the Brain

Ziehen: In Bardeleben’s Handbuch der Anatomie des Menschen, Vol. 4, pt. 3.
Ziehen: Handbuch der Anatomie des Nervensystems, Jena, 1903.
Girard: Bulletin de l’Institut Gen. Psychologie, Vol. 7, p. 53.
von Buschau: Real Encyclopedie der Gesamten Heilkunde 3. Aufl.
von Buschau: Neurologisches Zentralbl., 1897, March.
Brandt: Bull. de la Soc. Imperial des Naturalistes de Moscow, 1867, 40, pt. 2, 525.
Mies: Verhandl. der Gesellsch. deutscher Naturforsch und Arzte, 1898, 353.
Dhere et Lapicque: Archives de la Physiologie, October, 1898.
Lapicque et Girard: C. R. des Sceances de l’Academie de Science, Paris, 1905, 140, 1057.
Lapicque: Bulletin de Museum d’Histoire Naturelle, 1909, No. 7, 408.
Lapicque: Revue du Mois, Paris, April, 1908, 445.
Lapicque: Bulletin et Memoires de la Société d’Anthropologie de Paris, 1907, 5, Vol. 8, No. 3, 261.
Lapicque: Biologica, Vol. 2, 1912, p. 257.
Funk: Inaug. Dissert. Wurzburg, 1911.
Poynter: Cerebral Anthropology, Lincoln, 1913.
Mollison: Arch. für Anthropologie, 1914, XIII, 388.
Hultgren: Das Hirngewicht des Menschen, Upsala, 1912.
Weber: Festschrift für Karl Gegenbauer, 1898.
Dubois: Bulletin de la Soc. Anthropologie, Paris, 1897, 337.
Dubois: Archiv. für Anthropologie, Vol. 25, 1898.
Dubois: Proc. Sci. K. Acad. Wet., Amsterdam, 1914, 16, 647.
Dubois: Zeitschrift für Morph. und Anthropologie, 1914, Vol. 18, 323.
Marchand: Hirngewicht des Menschen, Leipsig, 1902.
Rudolph: Beiträge zur Path. Anatomie, Jena, 58, 1914, 48.
Kraemer: Mitt. der Deutsch. Landwehrgesell, 29, 1914, 55.
388
Table 18.Giving the Actual Weight of the Brain and the Relation of this to that of the Body in 196 Animals.
Order Family Sex Known Age at Death Development Time in Garden Condition Body Weight in Grams Brain Weight in Grams Grams Brain Per Kilo of Body Weight
Genus Species
  Common Name
Primatesa:                
Simiadæ:                
  Simia satyrus,                
    Orang utan   Immature 4 yrs. 6 mo. Good 15,500. 405. 26.1
    Orang utan   Immature 4 yrs. 2 mo. Thin 22,178. 300. 13.4
  Hylobates hainanus,                
    Hainan Gibbon   Mature 4 yrs. 3 mo. Good 5,900. 115. 19.4
  Hylobates leuciscus,                
    Silver Gibbon   Mature 14 days Very thin 3,030. 75. 24.7
                     
Cercopithecidæ:                
  Presbytis cephalopterus,                
    Ceylon Entellus   Mature 1 mo. Good 4,080. 58. 14.2
  Cercopithecus sabæus,                
    Grivet Monkey   Mature 14 yrs. Good 3,530. 65. 18.4
  Cercopithecus patas,                
    Red Monkey   Mature 2 yrs. 9 mo. Good 5,060. 105. 20.7
  Cercocebus fuliginosus,                
    Sooty Mangabey     3 mo. Good 3,342. 105. 31.4
  Macacus arctoides,                
  Brown Macaque     3 yrs. 6 mo. Good 3,161. 100. 31.7
  Macacus nemestrinus,                
    Pigtailed Macaque     4 yrs 3 mo. Very Thin 4,560. 100. 21.9
    Pigtailed Macaque 10 mo. Baby 10 mo. Good 1,390. 67. 48.2
  Macacus rhesus,                
    Rhesus Macaque 6 mo. Baby 6 mo. Good 462. 67. 145.
  Papio porcarius,                
    Chacma Baboon   Mature 1 wk. Thin 12,300. 180. 14.6
  Papio cynocephalus,                
    Yellow Baboon   Mature 4 yrs. 6 mo.   8,942. 140. 15.6
389                     
Cebidæ:                
  Ateles ater,                
    Black Spider Monkey     1 mo. Good 1,790. 125. 70.
    Black Spider Monkey     2 mo. Good 2,475. 105. 42.5
    Black Spider Monkey     2 mo. Good 3,630. 125. 34.4
  Lagothrix lagotricha,                
    Woolly Monkey     9 mo. Thin 1,634. 82. 50.3
  Cebus fatuellus,                
    Brown Cebus     2 yrs. Thin 1,500. 60. 40.
  Cebus albifrons,                
    White fronted Cebus         1,750. 61. 34.8
  Aotes vociferans,                
    Noisy Douroucouli     2 wks. Good 480. 20. 41.7
                     
Callitrichidæ:                
  Callithrix pencillata,                
    Black eared Marmoset     1 yr. Good 135. 10. 73.
    Black eared Marmoset     6 mo. Good 250. 15. 60.
  Leontocebus œdipus,                
    Pinche Marmoset     1 wk. Good 167. 14. 84.
                     
Lemures:                
Lemuridæ:                
  Lemur catta,                
    Ring tailed Lemur Mature   7 yrs. Good 1,470. 30. 20.4
    Ring tailed Lemur     1 yr. 3 mo. Good 1,240. 20. 16.
  Lemur mongoz,                
    Mongoose Lemur     2 yrs. Good 1,457. 20. 13.8
  Galago maholi,                
    Maholi Galago 5 yrs. 3 mo. Mature 5 yrs. 3 mo. Good 100. 4. 40.
                     
Carnivora:                
Felidæ:                
  Felis viverrina,                
    Fishing Cat     10 mo. Good 7,000. 60. 8.5
  Felis chaus,                
    Jungle Cat   Mature 5 yrs. 3 mo. Good 3,640. 45. 12.2
390  Felis ruffus,                
    American Wild Cat     4 yrs. Thin 4,402. 50. 11.1
  Felis onca,                
    Jaguar 20 yrs. Mature 15 yrs. Very thin 29,500. 170. 5.7
  Felis eyra,                
    Eyra     3 mo. Good 5,000. 44. 8.8
  Felis canadensis,                
    Canada Lynx   Mature 4 yrs. 6 mo. Very thin 7,270. 80. 11.
  Felis chibigonazon,                
    Brazilian Ocelot   Young 1 mo. Thin 1,350. 35. 26.
  Felis pardalis,                
    Common Ocelot     10 mo. Good 5,800. 50. 8.6
    Common Ocelot   Young 2 mo. Thin 2,700. 45. 16.6
  Felis concolor,                
    Puma       Good 52,700. 150. 2.8
    Puma   Mature 8 yrs. 6 mo. Very thin 29,500. 50. 1.69
    Puma   Baby   Good 1,067. 55. 51.5
    Puma   Baby   Good 998. 55. 55.
  Felis tigris,                
    Bengal Tiger   Mature 12 yrs. Fair 66,000. 250. 3.8
    Bengal Tiger   Mature 12 yrs. Very thin 91,000. 240. 2.6
  Felis uncia,                
    Snow Leopard   Mature 8 yrs. Good 22,700. 120. 5.3
                     
Hyænidæ:                
  Hyæna hyæna,                
    Striped Hyæna   Mature 4 yrs. 3 mo. Poor 27,200. 92. 3.3
    Striped Hyæna   Mature 8 yrs. 10 mo. Good 36,300. 90. 2.4
                     
Canidæ:                
  Canis procyonoides,                
    Raccoon-like Dog   Mature 3 yrs. Good 4,770. 25. 5.2
    Raccoon-like Dog       Good 4,900. 35. 7.1
391  Canis familiaris,                
    Eskimo Dog   Mature   Very thin 36,300. 100. 2.7
  Canis cinereo argenteus,                
    Gray Fox   Mature 3 yrs. Good 2,652. 40. 15.
  Canis cinereus argenteus scotti,                
    Scott’s Gray Fox   Mature 2 yrs. 6 mo. Good 2,200. 53. 25.
  Canis chama,                
    Silver Fox     7 mo. Good 3,325. 40. 12.
  Canis mesomelas,                
    Blackbacked Jackal.     2 yrs. 6 mo. Good 6,000. 60. 10.
    Blackbacked Jackal         3,500. 70. 20.
                     
Mustelidæ:                
  Mustela foina,                
    Beech Marten   Mature 3 yrs. Good 810. 15. 18.3
  Mustela americana,                
    Pine Marten   Mature 4 yrs. Good 680. 13. 19.
  Gulo gulo,                
    Wolverine     3 yrs. 3 mo. Good 5,700. 75. 13.1
  Galictis barbara,                
    Tayra.     7 mo. Good 1,480. 55. 37.
  Mephitis mephitica,                
    Common Skunk     6 mo. Good 1,755. 6. 3.4
    Common Skunk     2 wks. Good 1,700. 7. 4.1
  Meles meles,                
    European Badger     3 yrs. Good 7,473. 46. 6.
                     
Procyonidæ:                
  Procyon lotor,                
    Common Raccoon   Mature 7 yrs. 3 mo. Good 9,000. 42. 4.6
    Common Raccoon   Mature 9 yrs. 2 mo. Good 5,450. 37. 6.9
  Procyon lotor hernandezi,                
    Mexican Raccoon     2 yrs. Good 6,130. 40. 6.5
392  Nasua nasua,                
    Ring tailed Coati     1 yr. 4 mo. Good 1,600. 40. 25.
    Ring tailed Coati     10 mo. Good 1,600. 35. 24.3
  Nasua narica,                
    White nosed Coati Mature   8 yrs. Very thin 5,000. 44. 8.8
  Potos caudivolvulus,                
    Kinkajou   Mature   3 yrs. 2 mo. Good 1,440. 35. 24.2
                     
Ursidæ:                
  Ursus malayanus,                
    Sun Bear       1 yr. 9 mo. Good 41,000. 125. 3.5
  Ursus beringiana,                
    Kamchatkan Bear       Very thin 31,800. 315. 9.9
                     
Pinnipedia:                
Otariidæ:                
  Eumetopias stelleri,                
    Steller’s Sea Lion     4 yrs. Very thin 120,400. 515. 4.27
  Zalophus californianus,                
    California Hair Seal   Mature 6 yrs. 9 mo. Very good 94,000. 420. 4.46
                     
Rodentia:                
Muridæ:                
  Peromyscus leucopus,                
  White footed Mouse 5 yrs. Mature 5 yrs. Good 39. 1. 25.6
                     
Castoridæ:                
  Castor canadensis,                
    American Beaver     8 yrs. 2 mo. Good 10,000. 40. 4.
                     
Octodontidæ:                
  Myocastor coypus,                
    Coypu       Good 2,000. 20. 10.
393                     
Hystricidæ:                
  Hystrix longicauda,                
    Malaccan Porcupine   Mature 18 yrs. Thin 6,000. 26. 4.3
  Erethizon dorsatus dorsatus,                
    Canada Porcupine     2 mo. Good 4,065. 20. 4.9
  Coendon prehensilis,                
    Brazilian Tree Porcupine     1 wk. Good 480. 14. 29.1
                     
Caviidæ:                
  Cavia porcella,                
    Wild Guinea-Pig   Mature 6 yrs. 2 mo. Good 320. 4. 12.5
  Hydrochœrus hydrochœrus,                
    Capybara     1 mo. Good 19,000. 50. 2.63
                     
Proboscidea:                
  Elephas maximus,                
    Asiatic Elephant 3 yrs. Young 1 mo. Good 241,000. 3,432. 14.1
                     
Hyracoidea:                
Hyracidæ:                
  Procaria capensis,                
    Cape Hyrax     8 mo. Good 1,800. 15. 8.3
    Cape Hyrax     1 yr. 9 mo. Good 2,170. 20. 9.2
                     
Ungulata:                
Tapiridæ:                
  Tapirus indicus,                
    Malayan Tapir   Mature 7 yrs. 4 mo. Thin 250,000. 300. 1.2
    Malayan Tapir   Young 3 mo. Good 80,000. 225. 2.8
                     
Equidæ:                
  Equus prjivalskii,                
    Wild Horse 1 wk. Baby 1 wk. Good 22,700. 330. 14.
  Equus burchelli,                
    Burchell’s Zebra   Mature 6 yrs. Good 341,000. 645. 1.9
394                     
BovidÆ:                
  Strepsiceros capensis,                
    Greater Kudu     4 mo. Thin 285,000. 290. 2.2
  Cobus leche,                
    Leche Antelope   Mature 10 yrs. 6 mo. Good 52,700. 200. 3.8
  Damaliscus albifrons,                
    Blessbok   Mature 11 yrs. Good 58,100. 245. 4.2
  Boselaphus tragocamelus,                
    Nylghaie     2 yrs. 2 mo. Good 136,300. 310. 2.3
  Poephagus grunniens,                
    Yak 3 yrs. 6 mo. Young runt 3 yrs. 6 mo. Runt 114,000. 290. 2.5
    Yak   Mature 5 yrs. Thin 177,000. 385. 2.2
  Taurotragus oryx livingstonii,                
    Livingstone’s Eland   Old 13 yrs. Good 327,000. 415. 1.3
  Hemitragus jemlaicus,                
    Himalayan Thar     2 yrs. 2 mo. Good 31,800. 165. 5.2
    Himalayan Thar 9 mo. Young 9 mo. Good 9,100. 130. 16.
  Ovis tragelaphus,                
    Aoudad     3 yrs. 2 mo. Good 77,200. 233. 3.
    Aoudad   Old 3 yrs. 6 mo. Good 41,000. 195. 4.8
                     
GiraffidÆ:                
  Giraffa camelopardalis,                
    Giraffe     5 yrs. 8 mo. Good 500,000. 630. 1.2
  Giraffa capensis,                
    Giraffe (Southern)   Old 7 mo.   383,000. 670. 1.7
                     
CervidÆ:                
  Cervus duvanceli,                
    Barasingha Deer 1 mo. Baby 1 mo. Good 9,500. 121. 13.
  Cervus eldi,                
    Eld’s Deer       Good 59,000. 225. 3.8
  Cervus elaphus,                
    Red Deer       Good 72,700. 310. 4.4
395  Cervus porcinus,                
    Hog Deer 11 mo. Young 11 mo. Good 25,000. 130. 5.2
    Hog Deer     3 yrs. 4 mo. Good 41,000. 125. 3.
  Cervus sika manchuricus,                
    Manchurian Sika Deer   Mature 6 yrs. 3 mo. Good 56,800. 265. 4.6
  Cervus cashmirianus,                
    Kashmir Deer     3 yrs. 4 mo. Fair 56,800. 275. 4.6
                     
CamelidÆ:                
  Camelus bactrianus,                
    Bactrian Camel   Mature 11 yrs. Fair 430,000. 610. 1.4
  Camelus dromidarius,                
    Common Camel   Mature 5 yrs. Fair 472,700. 465. .98
                     
HippopotamidÆ:                
  Hippopotamus amphibius,                
    Hippopotamus 1 mo. Baby 1 mo. Good 40,000. 195. 4.87
                     
SuidÆ:                
  Macrocephalus africanus,                
    Wart Hog   Mature 7 yrs. 9 mo. Good 59,000. 151. 2.5
    Wart Hog     2 yrs. 9 mo. Good 82,700. 150. 1.8
    Wart Hog.       Good 90,000. 158. 1.7
                     
TayassuidÆ:                
  Tayassu tajacu,                
    Peccary   Mature 6 yrs. 6 mo. Good 19,650. 95. 4.8
    Peccary     3 yrs. 6 mo. Good 22,700. 75. 3.3
                     
Endentata:                
DasypodidÆ:                
  Tatu novemcinctus,                
    Nine banded Armadillo     2 yrs. Good 1,840. 10. 5.4
                     
Myrmecophagidæ:                
  Myrmecophaga tetradactyla,                
  Tamandua Anteater     1 wk. Good 3,300. 24. 7.3
396                     
Marsupialia:                
DidelphyidÆ:                
  Didelphys virginiana,                
    Common Opossum     2 wks. Good 2,500. 6.5 2.6
    Common Opossum     Young 3 mo. Good 351. 6. 17.
                     
DasyuridÆ:                
  Sarcophilus ursinus,                
    Tasmanian Devil   Mature 4 yrs. 6 mo. Thin 2,950. 8. 2.7
  Dasyurus viverrinus,                
  Common Dasyure     2 yrs. 2 mo. Good 680. 4.5 6.6
  Common Dasyure     8 mo. Good 1,130. 5.5 4.8
  Common Dasyure     1 yr. 6 mo. Good 1,430. 7. 4.9
                     
Phascolomyidæ:                
  Phascolomys mitchelli,                
    Wombat.   Mature 9 yrs. 6 mo. Excellent 25,900. 70. 2.7
                     
MacropodidÆ:                
  Macropus giganteus,                
  Great Gray Kangaroo   Mature 3 yrs. 2 mo. Good 34,000. 65. 1.9
  Macropus rufus,                
  Red Kangaroo   Mature 5 yrs. 8 mo. Good 63,600. 70. 1.1
  Macropus unguifer,                
    Nailtailed Wallaby     2 wks. Good 4,600. 12. 2.6
  Macropus thetidis,                
    Thigh striped Wallaby     2 wks. Good 5,150. 25. 4.8
  Macropus ualabatus,                
    Black Wallaby     1 yr. 6 mo. Good 8,170. 35. 4.2
  Aepyprymnus rufescens,                
    Rufous Rat Kangaroo 3 yrs. 1 mo. Mature 3 yrs. Good 1,130. 15. 13.3
    Rufous Rat Kangaroo 6 yrs. 9 mo. Mature 6 yrs. 9 mo. Good 1,485. 15. 10.+
397                     
Passeres:                
Icteridæ:                
  Quisculus quiscula,                
    Purple Grackle     2 yrs. 7 mo. Good 115. 2.7 23.4
  Icterus icterus,                
    Common Troupial     2 yrs. 7 mo. Good 53. 2. 27.7
    Common Troupial     4 yrs. 7 mo. Thin 68. 2. 29.4
                     
Ploceidæ:                
  Amadina erythrocephala,                
    Red headed Finch     4 yrs. Good 25. 1.2 48.
  Munia malacca,                
    Black headed Finch     3 yrs. Good 13. .7 52.6
                     
Tanagridæ:                
  Euphonia violacea,                
    Violet Tanager     2 days Good 15. 1. 66.6
    Violet Tanager     2 days Good 16. 1. 62.5
  Tanagra cana,                
    Silver blue Tanager     6 mo. Good 29. 1. 34.5
    Silver blue Tanager     1 yr. 2 mo. Good 30. 1. 33.3
                     
Fringillidæ:                
  Zonotrichia albicollis,                
    White throated Sparrow     1 yr. 6 mo. Good 35. 1.5 42.8
    White throated Sparrow     6 mo. Good 32. 1.5 46.9
    White throated Sparrow     1 yr. 8 mo. Good 23. 1.3 56.5
  Eophona melanura,                
    Black tailed Hawfinch     2 mo. Good 31. 2. 64.5
    Black tailed Hawfinch     1 mo. Good 30. 1.7 56.6
    Java Sparrow       Good 28. 1.2 42.8
  Passerina ciris,                
    Nonpareil Bunting     9 mo. Good 15. .5 33.3
  Pipilo erythropthalmus,                
    Towhee     1 yr. 2 mo. Good 16. 1.2 75.
398                     
Turdidæ:                
  Turdus iliacus,                
    Red winged Thrush     5 yrs. 6 mo. Good 55. 1.5 27.2
                     
Pittidæ:                
  Pitta strepitans,                
    Noisy Pitta.       1 yr. 8 mo. Good 92. 2.5 27.
                     
Crateropodidæ:                
  Garrulax leucolophus,                
    White crested Jay Thrush     2 yrs. 6 mo. Good 105. 2.7 25.7
                     
Picariæ:                
Rhamphastidæ:                
  Rhamphastos cuvieri,                
  Cuvier’s Toucan     11 yrs. 9 mo. Thin 356. 8. 22.4
                     
Bucerotidæ:                
  Lephoceros flavirostris,                
    Yellow billed Hornbill     1 yr. 9 mo. Good 177. 6. 33.8
                     
Striges:                
Aluconidæ:                
  Aluco pratincola,                
    Am. Barn Owl     1 mo. Good 470. 11. 23.4
                     
Bubonidæ:                
  Bubo virginianus,                
    Great Horned Owl     1 yr. Good 1,415. 12. 8.4
  Otus asio asio,                
    Screech Owl     1 day Good 122. 6. 49.
  Strix varia varia,                
    Barred Owl     11 yrs. Good 1,022. 12. 11.6
                     
Psittaci:                
Psittacidæ:                
  Conurus cactorum,                
    Cactus conure     1 yr. 6 mo. Good 64. 4. 62.5
  Chrysotis leucocephala,                
    White fronted Amazon       1 yr. Good 251. 8.5 33.8
399  Chrysotis levaillanti,                
  Levaillant’s Amazon       1 yr. Good 300. 12. 40.
                     
Accipitres:                
Serpentariidæ:                
  Serpentarius serpentarius,                
    Secretary Vulture     2 wks. Good 3,768. 15. 4.
                     
Falconidæ:                
  Haliæetus leucocephalus,                
    Bald Eagle     1 yr. 3 mo. Good 2,860. 15. 5.2
                     
Columbæ:                
Columbidæ:                
  Ocyphaps lophotes,                
    Crested Pigeon       3 mo. Thin 142. 2. 14.
  Lophophaps leucogaster,                
    Plumed Pigeon       Good 52. 1.2 23.
  Phaps chalcoptera,                
    Bronze winged Pigeon     4 yrs. 2 mo. Good 219. 1.5 6.8
  Columba phæonata,                
    Dark backed Pigeon     2 yrs. 9 mo. Good 360. 2. 5.05
  Scardapella squamosa,                
    Ground Dove     2 yrs. 9 mo. Good 23. 1.7 64.
  Zenaidura macroura carolinensis,                
    Carolina Dove     2 yrs. 9 mo. Thin 92. 1. 10.8
                     
Galli:                
Phasianidæ:                
  Coturnix pectoralis,                
    Stubble Quail     2 yrs. Good 70. .7 10.
  Lophortyx californica californica,                
    California Quail     1 yr. 4 mo. Good 180. 1.5 8.33
  Arboricola atrogularis,                
    Black throated Hill Partridge     1 yr. 2 mo. Good 151. 2.5 16.
  Meleagris gallopavo silvestris,                
    Eastern Wild Turkey       Good 6,340. 12. 1.9
400                     
Cracidæ:                
  Ortalis vetula,                
    Mexican Guan     2 yrs. 2 mo. Thin 442. 5. 11.3
                     
Megapodidæ:                
  Catheturus lathami,                
    Brush Turkey     3 mo. Good 1,487. 5. 3.37
                     
Alectorides:                
Gruidæ:                
  Grus lilfordi,                
    Lilford’s Crane     1 yr. 4 mo. Good 3,790. 18. 4.7
  Tetrapteryx paradisea,                
    Stanley Crane     3 yrs. 3 mo. Good 4,450. 13. 2.9
                     
Steganopodes:                
Anhingidæ:                
  Anhinga anhinga,                
    Darter     3 yrs. Good 251. 8.5 33.8
    Darter     7 yrs. 6 mo. Good 998. 6. 6.
                     
Herodiones:                
Ardeidæ:                
  Nycticorax nyctanassa,                
    Yellow crowned Night Heron     1 yr. Good 620. 7. 11.3
                     
Ciconiidæ:                
  Leptoptilus dubius,                
    Adjutant Stork           7,873. 36. 4.5
  Leptoptilus crumeniferus,                
    Marabou Stork           4,580. 24. 5.2
                     
Plataleidæ:                
  Carphibis spinicollis,                
    Straw necked Ibis           1,665. 89. 4.8
                     
Palamedes:                
  Palmadea derbiana,                
    Derbian Screamer     3 yrs. Good 2,730. 10. 3.6
    Derbian Screamer     1 wk. Thin 1,700. 8. 4.7
401                     
Anseres:                
Anatidæ:                
  Cygnopsis cygnoides,                
    Chinese Goose.     2 yrs. 6 mo. Good 2,740. 15. 5.5
  Plectropterus niger,                
    Black Spurwinged Goose     9 yrs. Good 2,735. 13. 4.7
  Cereopsis novæ-hollandiæ,                
    Cereopsis Goose     2 yrs. 3 mo. Good 2,370. 9. 3.6
    Cereopsis Goose     1 yr. Good 2,748. 11. 4.
  Anser domesticus,                
    Sebastopol Goose     3 yrs. 2 mo. Good 3,106. 19. 6.1
  Anser fabalis,                
    Bean Goose     12 yrs. 6 mo. Good 2,640. 13. 4.9
  Chloephaga magellanica,                
    Upland Goose     2 wks. Thin 1,822. 8. 4.4
  Coscoroba coscoroba,                
    Coscoroba Swan     1 mo. Good 1,915. 9. 4.7
  Anas platyrhynchos,                
    Mallard Duck     3 yrs. Good 1,471. 8. 5.4
    Mallard Duck.     3 yrs. Good 525. 6. 11.4
  Dafila acuta,                
    Pintailed Duck.       3 yrs. Good 489. 6. 12.2
  Fuligula ferina,                
    Pochard     4 yrs. 6 mo. Good 600. 6. 10.
                     
Struthiones:                
Struthionidæ:                
  Struthio molybdophanes,                
    Samoli Ostrich     9 yrs. 3 mo. Thin 60,000. 37. .65
                     
Casuariidæ:                
  Casuarius papuanus,                
    Papuan Cassowary     8 yrs. Good 24,000. 30. 1.3
402

SECTION XIII-PART II
THE EYE

Inflammations.

Conjunctivitis is rather rare but does occur in all varieties of animals, seldom however, to the extent that the specimen has to be sacrificed. So far as the daily reports can be relied upon we have had no epidemic inflammations of the eye. The parrots and monkeys are the only animals that can be handled enough for treatment, and in them the applications have not seemed very efficacious. Two cases of conjunctivitis and iritis have had a tuberculous basis and two other specimens have had tuberculosis in the eye. Two parrots had, in association with generalized tuberculosis, semisolid masses in the orbit which dislocated the bulb, thickened the lids and presented as yellowish granulating tumors under the conjunctiva; a Swainson’s long-tailed jay (Calocitta formosa) had this lesion on both sides. The only case in a mammal concerned an Anubis baboon (Papio anubis) in which one eye had been enucleated, two weeks before death, for purulent ophthalmitis. The other eye became affected shortly after the extraction and the animal was killed; it was found to have caseous pneumonia. The tuberculous process had probably begun in the region of the optic nerve and involved the whole bulb. Secondary infection with pyogenic cocci had been superimposed upon the original process. Keratomalacia, encountered on a few occasions, will be discussed by Doctor White.

Iridocyclitis was found in a white browed guan (Penelope superciliaris) the notes of which are condensed as follows:

The internal organs show nothing of value pathologically. The right eye shows moderate conjunctivitis and a marked thickening of the cornea with complete opacity. The lens is destroyed and the 403retina infiltrated by gelatinous material. Humors are watery, non-suppurative, but the fundal portion of the retina shows several poorly circumscribed, yellowish white, gelatinous collections. Microscopical section of cornea shows replacement of normal bundles by wavy ones intermixed with small numbers of nuclei. These are never of inflammatory type, but always of connective tissue type. Conjunctival mucosa defective in centre, puckered but shows no subjacent inflammatory features. Ciliary body richly infiltrated by lymphocytes and vessels distinctly congested. This condition extends over whole anterior surface of iris and for a short distance over posterior. Sclera shows much bone formation. Chronic interstitial keratitis, subacute interstitial iritis and cyclitis.

Cataract.

Opacities of the cornea are quite common among our specimens, most often due we believe, to local trauma; ungulates exhibit them more than other varieties. Cataractous opacities of the lens are frequently observed in senile animals but, while I have no figures for the statement, I believe they are not as common among our specimens as can be observed in domestic horses and dogs. No record has been made of streaky clouds or spots in the lens but only of complete opacities. There are three only, an aoudad (Ovis tragelaphus) a macaw (Ara macao) and a summer duck (Aix sponsa) the last of which alone is interesting. This bird, a fully developed adult female, was killed because of total blindness and found to have a low grade chronic pancreatitis and a bilateral Morgagnian cataract, the lens capsule containing a thin cloudy fluid with the nucleus quite freely movable in it.

Amblyopia.

A very interesting case of amblyopia in a young monkey was studied and reported by Dr. H. M. Langdon and Doctor Cadwalader in the Journal of Comparative Pathology and Therapeutics, Vol. XXVIII, Part 4. Because of its unusual character and careful investigation, the report is reproduced here:

Pigtailed macaque (Macacus nemestrinus) was born June 9, 1913, in the monkey house, a well developed baby. He thrived and was as 404good as any for his age. He was never known to have anything wrong with him until on the morning of June 3, 1914, when he was found on the bottom of the cage in the monkey house. He had clenched hands and feet, jaws tightly closed, lips drawn back, eyes staring and glassy, with convulsive shaking of the extremities. At intervals he would become limp, with fists still clenched, and with only occasional jerks in the extremities. This would last about a minute, and then convulsive movements would be resumed. The entire “fit” lasted about ten minutes. He was immediately removed from the large cage in the monkey house to a small one in the back room of the laboratory. When put in the small cage he staggered as if dazed, and groped about apparently blind. He never recovered his sight entirely, but at times seemed to see better than at others. He was not seen in a “fit” in the laboratory. On June 24th, a small piece of banana was offered by a person who stood directly in the sunlight. The monkey came to the front of the cage, reached out and grasped very firmly the thumb of the hand holding the banana but did not take the banana although he very plainly wanted it. The banana was thrown into the cage, hitting the monkey on the back. He turned very quickly, then smelled over the floor of the cage until he found the banana. On June 30th, he was examined by Doctor Langdon and the following condition was noted:

“Pupils react to the light of the ophthalmoscope. Optic discs are normal. Arteries possibly a little small. No other fundus changes.” On July 1, a cloudy day, he was laid facing a window. A coat sleeve was laid over his eyes for a minute and then quickly removed. His pupils were seen to react slowly but distinctly to the light. His gaze would not follow a finger moved in front of his eyes. When put back in the cage he climbed up on the wire at the back and then tried to climb the plain sheet-iron side. He groped and felt for a support and then fell. This he did several times. About August 1, when the eyes were examined, there seemed to be more visual perception and very distinctly prompter pupillary reflex, which condition remained about the same when examined October 1. He died October 10, 1914, of a compound fracture of the right femur inflicted by a monkey in the adjoining cage.

At autopsy the viscera appeared normal throughout. The animal was fairly well nourished. There was about 5 cc. clear, pale yellow fluid under the dura. It escaped upon removal of the brain. There were adhesions of the dura over the temporal lobe (inferior surface), posterior and external to the optic tract, so firm as to remove some periosteum and superficial bone. Rest of dura seemed normal.

Examination of the brain. Sections were made from different parts of the cerebral cortex, all of which were more or less alike. There was swelling of the endothelium of the pial lymph spaces, with some separation of the fibres of the pia itself which extended into the sulci. The perivascular lymph spaces of the larger arteries of the cortex were dilated, and the adjacent cerebral tissue was edematous. A well marked endothelial swelling and hyperplasia affected a number of the arteries 405and capillaries producing marked general or nodular thickening in some places. Accompanying these hyperplastic changes there was a marked calcification of some of the arteries. This was not confined to one tunic, but in some instances it extended almost completely through the vessel wall, and here and there the lumen of a vessel was nearly obliterated. The main features were endothelial hyperplasia, edema of the pia and of the subpial cortex with some calcification of the vessels. It was perhaps less well marked in the occipital lobes than in other parts. The optic nerve and other portions of the brain appeared to be normal.

Moon Blindness.

It seems also profitable to repeat here a report Dr. H. M. Langdon and I made in 1911 upon a horse with periodic ophthalmia or “moon blindness,” a widespread condition and one upon which there is even to-day little known and much contradictory theorizing. It is worthy of record that Dr. J. H. W. Eyre of Guy’s Hospital, had a case to study at the same time as ours. He did not find the protozoön-like body discussed below, but laid weight upon the isolation of St. aureus, an organism often mentioned in the literature about this disease. I cite the whole report since our publication in the 1911 Report of this Garden seems not to have been quoted in any of the reference articles on “Moon blindness.” Those who are interested in the clinical and pathological sides of the question will find a good summary in Veröff. aus der-Jahres. Vet. Berichten der beamt. Tierärzte Preussens, 1908, and the bacteriology of the equine eye by Karsten, Inaug. Disser. Giessen, 1909.

“During the latter part of 1909 and first part of 1910 we had a horse referred to us suffering with recurrent ophthalmia or moon blindness. This affection, suggested by its name, is supposed to have some relation to the lunar periods. Some points in our work showed that such may be the case. Attacks appear not infrequently at the time of the full moon, and in our only experimental infection twenty-eight days elapsed between inoculation and a general ocular inflammation.

406“This affection manifests itself as a conjunctivitis early in the attack, but rapidly progresses to an iridocyclitis and lastly to a panophthalmitis. After each attack the ball is smaller until it is so shrunken as to be sightless from chronic thickening and opacities. The causation is not known. The disease behaves not unlike an infectious one, remaining in a stud for years at a time. Not every horse may be affected. It has been connected with dampness, bad fodder, overwork and the like. Again others have connected it with malaria or rheumatism. Potapenke, Vigezzi, Koch and others have found various microörganisms, no two of which seem to be the same. Even an animal organism like malaria has been described. (Whether or not malaria has anything to do with the disease, it must be said that our horse was favorably affected in regard to temperature as well as to the eye condition by repeated subcutaneous injections of Quinine Bisulphate, Grain xx daily.) The attacks last five to nine days. One or both eyes may be attacked and not uncommonly do they alternate. One eye may cease to have attacks while the other continues. The experiments here recorded were made with the idea of transmitting the disease to other horses. They were only partially successful. During eight months the affected animal referred to us had six attacks of ophthalmia. The attack was observed for study on the first occasion, but during the second his anterior chamber was entered by a needle attached to a syringe, the exudate aspirated and injected into the eye of a horse with apparently healthy eyes. The history of this second horse will be given later. The attacks of the first horse ranged from six to twelve days. Five of the six affected the left eye and one the right. In January, 1910, the left eye was used for further inoculation, and following this traumatism complete recovery never took place. The corneal scar left by the needle tract almost disappeared, but an inferior anterior synechia formed and was followed by a spreading opacity of the 407cornea, much wrinkling of the iris and opacity of the depths. After the fourth attack in this eye it was completely blind. Material was obtained from this eye during its last attack, but it was merely serous fluid containing a few blood cells and epithelium, but no bacteria.

“In transferring the affection from this animal, the conjunctival sac was washed with 1–5000 bichloride of mercury solution and well rinsed with salt solution. The anterior chamber was then entered with an aspirating needle and the exudate removed. This consisted of 0.4 cc. slightly turbid straw colored fluid containing a few shreds of lymph. Bacteriological cultures, moist and dry preparations were made from a part of this, while the remainder was introduced into the anterior chamber of the second horse. This animal’s eye showed the effects of the traumatism for eight days, and then was normal save for a small opaque spot in the cornea left from needle puncture. After twenty-three days a small patch of lymph collected in the pupil. This increased slowly accompanied by lacrymation until the twenty-seventh day, when a sudden and violent conjunctivitis arose. The lymph in the anterior chamber likewise suddenly increased and rapidly became pus, forming a hypopyon. The conjunctivitis became purulent. The violent stage lasted five days and slowly subsided, leaving an ectropion with a densely injected bulbar conjunctiva, almost complete corneal opacity and an irregular contraction of iris, apparently due to several small synechiæ. The depths could not be seen because of the corneal condition. This stage of affairs remained during the rest of the animal’s life, two months. He was permitted to live to see if an exacerbation of this chronic process or involvement of the other eye would appear. Such not occurring in two months, he was killed and the eyes removed. Fluid removed from the left eye of the first horse when killed during the last attack was injected into the anterior chamber of a third horse. This animal’s eye received 408the operation well and the trauma had entirely disappeared when the animal died on the eighth day.

Laboratory Examinations.—From fluid removed from horse eye (No. 1) anaerobic cultures made on milk and blood serum, blood agar, glycerine agar; cultures were made directly from the fluid, while the coagula were dried upon slides and stained as follows: Loeffler’s, Gram’s, Giemsa. In all there are very few recognizable bodies. They are red blood cells, polynuclears and a very few small mononuclear cells. In regard to microörganisms three structures present themselves. A well staining Gram-positive, rounded end rod of fairly uniform size but tending to grow in pairs and stain rather irregularly with Loeffler and Giemsa. These forms are sometimes called ‘dumbbell’ in that they are bipolar, or even seem to have a constriction in their centre. Another form is peculiar and cannot be said to be recognized as a bacterium. It is circular, of fairly regular size and contour and in many places looks like a very large coccus. In Loeffler’s stain it is colored deeply in the centre with a paler marginal zone and an unstained halo about it, which, however, is not like a capsule. In the Gram and Giemsa method it is deeply blue or purple with a retractile centre and very sharply outlined contour. These forms varied from 3 to 5 microns. The third form is a wavy delicate short mycelium-like thread. Smears from the cultures as made above showed chiefly a Gram-positive, rounded end rod but which did not grow on planting out. It grew on aerobic media, but was not found on anaerobic. The Gram-positive organism would not grow beyond the fourth generation. It was not identified with any known species by the characters manifested during the short time we were able to keep it alive but could be placed in the Hog Cholera group. The mycelium was found to be an aspergillus. In regard to the large coccus-like body, little can be added to the above description. Further examination did not reveal characters permitting us to 409place it among the protozoa. No evidences of division were seen. The body is quite uniform in appearance, varying only in size. Whatever this is it seems to be an organized body.”

“Cultures from pus in the anterior chamber of the second horse showed the palely staining rod, an aspergillus and Micrococcus aquatilis. The first was planted on horse serum bouillon, but did not grow after the first generation. These cultures were made after death, but the cultures made during the acute attack direct from conjunctival sac contained such a host of organisms that no judgment could be formed of their relative importance. The polar staining rod was found in smears. No large coccus-like bodies were observed in the second horse. Fluid taken from the first horse’s eye at death was sterile.”

“These observations are at variance with those of others but such results are not unique in this respect. It seems as if the polar staining rod deserves some consideration, and we expect to devote some attention to it if another horse suffering from recurrent ophthalmia come to our notice. The large coccus-like bodies are very interesting and may be protozoa. The finding of the amœba in the cases of Potapenke, increases their importance. Before, during and after the fourth attack of the first horse twenty grains of quinine bisulphate were given hypodermically daily for twenty days. The attack was very mild. Before the drug was given his temperature had ranged from 99° to 101° F. Immediately after the first dose the temperature fell to below 99° F., and remained at a very regular level during the entire twenty days. No malarial organisms were found in the blood.”

The ear is without special interest except as a place of localization of sarcoptes, demodex and fly larvæ. A few cases of acute catarrhal otitis media have been found in association with nasopharyngitis both of the nonspecific variety and that which resembles distemper. One case which led to meningitis has been mentioned.

410

SECTION XIV
CONSTITUTIONAL DISEASES

There is a long list of diseases including among others such conditions as hyperthyroidism, osteodystrophies, diabetes and gout which are spoken of as constitutional but which in reality are usually dependent upon some lesion peculiar to a definite organ. Several have been discussed under systemic diseases so that there remain for consideration in this section only two, gout and diabetes.

Constitutional diseases are recognized in wild animals either not at all or by some happy chance which permits of examination direct enough to elicit diagnostic criteria. Gout has been discovered for example in some parrots and herons because of their swollen feet and their movements. In veterinary practice fairly accurate diagnoses are possible but in wild collections they are nearly always hit or miss. Therapeutics naturally follow this rule.

Gout.

Gout in mammals has been observed in the London Zoological Garden but has not been encountered here or we have overlooked it. Avian gout on the other hand in one of its forms comes to our attention not infrequently. It occurs most often in parrots, gallinaceous and anserine birds and herons; occasionally accipitrine birds will suffer with it, an observation more often recorded in European collections than with us. The figures show no predominance of percentage for any order but the records indicate that the most beautiful examples of internal uratic deposits occur in the anserine birds and parrots, while the best specimen of general gout, including the joints, was found in a boat-billed heron (Cancroma cochlearia) quoted below.

411In so far as etiology of this disease is concerned in domestic stock, too rich food, especially in protein, and restriction of activity seem to be credited with the greatest influence. These factors, while doubtless of importance for birds as they are believed to be for man, do not seem to fill all the requirements since all our specimens are confined and, because of their lack of exercise, possibly receive too much food. Judging by our observations and by publications from other gardens, carnivorous birds are not conspicuous for the incidence of gout whereas grain- seed- and fish-eaters suffer more often. This suggests that these varieties cannot dispose of dietary protein which might be excessive for their metabolism while in captivity, whereas carnivorous species have a digestive and chemical reserve to take care of excess protein. Some such accommodative power must exist in human beings since not every large meat-eater develops gout. Heredity, often blamed for the human disease cannot help us with these birds. Examination of the diet list at the Garden does not reveal a great percentage of concentrated protein in the feed of the grain- and seed-eaters. The disease occurs too seldom to disturb the accepted dietary for its possible elimination. Studies now going on may indicate appropriate changes in the dietaries that might be responsible.

Arthritic gout appears usually in the pedal joints but may be found in the wings. Irregular, sometimes very deforming swellings appear which must be tender judging by the quietness of the bird and by its behavior if the joints be touched. Most often the swelling seems greater upon the flexor (palmar) surfaces of the toes or in the end of the tarsal articulation. Aside from these few observations there is nothing peculiar about the attack or the specimen during its sickness. Chronicity seems to be the rule and little emaciation may be found. Appetite is normal or excessive, provided the food can be reached.

412Internal or serous membrane gout cannot be recognized during life so far as I know. The bird may seem in its usual condition of feather, activity, appetite and elimination, when suddenly it will fade in a day or so and die. At autopsy the serous surfaces of the heart and peritoneum will be white with uric acid crystals and the kidneys a pale yellow brown with markings indicating that the pelves and tubules are choked with urates.

The boat-billed heron (Cancroma cochlearia) had had bad feet for three months. The general condition is poor as to plumage and flesh. The tarsal and metatarsal joint areas of both legs are surrounded by firm tough swellings involving skin and periarticular tissue. That on left foot has ulcerated and bled. On section the swelling is found to consist of reddened fibrous tissue around tendons, the latter apparently running through smooth sheaths. At both ankles are urate deposits clearly seen in this inflammatory tissue but at the lower end of the tarsus there are no distinct deposits. The joint surfaces do not seem to be involved. Knee, hip, and wing joints seem uninvolved. Internally all surfaces are opaque by sprinkling of whitish or yellowish dots like urates; this is especially marked over heart. Pleuræ aside from urates are negative. Lungs very slightly uniformly congested throughout. Aorta and branches are stiff, intima smooth. The liver is soft, deep brown color, architecture seems normal. The kidney has a smooth capsule and a smooth pale yellow surface. Organ is firm. Section surface is glistening and opaque, every lobule clear, pelves filled with pale yellow material, cortical areas irregular. Alimentary tract negative. Microscopical section of kidney shows general topography retained, vessels very much injected, some showing thrombosis. Cortex slightly irregular probably by swelling of medulla. Tubular epithelium swollen and granular or desquamating and degenerating. Glomeruli vary in size and shape, mostly fill out the capsule. Capillary cells show some vacuoles. Some urate collections in tubules; practically all pelvic tubules have some urates. Interstitial tissue not increased. Blood vessel walls somewhat loose. Endothelium prominent. No areas of degeneration seen.

Diabetes.

Diabetes is an infrequent but well recognized disease among domestic animals. Its detection depends on a rather vague chain of symptoms confirmed by the discovery of sugar in the urine. For the suspicion that a wild animal was suffering with diabetes one would have 413to rely upon great thirst, loss of flesh, depression, excessive urination and possibly cataractous opacity of the eye. Such a chain of symptoms has not been detected. At every occasion at postmortem that the bladder is full of urine, a routine examination is made. In this way we detected one case which seems to have been diabetes, the diagnosis being based upon the glucosuria and the lipemia. For some unknown reason a section of the pancreas was not made, a regrettable matter since a definite purulent gingivitis existed and may have lain at the basis of an infective pancreatitis, well known to be the cause of certain cases of diabetes. The case is recorded in full since it is unique, no other case in a wild animal being fully reported.

The arctic fox (Canis lagopus) ate and appeared well the day before it was found dead. Diagnosis—Diabetes mellitus. The animal was in good condition. The left conjunctiva was reddened, congested, edematous, with slight mucopurulent discharge in canthus. Muscles have a cloudy appearance. Fat lacks rich yellow color. The general impression of anemia is present. Lungs and pleura are normal throughout. Heart muscle is pale, firm and tough. The tricuspid shows thickening of the edge of posterior leaflet, the mitral shows slight sclerosis of edge of mesial leaflet. The auricles are distended with clot. Left ventricular wall is greatly thickened. Upon incising the heart the surface of blood shows fine fat globules. Peritoneum is normal. Liver is slightly increased, surface smooth, edges rounded, consistency soft, color brownish red with yellow mottlings which are without definite boundaries; the section surface is moist, granular and opaque. The bile is fluid, green-yellow and the duct is patulous. The spleen is slightly enlarged and soft. The kidney is slightly enlarged, capsule strips easily leaving a smooth, purplish red surface; section surface is glistening, moist and exudes blood; consistency is slightly softened; cortical striæ very distinct. The bulging cut surface and poor demarkation of cortex and medulla characteristic of acute nephritis are present. The organ shows fat globules in the expressed blood. The adrenals are very small, firm, brown, bean-shaped bodies with a brownish medulla. The bladder is slightly distended with turbid urine. Urine shows dark granular casts, compound granule cells, spermatozoa and a positive Fehling’s test. Prostate is large and firm and a turbid material exudes from external meatus. The mouth shows several decayed teeth. In the neighborhood of last molars on left side of upper jaw a bead of pus exudes; further pressure results in no greater flow. The stomach is 414distended with a great quantity of undigested food and gas; no worms. Serosa and wall normal but anemic. Duodenum normal. Jejunum contains numerous worms about 1 to 1.5 cm. long; it is distended with gas. The pancreas is large, soft, like fat, white; it extends between the layers of mesentery along the course of the duodenum; at first the pancreas was mistaken for fat.

Histological Notes.—Spleen shows a distinct overgrowth of trabeculæ. Beyond this there is nothing pathological. Liver shows distended portal venules in which there are chains of bacilli. There is no especial fibrous overgrowth of capsule of Glisson; capillaries are choked with shadow corpuscles and here too, long chains of bacilli may be seen; parenchyma cells show postmortem change. Adrenal is the seat of postmortem degeneration, not congested, nor is there any evidence of bacterial invasion. The kidney shows no interstitial changes, in fact the section seems to be entirely normal save for moderate congestion. Vessels show no bacteria.

415

SECTION XV
THE RELATION OF DIET TO DISEASE

BY
Dr. E. P. Corson-White

Food in the widest acceptation of the term, means every thing ingested that goes, directly or indirectly, to growth, repair of the body, or production of energy, all of which phenomena must continue when food is withheld or supplied in insufficient quantities. Under the latter condition the processes go on at the expense of the body tissues as these are protected only when the diet is adequate in every way. A proper diet, therefore, must be one on which an animal will attain maximum development, maintain a normal weight curve, show a minimum susceptibility to disease, live out a full term of life, breed normally, and rear healthy offspring, capable of normal independent life after they are weaned. It must fulfill the caloric needs of the body, and in young animals it must also supply the growth impulse. In its physical properties it must fit the morphological demands of each type of gastrointestinal tract. In its chemical content it must supply all the elements found in the body in usable form, and in amounts sufficient to cover the needs of the body for growth, repair and waste. To evaluate fully the influence of food on the individual animal it is necessary to study its relation: (1) to the type of alimentary tract, (2) to the type of bacterial flora and their metabolic processes, (3) to the chemical needs of the body, (4) to the changes arising in the catabolism and anabolism of all types of food, (5) to exercise or its lack, keeping in mind always the constant interdependence of all factors. Our knowledge of nutrition has to a very large extent 416paralleled the advances in chemistry, especially the researches into the structural makeup of living cells, the intermediate stages in their upbuilding and degradation and the products resulting from their physiological activities.

Incorrect feeding both qualitative and quantitative undoubtedly plays an important rôle in producing disease. In the early works on nutrition, the proportion of fats, carbohydrates and proteins was regarded as the essential point of a normal diet. The researches on the composition of foods marked the first real epoch in this history and Fischer’s[57] studies on the variation in the composition of proteins from different sources first introduced the idea of quality. Later Mendel and Osborne investigated the biological values of purified proteins, while at the same time McCollum and others were studying the value of the groups of proteins occurring in a single natural food stuff, were calling attention to the so-called vitamines, and were emphasizing the need of balanced inorganic materials. These studies have practically revolutionized our knowledge, particularly of the effects of badly balanced foods. They have clearly demonstrated that dietary values can, in all probability, be discovered only by careful biological study of feeding experiments together with the finer analysis of the components of the diet, especially of the protein and fat radicles. At the same time a definite appreciation of the rôle of each element in metabolism must be kept in mind.

These varied studies on nutrition have shown that the chemical requirements of a diet are in their ultimate analysis essentially the same for all species of the higher animals—that is all require approximately the same amount of protein, fat, carbohydrate, etc., per kilo of body weight, while the morphology of the tract decides the physical properties of the diet.

417

Relation of Food to Alimentary Tract.

Food derived from animal sources is high in protein, readily digested, and highly putrefactive. This type of diet is suited to an alimentary tract which permits rapid passage through its length, and is fitted with sturdy walls. The gastric section is simple, the intestine short and narrow with ill-defined separation of its parts into small gut, cecum and colon. This type is found in all land Carnivora. The fish-eating carnivores have a strong tubular stomach and an enormous length of intestine, but no cecum. The omnivores occupy a middle place. In them the alimentary tract consists of a simple stomach, a short wide intestinal tube, and a more complex, although still comparatively simple, cecum which is generally longer than that found in the carnivores. This tract is too small to manipulate the bulky vegetable masses necessary to provide their minimum protein requirement, and too long and complicated to dispose quickly of the putrefactive animal tissue. Among these animals colitis is common, due to the fact that the shape and position of this part of the tract favors stasis, or at least a sluggish movement of its contents at a point in the digestive scheme where the food residue is rich in protein by-products, ready for bacterial growth.

The herbivores with food derived from plants which requires a long period of time for its digestion, have, on the other hand, voluminous stomachs, or large ceca or both; and very long small intestine. In this tract the concentrated food of the carnivores would provide an enormously excessive protein intake or if only the protein requirement is supplied would leave the tract so empty that it would be unable to functionate.

All studies in comparative anatomy demonstrate the fact that while neither a complex stomach nor a large cecum is essential to the digestion of vegetable food, a capacious and complex alimentary canal, as a whole, bears a relation to vegetable diet, particularly in the mammals. 418Either a highly developed concentrated glandular apparatus is added to the stomach, as in the wombats, beavers and dormice, or the stomach is subdivided, sacculated, or otherwise amplified as in the ruminants and herbivorous marsupials. Sometimes both complexities are combined as in the case of the sloths. If the simple stomach is retained, it is supplemented by a large sacculated colon or cecum, as in the horse. In birds, the proventricle is larger in meat- and fish-eaters, while the gizzard is more muscular in grain- and insect-feeders, and the intestines are longer in those devouring coarse green grass and leaves. The length of the ceca is related entirely to the diet, the long ones corresponding to the diet which needs protracted periods of time to exhaust its nutriment.

The Bacterial Flora.

The bacterial flora harbored in the intestinal tract is closely related to the type of food and to the character of the alimentary tract. Levin[58] found sterile intestinal tracts in white bears, seals, reindeer, eider ducks and penguins when in the Arctic regions; but these same animals when they are brought to a temperate climate rapidly acquire intestinal bacteria. The function of the normal inhabitants of the tract is, probably, to protect the body against invasions of obnoxious species. Herter found in man that a few species adapt themselves to the digestive tract and control the growth of newcomers capable of doing injury. These common varieties become a source of danger only when present in large numbers.

Bacteria which produce decomposition of food in the digestive tract are of three types: (1) Pure putrefactive anaerobes, (2) organisms both fermentative and putrefactive, but tending generally to antagonize the putrefactive anaerobes, and (3) fermentative organisms. In the stomach, fermentation of carbohydrates with the 419production of organic acids is a frequent occurrence. Putrefactive types are very rare except with pyloric stenosis, a condition which favors excessive fermentation by diminishing the tone and motility of the stomach and the amount of hydrochloric acid. This condition is further increased by excessive carbohydrate food. In general the products of fermentation tend to restrict putrefaction, yet both may be operative. In the small intestines, bacteria are always present because of the protein richness of secretions, the rapid digestion of food and the slight or ineffectual antiseptic properties of intestinal juice, bile and pancreatic secretions. The putrefactive bacteria rapidly increase and decompose any protein that is unabsorbed—a process most marked in the colon because its shape and position favor stasis or slow movement of its contents. In general the greater the amount of unabsorbed and digestible protein and the longer the material stays in the intestinal tract, the greater the putrefaction. The meat-eating animals develop Gram-negative bacilli, while the carbohydrate-eaters show a predominance of Gram-positive types.

Ingested food never contains the enormous amount of bacteria found in the feces. The alimentary tract with its contents forms a most efficiently combined incubator and culture medium, in which bacterial growth exceeds that of any known location both in intensity and complexity. The range of reaction and composition of nutritive substances at different levels of the intestinal tract is such that a great variety of bacteria capable of growth at body temperature develop. The prominent types that appear in the flora of each order of mammals are fairly constant in their occurrence. They depend primarily on food ingested, and show well marked seasonal variations, dependent again on changes in food. Faulty feeding may itself give rise to a toxic condition of the gastrointestinal tube, and thus often prepares this soil for the development of organisms.

420The intestinal flora also changes along rather definite lines as the diet of the host changes from the monotony of the infant to the variety of the adult. At birth the tract is sterile, but bacteria soon make their entry through the mouth in food and water. The majority of these organisms pass to the stomach where many are destroyed, but a number travel to the intestines where they may gain a foothold. There is always a mechanical transportation of intestinal bacteria from higher to lower levels. A continued preponderance of protein in the diet of all animals leads to a partial or complete suppression of the Gram-positive acid-forming groups and an increase of the proteolytic Gram-negative types; while on the other hand an excess of carbohydrate leads to diminution or suppression of proteolytic activity and an increase in the fermentative organisms. Therefore the most important normal factor in determining the intestinal flora in health is the chemical composition of the ingested foods.

The nature of the dominant organisms which develop in diets rich in carbohydrates varies with the carbohydrate itself. In all ordinary diets there are (1) starches—forms not readily fermentable, and (2) sugars—which are largely absorbed from the higher levels of the small intestine, leaving residual starches and proteins in relatively great concentration in the lower levels. Therefore the obligate fermentative organisms are prominent only in the higher levels, the facultative appear in the intermediate places, and the obligate proteolytic organisms in the lower intestines. This accounts in a measure for the great increase of lower intestinal disturbances in omnivores. Complete proteins resist putrefaction, but the products of protein digestion and of the intestinal secretions constitute the main substrata for putrefactive bacteria. Animal protein develops more active proteolytic bacteria than vegetable protein, which accounts for the greater predominance of putrefactive infections in carnivores than in omnivores.

421There are two important factors to consider in discussing the influence of diet on intestinal bacteria: (1) The substitution of types, which frequently follows a monotonous diet, and (2) the change in metabolism of existing types of bacteria when dietary conditions are such that the intestinal medium at one or another level fluctuates in its content of usable carbohydrate and other nutrient. The nature and extent of these modifications and their effects upon the host vary greatly, not only qualitatively but quantitatively. An invasion of the tract by exogenous bacteria, as the dysentery bacillus, cholera, typhoid, etc., in food or water may lead to a more or less pronounced replacement of some of the normal intestinal types by these alien organisms, and to the production of disease.

The importance of all the foregoing facts concerning the changes in the food, in the intestinal cultural substrata and in the advent of new kinds of organisms was emphatically demonstrated in the marked fall in gastrointestinal diseases in carnivores after proper screening of meats. The simple protection of the food given to these animals eliminated the air bacteria which, entering from dust and flies, alter the chemistry of the meat before consumption or change the flora of the intestine after consumption. Normal organisms, or types indistinguishable from them, may multiply, through unusual conditions, extend their normal habitat, and eventually lead to abnormal reactions detrimental to the host. These facts throw considerable light on the site and character of gastrointestinal lesions found in various orders, a subject to be discussed more fully later.

There are many intestinal disturbances of unknown causation, in some of which bacteria presumably play a secondary part. The primary disturbance is due to the products resulting from the action of bacteria upon food. Many toxic bodies are produced either before or after ingestion by the bacterial decomposition of carbohydrate, 422fat or protein, independent of any actual infection. The symptoms arising from bacterial decomposition of foods depend largely on the organism concerned and vary from a mild intoxication to a severe toxemia.

Relation of Dietary Groups to Autopsy Diagnoses.

Analysis of the autopsies on file from sole point of view of dietary habits of the animals gives rather interesting groupings of disease states, which apparently and, in some cases definitely, emphasize the relationship between food, metabolism and disease. (Table 19.)

From this table a few facts stand out prominently. It is definitely shown that both birds and mammals on a diet of mixed animal and plant tissue show a low percentage of disease in the gastrointestinal tube, liver, pancreas and kidney. The mammals on this diet give the highest figures for anemias and degenerative osseous conditions. Birds on this diet show very little osteomalacia, but a fair amount of anemia. Possibly this may be accounted for by the fact that all of them pick gravel and may be able from this to supply some of the inorganic deficiency. Carnivorous birds and mammals, on the other hand, show an exceedingly large assortment of gastrointestinal disorders, diseases of the accessory glands of digestion, and of the kidneys. Disorders of the thyroid gland are almost entirely confined to carnivorous mammals—7.5 per cent., compared to 0.25 per cent. in all other orders. Gout, while common among birds, was not present in any mammalian autopsy, while arthritis in mammals reached its highest record among grass- and grain-eating herbivora. The percentage of rickets was highest in the young carnivores (2.6 carnivores as against .4 per cent. in all other mammals), and was very rare among all birds.

The succulent vegetable diet was lowest in its relation to degenerative visceral disorders and highest in acute gastritis; the latter fact was probably due to the fermentation 423of soft moist food that requires rather a long time for its primary digestion. This type of food has also a high and easily available sugar content which makes it a very favorable medium for many of the fermentative types of bacteria. Most of the lesions in this group were around the pylorus and upper duodenum.

Table 19.
An Analysis of the Pathological Findings Described in the 5,365 Autopsies from the Point of View only of the Dietary Habits of the Animals. The Percentage Results Represent the Proportionate Number of Cases of Each Pathological Lesion Found in the Entire Group of Animals on Each Special Diet without Reference to Zoological Orders.
Disease states Mammalia 1860 Aves 3505
Omnivora Carnivora Herbivora Omnivora Carnivora Herbivora
Succulent Vegetables Grain Seeds Succulent Vegetables
Malnutrition .1 1.6 .6 2.2 .05 .4 .1  
Food Poisoning .3     2.5 .05 .2 .08  
Acute Gastritis 3.2 6.3 9.3 3.1 .9 2. 1.3 13.5
Acute Duodenitis .5 .3   .5 .1 1.4 1.2 5.4
Acute Enteritis 2.5 3.4 3. 3.1 7. 1. 8. 5.4
Acute Gastroenteritis 26.3 53.2 19.9 29.2 25.3 38.6 35.6 64.8
Chronic Gastritis 1.1 6. 2. .8 .2 1.4 .3 5.4
Chronic Enteritis 2. 5.6 3. 2.2 1.1 3.3 1.3 13.5
Colitis 1.9              
Acute Pancreatitis .1 2.2 1. 3.1 .4 .6 .08  
Chronic Pancreatitis .5 1.7     .2 1.2 .5  
Acute Liver Disease .8 1.3 .3 1.4 4.2 2.8 2.5 2.7
Chronic Liver Disease 3. 6.3 3.3 6. 1.1 2.5 1.6 13.5
Acute Nephritis 9.1 12.2 12.7 12.4 5.1 6.7 4.1 8.1
Chronic Nephritis 4.5 11.6 6.7 7.8 2.9 6.7 2.1 13.5
Myocardial Degeneration .1 .34   1.1 .3 2. .4 8.1
Arterial Disease .1 3.1 .3 2.2 .3 3.1 .66 1.8
Anemia pernicious .3 .32            
Anemia secondary 4.2 .32 1.2 1.5 1.1 2.5 1.5  
Thyroid Disease   7.5 .3 .7 .3 .2 .3  
Adrenal Disease 1.6 1.3 .3 1.5     .08  
Diabetes   .2            
Osteomalacia 5.2 .4 2.3 .2 .1 .6 2.8  
Osteitis deformans .6              
Arthritis   .3 .3 2.2   .2 .08  
Rickets .1 2.6 .6 .7     .08  
Gout           .4 .08  
Sore Eyes   .3   .2 .1   .3  
Malignancy .05 .9 .6   .05   .6  
Tuberculosis 32.6 3.5 4.5 9.6 12. 1.7 17.2 5.7

424Overeating is a factor that must be borne in mind when considering the hay- and grass-eating herbivora. Packing of the rumen is a not infrequent discovery. This condition is also found in certain seed-eating birds. As a supply of food is constantly at the disposal of these animals and exercise is prevented by captivity, continuous eating becomes their principal diversion. In this group also food poisoning was highest, a condition which may be due to (1) spoiled food, (2) poisonous substances in the foods, (3) fermentation of grass foods (spoiled hay or musty fodder). Malnutrition also, is higher than with any other diet, due probably to the somewhat meagre nutritious value of the food. This group also shows a high percentage of acute pancreatitis, degeneration of the liver, myocardium and arteries. Arthritis was present in this group 2.2 per cent., against 0.2 per cent. in all other groups.

A study of Table 19 demands a constant recollection of the morphology of the tract involved and its main points of vulnerability, the bacteria capable of living on the particular type of food or its constituents and the by-products produced during the digestion and absorption of these foods. Not one of these factors can be ignored in evaluating the influence of diet, which to be correct must supply elements in proportions that are chemically available for body needs (for instance, Von Wendt[59] found that more iron was required if the diet was deficient in calcium). These proportions must be worked out by carefully combined chemical and biological experiments.

Malnutrition.

There was one omnivorous beast, a Hamadryas Baboon, which represented the only true case of starvation, probably induced by nostalgia, as it never ate after coming into the Garden. Thirty cases of partial starvation or malnutrition are listed in our records, the 425majority among the rarer specimens, ten carnivorous, seven herbivorous and one omnivorous mammals, ten carnivorous and two seed-eating birds, due possibly to inappropriate diet or to some unknown factor that rendered the diet inadequate. At the autopsy nothing was found to account for death except the draining of all storage supplies.

Starvation.

The reports of studies conducted during long laboratory fasts have been among the most valuable records for the understanding of the chemical requirements of diet and of the close chemical interrelationship existing between the different food factors. In absolute starvation life is very short, primarily because water is necessary for respiration, for dissolving products of metabolism and for preventing changes in digestive intestinal secretions. The amount of water needed varies with different species of animals. If the water is supplied, the organism is enabled to maintain its energy for continued existence from the destruction of its own tissues. The length of life depends upon the amount of protein ingested before the fast commenced, and the amount of stored fat and glycogen, especially that stored in the liver. The mechanism of the results is similar. The animal body uses first its available glucose, and when this is partially exhausted burns its stored fat and protein. The fat combustion is usually defective, ketone bodies appearing in the urine in large quantities. The change from fat to protein metabolism accounts for the premortal rise in metabolism which occurs usually a few days before death. The chemical composition and corpuscular richness of the blood is tenaciously preserved; glucose and protein concentration are practically normal up to the day of death. There is at times a slight increase in globulins and always an increase in fat due to its transportation from storage depots. The cause of death is 426primarily due to loss of substance in organs necessary to life and to an acid intoxication.

Wasting occurs first in stored substances, fat, glycogen, etc., then in the least used organs. The bones usually show some rarefication. The animal, as a rule, dies from acid intoxication before atrophy of the organs is marked.

In the wild, when animals are forced to seek their food with the expenditure of much energy and where feasts are often followed by fasts, this using up of storage supplies cannot help being a factor in preserving the integrity of the storage and eliminative organs. In captivity this cannot occur. Food is supplied regularly, exercise is lacking, consequently overloading and disease of storage and eliminative organs is more or less constant—a situation very marked in the Carnivora.

Table 20.
Detailed Analysis of the Various Diets Used at the Philadelphia Garden on Basis of 100 Grams of Mixed Food.
Omnivora Carnivora Herbivora Succulent Vegetables Herbivora Coarse Food
Mammals Birds Meat Fish Mammals Birds Hay Food Seed Food
Protein 14.3 11.5 15.6 17.2 6.1 3.2 6.4 7.1
Fat 9.5 7.2 18.8 .3 2.6 .5 2.2 1.3
Carbohydrate 26.7 41.2     18.5 25.7 35.9 51.2
Calcium .034 .068 .058 .109 .067 .025 .071 .044
Magnesium .058 .093 .118 .133 .164 .119 .289 .16
Potassium .497 .713 1.694 1.671 .538 .242 .644 .324
Sodium .103 .284 .421 .373 .08 .291 .089 .261
Phosphorus .263 .484 1.078 1.148 .556 .342 .692 .458
Chlorine .117 .377 .378 .528 .038 .044 .073 .063
Sulphur .338 .486 1.146 1.119 .134 .125 .217 .163
Iron .0032 .0063 .015 .0055 .0018 .0012 .0022 .0012

A further study of Table 19 in the light of the finer analysis of the ingredients of the diets, shown in Table 20, explains, at least in part, the high percentage of certain types of disease in relation to particular diets.

In the food of the first group, the omnivorous mammals, there is a moderately increased carbohydrate content and an unevenly balanced inorganic content, the 427last being the factor most at fault. The calcium and phosphorus are both so low that at the best the animal could only be in equilibrium, while any drain of the fixed bases would sooner or later have to be replenished from the calcium and phosphorus storage depots, the bones. Osteomalacia is most marked in the Cebidæ, monkeys whose diet is even lower in these same elements: calcium .025, phosphorus .116, and iron .0008 per 100 grams of food. The inorganic composition of all animals is grossly similar; the typical digestion developed from the habitual diet of the animal explains the more apparent changes and variations in their reactions to certain deprivations.

Irregularities of Inorganic Metabolism.

Twelve essential elements are present in the body, namely: carbon, nitrogen, hydrogen, oxygen, phosphorus, calcium, sulphur, sodium, chlorine, potassium, iron, magnesium. Of these, five are furnished by the protein molecule and three of the five are duplicated in the fats and carbohydrates; the remaining seven must be present in the mineral ash. These elements functionate in three ways, (1) as constituents of bone, (2) as essential elements of organic compounds, (3) as soluble salts in body fluids. Chlorine, sodium, sulphur are supplied in sufficient quantity with most diets. In the case of chlorine, marked differences exist between the herbivores and carnivores. The meat-eating mammals easily acquire sufficient sodium chloride from the flesh and blood of their victims, while the herbivores on the other hand, find in their vegetable food large amounts of potassium and very little sodium or chlorine which must therefore be acquired separately. Both omnivores and herbivores crave salt, probably because this large potassium content of vegetable food tends to increase the sodium elimination. A deprivation of salt always leads to a distaste for foods rich in potassium. So far as is known excessive sodium stimulates 428protein catabolism, and through the overstimulation of the digestive tract, may interfere with the absorption of food.

Sulphur is largely taken into the body in organic combination with the protein, (a very little inorganic sulphur appears in the drinking water) therefore if the protein requirements are adequate the sulphur will usually be adequate.

Magnesium is abundant in meat and most plant tissues; so that except in diets of highly refined foods, it is more often excessive than deficient.

The other elements, calcium, phosphorus and iron are frequently insufficient, especially for animals on omnivorous diet (cf. Table 20). Phosphorus enters into every living cell, and in cases of starvation is excreted up to the last. It is involved in practically all the cell functions. In the body it is present (1) as an inorganic compound in the bone tissues and blood where it helps to maintain neutrality, (2) as phosphorus-containing protein, phosphatids and phosphoric esters of a carbohydrate, all closely associated with the cell and its nucleus. In foods, phosphorus occurs in the same positions, that is, inorganically or combined with protein, fat or carbohydrate. It is not entirely proved but is very probable that the phosphorus in organic combination has the greater metabolic value, inasmuch as there is greater storage of nitrogen and stimulation of tissue growth on foods containing phosphorized proteins, fats, etc. It has been shown, however, that the animal body can satisfactorily supply its phosphorus requirements by inorganic phosphates. The omnivorous diet, even the widely varied diet of man, is very often deficient in phosphorus, a fact which becomes very important when we consider that the omnivorous diet produces many acid residues which must be neutralized, and that phosphorus is largely responsible for the maintenance of tissue neutrality. Voit showed that the phosphates excreted during starvation were 429withdrawn from the bones; and there is much proof that during the daily metabolism a certain slight movement of phosphorus takes place. The metabolized phosphorus is excreted by carnivores practically from the kidney alone; by herbivores almost entirely through the intestinal wall, while in the omnivores it is excreted by kidney and intestinal tract. Whether these facts have any real influence on the phosphorus need of different types is not altogether determined.

Calcium also enters into many of the essential functions of life, coagulation of the blood, contractility of the heart, etc. Omnivorous diet is usually deficient in this element, which is very irregularly distributed both in animal bodies and plants. Insufficient amounts lead to deprivation of body tissues and to the production of osteomalacia-like conditions. Voit produced marked thinning of the skull bones and sternum by a diet poor in calcium. Steenbok and his associates had the same results in cattle by feeding “shorts” a diet rich in magnesium. Etienne[60] showed that an excess of magnesium in an otherwise well balanced food caused a continual loss of calcium. Adults stand a deprivation of calcium much better than children or young animals. They often show no symptoms and retain a normal blood content as the losses from the blood and soft tissues are promptly replaced from the bones. Sooner or later all these animals show weakness and flexibility of the bones. Osteomalacia occurred in 5.2 per cent. of the animals on an omnivorous diet, that is this number showed gross evidence of absorption of bone salts. This condition occurring in man and the lower animals is a generalized softening of adult bones that were at one time normally calcified. Three clinical varieties are recognized in man: a mild form seen in pregnant, puerperal and lactating women, a senile form in which the lesions are usually limited to the pelvis, and a severe progressive form 430encountered in both sexes and at any age. This last form ends in marasmus. Its chemical characteristic is a loss of calcium and phosphorus with retention of sulphur and magnesium.

The progressive type has occurred very frequently among the Cebidæ whose diet on careful examination, showed a protein content low in quantity, poor in quality, and especially deficient in the phosphorus-containing proteins and total fat. The carbohydrate was high. The ash was small in amount and predominatingly acid. The daily ration often showed only an unweighable trace of calcium, phosphorus or iron. Sodium, potassium, sulphur and magnesium, on the contrary, were present in amounts sufficient for equilibrium or in excess. The Vitamines A.B.C. were present but were not always correctly proportioned. The fat soluble A was low and in some daily rations was entirely lacking.

Diet has at various times been proposed as at least one factor in the production of this condition, a premise that has gained considerable weight through the increase in the number of cases, both in man and in the domesticated animals, reported from the war-famine district of Central Europe where the dietary was restricted and unbalanced. It has been shown that when calcium is low in the diet, the amount excreted materially exceeds the intake. Benedict[61] has further shown that even during absolute fasts calcium is excreted. The requirements of this element for man have been fairly well worked out, but for animals we have no standards. Still it seems certain from the foregoing observations that storage supplies are called upon very early in cases of deprivation, while in pregnancy and lactation when the calcium requirements are greatly increased, a reason is found for a higher incidence of osteomalacia, Steenbok and Hart[62] have shown that the skeletons of cows and goats gave 431evidence of a drain of inorganic salts during the production of milk unless the calcium and phosphorus of the diet were liberally supplied. In osteomalacia it would seem that inefficient diet, if not the cause, was at least a very potent factor in pathogenesis. The disturbance of the calcium-phosphorus-metabolism may be due to the deprivation of the alkaline salts as in the famine osteomalacia, to a drain from the alkaline storage of the body associated with an inefficient diet as in the osteomalacia of pregnancy and lactation or to the combined action of a diet faulty in more than its salt content, which by the production of acid in its oxidation and by favoring the development of acid-forming bacteria, causes a drain of the body alkali for neutralization of the acid; or it may possibly be due to a combination of all these factors acting through their influence on the ductless glands.

Paget’s disease or Osteitis Deformans is a chronic constitutional process which usually involves all the bones of the adult skeleton. DaCosta[63] believed it to be a disorder of bone metabolism probably dependent upon absence or perversion of some internal secretion. We have had the unique opportunity of observing three cases of this disease in Cebidæ, the family of monkeys which has presented the highest incidence of osteomalacia. The experience is all the more interesting because of the typical picture presented by the specimens, and of the absence of references in the literature on the subject, to the occurrence of the malady in wild animals. The interesting point about these cases lies in the fact that the disease appeared in all three only after lime water was added to the diet to supply the deficiency of calcium.

Search for literary record of the disease brought to light a case in a horse that Barthelemy[64] described, but this involved the epiphyses of the bone while osteitis 432deformans is confined as a rule to the diaphyses. This case was probably more closely allied to osteitis fibrosa cystica. Goldman[65] described examples in fowls and Rossweg[66] refers to specimens in domestic goats and monkeys. Many of these cases first come under observation through fractures, an accident common to osteomalacia, but very rare in well developed osteitis deformans. The diet of our monkeys was exceeding low in those substances essential to bone development. Sherman[67] has shown that the calcium balance is regulated to a certain extent by the calcium ingested, and that when the diet is poor in this element, the output materially exceeds the intake, a condition which is definitely changed when the animal is put on a diet high in calcium.

So far as we could find there are no recorded studies of the mineral metabolism of beginning cases of Paget’s disease. It seems possible from the study of osteomalacia that the low mineral and otherwise faulty diet, added to the symptoms produced by that diet might so disturb the chemical equilibrium, directly through the neurotrophic mechanism or through the perversion of the ductless glands, that the mere addition of the lime water might entirely change the pathological picture. This is in accord with the histology where the initial lesion is resorption of bone followed by irregular proliferation. It is also in accord with the probable chemistry of calcification. These animals all showed a lowered carbon-dioxide-carrying-power of the blood, and therefore lowered ability to carry calcium in solution. It is possible that Paget’s disease is but a stage in a deficiency disease, a faulty reparative response through a disordered neurotrophic mechanism, or through a perversion of the glands governing calcium metabolism. Such perversion could 433be caused by an improperly balanced diet, or by the addition of an excess of calcium to the diet of an animal whose body fluids were unable by reason of previous faulty diet or other disorder, to hold it in solution. In young animals the calcium demands are much higher than in adults, a need met in the high calcium content of breast milk, a content in excess of almost every other food, but apparently just sufficient to maintain calcium equilibrium. After it is weaned the young animal frequently shows disorders of its inorganic metabolism. Herter estimated that a child should store at least 0.1 gram of calcium daily and he described many cases of arrested bone development occurring during infancy and early childhood, because of an inefficient assimilation of calcium. One case, probably of this character, was found in a Hamadryas Baboon (Papio hamadryas) a typical example of infantilism. The animal was an adult male about half the size of an adult female. His skin was fine and more delicate than normal, the bones were small and slender, contour of body was that of a young animal, genitalia were imperfectly developed, thyroid gland apparently normal, gastrointestinal tract atrophic, associated was a slight arthritis, portal cirrhosis of liver and diffuse nephritis.

First among the results of inorganic insufficiency in youth stands Rickets. This disease occurs in children starting usually at about the sixth month and continuing with irregular remissions for several years. The bone changes, which are the most prominent, are always associated with more or less severe anemia, a general lowered resistance and flabby musculature. The excretion of calcium is very high in the feces and low in the urine. There is a frequent negative calcium balance dependent upon the great loss in the feces. Healing is preceded by a hyperretention of calcium and a relative increase in the urinary calcium. The excessive loss of calcium in the feces is not brought about through the 434agency of fats because fat could only remove calcium as insoluble soaps and these are not at all increased. This fact contradicts the idea of fat starvation as a cause of rickets. Howland and Kramer found that the blood in active rickets had a normal or slightly lowered calcium content, but a regularly reduced phosphorus content. The latter deficiency was extreme at times. They ascribe to this deficiency the failure of the bones to calcify. It can be readily understood that a decrease of phosphorus in the blood would render difficult the precipitation of calcium phosphate.

Recently two series of studies, the first by Pappenheimer, Zucher and McCann and the second by Shipley, McCollum, Park and Simonds have shown that rats fed on a diet low in calcium but with a sufficient amount of fat soluble vitamine and phosphorus develop a bone condition with many fundamental resemblances to rickets. They were also able to produce the condition with an excess of calcium and deficiency of phosphorus. On the first diet, the condition differs from rickets in that the arrangement of the proliferating zone of cartilage cells is maintained and the evidence of bone resorption in the diaphyses is excessive. A diet deficient in both calcium and phosphorus leads to an atypical rickets.

In the animals autopsied at this Garden rickets occurred very much more frequently in the flesh-eaters than in any of the other dietary groups. On closer analysis it was found that rickets in almost every case appeared in the carnivores which did not receive bones as a part of the food. Rickets occurred frequently in the omnivorous macaques which however did not show osteomalacia, although they belong to the same dietary group as the Cebidæ. The reason they did not suffer the latter disease while adult but had rachitic young is probably due to the fact that this monkey group, which breeds best in our Garden, receives in addition to the diet given to Cebidæ one raw egg. This increased the calcium content 435of their food more nearly to the requirements of these mammals. These monkeys also have mouth sacs, which enable them to acquire more food per kilo of body weight than the smaller Cebidæ which are not so advantageously equipped. The food even in the amounts consumed by the macaques is low in calcium, phosphorus and iron. It is very possible that there are enough of these ingredients present as a rule, to maintain the animal in organic equilibrium, during normal life, and possibly even enough to supply the needs of the embryo but not sufficient to maintain the young during the period of lactation. A few macaques dying during the delivery of young showed slight osteomalacic changes in the pelvis. This was notably present in one described in detail by E. A. Schumann.

The calcium requirements of the female are always much increased during pregnancy and lactation due to the withdrawal from the mother to meet the needs of the embryo and nursling. Forbes and Beegle[68] found that lactating animals made heavy drains on their storage calcium even when the diet was liberal and the animal was storing nitrogen.

Iron is the essential element of hemoglobin and chromatin—the body constituent most directly concerned with the process of oxidation, secretion, reproduction and development. The iron of the food is absorbed from the small intestines, enters the circulation through the lymphatics, is deposited in the liver, spleen, and bone marrow and eliminated through the intestinal walls. There is very little iron reserve in the adult body; and as a result any failure of the intake to equal the output causes an immediate reduction of the hemoglobin. Voit found that the iron eliminated in the feces of starving dogs, or dogs on a diet low in iron comes from the body through the intestinal walls. Medicinal iron stimulates the production of hemoglobin and red blood cells but 436whether it is directly employed in the production of hemoglobins has not been proved. Undoubtedly most of the extra iron given with the food passes through the alimentary tract without being absorbed or metabolized. The greater the amount of iron in the food, the greater the influence of the inorganic iron. Anemia occurred in all the animals we examined at least four times as frequently in omnivorous as in all the other dietary groups, a fact probably explained by the low content of iron and calcium in this diet. Both Von Wendt[69] and Sherman[70] demonstrated that larger amounts of iron were required to maintain the iron equilibrium when the amount of calcium was low.

Herter has shown that many anemias are associated with intestinal putrefaction. The carnivores, however, on a diet that putrefies very easily and on one in which the iron content is apparently of distinctly lower nutritive value than that of the iron found in milk, eggs and vegetables, presented an anemic incidence of only 0.32 per cent. This is probably due to the excellent hygienic care of the meat foods and to the morphology of the carnivorous intestinal tract, which is short, straight and fashioned for quick elimination. The cases of anemia steadily increase among the animals as the conformation of the tract approaches the omnivorous type with the longer and wider hind-gut.

Herbivora, obtaining their iron from vegetable sources, are much less liable to blood disorders. The iron needs of the female are greater than those of the male because of the drains of pregnancy and lactation. Young animals demand more iron than adults. All exclusively breast-feeding animals have a considerable storage of iron in the body at birth, while those that eat food immediately have no such supply. Bunge’s[71] 437experiments showed that breast-fed animals contained about six times as much iron as the milk that nourished them. The iron content of all these animals is highest at birth, remains constant during the suckling period and then rapidly decreases to the adult standard. After this level is reached the iron metabolized must be supplied from the food if the hemoglobin is to be spared.

The functions of all these inorganic substances are intimately interrelated and in places interchangeable. Calcium is capable of correcting disturbances of inorganic equilibrium in the animal body whatever the direction of the deviation from the normal may be. These interrelationships are most involved in the maintenance of body neutrality. The normal processes of metabolism involve a continual production of carbonic, phosphoric and sulphuric acid which must be immediately disposed of if the neutrality of the body is to be permanent.

The factors involved in this are carbonates, phosphates, ammonia and proteins. Carbon dioxide is the chief excretory product but is at the same time a normal constituent of the blood and as such, is an important factor in this physicochemical regulation. There is a tendency for the respiratory mechanism to hold its carbon dioxide tension nearly constant. Late investigations have shown that lowering of this tension is an early sign of beginning acidosis. When food such as protein, is taken in excess the strongly acid residues are neutralized by the sodium and potassium carbonates which are eliminated with a corresponding loss of sodium and potassium. The carbon dioxide tension diminishes, 37.2 per cent. on a high protein as against 43.3 per cent. on a vegetable diet. If this excess is long continued, the result may be, and often is, an increased elimination of the base-forming elements which if not made good tends to diminish the body’s reserve alkalinity. A diet with a preponderance of basic elements leads to an alkaline urine with an increased uric acid solvency and an increased carbon dioxide tension 438and reserve alkalinity. A diet with a preponderance in the acid-forming elements, on the contrary, leads to an increased urinary acidity and urinary ammonia, decreased ability to dissolve uric acid and lowered carbon dioxide tension and alkaline reserve.

Deficiencies of Vitamines.

Recent investigations have shown that diets furnishing sufficient amounts of protein, fat, carbohydrate and inorganic salts may yet prove inadequate for growth or even for maintenance. Hopkins,[72] feeding rats on purified food mixture was unable to obtain any growth until he added small quantities of milk or of the ether-soluble portion of milk but with this addition growth progressed in the normal manner, but it was out of all proportion to the energy or protein value of the addition. Five substances of this character, called by Funk[73] Vitamines, have been described, two of which have definitely established a place as essential food factors. According to him, pellagra, rickets, scurvy and beriberi are the result of a lack of these unidentified but specific and indispensable food complexes.

The first vitamine isolated was the fat soluble A, an adequate supply of which is necessary, not only because of its stimulating growth properties, but because its absence produces a serious condition of the eyes and, at times, marasmus leading to death. Xerophthalmia is a common condition in animals on experimental diets. The eyes are swollen, the cornea inflamed and often opaque while blindness and death invariably occur unless the dietary error is corrected. McCollum[74] rescued animals almost at the point of death by butter or other fat rich in this vitamine. Opacities of the cornea are often seen in the animals in this and other gardens among ungulates—hay-eating 439mammals; four advanced cases were found, three in seed-eating birds and one in a fox on a diet made up solely of horse muscle. The quantity of vitamine A present in muscle, hay and seeds is very small. It is supplied in largest amounts in milk, eggs, glandular organs and leaves, substances which were very low or absent in the diet of all the affected animals. This xerophthalmia has been reported in man on several occasions, especially by Hrdlicka[75] in American Indians, by Mori[76] in 1400 Japanese during a period of food shortage (this epidemic was cured by the addition of chicken livers to the diet), by Bloch[77] in forty-seven children of Copenhagen fed on a fat free milk who were cured by the administration of cod liver oil. The disease is not however a fat starvation, as it is entirely uninfluenced by vegetable fats which do not contain this vitamine.

Beriberi is an established deficiency disease, frequently seen among the poorer classes of the Orient whose diet is limited to polished rice and fish. It has appeared in Labrador coincident with the excessive use of bolted flour. A similar condition has been induced in pigs and cattle by a diet made up of an excess of cotton seed meal and tankage. Two forms of the disease are described: (1) acute or wet, characterized by marked edema, ascites, hydropericardium, hydrothorax, edema of the lungs, and a congestion of the spleen, liver, kidney, and heart muscle, (2) chronic or dry, characterized by polyneuritis. The disease was first produced experimentally in pigeons by Eijkman[78] in 1897 by means of a diet of polished rice. The paralysis appeared in 2–3 weeks after the diet was initiated. Fraser and Stanton[79] in 1907, found that it could be cured by an 440alcoholic extract of rice polishings. Funk[80] later determined the vitamine character of this extract. In pigeons and fowls experimental feeding usually results in the chronic or polyneuritic form, expressed by a typical degenerative inflammatory condition of the peripheral nerves. In pigs, on the contrary, Rommel and Vedder[81] produced both types, though the acute or wet beriberi appeared more frequently. In rats the same deficiency causes multiple hemorrhages in the cerebellum and midbrain followed by a degeneration of the associated nervous structures. It is possible that the pathology following a lack of the vitamine B or in fact any of the vitamines will vary with the different species or with varying demands of different individuals. This antineuritic vitamine affects more than the nervous system, and it is possible that all vitamines may have wider effects than are at present described.

Scurvy was the first condition to call attention to diet as a cause of disease. It occurs in man when deprived of fresh vegetables. That faulty diet was in some way the cause of scurvy has been known for many years, but only since 1905 has there been any systematic attempt to determine the peculiar value of the curative foods. At this time Theobald Smith[82] called attention to a disease suggestive of scurvy which developed in guinea-pigs fed on a diet of oatmeal. This observation was confirmed by Holst and Frölich[83] who stated that the disease could be prevented by the addition of fresh milk or cabbage, because in these foods there was present an antiscorbutic or C vitamine. This unidentified substance was easily destroyed or diminished by heat or an alkaline medium. It was found in rather large amounts in succulent vegetables and fruits. McCollum[84] and his 441coworkers showed that the oat kernel was low in inorganic salts and vitamine A and poor in the quality of its protein; but with these faults corrected it proved to be a complete food for rats. McCollum also found that scurvy developed more readily in animals if the physical properties of the diet favored constipation. He was able to delay the onset of the disease in guinea-pigs for a considerable period by the addition of mineral oil which has no food value, or phenolphthalein, a cathartic. At the same time, Jackson and Moore,[85] found the cecum of all guinea-pigs dying of scurvy, packed with putrefying feces. They were able to produce a mild type of the disease by the injection of the diplococci isolated from the swollen joints.

From these observations it seems safe to conclude that scurvy may not be purely a deficiency disease, or even a simple dietary one, although the presence of a vitamine influence is not excluded; but it is probably the result of a bacterial invasion of tissues debilitated by a faulty diet and by the toxins produced by the putrefactive bacteria developing in a diet unsuited to the anatomical demands of the alimentary tract. This theory receives support from the fact that pasteurization destroys all aciduric bacteria, allowing only the spore-forming putrefactors to develop; and from the fact that scurvy develops more frequently in children on stale pasteurized than on stale raw or boiled milk. In this Garden no suggestion of scurvy has been noted.

Pellagra is very definitely a disease of poverty endemic for years among the poor, especially in the mountains of Northern Italy. It has been under observation in the United States since 1907. So far as is known no cases have been observed among animals. Opinions differ as to the rôle of diet in the etiology but the results of recent studies seem to show that uncomplicated cases of average severity clear up entirely on a diet rich in 442animal protein. No vitamine deficiency has so far been determined. Wilson’s careful studies of the diets known to have produced the condition show that the etiological factor lies in a deficiency of the protein molecule. The results of Goldberger[86] corroborate this fact, and he concludes from his latest studies that “the dominating rôle of diet in the prevention and causation of pellagra is referable primarily to the character of the protein supply or to the specific quality of the aminoacid makeup of the protein supply.” Just what aminoacid or combination of aminoacids it is, has not been determined, nor has the possibility of a vitamine alone or in combination with the aminoacid factor been absolutely excluded.

The principal influence of the omnivorous diet is toward those degenerations arising primarily from imbalances in the inorganic makeup, or to insufficiencies of certain necessary factors. The vitamine deficiencies are markedly less prevalent in animals than in man whose food is less often consumed in its natural state. It is now known that much of the injury and loss of nutritive value in foods is produced by the processes involved in preparation, preservation, refinement and storage. Whenever the choice of food is not restricted, vitamine deficiencies do not occur. The vitamine requirements probably differ in different species and in individuals from the same species according to their environmental and individual variations. It is very possible that if the diet is low in vitamine content there may arise conditions of relative deficiencies; and McCarrison has shown that a vitamine deficiency associated with a high fat or carbohydrate content may disturb the balance of the endocrine glands. It is however to the inorganic content of the omnivorous food that most of the disturbances peculiar to this diet are to be assigned.

With the flesh eating animals and birds the records present a very different picture. Disorders of the digestive 443tube, of the storage organs, of the organs of elimination and of the endocrine glands predominate. Their diet is low in carbohydrates and, at times, in fats and very high in protein. Bone supplies the inorganic salts, which in this Garden is fed only to the larger mammals. The carnivorous birds get their inorganic supply from mice which are eaten entire. The carnivores are as a rule large and are given to active fighting or to long flights. In the wild, very probably there are long periods between feasts, while in captivity the food is always plentiful and regularly supplied. This regularity added to the lack of exercise, particularly among the larger animals, must lead to excessive demands upon the storage and eliminating organs. Storage is always promoted by rest and liberal diet, and cleared away by exercise and starvation. The life of these birds and mammals, moreover favors inactivity of the bowels, which, together with the highly putrefactive diet adds another serious factor to a problem which in gardens is almost insurmountable.

Irregularities of Carbohydrate Metabolism.

The carbohydrates are derived from the glucose and glycogen of the meat and from the protein molecule. They are absolutely less than in the diet of herbivores but become a factor in the disorders of this group because of the lack of exercise and the regularity of feeding. In digestion the carbohydrate becomes available for absorption and bacterial growth in the upper small intestine and appears on the other side of the intestinal wall as blood glucose in which form it is burned for energy or stored as glycogen for the future maintenance of the blood glucose.

The blood of different animals has a glucose concentration between 0.05–0.1 which for each species is quite constant, as it is regulated by the coadaptation of four factors: combustion, fermentation of glycogen, formation of fat, and elimination from the kidney. In excessive 444feeding the amount needed for energy is burned, the remainder is stored in the liver up to its capacity, then in the muscles and other cells, after which fat is formed and all further excess is eliminated by the kidney. Overfeeding causes an immediate overloading of the oxidative mechanism with symptoms of gastric disorder, achylia, and at times acid fermentation with irritation of the stomach walls and the development of bacteria in the organ. This is frequently followed by glycosuria, several types of which are described: (1) associated with an increased concentration of glucose following excessive ingestion exceeding the normal glycogenic function of the liver, a form common among the Herbivora, (2) that due to a reduction of the glycogenic function of the liver, (3) that associated with disease of the ductless glands in which the resulting glycosuria probably depends upon the influence of these glands upon the pancreas, (4) that dependent upon the defect of glycolysis or to an overstocked liver seen in gout, obesity or hypertrophic cirrhosis, and (5) renal glycosuria due to a lowering of the renal threshold and usually associated with gout, arteriosclerosis or chronic nephritis; this last is best explained on the ground of increased renal permeability. Normally when the blood sugar concentration rises above a certain level the elimination via the kidney begins and continues until the blood has again reached its normal concentration. The relation of the kidney to glucose concentration is not constant and variation is always toward the side of lesser elimination while the kidneys become accustomed to the higher level.

Diabetes, a disease of the islands of Langerhans in the pancreas, is essentially a disturbance of sugar metabolism always associated with an exaggerated and defective fat and protein combustion. It is not only that the diabetic has lost the faculty of combustion but these abnormalities all establish states of intoxication to which the diabetic must sooner or later succumb. Among lower 445animals the disease is rare. Dogs are most frequently affected (about 1 in 12,000 deaths). It has also been described in horses, cattle and monkeys. In our records there was one case an Arctic fox (Canis lagopus) presenting a typical picture. Degeneration of the islands of Langerhans was seen in three other animals, but there was no other evidence of diabetes. This disease is not due to diet but to the absence of a normal ferment (pancreaticozymo-excitor) for one particular type of food.

Irregularities of Fat Metabolism.

Disorders of fat metabolism are very rare among lower animals notwithstanding the fact that fat even in the carnivorous diet, represents about 13 per cent. of the whole intake. It plays two important rôles in the body, storage for energy reserve, and as a most essential structure in cellular protoplasm, in which position it joins with protein in complex combinations of still unknown composition which present to a striking degree the phenomenon of absorption. Very marked biological differences exist in the value of fats from different sources, due to the presence or absence of vitamines. The body fat is derived from the fat of the diet or is synthesized from glucose. The former is specific to the fat consumed while the latter is specific to the animal. In omnivores the type depends upon the varying extent to which animal fats enter the diet, in carnivores it depends almost entirely on the fat intake, while in the herbivores practically all the fat is synthesized from the carbohydrate. On digestion, fat splits, yielding a glycerol and fatty acid which are collected in the lymph spaces of the intestinal mucosa, there changing to some complex combination which is not only soluble but diffusible.

Fatty infiltration and fatty degeneration are conditions of much pathological interest and of great frequency in captive animals. The researches of Mansfield[87] have 446thrown considerable light upon these conditions. He found that the total fat content in cases of most marked degeneration was normal or reduced. The proportion of fat free from protein was increased and the firmly bound fat decreased. This increase is due to neutral fat brought from without the organ by the blood when for any cause the oxidative powers are decreased, and setting free of the previously invisible intercellular fat and lipoids, which are normally present in the cells, by autolytic or physicochemical changes. This condition is pretty evenly distributed among the dietary groups, the liver being most commonly involved. The hepatic cells are easily degenerated by the toxins or other harmful substances passing through the organ and become passive and unable to throw off or to utilize the deposited fat. In all probability the same general situation occurs in the atheromatous changes in arteriosclerosis which on this diet shows a high incidence. The causative agent is probably some poisonous substance, possibly a protein degradation product, indol, pressor substance, acting on the intima over long periods, or at irregular but often repeated periods causing first destruction then fat accumulation. It is also possible that it may be caused by repeated absorption of some sensitizing protein. Arteriosclerosis in these animals is often closely associated with nephritis.

Obesity may result from excessive ingestion of food in individuals whose habits are sedentary and whose digestions are active or it may come from an inherent abnormality of metabolism dependent upon ductless gland disease. It is very common in castrated animals. The obesity of overeating is always of milder type than that associated with endocrine disturbance.

So far as is known there are two main disorders of fat metabolism—the failure of the diabetic to form fat from glucose, and acidosis, the inability of the organism to burn fat beyond betaoxybutyric acid, acetoacetic acid, or acetone. 447The symptoms are unsteadiness of gait, stupor, coma, air hunger, in all of which the essential features are due to the impoverishment of the body in available bases. In infants this frequently follows an excessive fat diet. It is also common in starvation due to the deprivation of sugar. It is associated with phosphorus poisoning, narcosis, carcinoma, liver disease, inanition, etc. It has been produced experimentally by the administration of acids or by foods deprived of their bases. The excess of acid in the body whether produced in the body or introduced from without must be neutralized in part by the ammonia manufactured in the ultimate metabolic transformation of the protein and by the alkaline salts of the blood and tissues. When alkali is reduced the carbon dioxide accumulates in the tissues, blocking oxidation. The urine immediately shows an increase of ammonium salts, a decrease of the urea and an increase in the output of sodium, potassium, calcium and magnesium, which last two are drawn from the bones.

Symptoms do not arise until the fixed alkalies are exhausted; and they are immediately relieved by the administration of alkalies, except in those cases of starvation where the administration of sugar and the subsequent sparing of the fats relieves the situation. In herbivores, acidosis does not follow starvation, but, on the other hand, it is markedly easier to excite it in herbivores than in carnivores whose heavy protein diet produces more ammonia, which better enables the animals to protect their fixed alkalies. The acid intoxication of infections arises from different causes and is dependent on the intensity of the type of infection; but ultimately it also depends upon the depletion of the fixed alkalies.

Irregularities of Protein Metabolism.

Fat and carbohydrate disturbances are not infrequent in carnivores, but it is with the protein fraction of the diet that most of the trouble is connected. Natural foods 448contain several proteins or groups of proteins, whose biological adequacy depends upon their yield of aminoacid. Experiment has shown that many proteins are entirely lacking in one or more of these essential radicles; and no food can be adequate unless it contains at least all the aminoacids that the individual animal is unable to manufacture for itself. So far as is known, no animal can produce in itself either lysin or tryptophane. Gliadin, the principal protein of wheat and lacking in lysin, is unable to support growth even when given in amounts sufficient to insure the storage of nitrogen, and is associated with a diet adequate in all other factors. Absence of tryptophane prevents not only growth but maintenance. Any of the aminoacids, whose radicles are contained in tissue proteins, may contribute to the maintenance of adult equilibrium; but no growth occurs unless all the necessary groups are present. Except in laboratories, diets are never made up of isolated proteins, but they are often composed of proteins derived from one plant and are often deficient. McCollum and his associates in their studies showed that while there were pronounced differences in the composition of many foods used by men and animals not only in their protein content but in water, fats, carbohydrates, etc., yet in the combinations found even in rather restricted diets, the errors, as a rule, corrected each other.

During digestion the protein molecule is broken down into the component aminoacids which are absorbed and synthesized in the intestinal walls, and appear on the other side as the specific blood protein, which serves as the substrate for the anabolism of all the special tissue proteins. Excessive protein is stored to a slight extent as aminoacid for the future maintenance of the blood protein, the integrity of which is tenaciously protected during hibernations, sexual migrations, and even during starvation. The animal body tends to adjust its nitrogen 449metabolism to its nitrogen supply; the adjustment requires an appreciable amount of time. A diet changed to a lower nitrogen level results in a continued loss of nitrogen, increased combustion of fats and carbohydrates. The animal makes no apparent effort to reëstablish equilibrium, and sooner or later digestive disturbances and loss of strength occur.

If, on the contrary, the protein is steadily increased after an animal has established equilibrium, the nitrogen metabolism increases and the level of nitrogen equilibrium rises to higher and higher levels. There is, at the same time, a lowering of the fat combustion, an increase in the respiratory quotient and in the heat production. The excess protein must be split, deaminated, burned and eliminated. Fifty-five per cent. of the intake is converted into glucose which is burned and the excess stored as glycogen. The sulphuric acid formed during the protein cleavage is neutralized by the body alkalies. In these cases the liver is often congested and enlarged. The urine shows excess of urea and ammonia. At times the excess, being so great that it cannot be absorbed, undergoes chemical and bacterial decomposition which causes digestive disturbances, torpor and constipation.

The organisms associated with protein food are usually the putrefactive types which break the protein molecule into the aromatic bodies, phenols, indolacetic acid, indolpropionic acid, skatol, etc. These bodies on absorption are believed to give rise to hypertrophy of the adrenal, interstitial changes in the kidney, and arteriosclerosis. Another group of substances, pressor bases and amines, are manufactured by certain anaerobes acting on proteins. These, when fed by mouth, are detoxicated by the liver cells, but when formed below the portal circulation, give rise to anaphylactic phenomena—urticaria, etc. Certain other organisms give rise to soluble toxins as in botulism and thyrotoxicon poisoning. 450All these types of toxins will destroy if they act acutely in sufficient concentration; or as is more common, if they act persistently over long periods, or at oft recurring intervals they will cause serious injury to the tissues coming in contact with them, and have a part in the production of cirrhosis of the liver, chronic nephritis, myocarditis, arteriosclerosis, etc.

All foods have a limit beyond which they are excreted untouched or imperfectly oxidized. Many of these partial oxidation products of protein are in themselves toxic and may also be a source of these degenerative organ conditions. The pathological material studied by us showed a marked decrease in gastrointestinal diseases in close association with the more hygienic care of the meat foods.

Always associated with the protein foods are the nucleoprotein complexes, which are split by both bacteria and digestive juices into globulins and nucleic acid, and then through the agency of a special enzyme, into purin bases and uric acid, in which forms they are excreted in the urine and feces. The oxidation of purins is never complete.

Gout, representing the pathology of purin metabolism, is a paroxysmal inflammatory disturbance, due to the deposition of sodium urates in the joints or in the internal organs, usually accompanied by a fibrosis especially in the liver, kidney, arteries, etc. The disease occurs almost exclusively in birds. Isolated cases have been described in dogs, horses and hogs, but among lower animals it is undoubtedly very rare. In birds it is most frequent in the carnivores—4 per cent., as against 0.02 per cent. in all other groups. It is higher in fish-eating birds than among the flesh-eaters. The avian gout is usually of the visceral type and was most marked in its distribution over the organs in the Anseres and Psittaci, birds whose diet apparently is not unduly heavy in nucleoproteins, but whose tract approaches the carnivorous type. The only 451arthritic cases occurred in Boat-billed herons (Cancroma cochlearia), fish-eaters. Our records show examples in Accipitres, Galli and Columbæ, although the number of cases in the last order were few and slight in extent. This disease stands in close relation to diet, as it develops on generous protein food, high in nucleoprotein or hypoxanthin, especially if this be associated with restricted activity.

The carnivorous mammals lead in the disease of the thyroid glands. Thyroid disease occurs among the birds, but is equally distributed among the dietary groups. Thyroid activity has a marked influence on metabolism probably through the influence of the iodine-containing protein of its secretion. There are some experimental evidences in favor of a detoxicating function of the thyroid, of which the following are quoted: (1) The effects of thyroidectomy are most marked in the carnivores; Herbivora are often capable of several years of life without thyroid tissue; (2) administration of meat to thyroidectomized omnivores or herbivores caused a marked increase in all symptoms. The importance of the relation of the meat diet, detoxication and thyroid disease receives considerable confirmation from the fact that among the 1,860 mammalian postmortems thyroid disease occurred in 2.6 per cent. of all mammals, 94.9 per cent. of which were found in flesh eating varieties. Wells[88] suggested that possibly this could be interpreted as an indication that toxic materials found in the meat in the intestinal tract were, under normal conditions, detoxicated by the thyroid. Against a local neutralization, however, is the improvement following the administration of dried thyroid substance. The function is either neutralization of toxic substances or the stimulating action on intracellular metabolism, both of which might be called into play by an excessive protein diet.

452

The Carnivorous Diet.

The pathology of the more prominent diseases developed in carnivores points at least to diet as a predisposing or determining factor. This diet is very high in a distinctly putrefactive protein and yields products, chemical and bacterial, which are toxic and which give rise to acute or more often chronic diseases of the alimentary tract and its adnexa. By reason of the amount ingested, excessive because of lack of exercise, there is a severe tax on the storage organs and on the detoxicating glands, as the liver and thyroid. The constant absorption of these toxic substances gives rise to chronic degenerative or fibrotic changes in the organs through which they pass: liver, kidneys, arteries, heart. In birds the degenerative diseases are even more marked than in mammals on the same diet. The ultimate fault of this diet, especially for mammals and birds with restricted activity, lies in the production of toxic bodies, produced either in the incomplete degradation or oxidation of the protein molecule or as the result of bacterial action on the protein molecule, a poisonous quality which is probably enhanced by the chemical changes occurring while the digested protein is passing through the intestinal mucosa. Garden conditions are such that these factors are almost unsurmountable unless the substitution of vegetable protein could be accomplished. Failure is often caused by limited feeding to carnivores of muscle and bones, whereas they should be supplied with glandular organs and blood.

The Herbivorous Diet.

Herbivorous diet must be divided into two groups, (1) that composed of succulent vegetables, and (2) of grasses, grains and seeds. In the first group there is an apparent variation in the results found in mammals and birds. In both there is a marked decrease in the chronic degenerative pathology. In both, acute gastritis is more 453prominent, far outstripping the incidence of this condition in other classes.

This diet yields a large and quickly available amount of carbohydrate which in conjunction with the moisture, heat and bacteria which are unavoidably associated with raw vegetables, makes an ideal situation for infection. These foods carry many saprophytic bacteria, moulds, etc. In birds the conditions are aggravated by the injuries that may occur from the sharp objects picked up with the gravel. The incidence of acute infection is higher among birds than among mammals of this group, and often there is involvement of the whole tract. The explanation of the other pathological findings occurring among birds must be found in the frequently repeated low grade infections which result finally in the production of chronic lesions in the digestive tract, liver, pancreas and kidney. Toxins as an etiological factor cannot be altogether excluded, but as a rule they are not important because the by-products of vegetables are distinctly less toxic than those derived from animal sources. Arteriosclerosis is much less frequent and less intensive in herbivorous birds than among the carnivorous, probably because of differences in the concentration and character of toxins in the two groups.

Soft Herbivorous Diet.

The diet of succulent vegetables is composed of tubers, edible roots and leaves. The tubers and edible roots are high in water and carbohydrate and poor in the amount and quality of the protein, most of which is not even a true protein but a mixture of aminoacids. The leaves, on the contrary, are rich in organic ash, especially calcium, sodium, chlorine, and fat soluble A vitamine, and as a rule contain a good quality of protein. They often, however, contain injurious substances. This diet, while measurably less nutritious than that of the carnivores, can satisfactorily nourish many animals with an extensive intestinal tract during growth and even throughout their entire life, 454but proves entirely inadequate when fed to an omnivorous tract.

Seed Diet.

Closely allied in general character to the diet of succulent vegetables are the seed diets, eaten only by birds and having no parallel among mammalian foods. All seeds, in contradistinction to tubers, contain true proteins which, however, are of poor quality because of the deficiencies in the aminoacid content. They are as a rule low in the fat vitamines and in the amount of calcium, sodium and chlorine carried. In three pathological conditions only do these birds show any oversusceptibility: (1) Sore eyes, (2) acute enteritis, (3) osteomalacia. Sore eyes were frequently noted in this group. The lesions were very like those described in animals deprived of the fat vitamine, which was present in this food in very small amounts or entirely absent, thus giving a very plausible explanation of this condition, especially as in some of the cases no other cause could be found. Gastric disease of any type is rare in this group because the food at the gastric stage is highly resistant to bacterial action. In the duodenum, however, the conditions are early changed because the bacteria carried with the food through the stomach become active in the presence of available carbohydrate and protein decomposition products.

Osteomalacia is confined almost as exclusively to the seed-eating birds as it was to the omnivorous mammals, and it is also associated with the same deficiencies, calcium and phosphorus (cf. Tables 19 and 20). It is also interesting to note that these two diets, the omnivorous and seeds, yield the greatest number of cases of tuberculosis. Mammals showed 32.6 per cent., as against 5.8 per cent. in all the other dietary groups, an observation which becomes more striking when man is added to the omnivorous group. Seed-eating birds showed 17.2 per cent., as against 6.4 per cent. in other groups. In both diets the 455fat, fat vitamine and inorganic salts, especially the calcium, are deficient in amount. In the wild, birds vary their diet of seeds with insects, worms, soft fruits and the tender shoots of plants, and at the same time they increase their inorganic intake by the minerals picked up with the gravel and from the water which has penetrated the soil.

Grain and Grass Diet.

The hay-eating animals constitute a large and well studied group—including practically all the domestic varieties. Table 19 shows that these animals yield the greatest number of cases of malnutrition, food poisoning, acute pancreatitis, acute degenerative conditions of liver and myocardium.

Recent literature describes many cases of osteomalacia, especially among horses and cows, in the famine districts of Europe. In our collection of 1,860 postmortems only one case was found, that of an Isabelline gazelle (Gazella isabella), a hay-eating animal, and in this case it was secondary to infection.

Arthritis, occurring in 3.4 per cent. of all the autopsies, was almost entirely confined to the hay-eating animals. The literature describes many cases of arthritis almost entirely confined to ungulates, of which many were associated with calving and subsequent infection. Bacteriological researches have found it most often associated with streptococci, staphylococci, or Bact. perfringens, organisms that require a certain amount of carbohydrate for their proper development. The relation of diet to this condition probably lies only in the fact that it provides an excessive carbohydrate substrate suitable for the optimum development of these organisms. Folin and Bergland, noting glycoresis in Herbivora, thought that it represented the absorption and excretion of unusable carbohydrate, present in grains, vegetables, fruits, etc., and that it was sharply separated from the main carbohydrate metabolism. These products were absorbed from 456the blood exactly as they were ingested like lactose, dextrose, etc., are absorbed, but do not enter into the economy although they might cause disorders, especially forms of arthritis.

The grain foods are composed largely of carbohydrates (principally in the form of cellulose and starch) small amounts of protein and little or no fat. They have a very low nutritive index so that large amounts must be consumed to supply adequate calories. This food is constantly present, and during the enforced idleness of captivity is almost continuously eaten. Despite these facts, however, malnutrition is present in 2.2 per cent. of the animals on this food. Associated with the plentiful food and lack of exercise are overeating and pica. Overfilled stomachs occurred thirty-four times. They were limited to these mammals and to the seed-eating birds whose environmental conditions are practically the same. Pica or excessive appetite for abnormal food, is also more frequent in these groups, but is usually associated with badly balanced diets, and thus represents an effort on the part of the animal to supply its own deficiency. It is present in osteomalacic monkeys and has been reported in cattle from regions where osteomalacia is common and following crop failures where the rations are restricted. In cattle it very often accompanies food poisoning, especially that produced by ingestion of peat hay.

Disturbance of the alimentary tract and its adnexa occurs in two forms: (1) Infection which is quite common and involves the duodenum, pancreas and liver, and (2) toxic. Compared with other diets alimentary disorders are not frequent among grain feeders, despite the ease with which grass foods ferment and the great variety of organisms found in them such as moulds (aspergillus), Bact. coli, paratyphosus, enteritidis, suipestifer, oidium lactis, etc. Few bacteria can attack whole protein, cellulose or starch, and the decomposition products, peptone, glucose, etc., are not available 457in any quantity until the lower stomach and duodenum are reached. The inflammation of the alimentary tracts of these animals is confined to the fourth stomach and duodenum, with, in many cases, extension to liver and pancreas.

Acute and chronic degenerative changes occur very frequently, and as a rule are the result primarily of absorbed toxins. After ingestion of new hay this often appears. The toxic substance probably is a terpinol ester, cumarin, which is produced by an enzyme in the cut grass.

The result is a gastroenteritis with jaundice, thirst and marked flatulence. It is very probable that many of the gastrointestinal and degenerative lesions are the result of the combined action of toxin and bacteria.

Food Poisoning.

Food poisoning occurs in all diets, but especially among the grass-eating mammals. To-day under the general heading of food poisoning are included those cases due to (1) some injurious substance inherent in the food itself, true food poisoning, (2) those due to toxic substances liberated or produced in food contaminated by parasites or bacteria, (3) those due to bacteria that are carried by food and develop into true infection after ingestion. Most of the cases of meat poisoning described in literature undoubtedly belong to this third class, i.e., flesh is infected during the life of the animal or during its preparation for food and the virus develops in the host after ingestion. A fourth and more rare class of food poisoning is due to the condition of the individual consuming the food-protein sensitization.

Injurious constituents of normal flesh foods are very uncommon. There are a few poisonous fish, notably the balloon, puffer, and Fuga fish of Japan, which when eaten give rise to cholera-like conditions ending in convulsions and paralysis. A marked intoxication has been described in dogs which have fed upon the Greenland 458shark. Some fish are poisonous at certain periods as spawning season, the poison then being confined to the roe. Still others are harmless unless rendered toxic by some injurious food. This poisoning of muscle meats is seen in quail and partridges fed on mountain laurel, in some fish after consuming certain marine plants, and in cattle poisoned by amanita.

The most common sources of poisoning are spoiled meat and flesh of diseased animals, both of which are serious factors in the production of the gastrointestinal disorders of omnivores and carnivores. Practically all the reports of meat poisoning from the literature have been traced to the use of raw or insufficiently cooked flesh, and have yielded on bacteriologic examination Bact. paratyphosus, Bact. enteritidis, Bact. suipestifer, Bact. coli, or Bact. proteus.

The bacteria may produce toxin in the food previous to ingestion causing in the host only a severe intoxication. This is the situation developed after eating sturgeon infected with Bact. piscidus agilis, an organism which manufactures a highly poisonous alkaloid. A similar intoxication follows the ingestion of potatoes infected with Bact. proteus or containing the poisonous alkaloid, solanin, which is produced in diseased and sprouting potatoes. Other examples of this are (1) ergotism—due to an infection of rye and wild grasses with Claviceps purpurea which produces three poisonous bodies, ergotinic acid, which is not poisonous when taken into the stomach, sphacetinic acid and cornutin which act on the nervous system, brain, cord, vagus and vasomotor centre giving rise to toxic polyneuritis, and (2) favus, an acute febrile anemia with jaundice and hemoglobinuria probably due to a bacterial infection or fungus growth of the bean. Infected food may also produce soluble heatresisting toxins that produce immediate symptoms and increase the animal’s susceptibility to infection. This is the more common finding in cases of poisoning with milk 459and milk products. Non-pathogenic saprophytes carried in milk produce (1) a poison closely allied to tyrotoxicon, (2) a toxalbumin which in itself causes serious disturbances. Botulism, also probably of this group, is a disease initiated by a toxin elaborated by Bact. botulinus acting on a protein. There is, however, some evidence that Bact. botulinus can also establish a real infection.

The toxemias from food infected with bacteria may not occur until the food is ingested or the bacteria implanted. This result occurs in infections with Bact. bovis morbificans, Gärtner’s bacillus, etc., or after the feeding of meat from animals infected with Bact. paratyphosus and enteritidis.

The plant poisons are more frequently due to inherent injurious substances, although even among them, bacterial and fungus diseases play an important rôle. Among the 16,673 plants indigenous to North America, almost 500 are more or less poisonous and about 30 are of great economic importance. The toxic factor may be confined to the leaf, seed or root, but more often it is associated with all parts of the plant. Through the efforts of the Department of Agriculture a more or less complete list of the plants implicated in the poisoning of stock has been compiled. This list includes the following: Amanita muscaria; A. phalloides; Veratrum viride; Phytolacca decandra; Agrostemma githago; Delphinium, 25 varieties; Astragalus mollissimus; Aragallus lambertii; Crotalaria sagittalis; Euphorbia lathyris; E. marginata; Rhus radicans; R. diversiloba; R. vernix; Aesculus pavia; A. hippocastanum; A. glabra; A. Californica; Cicuta maculata; C. vagans; Conium maculatum; Kalmia latifolia; K. augustifolia; Leucothöe catesbaei; Rhododendron maximum; Pieris mariana; Datura stramonium; Solanum nigrum; S. dulcamara; Helenium autumnale; Asclepias pumila; A. verticullata; A. galoides; A. mexicana; A. eriocarpa; A. speciosa; A. fremonti; Eupatorium agertoides; E. urticarfolium; Isocoma wrightii; 460Daubentonia longifolia; Senecio jacobia burchelli latifolius.[89] Some of these as the Amanita are only occasional sources of disaster, but as they frequently involve man they are important. The Amanita muscaria symptoms appear very soon after eating the fungus and consist of a deepening stupor. A. phalloides, on the contrary, starts with severe abdominal pain, cramps, discharges of blood and mucus and later convulsions. The meat of animals dying from fungus poisoning is distinctly poisonous. This transfer of poison to the muscles of the animal partaking of these plants occurs also in poisoning with Kalmia.

The other plants of this list are closely associated with the grass foods and are consumed usually when the food on a range is scarce. Some groups as the Asclepias contain a distinct neurotoxin and give rise to a condition known as trembles or staggers. It affects mostly cows and sheep, causing staggering, trembling gait, bloating and salivation and death with convulsions. There is marked congestion of alimentary tract, liver and kidney. In the cerebrospinal axis there are marked changes in the nerve cells of the medulla and spinal cord. The Purkinje cells show the effect of extreme fatigue. Other plants causing stiffness or weakness of the extremities, show on microscopic examination no definite lesions in the cerebrospinal axis. Loco weed—Astragalus mollissimus and Aragallus lambertii—causes maniacal disturbances but no gross lesions. This weed in Colorado costs the state enormous amounts of money yearly.

Helenium poisons domestic animals by means of a toxic glucoside, dugaldin, which produces stiffness, salivation and nausea with mild depression (“spewing sickness”). The alimentary tract shows severe inflammation of the rumen and reticulum which may at times be hemorrhagic. The liver usually presents an interstitial 461hepatitis. This toxin is decidedly hemolytic. The effects of this plant are always permanent, total recovery being very rare.

The larkspur (25 different varieties), on the contrary, shows prompt recovery after treatment, but no establishment of toleration. These plants give rise to nausea, vomiting and great agitation and destroy many animals yearly. The poisons are included in four alkaloids, all spinal cord depressants resembling aconite in general character.

These poisonous plants all produce more or less gastrointestinal inflammation and practically all are destructive in their action on the liver, pancreas and kidney. It is impossible to form even approximate estimates of the damage done by them because of the general ignorance of the subject. The Division of Botany has been collecting for the past few years specific information concerning these plants, but the individual plants are not equally poisonous, and all animals do not show the same susceptibility to the poison. Veratrum viride, for instance, is eaten with relish by sheep and elk and is decidedly toxic for the horse. In many the toxic factor has not been isolated. Some, as Euphorbia, are poisonous only when fed in honey derived from its flowers.

The influence of diet on the general health of animals is very far reaching and very inclusive. Metabolic disturbances are undoubtedly at times the result of unbalance—deficiencies on the one side, excesses on the other, at times are probably much more the results of bacterial invasions aided and abetted by the food administered, at still other times are poisonous either in their own content or from the degradation products resulting from digestion or bacterial decomposition.

462

SECTION XVI
NEOPLASMS

The occurrence of true neoplasms in domesticated animals has always been well known and thoroughly studied while for beasts in the wild the data has been fragmentary. That tumors exist in natural environment has been accepted upon the testimony of hunters but there is an impression, and nothing more, of their extreme scarcity probably because only younger vigorous animals come to the attention of the sportsman or collector. This matter will of course not be settled until some natural historian with a knowledge of pathology, makes a survey of a large number of specimens taken during a collecting expedition. Observations in menageries are valuable to the extent that they show what tumors may occur, the orders most commonly affected and the incidence under captive conditions. It is unfortunate that too seldom do we know the history of our specimens in regard to the age, manner of capture or breeding, data which if at our disposal would permit of a very fair idea of the probable incidence in the wild and of the effect of captivity. Some observations in this direction are however possible by using the figures of known captivity and breeding.

The facts gleaned from a study of neoplasms under captive conditions may be of interest to the experimental pathologist, especially when considering the relation of the origin from the embryological layers. I have tabulated this with great care, using Jordan’s[90] table for the source of the various tissues, and further have studied the destination of metastatic emboli in terms of the blastoderm.

The following observations are based entirely upon our own data for while it might be valuable to include the cases in the literature their descriptions are often so 463meagre that they would not combine readily with our records. Plimmer, Seligmann, and Murray have published in the Proceedings of the London Zoological Society since 1903, their annual report of the pathological service in which they have recorded very many interesting tumors. So too from time to time Harlow Brooks and W. R. Blair in the Annual Report of the New York Zoological Park, have presented cases occurring in their service. Joest [91] discusses tumors in the lower animals in a broad way and analyzes their incidence and characters. C. Y. White and I [92] have already published articles on this subject. Numerous single references may be found in the Jahresber. der Veterinär-Medicin.

In so far as the incidence of tumors in wild animals is concerned this literature can scarcely give an adequate measurement but it would seem that they are less than in domestic varieties. Exact figures for the occurrence of tumors in the latter seem not available in the literature, but one can find that in the Prussian army horses about one hundred are observed each year. In our 5,365 specimens collected during nineteen years, 94 tumors in 92 animals have been found, 1.7 per cent. or about one in every sixty specimens, not at all a low figure. If one were to include all fibromata of the feet and the blood collections to which the name angioma might be applied, this incidence would be greater; they are excluded because few in number and vague in history; only one true angioma was seen.

The gross and microscopical appearances of tumors in the lower animals are essentially the same as one encounters in human beings or at least it is possible to apply the pathological nomenclature used in human medicine to all the neoplasms we have discovered. There is appended a list of all the animals and their tumors, a table of zoological orders, tumors and organs (Table 21) and an analytical table of the histological data. (Table 22)

464
Table 21.
Table of Orders and Families Showing Type of Tumor and Principal Organ of Origin.
Order Family Fibroma Osteoma Chondroma Lipoma Myoma and Fibromyoma Glioma Angioma Endothelioma Sarcoma Papilloma Epithelioma Adenoma Carcinoma Chorionepithelioma Hypernephroma Mixed Tumors Organic Source of Tumor Notes Extra cases not tabulated.
Lung Muscle Thyroid Uterus Kidney Bone and Cartilage Gastrointestinal Tract Liver, &c. Peritoneum Lymph Tissue Mamma Ovary Pancreas Skin Testes Adrenal Unknown
Primates, Cercopithecidæ                       1                     1                      
  Cebidæ                             1                                 1   Adenoma of prostrate
                                                                      suggesting cancer in places.
Lemures, Lemuridæ                       1                                            
                                                                       
Carnivora, Felidæ     1       1 1       2 1             2   1   1   1               Endothelioma of pleura.
  Viverridæ                         2       1           1           1          
  Canidæ                 1     3 1     1     3         2         1          
  Procyonidæ                       1                                 1          
  Ursidæ                     1   2                           1         1   Epithelioma of tongue.
  Phocidæ                             1                                 1    
                                                                       
Rodentia, Sciuridæ   1                   1     1           1 1   1                    
  Muridæ                 2       3         3                 2              
465  Heteromyidæ                 1                                                 Sarcoma of bladder.
  Octodontidæ                 1                   1                              
  Hystricidæ                           1           1                            
  Dasyproctidæ                         1                                         Squamous carcinoma of larynx.
Proboscidea         1                             1                            
Ungulata, Equidæ 1                                               1                  
  Bovidæ         1       1                     1   1       1                
  Cervidæ                       1                       1                    
  Camelidæ                         1                     1                    
  Suidæ                         1             1                            
Edentata, Dasypodidæ         1                             1                            
Marsupialia, Didelphyidæ                       1 1               1           1              
  Dasyuridæ                     1   1                   1             1        
  Peramelidæ                         1       1                                  
  Macropodidæ                         2       1           1                      
Passeres, Turdidæ                             1           1                          
  Crateropodidæ                       1                 1                          
  Tanagridæ       1                                                         1  
  Fringillidæ       1                 2               2                       1  
  Icteridæ                             1           1                          
Striges, Bubonidæ                   1                         1                      
Psittaci, Loridæ                         1       1                                  
  Cacatuidæ       2                                                         2  
  Psittacidæ       3   1     7   1 5 4   1 1   2 1 1 5   1 3       1     2 1 5 Glioma of brain.
Accipitres, Falconidæ       1         1                               1               1  
Columbæ, Columbidæ                 1                       1                          
Galli, Phasianidæ                         1                             1            
Fulicariæ, Rallidæ               1                           1                        
Anseres, Anatidæ 1               1     1     1     1     1 1                   1    
Struthiones, Rheidæ                       1                     1                      
Total 2 1 1 8 3 1 1 2 16 1 3 19 25 1 7 2 4 6 5 8 14 5 6 9 2 2 4 2 3 1 2 5 10  
466
Table 22.
Analytical Table Showing Data of Incidence, Sex, Breeding, Duration of Captivity, Metastases and Embryological Origins and Distributions According to Order.
Order Total animals Per cent. per order Sex Breeding Range known captivity Average for tumor animals Embryological layer Metastases Embryological layer of metastases
? Wild Captive ? Ecto Meso Ento Lung Liver Kidney Lymphocytes Spleen Intestine Bone Muscle Ecto Meso Ento
Primates 2 .4 2     2     3–4 yrs. 3½ yrs.   1 1                      
Lemures 1 1.1 1     1     4 yrs.       1                      
Carnivora 17 3.5 8 9   14 3   1–18 yrs. 9 yrs. 2 8 7 5 1   1       1   5 5
Rodentia 12 6. 7 4 1 8 2 2 1 mo.–7 yrs. 2 yrs. 8 mo. 2 7 3                      
Insectivora 0                                              
Chiroptera 0                                              
Proboscidea 1 33.   1   1     38 yrs.     1                        
Hyracoidea 0                                              
Ungulata 7 1.9 2 5   5 1 1 2–16 yrs. 9 yrs.   5 2   1 1 1           1 1
Edentata 1 6.2   1   1     10 yrs.     1                        
Marsupialia 7 4. 6 1   6 1   1 wk.–12 yrs. 5 yrs. 6 mo. 2 2 3 1 2 1 1 2   1     2 3
Monotremata 0                                              
Totals 48 2.58 26 21 1 38 7 3     6 25 17 6 4 2 3 2   1 1   8 9
                                                 
Passeres 7 .51 4 2 1 6   1 1–14 yrs. 6 yrs.   7   1 1       1       1 2
Picariæ 0                                              
Striges 1 .75   1   1     7 yrs.       1                      
Psittaci 26 3.7 9 8 9 8? 16? 2? 5 mo.–9 yrs. 3 yrs. 1 17 8   2     1 1       1 3
467Accipitres 2 1. 2     2     (1)[93]–4 yrs.     2                        
Columbæ 1 .63   1   1     4 yrs.     1               1     1  
Galli 1 .33   1   1     ?     1                        
Hemipodii 0                                              
Fulicariæ 1 2.8 1     1     6 yrs.     1                        
Alectorides 0                                              
Limicolæ 0                                              
Gaviæ 0                                              
Impennes 0                                              
Steganopodes 0                                              
Herodiones 0                                              
Odontoglossæ 0                                              
Palamedes 0                                              
Anseres 4 1.2   3 1 3? 1   (1)[93]-10 yrs.
(1)[93]-4 yrs.
    4                        
Struthiones 1 3.1 1     1     (1)[93]-5 yrs.       1                      
Crypturi 0                                              
Totals 44 1.23 17 16 11 24 17 3     1 33 10 1 3     1 2 1     3 5
Grand Totals 92 1.7 43 37 12 62 24 6     7 58 27 7 7 2 3 3 2 2 1   11 14
For meaning of italics see foot note Table 1.
468

Incidence of Tumors.

Examination of the table, (21) from the standpoint of differential percentage reveals that mammals have 48 tumors giving an incidence of 2.58 per cent. whereas birds have 44 new growths equivalent to 1.23 per cent. Were it not for the high figures for one single variety of bird (Undulated Grass Parrakeet) this value for Aves would be still lower. At all events our figures would indicate that the mammal is at least twice as productive of neoplasms as is the bird. In our material the latter class has had a better chance than Mammalia to show its susceptibility since there have been nearly twice as many autopsies.

Within the classes the comparative figures have less value because of the smaller and varying numbers. Such high percentages as are shown by the elephants and armadillos cannot be taken as indicators for their orders since too few specimens were examined. Judging by orders with more than one hundred autopsies the rodents stand at the head of the list followed by the marsupials and carnivores. It is interesting that the animal nearest to man, the monkey, and with greatest number of autopsies in its zoological class, has the lowest tumor incidence. Psittaci lead the avian orders, followed by the Fulicariæ, but as there are but thirty-five autopsies upon these, the second place rightly belongs to the Anseres. All the principal orders are represented but the only one of importance is the leader. The Psittaci are very prone to have tumors in the renal area, sometimes of the kidney, at others of the adrenal and occasionally of the sex glands. Some remarks have already been given to this matter in the sections devoted to the kidney and genitalia but it will be discussed again under tumor morphology.

Among these ninety-two animals, one bore multiple tumors, a Jaguar (Felis onca) with adenomata of the liver and uterus and angiomata of the mesentery. Careful 469study failed to reveal any parasitism as the cause of the growths and since the first two were of slightly varying structure it is not believed that one is a metastasis from the other.

The sex incidence stands in direct relation to the proportion of total males and females posted or in other words it is the same for the two. The figures might be somewhat affected were the gender of all the parrakeets available but the tumors growing in the upper renal area frequently destroy the sex gland.

Definite statements concerning the importance of breeding in the causation of neoplasms cannot be made since we cannot quote figures for the percentages of wild- and captive-born of our entire autopsy list. The data are confused by scanty information concerning the twenty-six parrots, the history of which is vague and I am perhaps too severe in accrediting the birth of sixteen of them to captivity. This was done because of a lack of exact information concerning these specimens and, because their variety is known to breed when captive by the residents of their habitat[94], the distribution into wild- and captive-born is based upon what information we have. If the order Psittaci be subtracted entirely, it leaves a total of 62 tumor-bearing animals of known breeding, 49 of which were born in the wild, thirteen in captivity, a fact which strengthens the thought that unnatural breeding increases the chance of neoplasms.

The known length of captivity has also a direct bearing on this point. The figures given in the columns “known captivity” and “average for tumor bearers” were compared with figures obtained by averaging the lives of fifty others (when possible) of the same order or of at least three times as many as bore tumors. Animals dying from injury were excluded. With one exception the average for “tumor bearers” exceeded that for “non-tumor bearers”; the exception, the Ungulata, had 470the same average for both groups. It seems then that tumors occur in animals in captivity longer than the average for their order, or in specimens that have the power to live under confined conditions until neoplasms develop. In this respect I recall the statements made by Harlow Brooks[95] that tumors will probably be found more commonly in animals when they live in a manner comparable to that of urban man and that racial degeneracy will favor their development. There is adduced here perhaps the first definite evidence that long captivity allows tumor tendency to express itself but it does not prove that confinement increases tumors. Nor does the expectation of life, average or potential, stand in any direct and definite relationship to the frequency of neoplasms. The only clear case of long life and high tumor incidence is to be found in Parrots; we feel however that some unknown factor increases tumors of the renal-adrenal region in these birds and that unqualified statements about age and tumor growth are not permissible. Since tumors grow in many wild-born specimens, a high percentage of which become known in the first few years of captivity, is it not highly probable that tumors are reasonably common in the wild and that we do not observe enough purely natural specimens to assume an immunity on the part of free living beasts.

One of the undesirable features of captive breeding is consanguinity of parents and there is good reason to believe that tumor susceptibility can be bred into or out of a line of animals by mating tumor bearers and non-tumor bearers, the tendency following the rules of Mendelian inheritance (Slye). Is there any proof that inbreeding does not occur in the wild and if it do, it is perfectly possible that tumor tendency may be transmitted as a dominant character; the effect of artificial or intentional inbreeding in captivity would only offer an opportunity for a summation of these influences.

471If injury and animal parasitism have any importance in neoplasmata then this opportunity certainly occurs under natural conditions. Fibiger observed gastric tumors in rats arising under the influence of nematodes while Slye and Wells report facial neoplasms in mice apparently arising at points of old injuries. It seems to me that we have no right to assume an immunity of wild animals, in their native environment, to tumors; the incidence is another matter but it may be considerable.

It was thought possible that there might be some light shed upon the matter by an analysis of our sarcomatous and epitheliomatous tumors in wild- and captive-born animals. In our second paper[96] upon this subject I ventured the statement that sarcomatous growths occurred more frequently in captive-born, epitheliomatous in wild-born specimens. Greater data have not borne out this conclusion and information was sought as to the embryonal derivation of tumor-bearing tissue. Analyzing the cases in which all the factors could be obtained, it seems that among seven tumors of captive-bred animals, five came from the entoderm, two from the mesoderm, whereas in wild-bred animals, of the fifty-seven tumors, five came from the ectoderm, thirty-two from the mesoderm and fourteen from the entoderm. These figures do not include the parrots. The sex values have no significance.

It is interesting and noteworthy, that, as in the human being, the majority of the tumors came from tissues arising in the mesoderm and that the entodermic derivatives received the largest number of metastases; no ectodermic tissues were sites of secondary tumors. The visceral seats of metastases are probably of little value for comparison in so small a number; the lung and liver however occupy the prominent places.

Interesting as the foregoing facts may be, they do not shed light upon the question of breeding and degeneracy 472in the causation of neoplasms. Attention is arrested however by the paucity of tumors in derivatives of the ectoderm since in man new growths are common in the breast, at the rectal and labial mucocutaneous junctions and on the skin. The immunity of the ectodermic tissues to secondary growths is very distinct; this holds true in man.

Special Tumors.

The diagnosis of fibroma offers the same difficulty in the zoological material as it does in man and even more care must be exercised for solid tumors in certain localities. The bird often presents hard nodular masses on the palmar and lateral aspects of the feet, sometimes surmounted by callosities, to which the term fibroma or fibromatous corns might be applied. Section of some of these will reveal areas of granulation tissue about points of inflammation so that we have considered them as infectious or the result of incorrect perches and excluded them from the tumors. True fibromata have been encountered thrice but in combination with muscle tissue as a fibromyoma thrice in addition. The “fibroids” seen in the elephants and armadillo have already been described.

The nodular growth sometimes accompanying degenerative disease of the osseous system followed by attempts at repair as discussed under osteitis deformans, leontiasis ossium and actinomycosis, are often productive of masses to which it is easy to apply the term osteoma. If one demand that an osteoma shall be a distinct neoplastic, localized bony growth of unnatural or greatly exaggerated structure, then the tumor is quite rare. We have seen one growing from the vertebræ and clavicle of a gerbille and a fibro-osteoma on one jaw of an Isabelline gazelle. The chondromata have been limited to one case, a unilateral mass growing from the nasal cartilage of a caracal.

Lipomata are localized collections of fat consisting of cells with greater fat capacity than normally, sometimes 473surrounded by an indefinite capsule. Judging by the observations of Joest and Johne they are reasonably common in horses and cows. We have not seen a single case in mammals but eight cases appeared in the birds. These were with one exception disposed under the skin mostly over the abdomen and chest and once under the scalp. In a hawk the tumor grew as a pelvic mass surrounding the cloaca and apparently caused decided obstruction to the lumen. The lipomata of the Psittaci usually grow as pendulous masses on the abdominal wall covered by thin, featherless, delicate skin, often showing dilated veins. Upon section they are rather rich in blood supply, “angiolipoma,” but fail to show any angiomatous or solid cellular areas under the microscope. The frequency of the growths in one variety (Roseate cockatoo—Cacatua roseicapilla) led to an attempt to transplant the tumor. The plant seemed to thrive in the recipient for a while but soon disappeared. Breeding experiments on the tumor bearers are now under way.

Angiomata of lymph channels were observed in the omentum and mesentery of a jaguar (Felis onca); this is the animal with three apparently separate and distinct tumors. “The omentum is normally fatty and slightly congested. In its meshes are myriads of tiny cysts containing gray fluid. The main peritoneal area is negative but in the pelvic region on anterior rectal wall, in the superior edge of the broad ligament and in Douglas’ pouch, are cysts from a few millimetres to several centimetres, with clear contents. The microscopic section of omentum shows the multiple cysts as cavities of varying size, from that of an arteriole to the diameter of a two-third lens field. They are lined with flat, closely placed pavement cells with well stained but vesicular nucleus. The septa are adult connective tissue. No contents or granular eosin-staining material. No swollen cells like in adenomata. No parasites seen.”

474Two endotheliomata have been found, one of the flat variety with warty excrescences common on serous surfaces, located in the pleura of a leopard (Felis nebulosa), and one of the nodular variety, growing from the clavicle of a Moorhen (Gallinula chloropus).

The sarcomata present their usual morphology grossly and minutely and with the exception of the cases arising from the pectoral muscle and from the genital area offer little of interest. Two instances in the former location, observed in parrakeets, presented several puzzling features. The component cells were spindle in shape, similar to a muscle cell but were fitted with the round or elliptical nuclei of embryonal cells. In a few places they were exceedingly large and had shadowy outlines like a syncytium or they would be so arranged as to suggest a glandular structure. The dominant type of cell was, however, everywhere the spindle as it is seen in sarcoma. The sarcomata when they occur in the genital area usually assume the alveolar arrangement and are of the round or mixed cell variety. Only three of the sixteen sarcomata gave metastases.

Papillomata of minor character appear occasionally on the skin of animals as warts, but only one instance of any greater importance has been found. The duodenal mucosa of an owl (Bubo virginianus) presented a soft growth which partly obstructed the intestinal lumen. Papillary adenomata, on the other hand, have been observed several times, but since they have more importance as irregular hyperplasias of glandular origin have been included in the next group. An interesting case was seen in a baboon (Papio hamadryas) in which a large part of the gastric wall was the seat of adenomata, presenting in addition several distinct papillary outgrowths. A similar picture was found in the duodenum of the rhea (Rhea americana).

The greatest interest in the adenomata centres around these growths in the renal area in parrakeets, and as they 475have much in common with all the glandular tumors of this region, a general discussion of this subject may be introduced here. We have observed seven tumors constructed on a glandular basis of renal or adrenal character. Grossly these tumors develop as irregular masses usually of distinct brown color, constructed on a lobular plan, delicate barely visible septa dividing the growth. They seem devoid of large vessels, a gross observation confirmed microscopically. There is no criterion to the naked eye, which will distinguish the variety of epithelial hyperplasia or permit separation of these neoplasms from some sarcomata; the latter are usually gray but need not be so. Minutely studied, three of these tumors proved to be adenomata, all papillary, one cystic as well. Three had to be denominated carcinoma because of their distinct separate crowded nests and incomplete acini. The cells comprising these growths are comparable to the lining elements of the collecting tubules of the renal lobule in that they have relatively large nuclei and a tendency to basic staining protoplasm. The adenomatous picture is, however, more comparable to the cortex than to the medulla. The remaining tumor was a hypernephroma of the usual large cell, acinus-forming type and seemed to originate in the adrenal. None of these tumors in the parrakeets sent out metastases. Other hypernephromata have been diagnosed, to the number of six. Upon review of their descriptions and sections, the determinations are to be confirmed. However, it must be recorded here that none of the three in mammals gave metastases, while two of the three in birds did so. They are all of the usual type with large vacuolated cells in glandular groups or strands.

Three rather interesting examples of epithelioma have been observed. The first and most important was a basocellular growth of the tongue in a black bear (Ursus americanus). The local damage—ulceration and infiltration—and swelling sufficient to interfere with deglutition, were quite considerable. The basal cell nests had penetrated 476deeply into the muscle, but extension had taken place only to a single submaxillary gland. A squamous epithelioma was found on the skin of the thigh of a Tasmanian devil (Sarcophilus ursinus). The construction was somewhat unusual in that it was cystic but lined with squamous and keratinized plates. It could not be decided that it originated from glands like a trichoepithelioma; it was not like a basal cell cancer. No metastases had occurred. The third case was that of a tumor within the abdomen of an Amazon (Chrysotis leucocephala). It consisted of an illy defined basement membrane upon which were irregular stratified squamous epithelial cells. Upon the surface were wavy bands of horny material, very much like dried and cast-off epithelial scales, except more compact and extensive. These latter seemed to form the bulk of the mass. Beneath the membrane a few irregular accumulations of cells bearing a similarity to those on the surface could be found, but they were probably large plasma cells. The epithelial layer dipped down like in epithelioma. No pearls or separate nests were found. While this mass was not localized, it was doubtless an epithelioma, and should be included in this series. Its possible origin in the small intestine has been considered.

The question of the occurrence of tumors in wild animals seems fairly well settled when twenty-five examples of malignant epithelial neoplasms can be discovered in fifty-three hundred autopsies. It is interesting to note the incidence of these tumors in wild- and park-bred animals. Exclusive of the parrakeets there are twenty-one cancers, seventeen in known wild-bred, two in known park-bred specimens, and two with breeding uncertain. The average known duration of captivity of the wild-bred animals is about four years, while the two park-bred animals lived eight and eighteen years. Thirteen of the twenty-one cases were males, eight females. Adenocarcinoma was discovered twelve times, simplex nine times, medullary and squamous each twice. Three tumors of the pancreas and mammary gland were seen in which fibrotic or scirrhus areas were found, but in no case was there detected that hard cicatrizing cancer so commonly found in the human breast. All the interesting cases of carcinoma have been recorded in the discussion of organs from which they took origin. The only case of chorionepithelioma has been reported in detail on page 308. The two cases of mixed tumors are as follows: Mixed tumor of the thyroid and adenocarcinoma sarcomatodes in the liver; they have been discussed in detail on pages 334 and 242 respectively.

Fig. 49.—BASAL CELL CARCINOMA OF TONGUE. BLACK BEAR (URSUS AMERICANUS). NOTE ULCERATION WHERE PIECE HAS BEEN EXCISED, AND ALSO NODULAR THICKENING OF WHOLE BASE OF TONGUE.

Fig. 50.—MICROSCOPICAL APPEARANCE OF TUMOR IN FIG. 49.

477Analysis of the incidence of tumors according to organs is disturbed by the large number of cases in Psittaci. Including this order the first place is taken by the kidney, followed by the liver, uterus, muscle, gastrointestinal tract, bone and cartilage, thyroid, adrenal and lung in this order. Curiously enough, if these birds be subtracted the degree of organ susceptibility to new growths is not greatly altered. The lead is still held by the kidney, the uterus occupying the second place and then in sequence the liver, gastrointestinal tract, muscle, thyroid and adrenal. Examination of the figures for mammals shows the uterus to lead in numbers, followed by the liver, thyroid, and mammary gland. For the birds the kidney takes the undisputed head of the column with a total of twelve tumors (27 per cent. of all avian tumors); the next figures are shown by the liver, gastrointestinal tract and muscle.

ZOOLOGICAL AND PATHOLOGICAL LIST OF TUMORS
MAMMALIA
Primates (2)
Cercopithecidæ—Hamadryas Baboon (Papio hamadryas)
Papillary adenoma of gastric mucosa
Cebidæ—Brown Cebus (Cebus fatuellus)
Hypernephroma of right adrenal
478Lemures (1)
Lemuridæ—Ring tailed Lemur (Lemur catta)
Papillary adenoma of prostate
Carnivora (17)
Felidæ—Clouded Leopard (Felis nebulosa)
Endothelioma of pleura
Caracal (Felis caracal)
Osteochondroma of nose
Lion (Felis leo)
Malignant adenoma of cervix uteri
Metastases to lung
Jaguar (Felis onca)
Fibroadenoma of uterus
Fibroadenoma of bile ducts
Lymphangioma of mesentery
Viverridæ—Indian Paradoxure (Paradoxurus niger)
Adenocarcinoma of pancreas
Malayan Civet (Viverra tangalunga)
Carcinoma of lung
Canidæ—Corsac Fox (Canis corsac)
Adenoma of pancreatic ducts
Red Fox (Canis vulpes pennsylvanicus)
Cystic adenoma of bile ducts
Raccoon-like Dog (Canis procyonoides)
Adenocarcinoma sarcomatodes of thyroid
Gray Fox (Canis cinereo argenteus)
Papillary cyst adenoma of bile ducts
Prairie Wolf (Canis latrans)
Sarcoma of thyroid region
Metastases to lungs
Prairie Wolf (Canis latrans)
Sarcoma of thyroid region
Procyonidæ—Common Raccoon (Procyon lotor)
Adenoma of pancreas
Ursidæ—Polar Bear (Ursus maritimus)
Adenocarcinoma of adrenals
Metastases to lungs, lymph nodes, diaphragm
Black Bear (Ursus americanus)
Medullary carcinoma of breast
Metastases to lungs
Black Bear (Ursus americanus)
Epithelioma of tongue
Phocidæ—California Hair Seal (Zalophus californianus)
Hypernephroma of adrenal
479Rodentia (12)
Sciuridæ—Beechy’s Spermophile (Citellus grammurus beecheyi)
Osteoma of sternum
Gray Squirrel (Sciurus carolinensis pennsylvanicus)
Hypernephroma of kidney
Woodchuck (Arctomys monax)
Adenoma simplex of liver
Muridæ—Waltzing Mouse (Mus wagneri rotans)
Adenocarcinoma of thigh muscles
White footed Mouse (Peromyscus leucopus)
Carcinoma simplex of mammary gland
White footed Mouse (Peromyscus leucopus)
Spindle celled sarcoma of leg
White footed Mouse (Peromyscus leucopus)
Carcinoma of mammary gland
Larger Egyptian Gerbille (Gerbillus pyramidum)
Fibrosarcoma of shoulder region
Heteromyidæ—Kangaroo Rat (Perodipus richardsoni)
Sarcoma of urinary bladder
Octodontidæ—Coypu Rat (Myocastor coypus)
Sarcoma of thyroid
Hystricidæ—Canada Porcupine (Erethizon dorsatus)
Chorionepithelioma uteri
Dasyproctidæ—Azara’s Agouti (Dasyprocta azara)
Squamous carcinoma of larynx
Proboscidea (1)
Indian Elephant (Elephas indicus)
Leiomyoma, uterine cornua and fimbria
Ungulata (7)
Equidæ—Chapman’s Zebra (Equus burchelli chapmani)
Fibroma peritonei with sarcomatous and osseous
change and metastases to lung
Bovidæ—Isabelline Gazelle (Gazella isabella)
Osteofibroma of jaw with mucoid degeneration
Nylghaie (Boselaphus tragocamelus)
Fibroma uteri
Dorcas Goat (Capra hircus)
Lymphosarcoma of mediastinum with metastases
to liver, kidney and lymph nodes
Cervidæ—Common Deer (Mazama virginiana)
Fibroadenoma of bile ducts
Camelidæ—Alpaca (Lama pacos)
Carcinoma of liver or bile ducts with extension
to intestine
Suidæ—Wild Boar (Sus scrofa)
Carcinoma uteri
480Edentata (1)
Dasypodidæ—Nine banded Armadillo (Tatu novemcinctus)
Fibroma uteri
Marsupialia (7)
Didelphyidæ—Common Opossum (Didelphys virginiana)
Adenoma of kidney
Common Opossum (Didelphys virginiana)
Adenocarcinoma of mammary gland
Dasyuridæ—Spotted tailed Dasyure (Dasyurus maculatus)
Adenocarcinoma of intestines with metastases to
lymphatics, liver, spleen, lungs
Tasmanian Devil (Sarcophilus ursinus)
Cystic epithelioma of skin of thigh
Peramelidæ—Rabbit eared Bandicoot (Thylacomys lagotis)
Carcinoma of lung
Macropodidæ—Red Kangaroo (Macropus rufus)
Malignant papilloma of stomach
Metastases to liver, spleen, kidney
Red Kangaroo (Macropus rufus)
Carcinoma of lung
Metastases to spleen and gastric wall
AVES
Passeres (7)
Turdidæ—American Robin (Planesticus migratorius)
Hypernephroma of kidney, metastases to intestine
Crateropodidæ—Jungle Babbler (Crateropus canorus)
Adenoma of kidney
Tanagridæ—Palm Tanager (Tanagra palmarum)
Lipoma of abdominal wall
Fringillidæ—Saffron Finch (Sycalis flaveola)
Adenocarcinoma of kidney
Chestnut-eared Finch (Amadina castanotis)
Adenocarcinoma of kidney with metastases to lung
Chestnut headed Bunting (Emberiza luteola)
Lipoma of scalp
Icteridæ—European Blackbird (Merula merula)
Hypernephroma of kidney region with metastases to liver
Striges (1)
Bubonidæ—Great Horned Owl (Bubo virginianus)
Papilloma of duodenum
Psittaci (26)
Loriidæ—Musky Lorrikeet (Glossopsittacus concinnus)
Carcinoma of lung
481Cacatuidæ—Roseate Cockatoo (Cacatua roseicapilla)
Lipoma of abdominal wall
Roseate Cockatoo (Cacatus roseicapilla)
Multiple lipomata of abdominal wall
Psittacidæ—Undulated Grass Parrakeet (Melopsittacus undulatus)
Glioma of brain with metastases to liver
Undulated Grass Parrakeet (Melopsittacus undulatus)
Hypernephroma of adrenal
Undulated Grass Parrakeet (Melopsittacus undulatus)
Papillary adenoma of kidney
Undulated Grass Parrakeet (Melopsittacus undulatus)
Cystic papillary adenocarcinoma of kidney
Undulated Grass Parrakeet (Melopsittacus undulatus)
Adenocarcinoma sarcomatodes of liver
Undulated Grass Parrakeet (Melopsittacus undulatus)
Papillary cyst adenoma of kidney
Undulated Grass Parrakeet (Melopsittacus undulatus)
Adenoma of kidney
Undulated Grass Parrakeet (Melopsittacus undulatus)
Adenoma of kidney
Undulated Grass Parrakeet (Melopsittacus undulatus)
Adenocarcinoma of oviduct
Undulated Grass Parrakeet (Melopsittacus undulatus)
Carcinoma simplex of liver with metastases to
liver, spleen
Undulated Grass Parrakeet (Melopsittacus undulatus)
Carcinoma simplex of liver
Undulated Grass Parrakeet (Melopsittacus undulatus)
Multiple lipomata
Undulated Grass Parrakeet (Melopsittacus undulatus)
Multiple lipomata
Undulated Grass Parrakeet (Melopsittacus undulatus)
Sarcoma of pectoral muscle with metastases to liver
Undulated Grass Parrakeet (Melopsittacus undulatus)
Round cell sarcoma in region of liver, spleen, kidney
Undulated Grass Parrakeet (Melopsittacus undulatus)
Carcinoma simplex of thyroid
Blue fronted Amazon (Chrysotis æstiva)
Adenocarcinoma (?) of proventricle
White fronted Amazon (Chrysotis leucocephala)
Epithelioma in peritoneum (?)
All Green Parrakeet (Brotogerys tirica)
Sarcoma of pectoral muscle
Red shouldered Parrakeet (Palæornis eupatrius)
Sarcoma of testes
Red shouldered Parrakeet (Palæornis eupatrius)
Sarcoma of testes
482King Parrakeet (Apromictus cyanopygius)
Sarcoma of ovary
Crested Ground Parrakeet (Calopsitta novæ-hollandiæ)
Lipoma of muscle of abdomen and chest walls
Accipitres (2)
Falconidæ—Red shouldered Buzzard (Buteo lineatus)
Retroperitoneal sarcoma
Sparrow Hawk (Sparverius sparverius)
Lipoma around cloaca
Columbæ (1)
Columbidæ—Scaly Ground Dove (Scardapella squamosa)
Sarcoma (spindle) of kidney with metastases to tibia
Galli (1)
Phasianidæ—Wild Turkey (Meleagris gallopavo)
Papillary adenocarcinoma of ovary
Fulicariæ (1)
Rallidæ—Moorhen (Gallinula chloropus)
Endothelioma of clavicle
Anseres (4)
Anatidæ—Red headed Duck (Fuligula ferina americana)
Papillary adenoma of kidney
Black Duck (Anas obscura)
Hypernephroma of adrenal
Lesser Snow Goose (Chen h. hyperboreus)
Fibroma on clavicle
Bean Goose (Anser fabalis)
Myxosarcoma of pectoral muscle
Struthiones (1)
Rheidæ—Common Rhea (Rhea americana)
Cystic papillary adenoma of duodenum
483

SECTION XVII
THE COMMUNICABLE DISEASES—PART I

TUBERCULOSIS.

Nearly all infectious diseases have either a limited natural zoological distribution or are encountered chiefly in one order or division. Thus typhoid fever is peculiar to man, hog cholera to swine, foot-and-mouth disease to cows. A second group, including for example anthrax, variola, hemorrhagic septicemia and malignant edema, is somewhat less specific, and may occur in several varieties. There is no more widespread, important infection, zoologically, economically and hygienically, than tuberculosis, and it would seem that all kinds of vertebrates are subject to it. Its manifestations too, are sufficiently similar to support the idea that there must have been originally a common ancestor of the viruses which we now designate separately by a term to indicate their immediate source (human, avian, etc.), and moreover it has been shown that any of the artificially separated varieties or subspecies may under certain circumstances infect all zoological families.

There is, however, a varying resistance to the tubercle bacillus, certain zoological groups standing out preëminently as more or less susceptible to it. There is also a tendency for each animal group to present features more or less peculiar to itself, but nevertheless the characteristics, both gross and minute, of the disease caused by the Bacillus tuberculosis are sufficiently similar to permit close analogy and to establish a diagnosis when the bacteria are found.

The data collected at this Garden are well suited to elucidate the susceptibility of wild animals under captive conditions and to illustrate the nature of lesions in them. 484Perhaps they do not offer a perfect cross section of zoological distribution of tuberculosis because of the predominance in the display of birds, of monkeys and of ungulates, but the figures will be found significant in certain respects. Such records cannot be compared with those obtained for domesticated animals in farms or breeding places, nor can our material be used to show the incidence for individual species, such as cows, dogs and the like, in a manner commonly used in veterinary literature. Those who are interested in this phase of the problem can find in Lubarsch-Ostertag’s Ergebnisse, 1917–18, No. 2, a summary by Eber of all recent literature, covering nearly 1,700 references, which really amounts to a review of all modern knowledge of tuberculosis in the lower animals. The article does not, however, attempt to compare or contrast the incidence per order or family in wild varieties since little information is available on these points. There are no reliable data concerning the existence of tuberculosis in the wild. It is noted in the report of the British Tuberculosis Commission that monkeys were received with this disease; Eber mentions that wild swine from a private preserve presented undoubted evidence of tuberculosis and another similar experience with pheasants, but these and other citations can give no proper estimate of exact conditions nor allow a decision that the infection exists at all under natural environment for in all cases the association with human beings or domesticated animals cannot be excluded. Tuberculosis is usually described as a disease of civilization and its incidence surely varies directly with crowding.

The Table.

Description of Table 23. The study of our autopsy records was begun by the preparation of the accompanying table, which is based first upon the zoological classification per order with subdivisions for families where 485there are sufficient examples within important orders, and second, upon percentage of total cases. For the analysis of the pathological types, headings of probable origin, gross anatomical lesions and visceral distribution were then made. The first vertical column shows the total autopsies per order, and where families are given, for each of them. In three instances Primates, Ungulata and Galli, not all families are represented, so that the total for the order is greater than that for the subdivisions quoted. It is noteworthy that we have had no tuberculosis among nine families of ungulates; this will be discussed later. The second column gives the total cases of tuberculosis for the order and family, respectively, followed by a third line of percentages. For the analysis of the pathology in these animals all the protocols were reviewed. Forty-eight of them being found unsuitable, deductions were made according to the natural group, thereby leaving the number shown in the fifth column for separation according to origin and type. Analyses in the succeeding columns are made upon number of cases and not upon percentages, because of the confusion arising from small decimals. The actual relationships will be pointed out in the notes. Percentage is not so necessary because comparisons and contrasts are usually made with classes or orders where the figures are comparable.

486
Table 23.
Analytical Table Showing Incidence of Tuberculosis per Order and for Some of the Principal Families, to Which are Added Columns Showing Probable Origin of Infection, Pathological Type of the Disease and the Visceral Distribution of the Morbid Process.
Order Family No. of autopsies for order or family Cases of Tuberculosis Percentage Cases not sufficiently described for analysis Net no. of cases in analysis Probable origin Pathological Type Visceral Distribution
Pulmonary-aerogenic Intestinal-lymphatic Acute Miliary Massive caseous Nodular caseous Chronic fibrous and ulcerative Pearl type Lungs Liver Spleen Lymph nodes Intestine Kidney Serous membranes Bones and joints Brain Heart Pancreas
Primates 498 192 38.5 8 184 86 98 3 52 108 16 5 173 122 149 145 30 84 70 2 2 7 3
  Simiadæ 7 3 43. 0 3 3     2       3 2 3 3 2 1 1        
  Cercopithecidæ 353 171 48.4 8 163 76 87 2 46 96 16 3 156 111 136 128 24 76 63 2 2 7 2
  Cebidæ 106 18 16.9 0 18 7 11 1 3 12   2 14 9 10 14 4 7 6       1
Lemures, Lemuridæ 86 23 26.7 3 20 6 14   5 15     17 14 17 12 2 7 1       1
Carnivora 481 17 3.5 4 13 6 7   1 8 4   11 4 2 6 1 4 3 1      
Rodentia 199 5 2.5 0 5 3 2   3 2     4 2 2 4 1 2 2 1      
Ungulata 365 35 9.6 2 33 27 6   6 1 24 2 28 7 3 25 1 2 7        
  Equidæ 11 1 9. 0 1   1   1             1              
  Bovidæ 123 12 9.7 1 11 10 1   1 1 9   9 4 2 7 1 1 1        
  Cervidæ 171 19 11.1 1 18 14 4   4   13 1 17 2   14     5        
  Camelidæ 25 3 12. 0 3 3         2 1 2 1 1 3   1 1        
Proboscidea 3 2 66. 0 2 2         2   2                    
Totals for Mammalia [97]1860 [97]274 [97]14.7 17 257 130 127 3 67 134 46 7 235 149 173 192 35 99 83 4 2 7 4
487Passeres 1355 18 1.3 6 12 9 3   5 7     9 5 5   4   4        
Picariæ 87 11 13. 0 11 1 10   2 8   1 2 9 6 1 4 1 3 1      
Psittaci 698 38 5.4 3 35 13 22 1 9 25     18 24 14 2 12 6 6     1  
  Loriidæ 24 3 12.5 0 3 1 2   1 2     3 3 1   1 1 1        
  Cacatuidæ 80 7 8.7 1 6 4 2   1 5     5 5 2     1 1     1  
  Psittacidæ 585 28 4.8 2 26 8 18 1 7 18     10 16 11 2 11 4 4        
Striges 133 6 4.5 3 3 3     1 2     3 3 2       3        
Accipitres 196 11 5.6 1 10 5 5   2 7 1   8 6 8 1 4 3 6     2  
Columbæ, Columbidæ 157 50 32. 5 45 10 35   12 33     24 40 34 1 16 13 20     1  
Galli 299 42 14. 5 37 10 27   12 24 1   20 34 29 2 20 7 15       1
  Phasianidæ 252 22 8.3 3 19 2 17   4 15     7 18 15 1 10 2 6       1
  Cracidæ 38 17 44. 1 16 7 9   7 8 1   12 15 13   10 5 7        
Megapodidæ 5 3 60. 1 2 1 1   1 1     1 1 1 1     2        
Fulicariæ 35 9 27. 0 9 1 8   1 8     4 8 8 1 3 3 4        
Hemipodii 2 1 50. 0 1 1     1       1 1 1   1 1 1        
Alectorides 37 10 27. 2 8   8   2 6     4 8 7 2 3 3 7        
Odontoglossæ 6 2 33. 1 1   1     1       1 1   1            
Anseres 317 16 5. 5 11 2 9   4 5 2   4 7 8 1 3 4 4        
Struthiones 32 3 9.4 0 3 3         3   3 2 3 2   1 1        
Crypturi 5 2 40. 0 2   2     2     1 2 2   2 1          
Totals for Aves [97]3505 [97]219 [97]6.2 31 [99]188 58 130 1 51 128 7 1 101 151 128 13 73 43 74 1 0 4 1
Grand Totals [98]5365 [98]493 [98]9.1 48 [99]445 188 257 4 118 262 53 8 336 300 301 205 108 142 157 5 2 11 4
See page 484, for description of tabulation.
For meaning of italics see foot note Table 1.
These and figures set opposite them are cases not percentages.

488It is generally conceded that the principal and only significant routes of origin for tuberculosis are via the respiratory and alimentary tracts. The criteria upon which to decide the route that has been followed are by no means definite and may not be for any given case unexceptionable. In birds the alimentary tract is conceded to be the important one, while in mammals an aerogenic route is believed to be the rule. However, since feeding experiments have shown that tubercle bacilli can gain the lungs by passing through the intestinal wall and abdominal lymphatics without leaving gross traces, the decision that one or the other route has been taken may be erroneous, and statistics therefore can often be fallacious. It is usually the rule to assume that the oldest or best developed lesions occur where the originally settled organisms exerted their maximum effect. The questions of infection-path and of original lesion not having been settled it is obvious that decision as to the route must be in the nature of an estimate. With these limitations in mind I have divided the cases into probable respiratory and alimentary origins according to the following criteria. Where the lesions were wholly respiratory or within the lymph glands of the trachea and bronchi the decision was not so difficult. Predominance of the pulmonary disease with recent lesions in other organs was taken to indicate an aerogenic origin. The chronic ulcerative or fibrous pulmonary lesions were also ascribed to those beginning in the lungs. The alimentary tract was considered for this purpose as beginning in the tonsillar area and ending at the anus. This is as I understand the customary teaching. When the lymph nodes of the alimentary area were advanced in the process, the intestinal method was held responsible. It is of course not to be forgotten that organisms coughed up from the lungs and swallowed may be responsible for lesions within the alimentary system. However, a predominance of intestinal, splenic, hepatic and lymphatic lesions caused me to place the case with those originating from the alimentary tract. Granting the limitations of our knowledge, of the criteria and of my own judgment, it is noteworthy that the results of this division of the table are not contradictory to the usual teaching, the most conspicuous being the predominance of the alimentary infection of Aves and in the order Primates, whereas the pulmonary route has the highest figures for the Ungulata.

The next subdivision of the table concerns the gross pathological type. Beginning with the most acute form, the acute miliary, progression is made in terms of 489chronicity—then following in order the massive caseous form including caseous pneumonia, the caseous miliary or nodular form so well represented by the monkey, then the fibroulcerative type such as one encounters in human consumption, including also forms in which fibrosis predominates, and lastly the rather uncommon pearl disease. This classification has been relatively easy to follow and can be readily imagined by the reader. There are of course intermediate cases or transition forms and there have been instances partaking of more than one character. The groupings present only gross appearances and, with few exceptions, are not to be taken as direct indications of type incidence in special groups.

Visceral distribution is shown in the last gross section of the table; single cases or unusual locations are not tabulated but will be separately discussed. The visceral distribution is made upon evident gross lesions or their discovery in organs whose condition suggested the need of microscopic study for confirmation. The figures in the table will be reviewed first upon the incidence as a whole and then between classes and orders. This will be succeeded by an analysis of the particulars for each order and then for each of the pathological headings.

Total and Class Incidence.

The autopsies upon 5,365 animals have revealed the existence of tuberculosis in 492, a percentage of 9.1. This means that lesions due to the Bacillus tuberculosis were present, but they were not always the cause of death, since many specimens have been executed and others have had sufficient pathology to kill, aside from the tuberculous changes. Deaths due to the disease alone are difficult to estimate, but seem to be about 325 or 6 per cent. These figures, while they represent the total incidence, lose considerably in significance when the factors are analyzed. Mammalian incidence is 14.7 per cent., Avian 6.2 per cent., but the former is based upon figures obtained from six of 490twelve orders numbering 1,860 animals, whereas the latter represent the cases in fourteen of twenty orders numbering 3,505 birds. The percentages are considerably increased by high figures for a few orders, Primates, Lemures, Columbæ for examples. There are missing from the list very few orders of which we have any notable number of autopsies, Marsupialia and Herodiones being the only important ones; it would seem that these orders have a high resistance to the disease.

Investigation into the origin of the disease in mammals and birds shows with definiteness the preponderance of the alimentary route influence in the latter, but for the former the figures cannot be said to be conclusive. The bird excretes large numbers of bacilli with the feces thereby soiling the feed and the ground. This is due to the frequency of intestinal open lesions and to the really enormous numbers of bacilli which are in the morbid tissue. I think it can be said with safety that, other things being equal, the bird excretes bacilli constantly and in greater numbers than does the mammal, and that in physically comparable lesions there are more bacilli in the avian than in the mammalian.

The inconclusive figures for the origin of the disease in the mammal can be clarified very little by the subtraction from the tables of the figures for the very susceptible Primates. By doing this it would seem that the respiratory route dominates as 43 to 29, whereas if the reasonably susceptible Lemures be also deducted the ratio becomes as 38 to 15. It would seem that the evidence favors the aerogenic route in the mammal.

Pathological Types.

An inquiry into the gross pathological types reveals at once the frequency with which the nodular and massive caseous forms appear. If the number of cases be reduced to percentage it will be found that 59 per cent. of all specimens presented the nodular variety and 26.6 per 491cent. the massive caseous form. These large figures (equaling when combined 85 per cent.) coupled with the fact that only 12 per cent. of the total were fibroulcerative and 1.8 per cent. of the pearl type, would seem to indicate that the nodular and massive caseous processes are the lesions to be expected in wild animals. Furthermore, if these nodular and caseous forms speak for recent infection or acuteness of the morbid process, it would seem that wild animals have a low tissue resistance to tuberculosis. It is a widespread belief, in some degree well supported, that a disease new to an animal species is highly fatal and that the survival of the race depends upon an active self-immunization or the survival of the pathologically least susceptible. If tuberculosis be a disease of civilization, these figures would suggest that it is absent in nature. As a further support of this idea it can be said that with the exception of two cases in ungulates, no fibroid tuberculosis, approaching the quiescent type as seen in man and rarely in domestic animals, was encountered. Very rarely calcareous deposits will be found in both simian and ungulate lesions but these need not indicate a tendency to general healing although at that place the process may be inactive. The bird uses considerable fibrous tissue in the construction of its tuberculous mass but fibrosis never masters the situation with the formation of scar tissue sufficient to wall off the process. Pearl disease, a fibrocaseous condition, is not a healing fibroid procedure and is, in our material, of no numerical significance.

Visceral Distribution.

The distribution of the morbid lesions in the viscera presents some interesting features. In the first place the data leave no doubt that the most susceptible tissue in the wild animal body is, as in the case of human and domestic animals, the lung. The susceptibility of this organ in the two classes is however a different matter 492since in the mammal 91.4 per cent. show pulmonary lesions while only 53.7 per cent. of birds are so affected. Part of the reason for this appears in the figures for the principal abdominal organs, of which the liver and spleen occupy the prominent places. The mammalian livers show 58.2 per cent., the avian 80.3 per cent.; 67.5 per cent. of mammalian spleens, 68.0 per cent. of avian spleens have tuberculous lesions. The figure for the mammalian spleen is distorted because of the peculiar susceptibility of this organ in the monkey, it being conspicuously free of lesions in most mammalian orders. The intestines presented discernible lesions in practically 40 per cent. of birds but only in 13.5 per cent. of mammals. Renal involvement was found in 38.4 per cent. of mammals and 22.9 per cent. of birds.

A study of the changes in the serous surfaces is complicated by the difference of anatomy in the two classes. The mammal has separate closed serous sacs well guarded against invasion from mucous surfaces whereas in the bird the air sacs and serous cavities are closely related, the latter being loosely applied to viscera they are intended to cover. Moreover in Aves direct infection of the air sacs seems a definite possibility. Notwithstanding the fact that the bird’s sacs and serous surfaces appear so open to infection there is no great preponderance of lesions within them—Aves 39.3 per cent. Mammalia 32 per cent. The lymph nodes were tabulated as a tissue rather than according to location, the latter method being found profitable for discussion in a few orders only. As might be expected the abundant lymph nodes of the mammal were affected out of all proportion to those in the bird. These matters will be discussed later. The remaining figures on the table have no comparative value.

Ordinate Characteristics.

The Primates as an order have shown low resistance to tuberculosis, a fact well known to general observation. How much this is due to the unsanitary surroundings to 493which these naturally free active beasts are subjected, in catching, transporting and storing for sale, must at present remain conjectural, but they are probably infected with ease as our experience in this laboratory suggests. Desiring a tuberculous monkey for certain tuberculin tests, I injected one hundredth of a milligram of a human culture, known to produce definite lesions in rabbits; the animal died in three months with advanced general tuberculosis. The unexpected and interesting feature of our figures is the susceptibility of different families within the order. The Old World monkeys, Simiadæ and Cercopithecidæ have a combined incidence two and one-half times as great as the New World Cebidæ, and the marmosets had no tuberculosis at all in the thirty-two specimens. Possibly this is a matter of transportation and handling, which reduces the resistance and offers chance to infect apes and baboons. The New World capucin monkeys have their exposure too since many of them are household pets before the Garden receives them. Their usual life in captivity is however shorter than that of Old World varieties, they therefore being exposed to infection for a shorter time. It would seem however that American Primates are more resistant to the disease than African and Australasian.

The form of tuberculosis to which this order is liable is well described in text-books, it being so characteristic that the term “monkey tuberculosis” is used to distinguish it. The purpose of the term is to compare the lesions with certain cases of generalized tuberculosis in children. It is characterized by a nodular involvement of the liver and of the spleen particularly, sometimes also of the lungs but in fatal cases the last organ is commonly the seat of massive caseation or caseous pneumonia. The prominence of the pulmonary lesions often makes a decision of origin difficult since important changes may be found in the liver and abdominal nodes. Blair at New York, and Rabinowitsch at Berlin are of the impression that many cases of monkey tuberculosis start by pharyngeal 494and tonsillar infection because they found cervical adenitis so commonly. Our records and specimens would support this idea in only fourteen instances and I am of the impression that the lower intestinal route is more often responsible, even to a higher figure than is recorded in the table. This view is based upon the frequent occurrence of enlarged glands in the mesentery, retroperitoneum and posterior mediastinum, in the latter location being quite as prominent if not more so than in the bronchial and tracheal area. Occasionally deposits of calcareous matter will be found in old caseous glands but in such animals there has always been some other spot of activity of tuberculosis. The frequency with which the liver and spleen are affected gives opportunity for hematogenic spread, a method of no small importance in the opinion of Eber. The chronic ulcerative form is quite well displayed in monkeys, interestingly enough to cite an illustrative case at the end of this division of the discussion. Five cases of distinct chronic cavitation were encountered; several small recent cavities were found in the massive caseous pneumonic cases. The two acute miliary cases and one of the pearl type will be discussed briefly on a later page.

Despite the prominence of the liver, spleen and lymph nodes, the lungs stand ahead of all others by a safe margin of visceral incidence. The spleen stands in the third place in this order and in the next, Lemures, but in no other mammalian group does this organ occupy so prominent a position. The susceptibility of lymphatic tissue in the monkey is further illustrated by the large number of cases showing lesions in lymph nodes. It is rather striking however that our material showed very few active ulcerations in the lymphoid plaques of the intestinal wall nor indeed do the intestines present a large numerical involvement. Serous membrane tuberculosis is chiefly that of the pleura, upon which early precaseous tubercles are frequently found, usually in conjunction 495with pulmonary disease. Tuberculous peritonitis of the plastic and nodular variety occurred only six times, though light adhesions to nodules in the liver and spleen were quite common. Pericarditis was found five times, in three of which there was myocardial disease; which of the two was primary was not indicated in the notes but from present reading it would seem that the heart muscle was involved first.

The next order, Lemures, has a susceptibility of about half that of the monkeys judging by the percentage incidence. Analytically the members of this group react quite like the preceding order in having the same types of origin, pathology and organic distribution. Since they are so close zoologically, present similar lesions and are tested in the same manner as the monkeys, we group them together and shall proceed to discuss special cases of interest in both orders.

Special Cases in Primates and Lemures. Acute general miliary tuberculosis occurred thrice in Old World and once in New World monkeys. The first case took its origin in a caseous gland in the bronchotracheal area, the lung showing a minor degree of involvement with milia but no older process. The second took its origin in the mesenteric area and the organs of this section of the body were most affected. The only case in the Cebidæ seemed to be of intestinal origin since an acute plastic peritonitis with fluid exudate accompanied the generally miliary disease.

Pearl disease of the bovine type has been encountered on four occasions but it cannot be said to have developed to the state of perfection seen in the cow. There is lacking the masses of nodules growing together in a fungoid character usually seen on the pleura and peritoneum. The monkey form is in isolated nodules of gray-yellow color which may show caseous centres. The visceral lesions are in firm separate areas not tending to soften or coalesce. Two of these monkeys died from recent pulmonary 496exacerbations. From one of the cases a bovine bacillus, judging from culture and rabbit virulence, was isolated.

As a good example of monkey tuberculosis, illustrating at the same time a chronic ulcerative pneumonitis with cavitation, the following case is cited:

Green Monkey (Cercopithecus callitrichus) ♀ . Was coughing and drooping for two days before death. Chronic ulcerative tuberculosis of lungs with cavity formation; early conglomerate tuberculosis of liver; conglomerate caseous tuberculosis of spleen; early conglomerate tuberculosis of ileum (Peyer’s patches); acute catarrhal enteritis; miliary tuberculosis of right kidney. The animal is well preserved, sleek, with a moderate amount of fat. The left pleura is largely obliterated by adhesions in the lower portion. As lung is freed it is torn, showing a cavity measuring 3 × 3 × 4 cm., which is filled with a curdy gray material. Cavity has well defined walls. Rest of lower lobe in which this cavity lies is solidified, red and edematous and contains numerous conglomerate tubercles. Upper lobe practically free of tubercles; shows compensatory emphysema. The right lung closely resembles the left but lacks the cavity. The liver is enlarged, soft and friable, of red color, spotted yellow. Serous and section surfaces show closely packed early conglomerate tubercles. The spleen is of normal size, soft, has red pulp with large conglomerate tubercles which project slightly on the capsule. The kidneys are apparently normal except for the presence of two or three subcapsular large, solitary tubercles in the right organ. The duodenum has thickened walls, mucosa bright, brilliant scarlet hue. In the ileum the walls are thickened, mucosa bright red, agminated follicles hyperplastic elevated and display several (4–12) miliary tubercles. These may be seen shining through on the serous surface but there is no peritoneal tuberculosis. No ulceration of Peyer’s patches. Contents of large intestine is rather dry and here the mucosa shows exaggerated rugæ which cannot be smoothed out. Walls are thickened, and ulceration, while suggested, cannot surely be determined.

An interesting case of primary tuberculosis in the larynx detected at postmortem after a tuberculin injection is as follows:

Fig. 51.—BOVINE TUBERCULOSIS IN THE MONKEY. THIS SPECIMEN SHOWS THE BOVINE PEARL DISEASE ON THE COSTAL PLEURA, AND SERVES AS WELL TO ILLUSTRATE THE NODULAR TUBERCLES COMMONLY FOUND IN THE SPLEEN OF ALL PRIMATE TUBERCULOSIS.

497Black and White Lemur (Lemur varius) ♂ . Miliary tuberculosis of larynx; perilaryngitis and retropharyngeal lymphadenitis. Killed because of unsatisfactory chart after injection of tuberculin. The only tuberculous lesion to be found in the body, which is in excellent shape, is in and about the larynx. The lesions within are on the epiglottis, false and true vocal cords and the main ventricle. On either side of the root of the epiglottis, there are a few recent tubercles. The lesion in the retropharyngeal lymphatics is recent and diffuse. This is probably primary as it is not known that the retropharyngeal glands drain to or from the larynx. About the lesions on the laryngeal mucosa there is an area of congestion probably due to the tuberculin injection.

Local lymphatic tuberculosis of comparative interest was encountered a few times. Three cases of cervical adenitis, large enough to be visible, were seen, of which one broke down about two weeks before death, and discharged. The others did not ulcerate through the skin but, contrary to the usual rule for the human being, remained as isolated glands only lightly adherent to one another where they lay adjacent. There was also seen an ulcerating tuberculous lymph node in the groin of one monkey, the animal having rather pronounced abdominal and pelvic tuberculosis. Two instances of tonsillar tuberculosis are recorded, in both of which the lesion was of some duration and associated with caseation in the lymph node lying immediately behind and below it. A Guinea Baboon (Papio sphinx) had as an unusual part of his general tuberculosis, an active caseopurulent collection in the antrum of Highmore, which attacked the upper maxilla and immediately adjacent muscle; tubercle bacilli could be demonstrated.

One of the cases of nodular or massive peritoneal tuberculosis is quite like the tumor-forming variety of human adolescents; it is as follows:

Reddish Macaque (Macacus rufescens). Caseous tuberculosis of mesentery and spleen; miliary tuberculosis of lungs, pleura and liver; chronic myocarditis. The lymphatic glands of the posterior and superior mediastinum and bronchi are slightly enlarged, soft and anthracotic but do not show any tuberculous change. Both lungs are riddled with small, firm, gray miliary tubercles, some surrounded by a clear mantle of connective tissue. The intervening lung is practically normal. Pleura over base of right lung on both surfaces shows small, pale miliary tubercles. The liver contains various sized miliary tubercles. There is a large caseous mass in posterior end of spleen with adhesions to kidney, stomach and colon. Retroperitoneal glands are much enlarged, firm, homogeneous—probably tuberculosis of a different type. Lesser omentum contains one caseous gland. Few caseous glands in great omentum. In the right iliac region there is a large mass involving many coils of intestine. It is found to arise probably from the ileocecal 498glands and can be traced along the mesentery to the central lymphatic stalk. The mass involved the tissues of the mesentery and surrounds many coils of intestine. Cecum and first part of colon can be traced over its right side. Rectum is free except on right side where it is lightly attached to the mass. Epicardium is gray and irregularly thickened and the muscle just beneath serous membrane is pale and streaked with red lines.

There have been three cases of tuberculosis of the internal male genital area, one of which was suspected of having been the primary seat of the disease; it was described on page 315. The other two could have been secondary since other points of morbid change were as old or older. One of these cases formed a tumor as large as a goose egg at the vesical neck, obstructing the flow of urine and blocking up the seminal vesical, in consequence of which paralytic distention occurred in the bladder while the vesicles were tightly filled with inspissated semen. A case of Fallopian salpingitis has also been cited. Two instances of cerebral tuberculomata have already been described.

Carnivora. This order has the reputation of being quite resistant to the tubercle bacillus, based upon the relative infrequency among cats and dogs in contrast to cows and swine. Some veterinary statistics cite the incidence up to 5 per cent., and occasional references may be found to tuberculosis in circus lions and tigers. Our records would suggest that in gardens the wild varieties of this order have about as much of the infection as the domestic carnivores, 3.5 per cent. The group is made of six Felidæ, one Viverridæ, three Canidæ, six Procyonidæ, and one Ursidæ. The first family includes a lion, tiger, a jaguar and three smaller cats. The Canidæ are all small foxes. The Procyonidæ are all coatis. The features of this order are the occurrence of the fibroulcerative variety with cavitation in the Felidæ and the caseous nodular abdominal and glandular disease in the coatis. All these animals, even those of the last named variety and pathological type, tend to show some tissue 499resistance to the tuberculous disease. Connective tissue activity is characteristic of the process, considerable distortion being produced by the fibrosis. This feature is borne out where the tissues are studied microscopically. Definite milia are sometimes found, but they consist of epithelioid and round cells with imperfect caseation, giant cells being often missing. About the miliary tubercles a diffuse and not essentially specific tuberculous granulation tissue is found, mixed with which is much connective tissue growth. The fibrotic adhesion-forming serous membrane tuberculosis of carnivores seems worthy of emphasis by the citing of a case in point. White nosed coati (Nasua narica), was received in poor condition and died in a few days. Upon dissection a slightly turbid yellowish fluid was found to occupy what remained of the peritoneal cavity which was reduced in size by dense adhesions of the intestines into an inflammatory mass. The omentum was a diffuse thickened apron, also beset with fine tubercles, lying over the mass. Fine young tubercles could also be found upon the intestines and liver while the mesenteric lymph nodes were early in caseation; thoracic organs not infected.

One of the most interesting cases concerned hypertrophic osteitis in a chronically tuberculous lion; the feet are discussed on page 346. This process was described by Marie for human beings many years ago, and was reported in dogs by Cadiot[100] in 1912. This beast was one of five large cats which have died from tuberculosis in its chronic ulcerative form. Three of the cats, one fox and the bear showed definite cavitations of a ragged loculated form. The cavities were usually of the multiple variety and were found in the posterior, that is lower lobe.

Rodentia. The paucity of cases in this order permits little information to be drawn from the form of tuberculosis. The total seems to have been swollen by a group of three beavers, all of which came in one shipment. The 500remainder were a Capybara and an Agouti. The general type is that of much caseation with little or no surrounding fibrosis. One illustrative case is cited:

American Beaver (Castor canadensis). General tuberculosis. The animal presents generalized tuberculosis. The regional lymph nodes show caseous nodules. The right hip joint shows caseous material about the acetabulum with necrosis and pathological fractures in the os innominatum immediately above the acetabulum and including its cavity. Lungs show almost no normal respiratory tissue, the process being a diffuse precaseous, partly gelatinous pneumonic phthisis. The superior and posterior mediastina show caseous glands. There is miliary tuberculosis of the liver. Nodular caseous tuberculosis of the spleen with small tubercles and some cirrhosis of the intervening tissue. There are caseous nodules in all perirenal glands and in the kidney cortices. The psoas muscle glands are densely caseous. The pelvic organs except about the right acetabulum escape involvement. Adrenals not opened but probably not involved.

Ungulata. This order shows the most definite figures among those for the order of mammals. Nearly one-tenth of the whole number of specimens have had some form of tuberculosis and of a very definite character. It is well at first to mention, however, that only four of thirteen families are represented, from which four came 328 of the total 365 autopsies. The remaining thirty-seven were such animals as tapirs, giraffes, swine, and peccaries, in all of which tuberculosis has been reported from elsewhere.

Pulmonary disease with less prominent lesions in other organs, especially the intestines and their related glands, speaks in favor of the aerogenic route being the common one. This of course has been a bone of contention among veterinarians, and I do not presume to settle the matter with these figures.

This order resists tuberculosis to a certain degree as attested by the fibroulcerative character of the majority of the cases. Two instances, one in a buffalo and one in a deer, showed very highly fibrotic pulmonary lesions with a partial attempt to surround and wall off numerous areas of caseation. So too in this order there is a greater 501tendency to calcification, both in the intra- and extrapulmonary nodes. It is to be emphasized that in our material the thoracic lymph nodes are affected more than the abdominal and regional as 3 to 1. The apparent immunity of the spleen of this order is well illustrated.

The paucity of serous surface involvements in the wild Bovidæ and their prominence in the Cervidæ cannot be ignored in the figures, but it seems misleading since pleural growths and adhesions are quite common in the domestic Bovidæ. The case in the Equidæ was that of a Zebra with a large tuberculous abscess in the retroperitoneal glands forming a tumor in the left renal region. It was quite well surrounded by fibrosis, and the infection had not extended; it seemed quite recent. Analysis of the figures for the remaining three families of ungulates offers little for contrast and much for comparison; it is the usual picture as seen in the domestic cow. Some special cases are worthy of review.

An interesting specimen of softened glands chiefly on one side of the neck was found in a Fallow deer (Cervus dama). It resembled the juvenile human cases that require surgical attention. Although palpable lymph nodes can be found in practically all cases of generalized tuberculosis in the Ungulata, this is the only case in our records in which they have presented a large tumefaction and broken down. Pulmonary cavitation is recorded but thrice, one for each of the last three families. Fibrocaseous tuberculosis of the testes was discovered in a Nylghaie (Boselaphus tragocamelus), but there is no knowledge of mating or offspring. An ischiorectal abscess was found in an American Bison (Bison bison) showing nodular precaseous tubercles of the lung. The former was the cause of death. No tubercle bacilli could be found in the abscess contents, so that the tuberculous basis is inferred, not proven. Tuberculous salpingitis in a Nylghaie was discussed on page 306.

502Proboscidea. Eber mentions in the article already referred to that there are three reports in the literature of tuberculosis in elephants. When looking for an explanation of tuberculosis in this animal it must be remembered that it is one of the most attractive objects in a zoological garden and receives perhaps more attention, including feeding, from visitors than any other specimen. The beast while possessing some tissue resistance to tuberculosis, is by no means immune thereto, as has been thought by some persons on account of its reputed longevity, and therefore he is to be protected from infection just as much as other animals. It would appear that he may present caseous pneumonia or nodular caseous disseminated lesions. Our two cases, in animals at the Garden twenty and thirty-eight years respectively, were both of the fibrocaseous variety; the lesion was confined to the lungs. A brief description of their lesions is as follows:

Indian Elephant (Elephas indicus) ♂ . Chronic polyarthritis. Chronic myocarditis. Chronic hepatitis (cirrhosis). Parenchymatous nephritis. Chronic tuberculosis of the lungs, partly encapsulated. Pigmentation of the spleen. The pleuræ are very fat but the surfaces are smooth and devoid of adhesions. The lymph nodes of the mediastinum are about 10 × 20 cm. for the largest while the smaller ones vary around 2 × 4 cm. They are firm, deep red-brown without clear divisions into medulla and follicular cortex. There are several large, firm, pale rather cheesy follicles in all the large ones and a few of the small. These do not appear like tuberculosis. The lungs are flaccid and soft; gray and red mottled. The bronchi are firm and stand open. Around one in the upper lobe of the right lung, there is a large area of cheesy degeneration around which a zone of connective tissue has formed. This extends about the bronchus about halfway in a sheath-like manner. There is also a separate nodule the size of a cherry with a cheesy centre. The trachea appears normal. Tubercle bacilli could be demonstrated in the cheesy material. Microscopic section of lung around the cheesy area shows a low grade chronic granulation tissue in some places enclosing cheesy masses with giant cells on the margin. The neighboring septa are slightly thickened and in some places broken, forming emphysematous cavities. Some of these cavities are edematous.

Indian Elephant (Elephas indicus) ♀ . Miliary and conglomerate caseous tuberculosis of lung. Edema of lungs. Endarteritis deformans of lung. Cloudy swelling of liver. Chronic passive congestion of liver. 503Hemosiderin pigmentation of liver. Acute parenchymatous nephritis. Chronic passive congestion of spleen. Chronic hyaline perisplenitis. Multiple calcified fibroid tumors of uterus. Leiomyoma of uterine cornu. Senile atrophy of ovaries. Acute catarrhal enteritis. There are some adhesions of the upper lobes of the lung to the ribs. The lungs are large, increased in weight, color pink and mottled red, air content diminished. There are several masses of tubercles, each as large as a cocoanut, in both lobes. In one such the tubercles are yellow and caseous; some are fibroid but none are liquefied or calcified. The fibrous tissue of the lung parenchyma here is much overgrown. In one instance the terminus of a bronchus is solidly plugged by caseous material. Mucosa of bronchi is reddened, markedly ulcerated, ulcers overlaid by mucopus.

Individual Features of Avian Tuberculosis.

The avian form of tuberculosis is somewhat peculiar in its physical appearance as well as in its distribution. The isolated nodular type is far and away more common by more than 100 per cent. than all the other types combined. These nodules are usually well circumscribed, and to the naked eye suggest that they have a restraining fibroid wall. This is, however, not the case, the impression being due to the dense but actively growing fibrocellular cortical zone of the tubercle. The centre of the nodule, instead of having the soft character like Camembert cheese, resembles the firm but brittle American dairy cheese. Upon opening such an area the central necrotic mass may split away from its cortex and even shell out, leaving a cavity lined by a gray-yellow membrane. These characters are best displayed in nodules of moderate size, the small ones being like the yellow mammalian analogue, the large being like indefinite cheesy masses. In the surrounding tissue evidences of inflammatory processes seem decidedly greater in our material than I am accustomed to see in human and veterinary pathology. This, it seems, should be emphasized since secondary infection with pus cocci and other pathogenic germs appears less often in birds than in mammals.

The difference speaks, therefore for a difference either in the tubercle bacillus of birds or the avian physiology. 504Judging by the limited morbid processes produced by injecting avian bacilli into rabbits and guinea-pigs the reaction of the bird itself would not seem wholly responsible for the difference. The local tissue reaction in all avian lesions is mononuclear and fibrous, softening and pus being rare. It would seem from this and similar operations that the bird expresses its resistance to the bacteria by a fibrocellular reaction which goes on to fibrosis without softening; perhaps this means also that their polynuclears are not sufficiently active, but the pathogenic power of the bacillus itself doubtless is individualistic.

The character of the cheesy degeneration is likewise different from the mammalian. It seems like an abrupt hyaline necrosis of a large central mass and not the slower cell death seen in the other types of tubercle. At times the degenerated area, instead of having the yellowish color of caseation, will present what we have designated “gelatinous tuberculosis,” the whole infiltrated area resembling boiled sago or tapioca. This seems to be a complete homogeneous coagulation or hyaline necrosis of the whole mass out to the delicate fibrous mantle supplied by the tissue in which the tubercle lies.

The organic distribution of tuberculous lesions has already received some attention and is to be discussed with the orders. There are, however, some localities affected conspicuously in the bird. The skin lesions often attract attention during life. They occur around the eye, at wing joints, on the cresta sterni and on the legs. Parrots and jays have shown nodular or diffuse growths around the eye, originating both in the lids and orbit, which on section have proved to be tuberculous. These seldom ulcerate, but those upon the skin of the breast and wings tend to have superficial erosions or deep ulcers. The latter lesions are more common upon pigeons but have been seen in Psittaci and Galli. Toucans and pigeons when pinioned, have on three occasions shown a tuberculous mass on the stump.

Fig. 52.—MASSIVE TUBERCULOSIS IN LIVER AND SEVERAL MURAL TUBERCLES OF INTESTINE. COMMON PEA FOWL (PAVO CRISTATA).

Fig. 53.—NODULAR HEPATIC LESIONS IN THE LIVER OF A DOVE.

505Two parrots with hyperkeratosis of the beak and of the skin of the feet, have also had tuberculosis. These have been mentioned in literature as of tuberculous origin. One case well studied failed to show tubercle bacilli in the corns. In the absence of tubercle bacilli, one is inclined to think that this might be explained on the basis of a circulating toxin such as is assumed to be responsible for hypertrophic periosteitis. This latter condition has not been seen in birds.

Still another type of occasional occurrence deserves mention. While most of the lesions in birds correspond to the description given in the preceding pages, some lesions fail to degenerate in the centre, retaining instead a solid homogeneous fleshy character of dull gray-yellow color. Upon section these have been found wholly cellular in construction. To distinguish them from the ordinary nodules they have been designated tuberculomata. Lesions of this kind may occur along the lymphatic paths, indeed seem more common in the lateral cervical and thoracic chain, and upon bones and nerves. When they are numerous the nodular caseous type is inconspicuous. They suggest the bovine infection (Pearl disease), but one attempt to prove this failed. We are of the opinion that this is the avian lymphatic form, as our examples correspond to the literary descriptions of cervical tuberculous lymphatics in birds. No especial variety of bird is more often affected by this process.

Intestinal tuberculosis among the Aves may be said to assume three forms. The best known, indeed the form usually spoken of as representing the common picture, is that which produces varying sized nodules upon the serosa, sometimes associated with adhesions to neighboring intestines. Just how this type develops is not known. In some quarters it is believed to originate by the penetration of the tuberculous granulation tissue 506from the mucosa through the intestinal wall by following lymphatic channels and that irregular contractions of the musculature squeeze the exudate outward under the serosa. Other observers think that the bacilli are carried via the lymphatics to the superitoneal tissue, there starting the tubercle. The truth of the matter will probably be that both methods are operative although we have seen more cases suggestive of the second than of the first explanation. When these peritoneal nodules are numerous and prominent, mucosal ulcers are uncommon and vice versa.

The second form is the ulcerative, flat ragged or crateriform defect situated in a diffusely thickened wall. This was well illustrated in cases of pulmonary infection in doves and guans, suggesting reinfection of the gut tract from swallowed tubercle bacilli or a backward development of the disease after the lungs were nearly solid.

The third form of tuberculous enteritis is quite interesting and striking. It is best seen in the duodenal loop but may occur anywhere. Diffuse thickening of the enteric wall is noted, and when palpation is practiced a resilient but leathery sensation is obtained. Careful inspection reveals the mucous surface to be velvety, a condition due to a swelling, that is widening, of the villi which retain their erect position and, when washed in flowing water, will be seen to move like a field of grain in a breeze. The serosa may be, usually is, negative. Studied microscopically the peculiarity of this form is in the development of tubercles and diffuse cellular exudation in the villus stalk, sometimes extending into the submucosa also. Round cell masses like lymph follicles are sometimes prominent. This form is not associated with any peculiar organic distribution so far as my studies go.

Fig. 54.—TUBERCULOUS MASSES OF INTESTINAL WALL SHOWING OUTWARD GROWTH. SOMETIMES THESE MASSES OBSTRUCT THE LUMEN.

507Passeres. The peculiarity of this order seems to be in the predominance of the pulmonary route as origin of tuberculosis. Perhaps in no other order has there been such extensive and advanced lesions as in these little birds. Sometimes one whole lung will be solid while its fellow will be half occupied by caseous material. The doves alone seem to approximate the Passeres in ability to live with so much tuberculous exudate.

Picariæ. Specimens from this order illustrate well the intestinal origin and distribution of tuberculosis. There was, among these birds, one case showing tuberculomata which was, because of its gross anatomy, listed as the pearl type. Its description is as follows:

Lesson’s Motmot (Momotus lessoni). The region above and behind the right clavicle in front of the brachial plexus on the internal surface of the thorax, exterior to the first and second ribs, and on the internal surface of the ribs at the junctions of ribs with the alæ of the sternum, there are many small, irregular, smooth, firm, yellowish white nodules varying in shape from spherical to sweet potato and in size from 3 × 3 mm. to 3 × 7 mm. These are found quite homogeneous on cross section. They do not resemble tubercle or mould infection but make one think of neuromata. There are also a few present in the left lateral air sacs, close to but not joining the intestine. The lungs are apparently normal. Histological section of the masses described as distributed along the nerves consist of sharply outlined but not well encapsulated masses made up of irregularly disposed bunches of large cells with vesicular nuclei in a stroma of loose connective tissue very inconspicuous in amount. There is also quite a number of small round cells and a few leucocytes. The large cells first described have the nucleus eccentric for the most part. Many of them have two nuclei and a few three and occasionally a giant cell is observed. Blood vessels have a very delicate wall and are frequently encountered in the centre of these masses. Atypical mitoses can be found. Here and there a seal ring placement of the nucleus can be found. A few eosinophiles are present not definitely placed. Necroses, with large quantities of nuclear fragments, are scattered irregularly through the mass. The diagnosis rests between an infectious granuloma, false neuroma and sarcoma. Tubercle bacilli were found by stain in great numbers both within and without the cells.

Psittaci. Tuberculosis occurs in this order somewhat more frequently in the varieties whose habitat is the Eastern world, although South American birds also suffer from it in the characteristic manner. There seems to be no difference in the pathology of these two groups. Parrots present very beautifully the separate solid or semisolid 508nodules of avian tuberculosis, whether they be in the lungs, liver, or spleen. When the lung becomes riddled with masses, coalescence occurs and the whole mass turns into a cast of the hemithorax. Lesions in the liver are mostly isolated, but the spleen often appears like one large pink tuberculous nodule. The liver occupies as usual the first place in organic incidence.

Striges. Owls (and Struthiones—see below) present the interesting exception to the rule of intestinal origin of tuberculosis in birds. Perhaps the platting is incorrect but the birds in the order under discussion had older and much more advanced lesions in the lungs and thoracic serosa than they did in the abdominal organs. That this was true in all three examples is in itself noteworthy. Perhaps they possess less pulmonary and more intestinal resistance. One of these birds showed a small recent cavitation in the posteroinferior angle of one lung.

Accipitres. With one exception the cases of this order occurred among the Falconidæ, that is in hawks, buzzards, and eagles. Their lesions are usually generalized as indicated by the figures for visceral distribution, but that half the number should have the oldest, most prominent lesions in the lungs is curious. Their intestinal tuberculosis seems mostly of the diffuse infiltrative type.

Columbæ. These birds are obviously the most susceptible of all the varieties of which there are sufficient autopsies to make a comparison. Generalized nodular lesions emanating from the intestinal tract comprise their usual form, while most of the hepatic lesions are small miliary and nodular; occasionally one sees caseous masses destroying large sections of the organ. Their intestinal lesions may assume any of the three forms described.

Galli. This is an order of something over the average percentage incidence for the birds but containing families that seem very susceptible to tuberculosis. The small 509number of Brush Turkeys (Catheturus lathami) had 60 per cent. of the disease, while South American Cracidæ had 44 per cent. These two groups raise the incidence for the order. Galli as a group have generalized nodular tuberculosis originating by the intestinal route. This is especially seen in the Phasianidæ, while the very susceptible Cracidæ have much more prominent lesions in the lungs, often of a massive caseous type. It is really astonishing at times how much of the pulmonary tissue is occupied by infiltrate before death has supervened.

Fulicariæ are represented by a special contingent of rails and gallinules. Avian characters are well illustrated in the order. So too the succeeding order, Alectorides, another variety of shore birds, run true to the avian form. It is interesting to note that in the two cases from each of these orders tuberculosis and aspergillosis have been combined. The former has assumed the firm nodular type, while the mycosis has been of the air sac variety. The following case is worth citing as possibly illustrating infection per cloacam. There is, however, no trace of this bird having been with a male with the disease.

Demoiselle Crane (Anthropoides virgo) ♀ . General tuberculosis including the oviduct. All organs are thickly beset by caseous tuberculous nodules except the lungs which have only a few scattered ones. The oviduct is, for its lower two-thirds, much enlarged, firm, tough, pale yellow, thickly beset with caseous nodules; upper parts uninvolved. The kidneys are definitely enlarged, irregular, almost mulberry-like, brownish yellow, firm and tough. On section the lobules are irregular, connective tissue increased, urates in pelves. Tubercles in intestines seem to be wholly peritoneal. This seems like a tuberculosis of genital origin judging from condensation of tubercles in the lower abdomen (mass around cloaca). The ovaries are not involved. Lungs and thoracic air sacs relatively free. The pericardium shows a whitish thickening of both layers due to the presence of whitish granules like urates. Histological section of kidney shows the capsule not greatly altered. Glomeruli largely negative but a few show hyaline capsular thickening of vacuoles in tufts or fibrosis in tufts or obliteration of whole structure. Tubules largely degenerated, distended or distorted. Interstitial tissue between the tubules definitely but irregularly increased. No real attempt 510at regeneration. Few vessels show perivascular fibrous change. One tubercle seen.

Anseres. These birds present no especial features so far as percentage or organic incidence are concerned. The individuals are mostly geese and swans, ducks being somewhat more often affected by mycosis than by tuberculosis. However, both these diseases tend to assume the nodular type in Anseres so that the diagnosis should be supported by bacteriological discovery of the respective organisms.

Struthiones. The marked feature of this order is the prominence of the isolated and confluent nodules in the lungs, of apparently greater age, certainly of great size, than similar lesions in the abdominal viscera. Caseation of the avian variety is well illustrated in these birds. The thyroid body was involved in two of the three cases, the ovary in one. The representatives of the Crypturi, two tinamous, came at the same time and lived only a few months. Miliary tuberculosis of the small precaseous variety was the form exhibited by both specimens.

Histology of the Tuberculous Lesions.

The initial and characteristic unit of tuberculosis, the miliary tubercle, seems to be constructed upon the same general principles in all cases of the disease and in all members of the zoological groups in our study and in a manner entirely comparable to that well known for man and for the domestic animals. There are, however, certain minute differences which are interesting and may at some time become important. It is customary to speak of the bovine tubercle and of the human variety, but there are also slight variations of the microanatomy of each of these, while one may find on occasion a tubercle of the human type in a cow and vice versa. Not all the domestic animals show the bovine form, although in sheep and swine it is approximated very closely. In the horse there is much greater tendency to a central softening and fibrosis is not so common as in the bovine tubercle. I have attempted to study the histological anatomy of each of the zoological orders, but it has not resulted in any profitable discovery. It is, however, possible to contrast the type commonly found in monkeys with that characteristic for man and the ungulates and also to emphasize the construction of the avian tubercle that it may be distinguished from mammalian tuberculosis and from avian mycosis.

Fig. 55. DIFFERENT VARIETIES OF THE MILIARY TUBERCLE.

A.—THE BOVINE FORM SHOWING THE NUMEROUS LANGHANS’ GIANT CELLS, THE ABUNDANT SMALL EPITHELIOID CELLS. THE MODERATE NUMBER OF SMALL ROUND CELLS, AND THE ACCOMPANYING CONNECTIVE TISSUE INCREASE. THERE IS MODERATE CASEATION.

Fig. 55. DIFFERENT VARIETIES OF THE MILIARY TUBERCLE.

B.—THE HUMAN TUBERCLE WITH CENTRAL COMPLETE NECROSIS. TYPICAL GIANT CELLS, ABUNDANT EPITHELIOID CELLS AND THE RELATIVELY NARROW SMALL ROUND CELL MANTLE.

Fig. 55. DIFFERENT VARIETIES OF THE MILIARY TUBERCLE.

C.—THE TUBERCLE FREQUENTLY FOUND IN MONKEY TUBERCULOSIS. WITH RAPIDLY ADVANCING CENTRAL NECROSIS ENCLOSING MUCH CHROMATIN DEBRIS. THE ABSENCE OF LANGHANS’ GIANT CELLS. THE PRESENCE OF LARGE, PALELY STAINING EPITHELIOID CELLS OF LANGHANS’ TYPE AND THE VERY SLIGHT CIRCUMFERENTIAL REACTION.

Fig. 55. DIFFERENT VARIETIES OF THE MILIARY TUBERCLE.

D.—AN AVIAN TUBERCLE WITH CENTRAL SHARPLY MARGINATED NECROSIS CONTAINING MUCH CHROMATIN DEBRIS. THE IRREGULARLY ARRANGED POLYNUCLEAR CELLS TYPICAL OF AVIAN TUBERCLES. THE SMALL NUMBER OF REGULARLY ARRANGED EPITHELIOID CELLS. THE PAUCITY OF SMALL ROUND CELLS AND THE PRONOUNCED CONNECTIVE TISSUE MANTLE.

511The tubercle of the Primates is a loosely constructed affair lacking the fibrous mixture of the bovine and the close cellular packing of the human form. Studied from the periphery to the centre, there will be found very little fibrocellular reaction in the immediately surrounding organ, while the mantle of round cells, rather prominent in the human tubercle, is often quite inconspicuous. The principal cellular component of the miliary granuloma is the large pale endo- or epithelioid cell, which is abundant, loosely arranged and without apparent purpose. In the centre is an irregular necrosis usually retaining some chromatic matter, probably the remains of recently destroyed nuclei, but this caseous midpoint does not assume the dense acid staining common for many milia. Giant cells of the Langhan’s or foreign body type are often entirely missing, and when present are scanty. There may be large cells, resembling the aforementioned epithelioid cells, with two or even three large palely staining nuclei, but these latter are arranged irregularly and not like the spokes of a wheel near the cell wall.

This picture suggests a rapidly growing inflammatory mass and indeed this is the type that tuberculosis follows in monkeys. In a few cases gross evidence of fibrosis in the serous surfaces and in the lungs has been observed, but they are too rare to permit one to think that connective tissue activity is an important part of the reaction of this beast to the disease.

512The avian tubercle as it rests in the tissue seems like a sharply outlined almost encapsulated body. This is in part due to the homogeneity of its structure and in part to the fibrocellular condensation around the caseous part of the growths. Examined from without inward, there is a round cell mantle, between the elements of which course fine but easily perceptible fibrils; elastic tissue has been seen among them. The small cells continue more deeply than the fibres, to be succeeded in prominence by epithelioid cells of rather dense character, the nuclei especially seeming quite rich in chromatin and round. The rotundity of the nuclei remains not only in the single separate cells forming the middle zone of the cellular cortex, but can be found in the nuclei of the compound or giant cells which comprise the internal layer lying upon the necrotic centre. These giant cells are characteristic for the avian tubercle in assuming a form like syncytia with nuclei arranged in irregular radiating columns. This internal large cell area may completely surround the central necrosis or it may be interrupted by the large single cells. Tubercle bacilli are more common in and between single cells than multinuclear ones. Within the cellular zone lies the necrotic centre, often, indeed usually, full of chromatic debris. This centre is commonly quite amorphous but occasionally one will see what is probably the remains of a coarse coagulum. Between the necrosis and the cells one usually finds a split, a sort of separation of the gangrenous from the living part. Old tubercles with denser fibrous capsule retain this microanatomy in part, but the cellular zone gradually becomes thinner and thinner until all that remains is a narrow cortex of round cells and imperfectly retained multinuclear cells.

Tuberculous granulation tissue without definite milia consists entirely of the round cells with small vacuoles and a fine but definite fibrosis. Tuberculomata consist of cells of varying sizes with small round nuclei. Interstitial fibrosis is delicate and barely visible unless especially sought. Giant cells may be encountered but are not so large as in milia. Necrosis occurs but not in an orderly manner in relation to cells as in an isolated tubercle. Tubercle bacilli are very numerous.

Fig. 56.—PHOTOGRAPH OF YOUNGEST AVIAN TUBERCLE AFTER COMPLETE FORMATION.

Fig. 57.—TUBERCULOMA, A SOLID TUMOR-LIKE MASS, CONSISTING OF CLOSELY PACKED LARGE CELLS FITTED WITH RELATIVELY SMALL ROUND LOOSE NUCLEI. THESE CELLS ARE CROWDED WITH BACILLI.

513

Types of Bacillary Infection.

According to experimental and statistical research, all the tubercle bacilli of the higher vertebrate classes can be infective for any member of these classes. Thus, for example, human bacilli have been found in many orders of mammalia and in birds. The bovine form has been found in swine. The lesson from this is that while the special predilection of a variety of the tubercle bacillus may be for one kind of animal, it is potentially a virus for other kinds. Hygienic principles have therefore been laid down at the Garden which aim at the protection of all specimens from every variety of tubercle bacillus. For this reason and because the laboratory has not attempted extensive research on bacteriology, few type determinations have been made and those at hand offer nothing new or unusual; they are noted here as a matter of record. Bovine bacilli have been judged by their slow growth and infectivity for rabbits, human bacilli by the reverse of these characters. Avian tubercle bacilli can be cultivated with reasonable ease directly from lesions not bearing a mixed bacterial flora, and grow in a yellow, moist, even, spreading colonization. In our two attempts at infection of guinea-pigs, no success was had, although Rabinowitsch and others had no difficulty in so doing; this strain may vary in virulence as do other tubercle bacilli. No avian culture was obtained from a mammal, but a bovine was found in a parrot and a human in a duck. Bovine bacilli were isolated once from a monkey (see page 496) and in another case of lymphatic type, bacilli of the short heavy blunt shape, supposed to be characteristic of this variety of the germ, could be stained. Monkey tuberculosis in our experience is usually due to the human 514tubercle bacillus, judging by the staining characters and two successful cultures.

Discovery of Tuberculosis During Life.

Fully developed chronic tuberculosis may be recognized with reasonable ease in the human being and some domestic animals. The diagnosis rests largely upon the history and symptoms and partly upon the appearance of the individual and upon signs elicited by physical examination. There is good reason to believe that these latter methods are entirely applicable to certain wild animals, notably those that can be caught and held quiet, but because of their naturally great reserve many specimens offer little reason for suspicion as to their tuberculous condition until near death. Certain ungulates with chronic pulmonary disease get thin and weak but remain on their feet with good appetite and satisfactory discharges for many months. Primates, Carnivora, Rodentia and Aves not uncommonly come to autopsy with very good coats and without great emaciation and yet are heavily infected. It can be stated with fair positiveness that no chain of historical data or gross observations are certainly known to us as indicative of tuberculosis in the wild beast. Coughing is not necessarily characteristic of chronic pulmonary infection, although when continuous it rouses considerable suspicion, especially in the Ungulata. It is to be interpreted with care in all animals that have loose bedding as bits of straw or seeds get into the throat causing irritation; the dust of hay may cause coughing in horses.

However much chronic or fatal tuberculosis may be interesting from the standpoint of pathology or of zoological or visceral incidence, the most important factors in our knowledge of the disease are its early recognition and treatment, either for curative or hygienic purposes. Since we have learned that advanced lesions may exist in an animal without materially affecting its 515external appearance and behavior, it naturally follows that early cases, possibly of an “open” or infectious character are still less likely to give evidence of their existence. This is well recognized by veterinarians as being true of cattle, but is perhaps less well known, or possibly admitted, by those who handle the very susceptible monkey.

Upon a visit to a foreign garden I was told that experience alone is sufficient to enable an observer to detect tuberculosis, and that the disturbance entailed in physical examination and tuberculin tests is prejudicial to the well-being of all varieties, but especially the delicate ones. I learned later that they had the disease in their exhibition cages all the time but decided to put their method to the test. Shortly after my return from abroad a splendid specimen of Grivet Monkey (Cercopithecus sabæus) was condemned by the tuberculin test. He was well studied by the superintendent and two very experienced keepers, all of whom pronounced him one of the finest specimens they had ever seen, and stated that he was behaving quite normally. Despite their protests he was sacrificed, tuberculosis with early cavitation being found in the upper lobe of the left lung. Incidentally vague physical signs were found by auscultation, but as the monkey was unruly and had long pectoral hairs little weight was placed on the observation. However, it is frequently possible to make very thorough physical examination of the lungs of the more tractable specimens, diagnoses of pneumonia and bronchitis being frequently made in this and other parks, so that treatment may be instituted.

Importance of Transmission and Known Susceptibility.

Some light upon possible reasons for the poor condition of an individual animal is of course shed by a knowledge of the disease to which that particular variety is most susceptible, to which may be added the data 516obtained from previous deaths in the same group or enclosure. Thus, for example, a sickly monkey would be suspected of having tuberculosis or early osteomalacia, whereas no suspicion of these diseases would fall upon the marsupials. The same position would be assumed if a dove and a heron were out of condition.

In so far as enclosures are concerned, the matter is somewhat different. Whenever a case of tuberculosis occurs in a cage, the remaining specimens if any are removed and the place cleaned by soap and water and disinfectant and paint. The naked flame from a blast lamp is used when possible. Out-of-doors enclosures are vacated, spread with lime and allowed to lie fallow for as long a time as practicable. These methods have been in the main successful in clearing a cage of the disease, and all our experience demonstrates the effect of cage hygiene and the selection of non-infective replacements. A few places such as those occupied by doves and guans have not been freed of infection, if one judge by its appearance when new specimens are placed in them, but they may of course be due to the infection from elsewhere. The history of seven years in the new bird house where the hygienic conditions are excellent, seems to indicate that a cage thoroughly cleaned is no longer a source of danger, and that a repetition of tuberculosis in such an enclosure is due to its importation with new exhibits.

The spread of the disease to nearby cages seems to depend upon two factors. If the number of cases has been large and the infection virulent, immediately adjoining cages are involved, but the tendency to spread is directly proportional to the proximity of orders or families that have a high susceptibility for tuberculosis. This second factor seems to be the more important and is illustrated by our experience in one corner of the new bird house. In this area are exhibited certain doves and pheasants, among which are many cases, while the passerine varieties nearby are little affected. So too in the 517flying cage the disease has occurred in varieties with high general susceptibility. There are at the present writing ten orders on exhibition in this large enclosure and there have been more. An occasional case of the disease occurs, but only in the orders which show it elsewhere. The Herodiones, of which we have had nearly one hundred autopsies and many now are on exhibition, are always well represented in this cage and yet show no tuberculosis. In the ten orders mentioned above three show no cases of the disease.

These observations illustrate the spread of tuberculosis, especially to the most susceptible varieties, and how non-susceptibles under good hygienic conditions fail to become infected even when infected animals are near them. The freedom of activity in the large enclosure is doubtless an important factor.

The history of the past three years with regard to the control of tuberculosis in the small cages shows that twenty-nine were infected, but by the measures employed nineteen have remained free of the disease for one year; three of the remaining ten are known to have received newly arrived and possibly infected specimens.

The accredited method of transmission in birds, the swallowing of material soiled with the feces richly laden with germs, is the principal reason why infected enclosures and their immediate environment are the principal breeding places for tuberculosis. To be sure air currents may blow the virus around, allowing it to light upon food in other cages but this cannot be a great menace if for no other reason than that we have had no epizoötic outbreak of the disease, when there were groups of deaths in doves and guans.

Evidences with which to trace transmissions are much clearer in the birds than in the mammals with the exception of monkeys and some ungulates. Of course cases are perhaps too few in the carnivores and rodents to permit correct deductions but it is very rare that more 518than one case occurs in the same enclosure containing groups of these varieties. Nor do animals in adjoining cages seem to “catch” the infection. This observation does not suggest that any relaxation of hygiene need be allowed but probably it implies that not many bacilli are excreted by these animals; they cough very rarely. Groups of ungulates (bison and deer) are often known to be infected but just how it has arisen is seldom clear. Transmission from monkey to monkey has been observed so frequently that it cannot be doubted, nor will anyone wonder at it if reflection is given to the close personal contact of these animals during their natural behavior. They huddle, pluck lice from one another, take food from the mouth of another, bite and perform many other actions greatly facilitating the transfer of any virus. Bacilli may also be disseminated by coughing, drooling and with the fecal discharges, for which latter there seems ample opportunity since a notable percentage of cases have intestinal lesions. Monkeys do not seem to raise sputum and expectorate it but they do eject saliva from their lips.

Contraction of the disease from infected cages is believed to have occurred at least once in our experience but the lesson of complete sanitary cleaning of the enclosure learned from that happening, seems to have enabled us to forestall its repetition.

The Tuberculin Test.

Tuberculosis presents the greatest single problem among the specific infectious diseases which the director of a menagerie must attempt to solve. Even though one may possess a knowledge of its zoological distribution, clinical characters and pathological effects, these are insufficient criteria for its detection at a stage when the animal might be saved by treatment or, what is most important, removed from its companions that they might be protected. To this end there remains but a single 519procedure for the discovery of the existence of tuberculosis—the use of tuberculin in one of its forms by one of its methods of application. The use of this test in veterinary medicine needs no commentary, having made its place in clinical and hygienic practice for a quarter century or more. Armed with the knowledge of the satisfactory use of the toxins of tubercle bacillus in cows, Dr. Penrose, Dr. C. Y. White, Dr. A. E. Brown and Dr. Leonard Pearson began in 1901 a series of experiments with old tuberculin of Koch which have led to the development of a technique for its use in the detection of infected monkeys. These interesting and instructive animals, being known as highly susceptible since most of the collection died of the disease in those days, and being handled with reasonable ease by experienced men, were investigated as the most important specimens upon which to perfect the method. Other varieties have been studied since and I shall refer to them individually. The greatest amount of work and the most conspicuous success attended the observations upon monkeys and the results of this study are now in daily use in this Garden.

The work, conclusions and results, originated by Doctor Penrose, Doctor White, and Doctor Brown can be described as one of the most completely satisfactory series of observations in scientific medicine. Applying the principle that a tuberculous animal reacts to the injection of tuberculin by a temperature rise, the normal temperature curve of the monkey was studied, that of the tuberculous monkey determined by killing many specimens. This enabled them to state which animal was infected, which was not and to place on exhibition only healthy specimens. Added to this, strict hygienic principles in the housing and handling of the animals have resulted in the elimination of the disease from our exhibition house. Occasionally a case may develop, perhaps from feeding by visitors, but the matter is no longer a problem. I know of no more complete and satisfactory 520experiment and its practical application than this work, which is condensed in the succeeding paragraphs.[101]

The Temperature of Monkeys.

The success of the tuberculin test in the lower animals as in man depends chiefly upon the alterations in temperature following the injection of the toxin. It is generally admitted to-day that a healthy animal’s temperature will not be affected by the introduction of this material. There are in addition changes in the pulse and respiration rate and in the physical signs but these are detected with difficulty and are much less definite than thermometric records. The first essential was therefore a thorough familiarity with the normal temperature of the monkey, a requirement which met with considerable difficulty from the beginning since the earliest observations revealed puzzling irregularities. This necessitated the establishment of certain regulations of technique which, after the preliminary tests, have been found satisfactory enough to continue until the present day. All monkeys are received in the quarantine rooms of the laboratory where they are observed by the officials of the Garden and of the laboratory and there they remain in separate cages until passed, as free from tuberculosis, to the exhibition house.

The handling of monkeys for the purpose of taking temperatures is a matter of no small importance since excitement will quite definitely increase the registration. We have been fortunate enough to have in charge of this work since its inception the same man, Keeper McCrosson, who is thoroughly experienced in the care of these beasts and who can catch and hold them with a minimum of disturbance. To him and to the interested laboratory helpers much credit is due. Small specimens like capucins and spider monkeys are caught with the gloved hand or with the protection of a piece of heavy cloth. Larger specimens may be caught in a net while strong monkeys are fitted 521with a collar and chain by which they are pulled into the corner of the cage and held, while the door is opened to permit a helper to catch the feet and arms. Two experienced men can take the temperature of any monkey that can be handled at all safely. The knowledge of how to do such work reduces the excitement of the animal and renders more accurate the observation of its temperature. During the period of temperature-taking food is given in small quantities and only after the record is made.

Temperatures are taken in all animals by rectum,[102] the thermometer, a separate instrument but always the same for each animal, well greased with plain vaseline, being passed along the anterior rectal wall and allowed to register for twice its indicated speed. During the preliminary work, special instruments of officially standardized accuracy were obtained by Doctor Brown but once the normals were obtained, ordinary good thermometers registering from 94°F. to 108°F. have been employed. If the record vary very much from the expected, such as the figures obtained at the same time on the preceding day, or if the rectum be crowded with feces, the instrument is shaken down and reintroduced. In order to facilitate timing of exposures we use sand glasses of three minute run.

After some experimentation by taking records at various times of day it was found that monkeys as a group do not have a uniform temperature during twenty-four hours but register a higher figure during daylight than during darkness. This is probably due, as I shall discuss, to the period of activity, not to the time of day. Figures obtained at various hours indicated that the highest and lowest temperature would be obtained if records were made at four-hour intervals at three, seven and eleven o’clock AM. and PM. To give the normal temperature 522of a monkey, the kind and the time of day are necessary adjuncts. Reference to forty-eight hour charts which are used for the illustration of normal records, and for contrast with tuberculin reactions later, will convey to the reader a better idea of the normal daily rhythm of the simian heat regulating system than would verbal description.

Chart A. ORANG UTAN (Simia satyrus). Non-tuberculous at death.

Note.—In the temperature charts degrees indicated by circles and connected by dashes are from records made after diagnostic tests by injecting tuberculin.

The anthropoid apes (Curves A and B) have on the whole a mean temperature nearer the human being than do the lower monkeys, but they too present daily variables far greater than man. The high point of their curve, at three PM., is in the neighborhood of 100°F. the lower 523point around 97.5°F. From these charts and other records it can be said that while the higher apes have a daily temperature curve with its high point at three PM. and its low point at three AM., there is in them not by any means the regularity of curve to be found in Cercopithecidæ and Cebidæ. Our records of temperatures in the Hylobates (Gibbons) are not extensive enough to quote but what we have approach those of the lower monkeys.

Chart B. CHIMPANZEE (Pan niger). Non-tuberculous at death.

Graphic curves of the normal temperatures of the various genera of Cercopithecidæ and Cebidæ present striking similarities in the regularity with which the daily rhythm is performed. In the seven genera of which we have accurate records the normal high points fall between 102°–103°F. and the low points between 99°–100°F. while the curve of the four-hourly steps is 524closely comparable. The curves D to J are composites from charts of animals that have been tested with tuberculin, which thereafter died or were killed and found free from tuberculosis. Not every individual chart that may come to hand necessarily follows the exact course detailed in these illustrative curves but these latter offer a guide as to what is to be expected of the different varieties. They show unequivocally the V-shaped curve of the temperature of the monkey during twenty-four hours.

Chart C. Composite chart of twenty-two non-tuberculous Lemures.

The Callitrichidæ or Hapalidæ have failed to show tuberculosis in our Garden and little has been done upon them. As a matter of record there is reproduced the only satisfactory chart at hand (K) taken very early in 525the researches. It shows a similarity to those of the higher monkeys; because of its very high afternoon record the animal was killed; no tuberculosis was found.

Chart D. Composite chart of eighteen non-tuberculous Cercopithecus.

The Lemures, being close to the Primates zoologically and presenting a high incidence of tuberculosis, were included in this study. Observations upon their normal temperature were hampered more than upon that of monkeys and even to-day we cannot feel the same confidence in the records. Irregularity is most marked and they seem easily disturbed by handling. Chart C shows a composite temperature for forty-eight hours of twenty-two proven non-tuberculous Lemures. The tendency for the “night drop” is certainly existent but with much less definiteness than in the Primates.

526

Conditions Which Modify the Temperature.

Chart E. Composite chart of seventeen non-tuberculous Macacus.

Observations by A. E. Brown[103] and by Simpson and Galbraith[104] would seem to indicate that the diurnal variation in monkeys is due to periodicity of activity. Doctor Brown found that the temperature of a night monkey is reversed, that it is higher during the dark than the daylight hours. See chart of Potto (Perodictus potto) chart L. The Scotch observers report that if the activity of day monkeys were reversed, daytime being made artificially dark and activity forced during the night, the temperature curves were likewise reversed.

527

Chart F. Composite chart of eleven non-tuberculous Papio.

Perhaps the most important discoveries of these investigators concerned the influence of excitement upon the temperature records. These observers indicate definitely that the greater the physical activity and nervous excitement the higher the thermometric record. We have noted that the substitution of a strange keeper who may not be gentle and tactful with the monkeys can serve to raise the temperature above the records obtained by an experienced man with whose methods the animals are familiar.

A knowledge of these facts dictates at least two important precautions on our part—our specimens must be kept under identic conditions peculiar to their kind, and surroundings must be established offering comfort with a minimum of annoyance in transfer and handling. To 528this end all specimens upon receipt are put into separate cages suitable to their size and allowed to become accustomed to their surroundings for several days before attempt at temperature-taking is made. Mention has already been made of the experience and interest of the principal keeper; the regularity of records is an attest to his work. Daily three o’clock afternoon temperatures are taken first to accustom the animal to the matter, before test records or tuberculin injections are made.

The existence of pathological states undoubtedly affects normal temperature curves and tuberculin reactions. Gastroenteritis has the effect of increasing the whole level and of making irregular the midday and afternoon records. Respiratory tract disease cannot be said to have a very definite effect; its most frequent influence seems to be to drive the night records lower so that there is a long fall between seven and eleven PM. and a long rise between seven and eleven AM.

The Test.

The preliminary rest of the new arrivals having passed daily three o’clock afternoon temperatures are taken until an even level is obtained; this requires usually four days but in very nervous specimens it may be much longer. The afternoon temperature course provides not only a means of teaching the monkey what is coming but supplies us with a high point record for comparison. When a new variety is received, a full normal twenty-four hour record is usually made. This preparatory routine being fulfilled, the animal is injected under the skin of the thigh or flank with freshly diluted mixed bovine and human tuberculin.

The Dosage.

Early trials with this substance revealed the fact that a dosage based upon the weight in comparison to man failed to elicit a definite response whereas if based upon 529relative weight of cow was too large. The finally determined quantity was arrived at, as was the case in early human and bovine work, by experiment and trial and was as follows: A monkey of five to ten pounds (2.3 to 4.5 kilos) received an initial dose of 1. milligram and for each additional five pounds (2.3 kilos) 0.5 mg.; this is 0.2 to 0.4 mg. per kilo. The amount given to man varies from 2. to 5. mg.; if the body weigh 60 kilos this is 0.03 to 0.08 mg. per kilo. Cows are given usually in this country 400 mg. or, for a cow of 250 kilos, 1.6 mg. per kilo. In the early work, doses comparable to the figure for man failed, whereas at least two animals died very quickly after 1.+ mg. per kilo; 5. mg. was the original high dose. While the death of a monkey after a large dose was of no moment and was perhaps desirable, it would only be the heavily diseased specimens and this would give no criterion upon which to judge the appropriate dose for all. Experience seems to warrant us in continuing with our present figures since all tuberculous monkeys have reacted to it. Subsequent cases for retest are increased from 50 to 100 per cent. depending upon the size of the monkey, the very robust and vigorous ones receiving an increase represented by the higher figure. One monkey injected eight times has risen from 1. to 24. mg. with constantly a negative response over a period of nine years.

Doses for Lemures are relatively higher, averaging 1.5 mg. or about 0.5 mg. per kilo; they are increased in the same manner as above.

The Temperature Taking.

Injections are usually made in the late forenoon, temperature records being started at the usual three PM. hour and continued at four-hour intervals for forty-eight hours, giving thirteen records over two days, a time period presenting two complete cycles of diurnal variation. This was found necessary because certain cases do not react 530during the first day. Explanation of this was sought in the nature of the lesion but could not be found further than that mild early lesions may give it but it cannot be read as indicative of low activity since one case of laryngeal tuberculosis had this “delayed reaction.” At times it has seemed to occur when the injection fluid formed a blister under the skin, a pocket in the areolar subcutaneous tissue, whence absorption would be slow. Whatever the correct explanation, experience has justified the recording of temperatures for full forty-eight hours.

Chart G. Composite chart of five non-tuberculous Cynopithecus.

531

Chart H. Composite chart of eleven non-tuberculous Ateles.

The Reaction.

The experience gained with these monkeys supported definitely the general opinion that tuberculin injected into healthy animals will not disturb the temperature but will produce decided changes in that of tuberculous animals. The reaction in the tuberculous animals may assume several characters, of which usually two are combined in a chart. The commonest and most convincing is a definite rise in the first twelve hours, amounting to one degree or more; rarely it may be three degrees (W). This is followed either by a maintenance of a high level or an attempt to perform the night drop. It may be said that in general there is an abortive attempt in nearly all tuberculin reactions to simulate the V of the normal cycle; this can be seen in charts M, N, O and P. Another rise may be attempted during a similar period of the second twenty-four hours or the whole course may at that time approximate the normal. A modification of this type of reaction 532is the performance of the whole daily rhythm on a high level, set, as it were, by the initial three PM. record. This form is confusing at times and has been responsible for at least one of our mistakes. Combined with this high level of curve is a tendency for the second twenty-four hours to be higher than the first day (See Variegated Cebus Q and Sooty Mangabey R and Chacma Baboon W). The second type of reaction, illustrated by chart S, fails to resemble the normal daily cycle of the monkey temperature but has sudden rises and falls as its characteristic feature. We have learned to look with suspicion on all charts with sudden marked changes of record even if they follow in the main a rhythmic course. The sudden fall exhibited by a very sick monkey illustrated by Grivet Monkey (T) and Campbell’s Monkey (U) is a bad sign. It has been met more often in advanced caseous pulmonary tuberculosis than in any other tuberculous lesion. On two occasions it has been seen in the absence of tuberculosis so that retest is indicated if the specimen be valuable; such animals however rarely survive the disturbance incident to the test as they are usually suffering with some serious disease. Illustrative charts of several positive reactions serve to elucidate their character better than description. If comparison and contrast of the normal and post-injectional temperature be made, the conclusions are definite.

Chart I. Composite chart of eight non-tuberculous Cercocebus.

533

Chart J. Composite chart of twenty non-tuberculous Cebus.

It cannot be said that any type of reaction indicates a particular form of disease although the last type, the 534falling of the temperature beyond the thermometric registration point, usually means advanced lesions especially of the caseous pneumonic form. A very small lesion may give a definite reaction as in Cebus (V).

Chart K. GEOFFROY’S MARMOSET (Leontocebus geoffroyi). Non-tuberculous.

The examples given are those of a definite character but there are many charts that vary from the normal upon which a decision is extremely difficult to make. Such animals are held in quarantine to be retested after the lapse of three months. Early in the work a suspected specimen was reinjected after two weeks, failed to give a reaction but died in about two months of tuberculosis. The nullification of the test by previous injections of tuberculin is well known. Three months’ interval permits a disappearance 535of the non-sensitivity and allows any latent tuberculosis, possibly stimulated by the toxin, to develop. Repetition upon the same monkey has occurred as high as ten times without apparent harm.

Chart L. POTTO (Perodicticus potto). Healthy.

There are sometimes in human beings local reactions at the point of injections. These have been entirely lacking from our monkey specimens. Nor have we ever seen secondary tuberculous lesions appear at the point of the needle-stick. Aseptic syringes and generally cleanly technique have also protected against local abscesses. When an animal is injected he may scratch or pick at the spot for a minute or two but thereafter seems to ignore it entirely.

536

Chart M. MONGOOSE LEMUR (Lemur mongoz). Tuberculous.

537

Chart N. BLACK HANDED SPIDER MONKEY (Ateles geoffroyi). Tuberculous.

Results.

The value of the test can best be estimated by a recital of the mortality of monkeys, from tuberculosis, since its inception. Before the test was started practically every monkey in the collection for sufficient length of time to be exposed died from the disease. The average duration of exhibition life of all specimens up to 1903 did not exceed eleven months. The time has risen almost uninterruptedly until now it is thirty-five months. There are, at time of writing, sixty-eight specimens in the cages which have been on view from one to one hundred and eighty-five months with an average of fifty-four months. These figures speak for themselves as evidence of the reduction of infection. The average mortality from enteritis and degenerative bone disease has remained about the same through all these years. Percentage figures such as are recorded in our yearly report are misleading because all monkeys written into the property record of the Garden are listed and since some of these specimens remain in quarantine, they do not properly belong to the exhibition collection. Up to 1906 when the test technique was perfected nearly all deaths were due to tuberculosis, the figure for 1906 (including experimental animals) being 78 per cent. However from February 1906 to October 1907 and from then until May 1910 no case of tuberculosis occurred in the exhibition cages and both deaths at these given times seem like infection from visitors. During the next three years thirteen monkeys died of the disease in the exhibition 538and many more in quarantine. By 1913 the outbreak was stamped out. Its explanation is not so very far to seek. In the fall of 1910 we obtained some suspected monkeys which were kept in one of the quarantine rooms. After repeated testing two were passed. From them five cases are known to have originated and it was not until in 1912 when the whole exhibition house was cleaned of specimens, thoroughly disinfected and fumigated and until every specimen was retested, that the infection passed. In 1914 no cases occurred, while in 1915 a case either slipped through undetected or was a visitor infection; 1916 two cases, 1917 one case, 1918 one case (see orangutan charts), 1919 and 1920 none and 1921 one case, 1922 no cases. Since 1912 the whole monkey collection has been tested every two years, a method which enabled us to catch a small group in 1916 and has protected the collection since then. Three of the six monkeys specified above were never placed free in the general cages of the exhibition house, they being segregated in smaller cages. One, the orang, was with its mate in an isolated cage. The other two were in larger cages and their history suggests visitor infections.

Chart O. RHESUS MACAQUE (Macacus rhesus). Tuberculous.

539

Chart P. ORANG UTAN (Simia satyrus). Tuberculous.

We have never underestimated the possibility that an occasional very early case might evade detection by this test but we believe the history just outlined warrants us in depending upon it for the protection of the exhibition. By the tuberculin test we have detected the existence of the disease in twenty-three per cent. of specimens. 540Every condemned specimen, forty-one, showing tuberculosis, gave a positive test. Fifteen monkeys condemned on their temperature charts failed to show the disease. Eight per cent. of the tests resulted in suspicious charts, and the animals finally died of the disease in quarantine. Fifty-six tuberculous monkeys died on exhibition, of which thirty-one were original there and twenty-five their contacts. Twelve of the thirty-one were in the early stages of the work, thirteen due to our misadventure of 1910 and the remainder, six, scattered over nine years.

Chart Q. VARIEGATED CEBUS (Cebus variegatus). Tuberculous.

541

Chart R. SOOTY MANGABEY (Cercocebus fuliginosus). Tuberculous.

Another interesting experience concerns the exhibition of a group of Rhesus Macaques in an open “band stand” cage. The idea arose in an attempt to find a separate exhibition space for some good specimens that gave unsatisfactory charts, with the purpose of applying at the same time the “open air” treatment if tuberculosis existed. The experiment has been entirely successful since in the eleven years during which this enclosure has been used there has been but a single case of tuberculosis among twenty-six monkeys. Curiously enough this exception gave a good chart and we suspect it was a visitor infection; no secondary case arose from it. The animals housed in this cage keep in excellent condition, their coats responding to our severe winter by increasing in thickness and glossiness. Frozen toes, fingers and tails are sometimes seen but these monkeys seem just as happy as the others. Breeding is active and the young are lusty and husky. Practically the only deaths are due 542to accident, or to abuse of old and less vigorous members of the colony. We are unable to give comparative exhibition periods and death rates for monkeys in the large house and this open cage because some specimens have been changed from one to the other but it is certain that the appearance of the “band stand” monkeys is better than those in the house and there are four of eleven animals in the former which have been there eleven years and only four among the seventy in the exhibition house for that length of time.

Chart S. VERVET MONKEY (Cercopithecus lalandii). Tuberculous.

543

Chart T. GRIVET MONKEY (Cercopithecus sabæus). Tuberculous.

The results of the foregoing work seem to demonstrate that the tuberculin test permits the separation of tuberculous and non-tuberculous monkeys and that its employment serves the purpose of maintaining a healthy exhibition by excluding infected specimens. These experiences form further corroboration of the facts that tuberculosis begets tuberculosis, that a healthy individual is not a source of infection. It follows that an obviously tuberculous animal should not, need not, be a source of danger; the hidden or unrecognized case is the menace. There is little or no problem when an unequivocally good or bad temperature record is obtained; it is when there are slight variations from the standard for the group that decision as to the disposition of the specimen must be made. Nearly always such specimens are retested until the records are definite. If they be constantly irregular the animal is either sacrificed or exhibited in a separate cage far from other monkeys. It is by the sacrificing of 544infected specimens or the segregation of suspected ones that our collection is kept clear of disease.

Chart U. CAMPBELL’S MONKEY (Cercopithecus campbelli). Non-tuberculous. (See page 533).

Hygiene of a general character must be maintained also. Our quarantine rooms are disinfected by formaldehyde and mechanical cleansing after every case detected as tuberculosis, and painted every two years. Monkeys associated with infected ones, are retested and then given a bath of carbolized water before being put on exhibition. The exhibition house is mechanically and chemically disinfected at the injection time each two years. All keepers are examined for tuberculosis upon beginning their employment and those handling monkeys, periodically thereafter. When a case of tuberculosis dies, all animals in 545the same and adjoining cages are removed for retest and the enclosure scrubbed and disinfected.

Chart V. WEEPER CEBUS (Cebus capucinus). Tuberculous.

There is a source of tuberculosis upon the importance of which we can only speculate—the visitor. There were two isolated cases in animals which had passed the test with unexceptionable charts, three and four months on exhibition; curiously enough no other cases occurred in their cages. These we have laid to visitor infection since no previous exposure can be traced for the specimens and no secondary cases occurred.

I can conclude this discussion of the tuberculin test and of the control of tuberculosis by its use, by mentioning the possibilities for the solution of the problem in man. While the eradication of the disease cannot be accomplished 546as easily as if a potential source could be eliminated by sacrifice, it will come in direct relation to the earliness of detection of infection and isolation of the sources of danger. Not so much the cough-racked consumptive but the unrecognized early lesion whose bearer hawks and spits in public places or at home, unaware of his malign power!

Chart W. CHACMA BABOON (Papio porcarius). Tuberculous.

The Skin and Eye Tests with Tuberculin.

The first of these can be dismissed briefly, for in a few cases it was absolutely of no value. A known tuberculous monkey was injected into the skin of the chest with 0.5 mg. of old tuberculin. The small bleb disappeared in a few hours and was followed by no reaction whatsoever. Other 547attempts likewise failed, some of them I believe due to the technical difficulty of injecting into the skin. This tissue is very thin, delicate and loose at the less hairy places where a reaction might be read—arm, chest, abdomen. The hairless parts of the rump might be used, but are so often scratched and soiled with dirt that readings might be misleading. The Von Pirquet test was done on the first mentioned specimen and was likewise negative. His tuberculin test was afterward positive.

Chart X. BLACK APE (Cynopithecus niger). Tuberculous.

The ophthalmic reaction is highly spoken of in the New York Zoological Park and has been used elsewhere. It was tried by me at the time Doctor Blair first discussed it, but with variable results. One set of two monkeys was treated with Calmette’s purified tuberculin into the 548conjunctival sac and given a subcutaneous dose of old tuberculin. Another set received 1 per cent. old tuberculin into the conjunctivæ and the usual subcutaneous dose. Although all these monkeys gave a temperature reaction only one gave a conjunctival reaction. Fearing that the two tests simultaneously might be an unfair trial, another poor specimen was given an eye test which resulted negatively; a later subcutaneous test and autopsy revealed the disease. Because of these experiences and the fear that any reacting conjunctivæ might become secondarily infected from the uncertain personal hygiene of the beast, we decided to omit this method and rely upon the temperature test.

Pathological Effects of the Injection of Tuberculin.

It is generally believed that tuberculin injected into tuberculous animals, in doses large enough to produce a marked reaction at the site of disease, may stimulate the process to growth and spread and that certain parenchymatous organs in such bodies undergo degenerative changes. We can give little information concerning the first point because known infected animals have not been sacrificed during the test and we are not informed of the degree of morbid lesion in those dying, since we had no previous knowledge of its existence.

Fig. 58.—EFFECT OF TUBERCULIN ON THE KIDNEY. AN UNUSUALLY SEVERE REACTION IN THE RENAL TUBULES AND INTERSTITIAL TISSUE FOLLOWING A TEST DOSE OF TUBERCULIN. SUCH A MARKED CHANGE SUGGESTS THAT IN THIS CASE PRE-EXISTING RENAL DAMAGE WAS AGGRAVATED. THE ANIMAL WAS TUBERCULOUS BUT HAD NO LESIONS IN THE KIDNEY.

549An interesting and practically useful observation has, however, been made upon the kidneys of several monkeys dying shortly after tuberculin injection. It consists in a marked cloudy swelling of the renal epithelium and a congestion or even thrombosis of the glomerular capillaries, accompanied sometimes by increase of nuclei in the tuft and by amorphous material in the space of Bowman. Grossly such kidneys are but little changed, albeit the cortical zone may be dull and opaque and swell out slightly on section; very occasionally bloody streaks may separate the cortical and medullary striæ. In a few kidneys there have been suggestions of preëxisting nephritis but usually the findings are confined to those given above. At all events true glomerulonephritis is not often found. Monkeys which have this condition may or may not exhibit a behavior suggesting its existence. Sometimes it will be noted that the animal is dull and eats little, at other times the keeper will report that the cage is seldom wetted and we know of cases in which only an ounce or two of urine has been passed in a day. Two monkeys were distinctly ataxic and incoördinate and one of these had a convulsion. From one a specimen of urine showed albumen but no casts.

These signs of renal affection are not always alone nor are the kidneys necessarily the only part diseased since postmortem records show a variety of accompanying lesions, bronchitis and enteritis, for example. There are, however, several cases dying in a few days after tuberculin injection, both with and without tuberculosis, in which the renal changes were quite prominent; two examples, without tuberculosis, exhibited the damage to the kidneys very well and with no other evident visceral pathology. The relation of cause and effect may not be unequivocal, but these findings suggest that the condition of the kidneys deserves attention when tuberculin is to be injected. My associate, Dr. Corson-White, is firmly convinced that the substance whips up a preëxistent parenchymatous disease and wants to see a urinalysis from every monkey that is in any way abnormal.

The Tuberculin Test in Other Animals.

Two cases of tuberculosis occurred in White nosed Coatis (Nasua narica) so that it was decided to test their neighbors in the next cage. There is reproduced a composite (Y) of the temperature record of three of these animals after receiving 2 mg. of tuberculin under the skin. No tuberculosis was found in them at death, all dying 550within two years. The similarity to the primate type of temperature curve is striking.

Chart Z shows the course of temperature before and after tuberculin injection in a Bactrian Camel (Camelus bactrianus) ♀ which lived for some months and showed no infection at autopsy.

Charts AA and BB show the temperature ranges of respectively a healthy and a tuberculous Bison (Bison bison.)

Chart CC is that of a Malayan Sambur Deer (Cervus equinus) which died a week after injection, showing fibrocaseous tuberculosis. The failure to make an initial rise is noteworthy, but the fall in temperature may be explained by the severity of the lesions and the approaching death.

Chart DD represents daily and post-injection records of a Virginia Deer (Cervus virginianus) which at death was found free of the disease. Chart EE is that of a healthy American Elk (Cervus canadensis).

551

Chart Y. Composite chart of three non-tuberculous coatis.

552

Chart Z. BACTRIAN CAMEL (Camelus bactrianus). Non-tuberculous.

553

Chart AA. AMERICAN BISON (Bison bison). Non-tuberculous.

554

Chart BB. AMERICAN BISON (Bison bison). Tuberculous.

555

Chart CC. SAMBUR DEER (Cervus equinus). Tuberculous.

556

Chart DD. VIRGINIA DEER (Mazama virginiana). Non-tuberculous.

557

Chart EE. AMERICAN ELK (Cervus canadensis). Non-tuberculous.

558

SECTION XVII—PART 2
MYCOSIS

This is a general term applied to the infections with Hyphomycetes, but in the zoological material discussed here it refers chiefly to the growth of aspergillus in the air sacs and viscera of birds. A few cases of cutaneous mould growth have been seen in mammals but are of trifling importance; brief mention will be made of them on a later page.

Under the names of Aspergillosis and brooder pneumonia, the infection with Aspergillus fumigatus, A. glaucus and others is well known to breeders of chickens, ducks and ostriches. Literary references to its occurrence in zoological collections are numerous, but there seems to be no record indicative of its frequency in the various orders nor discussion of the pathological types best exhibited by different birds. There has indeed been some discussion of the actual entity, mould disease, the picture found at autopsy being referred to secondary contamination with fungi in the presence of bacterial infection. Experiments by DeLong and others have been indifferently successful in the production of the disease by inhalation of mould spores. The appearance of groups of cases in breeding places, apparently all exhibiting the same organism, in the absence of other varieties of avian epizoötics seems to warrant the conclusion that the hyphomycetes can at least be associated with a fatal morbid lesion of quite uniform character whether or not they be the original invaders.

Judging by our experience it would seem probable that the aspergillus can, under conditions not fully explained, cause inflammation of the avian air sac and tubercles in viscera, in the absence of other evident causes of illness and death. Over three-fourths of our cases have no other 559diagnosis than “mould disease”; this may be in part due to overlooking other things, but to a much greater extent to the very extensive mould growth which obscures all other changes. That unexplained preparatory conditions may exist is indicated by general observation and some experimental work. Whereas in breeding establishments this disease occurs in epizoötics, or in groups of cases, with us it is enzoötic, constantly present, never, however, bursting forth in virulent form with high mortality. Nor is the condition highly contagious.

In an attempt to explain its source I examined over forty varieties of feed and found therein several strains of aspergillus and of mucor; the latter occurs occasionally in the avian air sac. The infective material is therefore constantly present, and it would seem that if it were capable of initiating a fatal disease many more cases should come to our attention. Perhaps these moulds do gain access to the avian air sac and are killed off, or only assume a pathogenic rôle when they are in large numbers or a preëxisting disease assists them. Since our records do not support the idea that a preceding condition must exist for a growth of mould to be successful, and yet pathological and experimental observations suggest that something helps its colonization in the air sac, what are such conditions? Moulds grow on feed and litter in which birds pick; from this it is quite possible for a piece of grain or even inorganic matter laden with spores to be inhaled and lodged in a secondary alveolus near the air sac whence extension into the air spaces could occur. In addition I think it quite conceivable that a whole colony of mould might be inspired with the same result, the mechanical obstruction being sufficient physical damage to incite inflammation. The continuous moist surfaces of the bronchial passages and air sacs afford conditions favorable to the growth of mould and as inflammation is not vigorous, little resistance is presented to its spread.

560The mode of operation of these hyphomycetes has usually been assumed to be a mechanical one, local colonization replacing healthy tissue or spreading along surfaces so that function is physically impossible. A support of this idea is to be found in the fact that inflammation, as produced by schizomyces, is trifling or absent; the necrosis that occurs is due to choking off of tissue by the intricately tangled masses of mycelia and blocking off of air or blood supply. The existence of an infiltrating and necrotizing form in some parrots and gallinaceous birds, suggested to me that a toxin might be responsible for some part of mould action. Proof for this speculation was sought by injecting into the pectoral muscles of pigeons an emulsion of a dead mould and a filtered broth culture. Necroses occurred but only to an extent which I interpreted as due to the physical destruction of muscle by the injected material; they were larger with the dead mould than with broth filtrate. I concluded therefore that aspergillus perhaps has no toxin as usually described for bacteria.

Types of Mycosis.

Avian mycosis occurs in three different forms, two of which are probably of similar nature and two are frequently combined. The first variety, most often seen in gallinaceous and anserine birds, consists of thickening and opacity of the air sac walls, upon the surface of which either a curd-like pseudocoagulum or a velvety or fluffy mould growth appears. This variety usually begins about the anteroinferior pulmonary stoma on the right side extending thence to the related sac, upward toward the wing and downward to the abdominal spaces. Occasionally the middle thoracocervical space is involved, probably via the opening in the syrinx. Extension takes place by the way of normal passages, but when the growth is dense it also seems to occur by continuity through tissue. This variety may or may not be associated with the second, an infiltrative type of lesion best seen in the lung. Under what seems to be a true picture of mycotic pneumonia, dirty gray consolidated areas will be found around the bronchial space, infiltrating in all directions and without definite boundaries. A similar lesion has been seen also in the liver on rare occasions, but the lung is its usual seat. Judging from microscopic appearances this is a process complicated by the addition of bacteria.

Fig. 59.—NODULAR OR TUBERCULAR MYCOSIS IN THE LUNGS OF A DUCK. ONE-HALF OF THE LUNG IS CUT AWAY AND LAID ON THE INTESTINES TO CONTRAST THE PLEURAL AND SECTION SURFACES.

561The third variety is nodular or tubercular mycosis, a process of probably more chronic nature since around the isolated lesions connective tissue is perceptible, it being absent or inconspicuous in the other types. The formation of gray or yellow-white nodules from a few millimetres to a centimetre in cross section, is the characteristic production in this variety. Lungs, liver, spleen, intestines and air sacs are involved in about this order. Attempts at explanation of this peculiarity of growth were made in the direction of identification of the species of mould, kind of bird and probably degree of resistance. No conclusions could be drawn since the same variety of mould was found in this as in other types; no bird showed a special susceptibility or resistance to it. It is quite difficult to obtain a culture from nodular mycosis, it being necessary to crush or grind the solid masses before making cultural implants. This variety should always be differentiated from tuberculosis by staining for the organisms.

Histologically studied these three types are not as easily separated as the gross appearances would warrant one to expect. The original mould nodule begins in essentially the same manner in all, a small colonization of mycelia and spores which grow centrifugally, but ever becoming more intricately wound in their first location. As the tissue is invaded, total necrosis takes place, no recognizable cellular architecture being left. When fully formed the mycotic tubercle consists from the centre outward of a necrotic mass, in which spores and mycelia 562stain indifferently well, surrounded by a dense zone of fully formed mould beyond which mononuclear cells and a few loose fibrils may be found. The circumferential tissue of the viscus supplies a mild congestion and perhaps a moderate connective tissue capsule. Giant cells, as known for tuberculosis, do not appear.

Where the process involves loose tissue like the lung, especially when growing rapidly, the sporulating heads of the mycelia stretch out in advance of the main mass and resemble rays. So too in a rapidly growing nodule radiating mycelia are sometimes seen but never with the regularity of arrangement typical for actinomycosis. Diffuse and irregular mycelial spread is characteristic of the second or infiltrative type of lesion and between the mould stalks one may discover well preserved tissue cells and at times bacterial forms like cocci or bacilli. This picture, suggesting as it does bacterial admixture and more active inflammation, leads one to the conclusion that the morbid process in which it is found does not represent mould disease per se, but a mixed infection. Whether or not the bacterial disease exists first and paves the way for the mould I am unprepared to say; I am inclined to the view that mycosis can start by itself.

Incidence in Avian Orders.

Mycosis may be said to occur in all birds although the appended list fails to show cases in a few of the orders included in this study; the sum total of autopsies from missing orders is only 45, so that they may be ignored.

per cent.
Passeres 3.7
Picariæ 1.2
Psittaci 3.9
Striges 6.7
Accipitres 5.1
Columbæ .6
Galli 2.7
Fulicariæ 8.6
Alectorides 2.7
Gaviæ 10.
Impennes 40.
Herodiones 2.
Anseres 6.
Struthiones 9.4
For meaning of italics see foot note Table 1.

Fig. 60.—MICROSCOPIC APPEARANCE OF ONE OF THE NODULES. NOTE THE CENTRAL NECROSIS AND THE CLOSE FIBROCELLULAR PACKING IN THE RESTRAINING CAPSULE.

Fig. 61.—MYCELIAL GROWTH IN AN ALVEOLUS IN THE RAPIDLY SPREADING VARIETY OF PULMONARY MYCOSIS. SEVERAL FRUIT-HEADS ARE VISIBLE.

563These figures hardly permit conclusions as to relative vulnerability unless the large percentage of cases for the small number of Impennes, Gaviæ and Struthiones be permitted to stand. Judging from orders upon which there are at least one hundred autopsies, owls, ducks and eagles are most likely to suffer with mycosis. The percentages are, however, not very convincing, and it would seem better with these data to conclude for the present that any variety of bird is susceptible to mould. Ostriches have long had the reputation of succumbing to this affection, so that their outstanding position in the list is more easily credited.

It was to be hoped that the various susceptibilities would assist in an explanation of the genesis of mould disease, but the result of the analysis is suggestive only in one direction which can be stated quite briefly. Ostriches, owls, shore and swimming birds have large stomata between the lungs and the lateral air sacs and show a high mould disease incidence. The natural thought is that access of mycelia and spores to the air sacs is facilitated. More comparative data is being assembled upon this point. Water birds are more susceptible to mould than land birds; the percentages based upon cases and totals for orders is 5.4 to 3.7.

The hygiene of mycosis is that of scrupulous cleanliness. Being hampered by incomplete knowledge as to its genesis one can only apply common sense measures. The germs having been found upon all the vegetable feeds, it naturally follows that they cannot be eradicated, but their colonization in large numbers can be prevented by repeated cleansing or sterilization of bins and pans so that no mouldy or musty material is given to the animals. At times of serious outbreaks sterilization by burning all old feed, starting fresh with good material in bins painted or saturated with disinfectant and then deodorized, is the only salvation. Where the blast lamp can be applied, it is the safest procedure. Autoclave 564sterilization should be thorough if practiced. By constant vigilance we believe that our large exhibition house is protected, but the sanitation of the pond, where many ducks have the disease, can never be so satisfactory.

Mycosis among mammals as an organic pathological entity is certainly a rare condition, indeed almost always to be considered an accidental or secondary one. In so far as human pulmonary disease is concerned it is among the pathological curiosities deserving of individual report. Moulds of several varieties have been found in intestinal ulcers, in cranial sinuses and in the ear, while generalized mycosis from thrush and favus are reported (cases of thrush in kites with fatal outcome has been described on page 168). Cutaneous infestation with mould is quite another matter for ring worms and similar conditions are now believed to be due solely to the penetration by spores and mycelia into the superficial dermis and into hair follicles. Numerous small lesions have been detected on dogs and cats that correspond to the ring worms described for them; to these we have devoted little study, because when discovered the animal is removed, treated or killed to protect others. Doctor Weidman has discovered several varieties of hyphomycetes which he will report upon at a later time. No case of generalized mould disease has been found in mammals, but Doctor Weidman has discovered a hitherto undescribed mould in ulcers and cutaneous abscesses of seals; no extension beyond subcutaneous areolar tissue occurred in these cases.

Botryomycosis, while not strictly belonging to the foregoing group, may be mentioned here because of its nodular tumor-forming superficial growths. The case to be cited certainly belongs to this illy defined group of diseases even if the organism was not isolated. It cannot be accepted as wholly demonstrated that the disease described under this name is always the same or that it has a single cause.

565California Hair Seal (Zalophus californianus) ♀ . Had sore spots on side for several months. Ate well up to three days before death but ate something to time of death.

Diagnosis.—Chronic enteritis with acute hemorrhagic exacerbation. Low grade chronic diffuse nephritis. Botryomycosis. General condition poor, subcutaneous fat practically absent. On the left side of the thorax there is a warty and nodular thickening of the skin overlying diffuse and flat thickening of subcutaneous tissues. There are warty, pustular, fistulous communications in four places between surface and deep mass. They are covered over with light crust. On dissection mass is found to be in subcutaneous tissue well outlined and encapsulated and consisting on section of dense, white, firm trabeculæ forming a mesh around yellow, soft areas which can be squeezed out. An adjoining lymph node is much enlarged, dense, tough, resilient, on section showing great connective tissue increase and solid brown medulla. The thyroids are solid, brown, 3. x 2. x .6 cm. and 3.7 × 1.8 x .6 cm. Trachea and bronchi contain pink froth but mucosa is negative. Anterior edges of lungs are distinctly emphysematous. Remainder of lung is uniformly congested and lobules are quite prominent. No consolidations. Bronchial lymph nodes are slightly large, anthracotic and wet. The heart is dilated, filled with mixed clot, muscle firm and deep brown color. The liver surface is smooth, edges sharp, size normal, color dull brown with greenish cast, consistency firm and tough. Section surface is glistening, smooth, moist, lobules indistinct but probably normal. The gall-bladder is full of fluid yellow bile. The common duct is patulous. The spleen is of normal size and shape, capsule opaque gray. The trabeculæ are prominent, the pulp stippled rusty brown. The kidney is of normal size, capsule is smooth, strips easily leaving a smooth purple surface. The organ is firm. The lobules and lobular markings are distinct. The adrenal has a narrow regular brown cortex and gray homogeneous medulla. The stomach contains whole fish. The mucosa shows digestion, congestion and mucus formation. Beginning at the pylorus and extending to the colon the mucosa is swollen and edematous, yellow brown. In the lower part it is quite firm and opaque. In the upper part it is more translucent except where there are diffuse hemorrhagic mottlings of the submucosa. Here and there are shallow erosions but no ulcers. The lymphatics of the mesentery are definitely enlarged, white, pale and very firm. Smear from the surface of the growth in side fails to show any definite yeasts or moulds by Loeffler’s or Gram’s stains. It is largely made up of polynuclear cells with many large mononuclears, many of which are phagocyting polynuclears and nondescript bodies. Cultures failed to grow. Microscopic section of liver shows marked congestion with slight hydropic degeneration of the epithelium. The kidney capsule is not thickened. Interstitial tissue not grossly exaggerated but connective tissue nuclei fairly numerous. Some tufts have decidedly more elongated nuclei 566than others and connective tissue around the stalk vessels seems hyaline. Capsule for most part not thickened but space contains cells and detritus in many instances. Epithelium of the tubules for the most part swollen, loosened and without nuclei. Some imperfectly formed casts. The intestine shows distinct congestion of the whole mucosa with here and there definite small hemorrhages well out in the villi. Slight round cell increase but no definite fibrosis. In submucosa around vessels connective tissue is hyaline in many places. The tumor on side consists of dense strands of connective tissue forming alveoli of varying size containing an exudate of fibrin and cells, about three-fourths of the latter being mononuclears. Neither connective tissue nor cells are arranged in a characteristic or peculiar manner so the observer is forced to conclude that this is one of the conditions of the group called Botryomycosis.

567

SECTION XVII—PART 3
THE STREPTOTHRICOSES

The organisms belonging to the genera Streptothrix, Actinomyces, Discomyces and Nocardia as named by various authors have in common the power to produce local chronic inflammation of gradually spreading character and chronic course. Their most conspicuous representative, the ray fungus, is best known as the producer of lumpy jaw in cattle and as an occasional pathogen in man. Other members of the group cause certain lymph-channel disease in domestic animals and pulmonary disease in man. Pathogenic power, it is believed, lies in the ability of these organisms to colonize and irritate, thus producing continuously enlarging tumefactions, no evidence being at hand that any of them produce a toxin either in their surroundings or within their own bodies. Because of their constant irritation, bacterial mixed infection often ensues so that purulent degeneration may occur at the original site of disease and thence may spread via the blood vessels, or by continuity of tissues or, if the mucous membrane of the pharynx be diseased, by the air passages.

The study of the genesis of actinomycosis is by no means a closed one. While it is believed that pastures and fodder carry the organism and that it gains access to the tissues by passing into small wounds that are made by sharp sticks or grain beards, the exact origin of the disease is not understood. The original lesion is certainly trifling and the fully developed one may not be discoverable until it is well under way and causes external deformity. Even when sloughing has occurred, the disease is not very communicable. The method of contraction of lymphatic streptothricosis in cattle is believed to be from other cases via skin wounds or if abrasions be 568soiled by infective dirt. Just how human beings contract these infections, in the absence of infected cattle is unknown, but for the pulmonary form the route usually followed in tuberculosis is probably taken.

The material of our zoological collection permits few observations of value upon “lumpy jaw” but we have encountered a streptothricosis of kangaroos which may throw some light upon the whole subject and to these cases I shall devote considerable space since no description of it occurs in the literature.

Actinomycosis.

This disease has been diagnosed with certainty in two American Tapirs and with reasonable satisfaction in three deer. Two Malayan Tapirs have also had lumpy jaw clinically but the organisms were not found. It is interesting and noteworthy that other zoological collections have observed the disease in this same animal, a fact which suggests the high susceptibility of the tapir to actinomycosis. There are recorded in the protocols a few times sluggish ulcers on the tongue in other ungulates but I am not prepared to label them as actinomycotic since on one occasion smears and sections were studied with great care and nothing found to justify such a diagnosis; nor were there maxillary or pulmonary lesions. Before passing to a discussion of the diagnosis and morbid characters it seems worthy of emphasis that our cases of this disease should appear in one family of Perissodactyla and in one family of Artiodactyla, in the latter not affecting Bovidæ, the family to which domestic cattle belong.

The diagnosis of lumpy jaw depends upon the growth of tumors in the neck and maxillary regions which tend to break down and discharge a thick pus containing “sulphur granules,” little masses of necrotic matter surrounding colonies of the ray fungus. When these conditions are fulfilled, the matter is easily enough settled. 569This was possible with the tapirs but in the deer the conclusion was not so easily reached and the diagnosis had to be made partly by exclusion. Anatomically the gross and microscopic appearances of lumpy jaw in the tapirs follows the text-book descriptions but our cases in the deer deserve separate comment. Whether or not these differences mean a peculiarity of resistance on the part of the animal or a new variety of streptothrix only further study can settle.

The beginning of the lesion in the deer was in the jaw bone as circumscribed or fusiform swellings appearing on the under surface. Growth usually progressed into the pharyngeal cavity and backward under the ear, but a large tumor stretching down the neck was only observed once. Suppuration and ulceration occurred twice but only once were bacteriological observations possible before death, and then they were negative. The fatal outcome seemed to be due to inanition, possibly because the animal could not eat, for respiratory tract involvement was only present once and then to a trifling degree. At autopsy, actinomyces in ray form were found in one animal only, the diagnosis resting upon histology in the other two. Nor did the degenerated centre of the swelling contain the sulphur granules in any case.

The microscopic characters of the tumors resembled those of giant cell sarcoma and chronic rarefying osteoperiosteitis with areas of round cell infiltration but no granulomata as are occasionally seen in lumpy jaw. I have always felt that a “giant cell sarcoma” with inflammation when seated in the jaw of a lower animal should be looked upon with grave suspicion and be searched diligently for fungi. The organisms could not be found in sections of any of these cases, although present in the pus from a pocket in one. Reference has been made in discussing tumors of the bones in gazelles and opossums to their resemblances to osteofibroma and actinomycosis. The diagnoses were made after long study 570of the notes and sections. Actinomycosis is usually unilateral while leontiasis ossium is commonly bilateral; the tumors have not broken down nor spread into the neck. In one macerated jaw bone the osteoporosis and hypertrophic periosteitis were comparable to those of the bovine form but the masses were not so extensive as is common for domestic cattle.

Treatment of this disease was attempted in the tapirs but not in the deer; the latter are too nervous to be handled repeatedly with safety to themselves. Following the usual method, potassium iodide was administered in saturated solution on bread, beginning at twenty grains thrice daily and rising in two cases to sixty grains thrice daily. It cannot be stated that any material improvement followed this heavy dosage although in one case the disease was very protracted—some six months, so that it may have modified the progress of the lesion. However, other things were done for the beast so that the effect of any one kind of treatment is difficult to evaluate. It was noted that iodide served to keep the stools quite loose and that its withdrawal was followed by constipation; upon resumption of the drug normal bowel movements appeared. Every soft spot was opened surgically to allow the pus to drain away. A vaccine of Act. bovis was prepared and injected under the hide beginning at 0.5 mg. and rising to 2.5 mg. in five doses after which the animal became so unruly that the injections had to be discontinued. On the whole we are not impressed with the probability of success in the treatment of actinomycosis in tapirs. In the future we propose to try operation and the use of Dakins solution or Dichloramin T.

Streptothricosis or Nocardiosis of Kangaroos.

A fatal disease of Australian marsupials characterized by swellings and ulcerations about the lips, teeth, tongue and cervical tissues is known apparently all over the world by observers of these animals in collections. 571From commercial shippers of animals, from zoologists and naturalists we have reports that wherever kangaroos and wallabies are exhibited this disease makes its appearance and carries off a considerable percentage of the collection. A fully developed case bears a noteworthy resemblance to lumpy jaw, being called “jaw disease” by non-medical observers. However, it is highly probable that, while the most conspicuous morbid changes occur around the jaw, the agent provocative of the disease is capable of causing different pathological effects and that certain cases of septicemia and gastroenteritis are due to it; Doctor Blair of New York concurs in this opinion. Our study of the problem would inculpate a variety of Nocardia, possibly assisted by certain schizomyces. I have seen in the literature, but unfortunately cannot locate, a reference to an article by a Russian who observed the disease and was convinced that its cause is to be found in a streptothrix[105] obtainable from the necroses in the soft tissues of the jaw, a view entirely in accord with our findings.

The disease is not very communicable because its appearance in a pen need not be followed by secondaries in the mates of the sick beast. It appears chiefly in newly acquired specimens but may develop sporadically in those exhibited a long time and apparently not associated with recent acquisitions. This suggests two or three possibilities. It may be imported by new arrivals, or newcomers may meet a germ to which they are unaccustomed and therefore less resistant, the strange surroundings reducing their opposition to it. Old specimens may have enough resistance to withstand infection entirely or only succumb to large doses. Lastly one comes to the explanation commonly employed for actinomycosis, the presence of the organisms in fodder or pasture, perhaps all the 572time, but gaining entrance to the animal’s body via wounds made by sharp sticks or the beards of grain.

While circumstantial evidence offers some support to this general idea, it cannot be accepted as proven. I have not made studies of the feed for the purpose of isolation of the streptothrix but cultures from the lips and gingival margin of healthy and infected animals were made for its cultivation. These attempts were fruitless, and without wonder since the germ when isolated from a fully developed case is quite finical in its manner of growth; there are so many kinds of bacterial life that they may easily overgrow the one in quest. So, too, cultures made directly from subcutaneous necrotic areas may not always give a positive growth although smears from the same material may reveal numerous threads under the microscope.

The idea that sharp grasses are responsible for the origin of Kangaroo disease finds a protagonist in Dr. A. S. LeSouef, Director of the Zoological Garden at Sidney, Australia, a gentleman whose judgment carries weight. He writes: “We have found that it is entirely due to getting spear or barley grass in their food; owing to the formation of the mouth, this grass gets wedged in between the teeth and the cheeks, penetrates the flesh and allows the bacteria to get a footing, this in time heaps up on the inside and forms an abscess that bursts exteriorly. Formerly all the Australian Zoos lost animals through this cause, but now, through being very careful not to give any rough spined grasses, we never have the trouble.” Since receiving this letter we have removed straw bedding, and feed only soft alfalfa which is carefully inspected for foreign substances. During this time we have had two cases but the period of observation is too short for final judgment as to the value of feeding grasses without sharp beards and spines. The appearances of cases sporadically without reference to the arrival of new specimens, the low communicability of the 573disease, its beginning in the jaw in most cases and the prominence of pulmonary and gastric lesions, all seem to support the thought that the virus is received with the fodder or drink. The anatomy of the kangaroo’s buccal cavity favors the collection of material between the gums and cheeks and between the root of the tongue and the molars, while the “hare lip” also affords a crevice in which food particles or foreign bodies may accumulate. These three places seem to be the starting points of most of the cases.

The Course of the Attack.

Despite careful watching of the exhibition specimens it is often difficult to detect the beginning stages of the disease. Since our last outbreak it has been the practice to examine all kangaroos thrice yearly by catching them, inspecting the buccal membranes, teeth, tongue and nose and by palpating the jugular and sublingual regions. This procedure succeeded in catching one very early case from which the original changes can be described.

The animal appeared in generally good condition but close inspection revealed a “running nose,” a purplish mottling along the gingival margin of one lower jaw below which was a doughy swelling; no internal ulceration had appeared nor was there a visible change in the external contour of the jaw. Within a few days a small fusiform lump appeared along the body of the lower maxilla which spread gradually backward, the nearby soft parts becoming involved very shortly. This particular animal died without ulceration but with evidences of septicemia. Usually at the time that the lump is noticeable the animal loses appetite, becomes inactive and seems depressed; no especial change in the coat need be perceptible although it may be lusterless or at times ruffled. In the cases with great involvement of the cervical tissues, dyspnœa is an early sign but I lay this more to pulmonary disease than to mechanical obstruction of the upper air passages. The 574loss of appetite is in large part due no doubt to the discomfort of chewing and swallowing in the presence of an inflammatory mass in the neck. The eyes usually remain normal until quite late. No change in the character of the droppings is recorded.

A slightly different course is followed by the cases that have the primary lesion in the “hare lip” and nose; from these the masses along the jaw may be entirely missing. After an initial stage of “running nose” with or without swelling of the upper lips and alæ of the nose, the animal rapidly goes down hill, with dyspnœa, loss of flesh, perhaps loose stools, lusterless eyes and a “dead” coat, a series of signs indicative of a septicemic state not pronounced in the first variety; any form of this infection may however present course and pathology of a septicemic character. If the beast live long enough ulceration may appear on the upper lips or a large area of necrosis between them may be discovered.

There have been in our series two cases, believed to be due to the same virus, which gave a picture of septicemia with pulmonary localization; they will be discussed in detail later but are of interest here because they were not known to be sick until the day before their death. A similar failure to evince signs of sickness is found in the gastrointestinal cases, those with ulcerations in the stomach and perhaps an accompanying catarrhal intestinal inflammation. At most the report will be that the specimen was “off its feed.”

Fig. 62.—KANGAROO STREPTOTHRICOSIS. ULCERATIVE AND NECROTIZING PROCESS IN “HARE LIP” AND IN MUCOSA AND BONE OF ANTERIOR PORTION OF HARD PALATE; TEETH HAVE FALLEN OUT ON LEFT SIDE.

575The signs of Kangaroo disease with exception of those applying directly to the nose and jaw are therefore very vague and one is limited to observation of the contour of the head and of the discharge from the nostrils. Because of the indefinite nature of the earliest changes, the duration of the disease cannot be stated with accuracy but from the time that the swellings are perceptible it is not very protracted if no treatment be given. Some cases die in four or five days while others may last up to three weeks and we believe that two of our cases may have been existent longer than that. It is impossible to estimate the duration of the septicemic and gastric forms although the latter, judging by the appearance of the ulcers, are believed to be chronic. We believe that frequent inspection and the precautions as to the character of fodder are the only special hygienic measures indicated.

The Incidence of the Disease.

Not the least puzzling character of the disease is the variability of its appearance. There have been groups of cases in our records; for example the following periods showed several while the intervening years lacked them entirely—1905, 1907–8, 1911–2, and 1920–1. The second and fourth outbreaks were definitely related to a new arrival but the records do not show that such was the case for the other two. Mr. Joseph who supplied us with many specimens, tells us that he has had an experience of fifty-four cases in 200 kangaroos and then failed to encounter the disease for years. Perhaps this irregularity of appearance has something to do with the character of food supplied to the animals.

Among seventy deaths of Macropodidæ we have had thirty-three cases of the varieties which I have included in this infection, made up of the following forms: cases limited to the jaws, pharynx and neck, six; cases of this sort with extension to lungs and stomach, ten; cases of this sort with general spread suggesting septicemia, five; gastrointestinal and hepatic, eight; nasal and sinus infection without necrosis in the jaw and with general spread including the lungs, four. The total incidence in Kangaroos is therefore 47 per cent., the necrotizing forms being 30 per cent., the gastrointestinal 11.4 per cent.

The Pathology.

The essential features of the necrotizing variety of this disease are similar to those of actinomycosis—an inflammation giving rise to much fibrous tissue overgrowth 576enclosing pockets of softening, the whole process causing a deforming tumefaction. While primarily developing in the soft parts, this streptothricosis behaves like the ray fungus in that it spreads not only along clefts of tissue but directly through muscles and organs and even bones. Rarefying osteitis with irregular attempt at repair in the form of productive periostitis may be found in both infections. There is however a greater tendency to ulceration and general disease in the marsupial form, variations which seem referable to secondary invaders. When however the massive tumorous, necrotic and ulcerative characters of this streptothrix disease are insignificant or absent, the pathology is modified to the extent of obvious bacterial mixed infection, there then being catarrhal and fibrinous inflammations with degenerations of the viscera.

Bacteriology.

Since the pathology varies with the bacteriology as seen at this laboratory, it is well to pause at this time in a discussion of the former subject to introduce a brief statement of our findings in the latter, leaving however a full description thereof for later paragraphs. It is relatively easy to find in smears from necrotic masses threads of streptothrix, straight or curved with heavy blunt, but not bulbous, ends and never branched. Similar forms may be found in the necrotic tissue, both free in the softened area and near the margin of the healthy tissue, as irregular colonies growing in a tangled mass from the edge of which radiating threads may be seen. It has not been possible to find a “ray” growth with anything like the regularity so characteristic of the actinomyces nor do the ends present the bulb distinctive of that organism. Branching has been found once only, it being very uncommon in tissues although beautifully developed in cultures. While not especially sought, cocci and bacilli have not been seen, by Gram stains, within or immediately around the streptothrix colonies. Surrounding the mycelial groups is a necrotic zone about which is a loose connective tissue full of mononuclears and a few polynuclears. The centre of the colony is made up of tangled mycelial threads and necrotic debris. From uncontaminated necrotizing masses we have obtained cultures three times out of very many attempts.

Fig. 63.—KANGAROO STREPTOTHRICOSIS. ANTEROPOSTERIOR SECTION OF HEAD, SHOWING MASSIVE TUMEFYING PROCESS IN LOWER JAW BONE.

577When ulceration or suppurative softening has taken place mixed infection with lower bacterial forms naturally occurs and the whole picture changes. Pulmonary complications, with or without evident ulceration in the pharynx, also admit other bacteria. Streptothrical forms are often easy to detect in stained smears and in cultures but the very extensive bacterial flora soon overgrows them and attempts at isolation are fruitless. Under the best of conditions their colonial development is slow and tiny until they are well accustomed to saprophytic life. The complicating bacteria that have been identified are Streptococcus pyogenes, pneumococcus, pyocyaneus and colon bacilli to which may be added moulds of the Aspergillus group but these all have been variable in numbers and appearance; the most frequent and therefore probably most important secondary invader is an organism we have not been able to identify.

This germ, a tiny, Gram-negative, non-motile rod with a tendency to bipolar staining, will appear in smears from an ulcerated necrotic mass, from the nasopharyngeal exudate and from pulmonary lesions and may develop upon agar or blood media for the first generation but refuses to grow after that despite our best efforts. At present we hope to have it by growing material a long time in blood broth. Microscopical examination has not revealed it in the tumor-forming variety but on one occasion it was found in the lung; its Gram-negative characters make its detection in tissue very difficult. For obvious reasons the importance of this germ cannot be estimated but it seems from the frequency with which it is encountered that in some manner the streptothrix 578may be aided by this unidentified bacillus especially in the ulcerative and septicemic varieties of Kangaroo disease.

In so far as the diagnosis of this infection in the uncomplicated form, like lumpy jaw, is concerned the finding of streptothrix by stain seems adequate and its presence in the gastric ulcers and hepatic necroses identifies this variety. The most difficult question to decide is the identity of the cases without one or the other of these distinctive features but with mucocatarrhal or purulent nasosinusitis followed by pneumonia or septicemia, and of cases of primary pulmonary involvement. These instances have been diagnosed as belonging to the same category because of the presence of streptothrix in the exudate at the site of the important lesions and because the type of lesion is similar to that which complicates accepted characteristic cases. Inability to reproduce experimentally any of these infections limits our criteria for judgment in the matter. I am inclined to view these septicemic cases therefore as initiated by the streptothrix, growing in the nose and sinuses or inhaled into the lungs, aided by lower bacteria, an unidentified Gram-negative bacillus being the most important.

Having reviewed briefly the bacteriology of Kangaroo disease, its strict pathology may be discussed more definitely in terms of the type of infection. Reference has already been made to the method of pathogenesis employed by the streptothrix and its congeners. Whether or not a toxin is elaborated by these organisms is an unsettled question, especially for the marsupial variety because as yet it cannot be made to produce lesions in other animals. It is highly probable that all these organisms find colonization easy in the animal’s body once they get well settled, and that they act mechanically, producing necroses by their growth and by attracting leucocytes in such large numbers that digestion of devitalized tissue occurs, to an extent that resembles pus. The inflammatory tissue is not distinctive, except in so far that fibrosis enclosing pus pockets is peculiar to it. In softer tissue, like the liver, fibrosis is not so prominent, whereas diffuse and irregular spread is more pronounced. At the margin with the healthy tissue, reactive, that is resistant, inflammation is no more in evidence than within the tumor growth itself and as a matter of fact the tissues do not seem to put up a good fight against the spread of the inflammation.

Fig. 64.—KANGAROO STREPTOTHRICOSIS. STOMACH, SHOWING TWO ULCERATIONS AND DEEP INFILTRATIONS OF THE WALLS.

579Histologically, aside from the finding of the streptothrix colonies, there is nothing distinctive, the peculiar expressions of the disease being most manifest in their gross characters. For the purpose of describing the pathological features, the cases have been divided into the necrotizing form around the jaw, a similar process in the stomach and liver, necrotic cervical cases followed by lung involvement, the nasal variety upon which pneumonia succeeds and a septicemic form arising from any locality. Illustrative cases will be cited for each of these forms, a method of presenting the pathology thought to be superior to a general discussion.

The first illustrative case is one localized in the tongue and pharyngeal wall; it is quoted because of its strict localization.

Great Gray Kangaroo (Macropus giganteus). Sick four days, tongue swollen so he could not eat.

Diagnosis.—Necrotizing process of floor of mouth and pharyngeal wall, dilatation of heart, passive congestion of liver, acute diffuse nephritis, inflammatory edema of lungs. General condition good. Jaws and teeth negative. Floor of mouth firm in places, boggy in others, but generally infiltrated. Anterior two-thirds of tongue purple and green as if gangrenous. Root of tongue and adjacent floor of mouth yellowish, wet as if from recent coagulation necrosis. In the muscle of the tongue a line of demarkation is shown at end of hemorrhagic zone behind which muscle is fairly good. Sides of pharynx, palate, tonsillar region show superficial pseudomembranous inflammation and yellowish gray, wet infiltration of muscles. Epiglottis purple and swollen to twice normal size. Laryngeal mucosa deeply injected, swollen and covered with tenacious gray mucus. Trachea and bronchi deeply injected and slimy. The lungs are uniformly deeply injected and along 580course of bronchi in lower lobe, lung tissue is distinctly more boggy than elsewhere. On section this area is slightly paler and more granular than the rest of the lung. Lung is everywhere slightly edematous. The bronchial lymphatics are swollen, pale pink and edematous. The heart is dilated acutely judging from the left ventricle wall which is nowhere over 1 cm. The liver is slightly enlarged, surface smooth, edges sharp, color deep purple, section surface very bloody. The spleen is soft, capsule smooth, pulp homogeneous purple, follicles not visible, trabeculæ normal. The kidney is slightly large, capsule smooth, strips easily leaving purple surface. The cut surface swells out, has irregular striæ, congested lines between, glomeruli visible and large. Smear from centre of tongue muscle shows staphylococci in some places in colonies, and long, slender rods.

The following case is one of gastric, intestinal and hepatic involvement, apparently primary, the last possibly arising by a hematogenic or lymphogenic route. Judging by the slides of the gastric wall the process started deeply and broke through the mucosa. This cannot be asserted definitely since kangaroos are susceptible to gastritis so that the streptothrix may have been implanted upon a preëxisting inflammation.

Black Wallaby (Macropus ualabatus). Congestion and edema of lungs, abscess of stomach and liver (streptothrix), ulcerative enteritis, necroses of spleen and lymph nodes, congestion of kidney. The animal is thin, hair loose. The mouth and nose seem to be absolutely healthy. The weight of the lungs is increased by congestion, they are solid, homogeneously red, with no air in any lobe except at edges. A piece cut from centre of lung sinks quickly in water. The trachea contains frothy blood. The heart muscle is soft, flabby and lustreless, chambers dilated, valves normal. The liver is of normal size, firm, smooth surface, sharp edges, red-brown color. The small sublobe of the liver which lies between the gall-bladder and the pyloric end of the stomach shows a large abscess 4 × 3 cm., apparently starting in the substance of the liver via the bile ducts. This is certainly not extension from the stomach abscess as the liver lying against the stomach is nearly normal. The abscess is sharply circumscribed with a zone of congestion about it. Aside from congestion the rest of the liver is normal. The common bile duct is large and freely patulous. The capsule of the spleen is thick, consistency firm, pulp deep red, irregularly mottled by pale areas of necrosis. The kidney capsule is smooth, strips easily leaving a smooth, brown surface. The organ is firm. The section surface is glistening, the cortex wide and congested, the medulla normal. The adrenal medulla is deep purple with congested line between it and the pale cortex. Most of the gastric mucosa seems good. At about 581the middle of the lesser curvature is an ulcer about 4 cm. across. The shelving edges are covered with apparently normal mucosa. The centre contains bloody pus and nodular masses of the submucosa extending in finger-like projections through the pus. At one point on the greater curvature there is a small pocket of pus on the serous side which has not ulcerated through to the mucosa nor broken into the peritoneum. The large intestine is deep red and the follicles appear from the serosa as darker areas. On the mucus side the follicles have ulcerated, having a necrotic centre and shelving edges. The rest of the mucosa in the neighborhood is swollen and deep red. The colon mucosa is dry and the contents are hard, dry “baked” feces. The main pancreatic duct and the common bile duct form a thick, firm, cord-like mass running through the pancreas and enlarging the papilla of Vater into the duodenum. All abdominal lymph nodes are large, firm and on section mottled with red areas. Culture from the liver abscess failed to grow. Histological section of lung shows moderate congestion, collapse of alveoli or their filling by edema, epithelial and small round cells. There seems to be no fibrin. This could be an early stage of pneumonia. Bronchi are for the most part negative, little peribronchial round cell infiltration. No streptothrix in two areas of round cell infiltration or in bronchi. Liver section shows a part of the liver destroyed by hemorrhage, degeneration and necrosis. The abscess consists of necrotic matter surrounded by a zone of about equal numbers of mono- and polynuclears and around this a loose fibrocellular zone. Streptothrix abundant in the abscess. Lymph nodes show chronic inflammation and coagulation necrosis without abscess formation. No streptothrix in areas of necrosis. Kidney is very much congested with little or no damage to secreting parts. Spleen shows enormous congestion, moderate amount of pigmentation, connective tissue both trabeculæ and through pulp increased, no areas of necrosis. In the stomach the mucous membrane shows slight cellular activity and some degeneration—this amounts to a true catarrhal gastritis especially in view of the submucous cellular infiltration and the granulation tissue which has separated the muscularis and involved most of the connective tissue. The edge of the necrotic part begins abruptly, the mass of necrosis lying on an active fibrocellular submucous and muscular layer. Streptothrix can be seen at edge and in necrosis.

Pneumonia originating either by inhalation or via the blood stream, is illustrated in two stages by the succeeding cases. The first history illustrates the pulmonary involvement as secondary to necrotic streptothricosis around the jaw and tongue while the second animal’s disease began in the nose and related sinuses. These two protocols provide material for a discussion of two phases of the subject.

582The character of the early bronchopneumonia in the first is peribronchial, and there is distinct indication of a generalized process suggesting a hematogenic origin, whereas there is but one area of bronchopneumonia in the second—a necrotizing lesion beginning in the bronchus. Streptothrices are rare in the first case but reasonably easy to find in the second. This latter is one of the cases which seem to support the idea that nasosinusitis may have a streptothrix as its basis in the absence of the usual picture of necrotizing “lumpy jaw.” These cases also indicate that pneumonia may originate either by inhalation or by the blood stream, and that perhaps the hepatic lesion may have the latter origin. There have been two instances of necrotizing periarthritis, in one of which the threads could be found. This also suggests that spread through the blood stream can occur, possibly in this respect to places where previous injury prepares for the reception of the organisms.

Fig. 65.—KANGAROO STREPTOTHRICOSIS. ULCERATION IN GASTRIC WALL AND MASSIVE NECROSES IN LIVER.

Fig. 66.—KANGAROO STREPTOTHRICOSIS. SECTION OF LUNG SHOWING EARLY ABSCESSES AND NECROSES, ONE WITHIN A BRONCHUS, ONE IN SEMICONSOLIDATED PULMONARY TISSUE. NOCARDIAL STRANDS COULD BE FOUND IN BOTH AREAS.

583Thigh striped Wallaby (Macropus thetidis). Streptothricosis of soft tissues of jaw. Early bronchopneumonia. Acute fermentative gastritis. Acute general infiltrative enteritis. Cloudy swelling of myocardium. The general condition of coat and of nutrition is good. The jaws are wide and the maxillocervical region full, both due to an indurative inflammation of the gums, tongue, floor of mouth and upper cervical tissues. At either side of the tongue and running around body of maxilla both sides, the inflammatory tissue becomes softer and there is an area about one inch long where it is soft, gray and contains yellow gray bodies in a grumous matrix. The teeth seem sound as do the external buccal tissues. The nasopharynx is free from induration. The bone on the left side shows a periosteitis with involvement of the superficial layers of bone, while on the right side the periosteum is swollen and opaque but the bone is free. The thyroid is imbedded in the edematous infiltration of the lower cervical tissues. The pleuræ are free of fluid and adhesions. Lungs are collapsed, uniformly pink somewhat emphysematous at places but give the impression of being lumpy. On palpation numerous nodular areas are detected. These prove to be peribronchial areas of gray-red solidity which swell out on section. The bronchus contains a gray and bloody thick mucoid matter. There is distention of the mesenteric vessels especially near the enteric insertion. The liver surface is smooth, edges very sharp, consistency firm, tough, resilient, color deep red, the section surface is glistening, moist, opaque, architecture probably normal. The gall-bladder is distended with viscid green bile; the common duct is patulous. The spleen has a rough, thin capsule, consistency tough and resilient, the section surface is mottled red with purple points; on section two small, pale objects seem to be squeezed out. The kidney capsule is smooth, strips easily leaving a smooth, deep red surface, the consistency is soft, the cortex is deep red, then a purple line between it and the red medulla, striæ invisible. The stomach contains frothy grayish mush. The mucosa is finely mammillated, deep pink until the last third when it becomes deep red, deeply injected and somewhat thickened. The pylorus is closed. Externally the gut is congested, in places translucent but for most part seems thickened by reddish swelling of both external layers and mucosa. The mucosa is granular or pebbly with here and there a small bloody suffusion. The histological section of lung shows alveoli open, septa relatively thin but somewhat congested, bronchi mostly open and connective tissue not increased. Some few bronchi, especially the larger, show a slight catarrhal bronchitis but mostly an infiltrative peribronchitis. The nearby veins and arteries show the most striking change, there being in nearly all of them a distinct thrombosis without circumferential pneumonia. In one place a distinct peribronchial pneumonitis was found. The kidney shows very marked congestion of all parts, causing compression, cloudiness and granularity of the epithelium. Glomeruli and connective tissue about normal. The intestinal serosa is negative save for congestion. Submucosa is densely infiltrated with mononuclears, some in definite groups. Section does not show areas mentioned in notes but these could be accumulations of cells with congestion. No streptothrix forms. Section from the infectious focus of face consists of active granulation tissue, densely injected and filled with mononuclears of two types, one the lymphoid cell, the other of the young connective tissue type. Areas of grouping like abscesses are seen and some necroses. Streptothrix in small numbers in the cellular collections.

Nail tailed Wallaby (Macropus unguifer). Kangaroo disease of nasal region. Necrotizing bronchopneumonia (Aspergillus fumigatus and Micrococcus albus). Acute diffuse splenitis. Congestion of liver and kidney. The general condition of coat and nutrition is good. The face is wide just below the eyes. About the “hare lip” and the nose the soft tissues are soft, gray, necrotic. All the internal nasal tissues seem swollen, gray-red. There is subcutaneous edema, bloody in places, around the right face, eye and jugular angle. Tissues of nasopharynx swollen, deeply injected and covered by a thick mucus. Pharyngeal and buccal cavities negative. Tonsillar areas pink and flat. Larynx and trachea slightly swollen but pale on mucosa. Salivary glands and cervical glands normal in size and pale pink. Pleuræ pale and empty. Lungs swollen out uniformly, quite cottony except at lower right base where there is a nodule about 3 × 5 cm. firm and doughy. On section it is found to be a peribronchial consolidation of pale reddish gray color 584and indefinite outline. The bronchus itself is deeply congested and contains a grumous mass. The peribronchial lymph nodes are small, soft, pink, homogeneous. The heart is negative. The liver is large, surface smooth, edges sharp, color deep purple, consistency soft. Section surface is glistening, smooth, moist, very dark purple with obscure markings. The gall-bladder contains fluid brown bile; common duct is patulous. The spleen is soft, tough, capsule pebbly, section surface is mottled, light and deep pink, follicles and trabeculæ not distinguished. The kidney capsule is smooth, strips easily leaving a smooth purple surface, section surface is glistening, deeply congested, striæ obscure but seem normal, glomeruli not visible, organ is soft. The gums and teeth are not involved in the mycosis. The stomach contains mushy digesting food. The mucosa is mottled pink, soft, digesting, at lower half submucosa is deep pink, a few small ecchymoses. From pylorus to ileum, serosa is deeply injected, edematous, mucosa swollen and edematous, deep pink, loosened in places, but translucent. Below this the mucous membrane becomes smooth, flat, pink-yellow. Lower ileum and colon contain rather firm fecal balls. Follicles nowhere prominent. The pancreas is small, soft, yellow pink. The follicles of the mesentery are small, pink gray and homogeneous. Smears from the bronchopneumonia show a threadlike Gram-positive form and a few Gram-negative rods. Cultures from lung show Aspergillus fumigatus and Micrococcus albus. Nose too foul for culture. Histological section of lung shows the alveoli mostly open but the septa widened by congestion. Blood vessels are open and contain recent clots; one vessel near lesion below is thrombotic. The two large bronchi in section show catarrhal bronchitis and infiltrative peribronchitis of which the latter is more severe and advanced. Beside the larger is a necrotizing pneumonitis from which nearly all the architecture has disappeared. The exudate is chiefly mononuclear around the edges; centre no cellular identity. Another mononuclear process not connected with bronchus in section is found with an early necrosis. Streptothrix strands may be found in the bronchial exudate and near the margin of the necrotic patch. They do not grow in colonies however. The spleen shows general congestion without pigmentation. Follicles large, solidly lymphoid. Connective tissue about normal. The kidneys show marked congestion everywhere. Capsule and intrarenal fibrous tissues about normal. Very severe congestion which seems to have caused compression and granularity of the epithelium.

The last case, judging by stained smears, is one of pure nasosinusitis from streptococci and streptothrices. Cultures were not tried because of the enormous bacterial flora.

Fig. 67.—KANGAROO STREPTOTHRICOSIS. LOW POWER PHOTOMICROGRAPH OF A NOCARDIA COLONY WITH NECROSIS WITHIN AND AROUND IT. THIS WAS FOUND IN A SECTION FROM THE LIP OF THE SPECIMEN SHOWN IN Fig. 62. THE BLACK BORDER CONSISTS OF PARALLEL THREADS SO CLOSELY PLACED THAT THEIR SEPARATION UNDER THE CAMERA IS PRACTICALLY IMPOSSIBLE. THIS TYPE OF COLONY RESEMBLES THE “RAY” COLONY OF ACTINOMYCES.

585Robust Kangaroo (Macropus robustus). Acute purulent ethmoiditis. General acute purulent anterior cranial sinusitis. Acute necrotizing glossitis and pharyngitis. Cloudy swelling of kidney. The face seems a little full and the subcutaneous tissues slightly edematous. The nasopharynx contains a thick tenacious mucopus. Ethmoid and frontal sinuses and turbinate spaces contain a thick purulent matter, the mucosa being densely injected, swollen and velvety. Pharyngeal wall and right half of posterior half of tongue are involved in a dull brown and necrotizing process, quite sharply outlined by zone of congestion. This process is comparable to the necrotizing gingivitis seen in front of jaw in kangaroos. Larynx, trachea and lungs seem uninvolved save for slight generalized congestion. Cervical lymph nodes especially those about the larynx are definitely enlarged, soft, moist and brown. Mediastinal nodes slightly enlarged, soft and pink. The heart is negative. Liver normal. Spleen is soft, homogeneous dull red. The capsule of the kidney is smooth, strips easily leaving a purple surface. The glistening section surface swells slightly, vasa recta are congested, striæ wide and pale, glomeruli not visible; consistency is resilient. The mouth and teeth are not involved in the process mentioned above. There is a small quantity of properly digesting food in the stomach. Stomach and intestines negative. Brain not involved. No extension from anterior cranial sinusitis. Smears from the mucopus confirm the gross appearance and contain short chains of streptococci and large diplococci. Smear from cut surface of tongue shows innumerable small bacilli and diplococci but especially mycelia with rather heavy clubbed ends but without true branching. One group was found arranged like ray fungus. It is noteworthy that there is no aspiration pneumonia and very slight evidences of septicemia.

Biology of N. macropodidarum.

The original discovery of the streptothrical forms was made in stained smears from necrotizing lesions. They were considered as secondary invaders until repeated observations of a similar character aroused the suspicion that they stood in some important relationship to the lesion. Early attempts at their cultivation were made under anaerobic precautions, a method now known to be almost certainly doomed to failure because a strain long under cultivation requires two to three weeks to make an appreciable growth in the absence of air. Finally in 1911 a successful cultivation occurred by searing the surface of an unopened mass in a freshly dead animal and planting bits of the interior upon aerobic blood serum plates. Colonies grew after three or four days and from them the first strain was started. It grew for several generations, 586long enough for the preparation of a vaccine, which will be described later, when by mischance it was lost. In 1920 another successful cultivation occurred, this time by incising a mass in the soft sublingual tissue and plating in the same manner; upon this culture the biology is described. Smear preparations offer no more than has already been mentioned.

Colonies develop upon blood serum plates as opaque, pale yellow, circular, discrete masses with a slightly depressed uneven centre, but without umbilication. They remain smooth and slightly glistening for several days, then become slightly wrinkled and twisted with a more definitely raised edge and a tendency to an uneven sinking in of the centre. Transfers to agar slants show wrinkled continuous opaque, dull yellow, sharply outlined growths which soon wrinkle, fold, and twist like certain tubercle bacillus cultures. Spreading occurs, but is slow after forty-eight hours. As medium becomes drier it is possible to see a thin, colorless, wrinkled film stretching out from the main growth. If the medium be dry or old or if only a small portion of seed material be used and this scattered over the surface of the slant, discrete colonies arise. These are circular, seldom exceeding 3 mm., dirty yellow-white, distinctly umbilicated and without clear film of spreading around them.

In nearly all quite old cultures, a white chalky efflorescence appears over the surface.

The morphology of the young agar culture is chiefly mycelial or filamentous, whereas from a culture on dried media and those showing efflorescence, the organisms are short, heavy, deeply granular and of the mycobacterial type.

Glycerine agar.—Corresponds to agar.

Blood agar.—Similar to agar but much less luxuriant.

Blood serum.—Limited dirty yellow, raised, dull, wrinkled and granular, tightly adherent to the medium.

Potato.—Spreading, dirty yellow, much wrinkled, friable, tightly adherent.

Gelatine.—Limited growth as a wrinkled, tough scum only on surface.

Fig. 68.—KANGAROO STREPTOTHRICOSIS. HIGHER MAGNIFICATION OF EDGE OF STREPTOTHRIX COLONY, Fig. 67. IT SHOWS THE DEEPLY STAINING MYCELIA SEPARATING MUSCLE FIBRES WHICH ARE DEGENERATING.

587Litmus milk.—No change for six days, then beginning slight alkalinity which increases very little, shows digestion of the caseinogen, slight, thin filmy growth on surface.

On media such as litmus lactose agar and old Endo it grows slowly on surface and assumes the color of the medium.

Broth.—Only surface growth appearing during early generations, after 3–6 days as a wrinkled, pale yellow scum very much like the tubercle bacillus growth; later generations grow perceptibly in one to three days. Medium perfectly clear. If a large mass be seeded into neutral broth there is a perceptible increase in the growth after ten days. The medium thereafter tends to a faint turbidity. Titration of broth growth after twelve days shows alkalinity requiring 0.3 cc. decinormal acid, while the control tube incubated same length of time showed an acidity requiring 0.57 cc. of decinormal NaOH.

On the following sugars there is a slight surface growth without change in the color, Andrade indicator—dextrose, lactose, saccharose, maltose, mannite, dextrin, galactose, salicin.

Cultures observed on two per cent. neutral agar.

A.—Stained by Loeffler’s stain.

Twenty-four hours.—Shows threads growing out from a central amorphous mass, but the whole does not retain the regularity or parallelism of actinomyces. Threads are poorly stained and rather disconnected but not jointed. Small number of metachromatic bodies apparently in older individuals, certainly in the better formed ones. No intercalary spores, unless the metachromatic bodies be so considered. Individual threads measure from one-third to one micron in width. Metachromatic bodies measure on the average one micron.

The threads in the forty-eight hour preparation seem distinctly wider, up to one micron and possibly become heavier toward the end, but do not have a distinct bulbous extremity.

In three days the threads are much longer, show distinct branching and a tendency to transverse segmentation. More than one metachromatic body may be present in one segment.

Four days.—Still coarser, short segments have appeared separately. Metachromatic body is coarser and blacker; some of the masses have gone to pieces and show only a diffusely staining smudge of metachromatic bodies. The short segments show a tendency to grow out into threads.

Fifth day.—Condition is much the same plus many young, delicate, poorly staining threads.

Sixth day.—The same but all seem to be somewhat wider and diffusely staining.

Seventh day.—More diffuse staining and decidedly fewer metachromatic bodies.

A.—Stained by Gram’s stain.

Twenty-four hours.—All forms are light purplish. The threads stain much more clearly than by Loeffler’s and show distinct transverse 588segmentation of rather uniformly long bacilliform shape. Metachromatic bodies not so distinct but seem larger where found. Coarser threads have swellings in some of the areas which are not segmented and this type seems to have more branching and metachromatic bodies; in other words it would seem that this is a form that reproduces by budding or intercalary spore formation.

Forty-eight hours.—Much the same, more long threads with transverse division, somewhat more delicate, generally fewer coarse threads with swellings and spores. Still pale purple and not distinctly Gram-positive.

Three days.—Condition much the same.

Four days.—Two forms present—definitely Gram-negative delicate slender threads, nearly Gram-positive, and heavier, curved and twisted long bacillary forms, some streptococcoid threads and a few bulbous short threads. Very few metachromatic bodies.

Five days.—Condition much the same except that the delicate threads are inconspicuous and the darker purple bacilli have increased. Metachromatic bodies increased as have swellings in coarser threads.

Six days.—Much the same but for the appearance of young, delicate definitely Gram-negative threads. There are fewer metachromatic bodies and internal spores.

Seven days.—The same.

B.—Grown on Loeffler’s blood serum.—Loeffler’s stain.

Twenty-four hours.—Delicate, poorly stained short threads, few tiny metachromatic bodies.

Two days.—Not well stained, relatively short threads show numerous metachromatic bodies varying from exceedingly tiny dots to coarse granules wider than the thread. These may be numerous in the same segment and form a row from six to ten. Many short bacillary forms.

Three days.—Poorly stained, metachromatic bodies apparently more numerous but much smaller.

Four days.—Almost entirely short, heavy bacillary forms, some of which are very like diphtheria bacillus in the irregularity of width; many metachromatic bodies, distinct branching, some of the small heavy ones have fusiform swellings; practically no long, heavy threads.

Five days.—Essentially the same, individual elements slightly larger, fewer but coarser metachromatic bodies, more numerous round forms suggesting large pale cocci.

Six days.—Much the same but elements shorter, smaller and some more segmented.

Seven days.—More long forms of uniform staining but still a majority of coccoid or short bacillary forms with irregular staining and metachromatic bodies; no long threads.

B.—Gram’s stain.

Twenty-four hours.—Pale purple, almost Gram-negative, long, slender but well outlined threads, a few coccoid forms, practically no granules.

Fig. 69.—KANGAROO STREPTOTHRICOSIS. PHOTOMICROGRAPH SHOWING THE SEPARATE THREADS OF NOCARDIA IN A SOFT NECROTIC LESION.

589Two days.—Very pale, almost Gram-negative threads, very many coccoid forms and short rods, considerable segmentation of the longer threads.

Three days.—Increase in short, heavy bacillary forms with bulbous ends, deeply stained ones and the granules being lightly Gram-positive; long, slender threads are disappearing.

Four days.—Almost exclusively short, heavy forms with bulbous ends with coccoid forms, heavier forms almost definitely Gram-positive, granules Gram-positive.

Five days.—Much the same but more segmentation in the bacillary forms, coccoid forms become more numerous.

Six days.—Individuals are somewhat longer but there are many rods with fusiform swellings containing granules; coccoid forms present in chains sometimes.

Seven days.—More long rods or short threads, pure coccoid and bacillary forms.

The morphology upon bouillon depends somewhat on age and upon the location. Upon the surface the long branching mycelial type appears early and persists until the whole surface is covered whereupon the segments divide into coccoid elements with metachromatic bodies. If heaping-up develop the coarse grains on the mass consist of granular or coccoid rods. When growing in the depth the coccoid form is the predominant one, only a few delicate mycelia, usually Gram-negative, being found.

The Gram character of the organism should be emphasized. The young, delicate mycelia are negative or take a very feeble blue stain. The heavy bacillary forms are Gram-positive. Like the ray fungus the heavy ends are sharply Gram-positive, but unlike it, there has never been seen a Gram-negative bulbous capsule around this end.

The determination of this organism was undertaken from the classifications of Petruschky (Kolle-Wassermann), of Castellani in Castellani and Chalmers’ Tropical Medicine, and of the Society of American Bacteriologists. In the first classification it corresponds in some ways with Streptothrix hominis, and in some ways with Streptothrix capræ. As for the second authority it falls into the Nocardiaceæ, section parasitica, subsection I, in that a distinct earthy odor is absent and that there is no liquefaction of coagulated protein. It resembles several of the species given in this subsection, but does not correspond exactly with any of them. Consultation 590of the classification of the American Bacteriologists would place it among Mycobacteriaceæ. The facts that it is strongly aerobic, produces whitish efflorescence which may possibly be aerial hyphæ and breaks up into short segments, place it in the genus Nocardia. It seems, however, to belong to a division of Nocardia which is close to the Mycobacterium since the short elements are swollen, cuneate and usually heavy, which is unusual in the more typical Nocardia. It is not, however, acid fast and therefore cannot be classified among the Mycobacteria. This culture seems to be a variety not heretofore described, and since its association with the disease is so definite, whether or not it be the cause, the name Nocardia macropodidarum is proposed, because the kangaroos belong to the order Marsupialia, family Macropodidæ.

The discovery of these organisms within tissues is by no means easy even though the larger colonies may be located by staining. If Loeffler’s method be used the central mass stains quite diffusely and the spreading mycelia around the edge stain faintly. For study purposes this stain is preferable to Gram-Weigert, since despite the positivity of the cultures, the blue dye can be removed very easily from sections and only with great care will enough remain to permit tracing of the separate threads; with Gram stain no detail can be made out in the centre of the colony, it being a diffuse blue. Careful search near the edge of these necroses will usually succeed in the discovery of a few mycelia stretching in between the mono- and polynuclears of the low grade inflammation. This is best seen in the margin of gastric ulcers, but may also be found in the cervical masses. When searching in the pulmonary tissues the organisms are to be found in the bronchial exudate or at the edge of pneumonias. In one nasal mucosa the mycelia were dispersed, not growing in colonies as in localized inflammations.

591

Experiments at the Reproduction of the Disease.

When the first culture was isolated it was injected into guinea-pigs; its loss stopped further work because it could not be regained from the animals. The present culture had been injected into guinea-pigs, rabbits, opossums—all with negative results; such an experience is not unknown for actinomyces. Intraperitoneal, intravenous methods having failed, inoculation was made into the gums of rabbits and of opossums with no result, even after traumatizing the mucous membrane. The injection of about 5. mg. of a twenty-four-hour agar culture was made directly into the masseter muscle of an opossum without producing even a lump at the site. Atomizing a culture into the nose and throat of an opossum seemed also without effect. Injection of cultures into the nose, gums and labial tissues of a wallaby have been negative; nor has any perceptible effect followed the atomizing of a heavy nocardial suspension in broth into the trachea of this animal.

The results of these experiments are in accord with those of many similar attempts to reproduce actinomycosis. Perhaps in Kangaroo disease the small Gram-negative bacillus is a necessary factor.

Specific Prevention and Treatment.

Encouragement that we were upon the right track was, however, found in another direction. Improvement in human and bovine actinomycosis having followed the use of vaccines, it occurred to me to try this method as treatment and prophylaxis. The first culture to be isolated was just at hand, so that it could be used at once. Five injections were given under the skin of the thigh to a recently developed case of the ulcerative gingival variety, a noticeable improvement occurring almost at once, and at death there was an apparent cure of the local lesion. However, the accompanying protocol made at the time 592tells the whole story, no adequate explanation being at hand.

Red Kangaroo (Macropus rufus). Disease of the mouth first noticed March 31, 1912, died September 13, 1912. Necrotizing osteitis, arthritis and periarthritis of left ankle, subacute fibrinous right pleuritis, hemorrhagic bronchitis with atelectasis in right middle lobe, abscess of right middle lobe; passive congestion of lungs, liver, kidney, chronic splenitis, chronic general lymphadenitis. The animal is in general good condition except for a fusiform swelling about the left heel with evidence of fracture. The necrotic process in the hare lip, nose and palate has entirely disappeared. One front incisor has gone and the other is loose. There is a scar on the under part of the soft palate in a small healed channel between palate and floor of nose. There is no evidence of pyorrhœa. Cervical and axillary lymph nodes are much enlarged, pale yellow, firm and of the appearance like early stages of Hodgkin’s disease. Fascias of cavities congested. The lungs are mottled purple, air content decreased, section surface purple, exuding frothy blood. The whole right lung is covered with a thick fibrinous exudate, most intense over middle lobe at site of atelectasis. There are light scattered adhesions. The anterior margin of the lung is adherent to the pericardium which is covered in the front by exudate. Upper and lower lobes show hypostatic congestion. Middle lobe has separate bronchus filled with necrotizing blood clot extending into a smaller bronchus with complete occlusion. The alveoli supplied by the last show atelectasis like hemorrhagic infarct. There is a small subpleural abscess near the margin of this atelectatic area. The bronchial lymph nodes are slightly enlarged, mottled yellow and pink, firm with large, diffuse follicles. The pericardium contains 2–3 cc. clear fluid. The heart muscle is pale, purple and soft. All the vessels are full of currant jelly clot. On the posterior surface of the aorta internally about an inch above the valves there is a patch of roughening with a suggestion of thickening and opacity. It is comparable to the early stages of syphilitic aortitis. The liver is normal in size, surface smooth, edges sharp, consistency firm and friable, color purple. The section surface is glistening, smooth, moist, and shows passive congestion. The gall-bladder contains fluid brown bile and the common duct is patulous. The spleen is slightly enlarged, firm and tough, capsule wrinkled. Section surface is mottled red and purple with irregular gray trabeculæ and faint scattered follicles with diffuse margins. The kidney capsule is smooth, strips easily leaving a smooth brown surface. Organ is firm. The section surface is glistening with a line of passive congestion with distended vessels between the cortex and medulla which are of normal widths. Intestines seem normal throughout. The pancreas is firm, pale pink, slightly edematous. The mesenteric lymph glands are moderately enlarged, yellow, firm, homogeneous with congested centres. About the left ankle joint there is a necrotizing infection which has 593involved the bone causing a pathological fracture of the lower end of the tibia. Smears from the periarthritis, pleuritis and blood clot in the bronchus show streptothrix, a short colon-like rod and a coccus in fours—a picture precisely like that obtained from the jaw bone cases. In addition to the above there is a very distinct encapsulated pneumococcus form in smears from the blood clot in the bronchus. This is the animal which was vaccinated with a culture made from the depths of a necrotic mass, upon which treatment she rapidly improved and as seen from the above notes recovered from the palate condition. Why she should have a second infection apparently with the same organism is difficult to determine. Possibly the second batch of vaccine was not sterile, it not having been controlled because the first batch of vaccine was sterile after one hour at 60° C. Possibly the animal was sensitized and a few bacteria settled in the leg. It was along this leg that the inoculations were made.

We permit ourselves the facetious observation that that vaccine prevented the labial and cervical variety for five years, because during that period it stood in the icebox, and there was no case of that particular form to which to give it, although a few of the nasal and gastric varieties occurred. It was recontrolled and did not show living organisms. That it should have cured the disease in the jaw and apparently later permitted a lighting up of a septicemic and pulmonary form with necroses in the leg is difficult to explain.

Just recently we have used a vaccine from the current culture upon another case beginning in the gums and jaw bones. This case was detected early and was treated with ascending doses beginning at 0.3 mg. and running up to 10. mg. At first there was some improvement, but the animal finally died from pulmonary complications. The course of the disease, however, instead of being three weeks, as is the customary duration, lasted two months, an extension of the course which has made us hopeful. These two experiments, indefinite though they be, have offered encouragement and seem to supply a little additional support to the idea that the organisms stand in etiological relationship to the disease.

The employment of the vaccine has been extended to its use as a prophylactic in animals exposed to the disease 594or specimens that have slight reddenings or erosions on the buccal mucosæ suggesting possible early stages of streptothricosis. Five animals have now had a course of vaccine injections, ranging in number from 5 to 10 and in quantity from 0.3 to 2.4 mg. over a period of a month. Fourteen months have elapsed at the time of writing and only one case has developed, but this of course cannot settle the efficacy of the method; perhaps it would be safer to demand that no case should ever appear in a treated animal, while the disease did appear in the untreated.

The preparation of the vaccine is by no means a simple matter, since the surface growth upon solid media is so tenacious. Methods such as are employed for the tubercle bacillus have to be used. The first two vaccines were made by scraping off surface colonies from agar and grinding with glass balls. One successful batch was made recently by simply triturating the colony directly on the agar slant, but the latest method seems to offer the simplest and most generally satisfactory way. Neutral broth is placed in flasks containing glass beads and sterilized in the incubator. This is seeded with the Nocardia, incubated at 37° C. until the surface is covered, heated to 60° C. in a steam sterilizer and tested for sterility. If growth occur it is reheated until dead, whereupon the broth is syphoned off, the growth emulsified by whirling the flask, thus grinding the bacterial mass by the glass beads. Sufficient saline is added to make a workable emulsion, and the fluid then poured into bottles. Control by reculturing is again done, and if the fluid be found sterile, 0.5 per cent. trikresol is added to keep it so. These organisms cannot be counted accurately because of the variation in length, their budding and coccoid forms. Standardization is done by weight. A definite equal quantity of the suspension and of the saline used to make it are evaporated to dryness in weighed vessels and the whole then weighed. The difference is the weight of the organisms suspended in the saline. Such a fluid can 595be diluted so that a given bulk will contain a convenient weight of germs. The one now in use contains 8. mg. per cubic centimetre. Dosage as indicated above usually begins at 0.5 mg., a quantity which does not produce any local inflammation at the site of injection. It is perhaps well to adopt a quantity of 0.1 mg. per kilo as the initial quantity.

The Garden has encountered no case of the remaining important chronic infections, glanders, lymphangitis, and infectious abortion.

596

SECTION XVII—PART 4
ACUTE DISEASES RESEMBLING THE SPECIFIC INFECTIONS OF DOMESTIC ANIMALS

Specific communicable diseases are sometimes divided into those most often encountered as “herd diseases” and those which appear as single cases or in small groups. This would seem to imply that the first behave as easily disseminated epizoötics, their virus passing from animal to animal simply by proximity or by casual contact whereas the transfer of infective material is less readily accomplished by the second group, often demanding special assistance. Foot-and-mouth disease, pleural pneumonia, cattle plague, and influenza illustrate the epizoötics while tetanus, rabies, quarter-ill, malignant edema, and infectious vaginitis are examples of less easily transferred processes.

It is not intended that these remarks shall cover all possible means of transmission but instead they are intended to focus attention upon the sources of viruses whereby animals become infected. An original case must always be present in order for spread to occur. Where animals are being added to a herd a new comer may be diseased or the carrier of a virus; when animals are transported for sale or other reason, infection may be met in a new stall, conveyance or pasture; contaminated food may be offered. In menageries, with specimens, single or in small groups, and arrivals always quarantined before other animals are exposed, acute specific infections seldom appear. It is also improbable that a wild animal, infected at its source or in some dealer’s place, would survive the journey and arrive in an infective condition. Consultation with the reports of other gardens fails to discover records of any serious outbreaks of epizoötic disease except for fowl cholera and distemper, examples 597of infection with the bipolar organisms of the Pasteurella group, believed responsible for the hemorrhagic septicemias; instances of the occurrence of the group specified secondly—anthrax and the like—are also reported. This represents fairly well our own experience.

The bacteria variously named Bac. avisepticus, ovisepticus, bovisepticus, canisepticus, etc., grouped by Ligniere under the name Pasteurella, are doubtless of considerable importance and are probably quite widespread in natural surroundings. The viruses of the epizoötic conditions like cattle plague and influenza are apparently more definitely parasitic, requiring for their persistence ever renewed transfer from host to host. The former infections we have met in repeated single isolated cases and in small groups, whereas no cases of the specific epizoötics have been diagnosed.

Hemorrhagic septicemia, a denomination very descriptive of its pathological picture, has been encountered in many varieties, carnivores, ungulates, primates, rodents, and birds. The diagnosis depends upon the presence of hemorrhages with edema, degenerations of the parenchymatous organs, more or less respiratory catarrh to which may be added relatively mild gastrointestinal inflammation; the bacteria are found in the circulating blood and in exudates. A description of these organisms is not profitable, they being well known in veterinary pathology. What is more important, significant and supportive of the opinion expressed above concerning the widespread distribution of the virus, is the incidence of the infection. Exclusive of the condition known as fowl cholera, it has appeared among mammals and birds as single cases with one exception—that of two Barbary apes which had been in separate cages side by side. The total of cases with determined bacteriology is eleven, with undecided bacteriology but suggestive pathology nine additional. No pertinent history in common can be found in the records of the determined cases, except perhaps that they were 598all animals which had been in the collection at least three months, a period which would seem to exclude the probability of an imported infection. Because of the isolated character of the cases and impossibility of making a clinical diagnosis, no attempt at specific nomenclature as used in veterinary medicine has been made, hemorrhagic septicemia seeming to cover its identity and nature.

The disease known as fowl cholera is practically always associated with the bacteriological discovery of a member of the hemorrhagic septicemia group while its pathology corresponds with that of mammalian infection with these germs. Enteritis is a prominent feature. This disease has appeared thrice among our parrots carrying off from six to ten birds before hygienic measures became effective. In all three our cultures showed the bipolar organisms. Besides these specific outbreaks numerous isolated cases of acute general infection have occurred among small passerine and picarian birds which could not be determined as hemorrhagic septicemia by bacteriological methods although superficially resembling it in gross pathology; they yielded to the same hygienic measures. Perhaps we were dealing with fowl plague, a disease believed to be due to a filterable virus. That this is the case is strongly suggested by an outbreak of fowl typhoid in the parrots, from some fatal cases of which we were able to isolate B. sanguinarium, and by a group of deaths in small parrots from which no specific organism could be recovered.

The identification of these supposedly specific diseases—plague, typhoid, septicemia, leucemia—by pathological criteria is by no means simple even if we have at hand the complete description of Moore, of Hutyra and Marek, of Ellermann and of Ward and Gallagher. Bacteriology must decide and cultures should be made upon bodies recently dead. In addition to the above infections we have had two small outbreaks of psittacosis in parrots from which it was possible to isolate the specific organism. On 599both occasions there was more than one death before the specific nature of the disease was identified yet, noteworthily, no spread to the other birds in the same exhibition house occurred.

Distemper, a disease variously held as due to cocci, to influenza-like organisms and to a filterable virus, may appear in sporadic or epizoötic form. The diagnosis during life is not so easy unless all the cardinal features are present, while after death the same thing holds good. I am inclined to think that from the standpoint of diagnostic accuracy, the term is used much too loosely, a ready excuse for such laxity however being that it stimulates to greater care in hygiene. Whether or not B. bronchi- or canisepticus be the cause of the disease, organisms corresponding to it can be found in stained smears from nearly every case in which the respiratory, cutaneous, nervous and internal signs suggest the disease. To make a diagnosis of distemper it is my practice to require at least three of the cardinal clinicopathological features, whereupon, if the bacterial findings be as described, the denomination is permitted. This was dictated because during the period, now happily well in the past, when the cats and dogs suffered frequently with enteritis, nasopharyngeal signs occasionally presented themselves or spasms were reported, but no skin eruptions appeared, yet seldom were all of these signs combined nor could we find the bipolar organisms. I note that in 1915 Doctor Blair of New York observed a toxic enteritis resembling but not identical with distemper. As with our cases he failed to find that the condition was communicable. We ascribed our cases to spoiled food—fowl heads or dirty horse meat (see page 179). Our acceptable examples of distemper number three, two ferrets and a lynx, but very suggestive cases were found in foxes, wolves and raccoons. Since writing the above notes, sixteen wolves, foxes and wild dogs died in an outbreak of distemper imported by a newly arrived specimen admitted to the 600colony by mistake. When we were aware that the disease had appeared antiserum was administered therapeutically to all that were sick and prophylactically to all the rest—large doses, 25–35 cc., were given for treatment, smaller quantities, 10–20 cc., being used as a preventive. Seven sick animals recovered and no animal (8) given serum prophylactically became sick. This experience encourages us to think that with antiserum and rigidly enforced quarantine rules, distemper will not be a serious matter to handle.

The hygiene of the foregoing conditions is of a general character—removal of the specimens when known to be sick, thorough cleansing of the cages, segregation of mates or of neighbors when this is practicable, burning of refuse, liming of the ground and such other measures as the local conditions may indicate.

Diphtheria.

Although no cases of mammalian diphtheria have been observed, three and possibly four birds have suffered with this disease. The three acceptable cases were in cassowaries (Casuarius occipitalis) occupying adjoining cages and sickening within a few weeks of one another. Just how the infection was brought to them must remain a mystery since no additions had been made to the group for some time previously. All three birds were observed during life, and from the first case the Bac. diphtheriæ avium was isolated; in smears from the other two similar bacteria were seen but isolation was unsuccessful. The two acutely fatal cases showed large pseudomembranous collections on the nasopharyngeal mucosa and beneath the tongue while the nares were occluded by the same material. Plaques of membrane were also found on the surface of the esophagus and proventricle. The exudate ran out of the mouth and formed dried crusts upon the cervical skin. Pseudomembranes of a continuous character were lacking in the third bird, their place being taken 601by small yellow or yellow pink nodular elevations, apparently just beneath the surface, here and there upon the reddened, slimy buccal, lingual and pharyngeal mucosæ. Crusts upon the skin of the neck also formed in this case.

These cases are of interest not only because of their appearance without satisfactory explanation but because one improved very much after injections of human diphtheria antitoxin, this remedy being used because we were then unaware of the existence of an avian diphtheria antitoxin. No claim can be made post hoc ergo propter hoc that the human antitoxin helped the attack—it may have been mild—but the experience is worth recording. Dosage was as follows: December 3, 3,000 units; December 8, 1,500 units; December 21, 5,000 units; December 27, 5,000 units. Shortly after the inception of the treatment the bird was noticed to eat better and to be more lively; this was followed by a reduction in the mucous strings in the mouth and the crusts upon the skin. This improvement continued and the bird seemed well in about two months but, after the lapse of three months more, a mucous nasopharyngitis was again observed. Despite two injections of 5,000 units human diphtheria antitoxin the bird succumbed five days after the beginning of this attack. Autopsy revealed much the same condition as was found in the first birds and from the larynx the Bac. avium was isolated. Another case suggestive of diphtheria was seen in a hornbill but antemortem observation being impracticable and postmortem decomposition being advanced when autopsy was performed, the diagnosis could not be confirmed.

An unusually well developed case of molluscum contagiosum was seen in the Wild Turkey (Meleagris gallopavo) recorded here by photograph and in the form of notes upon the histology made by Doctor Weidman.

The bird’s head was affected universally from beak to ears by horny nodules up to the size of a pea. They were so large and numerous around the eyes as to completely 602close them. There were no lesions elsewhere on the body, none of the other turkeys were similarly affected and though watched, none have since developed a similar condition. Histological examination shows a keratosis, many of the cells showing characteristic “molluscum bodies” which appear the same and behave the same tinctorially as the human examples. This turkey case differs from the human, however, in that there are none of the pocket-like epithelial extensions deep down into the corium and this turkey case may be very useful in the further study which is contemplated to show that such things as molluscum bodies are not sufficient of themselves to stamp a dermatosis as a pathological entity, but that they are general pathological processes which may occur in a number of different diseases. The disease has been reported in sparrows, pigeons, but never so far as I can find, in turkeys.

A few isolated cases of infectious disease are included here as a matter of record although they may not be especially significant or important. Rabies was found in a pair of deer which had been bitten by a stray dog. The period of excitement was relatively long, while the paralytic stage was only a few hours. Negri bodies were found. Tetanus killed a Persian Wild Ass (Equus onager) the infection wound seeming to be a bruised and abraded area on the rump. From the contused muscle tetanus bacilli were isolated. A gas-bacillus infection, emanating from the vagina which was protuberant and lacerated because of injury by mates, was seen in a pregnant llama (Llama lama.) On two occasions nodular masses have been found under the skin of seals, not unlike the one studied by Doctor Wiedman and thought by him to be due to moulds. These two have, however, failed to show mycelia or yeast-like bodies, and one thinks only of placing them in the group of botryomycosis. I have never seen a case of this disease, so that I am forced to rely upon literature, a method that inspires no especial confidence in the diagnosis. The bacteria usually held responsible for botryomycosis could not be isolated. Just what can be done for the condition is difficult to state, since seals are scarcely tractable animals.

Fig. 70.—MOLLUSCUM CONTAGIOSUM. WILD TURKEY (MELEAGRIS GALLOPAVO).

603The following case has some features like paralytic hemoglobinuric fever and is reported as a matter of record. The long standing gastroenteritis may have been the basis for the intoxication which led to the paralysis and muscular degeneration. This laboratory has now under way studies upon the laming of ungulates, accompanied by weakness of the hind quarters, but no conclusions have been reached. It is interesting to note that Hutyra and Marek quote Johne as having seen a case of hemoglobinuric paralysis in a zebra in 1879.

Burchell’s Zebra (Equus burchelli burchelli). The only symptom observed in this animal was gradually increasing lassitude which was first noticed about three months ago; toward the end he habitually stood with tucked tail and nose to the ground as if asleep. He ate well and digestion appeared good, but he became very weak as shown by his inability to rise when he got down on the third and second day before he died, although on both occasions he was able to stand when lifted. Injury, hemorrhage in thigh muscles, chronic gastritis, sciatic neuritis. Œstrus larva in stomach, ascaris in intestine. Both lungs are widely distended and the caudal half of both is the seat of passive congestion. Upper lobes are slightly edematous. No consolidations. Heart normal. Abdomen contains about two quarts of clear straw colored fluid. Liver is of normal size, smooth surface, sharp edges, firm, friable. On section it is very bloody, veins distended, some with clot. Architecture normal. Spleen is of normal size, soft, tough, capsule rough. Section surface is homogeneous, pulp purple, trabeculæ normal, follicles not visible. The kidney capsule is smooth, strips easily leaving a smooth brown surface, firm. Striæ normal, rather wide, glomeruli not visible. Stomach is filled but not distended with partly digested straw. Mucosa of cardia dry, roughly irregular, some irregular mammillations. Two flat papillary growths. Œstrus larva attached to a smaller elevation. The mucous membrane of the fundus is soft, moist, irregular, in some places, translucent, in others opaque; near pylorus mucous membrane is swollen edematous, pink, slightly eroded at pyloric valve. Small intestine has smooth, flat, pale yellow translucent mucosa. Lumen filled with mucopurulent matter like mixed egg. Ileum slightly congested but mucosa firm and translucent. Pancreas is soft, slightly uniformly congested. All mesenteric lymph glands are slightly enlarged and edematous but with normal architecture. In the posterior thigh muscles beside the 604sciatic nerve, most marked on the right side, is a large hemorrhagic infiltration. There is edema of muscles and intermuscular septa all about this area extending upward as well as to pelvis and psoas muscle. This latter within the abdomen shows slight blood stained edema. No other muscle shows this hemorrhage. Microscopic section of liver and kidney are negative aside from congestion. The stomach shows very irregular epithelial covering, in some places wholly desquamated. Where this is most marked there is a dense round cell infiltration in the villi with some increase in the connective tissue cells. This chronic inflammatory reaction is present in all fields, most marked, of course, in upper layers of mucosa. Glands are distorted and upper epithelium of them is polychromatophilic. The intestine shows similar changes in less intense manner.

Waterfowl Epizoötic. There is reproduced here an account of an unexplained epizoötic among ducks and geese from the Annual Report of the Zoological Society for 1916. Nothing additional has been learned and no repetition has occurred since the drainage and cleaning of the lake.

There began on August 27 a series of deaths among the waterfowl and in one month there were lost forty-one specimens including both ducks and geese. Four additional cases were scattered through the next four months, the last case dying January 11, 1916. All of these came from the lake, none being from the adjacent stream for rare waterfowl or from the more distant stream into which the lake drains. The symptoms were most marked and striking. In the early stages the wings drooped, then the legs became weak followed by inability to raise the head. In the latest cases the voice (ducks) lost its normal character and became hissing. The mind appeared clear for the eyes were bright, feathers unruffled and the bird attempted to escape when approached. Diarrhœa was present, dejecta thin, watery white, no admixture of mucus. Autopsy findings were not frank. At most some swelling of the spleen and a little pale thickening of the intestinal wall constituted the picture. Smears from intestine and nasal mucosa showed no protozoa. The blood taken from the living sick ducks showed no parasites or anemic changes in either raw or variously stained preparations. From the spinal cords of three ducks a 50 per cent. glycerine emulsion was prepared and was injected into the cerebral substance and abdomen of domestic ducks with negative results. A variety of different bacterial cultures was obtained from the liver, spleen, blood and congested nasal mucosa of several birds dead with the disease and injected into domestic ducks with negative results. Histological sections were cut from the important organs of thirteen birds. The kidneys, lungs and pancreas showed no abnormalities. The heart muscle in some cases and also 605some of the skeletal muscles showed Zenker’s hyaline degeneration together with minor hemorrhages and edema. Several of the proventricles showed low grade inflammatory signs toward the gizzard. The intestines regularly showed lymphatic infiltrations of the villi most marked toward the tips but without congestion. The lumen showed no parasites, bacteria or protozoa. Liver showed in almost every case pigmentation by hemosiderin at times as heavy as that seen in pernicious anemia. The finer bile ducts here showed peripheral round cell infiltrate, which was not continued into the major ducts as determined by serial sections. Parenchymal cells were cloudy and swollen. Spleen showed in early cases polymorphonuclear infiltrate of the follicles, in later cases atrophy of follicular splenocytes and more or less pigment occurred in both stages. The spinal cord and various peripheral nerves showed no inflammation or degeneration as determined by the appropriate special nerve stains. The above clinical, histological, protozoological, and bacteriological examinations having failed to detect the cause and the epizoötic now being over, its nature becomes a matter of deduction. The only constant features of any importance were the paralysis, the intestinal round cell infiltrate and thickening, the pigmentation of the liver and degeneration of skeletal muscles. Of the various possibilities, beriberi was early considered. This is not possible because the food of the birds was a varied one and furthermore none of the nerve degenerations of beriberi were noted. Second, acute bacterial or protozoal infections are unlikely because no constant primary lesions were discovered at autopsy, the numerous cultures failed to produce the disease and other birds living on the stream draining the lake were not similarly affected. Third, a food poisoning. This is possible first because paralytic symptoms were present such as are seen in vetch and mussel-poisoning and secondly because the epizoötic ceased when the birds were taken from the lake and placed upon the grass. If this be the case the toxic material produced the paralysis by direct action upon the muscle fibres just as that of typhoid fever does and must have caused hemolysis as shown by the hepatic pigmentation. The source of this food poisoning is conjectural. Perhaps a dead fish decomposed in the water or there were some algæ with poisonous properties present. The outbreak has a resemblance, but only a superficial one, to infection with one of the group of botulism bacilli. The cause of the trouble must be considered as undetermined.

Enterohepatic Disease. Since the normal drainage from the intestinal tract passes so largely through the liver, there is little to wonder at in morbid lesions of the latter organ consequent upon disease in the former. Not only does this succeed upon bacterial infection of the digestive tube but also upon infestation with animal parasites, under the latter condition forming changes of 606much more considerable extent, at least in gross bulk, than in the former. Changes in the liver secondary to enteric disease from bacterial infection take the form of cholangitis, thrombosis, degenerations and probably cirrhosis while abscesses and necroses succeed upon protozoal or metazoal parasitic involvement. The latter is exemplified by amebic abscess in man and other mammals and by “blackhead” and “quail disease” in birds; it is to the latter conditions that attention is now directed. The chapter upon the cause of these diseases has yet to be completed, although many reams have been written about it, while the transmission is fairly well understood and the pathology well described. My purpose here is to discuss our experience with the two above mentioned diseases which, while far from conclusive, may assist somewhat in explaining their etiology. There is also reproduced our original report upon quail disease from the Society’s Report of 1915, giving data and figures. Blackhead has been found in five wild turkeys. An unusual case in a Berwick’s Swan is recorded since it bears a striking resemblance to the disease.

The points at issue in the determination of the etiology of blackhead are the importance of Heterakis papillosa in the ceca and the frequency and activity of ameba or histomonas. In three of the five cases of the disease in turkeys the nematode was found macroscopically in the ceca, in two it was not; in one its absence was confirmed microscopically. In two of the turkey cases, forms corresponding to the ameba or histomonas were discovered while the descriptions of the hepatic lesions in two birds use the term coccidia which, from a revision of the slides, is probably incorrect although some of the parasites seem to be possessed of a doubly contoured refractile margin. The larger, more diffuse and ameba-like forms in the intestinal wall suggest that the hepatic inclusions belong to the same group. In only one case was exhaustive search made for coccidia, 607and without success; the material was not preserved. In two turkeys entirely free of lesions distinctive of blackhead, cecal nematodes (one heterakis, one unknown) are recorded, and in the intestinal wall of another, also free from the disease, forms indistinguishable from ameba could be discovered.[106]

The protocol of the Berwick’s Swan is interesting because the full fledged disease is not known in this bird. While this case is not by any means typical, the chronic cecitis and ameba-bearing necroses in the liver stamp it as of a kind with the true infection of turkeys. Perhaps the resistance offered by the swan effected a modification of the disease, preventing the usual necrotizing enteritis and turning it into a chronic interstitial variety.

Berwick’s Swan (Cygnus berwicki). About a month before death passed several large clots of blood. Acute catarrhal enteritis, mural endocarditis, chronic colitis, chronic nephritis, passive congestion and necroses in liver, acute follicular splenitis, edema of lungs, chronic pericarditis, chronic salpingitis, hydrothorax, hydropericardium, hydroperitoneum. Tissues generally are slightly yellow. In serous cavities of thorax is about three ounces of clear fluid. Lungs are distended, subcrepitant, pale red and gray, highly edematous. The pericardium contains about one-half ounce of clear watery fluid. Epicardium is glistening, congested, irregularly thickened especially near the blood vessels. The heart is contracted, slightly large, pale brown-red muscle. On the posterior surface of the right ventricle extending from the auricular opening to the pulmonary valve is an irregularly curved line of grouped, recent red vegetative granulations. Valves negative, they and chambers competent. Aorta negative except heavily blood stained. Liver is slightly large. What of the liver remains undamaged is homogeneous deep purple. Major portion of right lobe badly contused; this seems to have been partly antemortem because there is blood staining and mottling under capsule. In view of colon finding and history of possible injury it is probably the result of degenerations in the liver plus slight trauma. There are several small, pale gray, well outlined, homogeneous areas probably necroses in the liver. The spleen is slightly large, soft, egg-shape, capsule smooth. Section surface shows bright red homogeneous pulp with clearly cut, large follicles. The kidney capsule is smooth, surface smooth brown, consistency firm and tough. The section surface gives a dull gray-brown appearance, seemingly from 608connective tissue. Markings indistinct. Oviduct is negative except over a distance of an inch near the cloacal opening. Here there is a compound curve with constriction to almost obliteration of lumen. This does not seem to be connected with the colonic trouble. The stomach is negative containing only a few small pebbles. Beginning at the pylorus and extending through the whole of the small gut is a recent, moderately severe catarrhal enteritis with so much exudate as to form almost a cast of the tube. Colon and cloaca show an infiltration of submucosa with areas of hemorrhage. Mucosa swollen as if by edema, glistening and covered by bloody mucus. Ceca negative except that they seem to have been closed as their contents are scanty and firm. Histological section of cloaca shows it to be the seat of a chronic inflammation which has constricted and distorted the tubules into simple masses of nuclei. Marked polynuclear and round cell infiltration of mucosa and submucosa. This is apparently due to ameba-like bodies—a large vacuole with a delicate limiting membrane and a piece of diffuse chromatin in the centre—a few of which may be found deep in the mucosa. Liver shows marked passive congestion, here and there areas of necrosis with some fatty infiltration. Small groups of ameba-like bodies can be found apparently lying in sinusoids of liver and in neighborhood of necroses.

Quail disease, since the careful work of Morse in 1907, has been thought by most observers to be due to an organism of the colon group, but I am informed recently by the Pennsylvania State Board of Animal Industry that coccidia have been found often enough in the droppings and in the morbid lesions to warrant a suspicion of their etiological importance. Although they were not especially sought in the work about to be reported, their presence probably would not have escaped detection during that investigation. I have recently had occasion to examine three birds with lesions identical with those accepted as characteristic of quail disease, one of which was subjected to the proverbial “fine tooth comb” methods; no coccidia were found in the liver or intestinal lesions.

The idea that quail disease, with its ulcerative typhlitis and necrotizing hepatitis, is identical with blackhead or at least that if the latter be due to protozoa, the former is also, requires no special stretch of imagination to one familiar with the morbid lesions. A decision is the more difficult because of one’s inability to reproduce quail 609disease at will and the none too great certainty of the intentional production of blackhead. At all events the transmission is potentially the same, ground or food soiled with droppings, indicating that hygienic measures should take the form of segregation and disinfection. Here follows the report of our original observation:

“An epizoötic disease has decimated three newly imported lots of quail, Scaled quail (Callipepla squamata), Gambel’s quail (Lophortyx gambeli) and Texas bobwhite (Colinus texasus virginianus). On January 5, 1915, the first lot of twenty-four quail arrived from northern New Mexico via Kansas City; on January 11th a second lot of twelve bobwhite arrived from Brownsville, Texas, via Kansas City; the first of this lot died the day after arrival with lesions of this infection. From this lot of birds the first lot was probably infected, the first death occurring on January 20th, no other deaths having occurred in the first lot since arrival. On January 21st the third lot of twelve quail arrived direct from Mexico. The first of this lot died of the disease on January 24th. Some birds were also sent at the time of the arrival of the third consignment, to Doctor Kalbfus of the State Game Commission. It is to be emphasized that to date no cases of infectious enteritis have occurred in the lot sent to Doctor Kalbfus. The first case appeared at this Garden on January 12th, more than a week before the third lot arrived. It would seem that the disease was brought to the Garden by the second lot of birds, and that they picked it up on the way from Texas to Kansas City to Philadelphia. The birds made a stop at Kansas City. The birds died at long intervals for the first two weeks, but late in January and early in February several died each day. The last death with characteristic lesions occurred February 11th. After the epidemic reached its height it subsided very quickly.

“During the illness the birds exhibited very few symptoms, indeed some of them were not known to be sick. A few sat huddled in a corner with ruffled feathers and 610drooping head; the stools were little if any altered as far as could be determined among so many in the enclosure. At death the birds were in good condition, feathers fairly smooth, skin clear, body plump and fat in good amount—not abundant, nor were the animals emaciated. The principal lesions were enteritis, degenerative necroses and abscesses in the liver, congestion of all the viscera and plastic peritonitis in a few. A small number showed congestion of the lungs and two had patches of pneumonia. Many but not all of the birds had Heterakis in the ceca. The process seemed to start as a focal necrotizing lesion in the mucosa or submucosa of the ileum just above the ceca and colon; many had lesions in the ceca and as far down in the colon as the cloacal dilatation. Among the animals dying late in the epidemic several showed lesions involving the whole small intestine, a few indeed with greater involvement of the duodenum than of the lower parts.

“Judging from the gross and microscopical appearances it seems that the virus causes at first a cellular infiltrate in the mucosa or submucosa upon which necrosis shortly supervenes. The overlying mucosa soon degenerates, and the surface is covered with an indefinite slough. In other cases, especially early in the epidemic, the process extended outward and appeared as muscular or subperitoneal necrotic areas before the mucosa was much involved. At all events necrosis was an early change in every case. The blood vessels were usually thrombotic. In the cases that spread toward the peritoneum a plastic peritonitis of varying severity was present. The focal liver lesions were not present in every case. They took the form of focal necroses or abscesses. Some fatty or parenchymatous degeneration was always present. The liver lesions probably started as inflammations of the veins from which necrotizing or infiltrative lesions spread. The splenic lesions were those of lymphoid hyperplasia, only distinctive in the enormous 611number of large lymph cells. Typical microscopical changes are as follows, quoted from one of the autopsy protocols: The lung showed moderate congestion with here and there a little epithelial swelling and a mild bronchitis and peribronchitis. The type of bronchitis is infiltrative rather than catarrhal. The heart muscle showed granular degeneration of the fibres with breaking up or irregularity of the striæ. Some increase in interfibrillar nuclei and especially those of the capillaries. There is moderate congestion. Epi- and endocardia are slightly raised as if by edema. Here and there slight fragmentation of fibres. The liver cells are granular and some show fat droplets. There is moderate congestion and more than the normal number of round nuclei between the columns. Here and there are focal necroses of varying sizes without circumferential reaction. Here and there are also some small collections of round cells near to which the liver nuclei are large and show attempts at regeneration. In these collections but not in the necroses, bacillary forms may be found. There is no reaction on the part of the bile ducts. The larger vessels are thrombotic, and in one section a thromboangiitis was found. One stretch of early plastic perihepatitis was found. The kidney showed slight granularity with slight cloudy swelling of the epithelium. The nuclei of the glomeruli are prominent. There is moderate congestion. The spleen showed distinct large lymph cell hyperplasia with relative inconspicuousness of small round cells. The follicles are very diffuse, their centres filled with large lymph cells. The cords are hyperplastic and the sinuses compressed. Moderate congestion; no unusual blood destruction; one area of hyaline necroses found. The proventricle and gizzard are negative with the probable exception of active desquamation on the surface of the former. The outer coats of the duodenum are negative except for slight richness in nuclei. The deep mucosa is very rich in nuclei and red blood cells. The outer parts 612of the villi are either swollen with a cellular infiltrate or by an area of granular necrosis, or have disappeared. It would seem that the surface of the mucosa rapidly degenerates and desquamates. Bacteria are very numerous. The adjacent pancreas is negative. The ileum showed round cell infiltration of the deep mucosa, swelling of the villi and a desquamation of the surface. One ulcer was found having its base on the swollen muscularis and being covered with necrotic slough. Adjacent peritoneum is slightly infiltrated, but chiefly congested and edematous. This ileum lesion seems to be the characteristic one of the disease. Bacteriological observations were made upon cultures obtained from the intestinal mural lesions, the peritoneal exudate, the liver necroses, and the heart’s blood in eleven cases. In seven cases I was able to isolate a motile rod like the B. coli communis and in four cases a non-motile rod of the Bact. aerogenes type. The former is quite similar to the B. scoticus (Migula) reported in Grouse disease.

“We obtained from Doctor Kalbfus of the Pennsylvania State Game Commission, four perfectly healthy birds for experimentation. A culture of the isolated germ was injected into two of them and mixed with the food of the remaining two. It does not seem profitable to cite the details of the work as the results were entirely negative, no lesions resulting that bore the slightest resemblance to the spontaneous disease. The birds either lived indefinitely or succumbed to wholly foreign conditions. This negative experiment is of course no proof that the organism is not the cause of quail disease, for the methods employed might not be the correct ones to propagate the virus or the germ may have lost its virulence during the laboratory culture work. However, as some observers have not reported this bacillus in the disease this germ loses something in importance by the negative inoculation experiment.

613“Judging from reports and based upon the observations of Morse upon Grouse disease it would seem that the incubation period of the disease is about eight to ten days. However, one of the third lot of our birds died within three days of its arrival at this Garden, and therefore within three days of its exposure to the second arrivals; if it be correct that this second lot brought the disease and the third lot did not have it, it would seem that the incubation period can be as short as three days; how long it may be is only suggested by the fact that some of the third lot did not die for three weeks after arrival and exposure. All the Gambel’s and scaled quail succumbed to the disease, but two of the twelve bobwhite survived. It would seem that although these last birds probably introduced the disease, they still possessed more resistance than the others, for the second death among them occurred seventeen days after the first death. The epidemic as we have seen it here seems to be the same as Grouse disease of Scotland and as the Grouse disease in this country as reported by Morse (Bureau of Animal Industry Report 109, May 18, 1907).

“The means of transmission of the disease is not exactly known, but is in all probability by a pollution of the food, the water supply or the ground. Since the lesions are so marked in the lower ileum, cecum and colon, a possible transmission by cohabitation must not be entirely overlooked. There does not seem to be any means of limiting the epidemic in a flock by segregation or sacrifice of the infected birds, because symptoms are few and do not appear until shortly before death. Each bird would have to be put into a separate cage until proved infected. Scrupulous cleansing of the enclosure is desirable, but its efficiency is difficult to estimate.”

614

SECTION XVIII
THE ANIMAL PARASITES, THEIR INCIDENCE AND SIGNIFICANCE

Fred D. Weidman, M. D.

It is quite to be expected that animal parasites would be found in the animals of zoological gardens, garnered as these beasts are from all parts of the world, tropical and otherwise. It inevitably follows that many of the forms should be strange and new, enticing one to the fascinating determination of their identity, life history and hygienic importance; and, developing from all this, one can easily imagine how limitless the opportunities are for scientific work in parasitology in a laboratory like ours.

As in other biological fields, the taxonomic range of parasites here is wide. It extends from the lowly protozoa to the insecta, and, dropping to the smaller subdivisions, includes not only most of the genera familiar to human parasitology but many known only among the lower animals. From the standpoint of the host, the biologic state of parasitism extends from the lowest protozoa to homo.

The above will suffice to indicate the wide range of parasitism in animals, but the extent of work actually done thus far in wild animal material is a different story. Collated, consistent studies, so far as I am aware, have been undertaken only at the London Garden, here at Philadelphia, and at Washington, D. C., by Dr. Charles W. Stiles and Albert Hassal. The data, collected by the last mentioned workers are incidental to the Index Catalogue of Veterinary and Medical Zoology, and embrace only the (index) phase indicated by the title, but it is so valuable, and withal so altruistic, that it must be credited. 615What other work there is is scattered where—not in literature—general biological, medical and veterinary. That at London has been conspicuous through the observations of Plimmer and of Beddard on filariæ and cestodes respectively, while the work of Nicoll must not fail of mention.

That the reader may the better appraise the sections of our own work which are to follow I wish at once to indicate their material basis. Ordinarily only the larger parasites are looked for at the autopsy table and there must be special indications to demand search for the finer ones. Those of microscopic size, or so minute as to be overlooked in the guise of seeds, vegetable fibres, etc., have not, both here and elsewhere, been routinely studied as have macroscopic ones.[107] From our autopsies there have accumulated records of nearly 900 parasites—some determined generically, others but as to order. The parasites have in greatest part been preserved and are available for further study; in the past, special groups have been culled out from time to time and examined. Where conditions have been pressing, as in certain epizoötics, investigations have amounted to more than observations and descriptions, and received detailed laboratory examinations with more or less animal experimentation as the occasion demanded.

The foregoing may suffice to apprise the reader that the subject of wild animal parasites has been but broached so that data are especially incomplete on life histories—a phase most important in relation to hygiene; but in spite of this and although the statistics are only approximate, as is the case in most parasitological work, these data have attained to sufficient proportions to justify at least a beginning in the matter of collating and generalization. 616At any rate the time has arrived to establish at least a nucleus for the accretion of data, which can be later subjected to confirmation or correction. We draw just a grain of comfort from the knowledge that the more fully worked field of human parasitology is also vulnerable to criticism of very much the same order.

The Value of Parasitological Studies in Zoological Gardens.

The foregoing chapters have made clear two fields of practical usefulness of any study in such gardens. These—hygiene in relation to the animals and comparison in relation to human beings—need therefore only to be mentioned at present since it is obvious that both benefit by our parasitological work. But there is yet a third—a scientific phase of parasitology which may be considered purely academic. It consists in morphological and other studies necessary for the identification of the parasite, the determination of its life history, etc. These last studies may still in a restricted sense include a modicum of the practical in so far as they have a bearing on the disease with which they are associated. But on the whole they are a source of danger for us since such things as studies on the finer structures of worms, taxonomic arrangements, descriptions of new species of commensals, etc., being alluring, are likely to lead one so far afield that eventually an attitude of stubborn resistance will have to be assumed in order to conserve that precious, volatile laboratory asset—time—for the more crying, practical problems ever reaching out to us.

However, in parasitological investigations as in other scientific work, immediate abstract information may at some time prove to be of greatest practical value. Thus for example if we can discover the exact facts concerning one phase of the life history of a certain parasite, it may be possible by hygienic measures, to break the cycle of development of the parasite at one point thereby preventing 617its completion. This information is perhaps obtained most readily in experimentation upon the rôle of lower animal forms in the pathogenesis of disease but where reliable evidence is lacking, help may be had by comparison with others in the same taxonomic group. Undoubtedly systematic classification will go far to help solve many of these riddles.

Pathogenicity of Animal Parasites in General.

The first question which arises in this connection concerns the actual ability of animal parasites to produce disease in wild animals. At once it will be seen that this must be a relative matter, for no one on one side would contend that every symbiont in an animal is harmful—parasites sensu stricto—nor on the other that none could possibly be, i.e., that all are always commensals. It is evident that the issue boils down to questions as to the extent to which they are harmful. Before attempting the answer let us consider the means by which the parasites may conceivably produce disease.

Modes of Disease Production (Pathogenesis).

The medical reader is familiar enough with the pathogenic powers of some animal parasites, but may be sufficiently interested to glance over specific wild animal instances illustrating them while they are being listed for those less familiar with this subject.

1. Mechanical Obstruction.

I refer here particularly to simple blockage of normal body passages as the result of bulk or mass. This occurs more commonly in the intestines than elsewhere on account of the greater frequency, greater numbers and larger size, in general, of parasites inhabiting this tract. Thus, we have recorded a liothrix (Liothrix luteus)[108] where the combination of a small host and consequently 618narrow gut and comparatively large parasite induced obstruction. Plimmer[109] records microfilaria clogging the brain capillaries. Shipley[110] mentions two specimens of Ascaris lumbricoides obstructing the nares of a chimpanzee (Pan niger). Blockage may also be produced secondarily to the presence of the parasite, even in the absence of notable numbers of them, and quite apart from the element of verminous bulk. This occurs through inflammatory swellings which the worms excite. We saw many serious grades of this in our spiroptera epizoötic, the lumen of the proventricle being narrowed by swelling of the mucosa and more or less occluded by exudate and necrotic mucous membrane.

Yet another direction wherein a mechanical rationale pure and simple obtains is by the production of diverticula. Worms encysted in the gut wall may, by weight alone or by excitation of peristalsis, cause the wall to bulge outwards (or inwards even) like a pocket. Such a diverticulum has been noted in the gut of a Pale Cebus (Cebus flavescens)[111] parasitized by acanthocephalus, but in this case there were adhesions to the nearby stomach, and it is possible that in this individual case the diverticulum was a traction one, i.e., pulled out by the anchorage of adhesions externally.

Fig. 71.—ACANTHOCEPHALUS (THREE SPECIMENS) PROJECTING FROM THE INCISED INTESTINES OF A PIGMY MARMOSET. COMPARE THE SIZE OF THE PARASITES, WHICH MAY BE DISTINGUISHED BY THEIR ANNULATIONS, WITH THAT OF THE INTESTINES.

Fig. 72.—BLOOD-RED NEMATODES PROTRUDING FROM FRONTAL SINUSES OF COMMON OPOSSUM (DIDELPHYS VIRGINIANA). THE SKULLCAP HAS BEEN LIFTED OFF AND THE POSTERIOR WALLS OF THE SINUSES BROKEN.

6192. Mechanical Irritation.—In those instances where inflammation is the manifestation which reflects the simple mechanical effects of parasites it will be difficult indeed to prove, in the present state of our knowledge, that it is not rather the effect of associated toxic substances or excreta elaborated by the parasite. But instances of a purely mechanical irritation there must be, although one can scarcely put the finger upon them and say that this or that individual inflamed mucosa did not become so from a toxic cause. Omitting these then, the more certain, purer, more unequivocal examples will be those where physiological processes become exalted as the result of the parasitic irritation. An example in point is a case of volvulus in a Screech Owl (Otus asio asio).[112] Here it is probable that the parasites excited the gut to undue peristaltic action, and that during this process it became twisted. Worms in such passages as the nose and nasal sinuses (I have seen blood-red filariæ in the frontal sinuses of an opossum) undoubtedly produce nervous effects by their presence and movements. Those in the subcutaneous tissue (filariæ of wild cats) probably also do so. It is difficult to judge those cases where doubtfully sensitive parts are the ones affected. Probably the intestinal and intraperitoneal worms, and less certainly the generally-migrating ones analogous to Filaria loa, produce no nervous effects mechanically.

3. Production of Hemorrhages.—Hemorrhages large enough to kill suddenly are theoretically possible, since worms occasionally produce aneurysms which may rupture; we have seen such an accident in a Paradoxure (Paradoxurus leucomystax). But certainly it is the long continued, wasteful small hemorrhages that are important, inducing an anemia often of severe and fatal grade. The hookworms are the shining offenders here, yet we have seen very much the same effect from Acanthostoma in the intestine of monkeys. Œsophagostomum has also been incriminated at the London Garden in young Rhesus Macaques (Macacus rhesus)[113] where the young forms of the parasite did the damage as they burrowed into the wall of the gut.

4. Opening up Avenues of Infection.—This may be accomplished either by passage of parasites from one position normally containing bacteria to another which is susceptible to infection, or by devitalizing a tissue which is ordinarily resistant to infection; i.e., creating a 620locus resistentiæ minoris. The intestinal tract is the most common organ concerned, but the illustrations to follow will give variety. Thus, the mature examples of œsophagostoma in young rhesuses just referred to above burrowed into the gut wall and led to both local and general peritonitis. In one of our “spiroptera” parrots the worm had passed through the proventricular wall and a chronic fibrosis resulted around it. At the autopsy on a Rhesus Macaque Doctor Fox found a localized abscess adjacent to the gut wall, and in it a whipworm was imbedded. Passing from these examples of intestinal worms, I can mention the loss of a valuable Philippine Spotted Deer (Cervus alfredi) as the result of secondary infection of a cysticercus cyst of the lesser omentum which led to a nearby peritonitis. Lung infections are not uncommon. Murray[114] records that forty-four out of eighty-five young rhesus monkeys dying from pneumonia showed an acarian, and he ascribed the pulmonary irritation to certain crystals in the excreta of the mite. I have studied a case of bronchopneumonia in a prairie dog where great numbers of an arachnid were present. The reports of the London Zoological Society are replete with notes of round worm pneumonias of reptiles. These pulmonary cases must result from decreasing of tissue resistance by the presence of the worms, and are easy to understand, much more so than the intestinal infections when one recalls how sensitive lung tissue is to foreign bodies, and that there seems to be no indication that this tissue becomes accustomed to infestation such as may be argued for the gut. All these citations must convince us that parasites are most important predisposing agents to infection, and that this is one of the most sinister phases of animal parasitism.

5. Destruction of Tissue.—This heading does not refer to the comparatively trivial effects that accompany the more acute inflammations secondary to parasites, 621albeit certainly the absorption of their disintegrative tissue products has some effect on the economy; but our ideas of such are so vague as to justify their being disregarded here. What I refer to is the more massive destruction such as may occur in the blood, for instance, from the action of protozoa. There is also loss of mucosa in those chronic infestments of the stomach where we find excessive fibrous tissue overgrowth. The most striking example of tissue destruction we have seen was in the cirrhotic livers of prairie dogs affected by Hepaticola hepatica, where in extreme cases, the amount of functionating liver substance was reduced to a very small fraction of its normal bulk.[115]

6. Toxins.—We have no direct evidence to offer that noxious products of parasites are concerned in producing disease in wild animals. The local effects of such toxins are not distinctive enough—individual enough to toxins or to the animal body—to separate them from the effects of such accompanying factors as bacterial inflammations; nor can we separate the general effects of these toxins from what might have been, for instance, the effects of an accompanying anemia of hemorrhagic or other origin. From a knowledge of what happens in human prototypes though, there is scant doubt that some one of the multitudinous species must be capable of producing toxins, but just which varieties are concerned cannot be listed by anyone. By analogy we can at most only suspect the hookworms and the dibothriocephalidæ. Under this same category of the toxins come the worm-products which are reputed to have a destructive effect upon the digestive enzymes in the gastrointestinal tract of the host, and which would thereby interfere with the proper assimilation of pabulum, resulting in malnutrition. For the same reasons as above indicated for the toxins one is unable to speak for or against these “anti-enzymes.”

6227. Preclusion of Nutrition.—This must be a very unimportant phase of the activity of intestinal parasites, when one compares the bulk of food which passes through the bowel and the average number of worms present; and the same holds good for some interstitial parasites like the adult filariæ. Even in amazingly heavy infestments of the intestines one will be constrained to dismiss this idea when he compares the bulk of parasites with that of the host, and recalls what the physiologist terms the “factor of safety” inherent in this tract as elsewhere. But in the case of blood parasites the matter may be different. Here we are concerned with the withdrawal of refined foodstuffs—those which have been worked over and over by subtle internal metabolic processes; and we are not so sure, especially on recalling the enormous numbers of parasites usual to blood infestments, that there is the capacity on the part of these internal processes to meet increased demands that we count upon for the intestinal functions. It is much more serious to be deprived of the finished product than of the crude because it means the undoing of “digestive” work all along the line, from gut to tissue cell. Furthermore, a blood infestment guarantees that the parasite has been feeding upon and depriving the animal of the precise foodstuffs the cells require, and not by any chance upon, even in part, intestinal substances that were wastes or residues. If we except the blood parasites, then, it seems safe to conclude on the whole that the amount of pabulum used by parasites is unimportant to the animal.

Having reviewed the manner in which parasites may conceivably be harmful, it is time to return to the question of the actual exercise of these powers.

The older appraisal of parasites in animals, namely that they were rather innocent of disease production, was suggested by and borrowed from the veterinarian, probably being engendered in him by their frequency in what appeared to be normal domestic specimens. Yet it is only 623proper to add that one of our former pathologists, and sometime professor of veterinary pathology, Dr. C. Y. White, is a medical man and is of much the same opinion. Older writers regarded worms even as “guardian angels” of children. Very recently Schwartz[116] reviews some work in this connection showing that, in vitro, some cestode extracts were inhibitory to certain bacteria (B. anthracis, B. pyocyaneus and B. dysenteriæ Shiga). This relationship is so different from natural conditions as to need no further comment.

At the London Garden the view appears to be different. In the 1910 report they charge five deaths against perforation by worms of the stomach and intestines; in the 1911 report they record giant toads dead from lung infestment; in 1912 “eighteen cases of enteritis were due to worms”; and in 1917 they mention pneumonia in a toad and perforation of the stomach of a puma. These reports represented evidently the more striking, unequivocal examples of death from parasites which had outspoken anatomical expressions, and omitted those in which the more subtle agencies of parasitic pathogenesis were concerned. Their experience has apparently been much the same as ours.

The ideal approach to a decision in reference to the importance of parasites would appear to be a mathematical one, something as follows: First, to determine what species infest animals and how commonly, then to decide which ones are pathogenic and thirdly to estimate the severity of the disease induced; so that finally, by an analysis and comparison of the three results—a comparison and analysis judicial in the broadest sense—we might hope to come to an opinion. Let us consider the three avenues in order. At the first glance it must be evident that a list of all possible parasitic varieties does not exist and may never be compiled. The most that can be done is to tabulate the findings in scattered laboratories, 624data usually recorded in terms of the individual observer’s studies and often inadequate to give the compiler all the facts desired. The same remarks apply to the percentage incidence of parasitism. Not to prolong the academic discussion, suffice it to say that very much the same obstacles present in the second avenue—that of pathogenicity of the individual species. Our own data referring to this second heading will be presented later, but after the failure of the first avenue, the second and third lose greatly in value. At best, statistics can be only suggestive. Unless critically and suspiciously interpreted, and with a full appreciation of their limitations from a foreknowledge of the way in which they were compiled, they would only delude the reader and offend science, and so we abandon this line of reasoning.

At present the best results of the study of pathogenesis by animal parasites will probably be reached by a combination of methods, as follows:

1. Direct. How commonly do we see clinical symptoms and morbid anatomical changes that are incontrovertibly due to the parasite? We restrict ourselves here to a narrow group of infestments indeed, and think of such diseases as trichosomiasis in prairie dogs and spiroteriasis in parrots.

2. By comparison with analogous infestments of domestic animals and man—more thoroughly studied and therefore more accurately appraised, in general, as to pathogenicity; a comparison from the standpoint of disease production rather than natural habits of the parasite. Example, coccidiosis and hookworm disease in foxes and dogs.

3. By inference through deduction. This is the most unsatisfactory consideration of all, and should be well checked up and discounted. Here we would evaluate the known propensities of the parasite first, such as its size, motility, anatomic position in the host and the general pathological traits of the genus and family to which it 625belongs, etc., and then compare these verminous properties with those of the host—its size, temperament, physical stamina, etc. This third consideration must necessarily overlap with or be supplementary to the first two. For example, this consideration would have to be resorted to in many cases of ascaris infestment where anatomical changes are generally not demonstrable.

Acting on these three considerations, and after twelve years of observation on parasites here in the Garden, a fresh review of our records, and a recent review of the accessible relevant parasitological literature I have come to the conclusion that, considering wild animal collections the world over, there is no justification for an unqualified, definite answer to the question of pathogenic parasitism that will meet all conditions. We lack data on too many species that are not sufficiently represented in collections or indeed not represented at all. It is the liability to infestment of each order or family of beasts that will have to be determined, and, depending on the assortment each garden has on exhibition, will the importance of parasites to the garden as a whole vary.

Speaking for the Philadelphia Garden, I have come to the conclusion that on the whole parasitism does play an important part of our annual losses. The financial loss which could be charged against spiroptera alone is in the four figures, to say nothing of the difficulty of replacement of rare species. And while touching the financial phase let it be added that scientific work done now, it must be remembered, is not restricted to the present time or place, but is to be measured in dollars and cents with the yard stick applied to the future, and in other places than that where the initial work is done. Even if we cannot answer the question of the matter of importance the world over we can guarantee that it is sufficiently so in the Philadelphia and London Gardens to warrant a rigid supervision for parasitism; and since the other larger collections are probably made up of similar animals, 626albeit in different proportions, we surmise at least that it is likewise so with them.

Importance of Parasites in Other Fields.—In addition to their importance to exhibitions, animal parasites of wild animals are important first to man. The animal hosts may serve as porters of infestation, and interfere with attempts at eradication of the disease. The experience of the European with African sleeping sickness attests to this. Not to go farther than immediate examples I wish to note in this connection the occurrence in this Garden of scabies in an orang which was transmitted to a keeper, and of amebic dysentery in monkeys. Leiper[117] has called attention to a guinea-worm in a leopard.

Parasites are important to certain wild animal industries. The ones that have come to my attention are the fur seal (Otoes alaskanus) industry of the Pribiloff Islands and fox-farming in Newfoundland. In both of these instances the hookworm was concerned and entailed losses of thousands of dollars. Lucas, who conducted a United States Government commission to the seal grounds and after whom Stiles named the parasite, has left very full notes of the former disease. I have identified the same infestment in a young California hair seal (Zalophus californianus) which was born and died in this Garden. This indicates that the parasite might perhaps be found farther down the Pacific coast than hitherto suspected.

To hunters parasitism of animals must be important, but to an unknown and undoubtedly unimagined extent. The grouse plague of Scotland[118] is an example to point. Who knows but that the disappearance of some of our game animals, particularly birds, was not due more to disease than to the ravages of man? There is at least food for thought here.

627Occurrence of Animal Parasites in the Wild.—It would be unbelievable that parasitism did not exist in the wild. It seems proper, however, to record some evidence. Diesing’s Systema Helminthum is replete with references to Natterer’s Brazilian expedition. Nicoll speaks of a German expedition to Spitzbergen in 1898, and a Swedish one to Egypt in 1901, in both of which large numbers of parasitic forms were collected. Nicoll[119] found Trichosoma hepaticum in a hare shot in the wild, and liver-flukes[120] in a kestrel shot on the coast of Scotland. Leiper[121] found nine species of worms in hippopotami during an expedition to Uganda, and[122] states that thirty-seven species of helminths were collected on an Antarctic voyage by Surgeon Atkinson. In an investigation of Grouse disease in Scotland, Fantham found many different blood and intestinal parasites. Dr. Charles B. Penrose tells me that all of the white-tailed deer he shot in the valley of the Swan River, Montana, were infested with liver-flukes, so much so that the liver was literally riddled by the disease, and yet the deer were fat. The black-tail deer of the same valley were not thus parasitized and were not as fat. In our own Garden we have found many tapeworms in wild cats[123] which had been too recently captured for the worms to have developed in captivity. Such instances might be still further multiplied.

A more important consideration is the fate of the parasites thence introduced into our Garden. Do they disappear of themselves? Naturally we can never make sweeping predictions, for future events will depend upon the life history of the individual parasite concerned. But by and large, once introduced it is better to assume the attitude of pessimism, and resign oneself against spontaneous 628disappearance and, what is worse, realize that the parasitism is likely to become indigenous. We have several pieces of evidence, however, that the infestment may occasionally quite disappear. Thus, I have seen Coccidium bigeminum spontaneously disappear from a Swift Fox (Canis velox) and Spiroptera incerta from a Macaw as proven at autopsy. Nicoll[124] remarks that certain trematode infestations were heavier in newly arrived animals than in ones long resident in the Garden. This is conceivable on the basis of individual worms dying out, i.e., fulfilling their life spans without the host becoming reinfested with fresh parasites. Precise information on the subject is supplied by Ackert[125] who found that cestodes disappeared from chickens in six to eight months when the birds were confined, i.e., protected from reinfestment. Moreover, it is known that worms can escape during acute infections, the infectious state of the economy producing conditions obnoxious to the parasite. We hear of many instances of their expulsion in human feces and vomitus during malaria and the exanthemata of childhood and know of similar discharge from animals during the death agony. I cite these data largely because they explain the scarcity or absence of parasites at autopsy in animals which were known to have been clinically infested.

FREQUENCY OF PARASITISM IN WILD ANIMALS

There can be little doubt that wild animals are more frequently infested than man, and furthermore with a larger number of parasites. I have no statistical basis for these opinions—they rest on personal observations of human and animal autopsies, and reports of findings in the tropics and elsewhere. They have therefore but the value of an individual opinion. I should estimate rather cautiously that wild animals are infested at least two or three times as frequently as man and much more heavily.

629The first step in the discussion of the incidence of parasites must be that respecting the (host) classes and smaller taxonomic divisions—of course as they have been studied in this Garden. Certain statistical limitations were experienced and can be summarized as follows:

Data are not available on a sufficiently large number of animals to justify conclusions as far down as genera and species, except for such commonly and generously exhibited forms as monkeys and parrots. I have therefore in tabulating and reviewing our records, distributed the animals only as far as families—not into genera and species. The table (24) to follow will be found not to contain every family because to do so would needlessly enlarge it. Accordingly I have followed the policy of only indicating those genera and species showing either frequent or important infestment. I shall refer to those groups later as “susceptible” groups. If no family is recorded in the table it means that we have had no important numbers of infestments in it. The “remarks” column shows the individual parasite that has been particularly frequent or otherwise important. If there are no remarks it means that the species of parasites found have been scattering.

Results of Review and Tabulations.

We now pass to an analysis and discussion of the findings brought out in the previously mentioned review of our records and in Table 24. Viewed broadly we find that there is a wide variation in the susceptibility of different families to infestment. Those that are susceptible may be located by consulting the table, and each will therefore not be separately culled out and subjected to needless repetition. A few points are however worthy of separate mention. While there is a familial or generic susceptibility within certain orders it is unwise to generalize too broadly. Thus for example the Corvidæ have a high percentage in incidence for tropidocerca, syngamus and periproventricular worms, many families of Ungulata harbor echinococcus, and Carnivora are prone to show ascarids. On the other hand, among the copious exceptions to this may be cited the irregular liability to infestment exhibited by the Galli. Four varieties of these birds are represented but there are missing such important kinds as curassows, guans, guinea fowl and peafowl.

630
Table 24.
Incidence of Parasites in Animal Groups.
Animal Mammalia Remarks
Number of Autospecies Number Infested Percentage
Primates [126]538 51 9.4  
  Cercopithecidæ        
    Sooty Mangabey 34 4 11.8  
      Cercocebus fuliginosus        
    Rhesus Macaque 60 6 10.  
      Macacus rhesus        
  Callitrichidæ        
    Marmosets 43 7 16.3  
  Cebidæ        
    Squirrel Monkeys 8 3 37.5  
    Other Cebus Monkeys 87 10 11.5 Eight had Filaria gracilis.
Lemures 86 6 7.  
Carnivora 498 84 16.9  
  Felidæ        
    American Wild Cat 28 11 40. Stomach and intestines, 22;
      Felis ruffus       Bronchi, 4; Muscles, 7.
    Spotted Wild Cat 5 4 80.  
      Felis ruffus texensis        
    Canada Lynx 10 4 40. Ascarids only.
      Felis canadensis        
    Lions 10 3 30. Ascarids in stomach and
      Felis leo       intestines.
    Ocelot 15 5 33. Uncinaria.
      Felis pardalis        
  Canidæ        
    Gray Fox 28 1 4. Cestodes.
      Canis cinereo argenteus        
    Red Fox 17 2 12. Uncinaria.
      Canis vulpes pennsylvanicus        
    Swift Fox 5 2 40. Uncinaria.
      Canis velox        
    Gray Wolf 18 2 11. Ascarids.
      Canis mexicanus        
  Mustelidæ        
    American Badger 17 7 41. Physaloptera.
      Taxidea taxus        
  Procyonidæ        
    Raccoon 42 2 5.  
      Procyon lotor        
  Ursidæ        
    Bears 37 6 16. Ascarids.
631  Otariidæ        
    Hair Seal 20 1 5. Uncinaria.
      Zalophus californianus        
Rodentia 198 32 16.  
  Sciuridæ 44 4 9. Scattered through four
  Castoridæ       different genera.
    American Beaver 17 4 23. In three cases oxyuris
      Castor canadensis       and flukes in cecum.
  Hystricidæ        
    Canada Porcupine 47 17 36. Cestodes 8, filaria 11, oxyuris 9,
      Erythizon dorsatus dorsatus       in peritoneal cavity also intestine.
Hyraces 7 2 28. Cestodes in bile ducts.
  Cape Hyrax        
    Procavia capensis        
Ungulata 365 44 12.  
  Equidæ        
    Zebras 7 7 100. Nematodes, intestine.
  Cervidæ        
    Axis Deer 6 1 17. C. tenuicollis.
      Cervus axis        
    Barasingha Deer 8 0    
      Cervus duvanceli        
    Eld’s Deer 6 0    
      Cervus eldi        
    Fallow Deer 20 1 5. Echinococcus cysts.
      Cervus dama        
    Hog Deer 21 0    
      Cervus porcinus        
    Japanese Sika Deer 14 0    
      Cervus sika typicus        
    Red Deer 14 0    
      Cervus elaphus        
    Elk 29 2 7. Trichocephalus.
      Cervus canadensis        
    White tailed Deer 33 2 6. Echinococcus in lung (2).
      Mazama virginiana        
    Mule Deer 8 5 62. Four Cyst. tenuicollis.
      Mazama hemionus        
Camelidæ        
  Llama 14 2 14.  
    Lama glama        
  Camels 9 4 44. Hydatid cysts.
Suidæ 19 2 10.  
632Edentata 16 2 12.5  
    Armadillos 10 2 20.  
Marsupialia 175 45 26.  
  Didelphyidæ        
    Common Opossum 84 40 48. Physaloptera, 38; oxyuris, 5; cestodes, 5; nematodes in lungs, 3; cysts in peritoneal areolar tissue, 2; trematodes in ileum, 1.
      Didelphys virginiana        
  Macropodidæ        
    Kangaroos and wallabies 70 0 0.  
        Aves  
Passeres        
  Corvidæ        
    Common Crow 16 7 44. } Tropidocerca and occasional intestinal cestodes. Syngamus in crows. Few filaria.
      Corvus brachyrhynchos     }  
      brachyrhynchos     }  
    Magpies 28 18 64. }  
    Jays 41 22 55. Periproventricular filaria, strongylus.
    Pies, choughs, etc. 35 12 33. There is a striking consistency of infestment in the different members of Corvidæ both as regards degree of infestment and species of parasite present.
  Sturnidæ        
    Starlings 63 19 30. Periproventricular filaria largely.
  Turdidæ 25 8 33. Periproventricular filaria largely.
              Thrushes and Robins. None in American thrushes, one in a robin.
              Finches. Not examined closely at autopsy, but there is a scattering of periproventricular filaria and intestinal cestodes through most of the species.
  Canaries 24     Were free from parasites.
633Picariæ        
  Picidæ        
    Woodpeckers 4 2 50.  
  Rhamphastidæ        
    Toucans 30 9 30. Spiroptera largely.
Striges 142 2 7. Remarkably free of parasites.
Psittaci [127]774 124 16.  
  Loriidæ        
    Lorys 24 5 20. 3 spiroptera, 1 hemoproteus, 1 intestinal worm.
  Cacatuidæ        
    Cockatoos 4 2 6. 2 spiroptera.
    Crested Ground Parrakeet 45 4 9. 4 spiroptera.
    Calopsitta novæ-hollandiæ        
  Psittacidæ        
    Old World (Totals) 453 65 14.3  
      Undulated Grass Parrakeet 121 2 1.6 1 spiroptera, 1 coccidium.
      Melopsittacus undulatus        
    Pennant’s Parrakeet 21 6 29. 6 spiroptera.
      Platycercus elegans        
    Rosehill Parrakeet 48 21 44. 20 spiroptera, 1 cestode.
      Platycercus eximius        
    Other old world parrakeets 86 12 14. 12 spiroptera.
    Old world parrots,        
      lovebirds, eclectus. 74 13 18. 13 spiroptera.
  New World (Totals) 321 69 21.5  
    Macaws 26 9 34. 9 spiroptera.
    Conures 62 16 26. 15 spiroptera, 1 hemoproteus, 1 blood larva.
    Amazons 164 27 16.5 24 spiroptera, 3 nematodes.
    Other new world parrots 69 17 10. 7 spiroptera.
Accipitres [127]201 13 6.7  
  Falconidæ        
    Buzzards 55 4 7.3  
    Eagles 44 1 2.3  
  Serpentaridæ        
    Vultures 29 1 3.4  
  Miscellaneous 73 7 9.6 4 were blood protozoa.
634Galli 299 42 14.  
  Phasianidæ        
    Pheasants 95 20 21. Heterakis in ceca.
    Partridges 14 3 21.  
    Quail 70 10 14. Heterakis.
  Megapodidæ        
    Wild Turkeys 39 7 18. Intestinal cestodes. Coccidia twice.
Columbæ [128]163 14 9. Mostly intestinal cestodes, but several spiroptera.
Fulicariæ [128]38 7 18.  
Alectorides [128]41 10 25.  
Gaviæ [128]21 3 14.  
Steganopodes [128]22 1 5.  
Herodiones [128]105 21 20.  
Anseres [128]319 28 8.8  
    Swans 48 7 14. No significant groupings. Parasites scattering. Few intestinal cestodes.
    Geese 83 13 15.6  
    Ducks 188 8 4.  
Struthiones 36 1 2.8  

Nor do all members of a genus necessarily show the same susceptibility, and the heterakis infestment in the pheasants illustrates this matter very well. It was limited almost entirely to two species—Amherst’s and Golden, whereas several frequently exhibited species showed none. The following table brings this out in more detail:

635
Table 25.
Heterakis in Pheasants.
Species Total Infested Per cent. infested
Golden Pheasant (Chrysolaphus amherstiæ) 18 12 67
Amherst’s Pheasant (Chrysolaphus pictus) 16 5 31
Silver Pheasant (Gennæus nycthemerus) 19 1 5
Reeves’ Pheasant (Phasianus reevesi) 16 1 6
Ringnecked Pheasant (Phasianus torquatus) 12 0 0
Swinhoe’s Pheasant (Gennæus swinhoii) 10 0 0

Enzoötics and environment played no part in the above figures. We have had no real heterakis enzoötics, for in but two instances did three heterakis deaths occur in a year, and two deaths per year have occurred in but four instances in the past twenty years. During this time there have been sufficient animals on exhibition and subjected to autopsy to indicate definitely that the two species named—Amherst’s and Golden, must be considered as more susceptible than the other varieties. Nearly all of the heterakis in quail likewise occurred in one species—seven of the ten cases occurred in a total of twenty-three Scaled Quail—but in these birds the infestment appeared in enzoötic form and cannot be viewed as indicating a preference for a species.

Psittaci are on the whole, not susceptible to worms. It is true that we suffered a serious outbreak of spiropteriasis a few years ago, but if we consider this a closed chapter we can accept the above generality as stated. Among 774 parrots autopsied we have encountered but one cestode and three intestinal round worms.

The deer, likewise, are singularly free from intestinal parasites. I gave the detailed records of these animals in Table 24 to emphasize the scarcity of parasites even when fairly numerous specimens had been available for examination.

Other interesting features in the table are the outstanding infestments of squirrel monkeys and marmosets among the monkeys, of gastric and intestinal worms in the wild cats, and intestinal worms in the zebras.

636The foregoing has had to do with parasitism from the standpoint of the host. The next phase, that of the individual parasite itself, interests more the strict parasitologist than the general zoologist; however, both will see how it may have a very practical value.

Table 26.
Distribution of Parasitic Cases According to Parasitic Groups.
Nematodes 183[129]  
  Spiroptera 145  
  Filaridæ 138  
  Ascaris 30  
  Physaloptera 28  
  Uncinaria 25  
  Tropidocerca 23  
  Heterakis 22  
  Trichocephalus 11  
  Syngamus 9  
  Trichina 2  
  Hepaticola 2  
  Other Miscellaneous 4  
  Total Nematodes   622
Cestodes 165[129]  
  Echinococcus 9  
  Cysticercus 7  
  Tænia 4  
  Miscellaneous 3  
  Total Cestodes   188
Trematodes   22
Acanthocephalus   4
Protozoa   14
Arthropods   6
Unclassified   34
Grand Total   890

Incidence According to Parasitic Groups.

Inasmuch as it has been physically impossible to determine specifically and classify efficiently the accumulations of verminous material from our autopsies I will not be able to tabulate parasitic groups even as closely as I did in the “animal host” table. Nevertheless sufficient has been done to illuminate in part certain phases of parasitism and to prevent a summary dismissal of the subject. Reviewing our cross index I have distributed the data into the following Table 26, the parasites being 637listed in the order of their frequency. It may serve only as a panorama of the situation, inasmuch as determinative study of a group amounts to a research in itself, and the multiplicity of them precludes a consistent study of every one. The data are based upon “cases of parasitism.” That is, each and every worm species occurrence has been counted, regardless of whether it was the same species that has been concerned over and over again, or in different anatomical positions (of different individual hosts, of course) or whether it was in association with other parasites.

Analysis of Table 26.

There is a grand total of 890 cases of animal parasitism embraced in the above table, which is a sufficiently large number to give representative value to some phases of the analysis.

In the first place nematode worms occur about three times as frequently as all other forms of parasites. In gardens where spiroptera has not figured so largely the proportion might be reduced to about two to one. Cestodes rank a poor second, trematodes a worse third, and acanthocephali a very bad last. This order agrees with our figures of 1913[130] and with the small series of Nicoll.[131] The latter worker found that the order was not changed when pains were taken to include also such smaller worms as could only be obtained from the host by using sieves, etc. Cestodes were not likely to be overlooked, but very small trematodes and nematodes were easily passed over.

Visceral Distribution.

As to the individual organs which are most commonly parasitized our records show that with Aves as well as Mammalia the intestines are the parts most commonly affected. The stomach ranks second for both—the proventricle 638rather than the gizzard of birds corresponding, parasitologically speaking, to the stomach of mammals. We have found but one parasitic species in the gizzard of birds, i.e., immature forms of Spiroptera incerta lying under the chitinous lining of the gizzard and only discoverable after the lining has been peeled off. The peritoneum comes third (air sacs of birds) due to the presence of filaridæ, and the blood fourth for the same reason. It is to be emphasized that, in our data, identical organs of mammals and birds should be about equally liable to infestment with the possible exception of the lungs. But in view of the small number of cases available there is no justification for speculating about the reason for this last difference, albeit the radical difference in the anatomy of the two classes is very inviting.

Now that our spiroptera enzoötic has subsided, the order above given will be changed, and in view of like disturbing factors other gardens should not expect the same order to hold invariably for their collection, since their enzoötics will depend somewhat on the preponderance of animals of one or another family which are likely to compose their exhibits. A single such enzoötic may suffice to disarrange the whole fabric, and if two or three are taken into account the order of organ involvement can be quite disrupted. To attempt to construct statistically an “order of frequency involved” which would stand for every garden would only lead to interminable adjustments on the basis of animals exhibited and of parasitic enzoötics, so that I have finally been reduced to a combination of our Garden statistics and the bloodparasitic ones of the London Garden. Doing this I have arranged in Table 27 the frequency of organ involvement as follows and estimated the percentage of animals infested. These figures are computed upon a different basis from that of Table 24. They naturally cover all animals and not the “susceptible” ones as in Table 24.

Fig. 73.—HUGELY DISTENDED PROVENTRICLE OF PARROT DYING WITH SPIROPTERIASIS. COMPARE ITS SIZE WITH THAT OF THE HEART WHICH IS ABOVE AND TO THE LEFT, AND THAT OF THE GIZZARD BELOW AND TO THE LEFT.

639
Table 27.
Mammalia Aves
per cent.   per cent.
Intestines 9.0 Blood 6.5
Stomach 3.7 Intestines 3.5
Peritoneum 2.3 Proventricle 1.7
Blood 1.5 Air sacs 1.3
Lungs 1.0 Liver 0.3
Muscles 1.0 Gizzard 0.3
Liver 0.5 Scattering 0.4
Total 20.0 Total 14.0

The effect of this is at first sight startling in that it places the blood parasites of birds so far in the fore, but it must be at once recalled that the inquiries upon the blood parasites were much more searching—microscopic, than in the case of the other organs. If similar methods were applied to the others their percentage of parasitism might be notably raised—particularly that of the intestines.

Special Parasitologic Considerations.

At this point the statistical considerations of parasitism will give way to descriptions of certain specific infestments that have given us more or less concern.

The occurrence of single parasitic varieties or of well known species in an isolated host may occasionally be of practical importance, but usually they amount to little more than an academic study, whereas the repeated discovery of single parasitic kinds, or infestment of similar hosts, especially when grouped, raises the matter to a very practical level demanding attention. Such findings being not infrequent in our experience, it has been possible to study our material in a manner designed to show the frequency of various parasites in a certain host, the susceptibility of certain animals to parasites in general and the infestment of dissimilar hosts by the same parasite. The more important of these now follow.

640

Avian Spiropteriasis.

This disease concerned parrots particularly but toucans, pigeons, and such widely separated species of birds as the starling, quail, thicknee and barbet have been occasionally affected. To the naked eye the parasite resembles the human hookworm, but differs in location, being a resident of the proventricle where it produces a swelling of the mucosa which interferes with the passage of food. Up to a hundred worms may be present in the one bird, and immature forms are occasionally found under the chitinous lining of the gizzard. The parasite burrows into the mucous membranes, occasionally penetrates quite through the wall into the air sacs, and on one occasion induced an adenomatous hyperplasia of the mucous membrane, and an adjacent “peritonitis.” Mucus is sometimes present in the droppings. Death may occur either acutely, or with emaciation. Spiroptera incerta Smith[132] is the common parasitic species of parrots, but I have found at least one other as yet unidentified species in the toucan, and there are probably more. In the eight year period 1906–1913 from 25 to 50 per cent. of our dead parrots showed this parasite every year, the total loss being 113 birds for this period—a most important infestment.

Fig. 74.—HISTOLOGIC SECTION THROUGH PROVENTRICULAR WALL OF PARROT, SHOWING SECTIONS OF SPIROPTERA IN THE LUMEN AND MUCOSA. THERE IS SOME GLANDULAR HYPERPLASIA (ADENOMATOID) AND NECROSIS OF THE LUMINAL PORTIONS OF THE MUCOSA.

Fig. 75.—INFLAMMATORY ROUND CELL INFILTRATION AROUND NERVE TRUNK IN WALL OF PROVENTRICLE. PARROT DEAD WITH SPIROPTERIASIS.

641We approached the problem by diagnosing and isolating the infested birds through a microscopic examination of droppings, finding that by boiling the droppings in 5 per cent. NaOH solution we clarified them and made examination easier and more certain without at the same time destroying the parasitic ova. The result of the examination of all our parrots was the isolation of 14 per cent. of the parrot population; and as these died off the diagnosis of infestment was found confirmed at autopsy in every case. The parrot house was thoroughly renovated and no newly arrived parrots were admitted until after quarantining and examining droppings for ova. The toucans and other species, being housed elsewhere, were not quarantined. Following this, we were gratified to experience no more spiroptera deaths in parrots for seven years. Then, in 1920 and 1921, a new outbreak occurred in four toucans and several other scattering species, including two parrots; but none of these came from the main parrot house and probably represented a fresh importation. We attempted to cure the isolated verminous birds by medication but were unsuccessful. Likewise attempts at determining the life cycle of the parasite brought us no farther than that the ova developed larvæ in moist sand in six days. Feeding of ova, freshly passed and larvated did not produce infestment in parrots or pigeons. On the whole we can quote our experience with spiroptera as a most satisfactory example of the value of hygiene and as a result which could never have been accomplished by medication.

Hepaticola (Trichosoma) Hepatica in Prairie Dogs.

Bancroft[133] and Hall[134] have given us details concerning this parasite and the disease it causes. It is threadlike, several inches long, and permeates the livers of the gray rat, white rat and wild hare.[135] We first saw it in the more or less cirrhotic livers of several prairie dogs; later we observed it in a beaver and the gray rats of the Garden. In the prairie dogs and beaver the liver resembled that of fatty cirrhosis and was so considered on naked eye examination at our first autopsy. We were only set right when we came to the histological examination. It was remarkable how well conditioned some of the prairie dogs were in in the face of very extensive liver destruction; but on the other hand some were emaciated and a few of the spontaneously diseased showed at autopsy an enormous ascites. The outstanding features at autopsy were the large size of the liver and its pallor 642and hardness; and fine yellow lines could sometimes be made out twisting over the surface.

The disease affects wild rats differently from prairie dogs. In both the spontaneous and experimental disease the infestment was insignificant, amounting to perhaps three or four foci the size of a split pea near the anterior margins of the liver. Diagnosis may be easily confirmed by crushing the yellow infested portions of the liver between glass slides and examining microscopically for ova.

We have seen such a small number of cases of this disease because so few prairie dogs reach the autopsy table, yet there must be some important mortal factor in our prairie dog enclosure, for the Superintendent states that the population there does not increase in spite of the frequent births and additions from dealers. The animals almost invariably die under ground and their bodies are not recovered.

In order to test out the origin of the infestment we trapped two of our exhibition specimens, and the liver of both was found infested on surgical examination whereas six newly purchased ones had normal livers. The latter were secured fresh from their native habitat in the West, and their livers were examined through long surgical incisions and found free of infestment. Later we fed the ova (embryophores) from rat livers to these prairie dogs and on destroying them found them infested. We were also successful in transmitting the disease in the opposite direction, i.e., from prairie dog liver to white rat. From all this we feel sure that the prairie dog disease in our Garden was transmitted from the rat and that here is another reason for rat extermination in a zoological garden.

Fig. 76.—OVA OF HEPATICOLA HEPATICA IN LIVER OF PRAIRIE DOG. THEY HAVE BIPOLAR OPENINGS. THERE IS DESTRUCTION OF LIVER TISSUE AND A LITTLE INFLAMMATORY REACTION OF CELLULAR CHARACTER, BUT NO IMPORTANT FIBROSIS.

Fig. 77.—UNCINARIA SMITHI COILED IN INTRAHEPATIC BILE DUCTS OF GIRAFFE. NOTE MARKED PERIDUCTAL FIBROSIS IN THE NEIGHBORHOOD OF THE PARASITES.

643The adult Hepaticola hepatica of prairie dogs I have not seen in sufficient entirety to compare with the rat species and therefore cannot affirm that the two are identical species. It is presumably like that of the rat, being threadlike and most difficult to separate from the liver substance through which it ramifies. At maturity it dies and disintegrates, leaving the ova distributed more or less in tracts through the liver substance, so that we are limited to a certain period wherein to obtain the mature form. The ova are not passed into the intestine, but remain in situ, just as in the case of hydatid disease, and therefore diagnosis cannot be achieved by examination of feces. For the disease to be transmitted the host must die and its carcass be eaten or otherwise so disintegrated that the ova are distributed abroad. Another interesting observation is the long incubation period of the ova. Confirming Bancroft, we found that the ova only became larvated after they had lain in water at least three months.

Hookworms.

These important parasites have been taken from several foxes: Gray Fox (Canis cinero argenteus), Arctic Fox (Canis lagopus), Swift Fox (Canis velox), Red Fox (Canis vulpes pennsylvanicus), a Gray Wolf (Canis mexicanus), divers members of the Felidæ-Eyra (Felis eyra), Jaguarundi (Felis jaguarundi), American Wild Cat (Felis ruffus), Spotted Wild Cat (Felis ruffus texensis), Ocelot (Felis pardalis), from two Giraffes (Giraffa Camelopardalis, Giraffa capensis), a Malayan Tapir (Tapirus indicus), and a young California Hair Seal (Zalophus californianus). It has been a most serious infestment in American wild cats (Felis ruffus and Felis ruffus texensis)—animals which generally also harbor other species of worms. In view of the petechial hemorrhages of the intestines and analogous circumstances in dogs and human beings, it must be conceded that this worm is pathogenic.

At this point it is fitting to note the infestment as it affects hair seals. The parasite concerned, Uncinaria lucasi, has long been a scourge among the fur seals 644(Otoes alaskanus) of the Pribiloff Islands. Its punctures are bloodless, being signalized instead by small edematous plaques in the intestinal mucosa, The animal we autopsied was a young California Hair Seal born in the Garden, and is singularly the only hair seal in which we have seen it. The natural habitat of the hair seal is the coast of California which means that the range of U. lucasi may extend farther southward than at first suspected. We have none of the northern variety.

I point out two giraffe cases only because they are unique as to the organ (liver) affected. So far as I know, mature hookworms have never been reported from other organs than the intestines.

From the prophylactic standpoint it will be advisable to have as little moist earth as possible, particularly sandy ground, in and around the enclosures for the above mentioned susceptible animals because it is in such soil that the earlier stages of the life cycle of the parasite are passed.

We have never found any of the human hookworm species in our animals, but it must be recognized that transmission is possible to a certain degree. Anchylostoma ceylanicum Lane[136] was found in man, cats, dogs, and a lion; Leiper[137] reports A. duodenale in a dog, and von Linstow[138] states that the latter parasite also occurs in the chimpanzee.

Amebic Dysentery in Monkeys.—We recently lost six monkeys in a small outbreak of this disease—four black spider monkeys (Ateles ater), a Pinche marmoset (Leontocebus edipus), and a woolly monkey (Lagothrix lagotricha). Except for non-characteristic looseness of stools, there were no symptoms until the usual terminal lethargy set in. Living amebæ were found in feces. At autopsy only the colon was found to be anatomically affected. It was hugely distended, fully an inch in diameter, and there were numerous confluent ulcers of the mucosa covered by a thick slough. The liver showed no abscesses. In the histological sections amebæ were found in the interstices of vital gut tissue just as they are in corresponding human lesions. I have not diagnosed the species yet, but can vouch that it is not Endameba histolytica or coli.

Fig. 78.—MICROSCOPIC SECTION OF LIVER OF GIRAFFE, SHOWING SECTIONS OF UNCINARIA SMITHI IN BILE DUCT AND MARKED FIBROSIS AROUND THE DUCT.

Fig. 79.—COLON OF MONKEY DYING WITH AMŒBIC COLITIS. HIGHLY ELEVATED SLOUGHS COVER THE ULCERS.

645According to Leidy’s recommendation, grated nutmeg was administered and was followed by an improvement in symptoms. The animals became brighter and the stools firmer, but the amebæ were not eradicated. Emetin hypodermically and by mouth had no obvious effects on the disease or the amebæ. One monkey thus treated with nutmeg recovered, but died the next year of another affection and disclosed the scars of the old ulcers in the colon. Our experience with this disease, however, is not unique. At Washington, D. C.,[139] eight spider monkeys were affected, and sporadic cases come to light from the West Coast[140], Manila, Khartoum and Ceylon. Prowazek’s report concerned a young orang[141]. Liver abscesses in addition to the intestinal lesions were found by three different observers.

As to the transmissibility of monkey amebiasis to man, reporters are divided. Both sides are probably right, in as much as Endameba histolytica was concerned in some cases and non-human species in others. It is an infestment to be feared, and calls for examination of stools from such newly arrived animals as are known to be susceptible (spider and woolly monkeys, orangs).

Parasites of Marmosets and Squirrel Monkeys.—I give a special place to this subject because Table 24 shows that these monkeys are so commonly infested and because they are so commonly used as household pets. In this 646connection the questions arising are, first, whether the infestment is a menace to life, and second, whether it is existent outside the Garden or only acquired here. The following lists set forth the parasitic status as shown at autopsy. The figures indicate how long the animal lived in the Garden:

Marmosets Squirrel Monkeys
Infested Not infested Infested Not infested
1 day 6–15 days ( 4 animals) 2 days 3 months
1 day        
2 months 1 month ( 6 animals) 14 days 3 months
6 months 3–5 months ( 9 animals) 26 months 5 months
12 months 6 months ( 2 animals)   14 months
12 months 7 months ( 2 animals)   15 months
12 months 8 months ( 1 animal)    
13 months 9 months ( 2 animals)    
  10 months ( 1 animal)    
  12 months ( 1 animal)    
  14 months ( 1 animal)    
  15 months ( 1 animal)    
  17 months ( 1 animal)    
  18 months ( 2 animals)    
  20 months ( 1 animal)    
  21 months ( 1 animal)    
Totals 8 animals   35 animals 3 animals 5 animals

Reverting to the questions above raised, the data show that some of the animals were certainly infested on arrival here, and that others probably were; but since these animals were not examined for parasites on arrival in the Garden the duration of infestment remains unknown, and accordingly we are not justified in going farther in our conclusions. In the case of the marmosets, though, if we confine ourselves to the non-parasitized animals, it would appear that the “acclimatization” period is within the first six months. I have attempted to arrive at a conclusion on this basis, but the average lifetime of the four parasitized marmosets which survived this period is the same as that of the sixteen non-parasitized survivors, and we do not know at what time the parasitized ones contracted the disease.

Fig. 80.—ARACHNID (PNEUMONYSSUS FOXI) IN LUNG OF ADULT MONKEY (MACACUS RHESUS). IT OCCUPIES THE CENTRE OF A CYST WHICH IMMEDIATELY UNDERLIES THE PLEURA SEEN AT UPPERMOST PART OF THE ILLUSTRATION.

647Cysticercus tenuicollis.—We have noted this bladder worm in the Aoudad (Ovis tragelaphus), Red River Hog (Potamochœrus porcus), domesticated Angora Goats and several deer (Cervus alfredi, Capreolus capreolus, Mazama mexicana, M. hemionus) located with one exception in the peritoneal cavity or membrane. One of the mule deer (Mazama hemionus) exhibited the parasite also in the lung and liver. This parasite is discussed because the very valuable Philippine spotted deer (Cervus alfredi) died from a peritonitis secondary to an infected cyst in the lesser omentum, and because the parasitism (Tænia marginatum) is contractible from canidæ which are also on exhibition in the Garden. It happens that the spotted deer did not become infested from the dogs, but it is quite probable that the goats did, since they passed many times daily in front of the wolf cages, drawing the children’s carriages over the walks, and were stabled nearby. We have not discovered any of the other tapeworm cysts in deer which might be transmitted to them from the canidæ. Camels which are parked directly opposite them have only exhibited echinococcus cysts, yet we have never found its adult form (Tænia echinococcus) or its ova in the canine feces. The danger of fatal disease from C. tenuicollis, even though the infestment be present, is remote; but we feel that it is better, if possible, not to exhibit the canidæ adjacent to susceptible animals.

Pulmonary Acariasis in Monkeys.—We have seen but two instances of this affection in the Philadelphia Garden. The offending parasite in our animals was a new species, Pneumonyssus foxi Weidman[142]. It occurred sparingly in small cysts under the pleura and was certainly benign in our cases. The importance of the infestment consists in part in that these lesions may be mistaken for tubercles.

648At the London Gardens[143] acariasis was found in forty-four young rhesuses dying of pneumonia, and the observers ascribed the inflammation to irritation of certain doubly refractile crystals which occurred in the excreta of the mite. There are four other recorded instances of such disease in monkeys, all caused by different species of parasites.

As to pathogenesis of these arachnids, the London experience is most illuminating in that it was young rhesuses that were affected. Our specimens were mature, and nothing was stated to the contrary in the other reported cases from various parts of the world. The parasites are perhaps inhaled from the straw used as bedding, since such vegetable material is a common habitat for mites. If the resultant acute pneumonia is weathered the relics might remain only in the form of the subpleural and parabronchial cysts such as we have seen at the Philadelphia Garden.

I am the more willing to accept the possibility that the simian arachnids can induce an acute pneumonia after studying a very definite case of bronchopneumonia in a prairie dog, which was induced by Cytoleichus penrosei Weidman 1916.[144]

Periproventricular Filaridæ of Birds.—Every year we report a number of cases (up to twenty-three) of these worms, probably several species, coiled under the serosa of the air sacs and most commonly around the proventricle. Tentatively we have recognized two forms, a shorter (an inch or so long) and a longer (three to four inches). The latter is most inextricably coiled, but the former may be teased out. Microfilaria occur in the blood of the latter cases, but not in that of the former. The adults have been observed to penetrate from their position in the air sac serosa into the lumen of the proventricle (goose), to have caused rupture of the inferior cava (bulbul), to be associated with subserous cysts of the intestine (weaver) and with profound anemia (liothrix). The birds affected are mostly small, inexpensive ones, but the infestment is important because of its frequency and deserves study of the means of transmission.

Fig. 81.—ARACHNID (CYTOLEICHUS PENROSEI) IN A BRONCHOPNEUMONIC FOCUS IN THE LUNG OF A PRAIRIE DOG (CYNOMYS LUDOVICIANUS).

Fig. 82.—FILARIAL WORM COILED NEAR PROVENTRICLE OF A FINCH.

649Physaloptera in Opossums and Badgers.—These worms were frequent findings for a period of years and were particularly impressive on account of the large number of parasites present. The stomach often contained scores, more or less securely attached to the mucosa by the head. The worms average an inch or two in length and perhaps an eighth of an inch in thickness. P. turgida is the only species we have identified (three examinations). As to pathogenicity we have not observed that definitely constant lesions are induced by the parasites. In several instances the gastric mucosa has shown the mosaic appearance indicative of chronic gastritis, a condition not necessarily incited by, but certainly aggravated by, these worms; at least significant is the habit of the worm to imbed its head in the gastric mucosa. In one instance the microscope has revealed a most severe fibrosis of the submucosa. The fibrosis was not so much diffuse as it was local or nodular, and in favorable places the ova of physaloptera could be discovered in the centres of the nodules, and thus betrayed the previous presence of the adult worm there. In this individual animal the case against the physaloptera is clinched by direct evidence. In other cases we have circumstantial evidence. Whereas it is not a deeply burrowing parasite, it is still a penetrative one, and this is sufficient to compromise the all important “integrity of the mucosa.” It should therefore be considered pathogenic in all cases, because open to suspicion in several directions—abstraction of tissue juices, irritation by its products or movements and by opening up an avenue for bacterial infection.

Tropidocerca in Birds.—This is a blood-red nematode of the size of a mustard seed to that of a peppercorn which 650inhabits the depths of the proventricular mucosa. At first sight its spheroidal form suggests that of a fluke, but under the microscope it is found to be a nematode hugely ballooned out by ova, and coiled up into a ball. In spite of its dangerous appearance—being red—it is most likely quite innocuous, for microscopic sections show no sign of inflammation around the worm. Moreover, we know that a Concave Casqued Hornbill (Dichoceros bicornis) now on exhibition has harbored the worms, as indicated by ova in the droppings, for eight years and yet seems perfectly well. I have made wax reconstructions of three of the worms and find that the coils are not very intricate and that they assume no regular or constant arrangement.

Syngamus Trachealis.—Our worst experience with this picturesque parasite was in common crows (Corvus b. brachyrhynchos). In 1914 and 1915 alone we lost five such birds. Some geese, swans and a pheasant complete the short list of birds affected in addition to the crows. In no case was it a young bird that was affected. Shipley[145] reports this parasite in two grouse at the London Gardens, and Plimmer’s tables show that three deaths were directly charged against them in one year[146].

Extra-intestinal Tapeworms.—This discovery is worthy of record because it is rare for cestodes to appear anywhere save in the intestines. We have observed three instances where they had backed up into the bile duct—twice in the Cape Hyrax (Procaria capensis) and once in a Livingston’s Eland (Taurotragus oryx livingstonii). At the London Gardens they were mentioned in the gall-bladder of a wallaby and in Cape Hyraces. Beddard[147] carefully describes four new species of these cestodes from the hyrax.

Fig. 83.—PHYSALOPTERA IN STOMACH OF COMMON OPOSSUM (DIDELPHYS VIRGINIANA). THIS IS NOT AN EXCEPTIONAL DEGREE OF INVOLVEMENT.

Fig. 84.—ONE OF THE FIBROUS NODULES IN THE GASTRIC SUBMUCOSA OF AN OPOSSUM. AN OVUM OF PHYSALOPTERA IS SEEN PRECISELY IN THE MIDDLE OF THIS ILLUSTRATION.

651
Table 28.
Occurrence of Blood Parasites.
(Adapted from Plimmer, nine year period)
Animals examined—12,241 Mammalia—2,924 Aves—6,619 Reptilia—2,698.
Parasite. Host No. Infested % Infested
1. Hemogregarines Reptilia 316 11.8
2. Microfilaria Mammalia 33 1.1
    Aves 191 3.
    Reptilia 24 1.
3. Hemoproteus Aves 140 2.1
4. Trypanosomes Mammalia 1 0.003
    Aves 28 0.4
    Reptilia 4  
    Amphibia 3  
5. Plasmodia Mammalia 2  
    Aves 39 0.6
    Reptilia 5  
6. Leucocytozoa Aves 16 0.2
7. Intestinal organisms[148] Reptilia 16 0.5
8. Toxiplasma Mammalia 1  
    Aves 1  
    Reptilia 1  
9. Spirochæta Mammalia 1  
10. Babesia Mammalia 1  
11. Hæmocystidium Reptilia 1  
Grand Total   824  
Summary of Table 28.
Parasitized Animals examined % Parasitized
Mammalia 39 2,924 1.5
Aves 415 6,619 6.5
Reptilia 367 2,698 14.0
Total 821 12,241 6.7

Filariasis in Wild Cats (Felis ruffus).—This parasite was named Filaria fasciata because it coils in the fascia between the muscles—generally those of the thigh and abdomen. The worms are easily detected on skinning the animal and separating thigh and other muscles. Microfilaria were always present in the blood. The grade of pathogenicity is only conjectural.

Peritoneal Filaria in Monkeys.—Thread worms have been encountered eleven times, largely in Cebidæ. In 652several instances F. gracilis has been the species identified, always inhabiting the peritoneal cavity, and in one instance also the lung. Microfilaria were always present in the blood. We have never seen lymphangitis or elephantiasis in our filarial cases.

Blood Parasites.—I justify this paragraph on the basis of the usefulness it might have in the clinical direction, for while the taking of blood specimens is not as easy as with man it can still be done with some animals. From time to time we have encountered blood parasites in this Garden, but the large numbers occurring in the experience of special searchers in the London Garden and Plimmer’s particular interest in this direction make their data much the more valuable. In one report of 6,430 animals examined he found 7 per cent. infested with blood parasites of one sort or another. I have constructed the foregoing table (28) from his various reports to show which animal classes were affected by the several blood parasites.

This table (28) brings out that considering them as a whole and without respect to host, just as the animals come day in and day out to the autopsy table, blood parasites will be met in 6.7 per cent. of all cases. They are seen most commonly in the form of hemogregarines of reptiles (2.5 per cent. of all animals and 12 per cent. of all reptiles) while microfilaria run a close second, being found in 2 per cent. of all animals but much more commonly in birds. Hemoproteus of birds while ranking third, should be emphasized on account of its acknowledged blood-destructive properties. The remaining infestations were too infrequent to be useful statistically.

Turning to individual groups of blood parasites, microfilariæ of birds deserve special comment. They occurred four times more often in birds than in other animals, or, put in another way, one out of every twenty-two birds was affected, and only one out of every ninety other animals. The high figure for birds is significant in relation to what we have already said about periproventricular filaridæ in our Garden, indicating that the same infestment probably also exists in London.

Fig. 85.—ADAPTATION FROM RECONSTRUCTION OF TROPIDOCERCA CONTORTA. THE WORM LAY IN THE WALL OF THE PROVENTRICLE OF A LOUISIANA HERON (ARDEA TRICOLOR RUFICOLLIS).

Fig. 86.—CESTODES (THREE) PROJECTING FROM THE SEVERED END OF THE BILE DUCT OF A CAPE HYRAX (PROCARIA CAPENSIS).

653A point brought out by Plimmer is to the effect that, of the several blood parasites, the microfilariæ were the least harmful, and that of these the adult forms were the only ones to produce symptoms; yet in one place[149] he records microfilaria as plugging the cerebral capillaries of birds. This is a very important lesion if permanent, and especially so when affecting cerebral capillaries as do the organisms and pigment of malaria. The adult forms were found in one-fourth of the cases where microfilaria were demonstrated.

As to the pathogenicity of these blood parasites in general, it will be unsafe to arrive at a definite conclusion, recalling the pitfalls that I have already outlined in discussing pathogenicity of parasites in general. Keeping in mind the wonderful adaptability on occasion of animals to unfavorable circumstances we must hesitate to declare unqualifiedly the importance of even blood parasites as morbid agents. Where the parasite is known to destroy the blood cells of birds and mammals it is otherwise, but even here experimental work would be necessary to settle the question. The element of “racial” immunity and of phylogeny is the fly in the ointment of our deductions.

Transmission of Animal Parasitism From Wild Animals to Man.

Examples of direct transmission will be only occasional, due to the relatively infrequent contacts between the two hosts. Pets threaten the most. Several such examples have been touched upon in the preceding pages and it but remains to gather them into one place. There is one concrete instance in the form of clear cut simian scabies being transmitted to a keeper in this Garden[150] 654and a similar lot fell to the keeper of a wombat at the Paris Garden[151] as well as to the taxidermist who preserved its skin. We know that the skin and feathers of our parrots and pigeons harbor mites[152] (plumicoles of Megnin) and, recalling the occasional cases of poultrymen’s itch, a transient affection might be conceded from pet parrots and other birds. Pediculi are not as numerous on monkeys as popularly supposed—we see very few at the autopsy table. We have seen Trichinella spiralis in the polar bear (Ursus maritimus)—an animal whose flesh is edible. The hydatid cysts in the camel appear unimportant, but in the livers of deer it is otherwise. Neither of these infestments is dangerous if the meat is sufficiently cooked before eating.

Hookworm disease points thus far only to Anchylostoma duodenale in the chimpanzee and Uncinaria ceylanicum in the lion and tiger. Both serve as reservoirs of the disease, the ova being discharged by way of the feces. Similarly the Strongyloides intestinalis infestment which we have seen in the orang might be transferred to man. Indirectly, Europeans traveling in Africa have made the crucial test that certain ungulates and other wild animals of Africa are the reservoirs of Trypanosoma gambiense, the parasite of the well known African sleeping sickness; for this example the blood stream of the beast is the reservoir and a biting insect the means of transmission.

The above examples are cited to emphasize the possibility that parasites of wild animals may have a pathogenic significance for man. They do not exhaust the subject. Many more instances might be cited but the foregoing bring out the important ones which have come to our attention.

655

Treatment.

The recognition of the existence of parasites during the life of an animal, especially those of the skin and intestinal tract whose discovery is easiest, suggests that some means of combating them should be employed. But we are by now quite satisfied that medicinal and disinfective therapeutic procedures, while they have their field of usefulness, are much less to be depended upon for the protection of exhibits than are preventive measures of general hygienic nature. Under the latter heading come the prompt removal of excreta, frequent changes of drinking water, routine examinations of feces of certain varieties, autopsy examinations and incineration of autopsy remains—all of which are part of the requirements of common cleanliness and general disease prevention. I wish to amplify the matter of disposal of feces and general cage-police. Our ideas as to what constitutes thoroughness in this work have changed considerably since Fulleborn’s recent demonstration that ascarid ova[153] could live in formaldehyde for four or five years, and the older one of Galli-Valerio[154] that those of Hepaticola hepatica lived one month in 2 per cent. formaldehyde solution. Evidently the same substances which disinfect do not invariably disinfest; and if the occasion should arise for the most exacting control in this respect, a special investigation of the susceptibility of the individual ova in question would have to be undertaken.

In addition to these general measures we have put up certain special safeguards against parasites. Thus, each specimen of the large Carnivora (lions, tigers, leopards, etc.), has received routinely a dose of santonin every month over a period of several years. We have no figures on which to base comparison with previous periods, but an examination of feces of all the inmates 656of the Carnivora house in 1916[155] showed that less than one-third of the animals were infested, and of these all save the jaguars showed either small numbers of ova in the feces or relatively non-pathogenic forms. The jaguars had been badly infested for many years with dibothriocephalus. Prior to this examination we had been under the impression that nearly every one of the felidæ ordinarily was infested and if this impression was well founded, due credit must be given, in company with general hygienic precautions, to the routine santonin dosages. It goes without saying that where animals are detected at autopsy with unequivocal transmissible and dangerous parasites (coccidia, amebæ, etc.), the contacts are isolated, examined and if necessary treated for the affection or even sacrificed.

To continue the preventive measures, it would be most desirable to examine at least the blood and feces of all newly arrived animals, but at present this is not practicable on account of the labor involved in the laboratory and in collecting the material, and because all animals do not stand the restraint involved when blood specimens are being taken. At present we are limiting special examinations to the droppings of newly arrived parrots and toucans for Spiroptera incerta and to the feces of certain monkeys for amebæ.

Further preventive measures will depend on the nature of individual infestments as they crop up. Food inspection, screening, sulphur dips, etc., are but a few examples of what might be found necessary hygienically after investigating or establishing the life cycle of our numerous parasitic groups. However we cannot forbear to emphasize again the value of the blast lamp and of paint in the hygiene of animal enclosures—means we believe to be much more potent and quite as practicable as chemical disinfectants.

Fig. 87.—TRICHINELLA SPIRALIS IN MUSCLES OF POLAR BEAR (URSUS MARITIMUS). THIS WAS AN OLD INFESTMENT, AS INDICATED BY THE THICK AND HYALOID CHARACTER OF THE CAPSULE.

657Turning now to the active curative side of the subject, what medical means we have against parasites appertain for the most part to the intestinal ones. The treatment of tapeworms is very hazy and unsatisfactory—areca nut is perhaps more useful in animals than any one other drug. For round worms santonin is most to be depended on although turpentine is useful against the round worm of the Equidæ. The dosage of santonin per month has been—for large bears, ten grains; for lions, tigers, large pumas, six grains; for jaguars, leopards, hyenas, four grains; for wild cats, etc., two grains. The dose of areca nut recommended for Carnivora is two grains per pound of body weight. Since ungulates do not stand areca nut well, iron sulphate may be used. For animals the size of a horse the dosage is two drams, and to this one or two grains of arsenic trioxide may be added. On the basis of very carefully controlled experiments on dogs, Hall recommends carbon tetrachloride for hookworms in these animals—0.3 mils per kilo of body weight, without purging. Its efficacy has been confirmed lately but we have not had the occasion to test it.

From time to time we have broached other lines of medication against worms which may be worth while relating if for nothing more than to illustrate the uncertain ways of our vermifuges when applied to wild animals.

I can speak first of thymol as employed on parrots parasitized by Spiroptera incerta. The first thing that impressed us was the large dosage which birds could endure. The lethal dose for pigeons was four grains, suspended in mucilage of acacia. After we had established that certain parrots withstood fourteen grains in mucilage, we administered on one occasion twelve grains and on another sixteen grains, suspended in glycerin. The drug is reputed to be absorbed when exhibited in the latter vehicle and we hoped to get a certain anthelmintic effect on the parasites from the blood side as well as from the lumen of the gut. The bird itself, a very heavily 658infested cockatoo, showed no ill effects and passed two dead female spiroptera and enormous numbers of ova. But thereafter it passed even greater numbers of ova than before (we estimated 182,000 per day for this bird over a five day period and 288,000 on a single subsequent day), and was obviously unimproved by the treatment. The explanation of failure was clear, for the worms can retire into the protecting mucus or mucous membrane lining the proventricle until the thymol has passed by, and even though paralysed may not be flushed out. In a later test on a toucan which died twenty minutes after thymol administration we found at the autopsy that worms deeply imbedded in the proventricle were translucent and motionless from the effects of the thymol-glycerin mixture, i.e., saturated with the medicament and apparently dead. Twenty minutes later they were placed in normal salt solution in the incubator, and next morning were found actively motile. Thymol evidently does not kill—it only stupefies, and in the absence of means for flushing the parasites out, as we do in human hookworm cases, this class of vermifuge will have to be abandoned in work against this parasite.

Not with any serious hope of success, but feeling that arsenic was the most promising drug available for parenteral use, we tried atoxyl hypodermically and arsphenamine intravenously but without success. The only positive results were to emphasize the tolerance of some lower animals to arsenic. Thus in preliminary work pigeons received sixty drops of Fowler’s solution by mouth without embarrassment, but five minims killed a pigeon when administered hypodermically. The organic arsenical, arsphenamine, was withstood intravenously by pigeons in six times the proportional human dosage.

One of our drug trials was instructive in that it worked quite a different effect from that in man, besides being most amusing. In earlier diagnostic work on spiroptera we tested the practicability of examining the 659vomitus for the worms, hoping thereby to get a greater concentration of ova, which would facilitate the microscopic examination. Hypodermic injections of apomorphine (0.1 grain) into an amazon did not induce vomiting from the gizzard as hoped—only a regurgitation from the crop, but it did cause some dizziness and most ludicrous talking and laughter.

To illustrate further the difficulties of animal medication I quote our experience with four red howling monkeys (Alonatta seniculus). One of these died of intestinal obstruction from large ascarids—the case which has been already cited. Ova were found in the stools of the remaining three, and one of the monkeys was treated twice with santonin. It died in thirty hours after the second dose—not of santonin poisoning, for none of the clinical symptoms were present, but most likely from absorption of toxic substances originating in the decomposing ascarids which crowded the gut. It profits not to destroy these parasites, then, unless we feel assured that they may thereafter be removed immediately.

If, for the sake of brevity, I were asked to state in a single sentence the practical status of animal parasitic disease in this Zoological Garden I would put it thus: Since there are various animal parasitic diseases continuously present here of which we know, and since fresh ones are from time to time cropping out, and since these are on the whole of economic importance, it behooves us to continue and extend our efforts against an issue extant—somewhat through therapeutic means, but far more through clinical laboratory examinations, careful autopsy searches, and by rigid general hygienic measures such as cage-police, new quarters, isolation, or if necessary, destruction of the exhibit.

660

INDEX

665

A LIST OF THE PUBLICATIONS FROM THE LABORATORY OF COMPARATIVE PATHOLOGY OF THE PHILADELPHIA ZOOLOGICAL SOCIETY 1909–1923

1.
Results of Tuberculin Tests in Monkeys at the Philadelphia Zoological Garden, by C. Y. White, M.D. and Herbert Fox, M.D. The Archives of Internal Medicine, December, 1909, Vol. 4, pp. 517–527, Chicago, Illinois.
2.
Note on the Occurrence of a Ciliate (Opalinopsis nucleolobata, n.s.) in the Liver of a Mammal (Canis latrans), by Allen J. Smith, M.D. and Herbert Fox, M.D. University of Pennsylvania Medical Bulletin, February, 1909, Philadelphia, Pennsylvania.
3.
The Tuberculin Test in Monkeys: with Notes on the Temperature of Mammals, by Arthur Erwin Brown, D.Sc., C.M.Z.S., Sec. Zool. Soc., Phila. Proceedings of the Zoological Society of London, 1909, pp. 81–90.
4.
Observations on the Occurrence of Neoplasms in Wild Animals, by C. Y. White, M.D. and Herbert Fox, M.D. Proceedings of the Pathological Society of Philadelphia, February, 1910.
5.
Observations on the Comparative Anatomy of the Female Genitalia, by Edward A. Schumann, M.D. American Journal of Obstetrics and Diseases of Women and Children, Vol. LXIV, No. 4, 1911, New York.
6.
Observations Upon Neoplasms in Wild Animals in the Philadelphia Zoological Garden, by Herbert Fox, M.D. The Journal of Pathology and Bacteriology, Vol. XVII. (1912), pp. 217–231. England.
7.
A Study of Metazoan Parasites Found in the Philadelphia Zoological Garden, by Fred D. Weidman, M.D. Proceedings of the Academy of Natural Sciences of Philadelphia, March, 1913, pp. 126 to 151, Philadelphia, Penna.
8.
The Pathology of the Thyroid Gland in Wild Animals, by Herbert Fox, M.D. Journal of Comparative Pathology and Therapeutics, Vol. 27, p. 23. Edinburgh, Scotland.
666
9.
The Mechanism of Labor From the Standpoint of Comparative Anatomy, With a Report of Cases of Dystocia in Wild Animals, by Edward A. Schumann, M.D. American Journal of Obstetrics and Diseases of Women and Children, Vol. LXIX, No. 3, 1914, New York.
10.
Cirrhosis of the Liver in Wild Animals, by Herbert Fox, M.D. New York Medical Journal, December 19, 1914.
11.
The Dynamics of the Female Pelvis; Its Evolution and Architecture with Respect to Function, by Edward A. Schumann, M.D. American Journal of Obstetrics and Diseases of Women and Children, Vol. LXXI, No. 1, 1915, New York.
12.
Pneumonyssus foxi, Nov. Sp. An Arachnid Parasitic in the Lung of a Monkey (Macacus rhesus), by Fred D. Weidman, M.D. Journal of Parasitology, September, 1915, Vol. II, pp. 27–45, Urbana, Illinois.
13.
Cytoleichus penrosei, A New Arachnid Parasite Found in the Diseased Lungs of a Prairie Dog, (Cynomys ludovicianus). Journal of Parasitology, December, 1916, Vol. III, pp. 82–89, Urbana, Illinois. Fred D. Weidman, M.D.
14.
A Method of Obtaining Duplicate Reconstructions from the One Series of Wax Plates, by Fred D. Weidman, M.D. New York Medical Journal, March 3, 1917, New York.
15.
Papers: Read at the Meeting of the Pathological Society at the Philadelphia Zoological Garden.
 
Pancreatitis in Wild Animals, by Herbert Fox, M.D.
 
Report of an Enzootic of Parasitic Proventricular Worms (Spiroptera incerta, Smith) of Parrots, with Control of Same, by Fred D. Weidman, M.D.
 
Coccidium bigeminum, Stiles, in Swift Foxes (habitat Western U. S.), by Fred D. Weidman, M.D.
 
Distribution of Uncinaria Among the Lower Animals, by Fred D. Weidman, M.D.
 
An Arachnoid (Pneumotuber macaci, Landois and Hœpke?) Parasitic in the Lungs of a Monkey (Macacus rhesus), by Fred D. Weidman, M.D.
 
A Note Upon the Lesions of the Female Genitalia in Wild Animals, by Edward A. Shumann, M.D.
 
667Amblyopia in a Young Monkey (Macacus nemestrinus), by H. M. Langdon, M.D. and W. B. Cadawalder, M.D.
 
Remarks on Examinations of a Series of Brains, by W. B. Cadawalder, M.D.
 
Journal of Comparative Pathology and Therapeutics, December, 1915, Vol. XXVIII, Part 4, pp. 298–336, Edinburgh, Scotland.
16.
Reversionary Pseudobile Canaliculi Formation in the Cirrhotic Liver of a Vulpine Phalanger, by Fred D. Weidman, M.D. New York Medical Journal, March 9, 1918, New York.
17.
A Contribution to the Anatomy and Embryology of Cladorchis (Stichorchis) Subtriquestrus, Rudolphi, 1814 (Fischoeder, 1901), by Fred D. Weidman, M.D. Parasitology, Vol. X, No. 2, January 22, 1918, Cambridge University Press, London, England.
18.
Nutritive and Blood Changes in Rats on Cancer-Inhibiting and Cancer-Stimulating Diets, by E. P. Corson-White, M.D. Pennsylvania Medical Journal, March, 1919, Vol. XXII, p. 348, Athens, Penna.
19.
Pemphigus in an Orang Utan Infested with Strongyloides (intestinalis?) and Dying from Advanced Tuberculosis, by Fred D. Weidman, M.D. Journal of Cutaneous Diseases, March, 1919, Vol. XXXVII, pp. 169–173, Chicago, Ill.
20.
Arteriosclerosis in Wild Animals, by Herbert Fox, M.D. American Journal of Medical Sciences, June, 1920, No. 6, Vol. CLIX, p. 821, Philadelphia, Penna.
21.
Osteomalacia in Wild Animals, by E. P. Corson-White, M.D. Archives of Internal Medicine, November, 1922, Vol. 30, pp. 620–628, Chicago, Illinois.
22.
Osteitis Deformans in Monkeys, by E. P. Corson-White, M.D. Archives of Internal Medicine, December, 1922, Vol. 30, pp. 790–796, Chicago, Illinois.
23.
Certain Dermatoses of Monkeys and an Ape, by Fred D. Weidman, M.D. Archives of Dermatology and Syphilology, March, 1923, Vol. 7, pp. 289–302, Chicago, Illinois.
24.
Acute Papular and Desquamative Exanthem in an Orang Utan, by Herbert Fox, M.D., and Fred D. Weidman, M.D. Archives of Dermatology and Syphilology, April, 1923, Vol. 7, pp. 462–464, Chicago, Illinois.

1. Those who are interested in the subject of disease in its effect on evolution are referred to Morley Roberts, Proceedings, Zoological Society, London, 1918, p. 247.

2. Proceedings, Zoological Society, London, 1911.

3. Proceedings, Zoological Society, London, 1911, p. 425.

4. Proceedings, Zoological Society, London, 1911, p. 620.

5. Br. Med. Jour., 1910, 2, 1161.

6. Proc. London Zool. Soc., 1907.

7. Total is the number of individual animals showing lesions, not the sum of the listed changes.

8. Comptes Rendus Soc. Biol., T, 62–206.

9. This is done by determining the percentages of hypertrophy and dilatation for the total number of each class examined at autopsy.

10. Arch. für. Ges. Physiologie, 1908, 125, 507

11. dal Piaz: Papers from the Department of Anatomy, University of California, 1912. Bergmann: Dissertation, Munich, 1884. Loer: Arch. f. die gesamte Physiologie, 1911, V. 140–293. Grober: Arch. f. die gesamte Physiologie, 1908, V. 125–507. Grober: Deutsch Archiv f. Klin. Med., 1907, V. 91, 502. Welcher and Brandt: Arch. für Anthropologie, 1903, V. 28. Vierordt: Tabellen, 1906. Parrot: Zoologischer Jahresbericht, 1893. Hasenfeld and Romberg: Arch. f. Exp. Path. und Pharmacol., 1897, V. 39–333. Joseph: Jour. Exp. Med., 1908, V. 10–521.

12. These values are obtained in part from the literature, in part from our own specimens. At this laboratory the hearts of animals killed or dying from a short illness, organs showing no pathological change, were removed by cutting at the base of the vessels, washed free of blood and weighed. The weight of the whole animal was obtained after death.

13. These figures are obtained by determining mathematically the percentage of each feature in each class and then reducing the numbers to their lowest value.

14. Verh. deutsch Path. Gesel., 1906, X, 149.

15. With Coronary sclerosis only.

16. With Coronary sclerosis only.

17. Proc. London Zool. Soc., 1916.

18. The Leucoses of Fowls, London, 1922.

19. Lubarsch-Ostertag, Ergeb. aus der Allg. Path., 1908.

20. Vide Sisson’s Veterinary Anatomy and Owen’s Anatomy of the Vertebrates.

21. Ball, Jour. Vet., 1907.

22. See Magnan, Compt. Rendus d. l’ Acad. de Science, 1910 and 1911, Vol. 150, 151, 152.

23. C. R. Soc. de Biologie, Paris, T. 73–526. Bull. Mus. Hist. Nat., Paris Ann., 1911, 492 et seq.

24. See Woodland, Proc. London Zool. Soc., 1906, and MacLeod, Chemical and Physiological Medicine, Chicago, 1923.

25. Proc. Zool. Soc. London, 1905.

26. Bull. Soc. Anat., 1898, 73, 491

27. Amer. Med., 1903, 996

28. Surg. Gyn. and Obst., 1919, 28, p. 529.

29. Jour. A.M.A., 1921, 77, 194.

30. Ibid., 197.

31. Garrod, Schorstein Lect., 1920.

32. Anatomical Record, 1917, 13, p. 305, On the morphology of the renal tubule in the vertebrates.

33. Policard, C. R. Assoc. Anat., 1910, 12, 57.

34. Huber, Anat. Record, 1916, 10, 201.

35. Bull. Mus. Hist. Nat., 1911, 493 and 1912, 527, and C. R. Acad. Sc., 155, 182.

36. C. R. Soc. Biol., 1898, 5, 188.

37. Monatsh., 1893.

38. Inaug. Diss. Giessen, 1911.

39. Arch. f. Tierheilk., V. 38–99.

40. Comparative Anatomy of the Female Genitalia, Am. Jour. of Obstet., Vol. LXIV, No. 4, 1914. Mechanism of Labor from a Comparative Standpoint, Ibid., Vol. LXIX, No. 4, 1914. Dynamics of the Female Pelvis, its Evolution, etc., Ibid., Vol. LXXI, No. 1, 1915.

41. Proc. L. Z. Soc., 1919, p. 16.

42. Journ. Phys., Vol. 34, 295.

43. Am. Jour. Phys., Vol. 30, 129.

44. Carlson, Rooks and McKie, Loc. cit.

45. Vincent and Jolly, Loc. cit.

46. See Blair and Brooks, Osteomalacia of Primates in Captivity, Ninth Annual Report, New York Zoological Society, 1904, p. 135.

47. Campbell and Cleland, Jour. Comp. Path. and Ther., Vol. 32, p. 95.

48. Med. Chir. Trans., Vol. 60, 37, 1877.

49. These de Lyon, 1901.

50. Verein Freibürger Aerzte, May, 1902.

51. Arch. f. Wiss. u. Prak. Tierhk., Vol. 36, 652, 1910, and Vol. 39, 164, 1913.

52. Vet. Med. Inaug. Diss. Giessen, 1913.

53. Traite d’ Anatomie Path., 1883.

54. Jour. Med. Res., Vol. 24, 43, 1911.

55. Publ. Jefferson Med. College, Vol. 6, 1, 1915.

56. We have observed later, however, one case with very definite degenerative arterial disease; it will be discussed under the affections of the eye since the most definite and indeed only lasting sign of trouble was amblyopia, the attack being ushered in by a nondescript fit.

57. Chemistry of the Proteins, Mann.

58. Ann. Inst. Past., 1899, XIII, 558, and Skandinavisches Arch. f. Physiol., 1904, XVI, 249.

59. Skandinavisches Arch. für Physiologie, Vol. 17, p. 211, 1905.

60. Jour. Physiologie et Path., Vol. 14, 108, 1912.

61. Carnegie Institute Publication, No. 203, p. 247, 1915.

62. Jour. Biol. Chem., Vol. 14, p. 59, 1913.

63. Publication of the Jefferson Medical College and Hospital, Vol. 6, p. 1, 1915.

64. These de Lyon, 1901.

65. Verein Freiburger Aerzte, May 30, 1902.

66. Vet. Med. Inaug. Diss. Giessen, 1913.

67. Chemistry of Food and Nutrition, Macmillan, 1918.

68. Ohio Agricultural Experiment Station Bull., 295.

69. Skandinavisches Archiv. f. Physiologie, Vol. 17, p. 211, 1905.

70. Bull., 185, Experiment Station, U. S. Dept. Agriculture, 1907.

71. Physiological and Pathological Chemistry, Blakiston, 1902.

72. Journ. Physiol., 1912, XLIV, 425.

73. Die Vitamine und ihre Bedeutung für die Physiologie und Pathologie mit besonderer Berücksichtigung der Avitaminoses, Wiesbaden, 1914.

74. Newer Knowledge of Nutrition, Macmillan, 1919.

75. Bull., 34, Bureau of Amer. Ethnology.

76. Jahrhuch. Kinderheilk., 1904, LIX, 175.

77. Journ. Am. Med. Assoc., 1917, LXVIII, 1516.

78. Arch. Path. Anat., 1897, CXLVIII, 523.

79. Lancet, London, March 12, 1910, 733.

80. Lancet, London, 1911, II, 1266.

81. Bull., Dept. of Agriculture, Dec. 13, 1915.

82. Bureau of Animal Industry, 1895–96, 172.

83. Z. Hyg. u. Infektionskrankh., 1913, LXXV, 334.

84. Jour. Biol. Chem., 1917, XXXI, 229.

85. Jour. Infect. Dis., 1916, XIX, 478.

86. Jour. A.M.A., 1922, 79, 2132.

87. Pflüger’s Arch., 1909 (129), 63.

88. Chemical Pathology, Philadelphia, 1918.

89. These botanical names are taken from Chestnut’s Poisonous Plants of America.

90. Textbook of Histology, 1920.

91. Zeitch. für Krebsforsch, Vol. 15, p. 1.

92. Proceed. Phila. Path. Soc., 1910, and Journal of Pathology and Bacteriology, Vol. XVII, 1912.

93. Figures in parentheses are numbers of animals with captivity known.

94. See Gould’s Birds, Vol. II, p. 83.

95. Am. Jour. Med. Soc., 1907, 133–769.

96. Jour. Path. and Bact., Vol. XVII, 1912.

97. Totals and percentages for class, including all members.

98. Grand Totals, all autopsies.

99. Totals used for analysis after deduction of cases insufficiently described.

100. Rev. de Med. Vet. T. 89, p. 221.

101. White and Fox, Archives of Internal Medicine, 1909, Vol. IV, p. 517.

102. The temperature in the axilla is often .5°F. higher than by rectum, but the difficulties of the axillary method render it impracticable.

103. A. E. Brown, Proc. London Zool. Soc., June, 1909, p. 81.

104. Simpson and Galbraith, Trans. Royal Soc., Edinburgh, XIV, p. 1, 65, 1906.

105. This term will be used in the following pages to mention the organism since by many persons it is better known than Nocardia and moreover describes the form better. I believe genus Nocardia is the correct nomenclature for reasons given on a subsequent page.

106. Those interested in the investigation of the cause of Blackhead are referred to the recent literature by Tyzzer and by Smith, in the Jour. of Exp. Med. and Jour. of Med. Research, 1918–1922.

107. There are certain exceptions to this, as with Nicoll’s (Proc. Zool. Soc. London, 1912, p. 858) careful search for trematodes with sieves, but this means a separate research, and is incompatible with the all-round, general policies of present routine laboratory organization.

108. Phila. Zool. Soc. Rep., 1920, p. 28.

109. Proc. Zool. Soc. London, 1910, p. 134.

110. Proc. Zool. Soc. London, 1905, p. 252.

111. Phila. Zool. Soc. Rep., 1920, p. 29.

112. Phila. Zool. Soc. Rep., 1921, p. 31.

113. Proc. Zool. Soc. London, 1919, p. 15.

114. Proc. Zool. Soc. London, 1919, p. 15.

115. Phila. Zool. Soc. Rep., 1916–1921.

116. Journal of Parasit., June, 1921, p. 194.

117. Proc. Zool. Soc. London, 1910, p. 147.

118. Fantham, Proc. Zool. Soc. London, 1910, p. 672.

119. Loc. cit., 1911, p. 674.

120. Loc. cit., 1915, p. 87.

121. Loc. cit., 1910, p. 233.

122. Loc. cit., 1914, p. 222.

123. Phila. Zool. Soc. Rep., 1912, p. 40.

124. Proc. Zool. Soc. London, 1914, p. 140.

125. Jour. Parasit., June, 1921, Vol. VII, p. 198.

126. This figure and a number of others in the tables do not correspond with those in other sections of this book because certain injured, decomposed and newly arrived animals were available and accepted for my purposes, but were objectionable for the general medical statistics and therefore excluded.

127. For foot note see page 630.

128. For foot note see page 630.

129. Not generically diagnosed.

130. Proc. Acad. Nat. Sci. Phila., March, 1913, p. 127.

131. Proc. Zool. Soc. London, 1912, p. 858.

132. Proc. Acad. Nat. Sci. Phila., 1913, p. 133.

133. Proc. Roy. Soc. N. So. Wales, Sydney, Vol. 27, pp. 86–90, 1893.

134. Proc. U. S. Nat. Mus., Wash., D. C., Vol. 50, 1916, p. 31.

135. Proc. Zool. Soc. London, 1911, p. 674.

136. Indian Med. Gaz., June, 1913, p. 217.

137. Jour. Trop. Med. Etc., London, 1913, XVI, p. 334.

138. Am. Med. Phila., V. 6 (16), 1903, p. 611.

139. Eichhorn and Gallagher, Jour. Inf. Dis., XIX, No. 3, Sept., 1916, p. 395.

140. Macfie, Ann. Trop. Med. and Parasit., 1915, 9, p. 507.

141. Arch. f. Protistenk, Jena, V. 26 (2), 22, July, p. 241.

142. Jour. Parasit., Sept., 1915, V. 2, pp. 37–45.

143. Proc. Zool. Soc. London, 1919, p. 14.

144. Jour. Parasit., Dec., 1916, V. 3, pp. 82–89.

145. Proc. Zool. Soc. London, 1909, p. 335.

146. Loc. cit., 1912, p. 236.

147. Loc. cit., 1912, p. 576.

148. The exact taxonomic position could not be stated,-probably an ameba.

149. Proc. Zool. Soc. London, 1910, p. 134.

150. Weidman (F. D.), “Dermatoses of Monkeys,” Arch. Derm. and Syph., Chicago, March, 1923, p. 289.

151. Railliet Traite de Zool. Med. et Agric. Paris—Asselin et Houzeau, 1895, p. 659.

152. Megnin, Les Parasites Articules, 1895, Masson et Cie, Paris.

153. Quoted by Jensen (V.), Hospitalstidende, Copenhagen, 1922, 65, No. 28, p. 457.

154. Centr. f. Bakt. u. Parasitk., (etc.), Jena 1—Abt. V. 35 (1), 5, 1903, orig. p. 89.

155. Phila. Zool. Soc. Rep., 1917, p. 36.


TRANSCRIBER’S NOTES
*** END OF THE PROJECT GUTENBERG EBOOK 76817 ***